A model based on high-resolution magnetic resonance vessel wall imaging for predicting stroke recurrence in patients with symptomatic intracranial atherosclerosis
Introduction
Intracranial artery stenosis (ICAS) is the primary cause of ischemic cerebrovascular disease in the elderly population (1). The causes of ICAS include intracranial atherosclerotic disease (ICAD), small artery disease and cerebral artery dissection (CAD), cerebral arteritis, moyamoya disease (MMD), muscular fiber dysplasia, and reversible vascular contraction syndrome (RCVS), along with other rare causes and causes that cannot be discerned by the currently available means. Since the clinical treatment strategies of intracranial vascular stenosis or occlusion caused by different etiologies vary, it is important to accurately treat intracranial vascular stenosis and find the cause, so as to reduce the recurrence rate.
ICAD is the predominant lesion in patients with ICAS, and the recurrence rate of ischemic cerebrovascular disease is high in these patients (2-4). It has been thought that the progression and recurrence of ischemic stroke are closely related to the risk factor of atherosclerosis and the degree of intracranial stenosis. In fact, the recurrence rate of stroke is high in patients with ICAD who have been administered standard oral drug therapy and intracranial arterial endovascular therapy; moreover, mounting studies suggest that the morphology, location, and vulnerability of the responsible plaques in intravascular stenosis play a decisive role in the recurrence of ischemic cerebrovascular disease (3,5). High-resolution magnetic resonance vessel wall imaging (HRMR-VWI) can show the degree of lumen stenosis and clearly visualize the vascular wall, atherosclerotic plaque, and surrounding structures (6,7). In a multicenter prospective clinical study, 255 patients were enrolled and followed up for 1 year: 4.1% of the 255 patients experienced recurrence [95% confidence interval (CI): 1.6–6.6%], and the rate of intracranial arterial plaque hemorrhage was significantly higher in patients with ipsilateral stroke recurrence (30% vs. 6.5%; P<0.05), and intracranial arterial plaque hemorrhage was an independent risk factor for recurrence in stroke survivors following treatment (8). The use of HRMR-VWI-related parameters to predict the risk of stroke recurrence may have a positive effect.
However, stroke recurrence is often affected by multiple factors, and the use of a single index to predict the prognosis of patients often has the issue of insufficient sensitivity and specificity. Nomogram prediction models have been developed to address this issue. These prediction models can synthesize the factors that have a significant impact on the prognosis of the disease to form a nomogram, which has the advantages of being more intuitive and maintaining greater predictive value. Nomograms have been used to study stroke recurrence, significantly improving the ability of clinicians to identify those at high risk of stroke recurrence (9,10). The only study to include HRMR-VWI-related parameters (intraplaque bleeding and standardized wall index) was that by Li et al. [2024], and their prediction model demonstrated value in predicting stroke recurrence, with an area under the curve (AUC) of 0.785 (95% CI: 0.671–0.899) (11). However, it is important to note that the patients included in Li et al.’s study were those with high-risk nondisabling ischemic cerebrovascular events (11). In our study, patients with symptomatic intracranial atherosclerosis (sICAS) who had experienced stroke were included. To the best of our knowledge, no studies thus far have constructed a predictive model of stroke recurrence in patients with sICAS based on HRMR-VWI. We present this article in accordance with the TRIPOD reporting checklist (available at https://qims.amegroups.com/article/view/10.21037/qims-2025-1201/rc).
Methods
General information
The data in this study were partly from patients with cerebral infarction or transient ischemic attack attending 18 hospitals (from January 2017 to December 2019) in the ICASMAP study (Study on the Etiology of Intracranial Artery Stenosis and Atherosclerotic Plaque Prediction Based on High Resolution MRI Technology) (12). The remainder of the data were from patients with cerebral infarction or transient ischemic attack who were hospitalized in the Hebei Medical University Third Hospital (from January 2020 to December 2023). A total of 540 patients with sICAS were enrolled, all of whom were ≥18 years old, had large arterial atherosclerotic lesions (30–99% stenotic lesions in at least one intracranial artery confirmed by HRMR-VWI examination, with the stenotic lesions being responsible for the stroke, more than 30% indicated stenosis), and all of whom experienced ischemic stroke within 2 weeks. Follow-up was completed in 493 patients. The inclusion criteria were as follows: (I) age 18–80 years; (II) patients with symptoms of transient ischemic attack or acute cerebral infarction within 2 weeks; (III) HRMR-VWI examination confirming that at least one intracranial artery (intracranial segment of internal carotid artery, anterior cerebral artery, posterior cerebral artery, middle cerebral artery, intracranial segment of vertebral artery, or basilar artery and its branches) had 30–99% stenosis lesions, with stenosis lesion being responsible; (IV) complete clinical data; and (V) intracranial atherosclerosis confirmed via HRMR-VWI. Meanwhile, the exclusion criteria were as follows: (I) death during the first stroke with no follow-up data available, (II) all types of malignant tumors (malignant tumors could result in hypercoagulability), (III) intracranial artery malformation, (IV) no availability of follow-up data; and (V) a history of myocardial infarction. The flowchart of patient inclusion is shown in Figure 1. The study was conducted in accordance with the Declaration of Helsinki and its subsequent amendments. This study was approved by the Ethics Committee of Tsinghua University School of Medicine (No. 20170002) and all participating hospitals were informed of and agreed with the present study. The requirement for individual consent was waived due to the retrospective nature of the analysis.
HRMR-VWI protocol
The HRMR-VWI protocol described was standardized across all 18 institutions and the quality assurance surveys were performed across centers. A 3.0-T magnetic resonance scanner (MAGNETOM Lumina 3.0T, Siemens Healthineers, Erlangen, Germany or 3.0T, Philips, Amsterdam, Netherlands) and a high-resolution 8-channel head/neck coil were used for magnetic resonance imaging (MRI) scanning. Lateral three-dimensional (3D) T1-weighted variable flip-angle spin echo sequence (3D-T1WI-SPACE) scans were performed before and after contrast agent administration under the following parameters: field of view (FOV) =180×180/173×199 mm2, layer thickness =0.6 mm, repetition time (TR) =25/21 ms, and echo time (TE) =3.5/3.6 ms. A contrast scan was performed 5 minutes after intravenous injection of gadolinium diethylene triamine penta-acetic acid (Gd-DTPA) contrast medium, and 3D time-of-flight magnetic resonance angiography (3D-TOF-MRA) was performed under the following parameters: FOV =180×180/173×199 mm2, layer thickness =0.6 mm, TR =25/21 ms, and TE =3.5/3.6 ms. All data was transmitted to the data center of Tsinghua University and image analysis is performed using the plaque analysis software independently developed by Tsinghua University School of Medicine, and included intraplaque bleeding, normalized wall index, degree of stenosis, plaque load, remodeling index, type of refactoring, and enhancement index (Figures 2,3). Standardized wall index = wall area/ (lumen area + pipe area). Plaque load = plaque area/total vascular wall area × 100%. Degree of stenosis = (stenosis diameter − normal diameter)/normal diameter. Intraplaque bleeding was a phenomenon of internal bleeding of atherosclerotic plaque, manifested as significant high signal shadows within plaques in both T1WI and TOF MRA sequences. The HRMR-VWI was read by an experienced neuroradiologist and if there was more than one plaque in the symptomatic territory, the culprit lesion was determined by two experienced neuroradiologists.
Clinical indicators
Age, gender, body mass index (BMI), history of smoking, history of alcoholism, hypertension, diabetes, hyperlipidemia, anemia, chronic obstructive pulmonary disease, consciousness disorder (including sleepiness, confusion, drowsiness, shallow coma, deep coma), dysphagia, type of cerebral infarction, size of first cerebral infarction (if the diameter of the infarction was less than 3 centimeters, it was called a small area infarction, otherwise it was called a large area infarction), and medication compliance (the definition of good compliance is that medication can be taken according to medical advice for the majority of the time; the definition of poor compliance: frequently taking medication without following medical advice).
Follow-up methods
After discharge, the patient was followed up by telephone and outpatient visits. For patients with clinical symptoms of suspected stroke recurrence, MRI was performed immediately to observe whether the patient experienced stroke recurrence. All patients were followed up until June 2024.
Statistical analysis
The statistical software SPSS 26.0 (IBM Corp., Armonk, NY, USA) was used to complete the data analysis, and P<0.05 indicated a statistical difference. The mean ± standard deviation was used to express the quantitative data of patients in the nonrecurrence group and the recurrence group, and the independent-samples t-test was used to analyze the differences between two groups. The numerical data were expressed as numbers and percentages, and the chi-squared test was used to analyze the differences between the two groups. Multivariable Cox regression analysis was used to identify the risk factors for stroke recurrence (stroke recurrence was taken as the outcome variable. Variables with P<0.100 in the univariate regression analysis were included as independent variables), and R language software (The R Foundation for Statistical Computing, Vienna, Austria) was used to complete the construction and validation of the prediction model.
Results
Comparison of the general clinical characteristics of the two groups
Compared with the nonrecurrence group, the recurrence group had a higher incidence of hypertension (36.92% vs. 16.59%; P<0.001), a higher rate of diabetes mellitus, (30.77% vs. 12.15%; P<0.001); a higher proportion of patients with poor medication compliance (27.69% vs. 9.11%; P<0.001), a higher proportion of intraplaque bleeding (32.31% vs. 9.81%; P<0.001), and a significantly higher standardized wall index (0.59±0.09 vs. 0.53±0.07; P<0.001) (Table 1).
Table 1
| Variable | Recurrence group (n=65) |
Nonrecurrence group (n=428) | t/χ2 value | P value |
|---|---|---|---|---|
| Age (years) | 63.95±11.17 | 65.97±11.74 | 1.298 | 0.20 |
| Gender | 0.197 | 0.66 | ||
| Male | 41 (63.08) | 282 (65.89) | ||
| Female | 24 (36.92) | 146 (34.11) | ||
| Body mass index (kg/m2) | 24.20±2.58 | 24.11±2.65 | 0.274 | 0.79 |
| History of smoking | 13 (20.00) | 68 (15.89) | 0.695 | 0.40 |
| History of alcoholism | 12 (18.46) | 59 (13.79) | 1.001 | 0.32 |
| Hypertension | 24 (36.92) | 71 (16.59) | 14.999 | <0.001 |
| Diabetes | 20 (30.77) | 52 (12.15) | 15.687 | <0.001 |
| Hyperlipidemia | 15 (23.08) | 158 (36.92) | 4.745 | 0.03 |
| Anemia | 9 (13.85) | 64 (14.95) | 0.055 | 0.82 |
| Chronic obstructive pulmonary disease | 8 (12.31) | 41 (9.58) | 0.469 | 0.49 |
| Disorder of consciousness | 6 (9.23) | 45 (10.51) | 0.100 | 0.75 |
| Dysphagia | 5 (7.69) | 37 (8.64) | 0.066 | 0.80 |
| Type of cerebral infarction | 1.912 | 0.17 | ||
| Ischemic cerebral infarction | 44 (67.69) | 324 (75.70) | ||
| Hemorrhagic cerebral infarction | 21 (32.31) | 104 (24.30) | ||
| Size of cerebral infarction | 0.592 | 0.44 | ||
| Small cerebral infarction | 55 (84.62) | 345 (80.61) | ||
| Massive cerebral infarction | 10 (15.38) | 83 (19.39) | ||
| Medication compliance | 19.052 | <0.001 | ||
| Good | 47 (72.31) | 389 (90.89) | ||
| Poor | 18 (27.69) | 39 (9.11) | ||
| Intraplaque hemorrhage | 21 (32.31) | 42 (9.81) | 25.618 | <0.001 |
| Standardized wall index | 0.59±0.09 | 0.53±0.07 | 6.423 | <0.001 |
| Degree of stenosis (%) | 65.41±14.82 | 62.24±15.04 | 1.584 | 0.11 |
| Plaque loading (%) | 67.34±16.43 | 64.29±16.55 | 1.383 | 0.17 |
| Remodeling index | 0.83±0.14 | 0.84±0.14 | 0.525 | 0.61 |
| Type of refactoring | 0.328 | 0.85 | ||
| Positive refactoring | 21 (32.31) | 153 (35.75) | ||
| Negative refactoring | 34 (52.31) | 209 (48.83) | ||
| No refactoring | 10 (15.38) | 66 (15.42) | ||
| Enhancement index (%) | 97.17±22.35 | 98.85±22.28 | 0.566 | 0.57 |
Data are presented as n (%) or mean ± standard deviation.
Predictive value of the standardized wall index for stroke recurrence in patients with sICAS
The standardized wall index was valuable in predicting stroke recurrence in patients with sICAS. The AUC was 0.693 (95% CI: 0.622–0.764; P<0.001), the cutoff value for optimal diagnosis was 0.555, and the specificity and sensitivity were 0.677 and 0.598, respectively (Figure 4).
Risk factors for stroke recurrence in patients with sICAS
The risk factors for stroke recurrence in patients with sICAS were diabetes mellitus [relative risk (RR): 2.427; 95% CI: 1.402–4.199; P=0.002], poor medication compliance (RR: 3.403; 95% CI: 1.886–6.138; P<0.001), intraplaque bleeding (RR: 2.618; 95% CI: 1.493–4.589; P=0.001), and standardized wall index >0.555 (RR: 3.421; 95% CI: 1.986–5.894; P<0.001) (Table 2).
Table 2
| Variable | B value | Standard error | Wald value | P value | Relative risk (95% CI) |
|---|---|---|---|---|---|
| Hypertension | 0.403 | 0.282 | 2.034 | 0.15 | 1.496 (0.860–2.601) |
| Diabetes | 0.886 | 0.280 | 10.039 | 0.002 | 2.427 (1.402–4.199) |
| Poor medication compliance | 1.225 | 0.301 | 16.555 | <0.001 | 3.403 (1.886–6.138) |
| Intraplaque hemorrhage | 0.962 | 0.286 | 11.293 | 0.001 | 2.618 (1.493–4.589) |
| Standardized wall index >0.555 | 1.230 | 0.278 | 19.634 | <0.001 | 3.421 (1.986–5.894) |
CI, confidence interval.
Construction and validation of a prediction model for stroke recurrence in patients with sIACS
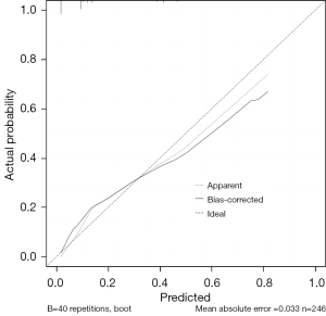
R 4.0.3 statistical software (R Foundation for Statistical Computing) was used to complete the construction and validation of the prediction model, and 246 cases were randomly selected as the training set, with the remaining 247 cases comprising the validation set (1:1), and the predicted outcome was stroke recurrence. According to the Cox regression results, diabetes mellitus, medication adherence, intraplaque hemorrhage, and standardized wall index were included in the prediction model. The AUC of the training set was 0.846 (95% CI: 0.788–0.904), and the sensitivity and specificity were 0.782 and 0.762, respectively; The AUC of the validation set was 0.702 (95% CI: 0.604–0.801), and the sensitivity and specificity were 0.642 and 0.612, respectively; the Chi-squared value was 13.214, and the P value was 0.105 in the Hosmer-Lemeshow goodness-of-fit test, indicating that the model was effective. The calibration curve indicated that the change in the predicted curve and the actual curve was basically consistent, which also suggested that the model was reliable (Figures 5-9).
Discussion
Principal findings
With the aging of the population, the number of stroke survivors with sICAS is increasing, which is the primary cause of disability and death in middle-aged and older individuals. Preventing recurrence after stroke is the key to improving the prognosis of these patients, and in order to facilitate the early diagnosis and treatment of stroke, we conducted this study to determine the risk factors. We found that the factors for stroke recurrence in patients with sICAS were diabetes mellitus (RR: 2.427; 95% CI: 1.402–4.199; P=0.002), poor medication compliance (RR: 3.403; 95% CI: 1.886–6.138; P<0.001), intraplaque hemorrhage (RR: 2.618; 95% CI: 1.493–4.589; P=0.001), and standardized wall index >0.555 (RR: 3.421; 95% CI: 1.986–5.894; P<0.001).
Comparison with previous studies
Diabetes mellitus comprises a group of carbohydrate, protein, and fat metabolism disorders caused by absolute or relative insufficient insulin secretion and is characterized by hyperglycemia. Diabetes mellitus can promote the development of atherosclerosis and cause an increased risk of stroke recurrence through the following ways: (I) the vascular endothelial cells on the surface of the arterial wall are directly in contact with metabolic abnormalities, such as high glucose and blood lipid disorders in the blood, resulting in damage and activation of inflammatory responses. (II) Glucose oxidation in endothelial cells on the surface of arterial walls increases, resulting in oxidative stress, which directly leads to cell death and damage. (III) After long-term diabetes mellitus, the number of vascular endothelial progenitor cells originating from the bone marrow and flowing to the peripheral blood decreases, and the angiogenesis function and the repair ability of vascular damage are weakened. In a study of patients with ischemic stroke, a significantly increased risk of stroke at five years was reported in patients with diabetes compared with nondiabetic patients (12.7% vs. 11.3%), with a hazard ratio of 1.1; moreover, in patients with hemorrhagic stroke, diabetes was also demonstrated to increase the risk of recurrence with a hazard ratio of 1.2 (13). Several other studies have reported similar results, supporting our study (14,15). In addition, our study indicated that patients with poor medication compliance had a higher risk of stroke recurrence. Stroke survivors often have underlying diseases that can cause atherosclerosis, such as hypertension, diabetes, and hyperlipidemia, and thus need long-term medication to control disease progression, but stroke survivors often have poor medication compliance (16). Patients with poor medication compliance may have an increased risk of stroke recurrence due to poorly controlled underlying diseases such as diabetes.
Intraplaque hemorrhage is the rupture and bleeding of new capillaries in the plaque, which is common in patients with cardiovascular disease. The core mechanism is the rupture of new blood vessels within the plaque or the infiltration of blood into the interior of the plaque due to external forces. It contributes to the enlargement of the lipid core and the progression of the plaque, leading to plaque instability, which in turn can result in stroke recurrence after plaque detachment, as demonstrated in previous studies (11,17,18). The standardized wall index is a highly accurate and reproducible measurement that can be measured by HRMR-VWI with a normal value of about 0.4. In general, the higher the standardized wall index, the greater the plaque load. Larger plaque load has a larger contact area with blood vessels, which can easily lead to blockage of small branch openings. In addition, a larger plaque load may indicate that the components within the plaque are more complex and more sensitive to shear forces on blood flow. The larger the standardized wall index is, the more severe the stenosis of the diseased artery and the more likely the occurrence of stroke recurrence, supporting our study (19-21).
For patients with the above risk factors, intervention should be strengthened, and rational treatment strategies should be formulated to diagnose and treat stroke recurrence early. For example, for patients with diabetes, blood sugar control should be strengthened. For patients with poor medication adherence, health education should be strengthened to improve medication adherence. For patients with intraplaque hemorrhage and standardized wall index >0.555, stenting therapy may be considered.
Improving the early diagnosis and treatment of stroke recurrence via a nomogram prediction model
Nomogram prediction models can synthesize factors that are significantly associated with disease prognosis. They have the advantages of being more intuitive and providing higher predictive value and have been used in the study of stroke recurrence (22,23). Moreover, nomograms tend to have higher sensitivity and specificity than do single biologic indices in predicting disease prognosis. For example, in this study, the standardized wall index was used to predict stroke recurrence in patients with sICAS, and the AUC was only 0.693 (95% CI: 0.622–0.764; P<0.001), which was significantly lower than that of the proposed model. Therefore, for patients with sICAS, this prediction model can be used to predict the risk of recurrence. For patients with high recurrence risk, intervention should be strengthened.
Limitations
There were relatively few patients with recurrent stroke included in the study. The efficacy of the model needs to be further validated in larger multicenter studies. In addition, more indicators need to be added to the model in the future to further enhance its predictive performance.
Conclusions
HRMR-VWI is valuable for the evaluation of ischemic stroke recurrence in patients with sICAS. The prediction model of stroke recurrence in patients with sICAS based on HRMR-VWI could facilitate the early diagnosis and treatment of stroke recurrence.
Acknowledgments
The data in this study were partly from patients with cerebral infarction attending 18 hospitals (from January 2017 to December 2019) in the ICASMAP study. The hospitals included Beijing Huairou Hospital, Beijing Pinggu Hospital, Beijing Shunyi Hospital, Beijing Hospital, Cangzhou People’s Hospital, Affiliated Hospital of Chengde Medical University, The Second Hospital of Hebei Medical University, Hebei Medical University Third Hospital, The First Affiliated Hospital of Hebei North University, Hengshui People’s Hospital (Harrison International Peace Hospital), Aerospace Center Hospital, The Fourth Medical Center of PLA General Hospital, The Eighth Medical Center of PLA General Hospital, Navy General Hospital PLA China, Tangshan Gongren Hospital, Tianjin People’s Hospital, Tianjin First Central Hospital, and Tianjin 4th Center Hospital.
Footnote
Reporting Checklist: The authors have completed the TRIPOD reporting checklist. Available at https://qims.amegroups.com/article/view/10.21037/qims-2025-1201/rc
Data Sharing Statement: Available at https://qims.amegroups.com/article/view/10.21037/qims-2025-1201/dss
Funding: None.
Conflicts of Interest: All authors have completed the ICMJE uniform disclosure form (available at https://qims.amegroups.com/article/view/10.21037/qims-2025-1201/coif). The authors have no conflicts of interest to declare.
Ethical Statement: The authors are accountable for all aspects of the work in ensuring that questions related to the accuracy or integrity of any part of the work are appropriately investigated and resolved. The study was conducted in accordance with the Declaration of Helsinki and its subsequent amendments. This study was approved by the Ethics Committee of Tsinghua University School of Medicine (No. 20170002) and all participating hospitals were informed and agreed with the present study. The requirement for individual consent was waived due to the retrospective nature of the analysis.
Open Access Statement: This is an Open Access article distributed in accordance with the Creative Commons Attribution-NonCommercial-NoDerivs 4.0 International License (CC BY-NC-ND 4.0), which permits the non-commercial replication and distribution of the article with the strict proviso that no changes or edits are made and the original work is properly cited (including links to both the formal publication through the relevant DOI and the license). See: https://creativecommons.org/licenses/by-nc-nd/4.0/.
References
- Leng X, Hurford R, Feng X, Chan KL, Wolters FJ, Li L, Soo YO, Wong KSL, Mok VC, Leung TW, Rothwell PM. Intracranial arterial stenosis in Caucasian versus Chinese patients with TIA and minor stroke: two contemporaneous cohorts and a systematic review. J Neurol Neurosurg Psychiatry 2021;92:590-7. [Crossref]
- Gao Y, Li ZA, Zhai XY, Han L, Zhang P, Cheng SJ, Yue JY, Cui HK. An interpretable machine learning model for stroke recurrence in patients with symptomatic intracranial atherosclerotic arterial stenosis. Front Neurosci 2023;17:1323270. [Crossref] [PubMed]
- Del Bello B, Rognone E, Pichiecchio A, Cavallini A, Mazzacane F. Vessel Wall MRI in the Diagnosis and Follow-Up of Nonstenosing Intracranial Atherosclerotic Lesions in Acute Stroke. Stroke 2024;55:e35-8. [Crossref] [PubMed]
- Ding Y, Li J, Shan H, Yang S, Wang X, Zhao D. Biomarker study of symptomatic intracranial atherosclerotic stenosis in patients with acute ischemic stroke. Front Neurol 2023;14:1291929. [Crossref] [PubMed]
- Li Q, Yu M, Yang D, Han Y, Liu G, Zhou D, Li C, Zhao X. Association of the coexistence of intracranial atherosclerotic disease and cerebral small vessel disease with acute ischemic stroke. Eur J Radiol 2023;165:110915. [Crossref] [PubMed]
- Li M, Song X, Wei Q, Wu J, Wang S, Liu X, Guo C, Gao Q, Zhou X, Niu Y, Guo X, Zhao X, Chen L. The relationship between intracranial atherosclerosis and white matter hyperintensity in ischemic stroke patients: a retrospective cross-sectional study using high-resolution magnetic resonance vessel wall imaging. Quant Imaging Med Surg 2024;14:6002-14. [Crossref] [PubMed]
- Wang T, Li C, Li S, Tang P, Guo Q, Fang L. High-resolution magnetic resonance imaging features of time-of-flight magnetic resonance angiography signal loss and its relevance to ischemic stroke. Quant Imaging Med Surg 2024;14:6820-9. [Crossref] [PubMed]
- Yuan W, Liu X, Yan Z, Wu B, Lu B, Chen B, Tian D, Du A, Li L, Liu C, Liu G, Gong T, Shi Z, Feng F, Liu C, Meng Y, Lin Q, Li M, Xu WH. Association between high-resolution magnetic resonance vessel wall imaging characteristics and recurrent stroke in patients with intracranial atherosclerotic steno-occlusive disease: A prospective multicenter study. Int J Stroke 2024;19:569-76. [Crossref] [PubMed]
- Huang ZX, Yuan S, Li D, Hao H, Liu Z, Lin J. A Nomogram to Predict Lifestyle Factors for Recurrence of Large-Vessel Ischemic Stroke. Risk Manag Healthc Policy 2021;14:365-77. [Crossref] [PubMed]
- Yuan K, Chen J, Xu P, Zhang X, Gong X, Wu M, Xie Y, Wang H, Xu G, Liu X. A Nomogram for Predicting Stroke Recurrence Among Young Adults. Stroke 2020;51:1865-7. [Crossref] [PubMed]
- Li ZA, Gao Y, Han L, Xie BC, Sun YC, Zhai XY, Zhang P, Li YD, Yue JY, Yan RF, Cui HK. HR-MRI-based nomogram network calculator to predict stroke recurrence in high-risk non-disabling ischemic cerebrovascular events patients. Front Neurol 2024;15:1407516. [Crossref] [PubMed]
- Han Y, Qiao H, Chen S, Jing J, Pan Y, Li D, Liu Y, Meng X, Wang Y, Zhao XICASMAP investigators. Intracranial artery stenosis magnetic resonance imaging aetiology and progression study: Rationale and design. Brain Behav 2018;8:e01154. [Crossref] [PubMed]
- Kristensen FPB, Svane HML, Laugesen K, Al-Mashhadi SK, Christensen DH, Sørensen HT, Skajaa N. Risk of mortality and recurrence after first-time stroke among patients with type 2 diabetes: A Danish nationwide cohort study. Eur Stroke J 2025;10:190-7. [Crossref] [PubMed]
- Wang L, Li H, Hao J, Liu C, Wang J, Feng J, Guo Z, Zheng Y, Zhang Y, Li H, Zhang L, Hou H. Thirty-six months recurrence after acute ischemic stroke among patients with comorbid type 2 diabetes: A nested case-control study. Front Aging Neurosci 2022;14:999568. [Crossref] [PubMed]
- Mao Y, Zhu B, Wen H, Zhong T, Bian M. Impact of Platelet Hyperreactivity and Diabetes Mellitus on Ischemic Stroke Recurrence: A Single-Center Cohort Clinical Study. Int J Gen Med 2024;17:1127-38. [Crossref] [PubMed]
- Arif H, Aijaz B, Islam M, Aftab U, Kumar S, Shafqat S. Drug compliance after stroke and myocardial infarction: a comparative study. Neurol India 2007;55:130-5. [Crossref] [PubMed]
- Wadén K, Karlöf E, Narayanan S, Lengquist M, Hansson GK, Hedin U, Roy J, Matic L. Clinical risk scores for stroke correlate with molecular signatures of vulnerability in symptomatic carotid patients. iScience 2022;25:104219. [Crossref] [PubMed]
- Deng F, Mu C, Yang L, Li H, Xiang X, Li K, Yang Q. Carotid plaque magnetic resonance imaging and recurrent stroke risk: A systematic review and meta-analysis. Medicine (Baltimore) 2020;99:e19377. [Crossref] [PubMed]
- Li RY, Yu JW, Chen XH, Han QQ, Ge H, Li C, Ju S, Zhao DL. Association of pre-diabetes and type 2 diabetes mellitus with intracranial plaque characteristics in patients with acute ischemic stroke. Br J Radiol 2023;96:20220802. [Crossref] [PubMed]
- Thornton GD, Musa TA, Rigolli M, Loudon M, Chin C, Pica S, Malley T, Foley JRJ, Vassiliou VS, Davies RH, Captur G, Dobson LE, Moon JC, Dweck MR, Myerson SG, Prasad SK, Greenwood JP, McCann GP, Singh A, Treibel TA. Association of Myocardial Fibrosis and Stroke Volume by Cardiovascular Magnetic Resonance in Patients With Severe Aortic Stenosis With Outcome After Valve Replacement: The British Society of Cardiovascular Magnetic Resonance AS700 Study. JAMA Cardiol 2022;7:513-20. [Crossref] [PubMed]
- Wang M, Wu F, Yang Y, Miao H, Fan Z, Ji X, Li D, Guo X, Yang Q. Quantitative assessment of symptomatic intracranial atherosclerosis and lenticulostriate arteries in recent stroke patients using whole-brain high-resolution cardiovascular magnetic resonance imaging. J Cardiovasc Magn Reson 2018;20:35. [Crossref] [PubMed]
- Wang Q, Yin J, Xu L, Lu J, Chen J, Chen Y, Wufuer A, Gong T. Development and validation of outcome prediction model for reperfusion therapy in acute ischemic stroke using nomogram and machine learning. Neurol Sci 2024;45:3255-66. [Crossref] [PubMed]
- Guo J, Zhou Y, Zhou B. Development and Validation of a New Nomogram Model for Predicting Acute Ischemic Stroke in Elderly Patients with Non-Valvular Atrial Fibrillation: A Single-Center Cross-Sectional Study. Clin Interv Aging 2024;19:67-79. [Crossref] [PubMed]
(English Language Editor: J. Jones)


