The value of echocardiographic left ventricular rotational body volume analysis in the assessment of patients with pulmonary hypertension
Introduction
Pulmonary hypertension (PH) is a progressive pulmonary vascular disease characterized by increased vascular resistance and right ventricular pressure (RVP) overload, which can lead to right ventricular (RV) failure and is associated with increased mortality (1,2). The prevalence of PH is estimated to be 1% in the global population and up to 10% in 600 million people over the age of 65 years (3). Early detection and accurate assessment are essential to improve the outcome of PH patients. Right heart catheterization (RHC) is the gold standard for the diagnosis of PH, but its repeatability is limited because of its high cost, hospitalization, complex operation, and certain complications (4). According to current guidelines and consensus statements, transthoracic echocardiography (Echo) is a widely available, feasible, noninvasive method for screening, differential diagnosis, follow-up evaluation, and risk stratification of PH (5).
The 2022 European Society of Cardiology/European Respiratory Society (ESC/ERS) guidelines for the diagnosis and treatment of PH recommend the frequent use of peak velocity of tricuspid regurgitation (TRV) in Echo as a key indicator to assess the possibility of PH (6). However, we sometimes encounter patients with PH of which its systolic pulmonary artery pressure (sPAP) estimated via the TRV is significantly different from that estimated via the right heart catheterization (RHC), with serious errors (7,8). The reasons for this difference include the degree of angle between the tricuspid regurgitation (TR) jet and the Doppler beam and the fact that in some patients, of which its sPAP, which results in a seemingly normal tricuspid regurgitant pressure gradient (TRPG) value (9,10). In addition, the patient’s own conditions, including age, sex, body mass index (BMI), respiratory, heart rate, cardiopulmonary and metabolic comorbidities, and ability to change position during the examination affect image sharpness (11,12).
When PH cannot be quantified via TR, subjective methods such as end-systolic flattening of the interventricular septum (IVS) can be used to qualitatively grade PH, but there is significant variability in the subjective assessment of IVS. Few studies have quantitatively evaluated IVS movement in patients with PH. In the past, the left ventricular eccentricity index (LVEI) and the curvature of IVS were analyzed. However, LVEI and IVS curvature have been analyzed under the conditions of uniform and consistent compression of IVS, so the overall compression of IVS is not uniform, and there is a certain degree of error in assessing the severity of PH in patients (13). The use of spherical global shape indices to analyze left ventricular (LV) shape has been useful, but global shape indices have limited value in patients with PH (14). Therefore, further studies to assess IVS movement accurately and quantitatively in PH patients are warranted.
LV morphology and shape are significantly different in PH patients compared with normal subjects, where the LV is approximately conical in normal state, and LV morphology in PH patients shows different morphologies due to the displacement of the IVS (15). The LV lateral wall is uncompressed in PH patients. In higher mathematics, the rotational volume calculus enables the calculation of the standard volume of the circular vertebra (16). Therefore, this is the first study attempting to use rotation volume calculus to calculate the standard volume of the LV in the apical four-chamber view (A4C), compare it with the actual volume of the LV under compression, analyze the geometric changes in the LV, and reduce the error caused by the uneven compression of the IVS. Furthermore, the severity of PH in patients was evaluated. We present this article in accordance with the STROBE reporting checklist (available at https://qims.amegroups.com/article/view/10.21037/qims-2024-2490/rc).
Methods
Study population
Our patient selection criteria included individuals who were diagnosed with PH and continuously admitted to the Pulmonary Hypertension Treatment Center of Gansu Provincial People’s Hospital between September 2023 and February 2024 and who also underwent RHC [resting mean pulmonary artery pressure (mPAP) ≥20 mmHg and pulmonary capillary wedge pressure (PCWP) ≤15 mmHg] as well as Echo. In the majority of patients, RHC and Echo were performed on the same day, and in very few patients they were performed no more than 1 week apart. Thirty-five healthy individuals underwent thorough screening, including medical history review, physical examination, and comprehensive Echo, revealing no evidence of cardiac abnormalities. We excluded conditions that might directly impact LV function other than PH, including single-ventricle physiology, active pacing, cardiomyopathies, heart transplant, uncontrolled systemic hypertension, ventricular septal defect occlusion devices, any left-sided obstructive lesion, PCWP >15 mmHg. We also excluded cases where the left and right ventricular volumes were affected, including primary pulmonary valve regurgitation or left-to-right shunt lesions and other diseases. In addition, the patient images were poor, and the lack of RHC and Echo data hindered the analysis, etc. Also, there were patients for whom the Echo did not use the Simpson’s method to measure the A4C section. After excluding 70 patients, 98 patients were retained in our final cohort (Figure 1).
Demographic characteristics and medical history data were collected from the electronic medical records database. The study was approved by the Gansu Provincial People’s Hospital institutional ethics review board (approval No. 2023-608), and written informed consent was waived because of the retrospective nature of the study. This study was conducted in accordance with the Declaration of Helsinki and its subsequent amendments.
RHC
RHC was performed via the right femoral vein or internal jugular vein to measure RVP, sPAP, mPAP, PCWP, pulmonary vascular resistance (PVR), cardiac output (CO), and the cardiac index (CI). According to the 2022 ESC/ERS guidelines for the diagnosis and treatment of PH, an mPAP ≥20 mmHg measured during RHC is considered the threshold for defining PH (6).
Echo
Echo (Philips Elite x MATRIX or EPIQ 5CEcho operating system) was performed in accordance with international guidelines. The results of the RHC during the echocardiogram were assessed under single-blind conditions. Each recorded image contains a minimum of 3 to 5 cardiac cycles in patients with sinus rhythm and atrial fibrillation. All echocardiographic examinations were interpreted by experienced cardiologists with extensive expertise in both cardiology and Echo.
In patients with PH, the termination of contraction and diastole in each ventricle may differ, necessitating the use of distinct electrocardiogram (ECG) signals to delineate the onset of contraction. For simplicity, we define the conclusion of contraction and diastole in the left ventricular cavity as the minimum and maximum time, respectively, allowing for atrial contraction-induced left ventricular filling and accounting for the typically more pronounced leftward displacement of the IVS during early diastole of the left ventricle when RVP is still elevated owing to PH (15).
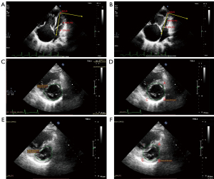
The imaging data are digitally stored for subsequent offline analysis. The ratios of left ventricular volume change and left ventricular area change are derived from the same offline image of the respective patient. The approach for assessing the ratio of left ventricular volume change involves measuring end-diastolic and end-systolic volumes via Simpson’s method in the four-chamber view at the apex of the heart, as illustrated in Figure 2. After the aforementioned images were obtained, three distinct points were delineated on the lateral wall of the left ventricle at the apex (A), middle (B), and base (C) positions. The apex served as the origin, and the longitudinal axis of the left ventricle was designated the horizontal axis for recording the X and Y coordinates of points A, B, and C via ImageJ (https://imagej.nih.gov/ij) (17). It can also be directly measured via an Echo machine during a patient’s examination. The three points are used to compute the quadratic equation y = f(x) = ax2 + bx + c with three variables, which are rotated once, and the volume integral of a revolving object is employed to determine the unexpanded LV standard volume: . This volume contrasts with the LV volume obtained through Simpson’s method, distinguishing between actual and standard measurements. In addition, we used a new measurement method to calculate the ratio of the change in the LV area in the short-axis section: the papillary muscle in the short-axis plane of the LV approximates a circle; thus, in the maximum and minimum periods of the LV, we used software to measure the actual area of the LV along the dense myocardium at https://www.radiantviewer.com remember. Then, the standard area of the LV before compression was measured at three positions in the LV lateral wall [anterior (A), middle (B), and posterior (C)] and compared with the actual area, that is, the actual/standard area. At the beginning of our investigation, we conducted a preliminary study to calculate the aforementioned values for healthy individuals and performed a statistical analysis to compare these actual values with standard indicators. No statistically significant differences were observed (P>0.05). The actual values closely resembled the standard values, as illustrated in Table 1. Furthermore, in line with prior research, we employed normalized curvature to assess septal curvature (13). The method used to compute the LVEI was akin to that outlined by Ryan et al. (18).
Table 1
| Variables | Actual value | Standard value | P value |
|---|---|---|---|
| The end-systole area (PSAX views at LV midpapillary muscle window) (cm2) | 9.43±2.86 | 10.16±2.78 | 0.748 |
| The end-diastolic area (PSAX views at LV midpapillary muscle window) (cm2) | 17.74±3.84 | 18.67±3.66 | 0.757 |
| The end-systolic volume (A4C) (cm2) | 28.21±7.31 | 30.24±8.58 | 0.28 |
| The end-diastolic volume (A4C) (cm2) | 78 [63.4, 90] | 80 [65, 95] | 0.332 |
Data are presented as mean ± standard deviation or median [interquartile range]. A4C, apical four-chamber view; LV, left ventricle; PSAX, parasternal short-axis.
Reproducibility
In order to evaluate the inter-observer and intra-observer variabilities of the various indicators for measuring the morphological changes of the left ventricle in Echo, two physicians (observers) with certain Echo measurement experience conducted the measurement and calculation of the morphological changes of the left ventricle. One observer analyzed all the echocardiograms of all patients, and another independent observer repeated the image analysis among 30 randomly selected research subjects (10 with mild PH, 10 with moderate PH, and 10 with severe PH). Additionally, observer 1 measured the various indicators of the morphological changes of the left ventricle twice at different time, with an interval of 10 days between each measurement, and saved the data separately after each measurement. Neither of the two observers was aware of all the previous measurements.
Statistical analysis
All the statistical analyses were conducted via SPSS 25 and GraphPad Prism 9. Normality tests were performed for all indicators, and continuous data are presented as the means (lower limit–upper limit) if they followed a normal distribution. For nonnormally distributed data, the median (P25, P75) was used for representation. For the comparison of quantitative data between groups, one-way analysis of variance (ANOVA) and multiple comparisons were employed when the data were normally distributed. In cases where the data do not follow a normal distribution, nonparametric tests are utilized. When dealing with categorical data, rates or proportions are used for representation, and group comparisons are conducted via the Chi-squared test. The Spearman correlation coefficient was used to assess the relationships between echocardiographic LV morphological parameters and invasive hemodynamic parameters. On the basis of the receiver operating characteristic (ROC) curve of the subjects, we calculated the sensitivity, specificity, and 95% confidence interval for predicting PH and risk stratification via the ratio of LV morphological changes. Additionally, we determined the area under the curve (AUC) for the PH-related results and risk stratification discrimination. A significance level of P<0.05 was applied for all the statistical analyses. Since some patients have missing values for a single data point, only the missing values are deleted while the other data are retained.
Results
Patient characteristics
According to the data collection criteria, a total of 168 patients diagnosed with PH at Gansu Provincial People’s Hospital between September 2023 and February 2024 were identified. Among them, 12 patients who had a direct impact on left ventricular function and 15 patients who showed an impact on both left and right ventricular volumes were excluded. Additionally, 43 patients without RHC or Echo data were also excluded. Consequently, a final cohort of 98 patients was included in the study. A total of 98 patients with PH and 35 normal controls were included in the study. Mediastinal fibrosis was identified as the cause of PH in 55.1% (54/98) of the patients, whereas other types of PH had comparable prevalence rates, with the exception of PH resulting from left heart-related diseases. Some of our patients are unable to obtain TRPG due to mild TR. Among them, 90 patients were measured through TRPG. Pulmonary hemodynamic obstruction was prevalent among most patients, with the majority presenting with World Health Organization (WHO) functional class II (n=47). The majority of PH patients were female (65/98, 66.3%). Table 2 presents the baseline characteristics, hemodynamic parameters, and echocardiographic findings of the patients.
Table 2
| Variables | PH (n=98) | Controls (n=35) | P value |
|---|---|---|---|
| Age at time of diagnosis (years) | 61 (55.7, 68.2) | 52 [47–57] | 0.012 |
| Female | 65 (66.3) | 18 (51.4) | 0.155 |
| BMI (kg/m2) | 1.64 [1.61–1.66] | 1.73 [1.66–1.78] | 0.058 |
| WHO class | |||
| Not available | 7 (7.4) | – | – |
| I | 0 (0.0) | – | – |
| II | 47 (47.9) | – | – |
| III | 43 (43.8) | – | – |
| IV | 1 (1.0) | – | – |
| NT-ProBNP (pg/mL) | 357 (134.4, 1,406.7) | – | – |
| 6MWD (m) (n=73) | 325 [305–345] | – | – |
| PH classification | |||
| Group I | 18 (18.4) | – | – |
| Group II | 0 (0.0) | – | – |
| Group III | 15 (15.3) | – | – |
| Group IV | 11 (11.2) | – | – |
| Group V | 54 (55.1) | – | – |
| Hemodynamics | |||
| mRAP (mmHg) | 3 (2.0, 4) | – | – |
| sPAP (mmHg) | 70.5 (51, 90.2) | – | – |
| dPAP (mmHg) | 27.5 (19.7, 34) | – | – |
| mPAP (mmHg) | 41.5 (31, 52.5) | – | – |
| PCWP (mmHg) | 6.9 [6.4–7.4] | – | – |
| CI (L/min/m2) | 2.6 (2.2, 3.2) | – | – |
| CO (L/min) | 4.4 (3.7, 5.2) | – | – |
| PVR (Wood u) | 7.6 (4.9, 12.3) | – | – |
| Echocardiographic | |||
| sPAP (mmHg) | 67 (48, 83.7) | – | – |
| mPAP (mmHg) | 39 (31, 48) | – | – |
| dPAP (mmHg) | 25 (20, 30) | – | – |
| End-diastolic right ventricular basal diameter/left ventricular basal diameter (A4C) | 1.1 (1, 1.4) | – | – |
| End-diastolic EI (PSAX views at LV midpapillary muscle window) | 1.09 [1.05–1.12] | 1 (0.9, 1.2) | <0.0001 |
| End-systolic EI (PSAX views at LV midpapillary muscle window) | 1.26 (1.02, 1.68) | 1 (0.96, 1.02) | <0.0001 |
| Normalized curvature [L/(r/ri)] | 0.8 (−0.53, 0.89) | 0.99 (0.97, 1.00) | <0.0001 |
Data are presented as mean ± standard deviation, median (interquartile range), or n (%). 6MWD, 6-minute walk distance; A4C, apical four-chamber view; BMI, body mass index; CI, cardiac index; CO, cardiac output; dPAP, diastolic pulmonary arterial pressure; EI, eccentricity index; LV, left ventricle; mPAP, mean pulmonary arterial pressure; mRAP, mean right atrial pressure; NT-ProBNP, N-terminal pro-B-type natriuretic peptide; PCWP, pulmonary capillary wedge pressure; PH, pulmonary hypertension; PSAX, parasternal short-axis; PVR, pulmonary vascular resistance; sPAP, systolic pulmonary arterial pressure; WHO, World Health Organization.
Echocardiographic measurements
LV echocardiographic measurements are presented in Table 3. The PH values of the ratio of the LV diastolic end-systolic area [0.82 (0.75, 0.90) vs. 0.94 (0.93, 0.97), P<0.0001] and the ratio of the LV contractile area [0.69±0.14 vs. 0.95 (0.9, 0.97), P<0.0001] were significantly greater in the PH group than in the control group. The pH values of the ratio of the LV diastolic end-diastolic volume [0.75±0.11 vs. 0.96 (0.93, 0.98)] and the ratio of the LV contractile end-systolic volume [0.77 (0.7, 0.81) vs. 0.96 (0.95, 0.97)] were also notably greater in the PH group than in the control group.
Table 3
| Variables | PH (n=98) | Controls (n=35) | P value |
|---|---|---|---|
| The ratio of end-diastolic area (PSAX views at LV midpapillary muscle window) | 0.82 (0.75, 0.90) | 0.94 (0.93, 0.97) | <0.0001 |
| The ratio of end-systolic area (PSAX views at LV midpapillary muscle window) | 0.69 (0.66, 0.72) | 0.95 (0.9, 0.97) | <0.0001 |
| The ratio of end-diastolic volume (A4C) | 0.75 (0.73, 0.77) | 0.96 (0.93, 0.98) | <0.0001 |
| The ratio of end-systolic volume (A4C) | 0.77 (0.7, 0.81) | 0.96 (0.95, 0.97) | <0.0001 |
Data are presented as median (interquartile range). A4C, apical four-chamber view; LV, left ventricle; PH, pulmonary hypertension; PSAX, parasternal short-axis.
Patients with PH were categorized into three subgroups on the basis of the average mPAP measured by RHC: mild (20–34 mmHg), moderate (35–50 mmHg), and severe (≥50 mmHg). A comparison of four indicators reflecting LV morphological changes revealed a significant difference in the ratio of the LV end-diastolic area to the end-systolic area between the severe PH group and the other groups, indicating a gradual decrease in the short-axis LV area with increasing severity of PH (Figure 3A,3B). The ratio of the diastolic volume was significantly different between the normal control group and all the PH groups but did not significantly differ among the different pH groups (Figure 3C). Additionally, there was a significant difference in the ratio of the systolic volume between the PH groups and the normal control group, as well as between the severe PH group and the mild PH group (Figure 3D).
Relationship between each index of the left ventricular morphological ratio and invasive hemodynamics
The associations between left ventricular morphological changes and invasive hemodynamic measurements are presented in Table 4. The four measured parameters demonstrated moderate to strong correlations with the majority of invasive hemodynamic measurements, with the diastolic area ratio exhibiting the strongest correlation.
Table 4
| Variables | mPAP | P | sPAP | P | PCWP | P | PVR | P | CO | P | CI | P |
|---|---|---|---|---|---|---|---|---|---|---|---|---|
| The ratio of diastolic area | −0.66 (−0.76 to 0.52) |
<0.0001 | −0.63 (−0.74 to −0.48) |
<0.0001 | 0.04 (−0.17 to 0.25) |
0.7 | −0.6 (−0.72 to −0.45) |
<0.0001 | 0.34 (0.14 to 0.51) |
<0.0001 | 0.26 (0.06 to 0.44) |
0.01 |
| The ratio of systolic area | −0.51 (−0.65 to −0.34) |
<0.0001 | −0.44 (−0.59 to −0.25) |
<0.0001 | 0.15 (−0.06 to 0.39) |
0.16 | −0.47 (−0.62 to −0.29) |
<0.0001 | 0.37 (0.18 to 0.54) |
<0.0001 | 0.29 (0.09 to 0.47) |
0.005 |
| The ratio of diastolic volume | −0.37 (−0.53 to −0.18) |
<0.0001 | −0.42 (−0.57 to 0.24) |
<0.0001 | 0.2 (−0.003 to 0.39) |
0.05 | −0.43 (−0.58 to −0.25) |
<0.0001 | 0.15 (−0.05 to 0.36) |
0.13 | 0.12 (−0.08 to 0.31) |
0.25 |
| The ratio of systolic volume | −0.45 (−0.60 to−0.27) |
<0.0001 | −0.44 (−0.59 to −0.26) |
<0.0001 | 0.09 (−0.12 to 0.29) |
0.39 | −0.52 (−0.65 to −0.35) |
<0.0001 | 0.3 (0.11 to 0.47) |
0.003 | 0.27 (0.07 to 0.45) |
0.008 |
| sPAP | 0.67 (0.55 to 0.77) |
<0.0001 | 0.7 (0.58 to 0.79) |
<0.0001 | −0.08 (−0.28 to 0.12) |
0.41 | 0.62 (0.48 to 0.72) |
<0.0001 | −0.22 (−0.41 to 0.02) |
0.025 | −0.22 (−0.4 to −0.02) |
0.03 |
| mPAP | 0.6 (0.45 to 0.72) |
<0.0001 | 0.62 (0.48 to 0.73) |
<0.0001 | −0.05 (−0.26 to 0.16) |
0.63 | 0.48 (0.31 to 0.62) |
<0.0001 | −0.2 (−0.39 to −0.006) |
0.06 | −0.19 (−0.38 to 0.01) |
0.06 |
| End-diastolic EI | 0.42 (0.23 to 0.57) |
<0.0001 | 0.4 (0.21 to 0.56) |
<0.0001 | −0.18 (−0.38 to 0.02) |
0.08 | 0.42 (0.23 to 0.57) |
<0.0001 | −0.26 (−0.44 to −0.05) |
0.013 | −0.21 (−0.4 to −0.01) |
0.04 |
| End-systole EI | 0.46 (0.28 to 0.61) |
<0.0001 | 0.41 (0.22 to 0.57) |
<0.0001 | −0.25 (−0.43 to −0.04) |
0.02 | 0.47 (0.29 to 0.61) |
<0.0001 | −0.44 (−0.59 to 0.26) |
<0.0001 | −0.36 (−0.53 to −0.17) |
<0.0001 |
| Normalized curvature | −0.46 (−0.61 to −0.28) |
<0.0001 | −0.4 (−0.56 to −0.21) |
<0.0001 | 0.18 (−0.03 to 0.37) |
0.09 | −0.35 (−0.52 to −0.15) |
<0.0001 | 0.22 (0.01 to 0.41) |
0.03 | 0.22 (0.01 to 0.41) |
0.03 |
Data are presented as median (interquartile range). CI, cardiac index; CO, cardiac output; EI, eccentricity index; LV, left ventricle; mPAP, mean pulmonary arterial pressure; PCWP, pulmonary capillary wedge pressure; PH, pulmonary hypertension; PVR, pulmonary vascular resistance; sPAP, systolic pulmonary arterial pressure.
Diagnostic performance of left ventricular shape changes
ROC curves were generated to determine the optimal EI threshold for defining clinically significant PH and risk stratification in patients (Figure 4). The end-diastolic volume ratio [0.925; AUC, 0.949 (0.888–1.000)] demonstrated the highest sensitivity for PH (mPAP >20 mmHg), whereas the end-systolic area ratio [0.895; AUC, 0.937 (0.874–1.000)] and diastolic volume ratio [0.875; AUC, 0.938 (0.897–0.979)] exhibited similar AUCs in defining PH. For moderate PH classification, the diastolic area ratio [0.890; AUC, 0893 (0839–0946)] and end-systolic volume ratio [0805; AUC, 0898 (0842–0954)] both demonstrate good diagnostic performance with similar AUCs. As pulmonary artery pressure increases, the diastolic area ratio [0805; AUC, 0.972 (0948–0996)] exhibits superior diagnostic performance for severe PH. In addition, when defining mild and moderate PH, the ratio of LV morphological changes was marginally lower than the AUC of tricuspid regurgitation-estimated sPAP but slightly greater than the indices of eccentricity in the short axis of the LV diastole and systole, as well as the normalized curvature in systole. However, when determining severe PH, all four indices of LV morphological changes outperformed the aforementioned indicators.
Furthermore, the entire cohort was stratified into low-risk, intermediate-risk, and high-risk categories on the basis of the 3-point risk stratification system outlined in the 2022 ESC/ERS guidelines. Compared with the end-diastolic area-to-end-systolic area ratio measurement method, the LV short-axis section demonstrated a superior AUC for defining low-risk [0.895; AUC, 0.938 (0.874–1.000)], intermediate-risk [0.785; AUC, 0.841 (0.772–0.910)], and high-risk [0.615; AUC, 0.912 (0.838–0.986)] patients. However, A4C, which utilizes the end-systolic volume-to-end-diastolic volume ratio, presented a greater AUC for categorizing low-risk patients [0.925; AUC, 0.949 (0.888–1.000)], intermediate-risk patients {795; AUC: 905 [853–957]}, and high-risk patients {715; AUC: 873 [773–973]} than did its counterpart in which the end-diastolic volume-to-end-systolic volume ratio was used.
Relationship between the left ventricular morphological ratio and outcome measures
The associations between the LV morphological ratio and prognostic indicators are presented in Table 5. The ratio of the end-diastolic area to the end-systolic area and the ratio of the end-systolic volume to the end-diastolic volume are associated with WHO functional classification, whereas the correlations between the ratios of the four morphological parameters and the 6-minute walk distance (6MWD) are not significant. Furthermore, N-terminal pro-brain natriuretic peptide (NT-ProBNP) was correlated with the ratio of the end-diastolic area to the end-diastolic volume.
Table 5
| Variables | End-diastolic area | End-systolic area | End-diastolic volume | End-systolic volume | |||||||
|---|---|---|---|---|---|---|---|---|---|---|---|
| Ratio | P value | Ratio | P value | Ratio | P value | Ratio | P value | ||||
| WHO-FC | −0.26 (−0.45 to −0.04) |
0.017 | −0.21 (−0.41 to −0.00) |
0.05 | −0.21 (−0.40 to 0.00) |
0.05 | −0.26 (−0.45 to −0.05) |
0.014 | |||
| 6MWD | 0.19 (−0.05, 0.41) |
0.12 | 0.18 (−0.06, 0.4) |
0.14 | 0.14 (−0.09, 0.36) |
0.24 | 0.09 (−0.14 to 0.32) |
0.44 | |||
| NT-ProBNP | 0.22 (0.01, 0.41) |
0.03 | 0.16 (−0.04, 0.36) |
0.11 | 0.3 (0.10, 0.47) |
0.0031 | −0.13 (−0.33 to 0.07) |
0.19 | |||
Data are presented as median (interquartile range). 6MWD, 6-minute walk distance; FC, functional class; LV, left ventricle; NT-ProBNP, N-terminal pro-B-type natriuretic peptide; WHO, World Health Organization.
Reproducibility
The results of measurement and calculation of various indicators for left ventricular morphological changes in 30 PH patients by two different observers and their consistency analysis are presented in Table 6. The intraclass correlation coefficient (ICC) values of each parameter between the two different observers are all >0.98, and the differences among the various indicators obtained by the two observers for the same image are extremely small. In addition, the left ventricular morphological indicators obtained by observer 1 after measurement and calculation of the images of 30 PH patients in two different time periods are presented in Table 7. The differences among the various indicators obtained by the same observer at different time are extremely small, and the ICC values are all >0.99, indicating good consistency.
Table 6
| Observer | The ratio of end-diastolic area | The ratio of end-systolic area | The ratio of end-diastolic volume | The ratio of end-systolic volume |
|---|---|---|---|---|
| 1 | 0.822±0.098 | 0.697±0.143 | 0.737±0.112 | 0.747±0.098 |
| 2 | 0.823±0.10 | 0.701±0.146 | 0.747±0.114 | 0.751±0.10 |
| ICC (95% CI) | 0.981 (0.959–0.991) | 0.995 (0.988–0.998) | 0.996 (0.992–0.998) | 0.993 (0.985–0.997) |
Data are presented as mean ± standard deviation. CI, confidence interval; ICC, intraclass correlation coefficient.
Table 7
| Observer | The ratio of end-diastolic area | The ratio of end-systolic area | The ratio of end-diastolic volume | The ratio of end-systolic volume |
|---|---|---|---|---|
| 1 | 0.822±0.098 | 0.696±0.142 | 0.737±0.113 | 0.747±0.103 |
| 2 | 0.823±0.10 | 0.697±0.144 | 0.741±0.112 | 0.748±0.101 |
| ICC (95% CI) | 0.995 (0.988–0.998) | 0.998 (0.996–0.999) | 0.997 (0.994–0.999) | 0.994 (0.987–0.997) |
Data are presented as mean ± standard deviation. CI, confidence interval; ICC, intraclass correlation coefficient.
Discussion
Measurement of pulmonary artery pressure via RHC is considered the gold standard for the diagnosis of PH, but RHC is challenging because of the invasive nature of the procedure and the significant associated risks, which usually require routine tracking of PH via Echo. Echo is not only the noninvasive method of choice for patients with suspected PH but also plays an extremely important role in the diagnosis and treatment process (6). Although Doppler measurements of TR are commonly used to estimate pulmonary artery pressure with relatively high accuracy, pressure gradients may be underestimated in severe TR and overestimated in patients with liver disease or sickle cell disease or artifacts resulting in high CO (19). In other patients, the TRV cannot be measured due to poor image quality, a small amount of TR, and errors in the TR measurement angle, thus underestimating or overestimating pulmonary artery pressure (3,20). Therefore, when the PH cannot be assessed by the TR, it can be quantified as an additional condition. Linear measurements of the eccentricity index in the short-axis view of the left ventricle and analyses of septal curvature have been performed previously, but the afterload caused by post-systolic flattening of the ventricular septum in PH patients may be underestimated (21).
Therefore, new noninvasive tools are needed to better quantify pulmonary artery pressure in patients with PH (6). We know that in patients with PH, the IVS continues to shift left and flatten. These interval position changes occur during diastole, at the beginning of systole, and increase gradually throughout systole, reaching a peak at the end of systole (13,15). Before the effect of RVP elevation on LV morphological changes can be assessed, it is necessary to determine normal LV morphological changes in humans. Previous studies have shown that a normal LV is almost circular at the diastolic end, and this “normal” change depends on the relative pressure changes between the two chambers (22). We expect that the LV volume and short-axis area in the control group will remain constant or slightly increase from diastole to systole, as the usual left-to-right systolic pressure gradient should be very large. We found no significant differences between the normal group and the standard group. Additionally, in the apical four-chamber view, the morphology and shape of the LV in PH patients are clearly different from those in normal individuals. In normal individuals, the LV is approximately conical in shape (23), whereas the LV shape in PH patients is altered by the displacement of the IVS, resulting in various shapes. In patients with PH, the LV lateral wall is not compressed, so the change in the LV area is calculated on the short axis cut and the four-chamber view at the apex, which is based on the LV lateral wall. The uncompressed LV volume is calculated via rotational volume integration before compression and compared with the compressed volume to assess the severity of PH and risk stratification.
This study is the first attempt to quantitatively study the movement of the IVS in PH patients by calculating the changes in the LV volume and LV area in the apical four-chamber view and short-axis view, respectively, via a new method. Analysis is necessary to differentiate normal from PH-affected individuals and those with different degrees of PH, as well as different risk stratifications. We found that PH patients had abnormal ratios of end-systolic volume, end-diastolic volume, area, and end-diastolic area, which were significantly correlated with invasive hemodynamics and were related to PH progression. These values showed similar correlations with previously established markers such as mPAP, end-systolic eccentricity index (EIS), end-diastolic eccentricity index (EID), and normalized curvature, emphasizing the importance of the LV morphological ratios in severe PH patients (24,25). Notably, the correlation between the ratio of LV morphology changes and the sPAP measured by RHC is lower than that between the sPAP measured by echocardiography and the sPAP measured by RHC (26). This may reflect the fact that IVS deformation is driven by the interventricular pressure gradient rather than only the RVP (27).
The peak of IVS displacement in patients with PH typically occurs during the early diastolic phase of the LV, while the RV remains under higher pressure. In the LV morphological change ratio, when the ratio of the end-diastolic volume was 0.925, 0.805, and 0.725, the largest AUC values were obtained for mild PH, moderate PH, and severe PH, respectively. The diagnostic performance in defining mild and moderate PH is better than that of other indicators. However, the ratio of the diastolic end-systolic area was defined as the value of pH severity, which was 0.935, 0.890, and 0.805, respectively. Notably, this index had the best diagnostic performance in defining severe PH. Although the diagnostic performance of the above indicators is lower than that of sPAPEcho, it is better than that of any previous indicator and can also serve as a better supplementary means for evaluating PH. Additionally, early assessment of the risk level of PH patients is crucial, and we classified all PH patients according to the 3-tier risk stratification method outlined in the 2022 ESC/ERS guidelines (6). The ratio of the end-systolic area is more effective than the end-diastolic area ratio in defining the diagnostic performance of each risk level, with values of 0.895, 0.785, and 0.615 producing the largest AUCs for defining low, middle, and high risk, respectively. However, the ratio of end-diastolic volume defines the AUC of PH risk stratification, with values of 0.925, 0.795, and 0.715 to define PH risk stratification at each level. These values must be validated before clinical use. Importantly, the ratio of the diastolic end-systolic area was significantly different between the severe PH group and the control group, the mild PH group, and the moderate PH group, which indicates that these indicators may be able to differentiate healthy individuals from patients with various degrees of PH and severe PH from mild and moderate PH patients.
In PH patients, the location and timing of these markers are inconsistent, as evidenced by prolonged right ventricular contraction time, leading to its extension into the early diastolic phase of the LV (28). Some researchers have measured diastolic and systolic indicators before and after the closure of the mitral valve (13). Other researchers have utilized the QRS wave definition; however, the electrical activity in PH patients results in a delayed response (29,30). Another group of investigators defines systole and diastole as the minimum and maximum of the LV cavity, respectively (31,32). Our physicians measure these parameters at the minimum and maximum points of the LV chamber, as this is when the interval shift is greatest, thereby reducing variability and facilitating early identification of significant clinical events.
Although subjective assessment of IVS mobility is prevalent in patients with PH, it does not facilitate early evaluation of the severity of PH. Previous quantitative measurements have exhibited some degree of inaccuracy; therefore, novel measurement methods are advantageous for reducing variability, identifying PH, and enabling early risk assessment. It can serve as a supplementary diagnostic method for PH patients lacking TR or with insufficient/excessive TR reflux.
Limitations
Limitations of this study are as follows: (I) the limitation of the sample size of the study population: The research subjects were only from one PH center and did not incorporate patients from multi-center studies; (II) the limitations of computational method measurement; (III) limitations of the research results: not all patients were able to be categorized as per the WHO functional grade, thereby reducing the precision of risk stratification for PH patients.
Conclusions
In addition to the TRPG, LV axis eccentricity index, and IVS curvature, the new echocardiographic parameters include changes in left ventricular volume and area on the A4C short-axis cut, which are reliable and promising parameters for evaluating the PAPRHC of PH patients and compensating for the limitations of the pulmonary artery pressure measured by TRPG. We demonstrated that changes in left ventricular volume and short-axis area are related to invasive hemodynamic and prognostic indices and can be used to accurately differentiate mild, moderate, and severe PH. We have also validated these indices in differentiating different risk stratifications, particularly the ratio of left ventricular end-diastolic volume. These measures increase the ability of Echo to identify and track PH patients.
Acknowledgments
None.
Footnote
Reporting Checklist: The authors have completed the STROBE reporting checklist. Available at https://qims.amegroups.com/article/view/10.21037/qims-2024-2490/rc
Data Sharing Statement: Available at https://qims.amegroups.com/article/view/10.21037/qims-2024-2490/dss
Funding: This work was supported by
Conflicts of Interest: All authors have completed the ICMJE uniform disclosure form (available at https://qims.amegroups.com/article/view/10.21037/qims-2024-2490/coif). The authors have no conflicts of interest to declare.
Ethical Statement: The authors are accountable for all aspects of the work in ensuring that questions related to the accuracy or integrity of any part of the work are appropriately investigated and resolved. The study was approved by the Gansu Provincial People’s Hospital institutional ethics review board (approval No. 2023-608), and written informed consent was waived because of the retrospective nature of the study. This study was conducted in accordance with the Declaration of Helsinki and its subsequent amendments.
Open Access Statement: This is an Open Access article distributed in accordance with the Creative Commons Attribution-NonCommercial-NoDerivs 4.0 International License (CC BY-NC-ND 4.0), which permits the non-commercial replication and distribution of the article with the strict proviso that no changes or edits are made and the original work is properly cited (including links to both the formal publication through the relevant DOI and the license). See: https://creativecommons.org/licenses/by-nc-nd/4.0/.
References
- Bossone E, Ferrara F, Grünig E. Echocardiography in pulmonary hypertension. Curr Opin Cardiol 2015;30:574-86. [Crossref] [PubMed]
- Cassady SJ, Ramani GV. Right Heart Failure in Pulmonary Hypertension. Cardiol Clin 2020;38:243-55. [Crossref] [PubMed]
- Hoeper MM, Humbert M, Souza R, Idrees M, Kawut SM, Sliwa-Hahnle K, Jing ZC, Gibbs JS. A global view of pulmonary hypertension. Lancet Respir Med 2016;4:306-22. [Crossref] [PubMed]
- O'Leary JM, Assad TR, Xu M, Farber-Eger E, Wells QS, Hemnes AR, Brittain EL. Lack of a Tricuspid Regurgitation Doppler Signal and Pulmonary Hypertension by Invasive Measurement. J Am Heart Assoc 2018;7:e009362. [Crossref] [PubMed]
- Singh N, Mullin CJ. Diagnosis of Pulmonary Hypertension. R I Med J (2013) 2021;104:30-5.
- Humbert M, Kovacs G, Hoeper MM, Badagliacca R, Berger RMF, Brida M, et al. 2022 ESC/ERS Guidelines for the diagnosis and treatment of pulmonary hypertension. Eur Heart J 2022;43:3618-731. [Crossref] [PubMed]
- Ni JR, Yan PJ, Liu SD, Hu Y, Yang KH, Song B, Lei JQ. Diagnostic accuracy of transthoracic echocardiography for pulmonary hypertension: a systematic review and meta-analysis. BMJ Open 2019;9:e033084. [Crossref] [PubMed]
- Venkateshvaran A, Seidova N, Tureli HO, Kjellström B, Lund LH, Tossavainen E, Lindquist P. Accuracy of echocardiographic estimates of pulmonary artery pressures in pulmonary hypertension: insights from the KARUM hemodynamic database. Int J Cardiovasc Imaging 2021;37:2637-45. [Crossref] [PubMed]
- Brugger N, Lichtblau M, Maeder M, Muller H, Pellaton C, Yerly PSwiss Society For Pulmonary Hypertension Ssph. Two-dimensional transthoracic echocardiography at rest for the diagnosis, screening and management of pulmonary hypertension. Swiss Med Wkly 2021;151:w20486. [Crossref] [PubMed]
- Ferrara F, Zhou X, Gargani L, Wierzbowska-Drabik K, Vriz O, Fadel BM, Stanziola AA, Kasprzak J, Vannan M, Bossone E. Echocardiography in Pulmonary Arterial Hypertension. Curr Cardiol Rep 2019;21:22. [Crossref] [PubMed]
- Sanna GD, Parodi G. Accuracy of echocardiography in pulmonary hypertension: thinking outside of the box beyond the Achilles' heel of right atrial pressure estimation. Int J Cardiovasc Imaging 2021;37:2647-9. [Crossref] [PubMed]
- Jankowich M, Maron BA, Choudhary G. Mildly elevated pulmonary artery systolic pressure on echocardiography: bridging the gap in current guidelines. Lancet Respir Med 2021;9:1185-91. [Crossref] [PubMed]
- King ME, Braun H, Goldblatt A, Liberthson R, Weyman AE. Interventricular septal configuration as a predictor of right ventricular systolic hypertension in children: a cross-sectional echocardiographic study. Circulation 1983;68:68-75. [Crossref] [PubMed]
- Di Donato M, Dabic P, Castelvecchio S, Santambrogio C, Brankovic J, Collarini L, Joussef T, Frigiola A, Buckberg G, Menicanti L. RESTORE Group. Left ventricular geometry in normal and post-anterior myocardial infarction patients: sphericity index and 'new' conicity index comparisons. Eur J Cardiothorac Surg 2006;29:S225-30. [Crossref] [PubMed]
- Friedberg MK. Imaging Right-Left Ventricular Interactions. JACC Cardiovasc Imaging 2018;11:755-71. [Crossref] [PubMed]
- Irvan I. Application of Integrals in Calculating Ball Volume using GeoGebra. Indonesian Journal of Education and Mathematical Science 2024;5:58-63.
- Matsumura A, Shigeta A, Kasai H, Yokota H, Terada J, Yamamoto K, Sugiura T, Matsumura T, Sakao S, Tanabe N, Tatsumi K. Interventricular septal curvature as an additional echocardiographic parameter for evaluating chronic thromboembolic pulmonary hypertension: a single-center retrospective study. BMC Pulm Med 2021;21:328. [Crossref] [PubMed]
- Ryan T, Petrovic O, Dillon JC, Feigenbaum H, Conley MJ, Armstrong WF. An echocardiographic index for separation of right ventricular volume and pressure overload. J Am Coll Cardiol 1985;5:918-27. [Crossref] [PubMed]
- Fortmeier V, Lachmann M, Körber MI, Unterhuber M, von Scheidt M, Rippen E, Harmsen G, Gerçek M, Friedrichs KP, Roder F, Rudolph TK, Yuasa S, Joner M, Laugwitz KL, Baldus S, Pfister R, Lurz P, Rudolph V. Solving the Pulmonary Hypertension Paradox in Patients With Severe Tricuspid Regurgitation by Employing Artificial Intelligence. JACC Cardiovasc Interv 2022;15:381-94. [Crossref] [PubMed]
- Amsallem M, Sternbach JM, Adigopula S, Kobayashi Y, Vu TA, Zamanian R, Liang D, Dhillon G, Schnittger I, McConnell MV, Haddad F. Addressing the Controversy of Estimating Pulmonary Arterial Pressure by Echocardiography. J Am Soc Echocardiogr 2016;29:93-102. [Crossref] [PubMed]
- Galiè N, Humbert M, Vachiery JL, Gibbs S, Lang I, Torbicki A, et al. 2015 ESC/ERS Guidelines for the diagnosis and treatment of pulmonary hypertension: The Joint Task Force for the Diagnosis and Treatment of Pulmonary Hypertension of the European Society of Cardiology (ESC) and the European Respiratory Society (ERS): Endorsed by: Association for European Paediatric and Congenital Cardiology (AEPC), International Society for Heart and Lung Transplantation (ISHLT). Eur Respir J 2015;46:903-75. [Crossref] [PubMed]
- Tanaka H, Tei C, Nakao S, Tahara M, Sakurai S, Kashima T, Kanehisa T. Diastolic bulging of the interventricular septum toward the left ventricle. An echocardiographic manifestation of negative interventricular pressure gradient between left and right ventricles during diastole. Circulation 1980;62:558-63. [Crossref] [PubMed]
- Maffessanti F, Lang RM, Corsi C, Mor-Avi V, Caiani EG. Feasibility of left ventricular shape analysis from transthoracic real-time 3-D echocardiographic images. Ultrasound Med Biol 2009;35:1953-62. [Crossref] [PubMed]
- Burkett DA, Patel SS, Mertens L, Friedberg MK, Ivy DD. Relationship Between Left Ventricular Geometry and Invasive Hemodynamics in Pediatric Pulmonary Hypertension. Circ Cardiovasc Imaging 2020;13:e009825. [Crossref] [PubMed]
- Kasai H, Matsumura A, Sugiura T, Shigeta A, Tanabe N, Yamamoto K, Miwa H, Ema R, Sakao S, Tatsumi K. Mean Pulmonary Artery Pressure Using Echocardiography in Chronic Thromboembolic Pulmonary Hypertension. Circ J 2016;80:1259-64. [Crossref] [PubMed]
- Zhang X, Zhang S, Wang J, Jiang W, Sun L, Li Y, Guo D, Yang Y, Lu X, Li Y. Comparison of fibrosing mediastinitis patients with vs. without markedly increased systolic pulmonary arterial pressure: a single-center retrospective study. BMC Cardiovasc Disord 2022;22:134. [Crossref] [PubMed]
- Kingma I, Tyberg JV, Smith ER. Effects of diastolic transseptal pressure gradient on ventricular septal position and motion. Circulation 1983;68:1304-14. [Crossref] [PubMed]
- Burkett DA, Slorach C, Patel SS, Redington AN, Ivy DD, Mertens L, Younoszai AK, Friedberg MK. Impact of Pulmonary Hemodynamics and Ventricular Interdependence on Left Ventricular Diastolic Function in Children With Pulmonary Hypertension. Circ Cardiovasc Imaging 2016;
- McCrary AW, Malowitz JR, Hornick CP, Hill KD, Cotten CM, Tatum GH, Barker PC. Differences in Eccentricity Index and Systolic-Diastolic Ratio in Extremely Low-Birth-Weight Infants with Bronchopulmonary Dysplasia at Risk of Pulmonary Hypertension. Am J Perinatol 2016;33:57-62. [Crossref] [PubMed]
- Aggarwal S, Natarajan G. Echocardiographic correlates of persistent pulmonary hypertension of the newborn. Early Hum Dev 2015;91:285-9. [Crossref] [PubMed]
- Abraham S, Weismann CG. Left Ventricular End-Systolic Eccentricity Index for Assessment of Pulmonary Hypertension in Infants. Echocardiography 2016;33:910-5. [Crossref] [PubMed]
- Haddad F, Guihaire J, Skhiri M, Denault AY, Mercier O, Al-Halabi S, Vrtovec B, Fadel E, Zamanian RT, Schnittger I. Septal curvature is marker of hemodynamic, anatomical, and electromechanical ventricular interdependence in patients with pulmonary arterial hypertension. Echocardiography 2014;31:699-707. [Crossref] [PubMed]

