Establishment and validation of a risk prediction model for acute ischemic stroke in a carotid artery plaque population
Introduction
Stroke is a major public health problem worldwide, and its incidence, disability, and mortality rates are increasing year by year (1,2). The incidence of acute ischemic stroke (AIS) due to unstable carotid plaque rupture and embolization is also increasing, attracting growing attention (3). Studies have found that the occurrence and development of stroke are also related to dyslipidemia, hypertension, obesity, and gender (4,5).
Certain serological indicators and carotid artery plaque are important predictors of cerebrovascular events. A simple and easily implementable method needs to be developed for the early screening and prediction of AIS. At present, research on the high-risk factors associated with AIS is limited, and methods and tools for predicting the occurrence and development of AIS are lacking. Therefore, to extend the understanding of the risk factors associated with AIS, this study conducted a prospective analysis of carotid plaques using the clinical data of patients with acute cerebral apoplexy. The study sought to identify the independent risk factors associated with a cute ischemic stroke, and develop a risk prediction model for the early screening and identification of high-risk patients. This model may aid in early clinical intervention, guide effective treatment, and improve patient prognosis. We present this article in accordance with the TRIPOD reporting checklist (available at https://qims.amegroups.com/article/view/10.21037/qims-24-1711/rc).
Methods
Case data
A total of 244 patients who underwent ultrasound examination at the First Hospital of Hebei Medical University from March 2021 to March 2023 were included in the study. Of the 244 patients, 104 had experienced AIS and 140 had not. Additionally, 80% (195 patients) of the patients were randomly selected by SPSS software as the training set for establishing the prediction model, and the remaining 20% (49 patients) served as the test set for the internal verification of the prediction model. The study was conducted in accordance with the Declaration of Helsinki and its subsequent amendments. The study was approved by the Ethics Committee of the First Hospital of Hebei Medical University (No. 2021Y062). Written informed consent was obtained from all the patients.
Inclusion criteria
Patients were included in the study if they met the following inclusion criteria: (I) had undergone conventional ultrasound indicating carotid plaque with low, intermediate, or mixed echogenicity; (II) had a carotid plaque thickness ≥2 mm; (III) had undergone cranial computed tomography (CT) and magnetic resonance imaging showing acute cerebral infarction lesions in accordance with the diagnostic criteria in the “Guidelines for the Diagnosis and Treatment of Acute Ischemic Stroke in China” (2014 edition); and (IV) had complete information available.
Exclusion criteria
Patients were excluded from the study if they met any of the following exclusion criteria: (I) the cause of embolism was unrelated to carotid plaques (e.g., atrial fibrillation, patent foramen ovale, left atrial thrombus, or aortic arch plaques as identified by CT angiography); (II) had previously undergone carotid artery stenting or carotid endarterectomy; (III) had an allergy or intolerance to contrast agents; (IV) had a serious respiratory system disease such as severe pulmonary hypertension, adult respiratory distress syndrome, or asthma; and/or (V) refused to sign the informed consent form.
Ultrasonic examination methods and observation indexes
All the patients underwent conventional carotid artery ultrasound, contrast ultrasound, and elastography. An E-Aixplorer ultrasound diagnostic system (French Acoustic Department) was used. A Sl10-2 liner array probe was used to observe and record the location, size, shape, and echogenicity of the carotid plaques. The ultrasonic probe was held vertically over the plaque without applying pressure. Patients were instructed to hold their breath. At least two 2-mm diameter areas were analyzed. For each area, the great Young’s modulus (YM) of the box, the minimum average YM and YM were recorded. This step was repeated three times, and the results were averaged. Elasticity to YM said. Finally, the ultrasound parameters and gain were adjusted to the contrast mode, and the mechanical index (0.07–0.09) was adjusted to avoid early bubble destruction and minimize echoes from surrounding tissues. The main observation area was positioned in the center of the screen. The contrast agent (Bracco, Italy) was injected via the median cubital vein, followed by a 5-mL saline flush. Dynamic images were then recorded for 2 minutes to capture the number, density, location, and diffusion direction of the contrast agent during angiography. All the ultrasound procedures were performed by senior physicians.
Observation indicators
Two-dimensional ultrasound was used to assess the plaque echogenicity, median gray value, the surface of the plaque, plaque location (common carotid artery, the bifurcation of the common carotid artery, or internal carotid artery), integrity of the plaque fibrous cap, plaque area, plaque length, plaque thickness, and the resulting degree of stenosis. According to the evaluation criteria (6) in the “Guidelines for Vascular Ultrasound Examination of Stroke in China”, plaque echogenicity was classified as whether it is homogeneous. Homogeneous plaques exhibit uniform internal echoes in two dimensions. Based on the difference between the intensity of the plaque echo and the vascular wall echo, the plaque echo was then further classified as: low (the echo in the plaque was lower than that in the intima layer); moderate (the echo in the plaque was relatively consistent with that in the inner layer); hyper (the echo in the plaque was equal to or slightly higher than that of the outer layer), or uneven (more than 20% of the echoes in the plaque were inconsistent).
Contrast-enhanced ultrasound (CEUS) was used to assess the density, location, and diffusion direction of the contrast agent of IPN. The ulceration neovascularization in carotid plaques can be determined based on the diffusion pattern of the contrast agent (7). The way in which the contrast agent diffuses from the outer vascular membrane to the base of the atherosclerotic plaque indicates neovascularization in plaque. The location and quantity of neovascularization in the plaque and the diffusion direction of the contrast agent were observed.
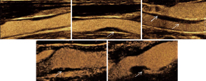
The neovascularization in the plaque was graded visually as follows (8): Grade 0: no significant enhancement; Grade 1: shoulder or base enhancement; Grade 2: both shoulder and base enhancement; Grade 3: patchy enhancement toward the center; Grade 4: diffuse enhancement (see Figure 1).
Shear wave elastography was used to measure the YM values (see Figure 2). Additionally, the direction of contrast agent diffusion in the plaque was categorized as internal-external or non-internal-external (where “internal” refers to the artery lumen, and “external” refers to the outer membrane of the artery).
A typical manifestation of an ulcer is the flow of contrast agent from the lumen into the concavity of the plaque-lumen boundary, accompanied by arterial lumen enhancement. The diffusion of micro-vesicles from the artery lumen into the plaque manifests as moving bright spots or lines from the inside or out. Studies have confirmed that contrast agent diffusion is related to plaque rupture (7,9).
Age, sex, body mass index (BMI), neck circumference, arm circumference, abdominal circumference, hip circumference, waist-to-hip ratio, a history of smoking, a history of drinking, hypertension, and a previous history of cerebral infarction, and the serological indexes of patients in each group were included [hemoglobin, white blood cell (WBC) count, platelet count, fasting blood glucose, triglyceride (TG), total cholesterol (TC), low-density lipoprotein (LDL) cholesterol, high-density lipoprotein (HDL) cholesterol, alanine aminotransferase, aspartate aminotransferase, creatinine, C-reactive protein (CRP), homocysteine (HCY), total bilirubin (TBIL), direct bilirubin, indirect bilirubin, serum uric acid (SUA), lipoprotein A, D-dimer, antithrombin-3, and fibrinogen].
Statistical analysis
The median and interquartile range were used to describe the non-normally distributed quantitative data in the training set and test set, and the frequency (percentage) was used to describe the qualitative data.
Differences in the baseline data between the training and test sets were compared. The t-test or non-parametric test was used to compare the quantitative data, and the Chi-squared test was used to the compare qualitative data. All the clinical observation indexes were first analyzed by univariate and least absolute shrinkage and selection operator (LASSO) regression analyses to identify the preliminary factors associated with AIS (P<0.05). Significant risk factors from these analyses were then included in the multivariate regression analysis to identify independent factors. These independent factors were then included in the prediction model. Establish the prediction model of line graph.
Validation of prediction models: The area under the curve (AUC) values of the receiver operating characteristic (ROC) curves were used to evaluate the differentiation of the prediction models. The calibration of the prediction models was evaluated using calibration curves, and a decision curve analysis (DCA) was used to evaluate the clinical usefulness of the prediction models.
SPSS software and R language were used to conduct the statistical analysis and process the clinical data. A clinical prediction model was constructed, and its clinical efficacy was evaluated. A P value ≤0.05 was considered statistically significant.
Results
A total of 244 carotid artery patients were included in this study. A comparison of the basic clinical data revealed statistically significant differences between the two groups (including the modeling group and the verification group) in terms of glutamic-pyruvic transaminase, TBIL, uric acid, and a history of drinking, but no statistically significant differences in relation to the other indicators were found (P>0.05; Table 1).
Table 1
| Project | Modeling group (n=195) | Validation group (n=49) | P |
|---|---|---|---|
| ALT (U/L) | 21.62 (17.20) | 17.70 (27.00) | 0.044 |
| TBIL (μmol/L) | 12.90 (10.2) | 10.50 (8.8) | 0.049 |
| SUA (μmol/L) | 308.50 (90.0) | 275.7 (109.9) | 0.020 |
| Drinking | 94 | 34 | 0.008 |
Data are presented as median (interquartile range). ALT, alanine aminotransferase; SUA, serum uric acid; TBIL, total bilirubin.
Univariate logistic regression of variables using the training set
A univariate logistics regression analysis was conducted using the training set. In total, 15 variables [i.e., median gray scale (GSM), plaque area, maximum YM value, diffusion direction of contrast agent, neovascularization location, age, neck size, arm size, waist-hip ratio (WHR), hemoglobin, platelet count, TG, TC, HCY, and indirect bilirubin] were found to be statistically significant (P<0.05; Table 2).
Table 2
| Variables | OR | 95% CI | P |
|---|---|---|---|
| GSM | 1.027 | 1.009–1.045 | 0.003 |
| Plaque area | 0.393 | 0.166–0.930 | 0.034 |
| Diffusion direction of contrast agent | 0.946 | 0.902–0.992 | 0.022 |
| Neovascularization location | 0.457 | 0.241–0.867 | 0.016 |
| Age | 0.876 | 0.779–0.986 | 0.028 |
| Neck size | 0.820 | 0.706–0.953 | 0.010 |
| Arm size | 0.048 | 0.003–0.744 | 0.030 |
| WTHR | 0.031 | 0.002–0.621 | 0.023 |
| HGB | 0.718 | 0.613–0.842 | <0.001 |
| Plt | 0.720 | 0.549–0.946 | 0.018 |
| TG | 0.647 | 0.452–0.925 | 0.017 |
| TC | 0.594 | 0.375–0.940 | 0.026 |
| Scr | 0.993 | 0.988–0.999 | 0.024 |
| HCY | 0.956 | 0.915–1.000 | 0.048 |
| IBIL | 0.996 | 0.992–0.999 | 0.020 |
CI, confidence interval; GSM, median gray scale; HCY, homocysteine; HGB, hemoglobin; IBIL, indirect bilirubin; OR, odds ratio; Plt, platelet; Scr, serum creatinine; TC, total cholesterol; TG, triglyceride; WTHR, waist-to-height ratio.
LASSO regression was used to screen the variables, and the optimal λ value was determined by 10-fold cross-validation. As Figures 3,4 show, 17 variables were filtered using the lambda.min and one variable was filtered using the lambda.1se. In this study, variables were selected when the lambda.min was 0.04164331. The variables included the median gray scale, plaque area, mean YM value, neovascularization density, gender, BMI, arm size, WHR, waist-to-height ratio (WTHR), WBC count, LDL, CRP, TBIL, TC, SUA, a history of smoking, and glucose.
The significant variables from the univariate and LASSO regression analyses were included in the multivariate analysis, in which the plaque area, neovascularization density, WBC count, and waist ratio had P values <0.05. Additionally, a history of alcohol consumption was an independent risk factor according to the literature review (2,10). Thus, these five variables were included in the prediction model (Table 3).
Table 3
| Variables | OR | 95% CI | P |
|---|---|---|---|
| Plaque area | 4.840 | 1.392–16.829 | 0.013 |
| MVD | 1.069 | 1.001–1.141 | 0.046 |
| WTHR | 84.685 | 1.053–6,809.263 | 0.047 |
| WBC | 1.307 | 1.074–1.591 | 0.008 |
CI, confidence interval; MVD, microvessel density; OR, odds ratio; WBC, white blood cell; WTHR, waist-to-height ratio.
Construction of a prediction model
As Figure 5 shows, the plaque area, neovascularization density, WBC count, WTHR, and a history of alcohol consumption were included in the prediction model to construct a nomogram. The score of each indicator was obtained through the line chart, and the score of each predictor was superposed to obtain the total score. The total score corresponded to the corresponding prediction probability, and the prediction probability of each individual was obtained; that is, the risk of AIS. The linear predictor indicated the total score of each indicator. The linear predictor indicated the total Y value of the multivariate model. The total points were compared to the row of total points to determine the total scores corresponding to different Y values. It was also compared to the corresponding occurrence rate below.
Evaluation and validation of clinical prediction model
The AUC value of the prediction model in the training set was 0.738 [95% confidence interval (CI): 0.582–0.884], indicating that the prediction model had good accuracy (red line); its AUC value in the test set was 0.733 (95% CI: 0.669–0.807), indicating that the prediction model had good accuracy (blue line). The C statistics of the prediction model in both the training and test sets were >0.7, indicating that the model had a good ability to identify AIS patients (Figure 6).
As Figure 7 shows, the ideal calibration curve is a curve with an intercept of 0 and a slope of 1. The calibration curve (Figure 8) of the prediction model in the training set and test set in this study fit well with the ideal curve. The Hosmer and Lemeshow tests showed that the Chi-squared value of the prediction model in the training set was 3.895 (P=0.867), indicating that the prediction model was well calibrated in the training set. The Hosmer and Lemeshow tests of the prediction model in the test set showed that the Chi-squared value was 6.701 (P=0.569), indicating that the prediction model was well calibrated in the test set. The probability of AIS predicted by the predictive model was in good agreement with the actual probability.
Clinical effectiveness
This study used a DCA to evaluate the clinical practicability of the prediction model for cerebral infarction. As shown in the Figures 9,10, the horizontal line indicates that in an extreme case, when all patients predicted by the model were free of disease, the net benefit was 0, while the gray line indicates that when all patients predicted by the model were sick, the net benefit was a negative curve of slope. As Figures 9,10 show, the two curves were higher than the other horizontal lines and gray lines in the training and test sets, indicating the clinical benefit of the model.
Discussion
The incidence, disability, and mortality rates of AIS increase year by year, and carotid atherosclerotic plaque is an important influencing factor of cerebral ischemic events (11). In clinical practice, carotid endarterectomy can effectively prevent stroke caused by lumen stenosis. However, the selection of patients undergoing carotid endarterectomy is based on the degree of carotid stenosis and the presence of ischemic vascular events (12). The prevention and treatment of asymptomatic carotid artery stenosis or non-stenosis is still controversial. AIS is increasingly affecting younger patients, and early prevention and control will have a great impact on the quality of life of patients in the future.
Ultrasonic and clinical inspection indexes are the main means of screening, and are widely used in clinical settings. However, to date, no predictive model for AIS has been established that combines multiple clinical indices and ultrasound data. At present, various ultrasound examination techniques, such as conventional ultrasound, CEUS, and elastography, can detect the characteristics of plaque, such as the gray scale, stenosis degree and blood flow signal. These techniques can be used to evaluate the nature of plaque and provide early warnings of the occurrence of AIS.
Studies have confirmed that CEUS can be used to detect irregularities and ulcers on the surface of carotid plaque and neovascularization in plaque, the latter is consistent with the histological results, indicating that CEUS can be used to predict the occurrence of cardiovascular and cerebrovascular events (13). Research has also shown that the low hardness of carotid plaque indicates potential carotid plaque instability (14).
Many factors are associated with the occurrence and progression of stroke. Previous studies have shown that the main clinical influencing factors include obesity, blood glucose, uric acid, D-dimer, and the WBC count (15-19). In this study, the univariate and LASSO regression analyses showed that the clinical risk factors associated with the occurrence of AIS included the gray median, stenosis grading, patch area, average maximum hardness, hardness, contrast agents spread direction, position of new blood vessels, the density of new blood vessels, gender, age, BMI, neck, arm circumference, waist-to-hip ratio, girth ratio, concentration of hemoglobin, platelet count, WBC count, LDL cholesterol, CRP, TBIL, TC, TG, creatinine, HCY, and indirect bilirubin. The influencing factors of uric acid, a history of alcohol consumption, and blood glucose were then included in the multivariate regression analysis, and the following independent influencing factors were identified: plaque area, neovascularization density, WBC count, waist ratio, and a history alcohol consumption. These factors were largely consistent with those identified in previous reports (2,10,20).
In this study, independent risk factors such as the plaque area, neovascularization density, WBC count, waist ratio, and a history of drinking were used as predictors, and the training set was used to construct a prediction model, while the test set was used for internal verification. The accuracy of the prediction models was internally validated using the test set. AUC values, a calibration scatter plot, and a DCA were used to evaluate the differentiation, calibration, and clinical utility of the prediction model, respectively. The AUC of the training set was 0.738 (95% CI: 0.582–0.884) and that of the test set was 0.733 (95% CI: 0.669–0.807). The C index in both groups was >0.7, indicating that the model had good discriminability for AIS patients. The calibration curve in the training and test sets largely fit with the ideal situation, and the curve was approximately 45°. The P values of the Hosmer and Lemeshow tests of the prediction models in both populations were >0.05, and the differences were not statistically significant. These results indicated that the calibration degree of the prediction model was good, and the probability of predicting AIS patients was consistent with the actual probability. The net benefit rate curve evaluated by the new program was above the total benefit and there were no benefit reference lines, confirming the clinical validity of the prediction model. Thus, this model can be used to guide prevention and treatment strategies for patients with different risk probabilities as appropriate.
Previous studies have reported that a number of clinical and ultrasound indicators are closely related to stroke, which we confirmed in this study. However, the indicators that were not statistically significant in our study results had a low effect compared with the other included factors, and thus were not included in the final prediction model. A prediction model that combines a variety of ultrasound results, blood biochemical tests, and general clinical indicators could aid in the comprehensive early screening of high-risk patients. Such a model could be used to predict the probability of AIS occurrence or recurrence, enable early intervention, and reduce the risk of AIS, thus improving the prognosis of patients.
In summary, our predictive model had high diagnostic efficiency and has been verified. It can provide important information for predicting the occurrence and development of AIS, and is thus worthy of further promotion in clinical practice.
This study had a number of limitations. Notably, the actual clinical situation is relatively complex, and many potential unknown factors could be associated with the disease. This was a single-center study. There might be some correlation between variables, and the coupled correlation function between some state variables might affect the accuracy of the prediction model. Follow-up multi-center, large-sample clinical studies should further validate and optimize the prediction model to enable it to more accurately stratify and assess risk, and more effectively identify, manage, and intervene in stroke risk groups.
Conclusions
The study showed that the plaque area, density of new blood vessels in plaques, WBC count, waist-to-body ratio, and a history of alcohol consumption were closely related to the occurrence and development of AIS.
Acknowledgments
None.
Footnote
Reporting Checklist: The authors have completed the TRIPOD reporting checklist. Available at https://qims.amegroups.com/article/view/10.21037/qims-24-1711/rc
Data Sharing Statement: Available at https://qims.amegroups.com/article/view/10.21037/qims-24-1711/dss
Funding: None.
Conflicts of Interest: All authors have completed the ICMJE uniform disclosure form (available at https://qims.amegroups.com/article/view/10.21037/qims-24-1711/coif). The authors have no conflicts of interest to declare.
Ethical Statement: The authors are accountable for all aspects of the work in ensuring that questions related to the accuracy or integrity of any part of the work are appropriately investigated and resolved. The study was conducted in accordance with the Declaration of Helsinki and its subsequent amendments. The study was approved by the Ethics Committee of the First Hospital of Hebei Medical University (No. 2021Y062). Written informed consent was taken from all the patients.
Open Access Statement: This is an Open Access article distributed in accordance with the Creative Commons Attribution-NonCommercial-NoDerivs 4.0 International License (CC BY-NC-ND 4.0), which permits the non-commercial replication and distribution of the article with the strict proviso that no changes or edits are made and the original work is properly cited (including links to both the formal publication through the relevant DOI and the license). See: https://creativecommons.org/licenses/by-nc-nd/4.0/.
References
- Cui L, Xing Y, Zhou Y, Wang L, Liu K, Zhang D, Chen Y. Carotid intraplaque neovascularisation as a predictive factor for future vascular events in patients with mild and moderate carotid stenosis: an observational prospective study. Ther Adv Neurol Disord 2021;14:17562864211023992. [Crossref] [PubMed]
- Millwood IY, Walters RG, Mei XW, Guo Y, Yang L, Bian Z, et al. Conventional and genetic evidence on alcohol and vascular disease aetiology: a prospective study of 500 000 men and women in China. Lancet 2019;393:1831-42. [Crossref] [PubMed]
- Buon R, Guidolin B, Jaffre A, Lafuma M, Barbieux M, Nasr N, Larrue V. Carotid Ultrasound for Assessment of Nonobstructive Carotid Atherosclerosis in Young Adults with Cryptogenic Stroke. J Stroke Cerebrovasc Dis 2018;27:1212-6. [Crossref] [PubMed]
- Wang C, Lv G, Zang D. Risk factors of carotid plaque and carotid common artery intima-media thickening in a high-stroke-risk population. Brain Behav 2017;7:e00847. [Crossref] [PubMed]
- Yin J, Yu C, Liu H, Du M, Sun F, Yu C, Wei L, Wang C, Wang X. A model to predict unstable carotid plaques in population with high risk of stroke. BMC Cardiovasc Disord 2020;20:164. [Crossref] [PubMed]
- Stroke Prevention and Treatment Project of Ministry of National Health and Family Planning Commission of the People’s Republic of China. Chinese guidelines for the vascular ultrasound examinations instroke Chinese Journal of Medical Ultrasound (Electronic Edition) 2015;12:599-610.
- Lyu Q, Tian X, Ding Y, Yan Y, Huang Y, Zhou P, Hui P. Evaluation of carotid plaque rupture and neovascularization by contrast-enhanced ultrasound imaging: an exploratory study based on histopathology. Transl Stroke Res 2021;12:49-56. [Crossref] [PubMed]
- Zamani M, Skagen K, Scott H, Russell D, Skjelland M. Advanced ultrasound methods in assessment of carotid plaque instability: a prospective multimodal study. BMC Neurol 2020;20:39. [Crossref] [PubMed]
- Cao J, Zeng Y, Zhou Y, Yao Z, Tan Z, Huo G, Zhang L, Zhou D. The value of contrast-enhanced ultrasound in assessing carotid plaque vulnerability and predicting stroke risk. Sci Rep 2025;15:5850. [Crossref] [PubMed]
- O'Donnell MJ, Chin SL, Rangarajan S, Xavier D, Liu L, Zhang H, et al. Global and regional effects of potentially modifiable risk factors associated with acute stroke in 32 countries (INTERSTROKE): a case-control study. Lancet 2016;388:761-75. [Crossref] [PubMed]
- Bos D, Arshi B, van den Bouwhuijsen QJA, Ikram MK, Selwaness M, Vernooij MW, Kavousi M, van der Lugt A. Atherosclerotic Carotid Plaque Composition and Incident Stroke and Coronary Events. J Am Coll Cardiol 2021;77:1426-35. [Crossref] [PubMed]
- Li Y, Zheng S, Zhang J, Wang F, He W. Multimodal ultrasound parameters aided carotid plaque risk stratification in patients with asymptomatic carotid stenosis. Acta Radiol 2022;63:278-86. [Crossref] [PubMed]
- Kopyto E, Czeczelewski M, Mikos E, Stępniak K, Kopyto M, Matuszek M, Nieoczym K, Czarnecki A, Kuczyńska M, Cheda M, Drelich-Zbroja A, Jargiełło T. Contrast-Enhanced Ultrasound Feasibility in Assessing Carotid Plaque Vulnerability-Narrative Review. J Clin Med 2023;12:6416. [Crossref] [PubMed]
- Globa MV, Derkach BV. Modern approaches to ultrasonographic assessment of carotid plaque in terms of its potential instability. Wiad Lek 2024;77:919-25. [Crossref] [PubMed]
- Li B, Li Y, Zhang Y, Liu R. A study on the correlation between different obesity indicators and carotid atherosclerosis in middle-aged and elderly populations. People’s Military Surgeon 2020;63:55-8.
- Sakai S, Uwatoko T, Ishitsuka K, Sugimori H. A case of internal carotid thrombus associated with brain infarction. Rinsho Shinkeigaku 2017;57:14-20. [Crossref] [PubMed]
- Song M, Li N, Yao Y, Wang K, Yang J, Cui Q, Geng B, Chen J, Wang Y, Cheng W, Zhou Y. Longitudinal association between serum uric acid levels and multiterritorial atherosclerosis. J Cell Mol Med 2019;23:4970-9. [Crossref] [PubMed]
- van der Heijden DJ, van Leeuwen MAH, Janssens GN, Lenzen MJ, van de Ven PM, Eringa EC, van Royen N. Body Mass Index Is Associated With Microvascular Endothelial Dysfunction in Patients With Treated Metabolic Risk Factors and Suspected Coronary Artery Disease. J Am Heart Assoc 2017;6:e006082. [Crossref] [PubMed]
- Zhou M, Wang H, Zeng X, Yin P, Zhu J, Chen W, et al. Mortality, morbidity, and risk factors in China and its provinces, 1990-2017: a systematic analysis for the Global Burden of Disease Study 2017. Lancet 2019;394:1145-58. [Crossref] [PubMed]
- Zhou R, Guo F, Azarpazhooh MR, Hashemi S, Cheng X, Spence JD, Ding M, Fenster A. Deep Learning-Based Measurement of Total Plaque Area in B-Mode Ultrasound Images. IEEE J Biomed Health Inform 2021;25:2967-77. [Crossref] [PubMed]






