Effective treatment of MET-amplified non-small cell lung cancer patients with crizotinib: a case description
Introduction
Lung cancer is associated with the highest incidence and mortality rates among malignancies worldwide, and primary lung cancer includes small cell lung cancer and non-small cell lung cancer (NSCLC). NSCLC is the main pathological type of lung cancer in China, accounting for 80–85% of all lung cancer patients, with a 5-year survival rate below 15% (1,2). Due to the insidious nature of early lung cancer symptoms, most lung cancers are in an advanced stage by the time they are diagnosed, and the optimum time for surgical treatment is missed. With advances in the understanding of tumor molecular biology, targeted therapies for the common driver genes of NSCLC (including EGFR, ALK, ROS1, MET, RET, HER2 and BRAF) have been marketed, such as EGFR-TKIs (e.g., afatinib, dabrafenib and osimertinib), crizotinib, capmatinib and trametinib. As a result, the efficacy of lung cancer treatment has significantly improved, and the median survival rate of lung cancer patients has significantly increased (3,4).
The cellular-mesenchymal to epithelial transition factor (c-Met) gene, also known as MET, is a proto-oncogene encoding a transmembrane receptor for hepatocyte growth factor (HGF). c-Met has tyrosine kinase (TKs) activity. The c-Met tyrosine kinase is the only known high-affinity receptor for HGF. Activated c-Met binds to HGF and regulates the proliferation, differentiation and invasion activities of various cells in numerous tissues. Abnormal activation of the constitutive HGF/c-Met signaling pathway promotes the occurrence and development of various tumors and their subsequent metastasis (5). Conversely, c-MET is an important driver gene in NSCLC after the development of epidermal growth factor receptor (EGFR) gene mutations and anaplastic lymphoma kinase (ALK) gene fusions. MET amplification was discovered as a possible mechanism of resistance to a dermal growth factor receptor tyrosine kinase inhibitor in 2007, and c-MET pathway involvement in NSCLC has gradually become a research focus (6,7). Aberrant activation of the c-MET pathway primarily depends on the mechanism by which the MET oncogene is activated; for example, exon 14 skipping mutations lead to MET protein overexpression. The juxtamembrane domain of the coding portion of MET exon 14 contains the binding sites for Y1003 and c-Cbl E3 ubiquitin ligase. When a skipping mutation occurs in MET exon 14, the binding sites for Y1003 and c-Cbl are lost, reducing receptor ubiquitination (8) and inhibiting MET protein degradation, leading to sustained MET activation (9), a driver of oncogenesis. MET protein overexpression studies are lacking. In contrast, more studies have focused on MET amplification, i.e., MET copy number amplification, which includes overall chromosomal duplication and duplication of local region genes (10). An increase in MET copy number can occur through polysomy or focal amplification. Polysomies occur when chromosome 7, where MET is located, is inappropriately replicated by segregating chromosomes or whole genomes. The presence of polysomes leads to an increase in MET copy number. With amplification, MET undergoes a regional or focal copy number increase without the replication of chromosome 7 duplication 17. Therefore, focal MET amplification is more likely to lead to oncogenic MET addiction than polysomization 17 (11). Accordingly, the MET inhibitor crizotinib substantially benefits patients with MET amplification (12). The incidence of MET amplification in lung adenocarcinoma is approximately 2–4%, and MET amplification rarely co-occurs with MET gene mutations; thus, inhibition of MET amplification potentially inhibits lung cancer development. Here, we report the case of an NSCLC patient with MET amplification whose disease was effectively controlled by crizotinib treatment.
Case presentation
An 81-year-old male presented at the end of January 2021 with an irritating cough, blood in the sputum, night sweats and malaise, but no fever. He had a >40-year history of smoking 10 cigarettes/day and had quit smoking 5 years earlier. The patient had a 10-year history of diabetes mellitus and contracted tuberculosis over 20 years earlier (Figure 1A). An enhanced chest CT scan was performed at our hospital on Mar 22, 2021, which showed a mass of approximately 48 mm ×42 mm in the dorsal segment of the lower lobe of the left lung, with moderate heterogeneous enhancement (Figure 1B). A left lung puncture biopsy was performed under ultrasound guidance at our hospital on Mar 23, 2021. Biopsy pathology (K202113002) for NSCLC was performed on Mar 24, 2021, and the immunohistochemistry analysis (IHC202101714) of the left lung puncture specimen revealed adenocarcinoma. The immunohistochemistry marker results were as follows: tumor cells p40 (−), p63 (−/+), CK5/6 (−), CK7 (2+), Napsin A (+), TIF-1 (2+), CD56 (−), Syn (−), CgA (−), and Ki-67 (2+, approximately 70%) (Figure 1C). MRI of the head was performed on Mar 26, 2021 and showed no brain metastasis; on Apr 01, 2021, the NGS genetic test results revealed MET copy number amplification. Targeted therapy with crizotinib (250 mg bid) was initiated on Apr 02, 2021. The patient complained of recurrent fever on Apr 04, 2021. A chest enhanced CT scan was performed on Apr 06, 2021 and showed a pulmonary infection (Figure 1D). On Apr 07, 2021, oral crizotinib targeted therapy was suspended, and the patient was prescribed cefoperazone sodium sulbactam sodium and continued anti-inflammatory treatment. After the patient’s fever improved, oral crizotinib was resumed.
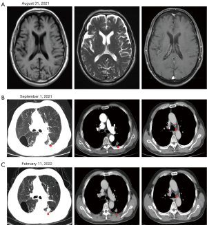
On Aug 31, 2021, the cranial enhancement MRI was repeated, and the comparison with the previous film revealed no brain metastasis (Figure 2A). Chest enhanced CT was repeated on Sep 01, 2021, and a mass was seen in the dorsal segment of the left lower lobe of the lung, approximately 29 mm ×24 mm in size (Figure 2B). Targeted therapy with crizotinib 250 mg bid was continued.
On Feb 11, 2022, a repeat chest enhanced CT scan showed a mass approximately 28 mm ×24 mm in size in the dorsal segment of the left lower lobe of the lung, and the evaluation of partial remission (PR) (Figure 2C) was unchanged in comparison with the previous scan. The patient did not experience any adverse events, such as abnormal liver function, during oral crizotinib therapy. All procedures performed in this study were in accordance with the ethical standards of the institutional and/or national research committee(s) and with the Helsinki Declaration (as revised in 2013). Written informed consent was obtained from the patient for the publication of this case report and accompanying images. A copy of the written consent is available for review by the editorial office of this journal.
Discussion
The c-MET pathway plays an important role in the development of lung, liver, colorectal and other cancers. MET exon 14 skipping mutations are a common mode of abnormal activation of the c-MET pathway in NSCLC, accounting for approximately 3% to 6% of intermediate NSCLC cases (9). Clinical studies have demonstrated that capmatinib has significant antitumor activity in previously untreated NSCLC patients with MET exon 14 mutations (13). Although there are only a few studies on MET protein overexpression, some studies have shown that capmatinib and tepotinib are meaningful in the survival of patients with MET overexpression, and the ORR differs (14). However, in the present case, the c-MET pathway was abnormally activated due to MET amplification, an atypical type of c-MET pathway activation associated with resistance to EGFR-TKIs (6). Inhibition of MET amplification restores the sensitivity of NSCLC EGFR-resistant patients to EGFR-TKIs. These data provide a theoretical basis for clinically evaluating MET inhibitors alone or in combination with EGFR-TKI-targeted therapy for NSCLC patients. One clinical study revealed savolitinib to be effective for treating patients with MET amplification (15). A phase 1b randomized study showed that tepotinib delays the progression of MET-amplified NSCLC (16). Another clinical study showed that capmatinib has a remitting effect in patients with MET-amplified NSCLC (13). Another clinical study divided 38 MET-amplified NSCLC patients into high, medium, and low amplification level groups and found that patients could benefit from crizotinib after oral treatment. The higher the MET amplification level was, the better the clinical outcome (17). In another retrospective study, 15 patients treated with crizotinib had a median overall survival (OS) time of 31.0 months, suggesting that patients with MET amplification could benefit from crizotinib after taking into account the clinicopathological features, therapeutic efficacy, and prognosis of NSCLC patients (18). In another phase II cohort of three studies, the best overall response rate (BOR) was 32%, and the disease control rate (DCR) was 52% for NSCLC patients in the MET-amplified group treated with crizotinib (19). In a case report of a patient with NSCLC, the patient progressed after chemotherapy and targeted therapy; new MET amplification occurred after genetic testing; the patient’s symptoms were alleviated and tumor and lymph node shrinkage were observed after oral crizotinib treatment (20). Crizotinib is an ALK, ROS1 and MET TKI. However, in this case, genetic testing suggested that the patient had a simple MET amplification and was potentially sensitive to crizotinib treatment. After 5 months of treatment with crizotinib (250 mg po bid), chest enhanced CT reexamination (on Sep 01, 2021) showed significant reduction of the primary lesion, and chest enhanced CT (on Feb 11, 2022) showed further remission. No drug resistance occurred during the treatment period, and the patient is generally in good condition. Therefore, this case report indicates a potential use of crizotinib for treatment in NSCLC patients with MET amplification.
To date, few reports and studies have been published on MET-amplified NSCLC alone. Crizotinib showed good clinical efficacy in the MET-amplified NSCLC patient in this case; however, more basic experimental and clinical studies are needed to investigate and develop more effective treatment options for patients with this type of NSCLC. Such studies will improve the outcomes and clinical prognoses of NSCLC patients with abnormal MET pathway activation in the future.
Acknowledgments
The authors wish to gratefully acknowledge the patient and his family for allowing us to publish his clinical case.
Funding: This study was supported by the Natural Science Research Project of Anhui Educational Committee (No. KJ2021A0714); College Teaching Quality Engineering Project of Anhui Educational Committee (No. 2021jyxm0954); 512 Talent Cultivation Plan of Bengbu Medical College (No. 51201319); Research and Innovation Team of Bengbu Medical College (No. BYKC201908) and College Student Innovation Training Program of Bengbu Medical College (No. Byycxz21069).
Footnote
Conflicts of Interest: All authors have completed the ICMJE uniform disclosure form (available at https://qims.amegroups.com/article/view/10.21037/qims-22-997/coif). The authors have no conflicts of interest to declare.
Ethical Statement: The authors are accountable for all aspects of the work in ensuring that questions related to the accuracy or integrity of any part of the work are appropriately investigated and resolved. All procedures performed in this study were in accordance with the ethical standards of the institutional and/or national research committee(s) and with the Helsinki Declaration (as revised in 2013). Written informed consent was obtained from the patient for the publication of this case report and accompanying images. A copy of the written consent is available for review by the editorial office of this journal.
Open Access Statement: This is an Open Access article distributed in accordance with the Creative Commons Attribution-NonCommercial-NoDerivs 4.0 International License (CC BY-NC-ND 4.0), which permits the non-commercial replication and distribution of the article with the strict proviso that no changes or edits are made and the original work is properly cited (including links to both the formal publication through the relevant DOI and the license). See: https://creativecommons.org/licenses/by-nc-nd/4.0/.
References
- Siegel RL, Miller KD, Jemal A. Cancer statistics, 2018. CA Cancer J Clin 2018;68:7-30. [Crossref] [PubMed]
- Davidson MR, Gazdar AF, Clarke BE. The pivotal role of pathology in the management of lung cancer. J Thorac Dis 2013;5:S463-78. [PubMed]
- Tiwari D, Brodie SA, Brandes JC. Targeted therapy of non-small-cell lung carcinoma. Ther Adv Respir Dis 2012;6:41-56. [Crossref] [PubMed]
- Jänne PA, Shaw AT, Pereira JR, Jeannin G, Vansteenkiste J, Barrios C, Franke FA, Grinsted L, Zazulina V, Smith P, Smith I, Crinò L. Selumetinib plus docetaxel for KRAS-mutant advanced non-small-cell lung cancer: a randomised, multicentre, placebo-controlled, phase 2 study. Lancet Oncol 2013;14:38-47. [Crossref] [PubMed]
- Pasquini G, Giaccone G. C-MET inhibitors for advanced non-small cell lung cancer. Expert Opin Investig Drugs 2018;27:363-75. [Crossref] [PubMed]
- Engelman JA, Zejnullahu K, Mitsudomi T, Song Y, Hyland C, Park JO, Lindeman N, Gale CM, Zhao X, Christensen J, Kosaka T, Holmes AJ, Rogers AM, Cappuzzo F, Mok T, Lee C, Johnson BE, Cantley LC, Jänne PA. MET amplification leads to gefitinib resistance in lung cancer by activating ERBB3 signaling. Science 2007;316:1039-43. [Crossref] [PubMed]
- Bean J, Brennan C, Shih JY, Riely G, Viale A, Wang L, et al. MET amplification occurs with or without T790M mutations in EGFR mutant lung tumors with acquired resistance to gefitinib or erlotinib. Proc Natl Acad Sci U S A 2007;104:20932-7. [Crossref] [PubMed]
- Onozato R, Kosaka T, Kuwano H, Sekido Y, Yatabe Y, Mitsudomi T. Activation of MET by gene amplification or by splice mutations deleting the juxtamembrane domain in primary resected lung cancers. J Thorac Oncol 2009;4:5-11. [Crossref] [PubMed]
- Drilon A, Cappuzzo F, Ou SI, Camidge DR. Targeting MET in Lung Cancer: Will Expectations Finally Be MET? J Thorac Oncol 2017;12:15-26. [Crossref] [PubMed]
- Kawakami H, Okamoto I, Okamoto W, Tanizaki J, Nakagawa K, Nishio K. Targeting MET Amplification as a New Oncogenic Driver. Cancers (Basel) 2014;6:1540-52. [Crossref] [PubMed]
- Guo R, Luo J, Chang J, Rekhtman N, Arcila M, Drilon A. MET-dependent solid tumours - molecular diagnosis and targeted therapy. Nat Rev Clin Oncol 2020;17:569-87. [Crossref] [PubMed]
- Noonan SA, Berry L, Lu X, Gao D, Barón AE, Chesnut P, Sheren J, Aisner DL, Merrick D, Doebele RC, Varella-Garcia M, Camidge DR. Identifying the Appropriate FISH Criteria for Defining MET Copy Number-Driven Lung Adenocarcinoma through Oncogene Overlap Analysis. J Thorac Oncol 2016;11:1293-304. [Crossref] [PubMed]
- Wolf J, Seto T, Han JY, Reguart N, Garon EB, Groen HJM, et al. Capmatinib in MET Exon 14-Mutated or MET-Amplified Non-Small-Cell Lung Cancer. N Engl J Med 2020;383:944-57. [Crossref] [PubMed]
- Jørgensen JT, Mollerup J. Companion Diagnostics and Predictive Biomarkers for MET-Targeted Therapy in NSCLC. Cancers (Basel) 2022;14:2150. [Crossref] [PubMed]
- Yang JJ, Fang J, Shu YQ, Chang JH, Chen GY, He JX, Li W, Liu XQ, Yang N, Zhou C, Huang JA, Frigault MM, Hartmaier R, Ahmed GF, Egile C, Morgan S, Verheijen RB, Mellemgaard A, Yang L, Wu YL. A phase Ib study of the highly selective MET-TKI savolitinib plus gefitinib in patients with EGFR-mutated, MET-amplified advanced non-small-cell lung cancer. Invest New Drugs 2021;39:477-87. [Crossref] [PubMed]
- Wu YL, Cheng Y, Zhou J, Lu S, Zhang Y, Zhao J, et al. Tepotinib plus gefitinib in patients with EGFR-mutant non-small-cell lung cancer with MET overexpression or MET amplification and acquired resistance to previous EGFR inhibitor (INSIGHT study): an open-label, phase 1b/2, multicentre, randomised trial. Lancet Respir Med 2020;8:1132-43. [Crossref] [PubMed]
- Camidge DR, Otterson GA, Clark JW, Ignatius Ou SH, Weiss J, Ades S, Shapiro GI, Socinski MA, Murphy DA, Conte U, Tang Y, Wang SC, Wilner KD, Villaruz LC. Crizotinib in Patients With MET-Amplified NSCLC. J Thorac Oncol 2021;16:1017-29. [Crossref] [PubMed]
- Song Z, Wang H, Yu Z, Lu P, Xu C, Chen G, Zhang Y. De Novo MET Amplification in Chinese Patients With Non-Small-Cell Lung Cancer and Treatment Efficacy With Crizotinib: A Multicenter Retrospective Study. Clin Lung Cancer 2019;20:e171-6. [Crossref] [PubMed]
- Moro-Sibilot D, Cozic N, Pérol M, Mazières J, Otto J, Souquet PJ, et al. Crizotinib in c-MET- or ROS1-positive NSCLC: results of the AcSé phase II trial. Ann Oncol 2019;30:1985-91. [Crossref] [PubMed]
- Ou SH, Kwak EL, Siwak-Tapp C, Dy J, Bergethon K, Clark JW, Camidge DR, Solomon BJ, Maki RG, Bang YJ, Kim DW, Christensen J, Tan W, Wilner KD, Salgia R, Iafrate AJ. Activity of crizotinib (PF02341066), a dual mesenchymal-epithelial transition (MET) and anaplastic lymphoma kinase (ALK) inhibitor, in a non-small cell lung cancer patient with de novo MET amplification. J Thorac Oncol 2011;6:942-6. [Crossref] [PubMed]

