CT and MRI imaging of mass in the carotid space: a pictorial review
Introduction
The carotid space is a paired space enclosed by the fibrous carotid sheath extending from the skull base to the mediastinum, which contains the common carotid artery (CCA), the internal carotid artery (ICA), the internal jugular vein (IJV), cranial nerves (IX–XII), the ansa cervicalis, the sympathetic chain, and deep cervical lymph nodes. A range of diseases may involve the carotid space and masses are the most commonly encountered manifestations caused by a variety of pathological processes. Primary masses which stem from the contents of the carotid space due to different pathological entities may have different positions in relation to the vessels, as well as different enhancement patterns. Secondary masses which come from direct extension of diseases outside the carotid space may have different spreading patterns according to the original disease. We can narrow down the differential diagnosis by analyzing the abovementioned features, and can even arrive at a definite diagnosis in most cases.
Anatomy
The carotid space is the space enclosed by the carotid sheath, the latter of which is formed by the superficial (anterolateral wall), middle (anteromedial wall), and deep (posterior wall) layers of the deep cervical fascia (1). It extends from the jugular foramen at the skull base to the aortic arch at the thoracic inlet and is divided into the supra- and infra-hyoid regions. The suprahyoid region is bounded anteriorly by the masticator and parapharyngeal spaces (PPS), laterally by the parotid space, medially by the retropharyngeal space, and posteriorly by the perivertebral space (2). It contains the ICA, IJV, cranial nerves IX–XII, ansa cervicalis, the sympathetic chain, and deep cervical lymph nodes (2). The infrahyoid region is bounded anteriorly by the anterior cervical space, medially by the visceral and retropharyngeal spaces, and posteriorly by the perivertebral and posterior cervical spaces. It contains the CCA, IJV, cranial nerve X, sympathetic chain, and deep cervical lymph nodes (2).
In the carotid space, the carotid artery lies centrally and the IJV lies posterolateral to the carotid artery. The cranial nerve X lies in the posterior groove between these vessels, whereas the cranial nerves (IX, XI, XII) pierce the carotid sheath anteriorly just below the skull base. The ansa cervicalis is embedded in the anterior carotid sheath, and the sympathetic chain is found posteriorly (3,4). The deep cervical lymph nodes lie anterior, lateral, and posterior to the IJV (2,5).
Along its course in the neck, the carotid space is adjacent to several anatomical structures. At the skull base, the carotid space communicates with intracranial structures via the internal jugular foramen (IJF) and hypoglossal canal. The carotid space lies posterior to the PPS, and medial to the parotid space, styloid process, and the posterior belly of the digastric muscle in the maxillofacial region. The carotid space lies lateral to the pharynx, larynx, trachea and esophagus, and anterolateral to the prevertebral space (6).
Primary masses in the carotid space
By definition here, primary masses refer lesions stemming from the contents of the carotid space. Among these lesions, lymphadenopathy is most commonly seen, followed by neurogenic tumor and paraganglioma. Aneurysm or pseudoaneurysm may occasionally present as mass of the carotid space. Branchial apparatus anomaly is an uncommon cause of mass in the carotid space. Masses arising from fat and other soft tissues in the carotid space are rare. Different pathological entities in the carotid space may have different relationships with the vessels in this space, as well as different enhancing patterns.
Neurogenic tumors
Neurogenic tumors of the head and neck arise from the peripheral nervous system. They are categorized as either neurogenic tumors, including schwannoma (neurilemmoma), neurofibroma, and malignant peripheral nerve sheath tumor (MPNST), or neural tumors, including neuroblastoma, ganglioneuroblastoma, and ganglioneuroma (7,8). The two most common benign tumors of the peripheral nerve are schwannoma and neurofibroma.
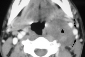
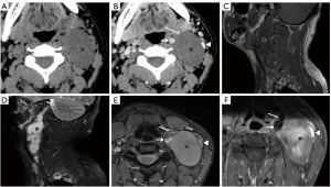
Schwannomas are benign tumors arising from Schwann cells surrounding peripheral nerves. Schwannomas in the carotid space most commonly stem from the vagus nerve. The tumor is usually a sharply demarcated round or oval mass with hypo-, iso-, or hyper-attenuation. Cystic degeneration, xanthomatous change, or areas of relative hypocellularity adjacent to densely cellular or collagenous regions usually contribute to heterogeneity of the tumor (Figure 1) (9,10). Schwannomas are hypovascular tumors, but in dynamic scans, they can show marked enhancement due to pooling of contrast agent resulting from poor venous drainage (11). More often, schwannomas demonstrate a variable degree of enhancement, most commonly patchy enhancement (Figures 2-7).
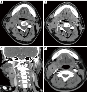
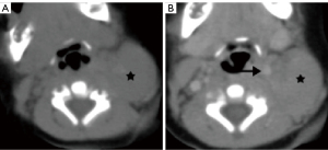
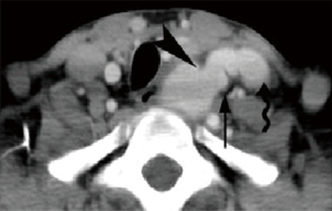
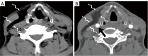
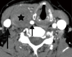
Due to its location between the vein and artery in the carotid space, schwannomas of the vagus nerve tend to separate the artery and vein, usually displacing the CCA/ICA medially and the IJV laterally (Figures 2,3) (12). Some schwannomas of the vagus nerve may displace the IJV and ICA/CCA in a posterior direction without splaying them and there is usually separation between the artery and vein (Figure 4). The cervical sympathetic chain runs in a fascial reflection posterior and slightly medial to the carotid space. Hence, schwannomas of the sympathetic chain tend to displace the IJV and CCA/ICA together, usually anteriorly and laterally (Figure 5) (5). A large schwannoma of the sympathetic chain may distort the surrounding anatomy and result in a posterior displacement of the carotid vessels without separation of the artery and vein (Figure 6) (13,14). Occasionally, a schwannoma of the cervical sympathetic chain may splay the internal and external carotid arteries at the carotid bifurcation but without encasing the arteries (Figure 7) (5). In these regards, the position of the tumor relating to the vessels in the carotid space is more important than the direction of vascular displacement. There has also been a reported case of schwannoma arising from the glossopharyngeal nerve in the carotid space causing posterior displacement of the ICA (15).
Neurofibroma in the carotid space may be sporadic or a part of neurofibromatosis. Computed tomography (CT) or magnetic resonance imaging (MRI) findings of neurofibromas are often similar to those of schwannomas (Figure 8). Localized lesions typically manifest as masses that grow in a longitudinal and fusiform manner along the affected nerve (5). These masses exhibit tapered ends, indicating the parent nerve entering and exiting the tumor (16,17). A “target sign” appearance has also been described, referring to the central hypointense region of the lesion on a MRI T2-weighted imaging (T2WI) image (18).
MPNST is the malignant counterpart to benign soft tissue tumors such as neurofibromas and schwannomas. MPNST is not common, accounting for 5–10% of all soft tissue sarcomas (19). It arises from a major or minor peripheral nerve branch or sheath of peripheral nerve fibers. The imaging findings are nonspecific, including an invasive tumor with areas of necrosis and hemorrhage. The tumor may spread along the epineurium and perineurium of nerve trunks over a variable distance from the epicenter of the lesion (7).
Primary cervical neuroblastoma is rare, accounting for less than 2.3% of all neuroblastomas. Neuroblastoma is the most common primary malignancy in the carotid space in children (20). Neuroblastoma is an embryonal tumor of the autonomic nervous system (21), the CT and MRI findings of which vary according to the histology of the tumor (Figure 9). The tumor may be homogeneous and well circumscribed or heterogeneous with areas of necrosis and hemorrhage. Calcification may be present and is less common than abdominal neuroblastoma.
Paraganglioma
Paraganglion is extra-adrenal neuroendocrine tissue, capable of producing and storing vasoactive and neurotransmitter substances, distributed in the whole body (22). Paraganglia in the head and neck migrate along a branchiomeric distribution (23). Paragangliomas, the tumors of the paraganglia, arise from this specialized tissue at any site along these specific locations in the head and neck with the four most common sites being the CCA bifurcation, the jugular foramen, along the vagus nerve, and within the middle ear.
Paragangliomas have characteristic CT and MRI appearances based on their hypervascularity. They are usually homogeneously or heterogeneously hyperdense or hyperintense after contrast enhancement, with incorporation of adjacent arteries on CT and MRI (Figures 10-12) (12). On MRI, serpentine and punctate areas of signal void representing high vascular flow are interspersed with areas of high signal intensity caused by slowly flowing blood. This “salt-and-pepper” pattern is seen in all lesions greater than 2 cm in maximal dimension (Figure 11) (23-25). Carotid body tumors (paragangliomas of the carotid body) splay the ICA and the external carotid artery (ECA) and may encase the ICA and ECA (Figure 10), whereas vagal paragangliomas displace both ICA and ECA anteromedially, separating these vessels from the IJV (Figure 11). Paragangliomas may be multicentric and can manifest as unilateral or bilateral lesions, either simultaneously or sequentially. Only a very low percentage of 3% of paragangliomas will undergo malignant transformation (25). The presence of local lymph node involvement, distant metastases, or extensive local invasion will establish the malignancy of a paraganglioma.
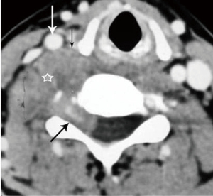
In the past, digital subtraction angiography (DSA) played an important role as a first-line imaging investigation for paragangliomas (26). However, such an invasive method is reserved for those few patients whose diagnosis, after sectional imaging, remains inconclusive, or preoperative embolization. DSA, and sometimes computed tomography angiography (CTA), will show feeding arteries, such as the ascending pharyngeal artery (the artery of the paraganglioma) (Figure 12) and occipital artery (27). DSA also shows intense staining of the tumor and a rapid venous drainage.
Lymphadenopathy
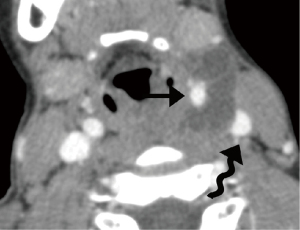
Lymphadenopathy is the most common pathology of the carotid space. A variety of primary diseases such as lymphoma, inflammation, and secondary diseases such as metastatic lymphadenopathy may involve lymph nodes, manifesting as masses of the carotid space. Enlarged lymph nodes, especially a solitary node, may mimic a primary tumor on CT and MRI. So, although the majority of lymphadenopathy is caused by metastatic tumors, we still describe them as “primary masses”. The imaging findings of diseased lymph nodes vary with different pathologies. Lymphoma may occur at any age with no gender difference, typically manifesting as painless or growing lymphadenopathy, and may have varying enhancement on CT/MRI imaging with extensive involvement and important neck structures encased yet without narrowing of arterial lumen (28-30). Metastatic lymphadenopathy is more frequently seen in middle-aged and elderly males and usually caused by head/neck squamous cell carcinoma, thyroid cancer, and so on. On CT/MRI imaging, it usually manifests as circular enhancement with central necrosis (squamous cell carcinoma), or obvious enhancement with cystic changes or calcification (thyroid cancer) (31-33). Lymph nodes in the carotid space lie anterior, lateral, and posterior to the jugular vein throughout its course in the neck (34). Therefore, enlarged lymph nodes in the carotid space will not be medial to any vessel in the carotid space (Figure 13), which is different from neurogenic tumors.
Miscellaneous
Aneurysm, pseudo-aneurysm, and arteriovenous fistula (AVF)
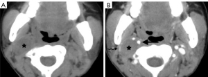
Vascular masses originating from the carotid space are rare, varying from aneurysm, pseudo-aneurysm, to carotid dissection, atherosclerosis, thrombus in the ICA or IJV, and fibromuscular dysplasia, which are identifiable on both MRI/magnetic resonance angiography (MRA) and CT/CTA (35-37). ICA aneurysm, usually arising from atherosclerotic ICA, is identified by their intimate relationship and synchronous enhancement with the ICA on CT or MR imaging (Figure 14). Pseudoaneurysms are often secondary to neck trauma and result from partial to complete disruption of the vascular wall, ultimately leading to hemorrhage contained by the adventitia of the vessel wall or perivascular soft tissues (Figure 15) (36). Neck AVF is usually a result of trauma which causes partial transaction of an adjacent artery and vein. AVF tends to be more clinically apparent. Contrast-enhanced CT may show direct communication between and synchronous of the artery and vein (Figure 16).
Venous malformation
Venous malformation is the most common type of vascular malformation and is predominant among slow-flow malformations, the latter of which include venous, lymphatic, and capillary malformations (38-42). Slow-flow venous vascular malformation, previously known as cavernous hemangioma, can affect various body regions, particularly the head and neck, and is typically located superficially. Rarely, it may involve the carotid space, manifesting as a continuous, soft, compressible mass that may involve multiple layers, align with muscle groups, follow nerve pathways, or course along major vessels, while exhibiting responsiveness to changes in venous flow (38). On CT or MR images, slow-flow venous vascular malformation may contain serpentine vessels, fat tissues, smooth muscle, hemosiderin, and phleboliths. The enhancing pattern of the tumor is influenced by the stage at the time of imaging. In the proliferative phase, the lesion may show intense enhancement on contrast-enhanced CT or MR imaging (Figure 17). In the involuting phase, the lesion has less enhancement and fatty replacement (43,44).
Meningioma
Meningiomas are common intracranial tumors that can extend extracranially. Primary extracranial meningioma is a rare condition occurring in roughly less than 1% of all meningiomas. There are four mechanisms that have been identified for the formation of extracranial meningioma: direct extension from a primary intracranial tumor through foramina of the skull base; extracranial growth from arachnoid cells within the sheaths of cranial nerves; extracranial growth from embryonic rests of arachnoid; and distant metastases from intracranial meningiomas (45). The imaging findings of carotid sheath meningioma are identical to those of its intracranial counterpart (Figure 18).
Branchial apparatus anomalies
Branchial apparatus anomalies include branchial, thymic, and parathyroid anomalies, which may manifest as cysts, sinuses, fistulas, and ectopic glands (46-48). In the second branchial cleft anomalies, the tract ascends along the carotid space and passes between the ICA and ECA. In the third branchial cleft anomalies, the tract runs posterior to the CCA or ICA and anterior to the vagus nerve. In the fourth branchial cleft anomalies, the tract descends beneath the aortic arch and courses in front of the aorta and up the neck, anterior to the carotid artery. Hence, the derivatives of the abovementioned branchial apparatus have intimate relationships with the carotid space and branchial cysts from these derivatives may manifest as masses of the carotid space (Figure 19).
Secondary masses in the carotid space
Secondary masses refer to lesions that come from direct extension of diseases outside the carotid space. Primary head and neck malignancy can invade the carotid space directly, influencing staging and treatment (49). Some intracranial tumors may also extend into the carotid space through foramina and fissures of the skull base (50). Nasopharyngeal carcinomas can extend posterolaterally to involve the carotid space and form masses within it (51). When this process occurs submucosally, the lesion in the carotid space may be misinterpreted as a primary carotid space tumor (Figure 20) (52,53). Intracranial tumors, such as schwannoma and meningioma, may extend extracranially into the carotid space through the jugular foramen, hypoglossal canal, or fissures of the skull base (Figure 21) (54).
Mimics
A variety of lesions occurring adjacent to the carotid space may simulate primary lesions of the sheath. A careful evaluation of the relationship of these lesions with the vessels in the carotid space, fat plane adjacent to the lesion, and displacement of the adjacent muscles can usually reveal the origin of these lesions.
Tumor originating from the deep lobe of the parotid gland or the PPS
Tumors arising from the deep lobe of the parotid gland or PPS may mimic primary carotid space tumors. The most common tumor of the parotid or PPS origin is pleomorphic adenoma, whereas the most common primary carotid space tumor is neurogenic tumor. Therefore, it is important to detect the origin of the masses in this region.
Tumors stemming from the deep lobe of the parotid sheath usually lie lateroanterior to the posterior belly of the digastric muscle and the styloid process, and there is often a fat plane existing between these tumor and the carotid space. A large tumor tends to widen the stylomandibular tunnel. These features are different from those of carotid space tumors in this region (Figure 22). Tumors arising from the PPS usually push the carotid sheath posteriorly, and there is also usually a fat plane between these tumors and the carotid space if the tumors are not too bulky (Figure 23).
Tumor originating from the prevertebral space
Tumors originating from the prevertebral space are commonly neurogenic. These tumors often lie behind the prevertebral muscles and display carotid space anteriorly and laterally; fat planes usually exist between these tumors and carotid space (Figure 24).
Lipoma
Lipoma of the anterior neck is extremely rare. It usually locates subcutaneously therefore has clear boundary with carotid space and pushes vessels medially (Figure 25). Lipoma arising from the carotid space has only extremely rarely been described in the literature (55,56).
Conclusions
A spectrum of diseases may involve the carotid space and manifest as masses on CT or MR imaging, showing characteristic or non-specific imaging features, as summarized in Table 1. Diseases stemming from the contents of the carotid space usually have intimate relations to the vessels and have characteristic positions relative to the IJV, ICA, and ECA. In addition, some of these diseases have characteristic enhancing patterns. Lesions arising from anatomical structures adjacent to the carotid space can usually be confirmed by careful observation of the displacement of vessels, fat plane, and adjacent muscles in the region. With this knowledge in mind, we can usually make a correct diagnosis.
Table 1
| Lesion types | CT and MRI features | Enhancement patterns | Relationship to adjacent vessels and structures | Diagnostic pearls and pitfalls |
|---|---|---|---|---|
| Paraganglioma | CT: well-defined hyperdense mass; multicentric, unilateral or bilateral, simultaneously or sequentially. MRI: T1WI iso/hypointense; T2WI hyperintense with “salt and pepper” appearance; cystic changes possible | Intense early homogeneous enhancement, with arteriovenous shunting; persistent enhancement; heterogeneous enhancement if large | Carotid body tumor: located at the carotid bifurcation splaying the ICA and ECA (widening of carotid bifurcation). Vagal paraganglioma displaces the ICA and ECA together anteromedially, separating them from the IJV | “Salt and pepper” appearance on MRI; widen of carotid bifurcation (Carotid body tumor). Mimics schwannoma or metastatic lymph node |
| Schwannoma | CT: well-defined round or oval solitary mass with hypo-, iso-, or hyperdense; cystic changes common. MRI: T1WI iso/hypointense; T2WI heterogeneous hyperintense with “target sign” (cystic degeneration) | Heterogeneous enhancement; patchy enhancement; cystic areas non-enhancing | Anterior or medial within the carotid space; eccentric to the affected nerve. Vagal schwannoma: located between the vein and artery, displaces CCA/ICA anteriorly/medially, and IJV posteriorly/laterally. Sympathetic chain schwannoma: posterior and slightly medial to vessels displacing ECA/ICA and IJV together anteriorly and laterally | “Target sign”; eccentric to the affected nerve; separation of IJV and ECA/ICA aids in diagnosing vagal schwannoma from sympathetic chain. Mimics venous malformation, deep parotid tumor |
| Neurofibroma | CT: uniform or uneven hypodense mass with tapered ends; solitary, plexiform or diffuse; cystic degeneration or hemorrhage occasionally. MRI: T1WI, iso/hypointense; T2WI, hyperintense with “target sign” (less than schwannoma) | Moderate heterogeneous enhancement | Fusiform, longitudinal, and interspersed in the nerve bundle; plexiform diffuse type may be infiltrative | Tapered ends; relation with the nerve bundle; associated with neurofibromatosis Type 1. Mimics schwannoma |
| Neuroblastoma | CT: well-defined or blurred mass; usually with calcification; uneven density with cystic degeneration, necrosis, fat components or hemorrhage. MRI: T1WI, iso/hypointense; T2WI, heterogeneous hyperintense | Mild uneven enhancement | Encases or compresses vessel without invading | Occurs in children; calcification. Mimics lymphoma or paraganglioma |
| Venous malformation | CT: serpentine, hypodense mass; phleboliths (calcification); venous drainage on angiography. MRI: T1WI, hypointense; T2WI, markedly hyperintense; serpentine channels; no mass effect | Slow, progressive centripetal enhancement may thrombose | Compresses vessel without invading. Possible venous dilation/thrombosis | Phleboliths; serpentine appearance. Mimics lymph nodes or solid tumor if small; phleboliths overlooked on CT |
| Aneurysm, pseudo-aneurysm and arteriovenous fistula | Intimate relationship with the related vessel identified on both MRI/MRA and CT/CTA | Avid synchronous enhancement with related vessel | Direct continuity or intimate relationship with related vessel. Encases or compresses vessel | Intimate relationship with the related vessel. Thrombus mimics tumor; small lesion missed on non-contrast CT |
| Lymphadenopathy (lymphoma/metastatic) | Lymphoma: homogeneous isodense round mass with extensive involvement on CT; homogeneous T1WI hypointense and T2WI intermediate intensity on MRI with restricted diffusion. Metastatic: cystic nodal mass with necrotic center and irregular margins on CT, with possible necrosis/calcification; T1WI iso/hypointense, T2WI heterogeneous hyperintense rim (necrosis) on MRI | Lymphoma: mild-moderate homogeneous enhancement. Metastatic: peripheral/rim enhancement | Clusters around vessels; compresses vessels with no arterial narrowing. Rarely medial to vessel | Look for primary disease such as head and neck cancer; rarely medial to vessel (different from neurogenic tumor). Mimics neurogenic tumor |
| Meningioma | CT: mildly hyperdensity, occasionally with calcifications. MRI: iso- to hypointensity on T1WI and iso- to hyperintensity on T2WI | Contrast enhancement | Encases vessels and cranial nerves: “tram-track appearance” | Primary extradural meningioma is very rare |
| Branchial apparatus anomalies | CT: well-defined, thin-walled cystic structures; fluid density; “beaked” appearance; no calcification. MRI: T1WI, variable intense; T2WI, hyperintense; no solid components | No enhancement. Peripheral rim enhancement if infected | Anterior/lateral to carotid sheath, displaces sternocleidomastoid muscle posteriorly | “Beak sign” between ICA/ECA. Mimics cystic lymph node |
| Lipoma | CT: characteristic fat density. MRI: fat signal (T1WI: hyperintense, T2WI: hyperintense; fat suppression: signal loss) | No enhancement (septa may minimally enhance) | Clear boundary with carotid sheath; insinuates around structures without invasion | Homogeneous fat signal/density. Mimics teratoma if heterogeneous |
| Mass from direct extension of head and neck tumors (e.g., nasopharyngeal carcinoma) | CT: iso- or hypodense mass originating from the nasopharynx with irregular edges and infiltrative growth accompanied by skull base bone destruction and lymphadenopathy. MRI: iso- to hypointensity on T1WI and iso- to hyperintensity on T2WI; diffusion restricted | Mild heterogeneous enhancement | Envelop or push ICA, but rarely invade vessel | Originating from the nasopharynx. Mimics primary masses such as lymphoma |
CCA, common carotid artery; CT, computed tomography; CTA, computed tomography angiography; ECA, external carotid artery; ICA, internal carotid artery; IJV, internal jugular vein; MRA, magnetic resonance angiography; MRI, magnetic resonance imaging; T1WI, T1-weighted imaging; T2WI, T2-weighted imaging.
Acknowledgments
None.
Footnote
Funding: None.
Conflicts of Interest: All authors have completed the ICMJE uniform disclosure form (available at https://qims.amegroups.com/article/view/10.21037/qims-2025-1231/coif). The authors have no conflicts of interest to declare.
Ethical Statement: The authors are accountable for all aspects of the work in ensuring that questions related to the accuracy or integrity of any part of the work are appropriately investigated and resolved.
Open Access Statement: This is an Open Access article distributed in accordance with the Creative Commons Attribution-NonCommercial-NoDerivs 4.0 International License (CC BY-NC-ND 4.0), which permits the non-commercial replication and distribution of the article with the strict proviso that no changes or edits are made and the original work is properly cited (including links to both the formal publication through the relevant DOI and the license). See: https://creativecommons.org/licenses/by-nc-nd/4.0/.
References
- Janfaza P, Fabian RL. Chapter 14: Fasciae and Fascial Spaces of the Head and Neck. In: Janfaza P, Nadol JB, Galla RJ, Fabian RL, Montgomery WW. Surgical Anatomy of the Head and Neck. Philadelphia: Lippincott Williams & Wilkins; 2001:676-703.
- Garner DH, Kortz MW, Baker S. Anatomy, Head and Neck: Carotid Sheath. 2023 Mar 11. In: StatPearls [Internet]. Treasure Island (FL): StatPearls Publishing; 2025.
- Kattar N, Flowers T. Anatomy, Head and Neck, Sympathetic Chain. 2022 Sep 26. In: StatPearls [Internet]. Treasure Island (FL): StatPearls Publishing; 2025.
- Park C, Suh CH, Shin JE, Baek JH. Characteristics of the Middle Cervical Sympathetic Ganglion: A Systematic Review and Meta-Analysis. Pain Physician 2018;21:9-18.
- Chengazi HU, Bhatt AA. Pathology of the carotid space. Insights Imaging 2019;10:21. [Crossref] [PubMed]
- Norris CD, Anzai Y. Anatomy of Neck Muscles, Spaces, and Lymph Nodes. Neuroimaging Clin N Am 2022;32:831-49. [Crossref] [PubMed]
- Curioni OA, de Souza RP, Mercante AM, de Jesus AC, Pavelegeni A, Dedivitis RA, Rapoport A. Extracranial neurogenic tumors of the head and neck. Braz J Otorhinolaryngol 2015;81:604-9. [Crossref] [PubMed]
- Suthar PP, Mistry KA, Rajan P, Ankit P, Mehta C. Isolated Hypoglossal Nerve Schwannoma: An Uncommon Presentation of Schwannoma. J Clin Diagn Res 2015;9:TJ01-2. [Crossref] [PubMed]
- Graffeo CS, Van Abel KM, Morris JM, Carlson ML, Van Gompel JJ, Moore EJ, Price DL, Kasperbauer JL, Janus JR, Olsen KD, Link MJ. Preoperative diagnosis of vagal and sympathetic cervical schwannomas based on radiographic findings. J Neurosurg 2017;126:690-7. [Crossref] [PubMed]
- López F, Suárez C, Vander Poorten V, Mäkitie A, Nixon IJ, Strojan P, Hanna EY, Rodrigo JP, de Bree R, Quer M, Takes RP, Bradford CR, Shaha AR, Sanabria A, Rinaldo A, Ferlito A. Contemporary management of primary parapharyngeal space tumors. Head Neck 2019;41:522-35. [Crossref] [PubMed]
- Anil G, Tan TY. CT and MRI evaluation of nerve sheath tumors of the cervical vagus nerve. AJR Am J Roentgenol 2011;197:195-201. [Crossref] [PubMed]
- Keshelava G, Robakidze Z. Cervical Vagal Schwannoma Causing Asymptomatic Internal Carotid Artery Compression. Ann Vasc Surg 2020;63:460.e9-460.e11. [Crossref] [PubMed]
- El Khoury P, Khazen R, Melkane AE. A massive multicystic parapharyngeal tumor: A case report. Heliyon 2024;10:e32820. [Crossref] [PubMed]
- Loperfido A, Celebrini A, Fionda B, Bellocchi G, Cristalli G. Diagnostic and Therapeutic Strategy for Vagal Schwannoma: Case Series and Literature Review. Medicina (Kaunas) 2023;59:1013. [Crossref] [PubMed]
- Nagamine WH, Conneely MF, Petruzzelli GJ, Hacein-Bey L. Glossopharyngeal schwannoma of the suprahyoid carotid space: case report and discussion of the relationship to the carotid artery. Laryngoscope 2009;119:653-6. [Crossref] [PubMed]
- Ansari S, Dixe de Oliveira Santo I, Yazdian Anari P, Badawy M, Flug JA. Plexiform Neurofibroma. Radiographics 2025;45:e240271. [Crossref] [PubMed]
- Wang MX, Dillman JR, Guccione J, Habiba A, Maher M, Kamel S, Panse PM, Jensen CT, Elsayes KM. Neurofibromatosis from Head to Toe: What the Radiologist Needs to Know. Radiographics 2022;42:1123-44. [Crossref] [PubMed]
- Lin J, Martel W. Cross-sectional imaging of peripheral nerve sheath tumors: characteristic signs on CT, MR imaging, and sonography. AJR Am J Roentgenol 2001;176:75-82. [Crossref] [PubMed]
- Somaiah N, Paudyal B, Winkler RE, Van Tine BA, Hirbe AC. Malignant Peripheral Nerve Sheath Tumor, a Heterogeneous, Aggressive Cancer with Diverse Biomarkers and No Targeted Standard of Care: Review of the Literature and Ongoing Investigational Agents. Target Oncol 2024;19:665-78. [Crossref] [PubMed]
- Matthay KK, Maris JM, Schleiermacher G, Nakagawara A, Mackall CL, Diller L, Weiss WA. Neuroblastoma. Nat Rev Dis Primers 2016;2:16078. [Crossref] [PubMed]
- Johnsen JI, Kogner P. Recent Advances in Neuroblastoma Research. Cancers (Basel) 2024.
- Palade DO, Hainarosie R, Zamfir A, Vrinceanu D, Pertea M, Tusaliu M, Mocanu F, Voiosu C. Paragangliomas of the Head and Neck: A Review of the Latest Diagnostic and Treatment Methods. Medicina (Kaunas) 2024.
- Vimawala SN, Graboyes AZ, Bennett B, Bonanni M, Abbasi A, Oliphant T, Alonso-Basanta M, Rassekh C, Cohen D, Brant JA, Huan Y. Head and Neck Paragangliomas: Overview of Institutional Experience. Cancers (Basel) 2024.
- Jerosha S, Subramonian SG, Ramakrishnan KK. The Radiological Assessment of Carotid Space Lesions: A Case Series. Cureus 2024;16:e62202. [Crossref] [PubMed]
- Sandow L, Thawani R, Kim MS, Heinrich MC. Paraganglioma of the Head and Neck: A Review. Endocr Pract 2023;29:141-7. [Crossref] [PubMed]
- van den Berg R, Verbist BM, Mertens BJ, van der Mey AG, van Buchem MA. Head and neck paragangliomas: improved tumor detection using contrast-enhanced 3D time-of-flight MR angiography as compared with fat-suppressed MR imaging techniques. AJNR Am J Neuroradiol 2004;25:863-70.
- Suthiphosuwan S, Bai HD, Yu E, Bharatha A. Computed tomography angiography lightbulb sign: Characteristic enhancement pattern on neck computed tomography angiography in differentiating paraganglioma from schwannoma of the carotid space. Neuroradiol J 2020;33:437-42. [Crossref] [PubMed]
- Kwok HM, Ng FH, Chau CM, Lam SY, Ma JKF. Multimodality imaging of extra-nodal lymphoma in the head and neck. Clin Radiol 2022;77:e549-59. [Crossref] [PubMed]
- Suthar PP, Virmani S. Unanticipated Biatrial 18F-Fluorodeoxyglucose (18F-FDG) Uptake in Diffuse Large B-cell Lymphoma Surveillance PET/CT. Cureus 2024;16:e67120. [Crossref] [PubMed]
- Donners R, Yiin RSZ, Koh DM, De Paepe K, Chau I, Chua S, Blackledge MD. Whole-body diffusion-weighted MRI in lymphoma-comparison of global apparent diffusion coefficient histogram parameters for differentiation of diseased nodes of lymphoma patients from normal lymph nodes of healthy individuals. Quant Imaging Med Surg 2021;11:3549-61. [Crossref] [PubMed]
- Nakamura T, Sumi M. Nodal imaging in the neck: recent advances in US, CT and MR imaging of metastatic nodes. Eur Radiol 2007;17:1235-41. [Crossref] [PubMed]
- Carrillo A, Arbab F, Ramani NS. Metastatic Papillary Thyroid Carcinoma in the Lymph Nodes Without Identifiable Primary Tumor in the Thyroid. Cureus 2025;17:e84554. [Crossref] [PubMed]
- Jang HB, Lee DH, Lee JK, Lim SC. Lymphadenopathy Secondary to Metastatic Squamous Cell Carcinoma Mistaken for Malignant Lymphoma. J Craniofac Surg 2025;36:e128-30. [Crossref] [PubMed]
- Koroulakis A, Jamal Z, Agarwal M. Anatomy, Head and Neck, Lymph Nodes. 2022 Dec 11. In: StatPearls [Internet]. Treasure Island (FL): StatPearls Publishing; 2025.
- Hakimi R, Sivakumar S. Imaging of Carotid Dissection. Curr Pain Headache Rep 2019;23:2. [Crossref] [PubMed]
- Wang G, Li C, Piao J, Xu B, Yu J. Endovascular treatment of blunt injury of the extracranial internal carotid artery: the prospect and dilemma. Int J Med Sci 2021;18:944-52. [Crossref] [PubMed]
- Santhosh NU, Bhattacharjee S, Bathala L. Spontaneous Extracranial Carotid Artery Pseudoaneurysm: A Rare Entity. Neurol India 2023;71:785-6. [Crossref] [PubMed]
- Suthar PP, Hussein MZ. K Venkatraman SM, Jhaveri M, Gaddikeri S. Slow-Flow Venous Vascular Malformation in the Carotid Sheath. Cureus 2024;16:e58638. [Crossref] [PubMed]
- Kamireddy A, Weiss CR. Venous Malformations: Diagnosis, Management, and Future Directions. Semin Intervent Radiol 2024;41:376-88. [Crossref] [PubMed]
- Patel ND, Chong AT, Kolla AM, Mabud TS, Kulkarni K, Masrouha K, Taslakian B, Bertino FJ. Venous Malformations. Semin Intervent Radiol 2022;39:498-507. [Crossref] [PubMed]
- Markovic JN, Shortell CK. Venous malformations. J Cardiovasc Surg (Torino) 2021;62:456-66. [Crossref] [PubMed]
- Kunimoto K, Yamamoto Y, Jinnin M. ISSVA Classification of Vascular Anomalies and Molecular Biology. Int J Mol Sci 2022;23:2358. [Crossref] [PubMed]
- Antonopoulos C, Karagianni M, Zolindaki C, Anagnostou E, Vagianos C. Cavernous hemangioma of infrahyoid carotid sheath and review of the literature on carotid sheath tumors. Head Neck 2009;31:1381-6. [Crossref] [PubMed]
- GÖksel OS. Gok E, Karatepe C, Canbay Sarılar Ç, Önalan MA, Beyaz MO, Alpagut U. Vascular Tumors of the Neck in Adults: 10-Year Experience in a Tertiary Center. Heart Surg Forum 2020;23:E493-7. [Crossref] [PubMed]
- Hoye SJ, Hoar CS Jr, Murray JE. Extracranial meningioma presenting as a tumor of the neck. Am J Surg 1960;100:486-9. [Crossref] [PubMed]
- Stefanicka P, Profant M. Branchial cleft cyst and branchial cleft cyst carcinoma, or cystic lymph node and cystic nodal metastasis? J Laryngol Otol 2023;137:31-6.
- Pupić-Bakrač J, Skitarelić N, Pupić-Bakrač A, Baraka I, Srzentić M, Novaković J, Terkeš V. Branchial cleft anomalies: hybrid "Branchial Inclusion" theory. Eur Arch Otorhinolaryngol 2021;278:2593-601. [Crossref] [PubMed]
- Pupić-Bakrač J, Skitarelić N, Novaković J, Lasić V. Patho-Anatomic Spectrum of Branchial Cleft Anomalies: Proposal of Novel Classification System. J Oral Maxillofac Surg 2022;80:341-8. [Crossref] [PubMed]
- Amin MB, Edge S, Greene F, Byrd D, Brookland R, Washington MK, Gershenwald J, Compton C, Hess K, Sullivan D, Jessup J, Brierley J, Gaspar L, Schilsky R, Balch C, Winchester D, Asare E, Martin Madera, Gress D, Meyer L. AJCC cancer staging manual, 8th edition. Chicago: Springer; 2017.
- Albsoul N, Rawashdeh B, Albsoul A, Abdullah M, Golestani S, Rawshdeh A, Mohammad M, Alzoubi M. A rare case of extracranial meningioma in parapharyngeal space presented as a neck mass. Int J Surg Case Rep 2015;11:40-3. [Crossref] [PubMed]
- Quan T, Guan W, Huang W, Cui C, Li H, Ruan G, Liu L, Zhao Q, Ma H. Carotid space involvement is a prognostic factor and marker for induction chemotherapy in patients with nasopharyngeal carcinoma. Oral Oncol 2022;135:106230. [Crossref] [PubMed]
- Wang H, Wang Y, Liu H, Cai L. Syncope associated with carotid sinus syndrome in an occult nasopharyngeal carcinoma. Int J Cardiol 2015;186:236-8. [Crossref] [PubMed]
- Zhang GZ, Liu ZL, Gong JS, Cheng ZQ, Ke C. Cystic metastatic nasopharyngeal carcinoma presenting as branchial cleft cyst: report of two cases and review of the literature. J Oral Maxillofac Surg 2014;72:2366-74. [Crossref] [PubMed]
- Çelik M, Şahin B, Enver N, Orhan KS. Nasopharyngeal Extension of Giant Meningioma. J Craniofac Surg 2017;28:e254-5. [Crossref] [PubMed]
- Parelkar S, Kapadnis S, Sanghvi B, Joshi P, Mundada D, Shetty S, Oak S. Carotid sheath lipoma: first case report in the English literature. Ann R Coll Surg Engl 2013;95:e77-9. [Crossref] [PubMed]
- El-Monem MH, Gaafar AH, Magdy EA. Lipomas of the head and neck: presentation variability and diagnostic work-up. J Laryngol Otol 2006;120:47-55. [Crossref] [PubMed]

