The value of multi-parametric magnetic resonance imaging (MRI) radiomics in predicting isocitrate dehydrogenase (IDH) wildtype with telomerase reverse tranase (TERT) promoter mutation in glioma
Introduction
Gliomas are the most common primary malignant tumors of the central nervous system (1). According to the 2021 World Health Organization (WHO) classification of central nervous system tumors (2), isocitrate dehydrogenase (IDH) wildtype diffuse astrocytic glioma with a telomerase reverse tranase (TERT) promoter mutation can be diagnosed as glioblastoma (GBM), WHO grade 4, highlighting the critical role of molecular markers in the classification and treatment of gliomas. GBM is highly aggressive, with a high degree of malignancy and a high recurrence rate, and the median survival time is only 14–16 months (3). Notably, in patients with IDH-wildtype GBM, the occurrence rate of TERT mutations can reach 80% to 90% (4).
The IDH gene primarily includes IDH1 and IDH2, and mutations in these genes lead to altered metabolic enzyme function, resulting in the production of 2-hydroxyglutarate (2-HG). This metabolite can inhibit DNA and histone demethylases, leading to genomic and epigenetic changes that promote tumor initiation and progression (5-7). TERT is the catalytic subunit of telomerase, responsible for maintaining telomere length, thereby protecting chromosome ends during cell division (8). The two most common mutations in the TERT promoter are C228T and C250T, located upstream of the TERT ATG start site at −124 base pairs (bp) and −146 bp, respectively (chr5p15.33: 1,295,228 C>T and 1,295,250 C>T) (9). TERT promoter mutations create new binding sites, increasing TERT gene expression, which in turn activates telomerase activity, extends the lifespan of tumor cells, and promotes their unlimited proliferation (10,11). Additionally, TERT promoter mutations are closely associated with tumor recurrence and treatment resistance, further worsening patient prognosis (12,13). IDH-wildtype gliomas are generally associated with greater aggressiveness and poorer prognosis, and TERT mutations further exacerbate these adverse prognostic features. Patients with such gliomas typically exhibit higher invasiveness and stronger drug resistance, making treatment more challenging. Research indicates that glioma patients with IDH-wildtype and TERT promoter mutations often have shorter progression-free survival and overall survival (14-16). Therefore, early identification of glioma patients with IDH-wildtype with TERT promoter mutations is crucial for early comprehensive and individualized treatment.
Currently, the detection of IDH and TERT mutations is primarily conducted using molecular biology techniques, including polymerase chain reaction (PCR), sequencing, and immunohistochemistry (17). These techniques offer high specificity and sensitivity but also have certain limitations. For example, these methods usually require invasive sampling, such as surgery or biopsy, and the processing is complex and time-consuming. Additionally, due to tumor heterogeneity, a single sample may not fully capture the molecular characteristics of the tumor. Radiomics, as an emerging technology, extracts and analyzes high-throughput data features from medical imaging, providing rich information about tumor biological behavior in a non-invasive manner. By combining radiomics with bioinformatics and machine learning algorithms, it is possible not only to reveal the morphological characteristics of tumors but also to reflect their molecular and genetic features (18,19).
Existing research has shown that radiomics has high accuracy in the diagnosis and classification of gliomas. However, studies on the application of radiomics in predicting IDH-wildtype gliomas with TERT promoter mutations are still relatively limited. This study aims to explore the potential value of radiomics in predicting IDH-wildtype gliomas with TERT promoter mutations, with the expectation of constructing an effective radiomics model to provide reliable evidence for clinical decision-making, thereby improving the individualized treatment outcomes and prognosis management of glioma patients. We present this article in accordance with the TRIPOD+AI reporting checklist (available at https://qims.amegroups.com/article/view/10.21037/qims-24-2192/rc).
Methods
The study was conducted in accordance with the Declaration of Helsinki and its subsequent amendments. It involved the First Hospital of Shanxi Medical University, Shanxi Provincial People’s Hospital, and Shanxi Bethune Hospital, all affiliated with Shanxi Medical University. The study was approved by the Institutional Review Board of Shanxi Medical University (Approval No. 2021-K-K073). All participating centers provided agreement for the use of retrospective data, and the requirement for individual informed consent was waived.
Patients
This study analyzed data from three different institutions: Shanxi Provincial People’s Hospital (Center 1), The First Hospital of Shanxi Medical University (Center 2), and Shanxi Bethune Hospital (Center 3). A total of 453 patients with pathologically confirmed gliomas were collected. The inclusion criteria were pathologically confirmed glioma patients; complete magnetic resonance imaging (MRI) image sequences, including T2 fluid-attenuated inversion recovery (T2-FLAIR), contrast-enhanced T1-weighted imaging (CE-T1WI) and apparent diffusion coefficient (ADC); available information on IDH and TERT mutation status; and available clinical characteristics, including gender and age. Exclusion criteria included images with severe artifacts; previous radiotherapy, stereotactic radiosurgery, or surgical treatment; and unknown IDH and TERT mutation status. Ultimately, 415 glioma patients were included in this study. Patients from The First Hospital of Shanxi Medical University and Shanxi Provincial People’s Hospital were randomly divided into a training set and a test set in a 7:3 ratio, while patients from Shanxi Provincial People’s Hospital served as an external validation set. The patient selection process is illustrated in Figure 1.
Equipment
The MRI data included CE-T1WI, T2-FLAIR sequences, and diffusion-weighted imaging (DWI), acquired using a 3.0T MRI system (GE, Octane; Siemens, Altea). Post-contrast T1WI images were captured after intravenous injection of gadopentetate dimeglumine at a rate of 2 mL/s (0.2 mL/kg body weight) through the median cubital vein. ADC maps were automatically generated on the DWI workstation. The MRI sequence parameters are shown in Table 1.
Table 1
| Parameters | T2-FLAIR | CE-TIWI | DWI |
|---|---|---|---|
| TR (ms) | 8,002 | 8,200 | 5,000 |
| TE (ms) | 127.0 | 84.0 | 74.5 |
| Layer thickness (mm) | 6.0 | 6.0 | 6.0 |
| Interlayer spacing (mm) | 1.0 | 1.0 | 1.0 |
| FOV (mm) | 240×240 | 240×240 | 240×240 |
| Matrices | 256×256 | 256×256 | 256×256 |
CE-T1WI, contrast-enhanced T1-weighted imaging; DWI, diffusion-weighted imaging; FOV, field of view; MRI, magnetic resonance imaging; T2 FLAIR, T2 fluid-attenuated inversion recovery; TE, echo time; TR, repetition time.
IDH and TERT promoter detection
IDH1/2 mutations and TERT promoter mutations were analyzed in the pathology departments of the institutions using Sanger sequencing and next-generation sequencing.
Tumour region of interest (ROI) segmentation
Image segmentation was performed using ITK-SNAP software. To ensure the accuracy of ROI delineation, two radiologists with 10 and 15 years of experience manually segmented the images independently in a blinded manner. The final ROI was determined as the overlapping area of the segmentation results from the two radiologists and was validated by a senior radiologist with 20 years of experience. In order to evaluate the stability and repeatability of radiomics features, inter-rater analysis was performed based on the segmentation results of the first two radiologists, and the inter-group correlation coefficient (ICC) was used as a measure. The radiomics flow chart is shown in Figures 2,3.
MRI radiomics feature extraction
PyRadiomics (version 3.1.0) was used to extract radiomics features from the ROI. Detailed algorithms and feature descriptions can be found at (https://github.com/Radiomics/pyradiomics). A total of 3,591 features (1,197×3) were extracted from the CE-T1WI, T2-FLAIR, and ADC sequences. The 1,197 features include 234 first-order features, 14 shape features, and 949 texture features. The texture features are composed of five matrices: Gray Level Co-occurrence Matrix (GLCM), Gray Level Dependence Matrix (GLDM), Gray Level Run Length Matrix (GLRLM), Gray Level Size Zone Matrix (GLSZM), and Neighboring Gray Tone Difference Matrix (NGTDM), with feature counts of 286, 182, 208, 208, and 65, respectively.
Feature selection and model development
First, the radiomics features were preprocessed as follows: to ensure the stability and robustness of the radiomics features, those with an ICC below 0.8 were removed; radiomics features were then normalized using Z-score transformation. Independent sample t-tests were conducted for preliminary feature screening, selecting significant features (P<0.05). Next, Pearson correlation analysis was used to eliminate redundant features with a correlation coefficient >0.9, retaining features with a higher linear correlation coefficient to the target parameter. Finally, key features were selected using least absolute shrinkage and selection operator (LASSO), with the optimal parameter λ determined through 10-fold cross-validation, and features with non-zero coefficients were selected.
The radiology model of the optimal feature subset was established by logistic regression, and the models of ADC, CE-T1WI, T2 FLAIR and three sequence fusion were established respectively. The radiology score (Radscore) of each patient was calculated according to the optimal model, and the efficacy of the model was evaluated by the area under the curve (AUC), accuracy, sensitivity and specificity.
Development of the clinical model
Clinical factors include age, gender and histological grade. Firstly, univariate regression analysis was used to screen out the characteristics with p value less than 0.05, and then multivariate analysis was performed to select statistically significant clinical factors, and the clinical model was constructed by logistic regression.
Development of the clinical-radiomics nomogram
A radiomics nomogram model was constructed using multivariable logistic regression analysis, incorporating both radiomics scores and clinical variables. The performance of the prediction model was evaluated using AUC, accuracy, sensitivity, and specificity. The DeLong test was used to compare the performance of the receiver operating characteristic (ROC) curves. A calibration curve was utilized to assess the consistency between the predicted probabilities and observed outcomes at different risk levels. The Hosmer-Lemeshow test was employed to evaluate the goodness of fit for all models. Decision curve analysis (DCA) was used to quantify the net benefit at different threshold probabilities.
Statistical analysis
Statistical analysis was performed using SPSS (version 27.0; IBM) and Python software (version 3.7.14). The Kruskal-Wallis test was used for continuous variables, and the Chi-squared test was used for categorical variables. The effectiveness of the models was evaluated using metrics such as AUC, accuracy, sensitivity, and specificity. The DeLong test was used to compare the AUCs of the clinical, radiomics, and clinical-radiomics nomogram models. A P value of <0.05 was considered statistically significant.
Results
Basic clinical information of the patients
The clinical characteristics of the patients are shown in Table 2. A total of 415 patients were included in this study (including 130 cases of IDH wildtype with TERT promoter mutation), with 207 cases in the training set, 90 cases in the test set, and 118 cases in the external validation set. In the training cohort, there were 60 cases of IDH-wildtype gliomas with TERT promoter mutation and 147 cases of non-IDH-wildtype gliomas with TERT promoter mutation. In the test cohort, there were 16 cases of IDH-wildtype with TERT promoter mutation and 74 cases of non-IDH-wildtype with TERT promoter mutation. In the external validation cohort, there were 54 cases of IDH-wildtype with TERT promoter mutation and 64 cases of non-IDH-wildtype with TERT promoter mutation. There were no statistically significant differences between the three groups in terms of age, gender, or histological grade (P>0.05).
Table 2
| Parameters | Training set | Test set | External validation set | P value |
|---|---|---|---|---|
| Age (years) | 53.0 [42–63] | 50.5 [40–61] | 53.0 [44–62] | 0.337 |
| Gender | 0.758 | |||
| Male | 118 (57.00) | 50 (55.56) | 62 (52.54) | |
| Female | 89 (43.00) | 40 (44.44) | 56 (47.46) | |
| Grade | 0.243 | |||
| 2 | 63 (30.43) | 24 (26.67) | 32 (27.12) | |
| 3 | 56 (27.05) | 33 (36.67) | 25 (21.19) | |
| 4 | 88 (42.51) | 33 (36.67) | 61 (51.69) |
Data are presented as median [interquartile range] or n (%).
Radiomics feature selection and model construction
Out of the 3,591 extracted features, baseline analysis excluded 3,366 features. Further application of the optimal regularization weight λ (logλ =0.0295) resulted in the selection of only 21 features with non-zero coefficients (Figure 4).
The three sequences of CE-T1WI, T2-FLAIR and ADC were used to construct the model respectively, and finally the combined model was constructed. The AUC values of the CE-T1WI, T2-FLAIR, ADC, and combined models in the training set were 0.878, 0.817, 0.839, and 0.954, respectively. In the test set the AUC values were 0.812, 0.734, 0.794, and 0.867, respectively. In the external validation set, the AUC values were 0.618, 0.606, 0.773, and 0.816, respectively. The combined model demonstrated the best performance, with an AUC of 0.816 in the external validation set and an accuracy of 0.805. The ROC curve, accuracy, sensitivity and specificity of the radiomics model are shown in Table 3 and Figure 5.
Table 3
| Sequences | Data set | AUC (95% CI) | ACC | SEN | SPE |
|---|---|---|---|---|---|
| ADC | Training | 0.839 (0.7802–0.8973) | 0.802 | 0.917 | 0.599 |
| Test | 0.794 (0.6720–0.9158) | 0.848 | 0.750 | 0.770 | |
| External validation | 0.773 (0.6893–0.8558) | 0.686 | 0.944 | 0.469 | |
| T2-FLAIR | Training | 0.817 (0.7542–0.8800) | 0.763 | 0.667 | 0.803 |
| Test | 0.734 (0.6020–0.8605) | 0.700 | 0.687 | 0.703 | |
| External validation | 0.606 (0.5025–0.7104) | 0.619 | 0.500 | 0.719 | |
| CE-T1WI | Training | 0.878 (0.8322–0.9236) | 0.792 | 0.817 | 0.782 |
| Test | 0.812 (0.6792–0.9441) | 0.844 | 0.625 | 0.892 | |
| External validation | 0.618 (0.5163–0.7203) | 0.602 | 0.481 | 0.703 | |
| Combined | Training | 0.954 (0.9270–0.9803) | 0.884 | 0.917 | 0.871 |
| Test | 0.867 (0.7676–0.9672) | 0.822 | 0.750 | 0.838 | |
| External validation | 0.816 (0.7310–0.9004) | 0.805 | 0.704 | 0.891 |
ACC, accuracy; ADC, apparent diffusion coefficient; AUC, area under the curve; CE-T1WI, contrast-enhanced T1-weighted imaging; CI, confidence interval; SEN, sensitivity; SPE, specificity; T2-FLAIR, T2 fluid-attenuated inversion recovery.
Construction of the clinical model
In the training cohort, univariate and multivariate regression analyses identified (Table 4) that age (P=0.032) and histological grade (P<0.001) were statistically significant, leading to the development of the clinical model. The AUC in the training set, test set, and external validation set was 0.802, 0.848, and 0.676.
Table 4
| Variables | Univariate regression analysis | Multivariate regression analysis | |||||
|---|---|---|---|---|---|---|---|
| OR | 95% CI | P value | OR | 95% CI | P value | ||
| Age | 1.037 | 1.012–1.062 | 0.003 | 1.027 | 1.002–1.053 | 0.032 | |
| Gender | 1.200 | 0.656–2.193 | 0.555 | 2.305 | 1.489–3.570 | <0.001 | |
| Grade | 2.503 | 1.630–3.843 | <0.001 | – | – | – | |
CI, confidence interval; IDH, isocitrate dehydrogenase; OR, odds ratio; TERT, telomerase reverse transcriptase.
Development of the clinical-radiomics nomogram
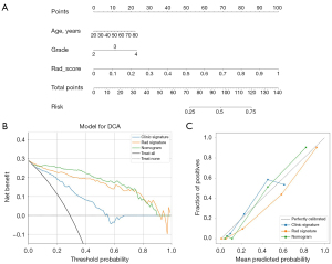
Figure 6 shows a radiomics nomogram combining radiomics and clinical variables to comprehensively predict TERT promoter mutation in IDH wildtype glioma patients. The nomogram (Figure 6A) and its clinical utility analysis (Figure 6B,6C) are presented. The performance of the clinical model and the nomogram model is shown in Table 5. The results show that the nomogram model has higher diagnostic efficiency than the single model in the training set, test set and external validation set. The AUC of the nomogram was 0.963 [95% confidence interval (CI): 0.9369–0.9890] in the training set, 0.905 (95% CI: 0.8364–0.9727) in the test set, and 0.823 (95% CI: 0.7402–0.9062) in the external validation set. The ROC curve of the radiomics model, clinical model, and nomogram is shown in Figure 7. The DeLong test showed that the AUC value of the nomogram model was significantly higher than that of the clinical model (P<0.05), The integrated radiomics model showed no significant association (P=0.15). Comparing the predicted results with the actual results, the calibration curve of the nomogram showed that the radiomic prediction of IDH wildtype with TERT mutation subtype was in good agreement with the actual pathological results. The Hosmer-Lemeshow test further verified the goodness of fit of the training set (P=0.463). On the other hand, the DCA of the nomogram is represented by drawing the threshold probability on the x-axis and drawing the net income on the y-axis (Figure 6B,6C).
Table 5
| Model | Data set | AUC (95% CI) | ACC | SEN | SPE |
|---|---|---|---|---|---|
| Clinic | Training | 0.802 (0.7421–0.8616) | 0.802 | 0.917 | 0.599 |
| Test | 0.848 (0.7599–0.9352) | 0.848 | 0.750 | 0.770 | |
| External validation | 0.676 (0.5782–0.7739) | 0.661 | 0.611 | 0.703 | |
| Nomogram | Training | 0.963 (0.9369–0.9890) | 0.918 | 0.933 | 0.912 |
| Test | 0.905 (0.8364–0.9727) | 0.822 | 0.875 | 0.811 | |
| External validation | 0.823 (0.7402–0.9062) | 0.805 | 0.704 | 0.891 |
ACC, accuracy; AUC, area under the curve; CI, confidence interval; SEN, sensitivity; SPE, specificity.
Discussion
Gliomas are a heterogeneous group of tumors that originate from cells of the central nervous system. Due to their diverse clinical behavior and complex molecular underpinnings, they present significant challenges. With the development of pathological detection techniques, particularly advancements in next-generation sequencing and DNA methylation profiling, the pathological mechanisms of gliomas are gradually becoming clearer. An increasing number of molecular markers have been shown to be associated with the development, progression, and prognosis of gliomas. Accurate characterization and classification of gliomas are crucial for guiding treatment decisions and predicting patient outcomes (20,21). Notably, the release of the 2021 WHO classification guidelines (2) has brought profound changes to the field of glioma classification (22). The core of this classification is molecular markers, further underscoring the importance of molecular subtyping. IDH is an important marker for assessing prognosis, with TERT promoter mutations showing opposite effects in IDH-mutant and IDH-wildtype gliomas. IDH-wildtype gliomas with TERT promoter mutations have the worst prognosis and lower survival rates (23). Therefore, early and accurate identification is crucial for guiding patient treatment. The treatment of IDH-wildtype gliomas with TERT promoter mutations typically requires comprehensive therapy. Studies have shown that temozolomide (TMZ) chemotherapy provides no clinical benefit for patients with this type of glioma (24), making the decision to use TMZ treatment still controversial. Since TERT promoter mutations lead to abnormal increases in telomerase activity, targeted therapies against telomerase have become a key focus of research (25). Immunotherapy has been shown to benefit glioma patients with TERT mutations (26). Recent studies indicate that IMPDH inhibition can reduce TERT expression and, when combined with other chemotherapeutic agents, improve patient survival (27).
This study aims to evaluate the predictive value of MRI radiomics in identifying IDH-wildtype gliomas with TERT promoter mutations. Our results indicate that radiomics has significant potential in distinguishing IDH-wildtype gliomas with TERT promoter mutations, offering a non-invasive method to assist clinical decision-making. Additionally, by incorporating clinical factors, we developed a clinical-radiomics nomogram, which further enhanced predictive performance, with an AUC of 0.956 in the training cohort, 0.905 in the internal test cohort, and 0.823 in the external validation cohort. Furthermore, DCA demonstrated the clinical utility of the nomogram. Radiomics, as a non-invasive method, has been widely applied in the diagnosis, grading, and prognosis of gliomas (28-30). Recent studies have shown that radiomics is highly effective in predicting the status of IDH and TERT promoter mutations in gliomas. Liang et al. (31) used multiparametric MRI radiomics to predict IDH genotype, achieving AUC values of 0.974 and 0.872 in the training and validation cohorts, respectively, outperforming traditional clinical models. Wang’s radiomics model based on DCE-MRI and DWI has the potential to improve the prediction of IDH1 mutations in gliomas (32); Li et al. (33) developed a radiomics nomogram that aids in predicting TERT promoter mutations in GBM, with an AUC of 0.906 in the training set. Furthermore, with the increasing research on molecular markers, there is a growing interest in using radiomics to predict multiple molecular subtypes simultaneously. Wang et al. (34) combined CE-T1WI, ADC, and FLAIR sequences, using the automated machine learning algorithm TPOT to train a diagnostic model for detecting IDH-mutant and TERT promoter-mutant (IDHmut pTERTmut) gliomas, achieving an AUC of 0.971 and a sensitivity of 0.833 in the test set. However, there are few studies on the prediction of IDH wildtype with TERT promoter mutation.
In this study, 3,591 imaging features were extracted from CE-T1WI, T2 FLAIR, and ADC sequences, including shape, texture, and wavelet features, which demonstrated high accuracy in distinguishing different genetic mutation types in gliomas. Shape features reflect the geometric properties of the tumor, texture features provide information on the internal heterogeneity of the tumor tissue, and wavelet features capture image variations at different scales. In our study, texture features contributed the most, likely because they make up the largest proportion of radiomics features. Additionally, texture features contain more microstructural information, which better reflects the heterogeneous growth and invasion patterns of gliomas (35,36). We also constructed models for each of the three sequences individually, with the CE-T1WI model performing the best, achieving an AUC of 0.878 in the training set. Previous studies have shown that (37) when predicting IDH mutation status in gliomas using MRI radiomics models based on multiple sequences, the CE-T1WI sequence also performed the best, with an average AUC of 0.846 and an average accuracy of 0.792.
In our study, we included three clinical factors: age, gender, and histological grade. Through univariate and multivariate analyses, gender was found to have a P value greater than 0.05, indicating no statistical significance, while age and histological grade were statistically significant. This suggests that age and histological grade have an impact on the prognosis of gliomas. Previous studies have also indicated that (38,39) age and grade are independent prognostic factors affecting the survival of glioma patients, corroborating our findings. Older age tends to have a poor prognosis, which may be related to the decline of the immune system, the decrease of treatment tolerance and the increase of tumor invasion. At the same time, the higher the grade, the higher the malignancy of the tumor and the worse the prognosis. Therefore, this study constructed a clinical model based on age and grade. The AUC in the training set was 0.802, which was lower than the AUC value of the imaging model, indicating that the prediction efficiency of the imaging model was better than that of the clinical model. This may be because the radiomics model can capture the potential tumor heterogeneity features from MRI images, including texture features and microscopic pathological information inside the tumor, which may not be fully reflected in traditional clinical grading and age indicators. However, the clinical model still has some practical value. Age and grade are routinely available basic information in clinical practice, and their predictive ability can be used as a baseline assessment tool. Although the radiomics model performs better, the fusion model combining clinical factors and imaging features may further improve the predictive ability. Therefore, in the follow-up analysis of this study, we combined Radscore and clinical variables to construct a nomogram model that can be used to guide clinical decision-making.
In addition, this study combined age, grade and radiomics model Radscore to construct a clinical image nomogram model. The results show that the model has the highest prediction efficiency, which is better than the single image model and the clinical model. Through the DeLong test, the predictive power of the nomogram model was higher than that of the clinical model (P<0.05), and the image combined model also had good predictive power, which was also better than the clinical model (P<0.05). There was no statistical significance between the nomogram model and the image combined model (P=0.15), indicating that the predictive power of the two models was similar. Previous studies have also supported that the combination of radiomics and clinical factors can improve the predictive efficacy of the model. This is consistent with our study. The AUC value of the nomogram model in the training set is 0.963, which is higher than that of the image joint model (AUC is 0.954). However, the improvement effect of this study is not very significant. The possible reason is that the efficiency of the image fusion model is already high. Although it has been improved after adding clinical factors, the improvement effect is small. It may also be that the clinical factors included in this study are too few, and the value of the model is limited. In order to further evaluate the clinical practicability of the nomogram model, DCA was drawn in this study to compare the net benefits of different models under different threshold probabilities. The results show that the nomogram model shows a high net benefit in all reasonable decision threshold ranges, which further proves its value in assisting clinical decision-making. Compared with single imaging model or clinical model, nomogram model provides more accurate individualized prediction ability, which is helpful to optimize preoperative risk assessment and treatment decision-making.
There are some limitations in this study. First, it is a retrospective study, and the sequences used are common ones—CE-T1WI, T2 FLAIR, and ADC—without including advanced MRI techniques such as perfusion-weighted imaging (PWI) and arterial spin labeling (ASL). Future research could benefit from incorporating functional sequences to enhance the extraction of tumor information. Second, the collection of clinical factors was insufficient, and patient prognosis was not analyzed. This study only included age, gender, and histological grade as factors; more clinical factors should be collected to improve the performance of the clinical model. In the construction of the final radiomics-clinical combined model, the radiomics model and clinical model should complement each other to further enhance the predictive performance of the combined model. Third, for the construction of the imaging model, only the logistic regression model was used. To further evaluate and improve predictive performance, it is necessary to analyze and compare the predictive performance of various models.
Conclusions
In conclusion, this study developed a radiomics model based on preoperative MRI to predict the molecular subtype of gliomas characterized by IDH-wildtype and TERT promoter mutations. The results demonstrated that the model has good predictive performance. By incorporating independent clinical risk factors, the nomogram model further improved the predictive accuracy to some extent. This model can provide valuable assistance in the precise preoperative molecular subtype diagnosis, prognosis prediction, and treatment planning of glioma patients.
Acknowledgments
The authors would like to express gratitude to all the relevant personnel from the First Hospital of Shanxi Medical University, Shanxi Bethune Hospital, and Shanxi Provincial People’s Hospital for their guidance and support.
Footnote
Reporting Checklist: The authors have completed the TRIPOD+AI reporting checklist. Available at https://qims.amegroups.com/article/view/10.21037/qims-24-2192/rc
Data Sharing Statement: Available at https://qims.amegroups.com/article/view/10.21037/qims-24-2192/dss
Funding: This work was supported by
Conflicts of Interest: All authors have completed the ICMJE uniform disclosure form (available at https://qims.amegroups.com/article/view/10.21037/qims-24-2192/coif). The authors have no conflicts of interest to declare.
Ethical Statement: The authors are accountable for all aspects of the work in ensuring that questions related to the accuracy or integrity of any part of the work are appropriately investigated and resolved. The study was conducted in accordance with the Declaration of Helsinki and its subsequent amendments. The study was approved by the Institutional Review Board of Shanxi Medical University (Approval No. 2021-K-K073). All participating centers provided agreement for the use of retrospective data, and the requirement for individual informed consent was waived.
Open Access Statement: This is an Open Access article distributed in accordance with the Creative Commons Attribution-NonCommercial-NoDerivs 4.0 International License (CC BY-NC-ND 4.0), which permits the non-commercial replication and distribution of the article with the strict proviso that no changes or edits are made and the original work is properly cited (including links to both the formal publication through the relevant DOI and the license). See: https://creativecommons.org/licenses/by-nc-nd/4.0/.
References
- Lapointe S, Perry A, Butowski NA. Primary brain tumours in adults. Lancet 2018;392:432-46. [Crossref] [PubMed]
- Louis DN, Perry A, Wesseling P, Brat DJ, Cree IA, Figarella-Branger D, Hawkins C, Ng HK, Pfister SM, Reifenberger G, Soffietti R, von Deimling A, Ellison DW. The 2021 WHO Classification of Tumors of the Central Nervous System: a summary. Neuro Oncol 2021;23:1231-51. [Crossref] [PubMed]
- Brown NF, Ottaviani D, Tazare J, Gregson J, Kitchen N, Brandner S, Fersht N, Mulholland P. Survival Outcomes and Prognostic Factors in Glioblastoma. Cancers (Basel) 2022;14:3161. [Crossref] [PubMed]
- Arita H, Yamasaki K, Matsushita Y, Nakamura T, Shimokawa A, Takami H, et al. A combination of TERT promoter mutation and MGMT methylation status predicts clinically relevant subgroups of newly diagnosed glioblastomas. Acta Neuropathol Commun 2016;4:79. [Crossref] [PubMed]
- Zhao H, Meng L, Du P, Liao X, Mo X, Gong M, Chen J, Liao Y. IDH1 mutation produces R-2-hydroxyglutarate (R-2HG) and induces mir-182-5p expression to regulate cell cycle and tumor formation in glioma. Biol Res 2024;57:30. [Crossref] [PubMed]
- Xu W, Yang H, Liu Y, Yang Y, Wang P, Kim SH, et al. Oncometabolite 2-hydroxyglutarate is a competitive inhibitor of α-ketoglutarate-dependent dioxygenases. Cancer Cell 2011;19:17-30. [Crossref] [PubMed]
- Ivanov S, Nano O, Hana C, Bonano-Rios A, Hussein A. Molecular Targeting of the Isocitrate Dehydrogenase Pathway and the Implications for Cancer Therapy. Int J Mol Sci 2024;25:7337. [Crossref] [PubMed]
- Shay JW, Wright WE. Role of telomeres and telomerase in cancer. Semin Cancer Biol 2011;21:349-53. [Crossref] [PubMed]
- Powter B, Jeffreys SA, Sareen H, Cooper A, Brungs D, Po J, Roberts T, Koh ES, Scott KF, Sajinovic M, Vessey JY, de Souza P, Becker TM. Human TERT promoter mutations as a prognostic biomarker in glioma. J Cancer Res Clin Oncol 2021;147:1007-17. [Crossref] [PubMed]
- Huang FW, Hodis E, Xu MJ, Kryukov GV, Chin L, Garraway LA. Highly recurrent TERT promoter mutations in human melanoma. Science 2013;339:957-9. [Crossref] [PubMed]
- Horn S, Figl A, Rachakonda PS, Fischer C, Sucker A, Gast A, Kadel S, Moll I, Nagore E, Hemminki K, Schadendorf D, Kumar R. TERT promoter mutations in familial and sporadic melanoma. Science 2013;339:959-61. [Crossref] [PubMed]
- Barthel FP, Wei W, Tang M, Martinez-Ledesma E, Hu X, Amin SB, Akdemir KC, Seth S, Song X, Wang Q, Lichtenberg T, Hu J, Zhang J, Zheng S, Verhaak RG. Systematic analysis of telomere length and somatic alterations in 31 cancer types. Nat Genet 2017;49:349-57. [Crossref] [PubMed]
- Gao K, Li G, Qu Y, Wang M, Cui B, Ji M, Shi B, Hou P. TERT promoter mutations and long telomere length predict poor survival and radiotherapy resistance in gliomas. Oncotarget 2016;7:8712-25. [Crossref] [PubMed]
- Yan J, Zhang B, Zhang S, Cheng J, Liu X, Wang W, Dong Y, Zhang L, Mo X, Chen Q, Fang J, Wang F, Tian J, Zhang S, Zhang Z. Quantitative MRI-based radiomics for noninvasively predicting molecular subtypes and survival in glioma patients. NPJ Precis Oncol 2021;5:72. [Crossref] [PubMed]
- Lee Y, Koh J, Kim SI, Won JK, Park CK, Choi SH, Park SH. The frequency and prognostic effect of TERT promoter mutation in diffuse gliomas. Acta Neuropathol Commun 2017;5:62. [Crossref] [PubMed]
- Vuong HG, Altibi AMA, Duong UNP, Ngo HTT, Pham TQ, Chan AK, Park CK, Fung KM, Hassell L. TERT promoter mutation and its interaction with IDH mutations in glioma: Combined TERT promoter and IDH mutations stratifies lower-grade glioma into distinct survival subgroups-A meta-analysis of aggregate data. Crit Rev Oncol Hematol 2017;120:1-9. [Crossref] [PubMed]
- Senhaji N, Squalli Houssaini A, Lamrabet S, Louati S, Bennis S. Molecular and Circulating Biomarkers in Patients with Glioblastoma. Int J Mol Sci 2022;23:7474. [Crossref] [PubMed]
- Zhou M, Scott J, Chaudhury B, Hall L, Goldgof D, Yeom KW, Iv M, Ou Y, Kalpathy-Cramer J, Napel S, Gillies R, Gevaert O, Gatenby R. Radiomics in Brain Tumor: Image Assessment, Quantitative Feature Descriptors, and Machine-Learning Approaches. AJNR Am J Neuroradiol 2018;39:208-16. [Crossref] [PubMed]
- Mayerhoefer ME, Materka A, Langs G, Häggström I, Szczypiński P, Gibbs P, Cook G. Introduction to Radiomics. J Nucl Med 2020;61:488-95. [Crossref] [PubMed]
- Ceccarelli M, Barthel FP, Malta TM, Sabedot TS, Salama SR, Murray BA, et al. Molecular Profiling Reveals Biologically Discrete Subsets and Pathways of Progression in Diffuse Glioma. Cell 2016;164:550-63. [Crossref] [PubMed]
- Gritsch S, Batchelor TT, Gonzalez Castro LN. Diagnostic, therapeutic, and prognostic implications of the 2021 World Health Organization classification of tumors of the central nervous system. Cancer 2022;128:47-58. [Crossref] [PubMed]
- Kurokawa R, Kurokawa M, Baba A, Ota Y, Pinarbasi E, Camelo-Piragua S, Capizzano AA, Liao E, Srinivasan A, Moritani T. Major Changes in 2021 World Health Organization Classification of Central Nervous System Tumors. Radiographics 2022;42:1474-93. [Crossref] [PubMed]
- Kikuchi Z, Shibahara I, Yamaki T, Yoshioka E, Shofuda T, Ohe R, Matsuda KI, Saito R, Kanamori M, Kanemura Y, Kumabe T, Tominaga T, Sonoda Y. TERT promoter mutation associated with multifocal phenotype and poor prognosis in patients with IDH wild-type glioblastoma. Neurooncol Adv 2020;2:vdaa114. [Crossref] [PubMed]
- Tesileanu CMS, Sanson M, Wick W, Brandes AA, Clement PM, Erridge SC, et al. Temozolomide and Radiotherapy versus Radiotherapy Alone in Patients with Glioblastoma, IDH-wildtype: Post Hoc Analysis of the EORTC Randomized Phase III CATNON Trial. Clin Cancer Res 2022;28:2527-35. [Crossref] [PubMed]
- Di Nunno V, Aprile M, Bartolini S, Gatto L, Tosoni A, Ranieri L, De Biase D, Asioli S, Franceschi E. The Biological and Clinical Role of the Telomerase Reverse Transcriptase Gene in Glioblastoma: A Potential Therapeutic Target? Cells 2023;13:44. [Crossref] [PubMed]
- Cao W, Lan J, Hu C, Kong J, Xiang L, Zhang Z, Sun Y, Zeng Z, Lei S. Predicting the prognosis of glioma patients with TERT promoter mutations and guiding the specific immune profile of immune checkpoint blockade therapy. Aging (Albany NY) 2024;16:5618-33. [Crossref] [PubMed]
- Liu X, Wang J, Wu LJ, Trinh B, Tsai RYL. IMPDH Inhibition Decreases TERT Expression and Synergizes the Cytotoxic Effect of Chemotherapeutic Agents in Glioblastoma Cells. Int J Mol Sci 2024;25:5992. [Crossref] [PubMed]
- Mahmoudi K, Kim DH, Tavakkol E, Kihira S, Bauer A, Tsankova N, Khan F, Hormigo A, Yedavalli V, Nael K. Multiparametric Radiogenomic Model to Predict Survival in Patients with Glioblastoma. Cancers (Basel) 2024;16:589. [Crossref] [PubMed]
- Du P, Wu X, Liu X, Chen J, Cao A, Geng D. Establishment of a Prediction Model Based on Preoperative MRI Radiomics for Diffuse Astrocytic Glioma, IDH-Wildtype, with Molecular Features of Glioblastoma. Cancers (Basel) 2023;15:5094. [Crossref] [PubMed]
- Lin K, Cidan W, Qi Y, Wang X. Glioma grading prediction using multiparametric magnetic resonance imaging-based radiomics combined with proton magnetic resonance spectroscopy and diffusion tensor imaging. Med Phys 2022;49:4419-29. [Crossref] [PubMed]
- Liang Y, Liu W, Bai D, Hu J, Wang Z. The value of multiparametric MRI radiomics in predicting IDH genotype in glioma before surgery. Front Oncol 2023;13:1265672. [Crossref] [PubMed]
- Wang J, Hu Y, Zhou X, Bao S, Chen Y, Ge M, Jia Z. A radiomics model based on DCE-MRI and DWI may improve the prediction of estimating IDH1 mutation and angiogenesis in gliomas. Eur J Radiol 2022;147:110141. [Crossref] [PubMed]
- Li Y, Chen L, Huang L, Li X, Huang Q, Tang L, Huang Z, Zhu L, Li T. A radiomics-based nomogram may be useful for predicting telomerase reverse transcriptase promoter mutation status in adult glioblastoma. Brain Behav 2024;14:e3528. [Crossref] [PubMed]
- Wang H, Zhang S, Xing X, Yue Q, Feng W, Chen S, Zhang J, Xie D, Chen N, Liu Y. Radiomic study on preoperative multi-modal magnetic resonance images identifies IDH-mutant TERT promoter-mutant gliomas. Cancer Med 2023;12:2524-37. [Crossref] [PubMed]
- Sottoriva A, Spiteri I, Piccirillo SG, Touloumis A, Collins VP, Marioni JC, Curtis C, Watts C, Tavaré S. Intratumor heterogeneity in human glioblastoma reflects cancer evolutionary dynamics. Proc Natl Acad Sci U S A 2013;110:4009-14. [Crossref] [PubMed]
- Hajri R, Nicod-Lalonde M, Hottinger AF, Prior JO, Dunet V. Prediction of Glioma Grade and IDH Status Using (18)F-FET PET/CT Dynamic and Multiparametric Texture Analysis. Diagnostics (Basel) 2023;13:2604. [Crossref] [PubMed]
- Kasap DNG, Mora NGN, Blömer DA, Akkurt BH, Heindel WL, Mannil M, Musigmann M. Comparison of MRI Sequences to Predict IDH Mutation Status in Gliomas Using Radiomics-Based Machine Learning. Biomedicines 2024;12:725. [Crossref] [PubMed]
- Shi W, Wang X, Liu S, Zheng Z, Dong L, Jiang X. A multivariate retrospective analysis of high-grade gliomas: Survival and prognostic factors. Cancer Med 2024;13:e7456. [Crossref] [PubMed]
- Li SW, Qiu XG, Chen BS, Zhang W, Ren H, Wang ZC, Jiang T. Prognostic factors influencing clinical outcomes of glioblastoma multiforme. Chin Med J (Engl) 2009;122:1245-9.

