Computed tomography and computed tomography dacryocystography imaging characteristics of lacrimal sac cysts in adults: a retrospective study
Introduction
A lacrimal sac cyst (LSC) is a rare lesion of the lacrimal drainage system (LDS) originating from the lacrimal sac epithelium (1-5). These cysts may be congenital, traumatic, or inflammatory, are thought to arise from a lacrimal sac diverticulum, and may either communicate or be separate from the sac (3,4). Infection and suppuration of the fluid contents of the lacrimal sac are almost inevitable in longstanding cysts; thus, chronic adult LSCs typically present with chronic dacryocystitis. Clinically, LSCs typically present as nonreducible inner canthal masses or epiphora due to LDS obstruction (3). Diagnosis relies on clinical examination, computed tomography (CT), computed tomography dacryocystography (CT-DCG), intraoperative probing, and histopathological biopsy (5). CT and CT-DCG facilitate accurate lesion localization, revealing relationships with the nasolacrimal system and aiding in surgical planning for dacryocystorhinostomy (DCR).
The accurate characterization of LSCs is critical in clinical settings. Due to similar symptoms with other lacrimal diseases (e.g., dacryocystitis and lacrimal tumors), misdiagnosis is common, leading to inappropriate treatment. CT and CT-DCG imaging features can be used to distinguish LSCs from other masses, reducing diagnostic errors. Additionally, these features can be used to guide treatment selection (conservative vs. surgical), and optimize DCR planning by revealing the cyst location, extent, and any anatomical relationships. This study focused on imaging characteristics to enhance clinical decision-making in LSC management.
Research on LSC is limited; to date, no systematic studies on LSCs in adults have been conducted (1-3,6-8). Many case reports describe these cysts as soft tissue density shadows on CT scans, making it challenging to differentiate them from other lacrimal sac masses (1,4,5,7,9,10). This study aimed to summarize the CT and CT-DCG imaging characteristics of LSCs, providing insights into their clinical classification and differential diagnosis. Further, it aimed to highlight their association with inflammation, lacrimal sac dilation, and anatomical changes.
This retrospective study analyzed the CT and CT-DCG data of 30 LSC patients and 30 controls, evaluating parameters, including nasolacrimal duct (NLD) widths, lacrimal sac fossa (LSF) structures, and nasal abnormalities. It showed that LSCs in adults are frequently associated with inflammation and lacrimal sac dilation. This was the first study to statistically analyze the anatomical changes in the LDS of adult patients with LSCs. These detailed imaging and anatomical insights may be used to guide DCR surgery and improve the diagnostic accuracy of LSC. We present this article in accordance with the STROBE reporting checklist (available at https://qims.amegroups.com/article/view/10.21037/qims-2025-25/rc).
Methods
This single-center, retrospective observational study was conducted at the Eye & ENT Hospital of Fudan University from July 2021 to March 2024. The study was conducted in accordance with the Declaration of Helsinki and its subsequent amendments. The study was approved by the Ethics Committee of the Eye & ENT Hospital of Fudan University (No. 2023164), and the requirement of individual consent for this retrospective analysis was waived.
Patients were included in the study if they were aged over 18 years, had been diagnosed with LSC, and had CT scans available. The controls comprised age- and gender-matched patients who had undergone CT scan examinations before surgery for eyeball atrophy or an intraocular foreign body. A clinical diagnosis of adult LSC was established when a patient presented with a history of chronic epiphora, and exhibited a cystic or nonreducible swelling below the medial canthal tendon (3,11). Subsequent histopathological examination following DCR surgery excluded other pathological lesions (4,12,13). Patients in the LSC group were excluded if they were aged below 18 years, or had a history of nasal or lacrimal apparatus surgery, facial fracture, significant trauma, thyroid-associated ophthalmopathy, sinusitis, ocular tumor, or nasal tumor. Patients were excluded from the control group if they met any of the exclusion criteria of the LSC group, or had partial or complete NLD obstruction (tested by routine preoperative lacrimal irrigation). The detailed patient enrollment process, including the inclusion/exclusion criteria for both the LSC and control groups, is visualized in Figure S1.
CT acquisition and analysis
CT imaging was performed using a multidetector-row CT scanner (Siemens Medical Systems, Erlangen, Germany) at the Eye & ENT Hospital of Fudan University. Thin-section transverse and coronal CT images were acquired, followed by CT-DCG using ioversol (Ioversol, 32 g: 100 mL, Hengrui, China) as the contrast agent. The image analysis focused on the lacrimal and nasal structures, and was conducted by an author with radiological training using a digital image workstation (Carestream CGRIS; Carestream Health, Rochester, NY, USA).
Statistical analysis
The statistical analysis was conducted using the Statistical Package for the Social Sciences (SPSS) version 20.0 (IBM Corp., Chicago, IL, USA). The quantitative data are reported as the mean ± standard deviation, and the categorical data are reported as the percentage. Group comparisons were made using independent t-tests or Mann-Whitney U tests as appropriate, with paired t-tests or Wilcoxon signed-rank tests used for within-patient comparisons. A P value <0.05 was considered statistically significant. The analysis was based on a sample size of 30, reflecting the challenges of studying a rare disease like LSC. Given the limited availability of data and the rarity of the condition, the sample size was constrained by the small number of cases available for analysis. Previous studies on LSC have largely comprised case reports and/or case series (1,2,4-6,9,11,12,14,15). Due to the lack of controlled trials or large cohort studies, our analysis relied on available observational data to characterize the clinical features and outcomes associated with LSC.
Results
From July 2, 2021 to March 8, 2024, 34 patients diagnosed with LSCs were identified for inclusion in the study, of whom, four were excluded (one for lymphoid tissue hyperplasia and three for prior lacrimal duct surgery). Thus, the study ultimately included 30 patients with LSCs, and 30 age- and gender-matched controls, totaling 60 participants (50 females, 10 males; mean age 47.43±13.60 years). Common symptoms in the LSC group included epiphora (86.67%), swelling (36.67%), discharge (50.00%), cellulitis (3.33%), and fistula (3.33%). Of the patients, 10% had bilateral cysts, and 83.33% had a history of chronic dacryocystitis. All the LSC patients underwent successful DCR, achieving resolution of swelling and anatomical patency.
Anatomical and CT imaging features of LSC
All 30 patients with LSC underwent orbital CT scans and CT-DCG, while the controls only underwent CT scans. The scans were used to evaluate the size, location, and distance from the middle turbinate axilla (MTA) to the upper and lower limits of the LSF. The NLD consists of a superior intraosseous segment and an inferior intramembranous segment. The superior intraosseous segment is formed by the maxillary bone laterally and the lacrimal and inferior bones medially, traveling posterolaterally. The inferior intramembranous segment traverses the nasal mucosa, terminating along the lateral wall of the inferior nasal meatus.
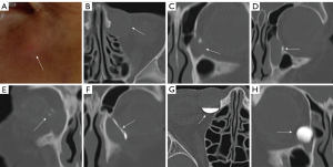
Periorbital swelling, indicated by the elevation of the skin on the LSC side by 1.52±0.64 mm above the surface, was observed and considered a suggestive sign (Figure 1A and Table 1). The CT scans of the LSC showed round or oval-shaped cystic low-density masses originating from the lacrimal sac (Figure 1B). The mean diameters of the lacrimal sac in the axial, coronal, and sagittal planes were 10.79±2.59, 12.84±3.68, and 12.02±3.45 mm, respectively (Table 1). The mean maximum cross-sectional area in the axial plane was 107.24±47.37 mm2 (Table 1). The average distances from the MTA to the upper and lower limits of the LSF were 3.34±3.37 and 11.00±4.40 mm, respectively. Most LSCs (53.33%) were confined to the level of the lacrimal sac (Figure 1C and Table 1), while 46.67% involved the superior intraosseous segment of NLD (Figure 1D and Table 1). Of the patients, 93.33% showed significant contrast interruption in the naso-LDS, indicating NLD obstruction, while 6.67% had patent NLD. Superior NLD obstruction was observed in 40.00% of the patients, middle and inferior NLD obstruction was observed in 43.33%, and common canalicular obstruction was observed in 26.67% (Table 1).
Table 1
| Variables | LSC side (n=30) |
|---|---|
| LSC structure | |
| Height above the skin surface (mm) | 1.52±0.64 |
| Dmaximum (axial) | 10.79±2.59 |
| Dmaximum (sagittal) | 12.02±3.45 |
| Dmaximum (coronal) | 12.84±3.68 |
| Smaximum (mm2) | 107.24±47.37 |
| MTA to the lower limit of the LSF | 3.34 ±3.37 |
| MTA to the upper limit of the LSF | 11.00±4.40 |
| Position of LSC | |
| Lacrimal sac | 16 (53.33) |
| Lacrimal sac and NLD | 14 (46.67) |
| Obstruction of nasolacrimal duct | |
| Patent | 2 (6.67) |
| Obstruction of common canaliculus | 8 (26.67) |
| Obstruction of superior NLD | 12 (40.00) |
| Obstruction of middle and inferior NLD | 13 (43.33) |
| CT-DCG imaging features | |
| Soft tissue density shadow with no contrast agent in lacrimal sac | 8 (26.67) |
| Fluid level | 15 (50.00) |
| Rim of enhancement | 14 (46.67) |
| “Lightbulb” sign | 6 (20.00) |
Data are presented as mean ± standard deviation or n (%). CT-DCG, computed tomography dacryocystography; Dmaximum, the maximum transverse canal width; LSC, lacrimal sac cyst; LSF, lacrimal sac fossa; MTA, axilla of middle turbinate; NLD, nasolacrimal duct; Smaximum, the maximum cross-sectional area of LSC in the axial plane.
CT-DCG imaging revealed four primary patterns. First, following the injection of contrast agent into the lacrimal duct, 26.67% of the LSC patients exhibited contrast agent blockage in the common canaliculus, and no or weak visualization of the contrast agent in the lacrimal sac and NLD (Figure 1E and Table 1). Second, 46.67% of the LSC patients showed enhancement of the cyst wall, characterized by a thin rim of enhancement (Figure 1F and Table 1). Third, a pattern of contrast agent accumulation, termed the “fluid level,” was observed at the base of the cyst (Figure 1G), and 50% of the LSC patients exhibited a discernible fluid level with smooth margins in both horizontal and sagittal planes (Table 1). Fourth, 20% of the LSC patients exhibited a conspicuously cystic lumen with a fluid-filled “lightbulb” sign (Figure 1H and Table 1), ruling out a solid tumor.
Biopsy
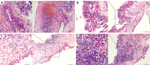
Following unsuccessful conservative treatment, patients with LSC underwent endoscopic DCR, lacrimal sac marsupialization, lacrimal stenting, and lacrimal sac mass biopsy. An intraoperative photograph of a typical LSC removed during surgery, stained with methylene blue, is shown in Figure S2. The LSC was excised and processed for hematoxylin and eosin staining. Biopsy revealed non-keratinizing squamous epithelium without atypia (Figure 2A). In some areas, reactive epithelial hyperplasia was observed, characterized by mild cellular proliferation with inflammatory cell infiltration (indicated by arrows pointing to the epithelial portion), relatively regular arrangement, and no obvious nuclear atypia, which might be related to epithelial overstimulation caused by underlying inflammation (Figure 2B). Beneath the epithelium loose connective tissue and vascular tissue were observed (Figure 2C).
Subepithelial inflammation showed severe lymphocytic infiltrate, and the formation of lymphoid follicles, which predominantly consisted of numerous plasma cells (Figure 2D). The ophthalmology immunohistochemistry report indicated positive staining for CD3 and CD20 in the lymphocytes. Follicular dendritic cells (CD21), plasma cells (CD138), and histiocytes (CD68) were positive. The proliferation marker Ki-67 was positive in 1–10% of the cells. In situ hybridization for EBER was negative. Special stains, including Periodic Acid-Schiff, hexamine silver, and acid-fast, were all negative. No accessory glands secreting mucus or striated muscle fibers were found on the cyst wall, nor was there evidence of infiltrative carcinoma.
Comparisons of NLD width and LSF structures
Previous studies have indicated that LSCs rarely cause bone destruction, but may lead to dilation of the lacrimal sac, and compressive changes or remodeling of the bone (11,14). In this study, we described the effects of LSCs on the anatomical structures of the LSF and NLD (Table 2). The LSF widths on both sides of the LSC group were wider than those in the control group (P<0.001; P=0.001), and the LSC side was wider than the paired side (P=0.002). Further, there was a significant correlation between the widths of the LSF on both sides in the LSC group (r=0.657, P<0.001).
Table 2
| Variables | LSC side (n=30) | Non-cyst side (n=27) | Control (n=30) | P | |
|---|---|---|---|---|---|
| Cyst vs. control | Non-cyst vs. control | ||||
| Nasolacrimal canal width | |||||
| Dminimum (mm) | 4.25±1.04 | 4.35±0.69 | 4.08±0.66 | 0.458 | 0.135 |
| LSC with NLD dilation (n=14) | 5.05±0.70 | 4.79±0.50 | 4.08±0.66 | <0.001 | 0.001 |
| LSC without NLD dilation (n=16) | 3.55±0.72 | 3.95±0.66 | 4.08±0.66 | 0.015 | 0.528 |
| Dmaximum (mm) | 6.50±2.27 | 5.46±1.06 | 5.52±0.74 | 0.031 | 0.791 |
| Ssuperior (mm2) | 41.08±21.46 | 26.18±5.60 | 23.67±5.25 | <0.001 | 0.177 |
| Lacrimal sac fossa structure | |||||
| Lacrimal sac fossa width (mm) | 8.30±1.66 | 7.29±1.46 | 5.89±1.05 | <0.001 | <0.001 |
| Frontal process proportion (%) | 46.71±7.31 | 48.94±7.52 | 47.21±13.94 | 0.860 | 0.569 |
| Frontal process thickness (mm) | 1.84±0.55 | 1.97±0.55 | 2.50±0.61 | <0.001 | 0.004 |
| Lacrimal bone angle (°) | 118.26±13.74 | 107.67±13.71 | 110.02±6.77 | 0.005 | 0.425 |
| Nasal structures | |||||
| Inferior turbinate thickness (mm) | 8.77±1.74 | 8.60±1.83 | 9.13±2.21 | 0.473 | 0.568 |
| Inferior turbinate angle (°) | 61.53±13.89 | 58.15±14.50 | 56.15±11.86 | 0.112 | 0.326 |
| Nasal abnormalities (%) | |||||
| Nasal septal deviation | 9 (30.00) | 6 (22.22) | 4 (13.33) | 0.117 | 0.378 |
| Concha bullosa | 11 (36.67) | 8 (29.63) | 11 (36.67) | 1.000 | 0.574 |
| Frontal sinusitis | 5 (16.67) | 5 (18.52) | 0 | 0.020 | 0.014 |
| Maxillary sinusitis | 5 (16.67) | 2 (7.40) | 7 (23.33) | 0.519 | 0.100 |
| Ethmoid sinusitis | 5 (16.67) | 4 (14.81) | 5 (16.67) | 1.000 | 0.848 |
| Osteomeatal complex opacification | 6 (20.00) | 4 (14.81) | 5 (16.67) | 0.739 | 0.848 |
| Agger nasi cell opacification | 17 (56.67) | 4 (14.81) | 2 (6.67) | <0.001 | 0.317 |
Data are presented as mean ± standard deviation or n (%). CT, computed tomography; Dmaximum, the maximum transverse canal width; Dminimum, the narrowest transverse canal width; LSC, lacrimal sac cyst; NLD, nasolacrimal duct; Ssuperior, the sectional area of the uppermost opening.
The frontal process thickness was thinner on both sides in the LSC group than the control group. Specifically, the frontal process thickness on the LSC side, non-cyst side, and in the control group were 1.84±0.55, 1.97±0.55, and 2.50±0.61, respectively (P<0.001, P=0.004). The lacrimal bone angle on the LSC side of the LSC group was larger than that in the control group and that on the paired side (P=0.005, Table 2; P=0.018, Table 3).
Table 3
| Variables | LSC side (n=27) | Paired side (n=27) | r | P(r) | t/Z | P |
|---|---|---|---|---|---|---|
| Nasolacrimal canal and lacrimal sac fossa structures | ||||||
| Dminimum (mm) | 4.25±1.09 | 4.35±0.69 | 0.580 | 0.002 | −0.592 | 0.559 |
| Dmaximum (mm) | 6.43±2.21 | 5.46±1.06 | 0.090 | 0.657 | 2.134 | 0.042 |
| Ssuperior (mm2) | 41.70±22.11 | 28.03±7.23 | 0.161 | 0.421 | 3.211 | 0.004 |
| Lacrimal sac fossa width (mm) | 8.19±1.71 | 7.29±1.46 | 0.657 | <0.001 | 3.543 | 0.002 |
| Frontal process proportion (%) | 46.73 ±7.37 | 48.94±7.52 | 0.298 | 0.131 | −1.301 | 0.205 |
| Frontal process thickness (mm) | 1.88±0.56 | 1.97±0.55 | 0.295 | 0.068 | −0.713 | 0.482 |
| Lacrimal bone angle (°) | 116.69±13.26 | 107.67±13.71 | 0.051 | 0.802 | 2.522 | 0.018 |
| Nasal structures | ||||||
| Inferior turbinate thickness (mm) | 8.65±1.79 | 8.60±1.83 | 0.467 | 0.014 | 0.136 | 0.893 |
| Inferior turbinate angle (°) | 60.75±13.69 | 58.15±14.50 | 0.219 | 0.272 | 0.764 | 0.452 |
| Nasal abnormalities | ||||||
| Nasal septal deviation | 8 (29.63) | 6 (22.22) | 0.347 | 0.076 | 0.535 | 0.593 |
| Concha bullosa | 8 (29.63) | 8 (29.63) | 0.289 | 0.143 | 0.000 | 1.000 |
| Frontal sinusitis | 4 (14.81) | 5 (18.52) | 0.070 | 0.73 | −0.378 | 0.705 |
| Maxillary sinusitis | 4 (14.81) | 2 (7.40) | 0.376 | 0.54 | 0.816 | 0.414 |
| Ethmoid sinusitis | 4 (14.81) | 4 (14.81) | 0.413 | 0.032 | 0.000 | 1.000 |
| Osteomeatal complex opacification | 6 (22.22) | 4 (14.81) | 0.028 | 0.89 | 0.707 | 0.480 |
| Agger nasi cell opacification | 16 (59.26) | 4 (14.81) | 0.167 | 0.683 | 3.000 | 0.003 |
Dmaximum, the maximum transverse canal width; Dminimum, the narrowest transverse canal width; LSC, lacrimal sac cyst; Ssuperior, the sectional area of the uppermost opening.
The width of the NLD at two positions—the narrowest transverse canal width (Dminimum) and maximum transverse canal width (Dmaximum)—as well as the sectional area of its uppermost opening (Ssuperior) (Table 2). Significant differences were observed in both the Dmaximum and Ssuperior between the LSC side and in the control group (P=0.031; P<0.001), as well as on the non-cyst side (P=0.042; P=0.004). Specifically, the mean value of the Dmaximum was 6.50±2.27 mm on the LSC side, 5.46±1.06 mm on the non-cyst side, and 5.52±0.74 mm in the control group. Similarly, the mean Ssuperior was 41.08±21.46 mm2 on the LSC side, 26.18±5.60 mm2 on the non-cyst side, and 23.67±5.25 mm2 in the control group. No statistically significant differences were observed in the Dminimum between both sides of the LSC group and the control group (P=0. 458; P=0.135). However, distinct patterns in the Dminimum were observed in the LSC group. Specifically, 46.67% (n=14) of the patients exhibited cyst extension into the NLD, combined with greater dilation and a wider Dminimum than the control group (P<0.001; P=0.001). Conversely, 53.33% (n=16) of the patients had LSCs confined to the lacrimal sac region, with a narrower Dminimum on the cystocele side compared to that of the control group (P=0.015), while no statistically significant difference was observed with the paired side and in the control group (P=0.528). A correlation was observed between the widths of the NLD in both sides of the LSC group in terms of the Dminimum (r=0.580; P=0.002; Table 3).
Comparisons of nasal structures and abnormalities
No significant differences were observed between the LSC and control groups in terms of the inferior turbinate thickness and inferior turbinate angle (Table 2). A correlation was found between the inferior turbinate thickness on both sides in the LSC group (r=0.467, P=0.014; Table 3). The frequency of frontal sinusitis was higher on both the LSC side and non-cyst sides compared to that in the control group (LSC side: 16.67%, non-cyst side: 18.52%, and control group: 0%; LSC vs. control: P=0.020, non-cyst vs. control: P=0.014). The occurrence rate of agger nasi cell opacification on was higher on the LSC side than on the paired side and in the control group (LSC side: 56.67%, paired side: 14.81%, and control group: 6.67%) (Table 2). No significant anatomical differences were observed between the LSC and control groups, or between the LSC side and the paired side of the LSC group in terms of other nasal inflammation or deformities, including nasal septal deviation, concha bullosa, maxillary sinusitis, ethmoid sinusitis, and osteomeatal complex opacification (Table 2). A correlation was found between the incidence of sinusitis on both sides in the patients with LSC (r=0.413, P=0.032; Table 3).
Discussion
In this study, we explored the characteristic CT and CT-DCG imaging features of LSCs, highlighting distinct radiological manifestations compared to other lacrimal sac masses, and examining anatomical variations, particularly LSF widening, NLD changes, and nasal abnormalities.
CT and CT-DCG imaging provided insights into cyst size, location, and shape. The absence or weak flow of contrast agent into the lacrimal sac was noted in 26.67% of the patients, indicating an upper cyst position obstructing the common canaliculus. When the cyst wall closely adhered to the inner wall of the lacrimal sac, contrast agent passed between the cyst wall and lacrimal sac wall, forming a sleek thin rim of enhancement along the cyst wall. When the cyst was small or the lacrimal sac was dilated due to cyst occupation or NLD obstruction, a residual space between the cyst and the lacrimal sac mucosal wall was observed. This manifested as fluid levels on horizontal and sagittal views, with the characteristic “lightbulb” sign evident on coronal views.
These imaging features differ from those of other lacrimal sac masses, such as lymphomas (soft tissue masses in the lacrimal sac with slight bone erosion), inflammatory granuloma (an extensive irregular soft tissue filling defect with an uneven margin attached to the lacrimal sac wall), and polyps (a filling defect of soft tissue density connected to the lacrimal sac wall) (10,16). These differences can aid in the accurate diagnosis of LSCs.
Research on magnetic resonance imaging (MRI) findings of LSCs is limited. In pediatric congenital cases, MRI shows well-defined T2-hyperintense cystic lesions with associated lacrimal duct dilatation (17). CT provides superior visualization of bony structures and remodeling, aiding in differentiation from malignant tumors with bone destruction. Conversely, MRI provides radiation-free imaging with superior soft tissue resolution, critical for distinguishing cystic from solid lesions, making it valuable for radiation-sensitive populations, cyst-solid differentiation, or patients with inconclusive CT findings (15,17,18).
This study had a number of limitations. Specifically, a potential sampling bias toward more symptomatic cases should be noted, as patients with mild, asymptomatic LSCs may not undergo CT. Given the rarity of LSCs, mild or asymptomatic cases may be underrepresented due to limited advanced imaging. However, our focus on clinically significant cysts (i.e., those requiring intervention) ensures the relevance of our findings for real-world clinical decision-making, as the observed anatomical changes (e.g., bony remodeling, LSF widening, and NLD stenosis) are most pronounced in these cases and directly inform surgical planning. Our findings remain critical for clinicians managing symptomatic LSCs, where imaging-guided diagnosis and personalized surgical strategies are paramount.
Our study found significant widening of the LSF, a thinner frontal process thickness, and a larger lacrimal bone angle and NLD width on the side with LSC compared to the non-cyst side and the control group, which provides further evidence that bone remodeling is a consequence of LSCs (11,14).
Previous studies suggest links between nasopharyngeal diseases and lacrimal drainage issues (19-22). However, in our study, we found that the incidence rates of nasal septal deviation, concha bullosa, frontal sinusitis, maxillary sinusitis, ethmoid sinusitis, and osteomeatal complex opacification did not differ significantly between the LSC and control groups.
Endoscopic DCR is the primary treatment modality for LSC (11,23-26). CT and CT-DCG can reveal relationships between the lacrimal sac and MTA, facilitating precise surgical incision design. For the general population, the MTA is approximately 5.96±2.05 mm above the lower limit of the LSF, while the lacrimal sac apex is approximately 6.10±2.02 mm above the axilla (27-29). For LSC patients, these distances are 3.34±3.37 and 11.00±4.40 mm, respectively (Table 1). Thus, customized surgical approaches are needed to improve outcomes.
Conclusions
This study systematically identified the characteristic CT and CT-DCG imaging features of LSCs, providing valuable diagnostic markers to aid in the differential diagnosis of lacrimal sac masses. Our findings support the hypothesis that LSCs may induce bone remodeling, which may be linked to inflammation and NLD fibrosis, underscoring the importance of considering anatomical changes in the design of DCR surgical incisions. Additionally, this study explored the potential relationship between nasopharyngeal diseases and LDS disorders, contributing to a more comprehensive understanding of the condition. Future studies with larger sample sizes and prospective designs are warranted to validate and expand upon these findings.
Acknowledgments
None.
Footnote
Reporting Checklist: The authors have completed the STROBE reporting checklist. Available at https://qims.amegroups.com/article/view/10.21037/qims-2025-25/rc
Data Sharing Statement: Available at https://qims.amegroups.com/article/view/10.21037/qims-2025-25/dss
Funding: This study was financially supported by
Conflicts of Interest: All authors have completed the ICMJE uniform disclosure form (available at https://qims.amegroups.com/article/view/10.21037/qims-2025-25/coif). L.G. reports receiving funding from the National Natural Science Foundation of China (Grant Nos. 82070924 and 82371024) and the Project of Shanghai Science and Technology Commission (Grant No. 22Y11910300). The other authors have no conflicts of interest to declare.
Ethical Statement: The authors are accountable for all aspects of the work in ensuring that questions related to the accuracy or integrity of any part of the work are appropriately investigated and resolved. The study was conducted in accordance with the Declaration of Helsinki and its subsequent amendments. The study was approved by the Ethics Committee of Eye & ENT Hospital of Fudan University (No. 2023164) and individual consent for this retrospective analysis was waived.
Open Access Statement: This is an Open Access article distributed in accordance with the Creative Commons Attribution-NonCommercial-NoDerivs 4.0 International License (CC BY-NC-ND 4.0), which permits the non-commercial replication and distribution of the article with the strict proviso that no changes or edits are made and the original work is properly cited (including links to both the formal publication through the relevant DOI and the license). See: https://creativecommons.org/licenses/by-nc-nd/4.0/.
References
- Hornblass A, Gross ND. Lacrimal sac cyst. Ophthalmology 1987;94:706-8. [Crossref] [PubMed]
- Raina UK, Tuli D. Acquired lacrimal cyst: a rare entity. Orbit 1999;18:107-9. [Crossref] [PubMed]
- Hoşal BM, Hurwitz JJ, Howarth DJ. Orbital cyst of lacrimal sac derivation. Eur J Ophthalmol 1996;6:279-83. [Crossref] [PubMed]
- Eldaya RW, Deolankar R, Orlowski HLP, Miller-Thomas MM, Wippold FJ 2nd, Parsons MS. Neuroimaging of Adult Lacrimal Drainage System. Curr Probl Diagn Radiol 2021;50:687-702. [Crossref] [PubMed]
- Hornblass A, Gabry JB. Diagnosis and treatment of lacrimal sac cysts. Ophthalmology 1979;86:1655-61. [Crossref] [PubMed]
- Lee JH, Sintuwong S, Kim YD, Woo KI. Lacrimal Intrasaccal Cyst. Korean J Ophthalmol 2015;29:433-4. [Crossref] [PubMed]
- Bothra N, Ali MJ. CT-Dacryocystography Findings in a Case of Atonic Lacrimal Sac. Ophthalmic Plast Reconstr Surg 2021;37:e84. [Crossref] [PubMed]
- DelGaudio JM, Wojno T. Nasolacrimal duct orifice cysts in adults: a previously unrecognized, easily treatable cause of epiphora. Laryngoscope 2007;117:1830-3. [Crossref] [PubMed]
- Hsu HC, Lin SA. Orbital epithelial cyst derived from the lacrimal sac. Ophthalmologica 2001;215:318-20. [Crossref] [PubMed]
- Diab MM, Ali MJ, Mohammed KK. Clinico-radiologic characteristics of lacrimal sac area swellings misdiagnosed as dacryocystocele or mucocele. Eur J Ophthalmol 2023;33:152-60. [Crossref] [PubMed]
- Nayak A, Ali MJ, Tripathy D, Mohapatra S, Bansal O, Rath S. Behavior and outcomes of 70 adult lacrimal sac mucoceles. Orbit 2021;40:228-32. [Crossref] [PubMed]
- Perry LJ, Jakobiec FA, Zakka FR, Rubin PA. Giant dacryocystomucopyocele in an adult: a review of lacrimal sac enlargements with clinical and histopathologic differential diagnoses. Surv Ophthalmol 2012;57:474-85. [Crossref] [PubMed]
- Gul A, Aslan K, Karli R, Ariturk N, Can E. A Possible Cause of Nasolacrimal Duct Obstruction: Narrow Angle Between Inferior Turbinate and Upper Part of the Medial Wall of the Maxillary Sinus. Curr Eye Res 2016;41:729-33. [Crossref] [PubMed]
- Hall FT, Bartley J. Spontaneous rupture of mucocoeles into the periorbital space. Australian Journal of Otolaryngology. 2001;4:194-6.
- Sun Y, Zhao B, Si S. Multimodal Imaging in an Atypical Adult-Onset Lacrimal Sac Mucocele. J Craniofac Surg 2025;36:e792-3. [Crossref] [PubMed]
- Qian ZB, Yu B, Yang Y, Fang W, Dong JL, Wei LQ. Investigation of lacrimal sac space-occupying lesions using color doppler ultrasound, computed tomography, and computed tomography dacryocystography. Int J Ophthalmol 2023;16:1224-30. [Crossref] [PubMed]
- Braun JJ, Debry C, Donato L, et al. Congenital lacrimonasal duct cyst: Do not forget this radiological and clinical entity. Arch Pediatr 2016;23:192-6. [Crossref] [PubMed]
- Shao JW, Yin JH, Xiang ST, He Q, Zhou H, Su W. CT and MRI findings in relapsing primary malignant melanoma of the lacrimal sac: a case report and brief literature review. BMC Ophthalmol 2020;20:191. [Crossref] [PubMed]
- Dikici O, Ulutaş HG. Relationship Between Primary Acquired Nasolacrimal Duct Obstruction, Paranasal Abnormalities and Nasal Septal Deviation. J Craniofac Surg 2020;31:782-6. [Crossref] [PubMed]
- Kerber L, Kerman T, Hazan I, Ziv O, Kordelul S, Tsumi E. Are inflammation-related diseases risk factors for primary acquired nasolacrimal duct obstruction? A large scale, national case-control study. Graefes Arch Clin Exp Ophthalmol 2024;262:1911-7. [Crossref] [PubMed]
- Yazici H, Bulbul E, Yazici A, Kaymakci M, Tiskaoglu N, Yanik B, Ermis S. Primary acquired nasolacrimal duct obstruction: is it really related to paranasal abnormalities? Surg Radiol Anat 2015;37:579-84. [Crossref] [PubMed]
- Habesoglu M, Eriman M, Habesoglu TE, Kinis V, Surmeli M, Deveci I, Deveci S. Co-occurrence and possible role of sinonasal anomalies in primary acquired nasolacrimal duct obstruction. J Craniofac Surg 2013;24:497-500. [Crossref] [PubMed]
- Koltsidopoulos P, Papageorgiou E, Konidaris VE, Skoulakis C. Idiopathic acquired dacryocystocele treated with endonasal endoscopic dacryocystorhinostomy. BMJ Case Rep 2013;
- Eloy P, Martinez A, Leruth E, Levecq L, Bertrand B. Endonasal endoscopic dacryocystorhinostomy for a primary dacryocystocele in an adult. B-ENT 2009;5:179-82.
- Bhaya M, Meehan R, Har-El G. Dacryocystocele in an adult: endoscopic management. Am J Otolaryngol 1997;18:131-4. [Crossref] [PubMed]
- Kapoor AG, Mishra D, Vs V, Ali MJ. Giant Dacryocele in a Setting of Bilateral Congenital Alacrimia With Punctal and Canalicular Agenesis. Ophthalmic Plast Reconstr Surg 2019;35:e88. [Crossref] [PubMed]
- Fayet B, Racy E, Assouline M, Zerbib M. Surgical anatomy of the lacrimal fossa a prospective computed tomodensitometry scan analysis. Ophthalmology 2005;112:1119-28. [Crossref] [PubMed]
- Gupta N. Endoscopic Anatomy of the Lacrimal Drainage System. In: Gupta N. editor. Endoscopic Dacryocystorhinostomy. Springer; 2021:23-34.
- Kakizaki H. The Sinonasal Anatomy: Endoscopic Lacrimal and Orbital Perspectives. In: Ali MJ. editor. Principles and Practice of Lacrimal Surgery. Springer India; 2015:41-59.

