Bone scintigraphy pattern in a patient diagnosed with acromegaly
Introduction
Acromegaly is a chronic, progressive endocrine disorder characterized by the excessive secretion of growth hormone (GH) and insulin-like growth factor 1 (IGF-1). Joints, particularly those in the hip, frequently undergo degenerative changes. Acromegalic arthropathy (AA), which often manifests as osteoarthritis (OA), is one of the most prevalent musculoskeletal complications (1). The knee joint is the most usually impacted, followed by the hip and shoulder joints. This condition leads to multisystemic damage, resulting in a lower quality of life and impaired psychological well-being. Although GH-secreting pituitary adenomas are the primary cause of the disease, its diagnosis and management can be complex due to the varied and sometimes subtle clinical presentations (2).
Traditional diagnostic methods, such as X-rays and computed tomography (CT) scans, are valuable for visualizing anatomical changes in the bones and soft tissues. However, these methods may not always detect the metabolic changes that occur early in the disease process (3). Although magnetic resonance imaging (MRI) provides excellent detail of soft tissue, it may also have limitations in fully detecting bone involvement, particularly in the early stages of the disease.
Bone scintigraphy offers a unique advantage in the diagnostic arsenal for acromegaly. It provides a functional assessment of bone metabolism, allowing for the identification of areas with increased bone turnover, which is a hallmark of acromegaly (4). Bone scintigraphy can reveal abnormalities that may not be apparent on other imaging modalities, offering an early and comprehensive view of skeletal system involvement (5).
The ability of bone scintigraphy to detect these early metabolic changes is crucial for the prompt diagnosis of acromegaly, as early intervention can significantly improve patient outcomes (6). In addition, bone scintigraphy can serve as a complementary tool for monitoring skeletal manifestations, and may help assess the treatment response when interpreted alongside clinical and biochemical indicators (7).
Case presentation
The patient, a 25-year-old male, presented to the hospital with complaints of severe snoring, paroxysmal dizziness, headache, and a weight gain of 10 kg over the past 3 months. MRI revealed an abnormal mass of the sellar region, and the possibility of a pituitary tumor was considered. On October 20, 2022, the patient underwent neuronavigation endoscopic surgery, which included tumor resection, dural incision, dural repair, and skull base reconstruction, in the Neurosurgery Department of Southwest Hospital. Postoperative pathology confirmed a diagnosis of a sparse granular GH cell adenoma. Following the surgery, the patient experienced a range of symptoms, including headache, dizziness, nasal congestion, visual disturbances (blurred and double vision), loss of vision, chills, fever, nausea, vomiting, slurred speech, loss of consciousness, and unsteady gait. The patient did not seek a timely diagnosis or treatment for these symptoms.
Preoperative bone scintigraphy was conducted on March 23, 2023 (Figure 1). Additionally, a CT scan at The First Affiliated Hospital of Army Medical University (Southwest Hospital) revealed areas of irregular bone density in the sternum and the anterior ends of the bilateral ribs. Findings included increased density and cortical coarsening, as well as diffuse calcification of the bilateral costal cartilage, with a markedly increased concentration of radiotracer. The diagnosis suggested abnormally active ends of the double breastbone and the anterior end of the bilateral ribs, with corresponding skeletal abnormalities of the double first anterior costal ends, and diffuse calcification of the slightly metabolically active bilateral costal cartilage. The above anomalies suggested the possibility of GH cell adenoma-related bone changes.
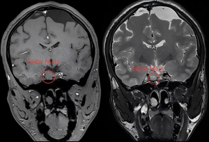
The patient returned to our hospital on June 27, 2023. A physical examination revealed several distinct features, including a prominent eyebrow arch, a large nose, thick lips, an enlarged tongue, an absence of toothcomb and backbites, enlarged joints in both hands, a shoe size of 42, and an enlarged toe joint. MRI (Figure 2) showed postoperative changes in sellar region occupation, right sellar nodules, and residual glands.
Repeated measurements of GH and IGF-1 measurements remained significantly elevated. For further details, see Table 1. The oral glucose tolerance test (OGTT) for GH suppression results suggested that GH could not be suppressed at 1 ng/mL. The bone metabolic index suggested active osteoclastogenesis, high blood phosphorus, and normal blood calcium. Therefore, a whole-body bone scintigraphy was performed to further investigate the cause.
Table 1
| Stage | GH (ng/mL) | IGF-1 (ng/mL) |
|---|---|---|
| First surgery | ||
| Before the first surgery | 13.65 | 920.46 |
| After the first surgery | 6.79 | 750.45 |
| Reduction rate (%) | 50.26 | 18.47 |
| Second surgery | ||
| Before the second surgery | 7.45 | 830.60 |
| After the second surgery | 5.36 | 392.60 |
| Reduction rate (%) | 28.05 | 52.73 |
Reference value: GH, 0–5 ng/mL; IGF-1, 120–394 ng/mL. GH, growth hormone; IGF-1, insulin-like growth factor 1.
A recurrent diagnosis of GH adenoma was confirmed, indicating that the primary disease was still a concern. Consequently, the patient underwent a second surgery on July 13, 2023. Postoperative pathology revealed a pituitary adenoma/pituitary neuroendocrine tumor, which was further characterized as a sparse granular GH cell adenoma by immunophenotyping.
Postoperative bone scintigraphy was conducted on August 11, 2023 (Figure 3). The fusion images from the single-photon emission CT/CT scan revealed slightly increased metabolic activity in the sternum and the anterior ends of the bilateral ribs, along with corresponding bone abnormalities. Compared to the previous imaging, multiple calcifications of the costal cartilage were observed, along with reduced metabolic activity. These findings suggested possible bone changes associated with GH cell adenoma.
After surgery, the patient’s condition and symptoms improved, and the GH and IGF-1 values decreased significantly compared to the preoperative values.
Ethical considerations
All procedures performed in this study were in accordance with the ethical standards of the institutional and/or national research committee(s) and with the Helsinki Declaration and its subsequent amendments. Publication of this article and accompanying images was waived from patient consent according to The First Hospital Affiliated of Army Medical University (Southwest Hospital) ethics committee.
Discussion
GH and IGF-1 play crucial roles in the pathophysiology of acromegaly, affecting both bone and soft tissue (8). These hormones contribute to excessive bone turnover and abnormal skeletal remodeling—hallmarks of the disease—resulting in soft tissue hypertrophy, osteophyte formation, and degeneration of the bone microstructure.
In this case, bone scintigraphy revealed distinct patterns characteristic of acromegaly, including increased metabolic activity in the sternal and the anterior ends of the bilateral ribs, as well as diffuse calcification of the costal cartilages. These findings are consistent with previous accounts of a higher prevalence of bone and joint complications in acromegaly (9,10).
In some cases, whole-body bone scintigraphy performed for unrelated clinical indications may incidentally reveal abnormal patterns suggestive of underlying endocrine disorders such as acromegaly. Such incidental findings can be valuable in prompting further biochemical and imaging evaluations, potentially enabling earlier diagnosis. However, similar scintigraphic changes, such as increased tracer uptake in specific skeletal regions, can also be observed in other conditions, including OA, rheumatoid arthritis, Paget’s disease, and bone metastases. Differentiation from these disorders requires the careful integration of clinical features, biochemical profiles, and targeted imaging studies, underscoring the complementary rather than definitive role of bone scintigraphy in the initial diagnostic workup of acromegaly.
Bone scintigraphy not only detects the metabolic activity of the disease but also informs clinical treatment decisions, particularly in the selection of surgical, pharmacological, or radiation therapy approaches (11,12).
Conclusions
Some patients with acromegaly exhibit thickening of the cranial walls, significant sinus enlargement, mastoid gasification, elongation of the mandibular branches, and enlarged mandibular angles. The long bones of the limbs, including the fingers and metacarpal bones, may become thickened, and bone protrusions may increase in size. Trabecular bone often appears rough, and osteoporosis is commonly observed. A sternal bulge may be noted in the chest, with the anterior end of the rib protruding from the costal cartilage. The spine shows less variation, but the vertebrae may be enlarged and square. Whole-body bone imaging is a highly sensitive technique. Due to its broad scanning range, whole-body bone imaging offers a comprehensive view of bone tissue lesions throughout the body. This approach can reflect the metabolism of bone throughout the body, and complement other imaging modalities by precisely revealing changes in lesions, as well as the molecular and metabolic levels of diseased cells.
Acknowledgments
None.
Footnote
Funding: None.
Conflicts of Interest: Both authors have completed the ICMJE uniform disclosure form (available at https://qims.amegroups.com/article/view/10.21037/qims-24-1794/coif). The authors have no conflicts of interest to declare.
Ethical Statement: The authors are accountable for all aspects of the work in ensuring that questions related to the accuracy or integrity of any part of the work are appropriately investigated and resolved. All procedures performed in this study were in accordance with the ethical standards of the institutional and/or national research committee(s) and with the Helsinki Declaration and its subsequent amendments. Publication of this article and accompanying images was waived from patient consent according to The First Hospital Affiliated of Army Medical University (Southwest Hospital) ethics committee.
Open Access Statement: This is an Open Access article distributed in accordance with the Creative Commons Attribution-NonCommercial-NoDerivs 4.0 International License (CC BY-NC-ND 4.0), which permits the non-commercial replication and distribution of the article with the strict proviso that no changes or edits are made and the original work is properly cited (including links to both the formal publication through the relevant DOI and the license). See: https://creativecommons.org/licenses/by-nc-nd/4.0/.
References
- Melmed S, Casanueva FF, Klibanski A, Bronstein MD, Chanson P, Lamberts SW, Strasburger CJ, Wass JA, Giustina A. A consensus on the diagnosis and treatment of acromegaly complications. Pituitary 2013;16:294-302. [Crossref] [PubMed]
- Constantin T, Tangpricha V, Shah R, Oyesiku NM, Ioachimescu OC, Ritchie J, Ioachimescu AG. Calcium and Bone Turnover Markers in Acromegaly: A Prospective, Controlled Study. J Clin Endocrinol Metab 2017;102:2416-24. [Crossref] [PubMed]
- Chiloiro S, Mormando M, Bianchi A, Giampietro A, Milardi D, Bima C, Grande G, Formenti AM, Mazziotti G, Pontecorvi A, Giustina A, De Marinis L. Prevalence of morphometric vertebral fractures in "difficult" patients with acromegaly with different biochemical outcomes after multimodal treatment. Endocrine 2018;59:449-53. [Crossref] [PubMed]
- Uygur MM, Yazıcı DD, Buğdaycı O, Yavuz DG. Prevalence of vertebral fractures and serum sclerostin levels in acromegaly. Endocrine 2021;73:667-73. [Crossref] [PubMed]
- Pelsma ICM, Biermasz NR, Pereira AM, van Furth WR, Appelman-Dijkstra NM, Kloppenburg M, Kroon HM, Claessen KMJA. Progression of vertebral fractures in long-term controlled acromegaly: a 9-year follow-up study. Eur J Endocrinol 2020;183:427-37. [Crossref] [PubMed]
- Ghaseminejad-Raeini A, Hoveidaei AH, Hamrahian AH, Bahrami A, Esmaeili S, Eghdami S, Nwankwo BO, Khonji MS, Conway JD. Mechanical complications and revision following total joint arthroplasty in acromegalic patients: A nationwide US-based study. Bone 2025;190:117296. [Crossref] [PubMed]
- LeRoith D, Yakar S. Mechanisms of disease: metabolic effects of growth hormone and insulin-like growth factor 1. Nat Clin Pract Endocrinol Metab 2007;3:302-10. [Crossref] [PubMed]
- Lavrentaki A, Paluzzi A, Wass JA, Karavitaki N. Epidemiology of acromegaly: review of population studies. Pituitary 2017;20:4-9. [Crossref] [PubMed]
- Colao A, Grasso LFS, Giustina A, Melmed S, Chanson P, Pereira AM, Pivonello R. Acromegaly. Nat Rev Dis Primers 2019;5:20. [Crossref] [PubMed]
- Gadelha MR, Kasuki L, Lim DST, Fleseriu M. Systemic Complications of Acromegaly and the Impact of the Current Treatment Landscape: An Update. Endocr Rev 2019;40:268-332. [Crossref] [PubMed]
- Kasuki L, Antunes X, Lamback EB, Gadelha MR. Acromegaly: Update on Management and Long-Term Morbidities. Endocrinol Metab Clin North Am 2020;49:475-86. [Crossref] [PubMed]
- Dalle Carbonare L, Micheletti V, Cosaro E, Valenti MT, Mottes M, Francia G, Davì MV. Bone histomorphometry in acromegaly patients with fragility vertebral fractures. Pituitary 2018;21:56-64. [Crossref] [PubMed]




