Rhino-orbito-cerebral mucormycosis is a special cause of cerebral infarction: a case description
Rhino-orbito-cerebral mucormycosis (ROCM) is an infection caused by a fungus of the mucor that simultaneously invades the sinuses, eyes, and skull. Rhizopus oryzae is the most common etiologic agent of mucormycosis worldwide (1,2). In recent years, with the common use of broad-spectrum antibiotics, corticosteroids, anti-tumor drugs and immunosuppression, along with the increasing number of patients with diabetes and acquired immunodeficiency syndrome (AIDS), and also the widespread use of solid organ and bone marrow transplants, burn resuscitation and other life-extension techniques, these changes have provided favorable conditions for the propagation and pathogenesis of opportunistically pathogenic fungi (2-4). These opportunistically pathogenic fungi can enter a vulnerable host by inhalation of the spores, consumption of the contaminated food, or a skin break (1,2). They are potentially vascularly invasive (5), which can lead to vascular thrombosis and tissue necrosis and then rapidly form a severe ischemic cerebral infarction. Additionally, the disease is extremely lethal and disabling (1). Clinically, it is often difficult to distinguish it from ordinary cerebral infarction because of their similarity of its symptoms. These increase the difficulty of diagnosis and treatment. In August 2023, through imaging and pathogenetics, we diagnosed a case of ROCM that caused multiple cerebral infarctions in the right cerebral hemisphere.
Clinical information
A 65-year-old female patient was admitted to the hospital on August 27, 2023, due to the presence of erythema of the right side of the face for twenty days, accompanied by poor appetite and poor mental state for two days. Twenty days before admission, the redness and swelling of the right periorbital skin and soft tissues began to appear without any evident causes. After anti-inflammatory treatment at a local outpatient clinic, the redness and swelling exacerbated and were accompanied by unconsciousness. The patient’s mental state deteriorated after receiving the anti-infection treatment during the hospitalization in the Intensive Care Unit (ICU) of an outside hospital. In addition, the patient had undergone cranial magnetic resonance imaging (MRI), which showed a new cerebral infarct in the right occipital lobe that could not be ruled out. She was admitted to our hospital for further diagnosis and treatment. On physical examination, a black superficial necrotic focus was seen around the right orbit of her face which was about 0.5 cm × 0.5 cm and there was a small amount of reddish secretion. She was also lethargic, uncooperative with the doctors and her bilateral pupil light reflex was absent. Furthermore, the patient’s past medical history included a diagnosis of type 2 diabetes mellitus. All procedures performed in this study were in accordance with the ethical standards of the institutional and/or national research committee(s) and with the Helsinki Declaration and its subsequent amendments. Written informed consent was obtained from the patient for publication of this article and accompanying images. A copy of the written consent is available for review by the editorial office of this journal.
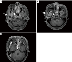
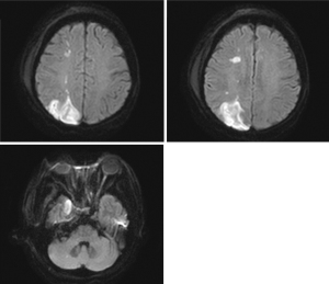
After admission, laboratory tests indicated random blood glucose (GLU) level of 12.74 mmol/L (normal value ≤11.1 mmol/L), base excess (BE) level of −3.4 mmol/L (normal range, −3 to +3 mmol/L), β-hydroxybutyric acid (β-Hb) level of 3.61 mmol/L (normal range, 0.02–0.27 mmol/L), white blood cell count (WBC) level of 17.44×109/L (normal range, 3.69–9.16/L), procalcitonin (PCT) level of 0.46 ng/mL (normal range, 0.00–0.05 ng/mL) and interleukin-6 (IL-6) level of 317 pg/mL (normal range, 0.00–7.00 ng/mL). Considering the presence of infection and diabetic ketoacidosis, the patient was given symptomatic treatment such as hypoglycemic therapy, ketone body lowering measures, and empirical anti-infection. A head computed tomography (CT) scan revealed a cerebral infarction in the right parietal lobe (Figure 1A). On hospital day 7 (2023-09-02), the patient’s mental status deteriorated to shallow coma. Follow-up cranial CT demonstrated progression of the cerebral infarction with concomitant cerebral herniation (Figure 1B). Cerebrospinal fluid (CSF) analysis showed leukocytosis (326×106/L; normal: 0–8 ×106/L) and elevated microalbumin (86.1 mg/dL; normal: 8.0–43.0 mg/dL). Concurrent metagenomic next-generation sequencing (mNGS) of CSF detected Rhizopus oryzae (76 sequences), confirming intracranial mucormycosis. Fungal meningitis (Rhizopus oryzae) complicated by cerebral infarction was diagnosed based on clinical and ancillary findings. Emergency right frontotemporal-parietal debridement with dural repair and intracranial pressure transducer placement was performed that day. The patient maintained stable vital signs intraoperatively, and postoperative cranial CT was obtained (Figure 1C). By September 9, 2023, surveillance cranial CT (Figure 1D) showed unchanged right hemispheric infarction extent with normalized density and resolved cerebral edema. On the second day of admission (2023-08-28), contrast-enhanced cranial MRI (Figure 2) demonstrated multiple right hemispheric infarcts. Contrast-enhanced orbital MRI (Figure 3) revealed soft tissue swelling in the right maxillofacial region and bilateral periorbital areas. After enhanced scanning, prominent enhancement was noted, suggesting infectious lesions and multiple groups of sinusitis. At the same time, CSF mNGS confirmed Rhizopus oryzae infection (as above). After identification of the pathogenic bacteria, liposomal amphotericin B (L-AMB) and posaconazole suspension were administered for antifungal treatment. Additionally, serial monitoring of infection markers—including complete blood count, PCT, and IL-6—showed progressive improvement (Figures 4,5).
The patient was transferred back to a local hospital for continued treatment on September 9, 2023. At the time of transfer, the patient was in a comatose state with bilateral pupils that were isocoric (3 mm in diameter) and non-reactive to light. Muscle strength was graded as 1 in the left limbs and 2–3 in the right limbs. Physiological reflexes were present, while pathological reflexes were absent. Discharge physical examination revealed large erosions with black crust formation in the right facial region and right nasal cavity.
Discussion
ROCM, a rare but fatal opportunistic fungal infection clinically, has a complex disease progression. The common manifestations include fever, facial pain, facial swelling, headache, rhinorrhea, nasal ulcers and palatal ulcers. Foul-smelling, black, necrotic crusting of the nasal mucosa or palate are notably observed in about 50% of cases. However, these are the prodromal signs of ROCM. This necrotic black tissue forms due to localized vascular thrombosis and tissue infarction. When mucor invades the skull, a spreading cerebral infarction occurs frequently, which can involve multiple lobes of the brain. In this situation, despite the adoption of positive surgical and pharmacologic treatment, the prognosis is still poorer (1).
Effective therapy of ROCM requires a high level of clinical suspicion, rapid laboratory and radiologic diagnosis, and multidisciplinary management (1). And the application of antifungal therapy with 5–10 mg/kg amphotericin B liposomal, positive surgical debridement and elimination of potential risk factors are the core elements to effective management of ROCM.
CT and MRI contribute to early preoperative diagnosis of ROCM. On one hand, CT is not only fast to obtain but also easily accessible. Its common findings include a gaseous environment in the sinuses and increased density of fatty tissue in the head, face, and neck. If there is bone destruction, CT bone algorithms is an appropriate method to recognize it. On the other hand, MRI provides excellent visualization of sinus contents, deep cervical soft tissue and interstitial involvement, and good identification of perineural and intracranial spread. The vascular invasive properties of the fungus are good for its spread beyond the sinuses without significantly damaging the bone. Therefore, more attention should be paid to soft tissue algorithms on CT and fat suppression sequences on MRI (6).
According to the radiologic extent of the disease, the severity of the disease is categorized into three stages. At Stage I, the disease is only limited to the nose and sinuses. At Stage II, the disease includes the spread to the orbit, hard palate, and mouth which can be surgically resected with the lowest complication rate. At Stage III, the disease is manifested as intracranial involvement. ROCM may extend to the pterygopalatine fossa by direct erosion of the sinus wall or by perivascular or perineural spread. Involvement of the pterygopalatine fossa forms a pathway for infection into the middle cranial fossa and cavernous sinus (7). As a result, some studies have recommended that all patients who are suspected with ROCM should undergo a comprehensive evaluation of the pterygopalatine fossa (8). The absence of enhancement on MRI of the nasal and sinus mucosa which is called the black turbinate (BT) sign represents tissue inactivation and necrosis due to microvascular invasion. The BT sign can be apparently seen in the patient mentioned in this paper (Figure 6).
Currently, traditional laboratory methods used for ROCM diagnosis include direct microscopy, fungal culture, histopathology, serologic testing and so on. The diagnosis of ROCM requires biopsy, culture and histopathology of the involved tissue. However, for critically ill patients, tissue biopsy has a relatively high risk and contains the characteristics of time-consuming, prone to contamination, low sensitivity, high false-positive rate and low culture rate (1). In this case, mNGS was applied for the identification of pathogenic bacteria. As a DNA sequencing technology based on the development of polymerase chain reaction (PCR) and gene chips, mNGS can accurately analyze pathogen types, especially for infections caused by rare pathogens, through its high-throughput, speed and efficiency and high-precision characterization of the transcriptome and genome of pathogens. Thus, it can provide the guidance on clinical diagnosis and treatment in a better way (3,4).
However, even with the application of NGS in this case, it still remains of great importance to use the traditional testing methods, such as culture and drug susceptibility testing. Mucorales fungi are inherently resistant or insensitive to most antifungal drugs and vitro drug susceptibility testing is not usually applied to them. But we still have difficulty in directly evaluating whether there is adequate effectiveness of the drugs used in Mucorales fungi or not. In this case, the subsequent progression of lesions cannot completely rule out the possibility that the clinical outcome was affected by reduced drug sensitivity. It is also a limitation in evaluating the treatment outcome of this case. In addition, due to the high mortality rate and strong natural drug resistance of Mucorales infections, we can address the therapeutic challenge by mapping regional drug resistance profiles and identifying key drug resistance gene mutations. This can guide combination therapy to save the lives of severe cases and establish early drug resistance warning models to avoid ineffective treatment and reduce medical burdens. Simultaneously, this approach calls for targeted pharmacotherapy to reduce mortality.
In this case, the patient’s initial symptom was a periorbital skin infection, which subsequently manifested as symptoms of orbit apex syndrome. With further imaging, it revealed multiple infarct foci in the right cerebral hemisphere. According to the facts that the existence of the patient’s diabetes mellitus and risk factors for cerebral infarction, primary cerebral infarction could not be ruled out. In combination with the patient’s past medical history of facial infections and diabetes mellitus, the patient’s relevant pathogenetic examinations including NGS were performed on the second day of admission. Additionally, the presence of Rhizopus oryzae infection was shown on the return of the mNGS of the CSF sent for examination, which was ultimately considered to be a cerebral infarction secondary to a fungal infection, namely ROCM. Non-enhancing hypointense mucosa (“black turbinate sign”) observed on contrast-enhanced MRI in this case reflects microthrombosis and mucosal necrosis caused by vascular invasion of Mucorales. This imaging feature is highly consistent with histopathological ischemic necrosis and serves as an early warning marker for acute invasive fungal sinusitis (9). Notably, although mucosal thickening may also occur in ordinary sinusitis, its enhancement pattern is typically homogeneous, whereas the focal non-enhancement areas associated with the BT sign represent a key distinguishing feature. Subsequently, antifungal therapy was promptly initiated and surgery was performed to treat the intracranial lesion, achieving good effectiveness.
In addition, L-AMB was the first-choice drug for the medical treatment of this patient. After consultation, a combination therapy of L-AMB and posaconazole was administered. This is in line with the recommendations put forward in the Chinese Expert Consensus on Clinical Diagnosis and Treatment of Mucormycosis (2022) (10). It states that when rhinocerebral-orbital mucormycosis involves the brain, or when disseminated mucormycosis involves the central nervous system, lipid formulations of amphotericin B are the first-choice drugs. For critical cases, combination therapy can be adopted, including the L-AMB and posaconazole suspension.
For ROCM patients who have systemic diseases like diabetes mellitus, malignant tumors or a medical history of long-term hormone use, when fever occurs, the clinical symptoms of nasal or ocular appear especially black crusts are found in the nasal cavity and infarct foci is revealed by cranial imaging, the possibility of this disease must be considered and actions such as clarifying the diagnosis by sending the relevant pathogenetic tests and initiating targeted treatment as soon as possible should be taken in time.
Acknowledgments
None.
Footnote
Funding: None.
Conflicts of Interest: All authors have completed the ICMJE uniform disclosure form (available at https://qims.amegroups.com/article/view/10.21037/qims-2025-76/coif). The authors have no conflicts of interest to declare.
Ethical Statement: The authors are accountable for all aspects of the work in ensuring that questions related to the accuracy or integrity of any part of the work are appropriately investigated and resolved. All procedures performed in this study were in accordance with the ethical standards of the institutional and/or national research committee(s) and with the Helsinki Declaration and its subsequent amendments. Written informed consent was obtained from the patient for publication of this article and accompanying images. A copy of the written consent is available for review by the editorial office of this journal.
Open Access Statement: This is an Open Access article distributed in accordance with the Creative Commons Attribution-NonCommercial-NoDerivs 4.0 International License (CC BY-NC-ND 4.0), which permits the non-commercial replication and distribution of the article with the strict proviso that no changes or edits are made and the original work is properly cited (including links to both the formal publication through the relevant DOI and the license). See: https://creativecommons.org/licenses/by-nc-nd/4.0/.
References
- Dong N, Jordan AE, Shen X, Wu X, Guo X, Zhao H, Wang Y, Wang D, Fang Q. Rhino-Orbital Cerebral Mucormycosis in a Patient With Diabetic Ketoacidosis: A Case Report and Literature Review. Front Neurol 2022;13:815902. [Crossref] [PubMed]
- Panda S, Sahu MC, Turuk J, Pati S. Mucormycosis: A Rare disease to Notifiable Disease. Braz J Microbiol 2024;55:1065-81. [Crossref] [PubMed]
- Li J, Ge Y, Xin C, Jiang L. Rhino-orbital-cerebral mucormycosis caused by Rhizopus arrhizus diagnosis via metagenomics next-generation sequencing: a case report. Front Cell Infect Microbiol 2024;14:1375058. [Crossref] [PubMed]
- Sasani E, Pakdel F, Khodavaisy S, Salehi M, Salami A, Sohrabi M, Aminishakiba P, Amirafzali I, Salami Khaneshan A. Mixed Aspergillosis and Mucormycosis Infections in Patients with COVID-19: Case Series and Literature Review. Mycopathologia 2024;189:10. [Crossref] [PubMed]
- Weissert N, Mengel A, Bader K, Hennersdorf F, Feil K. Angioinvasive Rhino-Orbital-Cerebral Mucormycosis in a Patient with Type 2 Diabetes Mellitus: A Complex and Lethal Cause of Stroke. Diagnostics (Basel) 2024;14:2246. [Crossref] [PubMed]
- Pai V, Sansi R, Kharche R, Bandili SC, Pai B. Rhino-orbito-cerebral Mucormycosis: Pictorial Review. Insights Imaging 2021;12:167. [Crossref] [PubMed]
- Yadav T, Tiwari S, Gupta A, Garg PK, Khera PS, Rajagopal R, Goyal A, Soni K, Chugh A, Jain V, Sureka B, Elhence P, Misra S. Magnetic Resonance Imaging in Coronavirus Disease - 2019 Associated Rhino-Orbital-Cerebral Mucormycosis (CA-ROCM) - Imaging Analysis of 50 Consecutive Patients. Curr Probl Diagn Radiol 2022;51:112-20. [Crossref] [PubMed]
- Jiang N, Zhao G, Yang S, Lin J, Hu L, Che C, Wang Q, Xu Q. A retrospective analysis of eleven cases of invasive rhino-orbito-cerebral mucormycosis presented with orbital apex syndrome initially. BMC Ophthalmol 2016;16:10. [Crossref] [PubMed]
- Chen A, Pietris J, Bacchi S, Chan W, Psaltis AJ, Selva D, Lim W. Imaging Features of Invasive Fungal Rhinosinusitis: A Systematic Review. Can Assoc Radiol J 2024;75:601-8. [Crossref] [PubMed]
- Medical Mycology Society of Chinese Medicine and Education Association. Expert consensus on diagnosis and management of mucormycosis in China. Zhonghua Nei Ke Za Zhi 2023;62:597-605. [Crossref] [PubMed]

