Transperineal combined two- and three-dimensional ultrasound evaluation of the effects of different delivery methods on levator ani muscles and pelvic organ prolapse
Introduction
Pelvic organ prolapse (POP) is a multifactorial disease, and various factors may affect the structural and functional changes of the pelvic floor support system, contributing to POP development. Among the pelvic floor muscles, the levator ani muscle (LAM) plays an important role in supporting the pelvic floor organs. Studies have shown that pregnancy and childbirth can directly change the structure of the LAM and cause changes in its function (1,2). At present, controversies remain about the changes of pelvic floor structure and function caused by different delivery modes (3). The main techniques for the diagnosis of POP include clinical examination, magnetic resonance imaging (MRI), and ultrasound. Ultrasound has been favored because of its high repeatability, excellent temporal resolution, and economical price. The uneven force on the levator hiatus (LH) and pelvic floor in women during childbirth may increase the risk of overdistention of the LH, which may lead to complications such as long-term POP (4). However, there is no unified conclusion on the degree of impact of different delivery methods in clinical practice.
Different delivery modes may lead to different outcomes of postpartum pelvic floor health. This study will examine differences in LAM injury and POP severity between different delivery methods. We present this article in accordance with the STROBE reporting checklist (available at https://qims.amegroups.com/article/view/10.21037/qims-2025-502/rc).
Methods
This study was conducted in accordance with the Declaration of Helsinki and its subsequent amendments. Informed consent was provided by all the participants. The study protocol was approved by the Medical Ethics Committee of Gansu Provincial Maternity and Child Health Care Hospital (Approval number 2023–54). All experiments were performed in accordance with relevant guidelines and regulations.
A total of 130 women (ultrasound performed 1-year postpartum) from the outpatient urogynecological clinic met the following inclusion criteria: (I) all singleton pregnancies were delivered at term (neonatal weight 2.50–4.00 kg); (II) after delivery, a pelvic floor ultrasound examination was performed at 1 year; and (III) the patients were informed and consented to the examination process. The exclusion criteria were as follows: (I) pelvic floor dysfunction (PFD) before pregnancy; (II) patients with a history of large pelvic masses and pelvic surgery; and (III) patients with urinary system diseases, chronic cough, and chronic constipation. Patients who underwent pelvic floor ultrasound examination in Gansu Provincial Maternal and Child Health Care Hospital (Gansu Provincial Central Hospital) from December 2021 to October 2023 were selected and grouped according to different delivery modes. They were divided into three groups: forceps group (n=50), all operations are carried out by professional midwives to avoid any interference with the experimental results; non-forceps group (n=40) (spontaneous vaginal delivery was performed without any assistance n=40); and elective cesarean section group (n=40).
Mindray Reasona R8, R9 high-end ultrasound diagnostic equipment (Mindray, Shenzhen, China) was used for scanning. Scanning was performed with a transvaginal 3D volumetric probe DE10-3WU (4–8 MHz) and transabdominal 3D volumetric probe SD 8-1U (1–8 MHz), and the volume scanning angle was 85°. The intelligent pelvic floor measurement software package was installed.
A questionnaire survey was conducted on the clinical data, and the general situation of the patients was summarized.
Firstly, the participants were instructed and trained in Valsalva and anal contraction maneuvers. The patient was asked to empty their bladder 20 minutes before the examination. The residual urine volume measured by two-dimensional (2D) ultrasound was about 50 mL during the examination (5), and the patient was in the lithotomy position. Ultrasound image acquisition and data measurement were performed. All procedures were performed by practitioners trained in pelvic floor ultrasound, the data were measured three times, and the maximum value across the three trials was selected as the representative measurement for each parameter, as peak strain most accurately reflects pelvic floor vulnerability to prolapse.
Linear measurements were performed by transperineal 2D ultrasonography. The initial plane was the midsagittal plane of the pelvic cavity, and the probe (DE10-3WU, harmonic frequency 3.0–9.0, gain setting 50, imaging depth 4.0, frame rate 45) was traced along the direction of the bilateral LAM to the attachment of the inferior pubic ramus. If there was a discontinuity between the hyperechoic fibers and the pelvic lateral wall and the insertion was replaced by an abnormal echo area, LAM injury or avulsion was diagnosed. The width of the injury was measured (Figure 1).
The abdominal volume probe (SD 8-1U) under transperineal guidance was used to obtain the standard median sagittal section of the pelvic floor, with the indicator point facing the ventral side of the patient and the direction of the sound beam parallel to the sagittal plane of the human body (6,7). For imaging analysis, a single optimal frame demonstrating the maximal descent during the most effective Valsalva trial was captured and stored for offline measurements. According to the “Chinese Expert Consensus on Pelvic Floor Ultrasonography (2022 edition)”, the degree of POP was determined in the maximum Valsalva position. The lowest point of the posterior bladder wall or the junction between the bladder neck and urethra was taken as the landmark structure of anterior pelvic prolapse, and the lowest point of the cervix was taken as the landmark structure of middle pelvic prolapse.
Points above the reference line were designated negative, and those below the reference line were defined as positive. The degree of POP was determined according to the distance between the lowest point of pelvic organs and the posterior-inferior edge of the pubic symphysis in Valsalva maneuver. Combined with clinical studies using pelvic floor ultrasound to quantify POP, the degree of POP was divided into three degrees, anterior pelvic: The lowest point of bladder neck or posterior bladder wall below the pubic symphysis line was defined as mild (0–10 mm), moderate (11–25 mm), and severe (>25 mm).
In the middle pelvis, the cervical nadir was defined as mild when it was 0–15 mm above the pubic symphysis line, moderate when it was 0–20 mm below the pubic symphysis line, and severe when it was greater than 20 mm. The range of motion of the bladder neck was calculated according to the difference in distance between the bladder neck and the reference line at rest and after Valsalva maneuver (Figure 2).
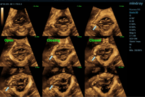
Transperineal 3D ultrasonography was performed and the static images were saved. The abdominal volume probe was used to start 3D mode on the midsagittal plane of the pelvic floor, and the 3D volume images were collected after anal contraction and Valsalva maneuver. The transverse LH images of the LH were obtained, and the 3D scanning mode was started to obtain the volume data of the pelvic floor and display the axial plane image. The tomographic ultrasound image (TUI) was used to observe the continuity of the LAM and the morphology of the LH. Taking the anteroposterior diameter of the minimum LH as the reference line, 5 mm below the reference line to 12.5 mm above the reference line, and the number of layers in the fracture section as 9, multiple parallel sections of the LH images could be obtained. The standard requires that the pubic symphysis shown in images 3–5 must present open, closed, and closed states, respectively (7). LAM fracture showed discontinuity or even no display in at least three levels, to determine the depth of the defect and measure the maximum width of the defect, and to further verify the LAM damage found in 2D mode (Figure 3).
The intelligent measuring kit was used to measure the bilateral levator-urethral gap (LUG) (in contraction, the distance between the LAM and the midline of the urethra is 25 mm, which is the critical value for diagnosing LAM injury. For Asians, 23.4 mm can also be used as the critical value; during the Valsalva state, LHA <25 cm2, for Asians, refer to <20 cm2) (7-10) (Figure 4).
The statistical software SPSS 25.0 (IBM Corp., Armonk, NY, UA) was used for data analysis, Chi-squared test was used to compare the severity of prolapse in each compartment between different groups, and the count data were expressed as frequency (%). P<0.05 was considered statistically significant. Comparison of measurement parameters among the three groups (LAM injury degree, distance between organ and reference line during Valsalva maneuver, LUG and LHA): the mean ± standard deviation were used for continuous data, and the data with normal distribution and homogeneity of variance were compared between the three groups using one-way analysis of variance (ANOVA). The Bonferroni correction test was adopted to control the increase of type I error caused by multiple comparisons.
In order to reduce bias, the observers were blinded to the delivery mode of the participants during the ultrasound measurement, and the relevant clinical data were statistically analyzed after the examination.
Results
- The degree of anterior pelvic prolapse was significantly different among the three groups (χ2=22.919, P<0.001). Bonferroni-corrected pairwise comparison showed that the proportion of “no prolapse” in the elective cesarean section group (67.5%) was significantly higher than those in the forceps group (30%, P<0.001) and the non-forceps group (25%, P<0.001). There was no significant difference between the forceps group and the non-forceps group (P=0.621).
- The pelvic organ displacement of the forceps group and the non-forceps group was more severe than that of elective cesarean section, and the difference was statistically significant (P<0.05).
- The degree of LAM injury in the forceps group, the non-forceps group, and the elective cesarean section group decreased in turn, and the difference was statistically significant (P<0.05).
- The LUG decreased gradually in the forceps group, the non-forceps group, and the selective cesarean section group. The LHA of the vaginal delivery groups (with and without forceps) was higher than that of elective cesarean section group under Valsalva, and the difference was statistically significant (P<0.05).
Compared to the cesarean delivery group, both forceps-assisted and unassisted vaginal deliveries were associated with significantly greater severity of both anterior and middle POP. Notably, anterior POP severity was highest in the forceps-assisted group, followed by the unassisted vaginal delivery group, and was least severe in the cesarean group. Furthermore, elective cesarean delivery demonstrated a protective effect on the LAM relative to both forceps-assisted and unassisted vaginal deliveries (the specific result values are explained in Tables 1-3).
Table 1
| Pelvic organ prolapse | Forceps group (a) (n=50) | Non-forceps group (b) (n=40) | Elective cesarean (c) (n=40) | χ2 | P value | |||
|---|---|---|---|---|---|---|---|---|
| All | a vs. c | b vs. c | a vs. b | |||||
| Degree of anterior pelvic prolapse | 22.919 | 0.001* | <0.001* | <0.001* | 0.621 | |||
| Absent | 15 (30%) | 10 (25%) | 27 (67.5%) | |||||
| Mild | 22 (44%) | 16 (40%) | 11 (27.5%) | |||||
| Moderate | 9 (18%) | 12 (30%) | 2 (5%) | |||||
| Severe | 4 (8%) | 2 (5%) | 0 | |||||
| Degree of mid-pelvic prolapse | 14.541 | 0.024* | <0.001* | <0.01 | 0.985 | |||
| Absent | 20 (40%) | 18 (45%) | 31 (77.5%) | |||||
| Mild | 13 (26%) | 9 (22.5%) | 5 (12.5%) | |||||
| Moderate | 10 (20%) | 7 (17.5%) | 2 (5%) | |||||
| Severe | 7 (14%) | 6 (15%) | 2 (5%) | |||||
Data are presented as n (%). *, P<0.05 indicates that the overall Chi-squared test difference is statistically significant; Chi-squared test if the overall test was significant (P<0.05), Bonferroni correction was used for pairwise comparison.
Table 2
| Measurement values of POP and injury of the LAM | Forceps group (a) (n=50) | Non-forceps group (b) (n=40) | Elective cesarean (c) (n=40) | F | P value | |||
|---|---|---|---|---|---|---|---|---|
| All | a vs. c | b vs. c | a vs. b | |||||
| Anterior pelvic (mm) | 2.73±12.49c | 5.24±12.08c | −5.58±12.24ab | 7.475 | <0.001* | 0.01* | 0.01* | 0.11 |
| Mid-pelvic (mm) | −3.81±17.35c | −5.62±17.29c | −13.9±13.26ab | 3.721 | 0.027* | 0.048* | 0.049* | 0.21 |
| (R) LAM injury (mm) | 5.29±5.36bc | 2.41±4.26ac | 0±0ab | 15.427 | <0.001* | <0.01* | 0.048* | 0.02* |
| (L) LAM injury (mm) | 5.84±5.51bc | 2.52±4.05ac | 0.1±0.54ab | 18.418 | <0.001* | <0.01* | 0.047* | 0.01* |
Data are reported as mean ± standard deviation. a, b, c indicate Bonferroni corrected pairwise comparison groups, and the letters that appear indicate significant differences. *, P<0.05 indicates the overall statistical significance; Bonferroni correction was used for pairwise comparison. LAM, levator ani muscle; POP, pelvic organ prolapse.
Table 3
| Measurement parameters |
Forceps group (a) (n=50) | Non-forceps group (b) (n=40) | Elective cesarean (c) (n=40) | F | P value | |||
|---|---|---|---|---|---|---|---|---|
| All | a vs. c | b vs. c | a vs. b | |||||
| (R) LUG (mm) | 26.33±5.48bc | 22.84±4.08ac | 18.83±2.77ab | 27.277 | <0.001* | <0.01* | <0.01* | <0.01* |
| (L) LUG (mm) | 26.37±4.9bc | 23.1±4.27ac | 19.67±2.86ab | 24.016 | <0.001* | <0.01* | <0.01* | <0.01* |
| LHA (cm2) | 24.05±6.99c | 24.43±6.38c | 18.63±5.94ab | 8.650 | <0.001 | <0.05* | <0.05* | 0.81 |
Data are reported as mean ± standard deviation. a, b, c indicate Bonferroni corrected pairwise comparison groups, and the letters that appear indicate significant differences. *, P<0.05 indicates the overall statistical significance; Bonferroni correction was used for pairwise comparison. LH, levator hiatus; LHA, levator ani hiatus area; LUG, levator-urethral gap.
Discussion
Our findings regarding the protective effect of different delivery methods on pelvic floor integrity, particularly the LAM, highlight the need for precise diagnostic tools to quantify postpartum PFD. Recent advances in quantitative ultrasound imaging offer unprecedented capabilities in this domain. Multiparametric ultrasound techniques now enable in vivo tissue characterization of urethral microarchitecture, providing objective metrics for elasticity and structural integrity that correlate with stress incontinence severity (11). Crucially, novel automated algorithms permit standardized quantification of urethral mobility during Valsalva, overcoming traditional operator-dependent limitations (12). The use of 3D ultrasound enables a more detailed and intuitive observation of the shape of the LH at different cross-sectional levels. Combined with LUG-related parameters, it can better assess the injury of the LAM (9). Integrating these methodologies could significantly refine the assessment of birth-related pelvic floor injury. The female pelvic floor is an integral structure comprising muscles, bones, connective tissue, nerves, and organs (13). Damage to any structure may result in damage to the pelvic floor structure and thus POP. Among them, the LAM is a muscle complex, and avulsion of LAM at the pubic attachment occurs in 10–35% of women who deliver vaginally (14). The use of forceps for delivery is considered the most important risk factor for LAM injury (15). The injury caused by different delivery modes is also different, and the use of forceps delivery is considered the most important risk factor for LAM injury. The use of forceps delivery is one of the effective measures to solve the head dystocia and the difficulty of fetal head delivery and reduce cesarean section (16). Some studies have reported that instrumental delivery does not increase the risk of pelvic floor trauma (17). However, some researchers have proposed that instrumental delivery is associated with LAM injury. Forceps-assisted vaginal delivery is associated with an increased prevalence of pelvic floor disease and a significant decrease in pelvic floor muscle strength. During the use of forceps, 15–40% of women giving birth for the first time are affected (16); LAM lesions have been observed in 50–65% of women who used forceps during follow-up (17). Although the use of forceps during delivery will undoubtedly increase the probability of successful delivery, it does not mean that the trauma caused by successful delivery to the pelvic floor structure and function will be reduced (18). Although routine postpartum pelvic floor ultrasound is typically scheduled at 6–8 weeks post-delivery—when the reproductive tract and other physiological systems are conventionally assumed to have returned to a non-pregnant state (19)—extensive clinical evidence indicates ongoing pelvic floor remodeling from late gestation (36–38 weeks) through 12 months postpartum. Crucially, anatomical recovery of the reproductive tract remains incomplete at the standard 6-week assessment point. Full restoration of connective tissue integrity and pelvic floor muscle contractility may require up to 6 months post-delivery (20,21). Therefore, the effects of different delivery modes on pelvic floor structure were not further explored. In this study, women one year after delivery were included as the participants. The changes of pelvic floor structure in women with different delivery modes were analyzed by 2D and 3D ultrasound, and women with vaginal delivery were further classified. The severity of LAM injury and POP in women with simple vaginal delivery, vaginal delivery with forceps, and elective cesarean section were compared. The interference caused by other methods was excluded by transperineal ultrasound, and the pelvic floor structure was comprehensively evaluated by 3D ultrasound.
Association between different modes of delivery and LAM injury
The results showed that the degree of LAM injury in the use of forceps group, the non-use group, and the elective cesarean section group decreased in turn, and the difference was statistically significant (P<0.05). In this study, the width of echo loss and interruption of muscle continuity during LAM injury was measured to evaluate the degree of LAM injury. It is reasonable to assume that the degree of LAM injury by elective cesarean section is minimal and that elective cesarean section has some protective effect on the LAM (15). The research result is consistent with the result of Handa et al. (22). There are some differences in postpartum pelvic floor structure between women who delivery via elective cesarean and those who deliver vaginally. Secondly, the diagnosis of LAM injury on 2D ultrasound is mostly based on the observation of LAM continuity interruption and echo loss, but LAM will exhibit “microtrauma” when subjected to a huge stretch. The internal muscle fibers are changed, the muscle fibers are deformed, and the fascia, ligaments, and other structures are relaxed in tension, but the continuity and integrity can still be found when the 2D section is completely observed. In order to further evaluate LAM injury, this paper combined 2D and 3D ultrasound of the pelvic floor to evaluate LAM injury more comprehensively.
In contrast to the traditional 2D ultrasound method of directly observing LAM shape and attachment point continuity, the diagnosis method of LAM was first proposed by Dietz in 2005 (23). LAM injury was diagnosed by TUI mode under 3D conditions on the volume obtained during maximum contraction of the pelvic floor muscles. LAM avulsion was diagnosed when LAM discontinuity was present in at least three consecutive sections in TUI mode between the insertion of the puborectalis muscle and the attachment of the pubic ramus. Through the TUI pattern, it is possible to observe whether the LH is symmetrical or not, and it is also reasonable to infer LAM injury when both sides of the LH are asymmetrical (24). In most cases of LAM injury, qualitative evaluation can diagnose the presence or absence of LAM injury. However, in some cases, subjective perception alone is not sufficient to be comprehensive. Using TUI, LAM injury can be quantitatively assessed through two key metrics: (I) symmetry evaluation of the LH across sequential planes, and (II) measurement of the LUG, defined as the distance between the urethral center and the LAM insertion point on the pubic ramus. LAM avulsion was diagnosed when LUG exceeded 25 mm in three consecutive TUI planes. Due to the different pelvic sizes of women of different races, some studies have shown that the best LUG cut-off values for the diagnosis of LAM injury in Asian women are 23.65 and 23.05 mm (25). This study showed that the LUG of the forceps group, the non-forceps group, and the elective cesarean section group decreased in turn in the state of anal contraction. The LHA of vaginal delivery (with and without forceps) by Valsalva was greater than that of elective cesarean section, which was consistent with the results of the above study, and showed that forceps had some effect on LAM injury.
Dietz et al. have suggested that when performing a maximum Valsalva maneuver, LHA reaching 25 cm2 is considered abnormally dilated (23). Due to the racial difference, the height and pelvic size of European and American women are larger than those of Asian women. Current studies suggest that when the LHA of Asian women is greater than 20 cm2, it is considered that the LH is overinflated and the LAM will be damaged. During labor, the pelvic floor muscles stretch and the LH expands to allow fetal delivery. Measurement of its area can effectively reflect the function of the levator muscle and the degree of pelvic floor structure relaxation. The smaller the measurement, the less pelvic floor relaxation and the lower the risk of PFD. Pregnancy itself is a precipitating factor for pelvic floor changes. Even women who have a cesarean section experience pelvic floor stretching and minor damage as a result of pregnancy (although usually less than during vaginal delivery). Epidemiological studies have shown that both pregnancy and delivery mode are independent risk factors for PFD. Previous studies have investigated the pelvic floor structure of women with vaginal delivery and elective cesarean delivery, and the results showed that the incidence of pelvic floor PFD in women with vaginal delivery was higher than that in women with cesarean delivery (26,27). This study measured LHA under Valsalva, and found that LHA in women with elective cesarean delivery was lower than that in those with vaginal delivery. Secondly, through data analysis, we found that there was no significant difference in the effect of vaginal delivery women using forceps or not on LHA. It further indicates that elective cesarean section may have a certain protective effect on pelvic floor structure compared with the other two delivery methods.
Delivery can lead to changes in the morphology of LAM, and different delivery modes have different effects on the LAM (28). During vaginal delivery, the fetal head descent will directly affect the muscles, causing them to expand extremely and deform, and the pelvic floor muscle fibers will also be extremely stretched, resulting in damage and rupture of the pelvic floor muscles or fascial ligaments, and at the same time, the innervation and blood supply of LAM will also be affected (29). If the delivery process is long, local hypoxia will occur (30). The combined effect of these factors weakens or even eliminates the ability of muscle to stretch, so some degree of LAM injury occurs during vaginal delivery. Secondly, the use of forceps to reduce the delivery time of pregnant women due to various emergencies during delivery is equivalent to the pressure on the pelvic floor muscles during fetal head descent, which increases the traction of the forceps on the muscles and a part of the load on the pelvic floor muscles, leading to further aggravation of LAM injury (31). Forceps delivery improves the probability of safe delivery but also increases the risk of LAM injury. The use of forceps is considered the highest risk factor for LAM injury. Therefore, the LAM should be protected to avoid serious injury during the use of forceps. Clinical epidemiological studies have shown that vaginal delivery is significantly more harmful to the pelvic floor than cesarean section in women with different modes of delivery (32). However, whether cesarean section can protect the pelvic floor function and reduce the incidence of long-term PFD currently remains controversial.
Association between different modes of delivery and POP
There were significant differences in the distribution of anterior pelvic prolapse among the three groups. The proportion of “no prolapse” in the elective cesarean section group was significantly higher than that in the forceps group and the non-forceps group, indicating that the degree of anterior pelvic prolapse was more severe than that in the middle pelvic area during delivery. This result is consistent with the conclusion of Coppola et al. (33). The causes of this phenomenon can be analyzed through the anatomy of the pelvic floor, and it is related to the apical support structure of the pelvic floor. When the apical support function is weakened, the bladder moves downward, resulting in anterior pelvic prolapse being more likely to occur than middle pelvic prolapse. DeLancey et al.’s (34) “three-level support theory” suggests that pelvic floor support relies primarily on three levels of structure, with the anterior pelvis at a relative disadvantage at each level. Level I (suspension layer): the uterus and vagina in the middle pelvis are suspended by the strong uterosacral ligament-cardinal ligament complex. The bladder and urethra in the anterior pelvic cavity lack direct ligament suspension, and are only indirectly attached to the level I structure through the anterior vaginal wall, with weak stability. Level II (attachment layer): the middle segment of the anterior vaginal wall (corresponding to the position of the bladder) is connected laterally to the pelvic lateral wall (white line) through the pelvic fascia tendinous arch (ATFP) and the pubocervical fascia (35,36). ATFP is an arcuate aponeurosis, and its resistance to traction is weaker than that of ligaments (such as the uterosacral ligament in the middle pelvis) (37). The pubocervical fascia is a loose connective tissue, which is easily destroyed by childbirth or aging (38). Level III: no direct muscle lift in the anterior pelvis: the base of the bladder is supported only by a weak urogenital diaphragm. According to the biomechanical analysis, the bladder is located in the anterior and inferior part of the pelvic and abdominal cavity, and it bears the maximum pressure when standing upright or with increased abdominal pressure (cough, weight bearing). The tensile strength of the anterior vaginal wall is only 60% of that of the posterior vaginal wall (39).
For quantitative analysis of POP, the horizontal line of the posterior–inferior margin of the pubic symphysis was used as the reference line. When the lowest point of the pelvic organ was below the line, it was marked as a positive value, and when the lowest point was above the line, it was marked as a negative value. The results showed that the degree of anterior and middle pelvic prolapse in women who delivered vaginally was higher than that of elective cesarean section (P<0.05). However, through the analysis of the degree of anterior and middle POP in women with and without forceps, it was found that there was no significant difference between the two groups (P>0.05). Previous studies have suggested that the use of forceps is a high risk factor for LAM injury (33), and LAM injury will aggravate the degree of POP. However, the analysis of this study showed that the use of forceps had no significant effect on the severity of POP compared with the group without forceps. The author asserted that there are many factors causing POP, including pregnancy, childbirth, aging, increased abdominal pressure, pelvic surgery (40); although the causes are different, they are ultimately reflected in the pelvic floor nerve, muscle, connective tissue damage. The long-term influence of many factors leads to the occurrence and further aggravation of POP (41). There was no significant difference in the degree of POP between the use and non-use of forceps, which showed that the use of forceps did not necessarily aggravate the severity of POP, and vaginal delivery was the main factor for POP. However, during vaginal delivery, the pressure from the fetal head, the abdominal pressure, and the force driving the fetus to descend exert great pressure on the pelvic floor tissue, and the overloaded stretch causes it to increasingly expand. This high-intensity tension can even cause LAM avulsion and decrease pelvic floor muscle strength in severe cases (42). In this study, the pelvic floor structure and function of the cesarean section group still changed, and POP occurred. This suggests that pregnancy status is the main cause of POP occurrence.
Although our results demonstrate reduced pelvic floor morbidity with elective cesarean delivery, clinical delivery mode decisions require comprehensive risk–benefit analysis beyond pelvic floor considerations. Vaginal delivery remains the standard of care for uncomplicated pregnancies due to its established advantages: lower maternal mortality (43), reduced thromboembolic risk (44), and enhanced neonatal immune maturation through microbial colonization (45). Furthermore, primary cesarean sections increase risks for future pregnancies, including placenta accreta spectrum disorders and surgical complications (46). These factors collectively explain why vaginal delivery is preferentially recommended when no obstetrical contraindications exist. Our findings thus highlight the need for individualized risk assessment—particularly in women with preexisting levator ani defects or collagen disorders—rather than advocating universal cesarean delivery.
Innovation
In this study, the changes of pelvic floor structure after vaginal delivery were compared among vaginal delivery, forceps delivery, and elective cesarean section. We investigated the effects of forceps and vaginal delivery on pelvic floor structure and function separately. Which POP was more serious in different delivery modes was analyzed? Combined with 3D ultrasound, the pelvic floor structure and function can be more comprehensively evaluated.
Limitations: this study included a small number of cases, and the women’s parity, fetal head circumference, maternal body mass index (BMI), duration of labor, episiotomy, neonatal outcomes, and ultrasonic measurement parameters at 6–8 weeks postpartum were not discussed in detail. Since only some of the participants could be contacted during the follow-up process, some of the data were lost to follow-up, in order to avoid loss of follow-up bias. Therefore, the above parameters were included in the study, and the follow-up of clinical data will be strengthened in the future work. Secondly, this study mainly explored the effects of different delivery modes on LAM injury and POP. In the follow-up study, we will expand the number of cases and further discuss stress urinary incontinence and other related diseases.
Conclusions
Transperineal 2D ultrasound can directly observe LAM injury and POP on 2D section. Combined with 3D ultrasound, it can comprehensively assess LAM continuity and LH in each sectional section, and evaluate LAM injury more effectively for early intervention. When POP occurs after delivery, anterior POP is more serious than middle POP. Different delivery modes cause different damages to pelvic structure. Elective cesarean section has a certain protective effect on LAM (the use of forceps induces the most severe damage on LAM damage). Therefore, clinicians should judiciously select the appropriate delivery mode during the delivery process, especially in the case of forceps-assisted vaginal delivery, to protect the pelvic floor structure and avoid the occurrence of PFD diseases.
Acknowledgments
None.
Footnote
Reporting Checklist: The authors have completed the STROBE reporting checklist. Available at https://qims.amegroups.com/article/view/10.21037/qims-2025-502/rc
Data Sharing Statement: Available at https://qims.amegroups.com/article/view/10.21037/qims-2025-502/dss
Funding: This work was supported by
Conflicts of Interest: All authors have completed the ICMJE uniform disclosure form (available at https://qims.amegroups.com/article/view/10.21037/qims-2025-502/coif). The authors have no conflicts of interest to declare.
Ethical Statement: The authors are accountable for all aspects of the work in ensuring that questions related to the accuracy or integrity of any part of the work are appropriately investigated and resolved. This study was conducted in accordance with the Declaration of Helsinki and its subsequent amendments. Informed consent was obtained from all the patients. The study protocol was approved by the Medical Ethics Committee of Gansu Provincial Maternity and Child Health Care Hospital (Approval number 2023-54). All experiments were performed in accordance with relevant guidelines and regulations.
Open Access Statement: This is an Open Access article distributed in accordance with the Creative Commons Attribution-NonCommercial-NoDerivs 4.0 International License (CC BY-NC-ND 4.0), which permits the non-commercial replication and distribution of the article with the strict proviso that no changes or edits are made and the original work is properly cited (including links to both the formal publication through the relevant DOI and the license). See: https://creativecommons.org/licenses/by-nc-nd/4.0/.
References
- Youssef A, Brunelli E, Pilu G, Dietz HP. The maternal pelvic floor and labor outcome. Am J Obstet Gynecol MFM 2021;3:100452. [Crossref] [PubMed]
- Zhuang RR, Song YF, Chen ZQ, Ma M, Huang HJ, Chen JH, Li YM. Levator avulsion using a tomographic ultrasound and magnetic resonance-based model. Am J Obstet Gynecol 2011;205:232.e1-8. [Crossref] [PubMed]
- Zhao Y, Zou L, Xiao M, Tang W, Niu HY, Qiao FY. Effect of different delivery modes on the short-term strength of the pelvic floor muscle in Chinese primipara. BMC Pregnancy Childbirth 2018;18:275. [Crossref] [PubMed]
- Bozkurt M, Yumru AE, Şahin L. Pelvic floor dysfunction, and effects of pregnancy and mode of delivery on pelvic floor. Taiwan J Obstet Gynecol 2014;53:452-8. [Crossref] [PubMed]
- Cassadó J, Espuña-Pons M, Díaz-Cuervo H, Rebollo P. How can we measure bladder volumes in women with advanced pelvic organ prolapse? Ultrasound Obstet Gynecol 2015;46:233-8. [Crossref] [PubMed]
- Alqahtani MA, Lee SR. Translabial ultrasound for pelvic organ prolapse. Obstet Gynecol Sci 2023;66:69-75. [Crossref] [PubMed]
- Dietz HP. Translabial ultrasound in the assessment of pelvic floor and anorectal function in women with defecatory disorders. Tech Coloproctol 2014;18:481-94. [Crossref] [PubMed]
- Lai W, Wen L, Li Y, Huang X, Qing Z. Concordance of tomographic ultrasound and multiplanar ultrasound in detecting levator ani muscle injury in patients with pelvic organ prolapse. PLoS One 2018;13:e0199864. [Crossref] [PubMed]
- Dietz HP, Shek C, De Leon J, Steensma AB. Ballooning of the levator hiatus. Ultrasound Obstet Gynecol 2008;31:676-80. [Crossref] [PubMed]
- Williams H, Cattani L, Van Schoubroeck D, Yaqub M, Sudre C, Vercauteren T, D’Hooge J, Deprest J. Automatic Extraction of Hiatal Dimensions in 3-D Transperineal Pelvic Ultrasound Recordings. Ultrasound Med Biol 2021;47:3470-9. [Crossref] [PubMed]
- Tai H, Kalayeh K, Ashton-Miller JA, DeLancey JO, Brian Fowlkes J. Urethral tissue characterization using multiparametric ultrasound imaging. Ultrasonics 2025;145:107481. [Crossref] [PubMed]
- Kalayeh K, Fowlkes JB, Sack BS, LaCross J, Daignault-Newton S, Schmidt P, Tai H, Schultz WW, Ashton-Miller JA, DeLancey JO. A New Automated Ultrasound Quantification of Urethral Mobility for Stress Urinary Incontinence: A Feasibility Study. J Ultrasound Med 2025;44:1213-27. [Crossref] [PubMed]
- DeLancey JO. Structural support of the urethra as it relates to stress urinary incontinence: the hammock hypothesis. Am J Obstet Gynecol 1994;170:1713-20; discussion 1720-3. [Crossref] [PubMed]
- Rahmanou P, Caudwell-Hall J, Kamisan Atan I, Dietz HP. The association between maternal age at first delivery and risk of obstetric trauma. Am J Obstet Gynecol 2016;215:451.e1-7. [Crossref] [PubMed]
- Chung MY, Wan OY, Cheung RY, Chung TK, Chan SS. Prevalence of levator ani muscle injury and health-related quality of life in primiparous Chinese women after instrumental delivery. Ultrasound Obstet Gynecol 2015;45:728-33. [Crossref] [PubMed]
- Memon HU, Blomquist JL, Dietz HP, Pierce CB, Weinstein MM, Handa VL. Comparison of levator ani muscle avulsion injury after forceps-assisted and vacuum-assisted vaginal childbirth. Obstet Gynecol 2015;125:1080-7. [Crossref] [PubMed]
- Caudwell-Hall J, Weishaupt J, Dietz HP. Contributing factors in forceps associated pelvic floor trauma. Int Urogynecol J 2020;31:167-71. [Crossref] [PubMed]
- Blomquist JL, Carroll M, Muñoz A, Handa VL. Pelvic floor muscle strength and the incidence of pelvic floor disorders after vaginal and cesarean delivery. Am J Obstet Gynecol 2020;222:62.e1-8. [Crossref] [PubMed]
- Cai S, Xia M, Ding Y, Zeng L. Clinical value of transperineal ultrasound in evaluating the effects of different delivery methods on the primipara pelvic floor structure and function. Sci Rep 2024;14:23980. [Crossref] [PubMed]
- Chen Y, Li FY, Lin X, Chen J, Chen C, Guess MK. The recovery of pelvic organ support during the first year postpartum. BJOG 2013;120:1430-7. [Crossref] [PubMed]
- Jelovsek JE, Chagin K, Gyhagen M, Hagen S, Wilson D, Kattan MW, Elders A, Barber MD, Areskoug B, MacArthur C, Milsom I. Predicting risk of pelvic floor disorders 12 and 20 years after delivery. Am J Obstet Gynecol 2018;218:222.e1-222.e19. [Crossref] [PubMed]
- Handa VL, Blomquist JL, Roem J, Muñoz A, Dietz HP. Pelvic Floor Disorders After Obstetric Avulsion of the Levator Ani Muscle. Female Pelvic Med Reconstr Surg 2019;25:3-7. [Crossref] [PubMed]
- Dietz HP. Ultrasound imaging of the pelvic floor. Part II: three-dimensional or volume imaging. Ultrasound Obstet Gynecol 2004;23:615-25. [Crossref] [PubMed]
- Oom DM, West RL, Schouten WR, Steensma AB. Detection of anal sphincter defects in female patients with fecal incontinence: a comparison of 3-dimensional transperineal ultrasound and 2-dimensional endoanal ultrasound. Dis Colon Rectum 2012;55:646-52. [Crossref] [PubMed]
- Greenbaum H, Klein L, Alcalay M, Kassif E, Weisz B, Eisenberg VH. The optimal cutoff value for levator-urethra gap measurements using tomographic ultrasound imaging in avulsion diagnosis is population specific. Neurourol Urodyn 2020;39:1401-9. [Crossref] [PubMed]
- Hage-Fransen MAH, Wiezer M, Otto A, Wieffer-Platvoet MS, Slotman MH, Nijhuis-van der Sanden MWG, Pool-Goudzwaard AL. Pregnancy- and obstetric-related risk factors for urinary incontinence, fecal incontinence, or pelvic organ prolapse later in life: A systematic review and meta-analysis. Acta Obstet Gynecol Scand 2021;100:373-82. [Crossref] [PubMed]
- Lin S, Atan IK, Dietz HP, Herbison P, Wilson PD. Delivery mode, levator avulsion and obstetric anal sphincter injury: A cross-sectional study 20 years after childbirth. Aust N Z J Obstet Gynaecol 2019;59:590-6. [Crossref] [PubMed]
- Siafarikas F, Stær-Jensen J, Reimers C, Bø K, Ellström Engh M. Levator ani muscle avulsion and subsequent vaginal delivery: 8-year longitudinal follow-up. Ultrasound Obstet Gynecol 2024;64:112-9. [Crossref] [PubMed]
- van Delft K, Thakar R, Sultan AH, Schwertner-Tiepelmann N, Kluivers K. Levator ani muscle avulsion during childbirth: a risk prediction model. BJOG 2014;121:1155-63; discussion 1163. [Crossref] [PubMed]
- Pardo E, Rotem R, Glinter H, Erenberg M, Yahav L, Yohay Z, Yohay D, Weintraub AY. Recovery from pelvic floor dysfunction symptoms in the postpartum is associated with the duration of the second stage of labor. Arch Gynecol Obstet 2019;300:127-33. [Crossref] [PubMed]
- Ye J, Fei H, Du J, Liu Y, He J, Li M, He Y, Ren P, Li J, Xu Y, Li J, Wang P, Zhang X, Li T. Exploring transvaginal sonographic characteristics of the levator ani muscle in women with postpartum pelvic floor myofascial pain. BMC Womens Health 2024;24:245. [Crossref] [PubMed]
- Tähtinen RM, Cartwright R, Vernooij RWM, Rortveit G, Hunskaar S, Guyatt GH, Tikkinen KAO. Long-term risks of stress and urgency urinary incontinence after different vaginal delivery modes. Am J Obstet Gynecol 2019;220:181.e1-8. [Crossref] [PubMed]
- Coppola C, Fochesato C, Esposito G, Ferrazzi E, Orsi M. Ultrasound Diagnosis of Levator Ani Hiatus Enlargement and Cystocele in Standing and Supine Positions in the Postpartum Period. J Ultrasound Med 2025;44:681-9. [Crossref] [PubMed]
- DeLancey JOL, Masteling M, Pipitone F, LaCross J, Mastrovito S, Ashton-Miller JA. Pelvic floor injury during vaginal birth is life-altering and preventable: what can we do about it? Am J Obstet Gynecol 2024;230:279-294.e2. [Crossref] [PubMed]
- Athanasiou S, Lymberopoulos E, Kanellopoulou S, Rodolakis A, Vlachos G, Antsaklis A. Proteomic analysis of pubocervical fascia in women with and without pelvic organ prolapse and urodynamic stress incontinence. Int Urogynecol J 2010;21:1377-84. [Crossref] [PubMed]
- Steinke H, Wiersbicki D, Völker A, Pieroh P, Kulow C, Wolf B, Osterhoff G. The fascial connections of the pectineal ligament. Clin Anat 2019;32:961-9. [Crossref] [PubMed]
- Hill AJ, Balgobin S, Mishra K, Jeppson PC, Wheeler T 2nd, Mazloomdoost D, Anand M, Ninivaggio C, Hamner J, Bochenska K, Mama ST, Balk EM, Corton MM, Delancey JSociety of Gynecologic Surgeons Pelvic Anatomy Group. Recommended standardized anatomic terminology of the posterior female pelvis and vulva based on a structured medical literature review. Am J Obstet Gynecol 2021;225:169.e1-169.e16. [Crossref] [PubMed]
- Liu C, Yang Q, Fang G, Li BS, Wu DB, Guo WJ, Hong SS, Hong L. Collagen metabolic disorder induced by oxidative stress in human uterosacral ligament‑derived fibroblasts: A possible pathophysiological mechanism in pelvic organ prolapse. Mol Med Rep 2016;13:2999-3008. [Crossref] [PubMed]
- Liedl B, Dodi G, Inoue H, Neuman M, Del Amo E. Structural, functional, and dysfunctional pelvic anatomy. Ann Transl Med 2024;12:23. [Crossref] [PubMed]
- Zhao H, Liu XN, Liu LN. Effect of structured pelvic floor muscle training on pelvic floor muscle contraction and treatment of pelvic organ prolapse in postpartum women: ultrasound and clinical evaluations. Arch Gynecol Obstet 2024;309:2177-82. [Crossref] [PubMed]
- Braverman M, Kamisan Atan I, Turel F, Friedman T, Dietz HP. Does Patient Posture Affect the Ultrasound Evaluation of Pelvic Organ Prolapse? J Ultrasound Med 2019;38:233-8. [Crossref] [PubMed]
- Collins S, Lewicky-Gaupp C. Pelvic Organ Prolapse. Gastroenterol Clin North Am 2022;51:177-93. [Crossref] [PubMed]
- Berghella V, Adewale V, Rana T, Bonanni G, Chauhan SP, Bellussi F, Rouse D, Barrett J. What is the best mode of delivery in nulliparous, singleton, term, vertex pregnancies. Am J Obstet Gynecol MFM 2024;6:101501. [Crossref] [PubMed]
- Davis S, Pandor A, Sampson FC, Hamilton J, Nelson-Piercy C, Hunt BJ, Daru J, Goodacre S, Carser R, Rooney G, Clowes M. Thromboprophylaxis during pregnancy and the puerperium: a systematic review and economic evaluation to estimate the value of future research. Health Technol Assess 2024;28:1-176. [Crossref] [PubMed]
- Socha-Banasiak A, Pawłowska M, Czkwianianc E, Pierzynowska K. From Intrauterine to Extrauterine Life-The Role of Endogenous and Exogenous Factors in the Regulation of the Intestinal Microbiota Community and Gut Maturation in Early Life. Front Nutr 2021;8:696966. [Crossref] [PubMed]
- Keag OE, Norman JE, Stock SJ. Long-term risks and benefits associated with cesarean delivery for mother, baby, and subsequent pregnancies: Systematic review and meta-analysis. PLoS Med 2018;15:e1002494. [Crossref] [PubMed]

