Adrenal cavernous lymphangioma successfully treated with robot-assisted laparoscopic adrenalectomy: a case description
Introduction
Adrenal cavernous lymphangioma (ACL) is an extremely rare adrenal tumor classified as a subtype of adrenal lymphangioma. Of note, ACL has a reported incidence rate of approximately 0.064% to 0.18% in adrenal autopsy cases (1,2). The pathological features of ACL include cystically dilated lymphatic structures containing lymphatic fluid, with cavities of varying sizes separated by fibrous septa, creating a “cavernous” appearance. ACL does not generally secrete catecholamines or steroid hormones and is usually asymptomatic, often detected incidentally during abdominal imaging performed for other reasons. Preoperative diagnosis is challenging, and definitive diagnosis requires histopathological analysis. The assessment and management of ACL are similar to those of other adrenal tumors (3,4). Nevertheless, the limited number of reported cases further complicates preoperative diagnosis. Herein, we present a case of right adrenal ACL in a female patient and review existing literature.
Case presentation
A 46-year-old female patient was referred to our hospital for evaluation of a right adrenal mass detected two weeks earlier. She had undergone adrenal magnetic resonance imaging (MRI) at an external facility, which revealed a vascular-deficient mass in the right adrenal gland, suspected to be a ganglioneuroma. The patient reported recent right-sided abdominal pain and discomfort, leading to her referral for further management. Upon admission to our department, she reported occasional dizziness and headaches but denied fever, visual disturbances, nausea, vomiting, or other symptoms. She had a 10-year history of hypertension that was managed using 5 mg of amlodipine besylate daily. Relevant physical examination findings are further detailed in the flowchart (Figure 1).
The patient appeared generally well. Laboratory tests revealed normal values for complete blood count, cortisol, adrenocorticotropic hormone, metanephrines (including metanephrine, normetanephrine, and 3-methoxy tyramine), dopamine, norepinephrine, epinephrine, aldosterone, angiotensin, and β-human chorionic gonadotropin. However, her testosterone level was reduced, measuring less than 2.50 ng/dL.
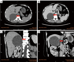
To evaluate the right adrenal mass, the patient underwent an adrenal ultrasound and computed tomography (CT) scans following admission. Ultrasound findings revealed a heterogeneous hypoechoic lesion in the right adrenal region, measuring approximately 8.0 cm × 6.5 cm, with well-defined boundaries and an irregular shape (Figure 2A). The blood flow signal within the lesion was classified as Adler grade 0 (Figure 2B), suggesting a benign adrenal tumor, most likely an adenoma. CT imaging (Figure 3) revealed a rounded low-density mass in the right adrenal gland with clear boundaries and smooth margins (Figure 3A,3C), measuring approximately 7.9 cm × 8.6 cm. The mass exhibited mild enhancement on contrast imaging (Figure 3B,3D), and the CT findings were consistent with a benign tumor, with differential diagnoses including adenoma and ganglioneuroma.
Given the uncertain nature of the right adrenal mass and the possibility of malignancy, surgical intervention was recommended. After a comprehensive evaluation confirmed no significant surgical contraindications, the patient was fully informed of the advantages and disadvantages of traditional laparoscopic surgery versus robot-assisted laparoscopic adrenalectomy. On February 18, 2025, the patient underwent a robot-assisted laparoscopic right adrenal tumor resection of a right adrenal lesion under general anesthesia. Following successful induction, the patient was positioned in the lateral decubitus position with the healthy side down. A 12-mm skin incision was made along the umbilical margin for robotic port placement. Pneumoperitoneum was established using a Veress needle with CO2 insufflation, and intra-abdominal pressure was maintained throughout the procedure. Through this incision, a 12-mm assistant trocar was placed, and the laparoscope was introduced. Under direct vision, additional robotic trocars were inserted at the following sites: 2 cm above the umbilicus along the lateral border of the right rectus abdominis muscle, 4 cm below the umbilicus, the right lower abdomen, and the upper abdomen. Intraoperatively, a round mass measuring approximately 8.0 cm × 6.0 cm was observed medial to the right kidney, closely adherent to the liver and inferior vena cava. During the procedure, our surgical team attempted to dissect along the dorsal aspect of the tumor and separate the adhesions. However, due to the dense adhesions between the tumor and the adrenal tissue, dissection was not feasible. As a result, the adrenal tumor was completely resected en bloc with the adrenal gland. The total operative time was approximately 2 hours and 45 minutes, with a console time of around 1 hour and 10 minutes. The estimated blood loss was about 50 mL, and no blood transfusion was required. The surgical procedure was successfully completed without conversion to open surgery or any intraoperative complications. Postoperative recovery was uneventful, with no complications such as bleeding, hematoma, or nerve injury, corresponding to a Clavien-Dindo grade I. The patient was discharged on the eighth day following surgery. A three-month follow-up adrenal CT scan showed postoperative changes in the right adrenal region, with no significant fluid accumulation or space-occupying lesions. The cortisol level at three months post-surgery was 6.390 µg/dL. Overall, the patient recovered well, and no obvious signs of recurrence have been observed to date.
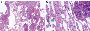
Gross examination of the specimen revealed a grayish-yellow to brown mass measuring approximately 8.0 cm × 6.0 cm × 3.7 cm. The cut surface exhibited a cystic appearance with a smooth inner wall measuring 0.1 to 0.2 cm in thickness. Under low magnification (5×), the tumor tissue was characterized by irregularly shaped, variable-sized lumens with uneven wall thickness, with residual adrenal tissue observed between the lumen walls (Figure 4A). High magnification (20×) revealed that the luminal lining consisted of a single layer of flat cells, with few red blood cells in the lumen (Figure 4B). Pathological examination confirmed the diagnosis of cavernous lymphangioma of the right adrenal gland.
All procedures performed in this study were in accordance with the ethical standards of the institutional and/or national research committee(s) and with the Helsinki Declaration and its subsequent amendments. Written informed consent was obtained from the patient for publication of this article and accompanying images. A copy of the written consent is available for review by the editorial office of this journal.
Discussion
The present case describes a successful robotic-assisted laparoscopic resection of an adrenal ACL in a female patient. ACL is a highly uncommon benign lesion, typically originating from lymphatic endothelial cells (5). As these lesions are non-functional, clinical manifestations vary depending on their location and size, often incidentally detected during abdominal imaging. Moreover, they generally do not present with specific symptoms. A definitive diagnosis relies on postoperative pathological examination, making preoperative identification of ACL even more difficult.
ACL shares similarities with other adrenal lymphangiomas, as it typically presents with few abnormalities in history, symptoms, signs, and adrenal hormone levels, with preoperative diagnosis primarily relying on imaging studies. In the present case, the patient exhibited a low testosterone level, which normalized postoperatively. After analysis, we surmise that this might be attributed to the tumor’s pressure on surrounding tissues or its effect on adrenal blood flow, which could interfere with hormone synthesis. While the adrenal gland primarily produces corticosteroids and catecholamines, tumors can also indirectly affect testosterone levels. The widespread use of ultrasound is crucial for detecting adrenal lesions. Herein, the preoperative ultrasound revealed a heterogeneous hypoechoic mass without significant cystic features, likely due to the small size of the ACL’s cystic spaces and sponge-like characteristics. CT imaging is the preferred method for preoperative diagnosis of adrenal lymphangiomas, typically showing a unilocular, round or oval structure, often revealing cyst walls and septations. Our CT findings indicated a rounded low-density adrenal mass without septations and mild enhancement, suggesting a small cystic cavity in the ACL. The imaging findings from the external hospital MRI and our hospital CT were inconsistent with the final pathological results, highlighting the limitations of imaging in diagnosing rare or complex lesions. Clinically, integrating multiple imaging modalities is warranted to obtain more comprehensive diagnostic information and improve the accuracy of preoperative assessment.
Preoperative differentiation of ACL from other adrenal adenomas, cystic changes in adrenal tumors, and renal cysts is essential. Adrenal adenomas typically appear as low-density masses in the adrenal region, usually less than 4 cm in diameter. A key feature of adenomas is their fat content, which can often be detected on CT using fat-suppression sequences. Cystic changes in adrenal tumors are most commonly seen in pheochromocytomas, which frequently show central hemorrhage and necrosis as the main pathological features (6,7). Besides, pheochromocytomas usually present with endocrine symptoms. Adrenal cysts typically appear as thin-walled, uniformly low-density lesions with well-defined borders and no enhancement, with uniformity and low density being their primary characteristics (8). In contrast, the present case was characterized by a multilocular, vascularized appearance with enhancement patterns visible on contrast imaging. Although imaging studies are crucial for diagnosing ACL, their lack of specificity and potential for misleading features (9) still warrant pathological examination for a definitive diagnosis.
Several factors were taken into account when selecting the surgical approach. Although preoperative imaging and the patient’s overall condition suggested a benign lesion, the tumor’s substantial size, presence of compressive symptoms, and atypical radiological features indicated a significant malignant potential. After evaluation by our multidisciplinary team, robot-assisted laparoscopic adrenalectomy was ultimately chosen for several reasons. First, in contrast to traditional open surgery, robot-assisted surgery involves smaller incisions, which reduce abdominal trauma and, as a result, alleviate patient discomfort, accelerate recovery, and shorten hospital stays. In addition, robot-assisted surgery is associated with a reduction in the incidence of complications while achieving favorable clinical outcomes. Moreover, the robotic system provides high-definition three-dimensional visualization and superior operational flexibility, enabling more precise navigation of complex anatomical structures. This facilitates the resection of complex tumors, especially those that are significantly larger. Herein, thorough communication was conducted with the patient prior to surgery to ensure a comprehensive understanding of the risks and benefits, and informed consent was obtained. Importantly, postoperative observations confirmed satisfactory recovery, further validating the rationale for selecting this surgical approach.
Herein, the mass was closely adjacent to the liver and the inferior vena cava. When managing such situations, robotic surgery offers advantages over traditional laparoscopic procedures, including higher operational precision, enhanced flexibility, and superior visual clarity. These features allow surgeons to observe fine anatomical structures within the surgical field more clearly and perform more stable and meticulous manipulations, thereby reducing the risk of iatrogenic injury to critical structures during adhesiolysis. At the beginning of the procedure, the magnifying function of the robotic system was utilized for precise localization of the mass and evaluation of the surrounding tissues. Upon initiation of the operation, fine robotic instruments were employed. The high stability and precision of robotic manipulation contributed to safer dissection near the inferior vena cava, enabling accurate control of instrument force and direction to prevent injury to major vessels. The surgeon was able to dissect the adhesions between the mass and the inferior vena cava and liver layer by layer, minimizing the risk of tissue traction and tearing, thus ensuring that the procedure was conducted with both precision and safety.
Regular follow-up and monitoring are recommended when the ACL is small, asymptomatic, and in the absence of endocrine dysfunction. Conversely, larger lesions that present with compressive symptoms or atypical radiographic features that could suggest malignancy should be treated surgically (10,11). In recent years, robotic-assisted laparoscopic adrenalectomy has gained popularity as the preferred treatment method due to its advantages, including minimal trauma, reduced bleeding, faster recovery, and shorter hospital stays. During surgery, it is essential to achieve complete mobilization of the adrenal mass while preserving adrenal parenchyma, carefully considering the anatomical relationship between the tumor and the central adrenal vein, and ensuring thorough hemostasis. Although adrenal lymphangiomas generally have a good prognosis, the limited number of cases and lack of long-term follow-up data warrant further observation to better understand long-term outcomes. Nevertheless, the limitations of robot-assisted laparoscopic adrenalectomy should not be overlooked. First, the technical complexity of robot-assisted laparoscopic adrenalectomy procedures must be fully acknowledged, as it may increase the risk of certain complications. Second, the substantial surgical costs may impose significant financial burdens on patients. Finally, compared with conventional laparoscopic surgery, robot-assisted laparoscopic adrenalectomy lacks direct tactile feedback, which presents challenges for surgeons during operational procedures.
Conclusions
ACL is an extremely rare tumor. Although some radiological clues exist, preoperative diagnosis for ACL remains challenging, and definitive confirmation requires pathological examination. An observational approach may be appropriate for asymptomatic patients with no signs of malignancy. In contrast, for patients in whom malignancy cannot be ruled out, particularly those with tumors larger than 5 cm or presenting with compressive symptoms, surgical intervention should be prioritized.
Acknowledgments
None.
Footnote
Funding: None.
Conflicts of Interest: All authors have completed the ICMJE uniform disclosure form (available at https://qims.amegroups.com/article/view/10.21037/qims-2025-1014/coif). The authors have no conflicts of interest to declare.
Ethical Statement: The authors are accountable for all aspects of the work in ensuring that questions related to the accuracy or integrity of any part of the work are appropriately investigated and resolved. All procedures performed in this study were in accordance with the ethical standards of the institutional and/or national research committee(s) and with the Helsinki Declaration and its subsequent amendments. Written informed consent was obtained from the patient for publication of this article and accompanying images. A copy of the written consent is available for review by the editorial office of this journal.
Open Access Statement: This is an Open Access article distributed in accordance with the Creative Commons Attribution-NonCommercial-NoDerivs 4.0 International License (CC BY-NC-ND 4.0), which permits the non-commercial replication and distribution of the article with the strict proviso that no changes or edits are made and the original work is properly cited (including links to both the formal publication through the relevant DOI and the license). See: https://creativecommons.org/licenses/by-nc-nd/4.0/.
References
- Morel E, Nardi WS, Quildrian SD. Adrenal lymphangioma: Case report and review of the literature. Int J Surg Case Rep 2025;126:110735. [Crossref] [PubMed]
- Hodish I, Schmidt L, Moraitis AG. Adrenal Lymphangioma Masquerading as a Catecholamine Producing Tumor. Case Rep Endocrinol 2015;2015:380151. [Crossref] [PubMed]
- Liechti R, Fourie L, Fischli S, Metzger J. Symptomatic lymphangioma of the adrenal gland: a case report. J Surg Case Rep 2018;2018:rjy106. [Crossref] [PubMed]
- Kim KH, Lee JI, Bae JM. Significant growth of adrenal lymphangioma: A case report and review of the literature. Int J Surg Case Rep 2015;17:48-50. [Crossref] [PubMed]
- Wan S, Liu X, Tian B, Cao D, Li M, He Y, Song B. An Unexpected Case Report of Adrenal Lymphangioma: Mimicking Metastatic Tumor on Imaging in a Patient With Pancreatic Cancer. Front Endocrinol (Lausanne) 2020;11:610744. [Crossref] [PubMed]
- Singh N, Thakur KK, Moidu S, Anand N. Incidental detection of purely cystic pheochromocytoma in a young adult presenting with lower urinary tract infection. Radiol Case Rep 2024;19:6152-6. [Crossref] [PubMed]
- Goshima S, Kanematsu M, Kondo H, Yokoyama R, Hoshi H, Moriyama N. Pheochromocytoma with posthemorrhagic cystic degeneration: magnetic resonance imaging findings. J Magn Reson Imaging 2004;19:640-4. [Crossref] [PubMed]
- Marques-Piubelli ML, Gonzales EWP, Gonçalves VL, Balancin ML, Botelho MLAA, Yamauchi FI, de Mello Ando S, Brondani VB, Chambo JL, Fragoso MCBV, Zerbini MCN. Adrenal cysts of lymphatic origin: A clinical and pathological study of six cases and systematic literature review. Ann Diagn Pathol 2022;57:151888. [Crossref] [PubMed]
- Coscia K, Ravaioli C, Tucci L, Colombin G, Donnarumma F, Mosconi C, Balacchi C, Nanni C, Alberici L, Selva S, Pagotto U, Santini D, Tallini G, Di Dalmazi G, Vicennati V, De Leo A. The diagnostic dilemma of adrenal vascular tumors: analysis of 21 cases and systematic review of the literature. Endocrine 2025;87:1291-304. [Crossref] [PubMed]
- Balderrama-Brondani V, Al-Ward R, Kiseljak-Vassiliades K, Fishbein L, Dawes D, Hamidi O, Pishdad R, Perdomo Rodriguez JP, Sukkari MA, Grajo JR, Ghayee HK, Bedrose S, Bassett RL, Hamrahian AH, Habra MA. Clinical and Radiological Features of Atypical Adrenal Masses-A Multicenter Retrospective Study. J Clin Endocrinol Metab 2025;110:e2183-90. [Crossref] [PubMed]
- Iijima H, Noda T, Uchida K, Hakamata Y, Fujisaki A, Imai S, Otsuki Y, Yoneda T. A case of adrenal lymphangioma successfully treated with laparoscopic partial adrenalectomy. IJU Case Rep 2023;6:341-4. [Crossref] [PubMed]

