Feasibility of low-dose contrast media in run-off CT angiography on dual-layer spectral detector CT
Introduction
As a convenient, safe, accurate, and economical tool, computed tomography angiography (CTA) is broadly utilized in clinical practice, and has become a predominant substitute for digital subtraction angiography in preoperative diagnosis and postoperative assessment of peripheral arterial disease (1-3). Iodinated contrast media (CM) can enhance the visualization of vessels and improve the contrast of the region of interest against adjacent tissue, which is especially necessary for CTA (4). More CM is needed in the lower extremities compared with other areas, but adverse effects may increase with the CM dose used (5-9). Therefore, it is of clinical interest to reduce the amount of contrast used.
With the development of dual-energy technology, virtual monoenergetic images (VMIs) of dual-energy CT (DECT) have been found to increase intravascular contrast at low energy levels, and are useful in the reduction of CM (10-13). Almutairi et al. reported the feasibility of using low-dose CM with VMIs on rapid kVp switching CT (KVSCT) in run-off CTA (14). However, the low energy level VMI technique is limited by the increasing noise produced as energy level decreases (15).
Dual-layer spectral detector CT (SDCT), which is different from other DECT techniques [such as KVSCT, dual-source CT (DSCT)] that achieve energy separation at the source level, can simultaneously acquire dual-energy projection information at the same spatial and temporal resolution at the detector level (10,11,16,17). In comparison with other DECT types, SDCT is superior in reducing noise by near-perfect alignment projection data from the bottom and upper layers, and utilizing an anticorrelated noise reduction algorithm while maintaining low noise in all energy level VMIs (10,17-19). This is beneficial for reducing CM at low-energy level VMIs without impairing image quality (IQ) (19). Some studies have examined reducing CM in coronary CTA by using VMI on SDCT; however, the clinical application of VMIs on SDCT with low-dose CM in run-off CTA has not been reported. Therefore, the aim of the present study was to assess the feasibility of low-dose CM with VMIs in run-off CTA on SDCT, with the hypothesis that in run-off CTA, VMIs with low-dose CM are not inferior to conventional images with full-dose CM in terms of IQ. We also explored the optimal VMI use among patients with lower extremity arteriosclerosis obliterans.
Methods
Population
This prospective randomized study was approved by our institutional review board, and informed consent was obtained from all the patients.
Patients from the Division of Interventional Radiology of Shengjing Hospital of China Medical University who were clinically suspected of lower extremity arteriosclerosis obliterans and presented for further treatment were enrolled in the study (48 patients, from May 2019 to March 2020). The exclusion criteria were as follows: contraindication to iodinated CM, renal insufficiency (n=4), body mass index (BMI) >30 kg/m2 (n=1), a history of stenting or bypass surgery in the lower extremity arteries (n=3). Forty patients were finally included and randomly distributed into a control group (group A, n=20, using routine volume CM) and an experimental group (group B, n=20, using half-volume CM) by a random-number table.
CT scanning protocol
All patients underwent craniocaudal scanning, including of the distal abdominal aorta and toes by SDCT (IQon, Philips Healthcare, the Netherlands). In group A, the volume of CM (Shuangbei Iohexol 350; Beilu Pharmaceutical, Beijing, China) was 90 mL and was injected intravenously at a flow rate of 4 mL/s, followed by a saline injection of 30 mL at 4 mL/s. In group B, the volume of CM was 45 mL and was injected at a half flow rate, and was followed by an injection of half-volume saline. Each scan used the bolus-tracking technique and was delayed 16 s after the distal abdominal aorta signal achieved attenuations of 150 HU (group A) and 100 HU (group B). The other scan parameters were the same in both groups: slice collimation, 64×0.625 mm; rotation time, 0.5 s; pitch, 0.96; matrix, 512×512; dose modulation type, DoseRight 3D-DOM (Philips Healthcare, the Netherlands); and tube voltage, 120 kVp.
Image reconstruction
Slice thickness and increment in the process of image reconstruction in both groups was set at 1 mm. In groups A and B, 120 kVp polychromatic conventional images were routinely generated via a hybrid iterative reconstruction algorithm (iDose 4, level 3), defined as A1 and B1, respectively. Additionally, in group B, VMIs (range, 40–120 keV) at 10 keV intervals were reconstructed via a spectral reconstruction algorithm (Spectral B, level 3), defined as B2–B10. Images >120 keV energy levels were not evaluated because of poor vascular contrast (1). All images were then transferred to a workstation (IntelliSpace Portal 9.0; Philips Healthcare, The Netherlands). Window settings (width, 350; level, 45) were defaults and could be modified as desired.
Objective IQ evaluation
A professional radiologist with 4 years of CTA experience completed all measurements. The mean vascular attenuation (HU) of bilateral common iliac arteries, common femoral arteries, middle superficial femoral arteries, middle popliteal arteries, tibiofibular stem arteries, and adjacent muscle at the same slice, were measured in axial images three times. The standard deviation (SD) of vascular attenuation was deemed as image noise. The signal-to-noise ratio (SNR) and contrast-to-noise ratio (CNR) were acquired based on the following formulas: SNR = HUartery/SDartery and CNR = (HUartery – HUmuscle)/SDartery (20). Target areas were made as large as possible within the luminal diameter, and edges of vessels, atherosclerotic plaques, and calcifications were avoided. In addition, target arteries that were occlusive or had stenoses with residual diameter of <2 mm were excluded. A total of 382 eligible vascular locations were included in the present study.
Subjective IQ evaluation
The subjective assessment was independently completed by two radiologists with 9 and 12 years of CTA experience. Subjective IQ was scored on a 5-point scale, with 1 being poor and 5 being perfect, using the following parameters: noise, artifacts, contrast, and sharpness. The detailed scoring criteria are described in our previous study (20), and included transverse images, maximum intensity projections, and curved planar reformation images of A1, B1, and B2–B10. In cases where there was disagreement between the two radiologists, the score was determined by consensus.
Radiation dose analysis
The volume CT dose index (CTDIvol) and the dose length product (DLP) of each patient were acquired based on the dose report for the radiation dose analysis. The effective dose (ED) was calculated based on a previously published study (21).
Statistical analysis
All data analyses were completed with SPSS version 23.0 (IBM, Armonk, NY, USA) and GraphPad Prism version 8.0 (GraphPad Software, Inc., San Diego, CA, USA). Quantitative data are expressed as mean ± SD, and qualitative data are expressed with frequencies. Variables of age, sex, body weight, height, BMI, and CTDIvol, DLP, and ED of groups A and B were compared by paired samples t-test or χ2-test. Analysis of variance was applied in the analysis of the vascular attenuation, noise, SNR, and CNR of A1 and B1–B10. Furthermore, the Fisher’s least significant difference test or Dunnett’s T3 test was used in post-hoc tests between pairwise comparisons. IQ scores are expressed as medians with interquartile ranges, and the Kruskal-Wallis test was used in the analysis of IQ scores. A P value <0.05 was deemed statistically significant. Cohen’s kappa test was used to assess interobserver agreement, as proposed in previously published studies (20,22).
Results
Patient demographics and radiation dose
Forty patients were included in the present study, with 20 each in group A (group A: 14 males and 6 females; group B: 15 males and 5 females). The average age was 67.40±6.83 and 69.25±9.97, ranging from 56 to 81 years and 45 to 82 years in groups A and B, respectively. Differences in age, sex, height, weight, and BMI between groups A and B were not significant. No statistically significant differences in DLP, CTDIvol, or ED were found between the two groups (Table 1).
Full table
Objective IQ
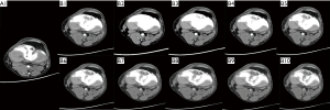
The mean attenuation was higher in group B2 and was lower in group B3 compared with group A1, but neither difference reached statistical significance. Furthermore, the mean attenuation in group B1 and groups B4–B10 was lower than that in group A1 (P<0.05). The mean noise was similar in group B2 (P>0.05) to that in group A1, but lower in group B1 and groups B3–B10 (P<0.05). The mean SNR and CNR in group B2, as well as the mean SNR in group B3, were higher than those in group A1 (P<0.05), and the mean CNR in group B3 was similar to that in group A1 (P>0.05). The mean SNR and CNR in group B1 and groups B4–B10 were similar or significantly lower than those in group A1 (Figure 1 and Table 2). Example axial images of group A1 and groups B1–B10 are shown in Figure 2.
Full table
Subjective IQ
Subjective IQ scores in groups B2 and B3 were similar and showed a declining trend in group B4 compared with those of group A1 (Table 3). The differences between B2 versus A1, B3 versus A1, and B4 versus A1 were not significant. Scores of group B1 and groups B5–B10 were significantly inferior to those of group A1 (P<0.05). Example images are presented in Figure 3. Interobserver agreement was good to excellent (range, ĸ≥0.688; P<0.05).
Full table
Discussion
To the best of our knowledge, the present study is the first report describing the application of VMIs derived from SDCT in run-off CTA while using a lower dose of CM for patients with lower extremity arteriosclerosis obliterans. We demonstrated the feasibility of using low-dose CM with VMIs, while providing satisfactory IQ for diagnosis on SDCT. The VMI at 40–50 keV in group B, which used low-dose CM, could provide sufficient vascular contrast, similar or lower noise, comparable or higher SNR and CNR; and comparable subjective IQ scores as those in group A, which used routine volume CM.
VMI can improve vascular contrast on the basis of higher iodine attenuation at lower energy, because of the increase in photoelectric attenuation when energies approach the K-edge of iodine (33.2 keV). This is indispensable for reducing CM, while the enhancement degree of blood vessels is essential for ensuring IQ. Fei et al. found that the optimal vessel attenuation was about 350 HU (23), whereas 200 HU was clinically acceptable, but might impact the diagnostic accuracy for evaluating coronary arteries. The findings of the present study indicated that the objective indices and subjective IQ scores at 40–50 keV in group B were equal or higher compared with those in group A. Although the SNR and CNR at 60 keV in group B were similar to those in group A1, the subjective score showed a declining trend compared with group A1, and the decreased vascular contrast was a possible explanation for this. Furthermore, IQ of ≥70 keV VMI worsened as vascular enhancement decreased.
Using low-tube voltage with the reduction of CM may result in increasing noise, which impairs IQ. Qi et al. found that the noise in a 70 kVp group using 80 mL of CM was significantly higher compared with that in a 120 kVp group using 120 mL of CM in run-off CTA on DSCT (3). VMIs were generated by using an anticorrelated noise reduction algorithm in the reconstruction process, which can minimize the noise on SDCT (18). Previous studies showed that VMIs derived from SDCT were superior in reducing noise compared to those from DSCT and KVSCT, and had low noise among all VMI ranges on SDCT (40–200 keV) (18,24). Our findings indicated a uniformly low image noise level among all studied VMIs, which is in agreement with other studies (18,24). This can potentially improve contrast signal, SNR, CNR, and lesion conspicuity (18).
Huang et al. reported that it was feasible to perform coronary CTA using half-dose CM with VMI on SDCT, and demonstrated that the objective indices and subjective IQ of VMI at 50 keV with half-dose CM were equal or superior to those in the control group subjected to full-dose CM (19). Oda et al. also demonstrated the feasibility of using VMI at 50 keV, with a 50% reduction of CM in coronary CTA on SDCT without impairing IQ in patients with renal insufficiency (25). The present study substantiates the results of previous studies by showing that it is viable to use low-dose CM without compromising IQ in run-off CTA on SDCT. However, Huang et al. found the optimal VMIs were obtained at 50 keV in coronary CTA (19), whereas the optimal VMIs were obtained at 40–50 keV in the present study in run-off CTA. This difference might be due to the optimal VMI varying across the different locations.
The present study has some limitations. First, the sample size was relatively small and confined to patients selected from a single center. Further studies should include a larger sample size. Second, we did not compare serum creatinine levels before and after scanning, nor did we assess the effect on the risk of contrast-induced nephropathy. Third, we performed an IQ assessment, and a comparison of diagnostic accuracy to the accepted gold-standard DSA can be undertaken in future. Fourth, the energy interval (10 keV) was relatively large, and smaller intervals should be used in further work. Fifth, the volume of CM used was based on routine practice instead of the body weight of patients, and the strategy to lower CM dose might not be the accepted standard of care.
Conclusions
Low-dose CM with VMI in run-off CTA on SDCT can be used for patients with lower extremity arteriosclerosis obliterans, and VMIs at 40–50 keV are considered to be the optimal choice in clinical application as this does not reduce IQ.
Acknowledgments
Funding: This study was supported by the Liaoning Natural Science Foundation Guidance Plan (grant 2019-ZD-0776), and 345 Talent Project in Shengjing Hospital of China Medical University. The funders had no role in study design, data collection and analysis, decision to publish, or preparation of the manuscript.
Footnote
Conflicts of Interest: All authors have completed the ICMJE uniform disclosure form (available at http://dx.doi.org/10.21037/qims-20-925). The authors have no conflicts of interest to declare.
Ethical Statement: The present study was approved by our institutional review board, and informed consent was obtained from all patients.
Open Access Statement: This is an Open Access article distributed in accordance with the Creative Commons Attribution-NonCommercial-NoDerivs 4.0 International License (CC BY-NC-ND 4.0), which permits the non-commercial replication and distribution of the article with the strict proviso that no changes or edits are made and the original work is properly cited (including links to both the formal publication through the relevant DOI and the license). See: https://creativecommons.org/licenses/by-nc-nd/4.0/.
References
- Wichmann JL, Gillott MR, De Cecco CN, Mangold S, Varga-Szemes A, Yamada R, Otani K, Canstein C, Fuller SR, Vogl TJ, Todoran TM, Schoepf UJ. Dual-Energy Computed Tomography Angiography of the Lower Extremity Runoff: Impact of Noise-Optimized Virtual Monochromatic Imaging on Image Quality and Diagnostic Accuracy. Invest Radiol 2016;51:139-46. [Crossref] [PubMed]
- Mangold S, De Cecco CN, Schoepf UJ, Yamada RT, Varga-Szemes A, Stubenrauch AC, Caruso D, Fuller SR, Vogl TJ, Nikolaou K, Todoran TM, Wichmann JL. A noise-optimized virtual monochromatic reconstruction algorithm improves stent visualization and diagnostic accuracy for detection of in-stent re-stenosis in lower extremity run-off CT angiography. Eur Radiol 2016;26:4380-9. [Crossref] [PubMed]
- Qi L, Meinel FG, Zhou CS, Zhao YE, Schoepf UJ, Zhang LJ, Lu GM. Image quality and radiation dose of lower extremity CT angiography using 70 kVp, high pitch acquisition and sinogram-affirmed iterative reconstruction. PLoS One 2014;9:e99112. [Crossref] [PubMed]
- Lusic H, Grinstaff MW. X-ray-computed tomography contrast agents. Chem Rev 2013;113:1641-66. [Crossref] [PubMed]
- Morcos SK, Thomsen HS, Webb JA. Contrast-media-induced nephrotoxicity: a consensus report. Contrast Media Safety Committee, European Society of Urogenital Radiology (ESUR). Eur Radiol 1999;9:1602-13. [Crossref] [PubMed]
- Barrett BJ, Parfrey PS. Clinical practice. Preventing nephropathy induced by contrast medium. N Engl J Med 2006;354:379-86. [Crossref] [PubMed]
- Pomposelli F. Arterial imaging in patients with lower-extremity ischemia and diabetes mellitus. J Am Podiatr Med Assoc 2010;100:412-23. [Crossref] [PubMed]
- Brown JR, Robb JF, Block CA, Schoolwerth AC, Kaplan AV, O'Connor GT, Solomon RJ, Malenka DJ. Does safe dosing of iodinated contrast prevent contrast-induced acute kidney injury. Circ Cardiovasc Interv 2010;3:346-50. [Crossref] [PubMed]
- Mohammed NM, Mahfouz A, Achkar K, Rafie IM, Hajar R. Contrast-induced Nephropathy. Heart Views 2013;14:106-16. [Crossref] [PubMed]
- Rassouli N, Etesami M, Dhanantwari A, Rajiah P. Detector-based spectral CT with a novel dual-layer technology: principles and applications. Insights Imaging 2017;8:589-98. [Crossref] [PubMed]
- Goo HW, Goo JM, Dual-Energy CT. New Horizon in Medical Imaging. Korean J Radiol 2017;18:555-69. [Crossref] [PubMed]
- van Hamersvelt RW, Eijsvoogel NG, Mihl C, de Jong PA, Schilham A, Buls N, Das M, Leiner T, Willemink MJ. Contrast agent concentration optimization in CTA using low tube voltage and dual-energy CT in multiple vendors: a phantom study. Int J Cardiovasc Imaging 2018;34:1265-75. [Crossref] [PubMed]
- Patino M, Parakh A, Lo GC, Agrawal M, Kambadakone AR, Oliveira GR, Sahani DV. Virtual Monochromatic Dual-Energy Aortoiliac CT Angiography With Reduced Iodine Dose: A Prospective Randomized Study. AJR Am J Roentgenol 2019;212:467-74. [Crossref] [PubMed]
- Almutairi A, Sun Z, Poovathumkadavi A, Assar T. Dual Energy CT Angiography of Peripheral Arterial Disease: Feasibility of Using Lower Contrast Medium Volume. PLoS One 2015;10:e0139275. [Crossref] [PubMed]
- Carrascosa P, Capunay C, Rodriguez-Granillo GA, Deviggiano A, Vallejos J, Leipsic JA. Substantial iodine volume load reduction in CT angiography with dual-energy imaging: insights from a pilot randomized study. Int J Cardiovasc Imaging 2014;30:1613-20. [Crossref] [PubMed]
- Ananthakrishnan L, Rajiah P, Ahn R, Rassouli N, Xi Y, Soesbe TC, Lewis MA, Lenkinski RE, Leyendecker JR, Abbara S. Spectral detector CT-derived virtual non-contrast images: comparison of attenuation values with unenhanced CT. Abdom Radiol (NY) 2017;42:702-9. [Crossref] [PubMed]
- Hickethier T, Baeßler B, Kroeger JR, Doerner J, Pahn G, Maintz D, Michels G, Bunck AC. Monoenergetic reconstructions for imaging of coronary artery stents using spectral detector CT: In-vitro experience and comparison to conventional images. J Cardiovasc Comput Tomogr 2017;11:33-9. [Crossref] [PubMed]
- Kalisz K, Rassouli N, Dhanantwari A, Jordan D, Rajiah P. Noise characteristics of virtual monoenergetic images from a novel detector-based spectral CT scanner. Eur J Radiol 2018;98:118-25. [Crossref] [PubMed]
- Huang X, Gao S, Ma Y, Lu X, Jia Z, Hou Y. The optimal monoenergetic spectral image level of coronary computed tomography (CT) angiography on a dual-layer spectral detector CT with half-dose contrast media. Quant Imaging Med Surg 2020;10:592-603. [Crossref] [PubMed]
- Liu B, Gao S, Chang Z, Wang C, Liu Z, Zheng J. Lower extremity CT angiography at 80 kVp using iterative model reconstruction. Diagn Interv Imaging 2018;99:561-8. [Crossref] [PubMed]
- Saltybaeva N, Jafari ME, Hupfer M, Kalender WA. Estimates of effective dose for CT scans of the lower extremities. Radiology 2014;273:153-9. [Crossref] [PubMed]
- Kundel HL, Polansky M. Measurement of observer agreement. Radiology 2003;228:303-8. [Crossref] [PubMed]
- Fei X, Du X, Yang Q, Shen Y, Li P, Liao J, Li K. 64-MDCT coronary angiography: phantom study of effects of vascular attenuation on detection of coronary stenosis. AJR Am J Roentgenol 2008;191:43-9. [Crossref] [PubMed]
- Sellerer T, Noël PB, Patino M, Parakh A, Ehn S, Zeiter S, Holz JA, Hammel J, Fingerle AA, Pfeiffer F, Maintz D, Rummeny EJ, Muenzel D, Sahani DV. Dual-energy CT: a phantom comparison of different platforms for abdominal imaging. Eur Radiol 2018;28:2745-55. [Crossref] [PubMed]
- Oda S, Takaoka H, Katahira K, Honda K, Nakaura T, Nagayama Y, Taguchi N, Kidoh M, Utsunomiya D, Funama Y, Noda K, Oshima S, Yamashita Y. Low contrast material dose coronary computed tomographic angiography using a dual-layer spectral detector system in patients at risk for contrast-induced nephropathy. Br J Radiol 2019;92:20180215. [Crossref] [PubMed]

