Computed tomography manifestations for cholecystoenteric fistula: case series and literature analysis
Introduction
Cholecystoenteric fistula (CEF) is a spontaneous tract between an inflamed gallbladder and one or more parts surrounding the gallbladder (1). Cholecystoduodenal fistula (CDF) is the most common type of CEF, accounting for 60–85% of the total occurrence, followed by cholecystocolic fistula (CCF) and cholecystogastric fistula (CGF) (1,2). CEF is a rare complication of cholecystolithiasis, occurring in 0.1–0.5% of patients with cholelithiasis. A higher incidence of CEF has been reported in the older adult and female populations (3). Even though CEF has nonspecific clinical symptoms or signs compared to those of cholecystitis, CEF can lead to life-threatening outcomes, especially in aged patients with comorbidities, with the highest mortality rate of up to 27% (4). Therefore, preoperative imaging is highly important to achieving the early management of CEF. Although computed tomography (CT) resolution and post-processing reconstruction techniques have been greatly improved, preoperative diagnosis of CEF remains challenging (3,4). We present two cases of CEF with a literature analysis to further understand the imaging characteristics of CEF.
Case presentation
All procedures performed in this study were conducted in accordance with the ethical standards of the institutional and/or national research committee(s) and with the Declaration of Helsinki (as revised in 2013). Written informed consent was obtained from the patients to publish this case report and the accompanying images. A copy of the written consent is available for review by the editorial office of this journal.
Case 1: female, 80 years old
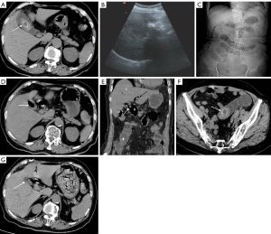
The patient presented to emergency reporting a 1-week history of continuous pain in the right middle and upper abdomen, which was aggravated for 1 day, with nausea and vomiting but no complaints of fever or shivering. The patient’s medical history showed she had a long period of cholelithiasis and gallstones, which were previously revealed on CT (Figure 1A) and were still detectable on ultrasound (US) images (Figure 1B). After hospitalization, a blood test showed an increased level of the following biomarkers: leukocyte count, 11.85×109/L; neutrophils, 83.3%; total bilirubin, 60.50 µmol/L; direct bilirubin, 26.70 µmol/L; alanine aminotransferase (ALT), 36 U/L; and aspartate transaminase (AST), 30 U/L. During hospitalization, the location of abdominal pain transferred to the lower abdomen, and the patient was unable to defecate. The physical examination (PE) showed tenderness of the whole abdomen and a positive murphy sign. A plain X-ray image showed dilated bowel loops in the middle abdomen and pneumatosis (Figure 1C). There were no detectable stones, but an accumulation of gas in the gallbladder was shown on the repeated abdominal CT (Figure 1D). Notably, the coronal CT images clearly showed the formation of a CDF (Figure 1E). In addition, a large circular stone (maximal diameter, 4.0 cm) with mixed density was detected in the small intestine, and bowel dilatation down to this level was revealed (Figure 1F), consistent with a developed CEF. Based on these findings, a definite diagnosis of CDF with a cholelithic obstruction was determined for the patient. Considering that nonoperative measures failed to alleviate the symptoms, a laparotomy was conducted. During the surgical operation, a hard mass was identified and obstructed at the distal ileum nearly 15 cm from the ileocecal area. A stone 4.0 cm × 3.0 cm in size was removed. Furthermore, the gallbladder was found to be intensely edematous and densely adhered to the surrounding tissues. Instead of the surgical resection of the gallbladder, negative pressure drainage-assisted peritoneal irrigation was conducted, and a drainage tube was placed in the pelvic cavity. Administration of intravenous fluids and antibiotics were commenced after the operation. The patient made a full recovery 10 days post-operation and was discharged. The postoperative US showed the gallbladder was not well visualized. The 1-year follow-up abdominal CT revealed gallbladder atrophy and no presence of gas either in the gallbladder or the biliary tract (Figure 1G).
Case 2: male, 72 years old
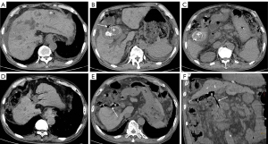
The patient reported a 5-day history of abdominal pain with distension and diarrhea, along with a 1-day history of body pain, high fever (up to 39.6 ℃), and chills. The US showed liver cirrhosis, splenomegaly, and the presence of innumerable gallstones. The blood test results were as follows: leukocyte count, 10.66×109/L; neutrophil, 90.3%; total bilirubin, 45.20 µmol/ L; direct bilirubin, 30.90 µmol/L; ALT, 45 U/L; and AST, 64 U/L. In addition, the patient had a medical history of hypertension, diabetes, chronic schistosomiasis, hepatopathy, and cholelithiasis. The PE showed mild abdominal tenderness to palpation, the presence of abdominal wall varicose veins, and a positive Murphy sign. No rebound pain or moving sounds were detected. Abdominal CT revealed a lesion of hypodensity in the left lobe of the liver with a few air bubbles inside the lesion. Some peritoneal effusions were seen surrounding the liver, suggesting the presence of a hepatic abscess (Figure 2A). The gallbladder was found to be significantly enlarged in size, and the wall was thickened and edematous. A few round stones (maximal diameter: up to 5.0 cm) and the presence of gas within the gallbladder were noted on CT images (Figure 2B). Notably, the border between the liver and the gallbladder was ill-defined and accompanied by the blurry fat space around it (Figure 2C). In addition, liver cirrhosis, splenomegaly, and a reticulum of varices were observed at the splenic hilum and gastroepiploic regions. Considering the patient’s underlying comorbidities, nonsurgical management was attempted. Treatment included anti-infection, liver protection, and other supportive medications. The posttreatment US found the gallbladder was not visible, and the patient felt an obvious improvement in the symptoms. The follow-up abdominal CT 2 years later revealed atrophy of the gallbladder, and no more detectable stones were observed. Other CT manifestations that were observed included liver cirrhosis, dilatation, and pneumatosis of the intrahepatic biliary duct (Figure 2D). Axial and reconstructed coronal images clearly demonstrated a fistula that formed between the gallbladder and hepatic flexure of the colon (Figure 2E,2F), which confirmed the definite diagnosis of CEF.
Discussion
CEF refers to the abnormal channel formed between the gallbladder and the adjacent gastrointestinal tract. The pathogenesis underlying CEF is complicated. A long period of cholecystitis and older age might be risk factors for CEF. Despite improvements in imaging techniques, diagnosing CEF remains challenging, and CEF is associated with a relatively high degree of morbidity and mortality, especially in the aged population (3). As reported in a recent study, a preoperative diagnosis of CEF was achieved in only 31.0% of patients (5). Therefore, making a preoperative diagnosis of CEF is crucial to appropriately managing patients. We presented two cases of CEF from which we derived a few informative points.
Changeable symptoms or clinical manifestations are the first point of CEF worth noting. Based on our observation and review of the literature, patients with CEF usually have nonspecific clinical symptoms. Continuous abdominal pain, nausea, and vomiting are common symptoms of gallstone disease that are often present in patients with CEF. Clinical manifestations may vary between patients or across time depending on the location of intestinal stones or the circumstance of perforation. For example, when the stones enter the intestine through CEF, the bile flows out, and the tension decreases dramatically in the gallbladder, resulting in the relief of abdominal pain. However, symptoms also change with the movement of the gallstones in the intestinal tract, which manifests as gallstone obstruction, distal movement, and obstruction. Gastric outlet obstruction occurs when the stones obstruct the duodenum, a phenomenon known as Bouveret syndrome (6,7). The symptoms could be nausea, vomiting, abdominal pain, and abdominal distension. Moreover, when the stones move and roll into the small intestines or the colon, the patient may experience intermittent abdominal pain. In other cases in which the intestinal stones are stuck, the patient will exhibit intestinal obstruction-related symptoms. Due to the persistent presence of CEF, intestinal components or bacteria can also retrograde to the biliary tract, causing suppurative cholangitis or liver abscess (8).
From this case series, we further derived imaging signs or characteristics indicative of CEF. The imaging modalities for CEF diagnosis include US, plain film X-ray, abdominal CT, magnetic resonance imaging (MRI), and retrograde cholangiopancreatography (ERCP). CT is the most promising modality for CEF diagnosis (4,9). Abdominal CT can directly display CEF and the secondary Rigler’s radiologic triad, including intestinal ectopic stones, mechanical intestinal obstruction, and pneumatosis of the biliary system (10). Moreover, coronal CT reconstruction images can help to demonstrate the relationship between the gallbladder and adjacent tissues. The findings in our cases and those reported in the literature suggest that there are a number of characteristic signs of CEF shown on CT (10-13). The first sign is the abnormal morphological changes of the gallbladder and bile ducts, including the presence of gallstones, gallbladder swelling with wall edema or atrophy, and gas accumulation in the gallbladder or in the bile duct. Second, a fistula is a direct sign of CEF frequently seen on coronal reconstruction CT images. However, the fistula can be poorly visualized when part of the gallbladder lumen is collapsed. One study reported that an ill-defined border between the gallbladder and the adjacent gastrointestinal tract was found in 80% of patients with CEF (5). Severe local adhesions with the gallbladder and intestines are signs of CEF. Once the fistula is large, the discontinuous gallbladder wall and gas or liquid containing the fistula can be clearly observed on reconstructed CT images. Third, ectopic intestinal stones with mixed densities can be observed on CT. Stones with a diameter larger than 2.5 cm are prone to become stuck in the narrow intestinal cavities, such as the end of the ileum or sigmoid colon areas. A fourth sign is intestinal obstruction-related manifestations, including dilation of the proximal intestinal area of the stone, gas accumulation in the intestines, and effusion with gas-liquid levels. A fifth sign is other complications, such as ascites arising from a long-term intestinal obstruction and liver abscess due to retrograde infections. CEF and Mirrizzi syndrome share some similarities in CT manifestations and require further differentiation. Mirrizzi syndrome shows obvious biliary dilatation, no gas accumulation in the biliary system, and no fistula between the gallbladder and the adjacent intestine (14). These imaging characteristics should be taken into account alongside clinical symptoms and laboratory tests to make a final decision about the diagnosis of CEF. The key points for the diagnosis of CEF are listed in Table 1.
Table 1
| Key clinical characteristics | Key laboratory inspection characteristics | Key points for CT diagnosis |
|---|---|---|
| Mostly among older adult women | Increased leukocyte to neutrophil ratio | Direct signs: gallbladder enlargement in the acute stage; atrophy at remission |
| History of recurrent cholecystitis and gallstones | Abnormal liver functions: increased ALT/AST | Direct signs: gallbladder is connected to the duodenum/colon, and fistula can be seen upon CT reconstruction |
| Elevated body temperature | Increased bilirubin | Indirect signs: pneumatosis of the bile duct system; intestinal ectopic calculi |
| Intermittent abdominal pain, Murphy sign (+) | – | Indirect signs: intestinal dilatation, gas accumulation, and effusion caused by stone obstruction or accompanied by gas-liquid levels |
| Nausea, vomiting, defecation from the anus stops, and exhaustion | – | Complications: liver abscess, ascites, etc. |
CT, computed tomography; CEF, cholecystoenteric fistula; ALT, alanine aminotransferase; AST, aspartate transaminase.
The management of CEF depends on the patient’s physical conditions, the location of the stones, and the level of intestinal obstruction (15). For patients with CEF but without comorbidities showing intestinal obstruction, a 1-stage surgical operation can be performed to remove the intestinal stones, excise the gallbladder, and repair the fistula simultaneously. A 1-stage or 2-stage operation approach should be trialed as an individual treatment strategy. The 1-stage approach can reduce the operation time because cholecystectomy is performed in combination with excision and closure of the fistula (5). Managing CEF is more challenging for people with advanced age and poor physical conditions. Minimally invasive treatments should be selected first. Whether a 2-stage surgery is required remains controversial since spontaneous closure has occurred in some cases of CEF (16). CEF combined with cholelithic intestinal obstruction of the sigmoid colon can be treated using endoscopic lithotomy (17). In case 1 of this report, the patient did not undergo a 2-stage surgery and recovered from CEF. Her follow-up CT showed gallbladder atrophy, along with the disappearance of gas in the gallbladder and bile duct, strongly implying the possibility of CEF closure. In case 2, the suspected diagnosis was initially gallbladder cancer. Considering the patient’s weak physical condition and various comorbidities, only symptomatic supportive treatment was administered. Notably, stones were no more detectable on the US, and the patient’s condition improved greatly. The follow-up CT showed that the ill-defined border of the gallbladder had become clear and that a fistula had formed, confirming the final diagnosis of CEF.
Conclusions
The possibility of CEF needs to be considered not only in older adult patients but also in younger and middle-aged patients who experience surgical emergencies with symptoms of gallstone disease. The use of an abdominal CT scan and coronal reconstruction images is highly recommended to diagnose suspected cases of CEF. In making a preoperative diagnosis of CEF, a comparison of the previous US and CT images to assess the disappearance of gallstones can provide strong evidence for CEF. Furthermore, for circumstances like gallbladder atrophy or pneumatosis, US is generally not advisable, and a repeated CT scan is recommended during the follow-up of a patient with CEF. Finally, although the ill-defined border between the gallbladder and adjacent organs is characteristic of CEF, distinguishing these cases from malignant tumors is still necessary.
Acknowledgments
Funding: This study was supported by the Development Fund for Shanghai Talents (No. 2019083 to YW Wu); the Two Hundred Talent of Shanghai Jiao Tong University School of Medicine (No. 20191815 to YW Wu); and the Cross Disciplinary Research Fund of Shanghai Ninth People’s Hospital, Shanghai Jiao Tong University, School of Medicine (No. JYJC202107 to YW Wu).
Footnote
Conflicts of Interest: All authors have completed the ICMJE uniform disclosure form (available at https://qims.amegroups.com/article/view/10.21037/qims-22-878/coif). YWW reports that this study was supported by the Development Fund for Shanghai Talents (No. 2019083); the Two Hundred Talent of Shanghai Jiao Tong University School of Medicine (No. 20191815); and the Cross Disciplinary Research Fund of Shanghai Ninth People’s Hospital, Shanghai Jiao Tong University, School of Medicine (No. JYJC202107). The other authors have no conflicts of interest to declare.
Ethical Statement: The authors are accountable for all aspects of the work in ensuring that questions related to the accuracy or integrity of any part of the work are appropriately investigated and resolved. All procedures performed in this study were conducted in accordance with the ethical standards of the institutional and/or national research committee(s) and with the Helsinki Declaration (as revised in 2013). Written informed consent was obtained from the patients to publish this case report and accompanying images. A copy of the written consent is available for review by the editorial office of this journal.
Open Access Statement: This is an Open Access article distributed in accordance with the Creative Commons Attribution-NonCommercial-NoDerivs 4.0 International License (CC BY-NC-ND 4.0), which permits the non-commercial replication and distribution of the article with the strict proviso that no changes or edits are made and the original work is properly cited (including links to both the formal publication through the relevant DOI and the license). See: https://creativecommons.org/licenses/by-nc-nd/4.0/.
References
- Chang L, Chang M, Chang HM, Chang AI, Chang F. Clinical and radiological diagnosis of gallstone ileus: a mini review. Emerg Radiol 2018;25:189-96. [Crossref] [PubMed]
- Gonzalez-Urquijo M, Rodarte-Shade M, Lozano-Balderas G, Gil-Galindo G. Cholecystoenteric fistula with and without gallstone ileus: A case series. Hepatobiliary Pancreat Dis Int 2020;19:36-40. [Crossref] [PubMed]
- De Monti M, Cestaro G, Alkayyali S, Galafassi J, Fasolini F. Gallstone ileus: A possible cause of bowel obstruction in the elderly population. Int J Surg Case Rep 2018;43:18-20. [Crossref] [PubMed]
- Ploneda-Valencia CF, Gallo-Morales M, Rinchon C, Navarro-Muñiz E, Bautista-López CA, de la Cerda-Trujillo LF, Rea-Azpeitia LA, López-Lizarraga CR. Gallstone ileus: An overview of the literature. Rev Gastroenterol Mex 2017;82:248-54. [Crossref] [PubMed]
- Li XY, Zhao X, Zheng P, Kao XM, Xiang XS, Ji W. Laparoscopic management of cholecystoenteric fistula: A single-center experience. J Int Med Res 2017;45:1090-7. [Crossref] [PubMed]
- Caldwell KM, Lee SJ, Leggett PL, Bajwa KS, Mehta SS, Shah SK. Bouveret syndrome: current management strategies. Clin Exp Gastroenterol 2018;11:69-75. [Crossref] [PubMed]
- Frąk W, Durczyński A, Hogendorf P, Fabisiak A, Małecka-Wojciesko E. A rare variant of ileus - Bouveret's syndrome. Prz Gastroenterol 2022;17:83-4. [Crossref] [PubMed]
- Morare N, Mpuku L, Ally Z. Xanthogranulomatous cholecystitis complicated by a cholecysto-colonic fistula and liver abscesses. J Surg Case Rep 2020;2020:rjaa176. [Crossref] [PubMed]
- Nuño-Guzmán CM, Marín-Contreras ME, Figueroa-Sánchez M, Corona JL. Gallstone ileus, clinical presentation, diagnostic and treatment approach. World J Gastrointest Surg 2016;8:65-76. [Crossref] [PubMed]
- Aldo C, Lorenzo M, Olgerta L, Alberto C, Licia U, Melchiore G. Rolling in the Deep: Imaging Findings and Diagnostic Pearls in Gallstone Ileus. Surg Res Pract 2020;2020:1421753. [Crossref] [PubMed]
- Yu CY, Lin CC, Shyu RY, Hsieh CB, Wu HS, Tyan YS, Hwang JI, Liou CH, Chang WC, Chen CY. Value of CT in the diagnosis and management of gallstone ileus. World J Gastroenterol 2005;11:2142-7. [Crossref] [PubMed]
- Gan SW, Rosli RM, Kiroff G, Rana AM, Tonkin D. Gas in gallbladder-gallstone ileus? J Surg Case Rep 2019;2019:rjz243. [Crossref] [PubMed]
- Chou CK. Computed tomography demonstration of cholecystogastric fistula. Radiol Case Rep 2016;11:70-3. [Crossref] [PubMed]
- Gandhi D, Ojili V, Nepal P, Nagar A, Hernandez-Delima FJ, Bajaj D, Choudhary G, Gupta N, Sharma P. A pictorial review of gall stones and its associated complications. Clin Imaging 2020;60:228-36. [Crossref] [PubMed]
- Inukai K. Gallstone ileus: a review. BMJ Open Gastroenterol 2019;6:e000344. [Crossref] [PubMed]
- Mauricio GU, David Eugenio HG, Enrique QF. Gallstone ileus of the sigmoid colon caused by cholecystocolonic fistula: A case report. Ann Med Surg (Lond) 2018;31:25-8. [Crossref] [PubMed]
- Jakubauskas M, Luksaite R, Sileikis A, Strupas K, Poskus T. Gallstone Ileus: Management and Clinical Outcomes. Medicina (Kaunas) 2019;55:598. [Crossref] [PubMed]

