Evaluation of left atrial function in patients with severe aortic stenosis with preserved ejection fraction based on real-time three-dimensional automated left atrial quantification technique
Introduction
Aortic stenosis (AS) is one of the common valvular heart diseases, with its prevalence increasing with age (1). AS is a chronic progressive disease. Mild AS often presents without significant clinical symptoms and has a relatively favorable prognosis. Once severe AS patients develop symptoms, the 2-year survival rate is only 50%, and the prognosis is very poor (2). The most common symptoms of severe AS are exertional dyspnea and fatigue; however, these symptoms can be confused with other diseases (3). The clinical symptoms of patients with severe AS are associated with decreased aortic valve area, left ventricular (LV) wall hypertrophy, LV dysfunction, and left atrial (LA) enlargement (4-6). However, Stewart et al. showed that in addition to the severity of valve stenosis, LV mass, left ventricular ejection fraction (LVEF), and LV diastolic function were not predictive of heart failure symptom onset in AS patients (7). Therefore, recent studies have focused on the correlation between ejection fraction retention in patients with severe AS and the identification of heart failure symptoms. Conventional echocardiography commonly uses LVEF to reflect LV systolic function. However, patients with severe AS can have no obvious clinical symptoms or mild clinical symptoms for an extended time, but the long-term increased pressure load of the left ventricle can cause LV myocardial mechanical damage. In addition, LVEF is less sensitive in assessing LV systolic function when there is increased LV afterload. Although global longitudinal strain (GLS) can detect subclinical functional abnormalities of the myocardium, it also has the disadvantage of being afterload-dependent (8). Therefore, it is crucial to identify more precise indicators to determine the cardiac function in patients with severe AS, thereby guiding the optimal treatment strategy. In recent years, researchers have become increasingly interested in the role of the left atrium in regulating LV diastolic function and in determining the occurrence of heart failure symptoms. The relationship between LA dysfunction and heart failure symptoms has been confirmed in cases of heart failure with preserved ejection fraction and diastolic dysfunction, or in hypertrophic cardiomyopathy (9,10). Studies have confirmed that in patients with severe AS, LA enlargement and dysfunction can affect patient prognosis (11-13). O’Connor et al. showed that LA dilation in patients with severe AS does not necessarily reflect the intrinsic dysfunction of LA. When LA function is impaired, AS patients have more obvious heart failure symptoms and worse prognosis, which indicates that the assessment of LA function is crucial in patients with severe AS combined with heart failure (14). Thus, early, timely, and accurate assessment of LA function in patients with AS is of great significance for improving patient outcomes, alleviating clinical symptoms, and reducing mortality. The real-time 3-dimensional (3D) automatic left atrial quantitative technique (RT-3D Auto LAQ) technique overcomes the limitations of previous methods by enabling the simultaneous acquisition of LA volume and emptying rate parameters, as well as longitudinal and circumferential strain. This allows for an accurate assessment of LA function.
In this study, we evaluated the LA function of patients with severe AS with preserved ejection fraction by real-time 3D Auto LAQ technology, and determined the positive predictive factor of significant heart failure symptoms in patients with severe AS with preserved ejection fraction among LA function parameters. We present this article in accordance with the STROBE reporting checklist (available at https://qims.amegroups.com/article/view/10.21037/qims-2025-535/rc).
Methods
Participants
This study enrolled 56 patients with severe AS and preserved ejection fraction admitted to the Department of Cardiology at the Fourth Affiliated Hospital of Harbin Medical University from September 2022 to October 2024. These patients were designated as the case group, including 25 females and 31 males, with an age range of 55 to 80 years (mean age 68.70±6.32 years). Among them, there were 50 cases of stenosis caused by degenerative lesions and 6 cases of bicuspid aortic valve malformation. During the same period, 56 healthy individuals who underwent physical examinations were selected as the control group, matching the case group in terms of age and gender, and with good echocardiographic image quality. The control group included 22 females and 34 males, with an age range of 56 to 81 years (mean age 68.93±5.96 years). The inclusion criteria for patients in the case group were as follows: (I) patients who met all three of the diagnostic criteria for severe AS according to the 2017 American College of Cardiology/American Heart Association (ACC/AHA) Valve Disease Guidelines, namely, aortic orifice area <1.0 cm2, peak flow rate ≥4.0 m/s, or mean transvalvular pressure difference across the aortic valve ≥ 40 mmHg; (II) patients with LVEF ≥50%; (III) sinus rhythm; and (IV) patients with clear and analyzable ultrasound images. The exclusion criteria were as follows: (I) patients with more than moderate mitral stenosis or more than moderate aortic or mitral regurgitation; (II) patients with coronary artery stenosis ≥50%; (III) patients with severe hypertension, diabetes, liver or kidney dysfunction, or other diseases that may affect the examination results; and (IV) patients with unsatisfactory ultrasound image quality. All participants were informed of the purpose of the experiment and signed informed consent.
Instrumentation and methods
Instruments
Echocardiographic examination: a GE Vivid E95 (GE HealthCare, Milwaukee, WI, USA) color Doppler ultrasound diagnostic instrument was used. The M5Sc-D probe (frequency range 1.5–4.6 MHz) and the 4Vc probe (frequency range 1.5–4.1 MHz) were selected, both equipped with an EchoPAC 203 workstation (GE HealthCare).
Examination procedures
General clinical data collection
Record the general clinical data of the patients and grade them according to the New York Heart Association (NYHA) cardiac function grading criteria.
Conventional echocardiographic image acquisition
The patients were positioned in the left lateral decubitus position, and a three-lead electrocardiogram (ECG) was connected to the limbs. Echocardiographic examination was performed in the resting state. Interventricular septal thickness at end diastolic (IVSd), left ventricular posterior wall thickness at end diastolic (LVPWd), left atrial anteroposterior diameter (LAd), and left ventricular internal diameter (LAEDd) were measured in parasternal LV long-axis views; LV end-diastolic volume (EDV) and LV end-systolic volume (ESV) were measured by biplane Simpson’s method, and LVEF was calculated. In the apical four-chamber view, the peak velocity of mitral inflow during diastole was measured, and the E/A ratio was calculated. The early diastolic mitral annular septal side e’ (e’sep) and lateral wall side e’ (e’lat) were also measured and the mean (e’) and E/e’ ratio of the two were calculated. Using pulsed-wave Doppler ultrasound in the apical five-chamber view, the peak velocity of the aortic valve and the flow velocity in the left ventricular outflow tract (LVOT) were obtained. The velocity–time integrals (VTI) of the aortic valve (VTIAV) and LVOT (VTILVOT) were measured from the velocity curve tracings. Additionally, the mean transvalvular pressure gradient was calculated. In the magnified parasternal long-axis view, during mid-systole, the LVOT was measured from the inner edge of the interventricular septum to the inner edge of the anterior mitral valve leaflet, at a position parallel to the aortic valve annulus plane and 0.3–1.0 cm away from the annulus (15). Effective orifice area was assessed using the continuous equation method. Left ventricular global longitudinal strain (LVGLS) was assessed by speckle tracking imaging (STI) using a 17-segment model.
Image acquisition and data analysis of RT-3D Auto LAQ
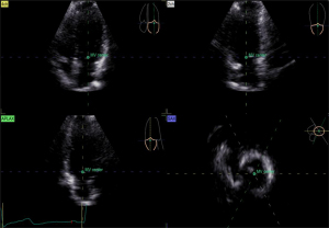
RT-3D Auto LAQ image acquisition operation guidelines: (I) use the 4Vc matrix probe was to obtain two-dimensional images at the standard four-chamber heart section, and adjust the sector depth and gain to make the left atrium clearly visible in all the apex views; (II) Breath-hold at end-expiration; acquire 4–6 cardiac-cycle four-dimensional (4D) full-volume loops; (III) transfer to EchoPAC; select the best loop, open 4D Auto LAQ; (IV) at end-systole, place the sampling point at the mid-mitral annulus in each apical plane; align axes; (V) activate the “review” interface to check whether the LA endocardium curve automatically outlined by the system is consistent with the real endocardium. If there is any deviation, manually drag and drop the sampling line to make it coincide with the endocardium while excluding the pulmonary vein inlet and LA auricle area, then click “result” for LA volumes and strain, as shown in Figures 1-4. The LA volume parameters are divided by the body surface area (BSA) of each case to obtain the corresponding volume indices. Further calculations are performed to determine the left atrial total emptying fraction (LATEF) = (LAVmax-LAVmin)/LAVmax; left atrial passive emptying fraction (LAPEF) = (LAVmax-LAVpreA)/LAVmax; left atrial active emptying fraction (LAAEF) = (LAVpreA-LAVmin)/LAVpreA; and left atrial expansion index (LAEI) = (LAVmax-LAVmin)/LAVmin. The LA function parameters include the left atrial storage period strain (LASr), the left atrial conduit period strain (LAScd), the left atrial systolic period strain (LASct), and the corresponding left atrial storage period circumferential strain (LASr-c), left atrial ductile period circumferential strain (LAScd-c), and left atrial systolic period circumferential strain (LASct-c) (16). Among them, LAEI, LASr, and LASr-c represent the storage function of the left atrium; LAPEF, LAScd, and LAScd-c represent the function of the LA duct; and LAAEF, LASct, and LASct-c represent the active contraction pump function of the left atrium. All parameters were averaged twice.
Statistical methods
The SPSS 26.0 statistical software (IBM Corp., Armonk, NY, USA) was used for data analysis. For continuous variables, when the data followed a normal distribution, they were expressed as mean ± standard deviation (SD), and comparisons between groups were performed using the independent samples t-test. When the data did not follow a normal distribution, they were expressed as median (interquartile range), and the Mann-Whitney U test was used for comparisons between groups. Categorical variables were expressed as percentages using chi-square tests. Continuous variables conforming to a normal distribution were tested for correlation using Pearson’s correlation coefficient method and non-normal using Spearman’s correlation analysis. To compare the correlation between LASr and N-terminal pro-B-type natriuretic peptide (NT-proBNP), E/e’, LAVImax, LAEI, and LVGLS, and to analyze the diagnostic effect of the LA emptying rate parameter and strain parameter on the diagnosis of NYHA class III and IV in patients with severe AS with preserved ejection fraction by using the receiver operating characteristic (ROC) curve. Initially, univariate logistic regression analysis was used to assess the effect of the above parameters on heart failure symptoms in severe AS patients with preserved ejection fraction. Subsequently, multivariate logistic regression analysis was performed on the basis of stepwise selection in order to identify the strongest predictors of heart failure symptoms. The inclusion criterion for a single variable to be entered into a multivariate logistic regression model was P<0.05. A total of 15 cases were randomly selected and analyzed for intra- and inter-observer consistency using intragroup correlation coefficients (ICC) to assess reproducibility.
Ethics
The study was conducted in accordance with the Declaration of Helsinki and its subsequent amendments. The study was approved by the Ethics Committee of the Fourth Affiliated Hospital of Harbin Medical University (No. 2025-218), and informed consent was provided by all individual participants.
Results
Comparison of general clinical data
Both the control group and the case group were in sinus rhythm, and there was no statistically significant difference between the two groups in terms of gender, age, height, weight, BSA, heart rate, systolic blood pressure (SBP), diastolic blood pressure (DBP), blood glucose, and total cholesterol (P>0.05); NT-proBNP in the case group was higher than that in the control group (P<0.05), as shown in Table 1.
Table 1
| Variable | Control group (n=56) | Case group (n=56) | t/χ2/Z | P value |
|---|---|---|---|---|
| Female | 22 (39.3) | 25 (44.6) | 0.330 | 0.566 |
| Age (years) | 68.93±5.96 | 68.70±6.32 | 0.200 | 0.842 |
| Height (cm) | 165.30±7.87 | 165.64±6.30 | −0.252 | 0.802 |
| Weight (kg) | 65.75±12.32 | 65.11±10.39 | 0.298 | 0.766 |
| BSA (m2) | 1.69±0.20 | 1.70±0.15 | −0.301 | 0.764 |
| SBP (mmHg) | 119.95±8.42 | 121.80±8.58 | −1.155 | 0.250 |
| DBP (mmHg) | 73.07±7.16 | 73.38±7.68 | −0.216 | 0.829 |
| Heart rate (bpm) | 71.00±6.11 | 74.02±9.87 | −1.944 | 0.054 |
| Blood glucose (mmol/L) | 5.30±0.69 | 5.46±0.74 | −1.161 | 0.248 |
| Total cholesterol (mmol/L) | 5.59±0.69 | 5.83±0.63 | −1.926 | 0.057 |
| NYHA | – | – | ||
| I | 0 | 4 (7.1) | ||
| II | 0 | 26 (46.4) | ||
| III | 0 | 21 (37.5) | ||
| IV | 0 | 5 (8.9) | ||
| NT-proBNP (pg/mL) | 49 (35.25–65.5) | 1,006.5*** (817.75–1,556.5) | −9.125 | 0.000 |
Data are expressed as n (%), median (interquartile range) or mean ± standard deviation. ***, P<0.001. BSA, body surface area; DBP, diastolic blood pressure; NT-proBNP, the N-terminal brain natriuretic peptide; NYHA, New York Heart Association; SBP, systolic blood pressure.
Comparison of conventional echocardiographic parameters
Compared with the control group, the differences in LVEDd, EDV, ESV, LVEF, and E/A in the case group were not statistically significant (P>0.05); LAD, IVSd, LVPWd, mean E/e’, AVmax, peak aortic valve (AV) gradient, and mean AV gradient were increased, and LVGLS, septal lateral e’, LV lateral wall lateral e’, and aortic valve orifice area (AVA) decreased (P<0.05), as shown in Table 2.
Table 2
| Variable | Control group (n=56) | Case group (n=56) | T value | P value |
|---|---|---|---|---|
| LAd (mm) | 31.25±1.67 | 35.07±6.09 | −3.830** | <0.005 |
| LVEDd (mm) | 43.40±2.43 | 44.05±2.33 | −1.219 | 0.226 |
| EDV (mL) | 97.50±9.61 | 101.5±12.06 | −1.640 | 0.105 |
| ESV (mL) | 40.57±4.74 | 42.37±6.20 | −1.458 | 0.149 |
| LVGLS (%) | −22.29±1.49 | −14.29±3.38 | −13.659*** | <0.001 |
| LVEF (%) | 58.25±3.82 | 57.02±4.48 | 1.611 | 0.111 |
| IVSd (mm) | 9.35±1.02 | 12.02±0.97 | −11.957** | <0.005 |
| LVPWd (mm) | 9.45±0.81 | 11.87±0.85 | −13.001** | <0.005 |
| e’ sep (cm/s) | 9.97±0.99 | 4.17±1.11 | 24.595** | <0.005 |
| e’ lat (cm/s) | 10.20±1.72 | 4.02±0.81 | 20.512** | <0.005 |
| E/A | 1.25±0.37 | 1.12±0.40 | 1.497 | 0.138 |
| E/e’ | 7.75±1.36 | 16.55±3.82 | −13.700** | <0.005 |
| AVA (cm²) | 2.77±0.20 | 0.58±0.15 | 54.777** | <0.005 |
| AVmax (cm/s) | 147.17±16.13 | 460.42±36.65 | −49.473** | <0.005 |
| Peak AV gradient (mmHg) | 8.00±2.20 | 84.35±14.44 | −33.042** | <0.005 |
| Mean AV gradient (mmHg) | 3.45±1.25 | 50.57±10.08 | −29.328** | <0.005 |
Data are expressed as mean ± standard deviation. **, P<0.01; ***, P<0.001. A, peak late diastolic mitral flow velocity; AV, aortic valve; AVmax, peak aortic valve flow velocity; AVA, aortic valve orifice area; e’, early diastolic mitral annular velocity; E, peak early diastolic mitral flow velocity; EDV, left ventricular end-diastolic volume; ESV, left ventricular end-systolic volume; IVSd, interventricular septal thickness at end diastole; LAd, left atrial internal diameter; LVEDd, left ventricular end-diastolic internal diameter; LVEF, left ventricular ejection fraction; LVGLS, left ventricular global longitudinal strain; LVPWd, left ventricular posterior wall thickness at end diastolic; Mean AV gradient, mean aortic valve differential pressure; Peak AV gradient, peak aortic valve differential pressure.
Comparison of the left atrial parameters
Compared with the control group, the LA volume parameters LAVmax, LAVmin, LAVpreA, LAVImax, LAVImin, and LAVIpreA in the case group increased (P<0.05).
Compared with the control group, the absolute values of LA function parameters LAEI, LAAEF, LAPEF, LATEF, LASr, LAScd, LASct, LASr-c, LAScd-c, and LASct-c in the case group decreased (P<0.05), as shown in Table 3.
Table 3
| Variable | Control group (n=56) | Case group (n=56) | T value | P value |
|---|---|---|---|---|
| Left atrial volume parameters | ||||
| LAVmax | 47.64±11.24 | 73.46±14.18 | −10.673*** | 0.000 |
| LAVmin | 20.71±5.84 | 36.96±7.33 | −12.964*** | 0.000 |
| LAVpreA | 32.98±9.57 | 57.57±13.78 | −10.960*** | 0.000 |
| LAVImax | 28.57±7.79 | 43.55±8.46 | −9.743*** | 0.000 |
| LAVImin | 12.48±3.82 | 21.85±4.24 | −12.274*** | 0.000 |
| LAVIpreA | 19.80±6.43 | 34.07±8.09 | −10.326*** | 0.000 |
| Left atrial functional parameters | ||||
| LAEI (%) | 135.83±38.61 | 102.91±15.56 | 5.919*** | 0.000 |
| LAAEF (%) | 39.62±10.55 | 34.53±8.90 | 2.757** | 0.007 |
| LAPEF (%) | 31.05±9.90 | 22.03±8.29 | 5.226*** | 0.000 |
| LATEF (%) | 56.50±7.14 | 49.62±3.93 | 6.306*** | 0.000 |
| LASr | 25.62±2.47 | 17.03±4.11 | 13.392*** | 0.000 |
| LAScd | −16.16±4.51 | −10.85±3.91 | 6.641*** | 0.000 |
| LASct | −14.14±2.59 | −10.75±3.10 | 6.272*** | 0.000 |
| LASr-c | 27.21±4.78 | 19.97±3.15 | 9.538*** | 0.000 |
| LAScd-c | −13.73±2.86 | −10.85±2.76 | 5.398*** | 0.000 |
| LASct-c | −17.39±5.63 | −11.48±2.64 | 7.105*** | 0.000 |
Data are expressed as mean ± standard deviation. **, P<0.01; ***, P<0.001. LAVmax, left atrial maximum volume; LAVmin, left atrial minimum volume; LAVpreA, left atrial presystolic volume; LAVImax, left atrial maximum volume index; LAVImin, left atrial minimum volume index; LAVIpreA, left atrial presystolic volume index; LAEI, left atrial dilatation index; LAAEF, left atrial active ejection fraction; LAPEF, left atrial passive ejection fraction; LATEF, left atrial total ejection fraction; LASr, left atrial storage period longitudinal strain; LAScd, left atrial conduit period longitudinal strain; LASct, left atrial systolic period longitudinal strain; LASr-c, left atrial storage period circumferential strain; LAScd-c, left atrial conduit period circumferential strain; LASct-c, left atrial systolic period circumferential strain.
Comparing subgroup A with subgroup B, there was no statistically significant difference in LAAEF, LAPEF, and LATEF between the two groups (P>0.05). Compared to subgroup A, subgroup B showed increased LAVImax and decreased LAEI, LASr, LAScd, LASct, LASr-c, LAScd-c, and LASct-c, all of which were statistically significant (P<0.05), as shown in Table 4.
Table 4
| Variable | Subgroup A | Subgroup B | T value | P value |
|---|---|---|---|---|
| LAVImax | 41.46±2.79 | 45.96±6.00 | −2.038* | 0.047 |
| LASr | 19.26±3.87 | 14.46±2.62 | 5.343*** | 0.000 |
| LAScd | −11.83±3.85 | −9.73±3.73 | 2.006* | 0.044 |
| LASct | −11.53±2.94 | −9.84±3.09 | 2.089* | 0.041 |
| LASr-c | 20.70±3.06 | 19.00±3.07 | 2.068* | 0.043 |
| LAScd-c | −11.53±2.52 | −10.65±3.23 | 2.037* | 0.048 |
| LASct-c | −12.13±2.92 | −10.73±2.10 | 2.031* | 0.047 |
| LAEI (%) | 109.83±15.67 | 94.92±11.13 | 4.044*** | 0.000 |
| LAAEF (%) | 35.16±9.27 | 33.80±8.57 | 0.566 | 0.574 |
| LAPEF (%) | 22.93±7.40 | 27.10±2.95 | 0.868 | 0.389 |
| LATEF (%) | 50.53±4.49 | 48.57±2.92 | 1.897 | 0.063 |
Data are expressed as mean ± standard deviation. *, P<0.05; ***, P<0.001. LAVImax, left atrial maximum volume index; LASr, left atrial storage period longitudinal strain; LAScd, left atrial conduit period longitudinal strain; LASct, left atrial systolic period longitudinal strain; LASr-c, left atrial storage period circumferential strain; LAScd-c, left atrial conduit period circumferential strain; LASct-c, left atrial systolic period circumferential strain; LAEI, left atrial dilatation index; LAAEF, left atrial active ejection fraction; LAPEF, left atrial passive ejection fraction; LATEF, left atrial total ejection fraction.
Correlation analysis
LASr was significantly negatively correlated with NT-proBNP, E/e’, and LAVImax (r=–0.755, –0.669, –0.624, all P<0.001), and significantly positively correlated with LAEI and LVGLS (r=0.464, 0.699, all P<0.001).
ROC curve analysis
The results of the ROC curves for the LA emptying rate parameter and the strain parameter showed relatively large area under the curves (AUCs) for NYHA class III and IV in patients with severe AS with preserved ejection fraction as predicted by LASr and LAEI. LASr: AUC was 0.855, cutoff value 16.5%, sensitivity 76.7%, specificity 80%, Youden index 0.575. LAEI: AUC was 0.778, cutoff value 97%, sensitivity 80.0%, specificity 65.4%, Youden index 0.454 (Figures 5,6). LASr combined with LAEI predicted preserved ejection fraction of the ROC curves for NYHA class III and IV in patients with severe AS, with an AUC of 0.897, sensitivity of 70.0%, specificity of 96.2%, and Youden index of 0.662 (Figure 7).
Multifactor logistic regression analysis
LA volume, emptying rate parameters, and strain parameters LAVImax, LAEI, LASr, LAScd, LASct, LASr-c, LAScd-c, and LASct-c were included as covariates in logistic regression analysis, and the results of the univariate regression analysis showed that LAVImax, LAEI, LASr, LAScd, LASct, and LASr-c were associated with significant heart failure symptoms in severe AS with preserved ejection fraction, and the results of multivariate regression analysis showed that LASr and LAEI were positive predictive factors for severe AS patients with preserved ejection fraction for development or presence of class III and IV heart failure, as shown in Table 5.
Table 5
| Factor | Univariate regression analysis | Multivariate regression analysis | |||
|---|---|---|---|---|---|
| OR (95% CI) | P | OR (95% CI) | P | ||
| LAVImax | 1.248 (1.062–1.466) | 0.007 | 1.167 (0.907–1.503) | 0.230 | |
| LAEI | 0.919 (0.874–0.968) | 0.001 | 0.919 (0.848–0.996) | 0.041 | |
| LASr | 0.632 (0.491–0.813) | 0.000 | 0.585 (0.408–0.839) | 0.004 | |
| LAScd | 0.861 (0.741–1.000) | 0.050 | 0.813 (0.629–1.051) | 0.114 | |
| LASct | 0.828 (0.687–0.998) | 0.047 | 0.884 (0.669–1.169) | 0.388 | |
| LASr-c | 0.832 (0.694–0.999) | 0.048 | 0.963 (0.705–1.313) | 0.810 | |
| LAScd-c | 0.816 (0.663–1.003) | 0.053 | |||
| LASct-c | 0.802 (0.641–1.004) | 0.054 | |||
CI, confidence interval; LAEI, left atrial dilatation index; LAVImax, left atrial maximum volume index; LASr, left atrial storage period longitudinal strain; LAScd, left atrial conduit period longitudinal strain; LASct, left atrial systolic period longitudinal strain; LASr-c, left atrial storage period circumferential strain; LAScd-c, left atrial conduit period circumferential strain; LASct-c, left atrial systolic period circumferential strain; OR, odds ratio.
Repeatability test
All LA emptying rate parameters and strain parameters had good intra- and inter-observer consistency. The intra-group correlation coefficients of LAEI, LAPF, LAAEF, LASr, LAScd, LASct, LASr-c, LAScd-c, LASct-c were 0.902, 0.937, 0.943, 0.923, 0.907, 0.849, 0.935, 0.892, and 0.894, respectively, and the intra-group inter-observer correlation coefficients were 0.864, 0.853, 0.883, 0.892, 0.815, 0.872, 0.801, 0.887, 0.820, and 0.815, respectively, as shown in Table 6.
Table 6
| Variable | Intra-observer | Inter-observer | |||
|---|---|---|---|---|---|
| ICC | 95% CI | ICC | 95% CI | ||
| LAEI | 0.934 | 0.822–0.986 | 0.864 | 0.715–0.952 | |
| LAPEF | 0.902 | 0.733–0.966 | 0.853 | 0.697–0.943 | |
| LAAEF | 0.937 | 0.820–0.978 | 0.883 | 0.752–0.955 | |
| LATEF | 0.943 | 0.716–0.984 | 0.892 | 0.768–0959 | |
| LASr | 0.923 | 0.792–0.973 | 0.815 | 0.625–0.927 | |
| LAScd | 0.907 | 0.745–0.968 | 0.872 | 0.699–0.953 | |
| LASct | 0.849 | 0.611–0.947 | 0.801 | 0.604–0.920 | |
| LASr-c | 0.935 | 0.817–0.978 | 0.887 | 0.817–0.978 | |
| LAScd-c | 0.892 | 0.642–0.965 | 0.820 | 0.627–0.930 | |
| LASct-c | 0.894 | 0.615–0.967 | 0.815 | 0.609–0.928 | |
CI, confidence interval; ICC, intragroup correlation coefficient; LAAEF, left atrial active ejection fraction; LAEI, left atrial expansion index; LAPEF, left atrial passive ejection fraction; LATEF, left atrial total ejection fraction; LAScd, left atrial conduit period longitudinal strain; LAScd-c, left atrial conduit period circumferential strain; LASr, left atrial storage period longitudinal strain; LASr-c, left atrial storage period circumferential strain; LASct, left atrial systolic period longitudinal strain; LASct-c, left atrial systolic period circumferential strain; LAVImax, left atrial maximum volume index.
Discussion
The main conclusions of this study are as follows: (I) LA function is impaired in patients with severe AS with preserved ejection fraction; (II) LA function parameters are the target of echocardiographic detection for heart failure symptoms in patients with severe AS with preserved ejection fraction; (III) LASr and LAEI are positive predictive factors for severe AS patients with preserved ejection fraction for development or presence of NYHA class III and IV heart failure.
The results of routine echocardiography in this study showed that LAD, IVSd, LVPWd, AVmax, Peak AV gradient, Mean AV gradient, and E/e’ were greater in the severe AS group with preserved ejection fraction than in the control group; LVGLS was reduced compared to the control group with a statistically significant difference; LVEDd, EDV, ESV, LVEF, and E/A were not statistically different from the control group. It showed that patients in the severe AS group had LV wall hypertrophy, enlarged LA, and reduced LV diastolic function. When the LV pressure load increases, early LV wall tension is elevated, leading to centripetal LV hypertrophy and remodeling to maintain normal LVEF. With the progressive course of severe AS, once LV systolic function is lost, further remodeling of LV structure occurs, LV enlargement occurs, LV end-diastolic pressure further increases, and LA further enlarges. Conventional echocardiographic measurement of LVEF does not objectively reflect the LV contractile function in severe AS. Currently, tissue Doppler and speckle tracking techniques are the two main methods for evaluating myocardial mechanics, The former is limited by its angle dependence. Speckle tracking technology evaluates the local and overall function of the myocardium by tracking the spots generated by the interaction between ultrasound and heart tissue frame by frame (17-19). Compared with LVEF, LVGLS is able to respond more sensitively and accurately to myocardial mechanical changes in the left ventricle, and studies have confirmed the ability of LVGLS to detect functional abnormalities in the subclinical phase of the myocardium (20,21).
The function of the three phases of LA is closely related to LV function and plays a key role in regulating LV filling (22). LA reserve function is regulated by LV systolic function and represents LA diastole and compliance. LA conduit function is dependent on LV diastolic function. LA pump function is influenced by LA intrinsic contractility and late LV diastolic function (23). Studies have confirmed that patients with valvular heart disease have reduced LVGLS before LVEF reduction or LV dilatation (24). When combined with reduced LV diastolic function, LA dysfunction may have occurred before LVGLS was significantly reduced.
The comparison results of LA parameters in this study showed that the LA volume parameters (LAVmax, LAVmin, LAVpreA, LAVImax, LAVImin, LAVIpreA) in the severe AS group with preserved ejection fraction were higher than those in the control group (P<0.05). The LA emptying rate parameters (LAEI, LAAEF, LAPEF, LATEF) were lower than those in the control group (P<0.05). The absolute values of LA strain parameters (LASr, LAScd, LASct, LASr-c, LAScd-c, LASct-c) were lower than those in the control group (P<0.05). This suggests that LA reserve, conduit, and pump function re reduced in patients with severe AS with preserved ejection fraction compared with controls. At the same time, LV hypertrophy and increased ventricular wall tension in these patients lead to increased LV diastolic filling pressure, increasing the posterior resistance load on the LA. LA undergoes a functional compensation phase in accordance with the Frank-Starling law, whereby its contractile function increases to compensate for elevated afterload. When the LV afterload exceeds the compensatory capacity of the Frank-Starling mechanism, the diastolic filling pressure within the left ventricle rises further. This elevated LV diastolic filling pressure increases the afterload on the left atrium. The increased afterload leads to significant remodeling of the left atrium, causing it to expand further. When the LA myocardium is stretched beyond its optimal initial length, LA function becomes decompensated. This decompensation reduces the left atrium’s deformation capacity. Consequently, both LA contractile deformation and diastolic deformation decrease, resulting in impaired overall LA function.
According to the NYHA cardiac function classification criteria, the severe AS group with preserved ejection fraction was divided into subgroup A and subgroup B. Subgroup A consisted of patients with cardiac function grades I and II without significant heart failure symptoms, and subgroup B consisted of patients with cardiac function grades III and IV accompanied by significant heart failure symptoms, as the results of the study in the two subgroups showed: among the LA emptying rate parameters, LAAEF, LAPEF, and LATEF were not statistically different between the two groups (P>0.05). Compared with subgroup A, the LAVImax of subgroup B increased (P<0.05), and the LAEI reflecting LA reserve function was lower than that of the control group (P<0.05). The absolute values of longitudinal strain (LASr, LAScd, LASct) and circumferential strain (LASr-c, LAScd-c, LASct-c) in the three phases of LA decreased (P<0.05). The results of the correlation analysis in this study showed a significant negative correlation between LASr and NT-proBNP, E/e’, and LAVImax, and a significant positive correlation with LAEI and LVGLS. The ROC curve was used to predict the diagnostic efficacy of LA emptying rate parameters and strain parameters for heart failure in patients with severe AS with preserved ejection fraction: the AUC predicted by LASr and LAEI was the largest, 0.855 and 0.818, respectively. The cutoff values were 16.5% and 97%, respectively. The sensitivity was 76.7% and 83.3%, respectively. The specificity was 80% and 65.4%, respectively, and the Youden index was 0.575 and 0.487, respectively. The results of this study applied univariate regression analysis and showed that LAVImax, LAEI, and LASr were significantly associated with the presence of significant heart failure symptoms in patients with severe AS with preserved ejection fraction, and the results of multivariate regression analysis showed that LAEI and LASr were positive predictive factors for severe AS patients with preserved ejection fraction for development or presence of class III and IV heart failure. The above results indicate that the LA size of patients with severe AS with grade III and IV heart function and significant heart failure symptoms is larger than that of patients with grade I and II heart function and no significant heart failure symptoms, which is consistent with previous studies. In addition, symptomatic patients showed more pronounced LA dysfunction, characterized by significant impairment of LA reserve, pathway, and contractility. The parameters of LAVImax, LA longitudinal strain, and circumferential strain show high sensitivity in distinguishing the severity of heart failure in patients with severe AS heart failure who have preserved ejection fraction. The correlation analysis indicates that LA function parameters serve as key ultrasound detection targets for heart failure symptoms in patients with severe AS heart failure who have preserved ejection fraction, and are closely related to LV filling pressure and LV contractility. It is worth noting that in the ROC analysis, the AUC of LASr and LAEI was the largest, which indicated that the LA emptying rate parameter and strain parameter representing the LA reserve function were sensitive to identify patients with severe AS with significant heart failure symptoms with ejection fraction retention. Through multi-factor logistic regression analysis, it was further revealed that LAEI and LASr were positive predictive factors for severe AS patients with preserved ejection fraction for development or presence of class III and IV heart failure. The cutoff values of LASr and LAEI provide valuable information for the clinical diagnosis of severe AS patients with heart failure with preserved ejection fraction, and the results of these findings are similar to those of Mateescu et al. (25).
This study had some limitations: (I) the real-time 3D Auto LAQ technique requires high quality of two-dimensional images, and the results will be biased in patients with poor image quality or unclear endocardial display; (II) this clinical trial was a single-center study with a small sample size, and it is necessary to expand the sample size in the future to further evaluate and validate the experimental results; (III) clinical assessment of the heart failure symptoms of patients with AS is somewhat subjective. Although exercise testing has been shown to be helpful in differentiating between asymptomatic and symptomatic patients with heart failure, most of the patients in this study were elderly, and it was difficult to perform exercise load testing.
Conclusions
The assessment of LA volume and function by real-time 3D Auto LAQ provides a new perspective and method for clinical diagnostic decision-making in the determination of cardiac function in patients with severe AS with preserved ejection fraction, among which LASr and LAEI, which represent the reserve function of LA, have relatively large AUCs for predicting the diagnostic efficacy in patients with severe AS with preserved ejection fraction in NYHA class III and IV. Among the parameters of LA function, LAEI and LASr were positive predictors of heart failure symptoms in patients with severe AS with preserved ejection fraction. Compared with conventional echocardiographic parameters, 3D Auto LAQ is faster, more accurate, and more reproducible, and has high clinical utility and popularization value.
Acknowledgments
None.
Footnote
Reporting Checklist: The authors have completed the STROBE reporting checklist. Available at https://qims.amegroups.com/article/view/10.21037/qims-2025-535/rc
Data Sharing Statement: Available at https://qims.amegroups.com/article/view/10.21037/qims-2025-535/dss
Funding: The study was funded by
Conflicts of Interest: All authors have completed the ICMJE uniform disclosure form (available at https://qims.amegroups.com/article/view/10.21037/qims-2025-535/coif). All authors report the funding from Heilongjiang Provincial Natural Science Foundation (No. PL2024H156); Project of Heilongjiang Provincial Health Commission (No. 20230909020093); Special funded project of the Fourth Affiliated Hospital of Harbin Medical University (No. HYDSYTB202226). The authors have no other conflicts of interest to declare.
Ethical Statement: The authors are accountable for all aspects of the work in ensuring that questions related to the accuracy or integrity of any part of the work are appropriately investigated and resolved. The study was conducted in accordance with the Declaration of Helsinki and its subsequent amendments. The study was approved by the Ethics Committee of the Fourth Affiliated Hospital of Harbin Medical University (No. 2025-218), and informed consent was provided by all individual participants.
Open Access Statement: This is an Open Access article distributed in accordance with the Creative Commons Attribution-NonCommercial-NoDerivs 4.0 International License (CC BY-NC-ND 4.0), which permits the non-commercial replication and distribution of the article with the strict proviso that no changes or edits are made and the original work is properly cited (including links to both the formal publication through the relevant DOI and the license). See: https://creativecommons.org/licenses/by-nc-nd/4.0/.
References
- Iung B, Baron G, Butchart EG, Delahaye F, Gohlke-Bärwolf C, Levang OW, Tornos P, Vanoverschelde JL, Vermeer F, Boersma E, Ravaud P, Vahanian A. A prospective survey of patients with valvular heart disease in Europe: The Euro Heart Survey on Valvular Heart Disease. Eur Heart J 2003;24:1231-43. [Crossref] [PubMed]
- Jabbour RJ, Dick R, Walton AS. Aortic balloon valvuloplasty--review and case series. Heart Lung Circ 2008;17:S73-81. [Crossref] [PubMed]
- Joseph J, Naqvi SY, Giri J, Goldberg S. Aortic Stenosis: Pathophysiology, Diagnosis, and Therapy. Am J Med 2017;130:253-63. [Crossref] [PubMed]
- Lancellotti P, Donal E, Magne J, Moonen M, O'Connor K, Daubert JC, Pierard LA. Risk stratification in asymptomatic moderate to severe aortic stenosis: the importance of the valvular, arterial and ventricular interplay. Heart 2010;96:1364-71. [Crossref] [PubMed]
- Pellikka PA, Sarano ME, Nishimura RA, Malouf JF, Bailey KR, Scott CG, Barnes ME, Tajik AJ. Outcome of 622 adults with asymptomatic, hemodynamically significant aortic stenosis during prolonged follow-up. Circulation 2005;111:3290-5. [Crossref] [PubMed]
- Dahl JS, Christensen NL, Videbæk L, Poulsen MK, Carter-Storch R, Hey TM, Pellikka PA, Steffensen FH, Møller JE. Left ventricular diastolic function is associated with symptom status in severe aortic valve stenosis. Circ Cardiovasc Imaging 2014;7:142-8. [Crossref] [PubMed]
- Stewart RA, Kerr AJ, Whalley GA, Legget ME, Zeng I, Williams MJ, Lainchbury J, Hamer A, Doughty R, Richards MA, White HD. Left ventricular systolic and diastolic function assessed by tissue Doppler imaging and outcome in asymptomatic aortic stenosis. Eur Heart J 2010;31:2216-22. [Crossref] [PubMed]
- Motoi K, Iwano H, Ishizaka S, Nakamura K, Tamaki Y, Aoyagi H, Nakabachi M, Yokoyama S, Nishino H, Murayama M, Kaga S, Anzai T. Paradoxical increase in global longitudinal strain by handgrip exercise despite left ventricular diastolic dysfunction. Echocardiography 2023;40:810-21. [Crossref] [PubMed]
- Sanchis L, Gabrielli L, Andrea R, Falces C, Duchateau N, Perez-Villa F, Bijnens B, Sitges M. Left atrial dysfunction relates to symptom onset in patients with heart failure and preserved left ventricular ejection fraction. Eur Heart J Cardiovasc Imaging 2015;16:62-7. [Crossref] [PubMed]
- Roşca M, Popescu BA, Beladan CC, Călin A, Muraru D, Popa EC, Lancellotti P, Enache R, Coman IM, Jurcuţ R, Ghionea M, Ginghină C. Left atrial dysfunction as a correlate of heart failure symptoms in hypertrophic cardiomyopathy. J Am Soc Echocardiogr 2010;23:1090-8. [Crossref] [PubMed]
- Sabatino J, De Rosa S, Leo I, Strangio A, La Bella S, Sorrentino S, Mongiardo A, Spaccarotella C, Polimeni A, Indolfi C. Early reduction of left atrial function predicts adverse clinical outcomes in patients with severe aortic stenosis undergoing transcatheter aortic valve replacement. Open Heart 2021;8:e001685. [Crossref] [PubMed]
- Popescu BA, Calin A, Beladan CC, Muraru D, Rosca M, Deleanu D, Lancellotti P, Antonini-Canterin F, Nicolosi GL, Ginghina C. Left ventricular torsional dynamics in aortic stenosis: relationship between left ventricular untwisting and filling pressures. A two-dimensional speckle tracking study. Eur J Echocardiogr 2010;11:406-13. [Crossref] [PubMed]
- Pibarot P, Dumesnil JG. Assessment of aortic stenosis severity: check the valve but don’t forget the arteries! Heart 2007;93:780-2. [Crossref] [PubMed]
- O'Connor K, Magne J, Rosca M, Piérard LA, Lancellotti P. Impact of aortic valve stenosis on left atrial phasic function. Am J Cardiol 2010;106:1157-62. [Crossref] [PubMed]
- The Chinese Society of Ultrasound in Medicine’s Echocardiography Group and the Expert Committee of the National Medical Quality Control Center for Ultrasound Diagnosis. Chinese Expert Consensus on the Standardized Application of Transesophageal Echocardiography (2024 Edition). Chinese Journal of Ultrasound in Medicine 2024;33:1-13.
- Ferkh A, Clark A, Thomas L. Left atrial phasic function: physiology, clinical assessment and prognostic value. Heart 2023;109:1661-9. [Crossref] [PubMed]
- Lan J, Wang Y, Zhang R, Li J, Yu T, Yin L, Shao T, Lu H, Wang C, Xue L. The value of speckle-tracking stratified strain combined with myocardial work measurement in evaluating left ventricular function in patients with heart failure with preserved ejection fraction. Quant Imaging Med Surg 2024;14:2514-27. [Crossref] [PubMed]
- Zhang Q, Yip GW, Yu CM. Approaching regional left atrial function by tissue Doppler velocity and strain imaging. Europace 2008;10:iii62-9. [Crossref] [PubMed]
- Cameli M, Caputo M, Mondillo S, Ballo P, Palmerini E, Lisi M, Marino E, Galderisi M. Feasibility and reference values of left atrial longitudinal strain imaging by two-dimensional speckle tracking. Cardiovasc Ultrasound 2009;7:6. [Crossref] [PubMed]
- Spilias N, Martyn T, Denby KJ, Harb SC, Popovic ZB, Kapadia SR. Left Ventricular Systolic Dysfunction in Aortic Stenosis: Pathophysiology, Diagnosis, Management, and Future Directions. Struct Heart 2022;6:100089. [Crossref] [PubMed]
- Naji P, Shah S, Svensson LG, Gillinov AM, Johnston DR, Rodriguez LL, Grimm RA, Griffin BP, Desai MY. Incremental Prognostic Use of Left Ventricular Global Longitudinal Strain in Asymptomatic/Minimally Symptomatic Patients With Severe Bioprosthetic Aortic Stenosis Undergoing Redo Aortic Valve Replacement. Circ Cardiovasc Imaging 2017;10:e005942. [Crossref] [PubMed]
- Cameli M, Mandoli GE, Loiacono F, Dini FL, Henein M, Mondillo S. Left atrial strain: a new parameter for assessment of left ventricular filling pressure. Heart Fail Rev 2016;21:65-76. [Crossref] [PubMed]
- Liang C, Yu D, Yu T, Li J, Xue L. Progress of echocardiography in the evaluation of left atrial function in patients with heart failure with preserved ejection fraction: a narrative review. Quant Imaging Med Surg 2024;14:9667-84. [Crossref] [PubMed]
- Cameli M, Mondillo S, Solari M, Righini FM, Andrei V, Contaldi C, De Marco E, Di Mauro M, Esposito R, Gallina S, Montisci R, Rossi A, Galderisi M, Nistri S, Agricola E, Mele D. Echocardiographic assessment of left ventricular systolic function: from ejection fraction to torsion. Heart Fail Rev 2016;21:77-94. [Crossref] [PubMed]
- Mateescu AD, Călin A, Beladan CC, Roşca M, Enache R, Băicuş C, Botezatu S, Ginghină C, Popescu BA. Left Atrial Dysfunction as an Independent Correlate of Heart Failure Symptoms in Patients With Severe Aortic Stenosis and Preserved Left Ventricular Ejection Fraction. J Am Soc Echocardiogr 2019;32:257-66. [Crossref] [PubMed]

