Gorham-Stout disease in the rib and spine treated with zoledronic acid, calcium, and vitamin D after vertebral biopsy: a case description with literature analysis
Introduction
Gorham-Stout disease (GSD) is a rare disease characterized by progressive or acute skeletal lysis and resorption, which may lead to limb dysfunction or even life-threatening celiac or pleural effusion. GSD was first named in 1955 by Gorham and Stout, who summarized the features of this disease from a limited collection of cases (1). GSD, also known as massive osteolysis, often manifests pathologically as chronic, aggressive bone hemangioma or lymphomatosis. It is one of the five classic types of idiopathic osteolysis (age-related osteoporosis, postmenopausal osteoporosis, idiopathic juvenile osteoporosis, secondary osteoporosis, and disuse osteoporosis), and because of the peculiar phenomenon of unexplained bone dissolution caused by the disease, it is also known as “phantom bone disease” and “ghost disease” (2). Owing to the low incidence of this disease, its etiology and pathogenesis are unclear. To date, only a few hundred cases of this disease have been reported worldwide with limited treatment experience (3).
This patient presented to our clinic with moderate low back pain and occasional pain in the right rib, which revealed multiple rib and vertebral involvement with ghost-like typical osteolysis, along with mild pleural effusion. The patient was diagnosed with GSD after vertebral bone biopsy and received supportive pharmacological treatment after a multidisciplinary medical consultation from the bone metabolism specialties of endocrinology, orthopedics, respiratory medicine, and interventional radiology (Figure 1). Fortunately, this patient returned to normal life, in symptomatic remission, with stalled disease progression and affordable treatment plans. Therefore, in this case, we hope to provide inspiration for the management of this disease by presenting the characteristics, diagnosis, treatment, and outcome of this patient with GSD while reviewing the current literature.
Case presentation
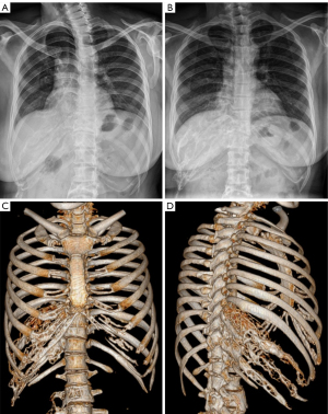
A previously healthy 50-year-old woman presented to the bone metabolism clinic of endocrinology at our medical center with moderate lower back pain and occasional numb pain in the right ribs. These symptoms had lasted for approximately 7 years without obvious limitation to her body flexion or movements. As a mother of two healthy teenage girls, she had no special medical, family, or psycho-social history of diseases. Not long ago, she had just visited a primary clinic, where radiographs showed massive osteolysis at multiple lumbar vertebrae and the right ribs (Figure 2A-2J). By physical examination to her body, mild percussion pain was detected at the T10-L3 level, but not in the right rib cage. Her body temperature, heart rate, and blood pressure were normal, and no coffee spots were observed. The thyroid gland was not enlarged, the thorax was not deformed or painful, the lungs were normal, the abdomen was normal on palpation, and no lower extremities were swollen. No deformity or pressure pain was observed in the spine or extremities. This patient was suspected of having GSD and was prescribed blood tests, urine tests, further radiographs, emission computed tomography (ECT), ultrasonography, and tuberculosis screening. The results of routine blood tests, blood sedimentation, blood lipids, liver function, kidney function, parathyroid function, thyroid function, vitamin D, blood tumor markers, calcium, phosphorus, magnesium, urine routine, 24 h urine calcium, 24 h urine phosphorus, blood immunoelectrophoresis, and urine immunoelectrophoresis were all normal. Abdominal ultrasonography results were also normal, as was bone density in the uninvolved area (Figure 2K-2N). ECT of whole-body bone imaging showed abnormally high uptake in the T10 and T11 vertebrae, right 8th–11th posterior ribs, lumbosacral vertebrae below L2, and bilateral sacroiliac joints (Figure 2O,2P). Additionally, ECT of the upper limb lymphography was normal. The patient was then referred to the orthopedic clinic for diagnostic bone biopsy to rule out bone related malignancies and to evaluate the indications for vertebral strengthening procedures such as percutaneous vertebroplasty (PVP). Upon admission to orthopedic ward, percutaneous puncture biopsies of T10 and T11 vertebrae were performed successfully under local anesthesia (Figure 3A-3E). The pathology results reported vertebral bone tissue and hyperplastic fibrous tissue without detectable malignancy to the bone (Figure 3F). The IHC staining was also performed and showed SMA (scattered +), desmin (−), CD34 (scattered +), S-100 (−), Ki-67 (bone marrow tissue index 80%), AE1/AE3 (−), CD15 (+), CD3 (+), CD20 (+), CD138 (+), and MPO (+). No PVP or other invasive procedures were recommended, considering the scattered yet symptomless osteolysis in the bones. This patient returned to the endocrinology clinic and was confirmed with GSD diagnosis. She was then prescribed a regimen of 5 mg of bisphosphonates per year, 0.25 µg of osteotriol every 2 days, 600 mg of calcium and 125 U of vitamin D per day, which was recommended until complete recession of disease. Allopathic treatment with Tylenol was also prescribed for occasional pain, and a regular follow-up plan was scheduled every 3 months. She returned to the outpatient clinic with relief of lower back pain, mild pleural effusion, and no onset of new symptoms or signs of newly onset of osteolysis after 3 months of treatment (Figure 4A). The patient was advised to visit the respiratory medicine clinic for monitoring of minor pleural effusion and was referred to the interventional center of radiology for undecided indications of pleural biopsy. Considering that there was no particularly safe puncture access according to the CT imaging, and that minor pleural effusion did not cause significant chest tightness, the radiologist recommended re-evaluation by imaging within 3 months. The patient continued with the original regimen and returned 3 months later with almost no back pain. Repeated imaging revealed reduced pleural effusion and static osteolysis on the 12th months revisit (Figure 4B) and 18th month revisit (Figure 4C,4D). During the entire diagnostic and therapeutic process, this patient fully cooperated with the diagnostic and therapeutic procedures. She gladly adhered to the regimens without adverse or unanticipated events. With the current treatment plan, the patient’s condition gradually stabilized, and remission was gradually achieved. Until the eighteenth months since the first visit, the patient had continued with her normal life. The medical expenses are affordable with basic citizen insurance, and her mind is relieved and healthy.
All procedures performed in this study were in accordance with the ethical standards of the institutional and/or national research committee(s) and with the Helsinki Declaration (as revised in 2013). Written informed consent was obtained from the patient for publication of this case report and accompanying images. A copy of the written consent is available for review by the editorial office of this journal.
Discussion
The patient in this case was a middle-aged female, with no history of trauma or metabolic disease, who presented to our clinic with moderate lower back pain. Radiography revealed significant signs of osteolysis. After multidisciplinary consultation, imaging evaluation, and a spinal biopsy, the diagnosis of GSD was confirmed according to the criteria summarized by Heffez et al. in 1983 (Table 1) (4). Considering the lower back pain symptoms and mild lumbar compression fractures, no further surgical management, such as PVP, was immediately recommended. Mild symptoms of pleural effusion were evaluated by a specialist, and since there were no symptoms, such as chest tightness, the option of periodic follow-up with radiology was elected, considering the high risk of pneumothorax by pleural biopsy. At present, the patient shows no evidence of a non-significant increase in effusion. In a comprehensive assessment of the patient’s condition, there was no indication for radiotherapy or immunotherapy for the time being, and supportive treatment with bisphosphonates, calcium, and vitamin D was adequate; therefore, the patient was advised to continue the current drug control regimen. Overall, we considered the patient’s treatment to be successful. At present, no further high-risk medications and treatments are required, and quality of life remains unharmed. This patient achieved a satisfactory outcome with minimal risk taking and no aggressive treatment. Although we are satisfied with the current achievements, there is still much to explore regarding the management of GSD.
Table 1
| No. | Criteria | Evidence | Conclusion |
|---|---|---|---|
| 1 | Absence of osteoblastic reaction and absence of dystrophic calcification | Radiology | Confirmed |
| 2 | Angiomatous tissue visible on biopsy | Pathology from bone biopsy | Confirmed |
| 3 | Lack of cellular anisotropy | Pathology from bone biopsy | Confirmed |
| 4 | Localized progressive bone resorption manifestations | Radiology | Confirmed |
| 5 | Non-expansive, non-ulcerative lesions | Radiology, ultrasonography | Confirmed |
| 6 | No visceral involvement | Radiology, ultrasonography, and blood tests | Confirmed |
| 7 | Osteolytic manifestations suggested by X-ray | Radiology | Confirmed |
| 8 | Exclusion of genetic, metabolic, neoplastic, immunologic, or infectious etiologies | Blood tests | Confirmed |
The pathogenesis of GSD is not fully understood, but recent studies suggest that it is mainly associated with skeletal localized lymphangioleiomyomatosis or angiomatosis and that dysfunction of neoplastic lymphatic vessels is an important pathological process. Elevated levels of vascular endothelial growth factor (VEGF) may increase platelet-derived growth factor dimer levels, possibly by interfering with Prospero homozygous heterotypic cassette protein 1 in signaling lymphatic vessel hyperproliferation (5,6). Other studies have demonstrated that lymphatic vascular endothelial cells increase osteoclast formation and activity through macrophage colony-stimulating factors, with serum interleukin-6 (IL-6) playing an important signaling role (7). In addition, other studies have suggested that epidermal growth factor receptor-3 (EGFR-3), lymphatic vessel endothelial hyaluronan receptor-1 (LYVE-1), and others play a role in the increased expression of molecules of the lymphangiogenic pathway and are involved in the promotion of lymphatic hyperproliferation and osteoclast activation (8-12). In this patient’s test results, routine blood tests, biochemical tests, thyroid function and metabolism, calcium, phosphorus, and magnesium metabolism were within the normal range, and there were no symptoms such as high urinary calcium. Therefore, the onset of this patient’s disease may be related to a subclinical state of lymphatic vessels and vascular hyperplasia, which affects bone metabolism without causing systemic hematological changes. Subsequent sequencing of biopsies from this patient, whole metabolome analysis, or cell culture to detect signaling pathways may shed light on the pathogenesis of the disease.
Usually, a biopsy reveals that the lesioned tissue is often confined to the subperiosteum, and the muscle and connective tissues surrounding the tissue often have no specific pathological changes. Early in the lesion, tissue biopsy of the bone defect area often suggests nonspecific vascular proliferation with chronic inflammatory cell infiltration surrounded by proliferating fibrous connective tissue, which may suggest positive expression of endothelial cells CD31, CD34, and D2-40 in the proliferating vessels and mild positive expression of VEGF and VEGFR-3 (13). Vascular proliferation varies in intensity and is characterized by thin-walled channels, often immature disordered vascular tissue, and especially by marked proliferation and expansion of lymphatic vessels (14). This was also verified in pathological biopsies of the patients.
There are no ideal treatment options for both resting and active GSD, as a combination of multiple methods and drugs are usually used in conjunction with the patient’s specific situation. The main treatment principles of GSD are inhibition of bone resorption and prevention and management of complications. Bisphosphonates promote bone repair and can effectively alleviate local pain and the process of osteolysis, and there is a case report of the application of bisphosphonates for 17 years due to persistent evidence of osteolysis, with good osteolysis inhibition and slow disease progression, without significant side effects (15,16). A study at our institution that included 12 patients with GSD confirmed a significant decrease in serum β-CTX levels after 1 year of bisphosphonate therapy by monitoring bisphosphonates for a median of 30 months (range, 6 months–7 years) with no expansion of osteolysis or new osteolytic lesions (13). It has also been reported in the literature, that after a median follow-up of 20 months after bisphosphonate therapy, 83% of GSD patients had stable disease conditions without imaging signs of progressive bone resorption. However, possible side effects such as progression should not be neglected, since osteolysis to crucial bone structures may lead to surgical reconstructions (17). In addition, calcitonin and osteogenic nutrients (calcium, phosphorus, vitamin D, etc.) have a synergistic supportive therapeutic effect by inhibiting osteolysis and promoting osteosynthesis (18). Although imaging in this patient suggested significant and extensive osteolysis, the clinical symptoms were not significant. After diagnosis, a combination of treatment with bisphosphonates, vitamin D, calcium tablets, and osteotriol effectively inhibited disease progression, suggesting the effectiveness of this therapeutic principle.
Immunosuppressive drugs have been shown to be effective in slowing down or even reversing the bone destructive effects of the GSD process, with the main principle being to modulate and inhibit the abnormally proliferating lymphatic vascular system. The most commonly used single agent or combination is interferon alpha (IFN-α), which improves the prognosis of the GSD disease process (19,20). One case reported that after 2 months of IFN-α treatment with subcutaneous injection of 150,000 units per day followed by weekly administration for 8 months, osteolysis progression was effectively organized; after the 10th month into treatment, the disappeared seventh to tenth ribs reappeared without progression or recurrence of the disease at follow-up. Additionally, other cases have been reported in which IFN-α, in combination with bisphosphonates, successfully inhibited osteolysis progression (20,21). mTOR pathway inhibitors (rapamycin analogs, such as sirolimus and everolimus) can achieve therapeutic effects by inhibiting intracellular signaling to suppress T-lymphocyte activation, thereby reducing osteoclast overactivation by inhibiting lymphangiogenic growth factor expression (22,23). Sirolimus has also been reported as a promising and novel therapeutic agent for GSD in the case of a 1-year-old boy with osteolysis of the right humerus, who recovered after a 2-year therapy (24). The reversal of disease progression theoretically confirms that the main principle of GSD progression is a shift in the balance at the functional level of bone metabolism rather than organic dysfunction, thus providing a theoretical basis for the development of specific targeted drugs.
Biologically targeted therapy is an emerging research topic for GSD treatment. The osteoclast differentiation factor NF-κB ligand receptor activator (RANKL), a member of the tumor necrosis factor family, promotes osteoclast production and differentiation through NF-κB receptor activator binding and is a key mediator of bone resorption (25). Denosumab, a human monoclonal antibody against RANKL, has been documented to be effective in inhibiting bone resorption in the treatment of osteoporosis, bone metastases, multiple myelomas, and rheumatoid arthritis. Several cases of successful GSD treatment to control the progression of osteolysis have also been reported (26,27). Recently, it was reported in animal models that the MEK1/2 inhibitor trametinib showed therapeutic significance by inhibiting lymphatic vascular overdevelopment in a mouse model of GSD with over-activated KRAS expression (28).
Surgical treatment measures for GSD are generally indicated for the purposes of lesion excision, implantation of bone grafts or prosthetic reconstruction, and management of complications (29,30). Bone biopsies can reveal pathological findings of the involved bone tissue and are an important adjunct to diagnosis. In cases of severe bone defects, internal fixation, external fixation, prosthesis replacement, and artificial joint replacement can be used to maintain the missing bone function, and amputation is sometimes required to remove the lesion. Surgical symptomatic treatment, such as pleurodesis, pleural fixation, and thoracic duct ligation, can be used for patients with GSD with celiac disease, supplemented with radiotherapy, interferon therapy, and bleomycin to mitigate the progression of the disease (31). Osteogenesis has been reported to be induced by bone grafting, or bone defect repair by allograft bone, and being combined with joint replacement may also have better therapeutic results (32,33). Usually, a combination of treatments is applied in clinical treatment to effectively stop the progression of GSD.
Radiotherapy is also a very effective treatment modality for patients with GSD who are inoperable, have recurrent osteolysis, or have multiple bone involvements. Radiotherapy can effectively inhibit the over-proliferation of immature lymphatic and vascular systems, reduce the proliferative activity of endothelial cells and the degree of overexpression of relevant signaling molecular networks, and inhibit the overactivation of osteoclasts, thus effectively slowing down the progression of the disease by 77–80% (34). In addition, radiotherapy may reduce pain and inhibit osteolysis preoperatively to alleviate the acute phase process. The internationally recommended total radiotherapy dose is 36–45 Gy, which is effective in controlling the progression of the disease, and a reduced dose of radiotherapy (16–20 Gy) may also be effective in relieving thoracic symptoms when the patient’s underlying condition is considered (3,35). It should be noted that radiotherapy can lead to side effects such as osteonecrosis, tissue malignancy, and dysplasia; therefore, patients receiving high-dose radiation therapy, especially adolescent patients, should be closely monitored for the risk of radiotherapy-related skeletal growth disorders and secondary malignancies (36). Our patient’s condition is currently controlled, and no radiotherapy is indicated for the time being, however, this does not exclude the possibility of an unfortunate future progression or even an acute onset of the disease, where radiotherapy would be an effective means of treatment.
In general, GSD shows a self-limiting nature by entering a stationary phase after the disappearance of single or multiple affected bones (37). Bone loss may affect bone or joint function, and in rare cases, lesions invade vital organs and cause death. Patients with spinal involvement or threatened neurological function usually require spinal stabilization surgery. The occurrence of Celiac disease is a potentially life-threatening major sequela, with a reported morbidity of approximately 17% and mortality of up to 34%, requiring intensive surgical management (38). In terms of long-term prognosis, it has been reported in the literature that MSTS, TESS, and RNL index scores were good in patients treated with bisphosphonates at long-term follow-up assessments, with levels similar to those scored in patients with osteoporosis. QoL scores were higher in younger patients than in older patients, possibly related to faster bone metabolism and greater adaptability to treatment in younger patients (39).
The message in this case is that, although imaging may seem alarming for osteolysis, supportive drug therapy may be sufficient to control the condition in patients with mild symptoms and no significant complications. It is likely that a significant proportion of patients with GSD do not require aggressive invasive testing or excessive interventions in the immune system, but regular review and vigilance for potential complications are essential. In particular, we would like to emphasize the importance of communication and mutual understanding between patients and families. Throughout the treatment process, this patient and her family remained updated, rational, and optimistic, with reasonable expectations about the efficacy and risks of the treatment. Successful treatment of this patient would not have been possible without our excellent and professional medical team, especially without the understanding, cooperation, and trust from the patient, for which we are very grateful. When the patient and family understand the rationale for the condition, the doctor’s plans and concerns, and what they need to do, the treatment process will be more harmonious, safer, and more efficient, which is a condition we cannot ignore.
In conclusion, the pathogenesis of GSD has not been fully investigated and the pathophysiological process of disease progression has not been fully defined. There are still some patients with poor prognoses; therefore, further study of the molecular and biological mechanisms is required to establish an optimal treatment strategy. At this stage, the frontiers of our research are focused on the pathogenesis of the disease. The therapeutic potential of molecules, genes, and proteins related to GSD in animal models is beginning to emerge, and it is expected that specific therapeutic targets will be validated in clinical studies with larger samples, resulting in new benefits to patients with this disease. Research on GSD aims to find the best treatment options for patients, improve efficacy, reduce or even prevent treatment-related adverse events, and thus ensure the quality of patient survival. Let us work together and look forward to doing so.
Acknowledgments
We appreciate the help of pathological diagnosis from Dr. Ji Li, M.D. from Department of Pathology, State Key Laboratory of Complex Severe and Rare Disease, Molecular Pathology Research Center, Peking Union Medical College Hospital, Chinese Academy of Medical Sciences and Peking Union Medical College, Beijing, China.
Funding: None.
Footnote
Conflicts of Interest: All authors have completed the ICMJE uniform disclosure form (available at https://qims.amegroups.com/article/view/10.21037/qims-22-1090/coif). The authors have no conflicts of interest to declare.
Ethical Statement: The authors are accountable for all aspects of the work in ensuring that questions related to the accuracy or integrity of any part of the work are appropriately investigated and resolved. All procedures performed in this study were in accordance with the ethical standards of the institutional and/or national research committee(s) and with the Helsinki Declaration (as revised in 2013). Written informed consent was obtained from the patient for publication of this case report and accompanying images. A copy of the written consent is available for review by the editorial office of this journal.
Open Access Statement: This is an Open Access article distributed in accordance with the Creative Commons Attribution-NonCommercial-NoDerivs 4.0 International License (CC BY-NC-ND 4.0), which permits the non-commercial replication and distribution of the article with the strict proviso that no changes or edits are made and the original work is properly cited (including links to both the formal publication through the relevant DOI and the license). See: https://creativecommons.org/licenses/by-nc-nd/4.0/.
References
- Gorham LW, Stout AP. Massive osteolysis (acute spontaneous absorption of bone, phantom bone, disappearing bone); its relation to hemangiomatosis. J Bone Joint Surg Am 1955;37-A:985-1004. [Crossref] [PubMed]
- van der Linden-van der Zwaag H, Onvlee GJ. Massive osteolysis (Gorham's disease) affecting the femur. Acta Orthop Belg 2006;72:261-8. [PubMed]
- Ozeki M, Fukao T. Generalized Lymphatic Anomaly and Gorham-Stout Disease: Overview and Recent Insights. Adv Wound Care (New Rochelle) 2019;8:230-45. [Crossref] [PubMed]
- Heffez L, Doku HC, Carter BL, Feeney JE. Perspectives on massive osteolysis. Report of a case and review of the literature. Oral Surg Oral Med Oral Pathol 1983;55:331-43. [Crossref] [PubMed]
- Hagendoorn J, Padera TP, Yock TI, Nielsen GP, di Tomaso E, Duda DG, Delaney TF, Gaissert HA, Pearce J, Rosenberg AE, Jain RK, Ebb DH. Platelet-derived growth factor receptor-beta in Gorham's disease. Nat Clin Pract Oncol 2006;3:693-7. [Crossref] [PubMed]
- Cueni LN, Detmar M. New insights into the molecular control of the lymphatic vascular system and its role in disease. J Invest Dermatol 2006;126:2167-77. [Crossref] [PubMed]
- Rossi M, Buonuomo PS, Battafarano G, Conforti A, Mariani E, Algeri M, Pelle S, D'Agostini M, Macchiaiolo M, De Vito R, Gonfiantini MV, Jenkner A, Rana I, Bartuli A, Del Fattore A. Dissecting the mechanisms of bone loss in Gorham-Stout disease. Bone 2020;130:115068. [Crossref] [PubMed]
- Cha B, Ho YC, Geng X, Mahamud MR, Chen L, Kim Y, Choi D, Kim TH, Randolph GJ, Cao X, Chen H, Srinivasan RS. YAP and TAZ maintain PROX1 expression in the developing lymphatic and lymphovenous valves in response to VEGF-C signaling. Development 2020; [Crossref] [PubMed]
- Jia Y, Shi H, Cao Y, Feng W, Li M, Li X. PDZ and LIM domain protein 4 suppresses the growth and invasion of ovarian cancer cells via inactivation of STAT3 signaling. Life Sci 2019;233:116715. [Crossref] [PubMed]
- Nelson TS, Nepiyushchikh Z, Hooks JST, Razavi MS, Lewis T, Clement CC, Thoresen M, Cribb MT, Ross MK, Gleason RL Jr, Santambrogio L, Peroni JF, Dixon JB. Lymphatic remodelling in response to lymphatic injury in the hind limbs of sheep. Nat Biomed Eng 2020;4:649-61. [Crossref] [PubMed]
- Brakenhielm E, González A, Díez J. Role of Cardiac Lymphatics in Myocardial Edema and Fibrosis: JACC Review Topic of the Week. J Am Coll Cardiol 2020;76:735-44. [Crossref] [PubMed]
- Jiang X, Tian W, Granucci EJ, Tu AB, Kim D, Dahms P, Pasupneti S, Peng G, Kim Y, Lim AH, Espinoza FH, Cribb M, Dixon JB, Rockson SG, Semenza GL, Nicolls MR. Decreased lymphatic HIF-2α accentuates lymphatic remodeling in lymphedema. J Clin Invest 2020;130:5562-75. [Crossref] [PubMed]
- Liu Y, Zhong DR, Zhou PR, Lv F, Ma DD, Xia WB, Jiang Y, Wang O, Xing XP, Li M. Gorham-Stout disease: radiological, histological, and clinical features of 12 cases and review of literature. Clin Rheumatol 2016;35:813-23. [Crossref] [PubMed]
- Hammer F, Kenn W, Wesselmann U, Hofbauer LC, Delling G, Allolio B, Arlt W. Gorham-Stout disease--stabilization during bisphosphonate treatment. J Bone Miner Res 2005;20:350-3. [Crossref] [PubMed]
- Li MH, Zhang HQ, Lu YJ, Gao P, Huang H, Hu YC, Wang Z. Successful Management of Gorham-Stout Disease in Scapula and Ribs: A Case Report and Literature Review. Orthop Surg 2018;10:276-80. [Crossref] [PubMed]
- Lehmann G, Pfeil A, Böttcher J, Kaiser WA, Füller J, Hein G, Wolf G. Benefit of a 17-year long-term bisphosphonate therapy in a patient with Gorham-Stout syndrome. Arch Orthop Trauma Surg 2009;129:967-72. [Crossref] [PubMed]
- Schneider KN, Masthoff M, Gosheger G, Klingebiel S, Schorn D, Röder J, Vogler T, Wildgruber M, Andreou D. Gorham-Stout disease: good results of bisphosphonate treatment in 6 of 7 patients. Acta Orthop 2020;91:209-14. [Crossref] [PubMed]
- Mavrogenis AF, Zambirinis CP, Dimitriadis PA, Tsakanikas A, Papagelopoulos PJ. Gorham-Stout disease. J Surg Orthop Adv 2010;19:85-90. [PubMed]
- Ramaroli DA, Cavarzere P, Cheli M, Provenzi M, Barillari M, Rodella G, Gaudino R, Antoniazzi F. A Child with Early-Onset Gorham-Stout Disease Complicated by Chylothorax: Near-Complete Regression of Bone Lesions with Interferon and Bisphosphonate Treatment. Horm Res Paediatr 2019;91:406-10. [Crossref] [PubMed]
- Kuriyama DK, McElligott SC, Glaser DW, Thompson KS. Treatment of Gorham-Stout disease with zoledronic acid and interferon-α: a case report and literature review. J Pediatr Hematol Oncol 2010;32:579-84. [Crossref] [PubMed]
- Takahashi A, Ogawa C, Kanazawa T, Watanabe H, Suzuki M, Suzuki N, Tsuchida Y, Morikawa A, Kuwano H. Remission induced by interferon alfa in a patient with massive osteolysis and extension of lymph-hemangiomatosis: a severe case of Gorham-Stout syndrome. J Pediatr Surg 2005;40:E47-50. [Crossref] [PubMed]
- Ricci KW, Hammill AM, Mobberley-Schuman P, Nelson SC, Blatt J, Bender JLG, McCuaig CC, Synakiewicz A, Frieden IJ, Adams DM. Efficacy of systemic sirolimus in the treatment of generalized lymphatic anomaly and Gorham-Stout disease. Pediatr Blood Cancer 2019;66:e27614. [Crossref] [PubMed]
- Ozeki M, Asada R, Saito AM, Hashimoto H, Fujimura T, Kuroda T, et al. Efficacy and safety of sirolimus treatment for intractable lymphatic anomalies: A study protocol for an open-label, single-arm, multicenter, prospective study (SILA). Regen Ther 2019;10:84-91. [Crossref] [PubMed]
- Liang Y, Tian R, Wang J, Shan Y, Gao H, Xie C, Li J, Xu M, Gu S. Gorham-Stout disease successfully treated with sirolimus (rapamycin): a case report and review of the literature. BMC Musculoskelet Disord 2020;21:577. [Crossref] [PubMed]
- Jimi E, Takakura N, Hiura F, Nakamura I, Hirata-Tsuchiya S. The Role of NF-κB in Physiological Bone Development and Inflammatory Bone Diseases: Is NF-κB Inhibition "Killing Two Birds with One Stone"? Cells 2019; [Crossref] [PubMed]
- Liu M, Liu W, Qiao C, Han B. Mandibular Gorham-Stout disease: A case report and literature review. Medicine (Baltimore) 2017;96:e8184. [Crossref] [PubMed]
- Tanaka S, Tanaka Y, Ishiguro N, Yamanaka H, Takeuchi T. RANKL: A therapeutic target for bone destruction in rheumatoid arthritis. Mod Rheumatol 2018;28:9-16. [Crossref] [PubMed]
- Homayun-Sepehr N, McCarter AL, Helaers R, Galant C, Boon LM, Brouillard P, Vikkula M, Dellinger MT. KRAS-driven model of Gorham-Stout disease effectively treated with trametinib. JCI Insight 2021; [Crossref] [PubMed]
- Simon F, Luscan R, Khonsari RH, Toubiana J, Belhous K, James S, Blauwblomme T, Zerah M, Denoyelle F, Donadieu J, Couloigner V. Management of Gorham Stout disease with skull-base defects: Case series of six children and literature review. Int J Pediatr Otorhinolaryngol 2019;124:152-6. [Crossref] [PubMed]
- Kim JH, Yoon DH, Kim KN, Shin DA, Yi S, Kang J, Ha Y. Surgical Management of Gorham-Stout Disease in Cervical Compression Fracture with Cervicothoracic Fusion: Case Report and Review of Literature. World Neurosurg 2019;129:277-81. [Crossref] [PubMed]
- Patel DV. Gorham's disease or massive osteolysis. Clin Med Res 2005;3:65-74. [Crossref] [PubMed]
- Fraile Suari A, Marqués López F, Cuenca Llavall M, Tey Pons M, León García A. Reconstruction for pelvic discontinuity and massive acetabular defects. Rev Esp Cir Ortop Traumatol (Engl Ed) 2020;64:64-73. [Crossref] [PubMed]
- Carender CN, Bedard NA, Malvitz TA, Callaghan JJ. Salvage of Distal Femoral Replacement Loosening with Massive Osteolysis Using Impaction Grafting: A Report of 2 Cases. JBJS Case Connect 2020;10:e2000183. [Crossref] [PubMed]
- Heyd R, Micke O, Surholt C, Berger B, Martini C, Füller J, Schimpke T, Seegenschmiedt MHGerman Cooperative Group on Radiotherapy for Benign Diseases (GCG-BD). Radiation therapy for Gorham-Stout syndrome: results of a national patterns-of-care study and literature review. Int J Radiat Oncol Biol Phys 2011;81:e179-85. [Crossref] [PubMed]
- Koto K, Inui K, Itoi M, Itoh K. Gorham-Stout disease in the rib and thoracic spine with spinal injury treated with radiotherapy, zoledronic acid, vitamin D, and propranolol: A case report and literature review. Mol Clin Oncol 2019;11:551-6. [Crossref] [PubMed]
- Agyeman K, Pretell-Mazzini J, Subhawong T, Kerr DA, Jose J. Gorham Disease. Am J Orthop (Belle Mead NJ) 2017;46:E458-62. [PubMed]
- Pickering ME, Gensburger D, Chapurlat R, Rieu V, Chevenet C, Tournadre A, Perrey A, Ltaief-Boudrigua A. A case of restitution ad integrum in Gorham-Stout disease. Joint Bone Spine 2023;90:105478. [Crossref] [PubMed]
- Ludwig KF, Slone T, Cederberg KB, Silva AT, Dellinger M. A New Case and Review of Chylothorax in Generalized Lymphatic Anomaly and Gorham-Stout Disease. Lymphology 2016;49:73-84. [PubMed]
- Heaver C, Isaacson A, Gregory JJ, Cribb G, Cool P. Patient factors affecting the Toronto extremity salvage score following limb salvage surgery for bone and soft tissue tumors. J Surg Oncol 2016;113:804-10. [Crossref] [PubMed]

