Conjoined twins after single blastocyst transfer with Cantrell’s pentalogy in both fetuses: a case description
Introduction
Assisted reproductive technology (ART) has achieved unprecedented success in the treatment of infertility. It has also increased risks to both the mother and the fetus, particularly in cases of multiple pregnancies. The incidence of identical twins following ART can reach 0.4%, which is significantly higher than in natural pregnancies. Conjoined twins are a rare complication of identical twins, occurring in approximately 1% of identical twin pregnancies, with a live birth rate of 1 in 100,000 to 1 in 200,000 (1-3). Cantrell’s pentalogy is a rare syndrome characterized by a midline thoraco-abdominal schisis above the umbilicus, a defect in the lower sternum, a defect in the anterior diaphragm, a defect in the pericardium, and congenital heart abnormalities (4). The most prominent features of this syndrome are cardiac ectopia and omphalocele. This condition has no genetic predisposition, and its pathogenesis remains unclear.
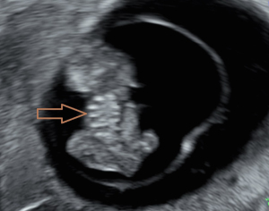
Cases of conjoined twins where both twins are affected by Cantrell’s pentalogy are sporadic. Prenatal ultrasound is the primary diagnostic tool for conjoined twins, effectively assessing the degree of fusion between the twins and providing critical information for clinical decision-making (3). This report describes a case of a 27-year-old woman who developed thoracoabdominal conjoined twins after the transfer of a frozen-thawed blastocyst, with both twins affected by Cantrell’s pentalogy. This case was definitively diagnosed at 8 weeks of gestation via ultrasound examination. The sagittal view showed both fetuses exhibiting the “ball-holding” sign, and the transverse view showed both fetuses exhibiting the “dumbbell” sign. The identification of these signs is of significant importance for the early diagnosis of conjoined twins with both fetuses affected by Cantrell’s pentalogy.
Case presentation
Chief complaint: a 27-year-old gravida presented for routine prenatal ultrasonographic evaluation. Early first-trimester ultrasound surveillance (6 weeks) revealed unremarkable fetal development. The patient denied any pregnancy-associated discomfort at this stage. History: bilateral salpingectomy performed. Personal and family history: the patient had no significant family or genetic history. Physical examination revealed no remarkable findings. All laboratory parameters fell within established normal limits. The patient used ART due to tubal factors. On 16 June 2024, the patient underwent a frozen-thawed blastocyst transfer. The two-dimensional (2D) ultrasound examination at 6 weeks of pregnancy showed a gestational sac in the uterine cavity, with a yolk sac inside and a 0.52 cm-long fetal bud close to the yolk sac, which showed a faint primitive heart tube pulsation. Ultrasound examination at 8 weeks of pregnancy showed a gestational sac in the uterine cavity, with one yolk sac, an amniotic sac, and two fetuses in the gestational sac. One fetus had a crown-rump length of 2.03 cm, and the other fetus had a crown-rump length of 1.88 cm. Both fetuses were consistent with an 8-week pregnancy. Both fetuses demonstrated complete thoracic ectopia cordis with anterior protrusion and cardiac fusion. The sagittal section showed that the two fetuses had a “ball-holding” sign, with a common heartbeat of 169 bpm (Figure 1). The organs above the umbilical part of the two fetuses were connected and protruded towards the front of the abdomen, with a cover on the surface. The cross-section of the chest showed that the two fetuses showed a “dumbbell” sign (Figure 2). The umbilical cords of the two fetuses were fused into a thick umbilical cord, and the entrance end of the umbilical cord abdominal wall was inserted into the fusion of the umbilical cord. The distal end of the umbilical cord was bifurcated and inserted into the placental parenchyma, respectively. Three-dimensional (3D) ultrasound surface imaging intuitively showed the relative positional relationship between the two fetuses and the exposure of the conjoined twins to the heart that fused each other on the outside of the chest cavity (Figure 3). Due to the early gestational week, the anterior diaphragmatic midline of the two fetuses was unclear. The ultrasound machine used in this case was a GE Voluson E10 (GE Healthcare, Chicago, IL, USA), with a RIC5-9-D probe. Figures 4,5 show normal fetus control images at the same gestational age.
Ultrasound findings suggested that this case involved conjoined twins, both of whom had Cantrell’s pentalogy. Reproductive doctors and pediatric surgeons discussed the prognosis of the pregnancy with the patient, who decided to terminate the pregnancy. All of the above ultrasound findings were confirmed in the autopsy specimens of the miscarried fetuses. Chromosome analysis of the miscarried fetus specimens showed no abnormalities in the chromosomes of either fetus.
All procedures performed in this case were in accordance with the ethical standards of the institutional and/or national research committee(s) and the Declaration of Helsinki and its subsequent amendments. Written informed consent was obtained from the pregnant mother for publication of this article and accompanying images. A copy of the written consent is available for review by the editorial office of this journal.
Discussion
Conjoined twins are a rare occurrence. In recent years, with the development of ART, the incidence of twin pregnancy has increased, and the incidence of conjoined twins has also increased. The rare cases of concurrent twins with Cantrell’s pentalogy have been documented, with only a few reported instances in the literature (5). Notably, some reports describe only one twin being affected by the condition (6,7). We report a rare case of conjoined twins with Cantrell’s pentalogy following frozen blastocyst transfer, diagnosed at 8 weeks of gestation.
With the widespread application of high-resolution transvaginal ultrasound, visualization of early pregnancy has become possible. The accuracy of assessing the risk of fetal chromosomal abnormalities through early pregnancy ultrasound combined with biochemical markers has improved, leading to the diagnosis of more fetal abnormalities in the early stages of pregnancy. A study indicated that ultrasound diagnosis of conjoined twins typically occurs between 11 and 13 weeks and 6 days. Screening at this stage can detect the most severe fetal malformations (8). There are reports that high-resolution ultrasound has advanced the diagnosis of conjoined twins to 7 weeks of gestation. However, due to the early gestational age, it is difficult to precisely determine the specific type of connection between the twins, and color Doppler ultrasound is typically required to assist in diagnosing the presence of conjoined twins (9). Fetal development is a process, and it can only be detected by ultrasound once it has reached a distinguishable gestational age. When fetal activity increases, around 8 weeks of gestation, it becomes easier to distinguish between monochorionic twins and conjoined twins (10). The patient underwent an ultrasound examination at 6 weeks of gestation, during which only a small, short, line-like embryonic bud and weak fetal heartbeat were observed. During the ultrasound examination at 8 weeks of gestation, we discovered that the two fetuses were embracing a “spherical” structure. The sagittal section revealed the “ball-holding” sign, and the transverse section showed a notch at the junction of the thoracic and abdominal walls, presenting the “dumbbell” sign. These two signs are specific to thoracoabdominal conjoined twins, with both fetuses affected by Cantrell’s pentalogy. Transvaginal 2D and 3D ultrasound provides direct evidence for the early identification of a special type of conjoined twins and advances the diagnostic gestational age to 8 weeks. Through transvaginal 2D ultrasound, the issue was identified, followed by adjusting the probe direction and angle to locate the specific connection site of the conjoined twins and determine the type of connection. The multiplanar views of 3D ultrasound provide additional detailed information. Adjusting the direction of light incidence, rotating the probe at multiple angles, and adjusting the 3D image, combined with surface imaging mode, yields more detailed features. The combination of 2D and 3D ultrasound provides more information than 2D ultrasound alone, offering more intuitive images, particularly suitable for fetuses with abnormal external features. A study has confirmed the role of 3D ultrasound in diagnosing prenatal abnormalities, which is consistent with our findings (11).
Ventral body wall defects represent a spectrum of malformations, likely caused by disrupted mesodermal development during early embryogenesis (days 14–19), followed by failed diaphragmatic crossing (12). These defects arise from abnormal closure of the ventral body wall folds and are present in various combinations, the most severe of which is Cantrell’s pentalogy. First described by Cantrell et al. in 1958, this syndrome comprises five congenital anomalies: cardiac, pericardial, sternal, diaphragmatic, and anterior abdominal wall defects, with an estimated incidence of 1 in 65,000 to 1 in 200,000 live births (4). The hallmark features of Cantrell’s pentalogy are ectopia cordis and omphalocele. Thoraco-abdominal schisis manifests as partial or complete displacement of the heart out of the thoracic cavity. An omphalocele is another common manifestation, wherein the abdominal contents protrude through the anterior abdominal wall, covered by a thin membrane. Sternal defects may present as a partial or complete absence of the xiphoid process of the sternum. Diaphragmatic defects involve congenital or acquired fissures in the diaphragmatic structure. Although pericardial defects are generally less severe and rarely life-threatening, they may occasionally lead to complications such as pericardial effusion. Cardiac defects such as atrial septal defect, transposition of the great arteries, pulmonary valve stenosis, and tetralogy of Fallot are associated with Cantrell’s pentalogy. Some researchers classify Cantrell’s pentalogy into three types based on the type of defect: (I) complete syndrome involving all five defects; (II) four defects including the sternum and anterior chest wall; and (III) incomplete type involving various combinations of defects, including sternal abnormalities (13). The ultrasound examination of this case revealed significant cardiac ectopia and omphalocele. The shared heart and abdominal organs of the two fetuses were fused and protruded through the thoracic wall toward the anterior thoracoabdominal wall. The sternum was not visible. The early stage of gestation precluded definitive characterization of the specific diaphragmatic and cardiac malformations. Cardiac ectopia, omphalocele, thoraco-abdominal schisis, and an unseen sternum showed direct signs of conjoined twins, and both fetuses were associated with incomplete Cantrell’s pentalogy. A key limitation in early prenatal diagnosis of conjoined twins with Cantrell’s pentalogy is the early gestational age, when incomplete fetal organ development may obscure the detection of associated structural abnormalities.
Single blastocyst transfer in ART reduces the likelihood of multiple pregnancies to some extent, but it does not benefit the reduction of monochorionic twins. Ovulation induction, assisted hatching, blastocyst culture, thawing conditions, and blastocyst transfer are all risk factors for monochorionic twins, with an incidence rate of 1.3–5% in pregnancies following ART treatment (14). Health issues in ART offspring should be considered one of the long-term risks associated with ART. The continuous advancement of ART technology, although bringing breakthroughs, may also introduce uncertainties regarding the health of offspring. The early diagnosis of rare ART complications, particularly conjoined twins, is clinically critical given their dismal prognosis, characterized by severe congenital malformations and extremely high mortality rates, presenting substantial challenges for clinical management. Prenatal ultrasound identification of conjoined twins at early gestation, combined with meticulous anatomical assessment of the fusion site, facilitates prompt therapeutic interventions. The risk of conjoined twins, a rare complication, should be vigilantly monitored during ART treatment cycles. Since embryo culture conditions cannot fully mimic the in vivo environment, they may cause changes such as uneven hardening of the zona pellucida, resulting in unstable and weak areas. Blastocysts hatching through these abnormal regions may split into two genetically identical viable individuals under physiological or mechanical stress, thereby inducing the occurrence of identical twins. According to current literature, the possibility of an association between ART and an increased risk of birth defects cannot be completely ruled out (15-18). Emerging evidence indicates that the observed association between ART and congenital heart defects may be mediated through twinning mechanisms (19). To date, no systematic studies have examined the potential association between ART and Cantrell’s pentalogy. The available evidence is limited to case reports describing its occurrence in ART-conceived twins (7). Strict adherence to established ART technical protocols is crucial for minimizing procedure-related risks and preventing potential birth defects. The pathogenesis of conjoined twins remains unclear, with most theories focusing on the cleavage theory and fusion theory (20,21). The cleavage theory posits that incomplete cleavage occurs between days 13 and 15 post-fertilization, whereas the fusion theory suggests that two independent embryos fuse later in development. In this case, a frozen-thawed blastocyst on day 5 post-fertilization was transferred and subsequently identified as conjoined twins. This indicates that incomplete cleavage occurred after the blastocyst was implanted into the uterine cavity, supporting the cleavage theory. We analyzed clinical medications, culture conditions, and transfer conditions for concurrent cases transferred in the laboratory but identified no factors contributing to this anomaly. The patient had actively prepared for pregnancy, and no evidence of exposure to teratogenic factors was found. Following medical abortion, we monitored the fetus’s chromosomal abnormalities using low-depth genomic sequencing and did not identify any clinically significant chromosomal abnormalities. This case report describes the first instance of conjoined twins with Cantrell’s pentalogy in both fetuses following a single blastocyst transfer. Although the relationship between blastocyst transfer and pregnancy outcome cannot be explained, the occurrence of these conjoined twins appears to be a rare random event. However, this case provides support for the long-term risks associated with ART.
In summary, conjoined twins with bilateral Cantrell’s pentalogy likely represent the most severe phenotypic manifestation with the poorest prognosis. The characteristic “ball-holding” and “dumbbell” signs on ultrasonography serve as pathognomonic indicators of this condition in monochorionic monoamniotic twins. Early recognition of these sonographic markers is critical for timely diagnosis and management.
Acknowledgments
We would like to thank the patient for agreeing to publish this report.
Footnote
Funding: This project was funded by
Conflicts of Interest: All authors have completed the ICMJE uniform disclosure form (available at https://qims.amegroups.com/article/view/10.21037/qims-2025-1268/coif). The authors have no conflicts of interest to declare.
Ethical Statement: The authors are accountable for all aspects of the work in ensuring that questions related to the accuracy or integrity of any part of the work are appropriately investigated and resolved. All procedures performed in this case were in accordance with the ethical standards of the institutional and/or national research committee(s) and the Declaration of Helsinki and its subsequent amendments. Written informed consent was obtained from the pregnant mother for publication of this article and accompanying images. A copy of the written consent is available for review by the editorial office of this journal.
Open Access Statement: This is an Open Access article distributed in accordance with the Creative Commons Attribution-NonCommercial-NoDerivs 4.0 International License (CC BY-NC-ND 4.0), which permits the non-commercial replication and distribution of the article with the strict proviso that no changes or edits are made and the original work is properly cited (including links to both the formal publication through the relevant DOI and the license). See: https://creativecommons.org/licenses/by-nc-nd/4.0/.
References
- McCarthy CM, O'Donoghue K. Conjoined twins: experience in an Irish tertiary centre. J Obstet Gynaecol 2014;34:225-8. [Crossref] [PubMed]
- Aston KI, Peterson CM, Carrell DT. Monozygotic twinning associated with assisted reproductive technologies: a review. Reproduction 2008;136:377-86. [Crossref] [PubMed]
- Xiao J, Liao K, Tan Z, Xie J, Lai H, Zhang S, Luo Y. The application value of prenatal ultrasound in conjoined twins. J Clin Ultrasound 2025;53:122-8. [Crossref] [PubMed]
- Cantrell JR, Haller JA, Ravitch MM. A syndrome of congenital defects involving the abdominal wall, sternum, diaphragm, pericardium, and heart. Surg Gynecol Obstet 1958;107:602-14.
- Spencer R, Robichaux WH, Superneau DW, Lucas VW Jr. Unusual cardiac malformations in conjoined twins: thoracopagus twins with conjoined pentalogy of Cantrell and an omphalopagus twin with atretic ventricles. Pediatr Cardiol 2002;23:631-8. [Crossref] [PubMed]
- Ilić Sabo JR, Bošković TJ, Živojinov MM, Fejsa Levakov AM. Pentalogy of cantrell in twins: a case report. Med Pregl 2015;68:410-2. [Crossref] [PubMed]
- Chen CP, Huang MC, Chern SR, Wu PS, Su JW, Wang W. Discordant anencephaly and Cantrell syndrome in monozygotic twins conceived by ICSI and IVF-ET. Taiwan J Obstet Gynecol 2013;52:297-9. [Crossref] [PubMed]
- Syngelaki A, Chelemen T, Dagklis T, Allan L, Nicolaides KH. Challenges in the diagnosis of fetal non-chromosomal abnormalities at 11-13 weeks. Prenat Diagn 2011;31:90-102. [Crossref] [PubMed]
- Sherer DM, Dalloul M, Kheyman M, Zigalo A, Nader I, Sokolovski M, Abulafia O. Transvaginal color Doppler imaging diagnosis of thoracopagus conjoined twins at 7 weeks' gestation. J Ultrasound Med 2006;25:1485-7. [Crossref] [PubMed]
- Liang XW, Cai YY, Yang YZ, Chen ZY. Early ultrasound diagnosis of conjoined twins at eight weeks of pregnancy: A case report. World J Clin Cases 2020;8:5389-93. [Crossref] [PubMed]
- Grigore M, Mareş A. The role of HDlive technology in improving the quality of obstetrical images. Med Ultrason 2013;15:209-14. [Crossref] [PubMed]
- van Hoorn JH, Moonen RM, Huysentruyt CJ, van Heurn LW, Offermans JP, Mulder AL. Pentalogy of Cantrell: two patients and a review to determine prognostic factors for optimal approach. Eur J Pediatr 2008;167:29-35. [Crossref] [PubMed]
- Toyama WM. Combined congenital defects of the anterior abdominal wall, sternum, diaphragm, pericardium, and heart: a case report and review of the syndrome. Pediatrics 1972;50:778-92.
- Chen CP, Hsu CY, Su JW, Cindy Chen HE, Hwa-Ruey Hsieh A, Hwa-Jiun Hsieh A, Wang W. Conjoined twins detected in the first trimester: a review. Taiwan J Obstet Gynecol 2011;50:424-31. [Crossref] [PubMed]
- Hansen M, Kurinczuk JJ, Bower C, Webb S. The risk of major birth defects after intracytoplasmic sperm injection and in vitro fertilization. N Engl J Med 2002;346:725-30. [Crossref] [PubMed]
- Kurinczuk JJ, Hansen M, Bower C. The risk of birth defects in children born after assisted reproductive technologies. Curr Opin Obstet Gynecol 2004;16:201-9. [Crossref] [PubMed]
- Källén B, Finnström O, Nygren KG, Olausson PO. In vitro fertilization (IVF) in Sweden: risk for congenital malformations after different IVF methods. Birth Defects Res A Clin Mol Teratol 2005;73:162-9. [Crossref] [PubMed]
- Olson CK, Keppler-Noreuil KM, Romitti PA, Budelier WT, Ryan G, Sparks AE, Van Voorhis BJ. In vitro fertilization is associated with an increase in major birth defects. Fertil Steril 2005;84:1308-15. [Crossref] [PubMed]
- Wen SW, Miao Q, Taljaard M, Lougheed J, Gaudet L, Davies M, Lanes A, Leader A, Corsi DJ, Sprague AE, Walker M. Associations of Assisted Reproductive Technology and Twin Pregnancy With Risk of Congenital Heart Defects. JAMA Pediatr 2020;174:446-54. [Crossref] [PubMed]
- Mian A, Gabra NI, Sharma T, Topale N, Gielecki J, Tubbs RS, Loukas M. Conjoined twins: From conception to separation, a review. Clin Anat 2017;30:385-96. [Crossref] [PubMed]
- DeStephano CC, Meena M, Brown DL, Davies NP, Brost BC. Sonographic diagnosis of conjoined diamniotic monochorionic twins. Am J Obstet Gynecol 2010;203:e4-6. [Crossref] [PubMed]

