Cut-off values for low skeletal muscle mass at the level of the third cervical vertebra (C3) in patients with head and neck cancer
Introduction
Research on body composition in cancer patients, and in particular on skeletal muscle mass (SMM), has increasingly gained interest over the past several decades. Low SMM is often referred to as sarcopenia, although a more comprehensive definition of sarcopenia is the combination of low SMM and low muscle function (1). Due to the unavailability of routinely performed muscle function tests, most research in oncological patients focusses on radiologically assessed SMM, measured on routinely performed computed tomography (CT) or magnetic resonance imaging (MRI). Radiologically assessed low SMM at diagnosis has shown to predict adverse outcomes in a variety of cancer types and treatments (2-6).
For head and neck cancer (HNC), low SMM has shown to be a significant predictive factor for cisplatin dose-limiting toxicity (7), the occurrence of a fistula after total laryngectomy (TLE) (8) and flap-related complications in microvascular free flap head and neck reconstructive surgery (9). It has also been shown that low SMM is prognostic for decreased survival in patients with HNC (10-14).
Several diagnostic imaging modalities can be used to quantify SMM such as MRI, CT, bioimpedance analysis (BIA) and dual energy X-ray absorptiometry (DEXA). BIA and DEXA are confounded by alterations in hydration, edema and food intake. Therefore, its use in assessing body composition of patients with cancer is not favored. First research on body composition was performed by measurement of skeletal muscle area (SMA) on a single axial-slice at the level of the third lumbar vertebra (L3) (15,16). The SMA at the level of L3 is then normalized for height to calculate the lumbar skeletal muscle index (lumbar SMI), which is used as a proxy of whole body skeletal muscle mass (17). Abdominal CT imaging is not routinely performed in patients with HNC and is often only available in patients with advanced disease and those at risk for distant metastasis.
Measurements of SMM at the level of the third cervical vertebra (C3) have shown to correlate well with SMM measurements at the level of L3 (18). Therefore, in order to avoid selection bias (i.e., only patients with abdominal CT included) in research on SMM in HNC, measurement of SMA at the level of C3 is the preferred method. Measurement of SMA at the level of C3 consists of segmentation of both sternocleidomastoid muscles and the paravertebral muscles. If preferred, the SMA at the level of C3 can be converted to SMA at the level of L3 by using a previously published and validated prediction formula (18).
Accurate diagnosis of low SMM in clinical practice is impeded by heterogeneous cut-off values used to diagnose patients with low SMM. In oncological literature different cut-off values for low SMM are used. The most used cutoff values in the field of research on body composition are the ones defined by Prado et al. and Martin et al. (15,19). Prado et al. used optimum stratification analyses between muscle mass and mortality in a population of 250 obese [body mass index (BMI) ≥30 kg/m2] patients with respiratory or gastro-intestinal malignancies and found cut-off values for low muscle mass to be 52.4 cm2/m2 for men and 38.5 cm2/m2 for women as the best predictor for mortality. Martin et al. also utilized optimum stratification analysis for low SMM as a predictor of mortality in a population of 1,473 patients with lung or gastrointestinal malignancies and incorporated both gender-specific and BMI-specific cutoffs: 41.0 cm2/m2 for women and 43.0 cm2/m2 for men with a BMI <25 kg/m2 and 53.0 cm2/m2 for men with a BMI >25 kg/m2. These cut-off values are based on SMA at the level of L3 and are not applicable for patients with HNC in whom SMM segmentation at the level of C3 is performed.
The European Working Group of Sarcopenia in Older People (EWGSOP) recommends that low SMM should be defined as SMM less than 2 standard deviations (SD) below the mean SMM of typical healthy adults (20). It is unknown whether this recommendation also implies to patients with cancer, but reference values may provide a better direct comparison in between patients. Recently a study in a Dutch cohort of healthy persons revealed gender- and BMI-specific reference values for SMM at the level of L3 (21), which may be used to uniformly identify patients with a significantly lower SMM than a reference patient of the same gender and BMI.
The aim of this study is to provide gender- and BMI-specific cut-off values for low SMM as measured at the level of C3 in a large cohort of patients diagnosed with HNC. This information will contribute to the knowledge about the distribution of low SMM in HNC patients and will provide more uniformity in the definition of low SMM in HNC research. We present the following article in accordance with the STROBE reporting checklist (available at https://qims.amegroups.com/article/view/10.21037/qims-21-911/rc).
Methods
Ethical considerations
The design of this study was approved by the Medical Ethical Research Committee of the University Medical Center Utrecht (No. 16/595 C and 17-365/C) and performed in accordance with the ethical standards laid down in the 1964 Declaration of Helsinki and its later amendments. All data was retrieved retrospectively and used in an anonymized fashion. The requirement for informed consent from patients was waived because of its retrospective design.
Study population
Patient data collected in several earlier retrospective studies of our group that evaluated skeletal muscle mass in HNC patients were combined in a new database. Patients were diagnosed and treated with a curative intent at the University Medical Center Utrecht, The Netherlands between 2008 and 2018 with a primary HNC and include cohorts of patients planned for microvascular free-flap mandibular reconstruction (9), patients undergoing chemoradiotherapy (7) or bioradiotherapy (22), elderly patients with HNC (10) and patients with oropharyngeal cancer (11). Relevant parameters, including length and weight at the time of imaging, sex, age, tumor localization and clinical TNM stage (7th and 8th edition) were retrospectively retrieved. Patients were included only once in this study; for example, if a patient experienced recurrence of disease, only the body composition and CT data of the primary diagnosis was included. The CT imaging and body composition data concerning the recurrent HNC diagnoses were excluded. Other exclusion criteria include severe dental artefacts impeding accurate delineation of skeletal muscle mass. After completion of the database, the database was checked for duplicates and all duplicate patients were removed. A flow diagram of all patients evaluated and included or excluded is shown in Figure 1.
Assessment of cross-sectional muscle area at the level of C3
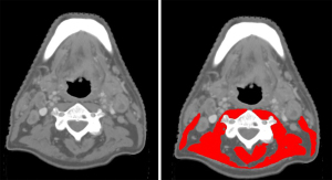
Muscle tissue was identified using Hounsfield Unit (HU) range settings from −29 to +150 HU, which is specific for muscle tissue. Muscle tissue was delineated at the level of the third cervical vertebra (C3). The SMA was defined as the pixel area within the delineated area with a radiodensity between −29 and +150 HU (23). Delineation of muscle tissue was manually performed using the Slice-O-matic software v 5.0. Muscle tissue delineation at the level of C3 was performed by selecting the first slide showing both transverse processes and the entire vertebral arc when scrolling from caudal to cranial direction. The contours of the paravertebral muscles and both sternocleidomastoid muscles were manually traced. The SMA at the level of C3 was calculated as the sum of the paravertebral muscle and both sternocleidomastoid muscles. If evident lymph node metastasis hindered accurate delineation of one sternocleidomastoid muscle, the SMA of the contralateral sternocleidomastoid muscle was used as an estimation of the SMA of the affected sternocleidomastoid muscle. After delineation, SMA was automatically retrieved from Slice-O-matic. For MRI, muscle area was manually segmented, and fatty tissue was manually excluded. The overall intraclass correlation coefficient (ICC) for the muscle SMA obtained by CT and MRI has shown to be excellent (ICC 0.9, P<0.01) (24), and can therefore be used interchangeably for measuring CSA at the level of C3. The cervical SMI (CSMI) was calculated by dividing the SMA at the level of C3 by the squared height of the patient. Figure 2 shows muscle tissue delineation at the level of C3.
Statistical analysis
A test for normality (Kolmogorov-Smirnov) was performed to assess whether continuous variables were normally distributed. Continuous data are represented as mean ± standard deviation (SD) if normally distributed, and median ± range if skewed. Categorical data are represented as a number and percentage of total. The student’s t-test, one-way ANOVA, Mann-Whitney U test were used where appropriate. Percentiles were used to describe the distribution of SMA and CSMI. Chi-square test was used to investigate the association between gender and various clinical and demographic variables. Spearman correlation was used for correlation analysis of SMI and patients’ characteristics such as BMI, age and gender. All statistical analyses were performed using the IBM SPSS Statistics version 25.0 software package (Chicago, Illinois, USA). A P value of <0.05 was considered statistically significant.
Results
Patients’ characteristics
In total, the skeletal muscle mass data of 1,763 study subjects were entered in this study database. After deduplication, 1,415 unique patients were included for analysis in this study. A flow diagram of all patients evaluated and included or excluded is shown in Figure 1. Roughly two-third of patients was male, and one-third was female. Continuous variables were not normally distributed (Kolmogorov-Smirnov P<0.05). The median age of the included patients was 63.7 years at diagnosis, ranging between 19.6 and 97.6 years. The median BMI was 24.0 kg/m2 (range, 13.3–48.2 kg/m2); only a minority of patients were underweight at diagnosis with a BMI ≤18.5 kg/m2: n=129, 9.1%. This study included tumors of all tumor head and neck sites and all tumor stages. The most common diagnosis was oropharyngeal carcinoma (n=500, 35.3%), and most patients were diagnosed with a stage IV tumor (n=800, 59.4%). Significant differences between male and female patients were seen in age, height and TNM-stage. Female patients were more often older and smaller of stature and had lower of body weight and lower BMI. Male patients more often presented with stage IV disease, all P<0.01. Full patient and disease characteristics are shown in Table 1.
Table 1
| Characteristics | All subjects (n=1,415) | Men (n=988) | Women (n=427) | P value |
|---|---|---|---|---|
| Age (years) | 63.6 [57.0–69.8] | 63.2 [56.6–69.6] | 64.9 [58.0–70.0] | <0.01 |
| Height (cm) | 174 [168–180] | 177 [172–182] | 167 [162–172] | <0.01 |
| Weight (kg) | 73.9 [62.2–84.0] | 77.2 [66.0–87.0] | 66.5 [55.6–75.1] | <0.01 |
| Body mass index (BMI) (kg/m2) | 24.0 [21.2–27.2] | 24.5 [21.6–27.2] | 23.9 [20.3–27.0] | <0.01 |
| BMI categorical, n (%) | <0.01 | |||
| Below 25 | 838 (59.2) | 567 (57.4) | 271 (63.5) | |
| 25 or above | 577 (40.8) | 421 (42.6) | 156 (36.5) | |
| Localization of tumor, n (%) | <0.01 | |||
| Oropharynx | 500 (35.3) | 334 (33.8) | 166 (38.9) | |
| Hypopharynx | 207 (14.6) | 174 (17.6) | 33 (7.7) | |
| Larynx | 267 (18.9) | 209 (21.2) | 58 (13.6) | |
| Oral cavity | 319 (22.5) | 188 (19.0) | 131 (30.7) | |
| Nasopharynx | 51 (3.6) | 37 (3.7) | 14 (3.3) | |
| Paranasal sinus | 21 (1.5) | 13 (1.3) | 8 (1.9) | |
| Salivary gland | 20 (1.4) | 10 (1.0) | 10 (2.3) | |
| Unknown primary | 18 (1.3) | 14 (1.4) | 4 (0.9) | |
| Skin (lip, ear, face) | 12 (0.8) | 9 (0.9) | 3 (0.7) | |
| AJCC stage, n (%) | ||||
| I | 103 (7.3) | 57 (5.8) | 46 (10.8) | <0.01 |
| II | 165 (11.7) | 118 (11.9) | 47 (11.0) | |
| III | 280 (19.8) | 178 (18.0) | 102 (23.9) | |
| IV | 856 (60.5) | 628 (63.6) | 228 (53.4) | |
| X | 11 (0.8) | 7 (0.7) | 4 (0.9) |
Continuous variables are shown as median [interquartile range] and categorical variables as number (percentage of total). The Mann-Whitney U test was used for continuous characteristics and the Chi-square test for categorical variables. AJCC stage: American Joint Committee on Cancer staging system, for describing the extent of disease progression P value of <0.05 was considered statistically significant.
Correlation analysis
The SMA at the level of C3 and CSMI were not normally distributed (Kolmogorov-Smirnov P<0.05). SMM (CSMI) had a significantly low correlation with age at diagnosis (Spearman r2=0.1, P<0.05) and a significantly moderate correlation with BMI (Spearman r2=0.4, P<0.01) and gender (Spearman r2=0.4, P<0.01). Figure 3 shows the scatter plots of the association between CSMI and age and CSMI and BMI in females and males.
Distribution of SMM
The median SMA at the level of C3 was 39.0 cm2 for men (IQR, 28.4–49.6 cm2) and 27.8 cm2 for women (19.2–36.2 cm2). The median CSMI was 12.3 cm2/m2 for men (IQR, 8.9–15.7 cm2/m2) and 10.0 cm2/m2 for women (IQR, 6.9–13.1 cm2/m2). The distribution of SMA at the level of C3 and from the 5th percentile up to the 95th percentile is shown in Table 2.
Table 2
| Mean/percentiles | SMA at the level of C3 (cm2) | CSMI (cm2/m2) | |||
|---|---|---|---|---|---|
| Male, N=988 | Female, N=427 | Male, N=988 | Female, N=427 | ||
| Total mean ± SD | 39.4 (8.3) | 28.6 (6.8) | 12.6 (2.7) | 10.3 (2.4) | |
| P5 | 26.9 | 19.1 | 8.4 | 7.0 | |
| P10 | 29.4 | 20.9 | 9.4 | 7.5 | |
| P25 | 33.6 | 24.0 | 10.8 | 8.6 | |
| P50 | 39.0 | 27.8 | 12.3 | 10.0 | |
| P75 | 44.2 | 32.4 | 14.2 | 11.7 | |
| P90 | 49.6 | 36.6 | 16.0 | 13.5 | |
| P95 | 53.7 | 40.1 | 17.2 | 14.8 | |
SMM, skeletal muscle mass; SD, standard deviation; SMA, skeletal muscle mass area; CSMI, cervical skeletal muscle mass index; P, percentile; N, number of patients.
Cut-off values for SMM
Tables 3,4 shows the mean with corresponding standard deviations (SD) of SMA and CSMI at the level of C3. Gender and BMI specific cut-off values were calculated based on mean − 2SD as suggested by the EWGSOP2 (20). For male patients with a BMI <25 kg/m2, a CSMI ≤6.8 cm2/m2 was defined and with a BMI ≥25 kg/m2 a CSMI ≤8.5 cm2/m2 was defined for low SMM. For female patients with a BMI <25 kg/m2, a CSMI ≤5.3 cm2/m2 was defined and with a BMI ≥25 kg/m2 a CSMI ≤6.4 cm2/m2 was defined for low SMM.
Table 3
| BMI categories | Male, N=988 | Cut-off, mean − 2SD (cm2) | Female, N=427 | Cut-off, mean − 2SD (cm2) |
|---|---|---|---|---|
| BMI <25 kg/m2 | ≤22 | ≤15.1 | ||
| N (%) | 567 (57.4) | 271 (63.5) | ||
| M (SD) | 36.6 (7.3) | 26.9 (5.9) | ||
| BMI ≥25 kg/m2 | ≤26.9 | ≤16.9 | ||
| N (%) | 421 (42.6) | 156 (36.5) | ||
| M (SD) | 43.1 (8.1) | 31.5 (7.3) |
BMI, body mass index; N, number of patients; M, mean; SD, standard deviation; SMA, skeletal muscle mass area.
Table 4
| BMI categories | Male, N=988 | Female, N=427 |
|---|---|---|
| BMI <25 kg/m2 | ||
| N (%) | 567 (57.4) | 271 (63.5) |
| M (SD) | 11.8 (2.5) | 9.7 (2.2) |
| Cut-off value, M − 2SD (cm2/m2) | ≤6.8 | ≤5.3 |
| BMI ≥25 kg/m2 | ||
| N (%) | 421 (42.6) | 156 (36.5) |
| M (SD) | 13.7 (2.6) | 11.4 (2.5) |
| Cut-off value, M − 2SD (cm2/m2) | ≤8.5 | ≤6.4 |
BMI, body mass index; N, number of patients; M, mean; SD, standard deviation; CSMI, skeletal muscle mass index.
Discussion
This is the first study describing cut-off values for SMM measured on head and neck CT imaging or MRI at the level of C3 in patients with HNC. This study provided gender and BMI-specific cut-off values of the mean (SD) quantity of SMM (SMA and skeletal muscle mass index). For male patients with a BMI <25 kg/m2, a CSMI ≤6.8 cm2/m2 was defined and with a BMI ≥25 kg/m2 a CSMI ≤8.5 cm2/m2 was defined for low SMM. For female patients with a BMI <25 kg/m2, a CSMI ≤5.3 cm2/m2 was defined and with a BMI ≥25 kg/m2 a CSMI ≤6.4 cm2/m2 was defined for low SMM.
A known risk factor for adverse outcomes in HNC is a low BMI, but BMI is an imprecise measurement of individual body composition and does not reflect variances in adipose tissue and lean body mass. Modern imaging techniques such as CT and MRI can add information on the body composition of a patient and can provide detailed information on skeletal muscle mass, adipose tissue mass and its ratio. In the management of HNC patients, CT and MRI of the head and neck are the most widely used imaging modalities for routine diagnostics and clinical decision making. MRI is considered one of the most accurate methods for analyzing quantitative and qualitative changes in body composition and is associated with an error in quantifying muscle that ranges between 1.1% and 4.4% (25).
CT, like MRI, is also considered as a highly precise imaging modality in investigating human body composition and has a reported precision error of about 1.4% for tissue areas (23). Both scanning methods are able to distinguish muscle mass from fat. CT imaging can reveal fat infiltration within muscle by identifying areas in the range of −190 to −30 HU (26). Currently, MRI and CT are considered to be accurate methods for quantifying muscle mass, due to their abilities to separate fat from other soft tissues. Therefore, this study included routinely performed CT and MRI imaging, which makes the results applicable to clinical practice. CT and MRI have already shown to have a significant agreement in measuring SMM and therefore can be used interchangeably in assessing SMM at the level of C3 (24). Using other software programs than the software program used in the current study (slice-O-matic) may give slightly different results, but these differences are not clinically relevant. A previous study showed that the measurement of SMA has an excellent inter-software agreement and therefore results of studies using different software programs may reliably be compared (27).
Reference values for SMM at the level of C3 for a healthy (non-HNC) Caucasian population are lacking, but reference values for SMM analysis at the level of L3 have been reported (21). Van der Werf et al. included 420 healthy Caucasian kidney donors (21). They found that SMI was 1.31-fold higher in men than in women. Previous studies also show that men have a significantly higher amount of skeletal muscle mass than women (28). In our study, we found a significant correlation between SMI and gender and between SMI and BMI. Therefore, gender and BMI-specific cut-off values were provided in this study.
Van der Werf et al. determined cut-off values based on the 5th percentile of SMM in healthy individuals. These 5th percentile cut-off values for low SMM (at L3) corresponded with the cut-off values presented by Prado et al. for patients with solid tumors in which cut-off values of SMM (at L3) were defined by the use of the optimal stratification method for endpoint mortality (15). This suggests that the cut-off value for low SMM of 2SD below mean SMM in healthy individuals corresponds with the value of low SMM predictive for mortality in cancer patients.
SMM parameters may differ between ethnicities. Although, we do not collect data on ethnicity in our treatment center, majority of patients has a Caucasian ethnicity. Because the cut-off values in our study are therefore mostly representative for the Western-European population, these cut-off values could probably not be extrapolated to other ethnicities. More research is needed to define cut-off values in other ethnic groups and in respect to treatment outcomes in patients with HNC such as surgical complications and dose-limiting toxicities.
Pre-treatment low SMM is common in patients with HNC, with a pooled prevalence of 42.0% in a recent meta-analysis (29). Several retrospective studies and a meta-analysis showed an association between pre-treatment low SMM and increased postoperative complications in surgically treated patients (8,9,29). In patients treated with primary chemoradiotherapy with cisplatin, chemotherapy dose-limiting toxicity was more often observed in patients with low SMM (7,30). A recent meta-analysis on the prognostic impact of low SMM in HNC patients showed that sarcopenia is prognostic of decreased survival (13,31). Routine measurement of skeletal muscle mass in HNC patients may aid in the identification of patients at high risk of short term and long term adverse outcomes during and after treatment. It may help in informing patients and aid in shared decision making in terms of risk of adverse outcomes associated with treatment. Furthermore, research should point out whether low SMM is prognostic only or that by intensive physical therapy and nutritional support, risks of adverse outcomes associated with low SMM can be decreased.
Our study has some limitations. Firstly, EWGSOP recommended the retrieval of SMM reference values in a healthy population. However, in order to avoid unwanted extra radiation exposure at the head and neck region SMM segmentation on MRI is preferred. MRI of the head and neck region in otherwise healthy people is not routinely performed in clinical practice. Secondly, due to heterogeneity of tumor site, tumor characteristics and tumor stages included in this cohort study, no reliable cut-off value of low SMM for mortality could be provided. Our previous study in patients with HNC treated with curative intent cisplatin-based chemoradiotherapy showed that low SMM at diagnosis is a significant prognostic for decreased survival, changes in SMM after treatment were however not prognostic (32). Further studies are needed to validate the prognostic impact of the cut-off values for low SMM provided in the present study. The coincidence of low SMM and markers for systemic inflammation such as increased levels of CRP, interleukins or a higher platelet or neutrophil to lymphocyte ratio may be a sign of the presence of cancer related cachexia. Two recent retrospective studies showed that the coincidence of low SMM and systemic inflammation was associated with especially poor overall survival; possibly indicating the presence of cancer related cachexia (33,34). Further research is needed to clarify this relationship and its prognostic effect.
Our study also has some strengths. Firstly, this is the first study providing cut-off values for SMM at the level of C3. Although previous studies provided cut-off values for L3, these cut-off values are usually not applied in HNC research due to the unavailability of abdominal imaging in non-advanced stage HNC. Secondly, we included a large sample size with a large proportion of both female and male patients which strengthens the robustness of the cut-off values that were found.
Conclusions
In this study, cut-off values for low SMM in patients with HNC were presented in order to provide investigators a tool to further explore the association of low SMM and treatment outcomes in HNC patients. In addition, this tool can also be used for trials investigating interventions to improve SMM in patients with HNC and thereby possibly improve cancer treatment outcomes.
Acknowledgments
Funding: None.
Footnote
Reporting Checklist: The authors have completed the STROBE reporting checklist. Available at https://qims.amegroups.com/article/view/10.21037/qims-21-911/rc
Conflicts of Interest: All authors have completed the ICMJE uniform disclosure form (available at https://qims.amegroups.com/article/view/10.21037/qims-21-911/coif). The authors have no conflicts of interest to declare.
Ethical Statement: The authors are accountable for all aspects of the work in ensuring that questions related to the accuracy or integrity of any part of the work are appropriately investigated and resolved. The design of this study was approved by the Medical Ethical Research Committee of the University Medical Center Utrecht (No. 16/595 C and 17-365/C) and performed in accordance with the ethical standards laid down in the 1964 Declaration of Helsinki and its later amendments. All data was retrieved retrospectively and used in an anonymized fashion. The requirement for informed consent from patients was waived because of its retrospective design.
Open Access Statement: This is an Open Access article distributed in accordance with the Creative Commons Attribution-NonCommercial-NoDerivs 4.0 International License (CC BY-NC-ND 4.0), which permits the non-commercial replication and distribution of the article with the strict proviso that no changes or edits are made and the original work is properly cited (including links to both the formal publication through the relevant DOI and the license). See: https://creativecommons.org/licenses/by-nc-nd/4.0/.
References
- Cruz-Jentoft AJ, Bahat G, Bauer J, Boirie Y, Bruyère O, Cederholm T, Cooper C, Landi F, Rolland Y, Sayer AA, Schneider SM, Sieber CC, Topinkova E, Vandewoude M, Visser M, Zamboni M. Writing Group for the European Working Group on Sarcopenia in Older People 2 (EWGSOP2), and the Extended Group for EWGSOP2. Sarcopenia: revised European consensus on definition and diagnosis. Age Ageing 2019;48:16-31. [Crossref] [PubMed]
- Yang M, Shen Y, Tan L, Li W. Prognostic Value of Sarcopenia in Lung Cancer: A Systematic Review and Meta-analysis. Chest 2019;156:101-11. [Crossref] [PubMed]
- Shachar SS, Williams GR, Muss HB, Nishijima TF. Prognostic value of sarcopenia in adults with solid tumours: A meta-analysis and systematic review. Eur J Cancer 2016;57:58-67. [Crossref] [PubMed]
- Kamarajah SK, Bundred J, Tan BHL. Body composition assessment and sarcopenia in patients with gastric cancer: a systematic review and meta-analysis. Gastric Cancer 2019;22:10-22. [Crossref] [PubMed]
- Mintziras I, Miligkos M, Wächter S, Manoharan J, Maurer E, Bartsch DK. Sarcopenia and sarcopenic obesity are significantly associated with poorer overall survival in patients with pancreatic cancer: Systematic review and meta-analysis. Int J Surg 2018;59:19-26. [Crossref] [PubMed]
- Boshier PR, Heneghan R, Markar SR, Baracos VE, Low DE. Assessment of body composition and sarcopenia in patients with esophageal cancer: a systematic review and meta-analysis. Dis Esophagus 2018;31: [Crossref] [PubMed]
- Wendrich AW, Swartz JE, Bril SI, Wegner I, de Graeff A, Smid EJ, de Bree R, Pothen AJ. Low skeletal muscle mass is a predictive factor for chemotherapy dose-limiting toxicity in patients with locally advanced head and neck cancer. Oral Oncol 2017;71:26-33. [Crossref] [PubMed]
- Bril SI, Pezier TF, Tijink BM, Janssen LM, Braunius WW, de Bree R. Preoperative low skeletal muscle mass as a risk factor for pharyngocutaneous fistula and decreased overall survival in patients undergoing total laryngectomy. Head Neck 2019;41:1745-55. [Crossref] [PubMed]
- Ansari E, Chargi N, van Gemert JTM, van Es RJJ, Dieleman FJ, Rosenberg AJWP, Van Cann EM, de Bree R. Low skeletal muscle mass is a strong predictive factor for surgical complications and a prognostic factor in oral cancer patients undergoing mandibular reconstruction with a free fibula flap. Oral Oncol 2020;101:104530. [Crossref] [PubMed]
- Chargi N, Bril SI, Swartz JE, Wegner I, Willems SM, de Bree R. Skeletal muscle mass is an imaging biomarker for decreased survival in patients with oropharyngeal squamous cell carcinoma. Oral Oncol 2020;101:104519. [Crossref] [PubMed]
- Chargi N, Bril SI, Emmelot-Vonk MH, de Bree R. Sarcopenia is a prognostic factor for overall survival in elderly patients with head-and-neck cancer. Eur Arch Otorhinolaryngol 2019;276:1475-86. [Crossref] [PubMed]
- Findlay M, White K, Lai M, Luo D, Bauer JD. The Association Between Computed Tomography-Defined Sarcopenia and Outcomes in Adult Patients Undergoing Radiotherapy of Curative Intent for Head and Neck Cancer: A Systematic Review. J Acad Nutr Diet 2020;120:1330-1347.e8. [Crossref] [PubMed]
- Wong A, Zhu D, Kraus D, Tham T. Radiologically Defined Sarcopenia Affects Survival in Head and Neck Cancer: A Meta-Analysis. Laryngoscope 2021;131:333-41. [Crossref] [PubMed]
- Lin SC, Lin YS, Kang BH, Yin CH, Chang KP, Chi CC, Lin MY, Su HH, Chang TS, She YY, Liu YH, Lee CC. Sarcopenia results in poor survival rates in oral cavity cancer patients. Clin Otolaryngol 2020;45:327-33. [Crossref] [PubMed]
- Prado CM, Lieffers JR, McCargar LJ, Reiman T, Sawyer MB, Martin L, Baracos VE. Prevalence and clinical implications of sarcopenic obesity in patients with solid tumours of the respiratory and gastrointestinal tracts: a population-based study. Lancet Oncol 2008;9:629-35. [Crossref] [PubMed]
- Mourtzakis M, Prado CM, Lieffers JR, Reiman T, McCargar LJ, Baracos VE. A practical and precise approach to quantification of body composition in cancer patients using computed tomography images acquired during routine care. Appl Physiol Nutr Metab 2008;33:997-1006. [Crossref] [PubMed]
- Mourtzakis M, Prado CM, Lieffers JR, Reiman T, McCargar LJ, Baracos VE. A practical and precise approach to quantification of body composition in cancer patients using computed tomography images acquired during routine care. Appl Physiol Nutr Metab 2008;33:997-1006. [Crossref] [PubMed]
- Swartz JE, Pothen AJ, Wegner I, Smid EJ, Swart KM, de Bree R, Leenen LP, Grolman W. Feasibility of using head and neck CT imaging to assess skeletal muscle mass in head and neck cancer patients. Oral Oncol 2016;62:28-33. [Crossref] [PubMed]
- Martin L, Birdsell L, Macdonald N, Reiman T, Clandinin MT, McCargar LJ, Murphy R, Ghosh S, Sawyer MB, Baracos VE. Cancer cachexia in the age of obesity: skeletal muscle depletion is a powerful prognostic factor, independent of body mass index. J Clin Oncol 2013;31:1539-47. [Crossref] [PubMed]
- Cruz-Jentoft AJ, Bahat G, Bauer J, Boirie Y, Bruyère O, Cederholm T, Cooper C, Landi F, Rolland Y, Sayer AA, Schneider SM, Sieber CC, Topinkova E, Vandewoude M, Visser M, Zamboni M. Writing Group for the European Working Group on Sarcopenia in Older People 2 (EWGSOP2), and the Extended Group for EWGSOP2. Sarcopenia: revised European consensus on definition and diagnosis. Age Ageing 2019;48:16-31. [Crossref] [PubMed]
- van der Werf A, Langius JAE. de van der Schueren MAE, Nurmohamed SA, van der Pant KAMI, Blauwhoff-Buskermolen S, Wierdsma NJ. Percentiles for skeletal muscle index, area and radiation attenuation based on computed tomography imaging in a healthy Caucasian population. Eur J Clin Nutr 2018;72:288-96. [Crossref] [PubMed]
- Huiskamp LFJ, Chargi N, Devriese LA, de Jong PA, de Bree R. The predictive and prognostic value of low skeletal muscle mass for dose-limiting toxicity and survival in head and neck cancer patients receiving concomitant cetuximab and radiotherapy. Eur Arch Otorhinolaryngol 2020;277:2847-58. [Crossref] [PubMed]
- Mitsiopoulos N, Baumgartner RN, Heymsfield SB, Lyons W, Gallagher D, Ross R. Cadaver validation of skeletal muscle measurement by magnetic resonance imaging and computerized tomography. J Appl Physiol (1985) 1998;85:115-22. [PubMed]
- Chargi N, Ansari E, Huiskamp LFJ, Bol G, de Bree R. Agreement between skeletal muscle mass measurements using computed tomography imaging and magnetic resonance imaging in head and neck cancer patients. Oral Oncol 2019;99:104341. [Crossref] [PubMed]
- Nordez A, Jolivet E, Südhoff I, Bonneau D, de Guise JA, Skalli W. Comparison of methods to assess quadriceps muscle volume using magnetic resonance imaging. J Magn Reson Imaging 2009;30:1116-23. [Crossref] [PubMed]
- Chowdhury B, Sjöström L, Alpsten M, Kostanty J, Kvist H, Löfgren R. A multicompartment body composition technique based on computerized tomography. Int J Obes Relat Metab Disord 1994;18:219-34. [PubMed]
- van Vugt JL, Levolger S, Gharbharan A, Koek M, Niessen WJ, Burger JW, Willemsen SP, de Bruin RW, IJzermans JN. A comparative study of software programmes for cross-sectional skeletal muscle and adipose tissue measurements on abdominal computed tomography scans of rectal cancer patients. J Cachexia Sarcopenia Muscle 2017;8:285-97. [Crossref] [PubMed]
- Janssen I, Heymsfield SB, Wang ZM, Ross R. Skeletal muscle mass and distribution in 468 men and women aged 18-88 yr. J Appl Physiol (1985) 2000;89:81-8. [PubMed]
- Surov A, Wienke A. Low skeletal muscle mass predicts relevant clinical outcomes in head and neck squamous cell carcinoma. A meta analysis. Ther Adv Med Oncol 2021;13:17588359211008844. [Crossref] [PubMed]
- Bril SI, Al-Mamgani A, Chargi N, Remeijer P, Devriese LA, de Boer JP, de Bree R. The association of pretreatment low skeletal muscle mass with chemotherapy dose-limiting toxicity in patients with head and neck cancer undergoing primary chemoradiotherapy with high-dose cisplatin. Head Neck 2022;44:189-200. [Crossref] [PubMed]
- Takenaka Y, Takemoto N, Oya R, Inohara H. Prognostic impact of sarcopenia in patients with head and neck cancer treated with surgery or radiation: A meta-analysis. PLoS One 2021;16:e0259288. [Crossref] [PubMed]
- Chargi N, Wegner I, Markazi N, Smid E, de Jong P, Devriese L, de Bree R. Patterns, Predictors, and Prognostic Value of Skeletal Muscle Mass Loss in Patients with Locally Advanced Head and Neck Cancer Undergoing Cisplatin-Based Chemoradiotherapy. J Clin Med 2021;10:1762. [Crossref] [PubMed]
- Yamahara K, Mizukoshi A, Lee K, Ikegami S. Sarcopenia with inflammation as a predictor of survival in patients with head and neck cancer. Auris Nasus Larynx 2021;48:1013-22. [Crossref] [PubMed]
- Lee J, Liu SH, Dai KY, Huang YM, Li CJ, Chen JC, Leu YS, Liu CJ, Chen YJ. Sarcopenia and Systemic Inflammation Synergistically Impact Survival in Oral Cavity Cancer. Laryngoscope 2021;131:E1530-8. [Crossref] [PubMed]


