Preoperative contrast-enhanced CT for predicting the macrotrabecular-massive subtype and its prognostic significance in hepatocellular carcinoma
Introduction
Primary liver cancer ranks as the sixth most prevalent malignant tumor and the third leading cause of tumor-related mortality in the world, with hepatocellular carcinoma (HCC) constituting approximately 85–90% of primary liver cancer cases (1,2). Furthermore, patients diagnosed with HCC typically exhibit a poor prognosis and a high rate of tumor recurrence, with rates ranging from 40% to 80% within five years post-surgery (3-5). The macrotrabecular-massive subtype of hepatocellular carcinoma (MTM-HCC) was specifically described as a histologic type of HCC with a poor prognosis in the fifth edition of the World Health Organization Classification of Tumors (6). MTM-HCC exhibits aggressive biological behavior and molecular characteristics (7-9), but has also been associated with poor prognosis after HCC surgery and antiangiogenic therapy (10,11). Therefore, the identification of MTM-HCC during pretreatment assessments may carry significant prognostic and therapeutic implications.
The American Association for the Study of Liver Diseases and the Liver Imaging Reporting and Data System (LI-RADS) (12,13) both assert that the clinical diagnosis of HCC can be established based on characteristic imaging findings in conjunction with clinical risk factors. Contrast-enhanced computed tomography (CECT) is currently the conventional imaging modality for HCC due to its high resolution, ease of image processing, and relatively low cost. However, the definitive diagnosis of MTM-HCC still necessitates histopathological evaluation. Previous studies have shown that substantial necrosis is associated with MTM-HCC; larger tumor size and arterial phase peritumoral enhancement are also more common in MTM-HCC (14-16). In addition, computed tomography/magnetic resonance imaging (CT/MRI) radiomics models have showed good predictive performance for MTM-HCC (17-19). However, radiomics feature extraction in clinical practice faces challenges—complex workflows, high learning curves, and lack of standardization—limiting widespread adoption (20). Conversely, histogram analysis, a straightforward and efficient method of image statistical analysis, has been shown to be capable of uncovering disease-related information at microscopic scales that are imperceptible to the human eye. Recently, several studies have suggested that histogram analysis may aid in predicting disease tissue subtypes, disease diagnosis, and response to treatments (21-23).
However, to date, no studies have employed machine learning (ML) techniques to predict MTM-HCC by CECT semantic and histogram features. Therefore, this study aimed to develop ML-based models for the diagnosis of MTM-HCC utilizing computed tomography (CT) semantic features and whole tumor histogram features, and to evaluate the prognostic significance for HCC. We present this article in accordance with the TRIPOD + AI reporting checklist (available at https://qims.amegroups.com/article/view/10.21037/qims-2024-2713/rc).
Methods
Participants
The study was conducted in accordance with the Declaration of Helsinki and its subsequent amendments. This study received approval from the Ethics Review Committee of the Southwest Medical University Affiliated Hospital (No. KY2022350) and was exempt from the requirement for informed consent. Radiological databases and clinical electronic medical records of HCC patients who underwent surgical resection at the Southwest Medical University Affiliated Hospital between October 2018 and December 2021 were reviewed. Pertinent clinical information and laboratory data were documented, and cases meeting the inclusion criteria were selected (Figure 1). The patient inclusion criteria were as follows: (I) HCC was pathologically confirmed after surgery; and (II) patients underwent CECT of the liver within one month before surgical resection. The exclusion criteria were as follows: (I) any preoperative local-regional treatments or chemotherapy; (II) combination with other major diagnoses, such as cholangiocarcinoma, gallbladder cancer, and so on; (III) unavailable for image analysis due to motion artifact; and (IV) clinical and laboratory data were unavailable.
Organizational pathology analysis
Histological slides from all surgically resected HCC specimens were independently reviewed by two experienced pathologists. Any discrepancies in their assessments were resolved through discussion until a consensus was achieved. The MTM subtype was characterized by a predominant macrotrabecular architectural pattern, defined as trabeculae greater than six cells in thickness, involving more than 50% of the tumor. Patients were subsequently categorized into MTM and non-MTM subtype groups based on this criterion. For patients presenting with multiple lesions, the analysis primarily focused on the largest tumor. Additionally, comprehensive histopathological data were recorded, including tumor size, number of lesions, degree of differentiation, presence of microvascular invasion, presence of cirrhosis, Ki67 index, and other relevant parameters.
CT image acquisition and preprocessing
All patients underwent liver CECT examination using a 64-section (Philips Brilliance; Philips, Amsterdam, the Netherlands), 128-section (GE Revolution; GE Healthcare, Milwaukee, WI, USA), or 256-section (Philips Brilliance; Philips) multidetector CT scanner within 3 months preceding treatment. Details are explained in Appendix 1 and Table S1. Images with a slice thickness of 5 mm in the arterial and portal venous phases were transmitted to the multi-modal research platform (DeepWise, V2.2.1, DeepWise, Beijing, China). At the same time, the voxel size was resampled by 1 mm × 1 mm × 1 mm (x, y, and z axes) using a linear interpolation algorithm to correct for voxel resolution changes related to acquisition.
CT feature extraction
The delineation of the region of interest (ROI) and the extraction of CECT image histogram parameters were performed using the software provided by DeepWise’s multimodal research platform (DeepWise V2.2.1). A radiologist with 7 years of experience in abdominal imaging, unaware of the clinical and pathological data of the patients, manually outlined the tumor ROI on images in the arterial and portal venous phases. Later, the whole-tumor histogram features were extracted by the platform, including mean, median, maximum, minimum, percentile, range, kurtosis, skewness, variance, and energy.
Image analysis
The CT images were evaluated by two experienced radiologists (L.P. and P.L.). In determining the semantic features of preoperative CT, when disagreements arose leading to inconsistency, a consultation with a third senior radiologist was sought to reach a consensus. If the patient had multiple tumor lesions, evaluation was based on the largest lesion. Image features were assessed according to LI-RADS version 2018 (13) and previous relevant studies (14-16). The corresponding definitions are illustrated in Table S2.
Consistency analysis
The consistency of semantic and histogram features in preoperative CT evaluations was assessed by two radiologists. One month later, another experienced physician randomly selected 30 patients for consistency analysis. Intra-class correlation coefficients (ICCs) or Kappa consistency tests were calculated to evaluate inter-observer reproducibility, in which ICCs were used for continuous variables and Kappa coefficients were used for categorical variables, respectively.
Model construction
The dataset was randomly split into training (70%) and test sets (30%). This study incorporated histogram features with the ICC ≥0.75 to develop models utilizing a set of ML algorithms [including support vector machine (SVM), AdaBoost, DecisionTree] provided by the DeepWise multimodal research platform. Then, the feature correlation analysis was used to eliminate the parameters with linear correlation coefficient >0.9 to alleviate the verbosity between features, and the number of cycles was set to 10 to search the hyper parameter (a method to find the better parameters and algorithm of the current model). Finally, according to the feature weight of the ML algorithm with the best comprehensive performance, the contributing histogram features were selected, and the three ML algorithms with the best comprehensive prediction performance were selected for comparison. The superparameter configuration of SVM, AdaBoost, and DecisionTree in different prediction models is shown in Table S3.
Patient follow-up after surgical resection
All patients would undergo dynamic CT or MRI routine follow-ups every 2–3 months within 6 months after surgeries, followed by radiological follow-ups every 3–6 months after 6 months, which includes abdominal ultrasound, CT, or MRI examinations. Early recurrence was defined as the discovery of intrahepatic or extrahepatic metastasis within 2 years after HCC resection.
Statistical methods
All statistical analyses were performed using the software SPSS 26.0 (IBM Corp., Armonk, NY, USA). Continuous variables were presented as mean ± standard deviation (SD) or median with interquartile range and compared using Student’s t-test or Mann-Whitney U test; categorical variables were expressed as frequencies and percentages and compared using the χ2 test or Fisher’s exact test. The inter-reader agreement was assessed by using the k statistic for qualitative variables or the ICCs for quantitative variables. Missing clinical/laboratory data were imputed using mean values.
Power analysis (α=0.05, β=0.2) indicated that a minimum of 100 samples were required for an area under the curve (AUC) >0.8. Univariable and multivariable logistic regression analyses were conducted to identify independent predictors of preoperative MTM-HCC. Model performance was evaluated using receiver operating characteristic (ROC) curves, with differences in the AUC compared using the DeLong test. Kaplan-Meier survival analysis curves were used to assess the correlation of early recurrence, with results analyzed using the log-rank test. All significance tests were two-sided, and a P value of <0.05 was considered statistically significant.
Results
Patient characteristics
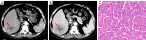
The final study sample comprised 122 patients with HCC [mean age: 53 years ±10 (SD); 102 males], among which 46 tumors (37.7%) were classified as MTM-HCCs. A lower proportion of MTM-HCC patients were over 55 years old [11 of 46 (23.9%) vs. 35 of 76 (46.1%); P=0.01]. The following characteristics were more prevalent in MTM-HCCs compared to non-MTM-HCCs: hepatitis B virus (HBV) or hepatitis C virus (HCV) infection [44 of 46 (95.7%) vs. 63 of 76 (82.9%); P=0.04], a-fetoprotein (AFP) levels ≥20 ng/mL [29 of 49 (63.0%) vs. 33 of 76 (43.4%); P=0.04], and microvascular invasion [24 of 46 (52.2%) vs. 25 of 76 (32.9%); P=0.04] (Table 1). Additionally, MTM-HCCs were shown to be more likely to exhibit substantial necrosis (Figure 2) on preoperative CECT [26 of 46 (56.5%) vs. 25 of 76 (32.9%); P=0.01]. Meanwhile, other preoperative CT semantic features did not show significant differences between MTM-HCCs and non-MTM-HCCs (Table 2).
Table 1
| Characteristics | MTM-HCCs (n=46) | Non-MTM-HCCs (n=76) | P value |
|---|---|---|---|
| Age (>55 years) | 11 (23.9) | 35 (46.1) | 0.01 |
| Male | 39 (84.8) | 63 (82.9) | 0.79 |
| HBV or HCV | 44 (95.7) | 63 (82.9) | 0.04 |
| AFP (≥20 ng/mL) | 29 (63.0) | 33 (43.4) | 0.04 |
| TBIL (μmol/L) | 15.0 (12.8, 18.9) | 13.9 (10.4, 18.3) | 0.25 |
| ALB (g/L) | 41.7 (39.3, 45.3) | 42.3 (39.2, 44.4) | 0.60 |
| PT (s) | 13.5 (13.1, 14.1) | 13.6 (13.0, 14.1) | 0.58 |
| GGT (U/L) | 56.7 (31.3, 87.4) | 45.5 (27.0, 88.7) | 0.21 |
| AST (U/L) | 36.7 (28.5, 53.5) | 34.6 (26.5, 46.0) | 0.41 |
| Tumor size (cm) | 5.5 (3.5, 8.0) | 4.5 (3.0, 6.8) | 0.10 |
| Multiple tumor | 6 (13.0) | 10 (13.2) | 0.99 |
| Cirrhosis | 0.35 | ||
| Absent | 13 (28.2) | 13 (17.1) | |
| Present | 24 (52.2) | 46 (60.5) | |
| Not mentioned | 9 (19.6) | 17 (22.4) | |
| Edmonson-Steiner grade | 0.28 | ||
| I or II | 8 (17.4) | 8 (10.5) | |
| III or IV | 38 (82.6) | 68 (89.5) | |
| Microvascular invasion | 24 (52.2) | 25 (32.9) | 0.04 |
| Ki-67 (>20%) | 27 (58.7) | 35 (46.1) | 0.18 |
Data are presented as n (%) or median (interquartile range). AFP, α-fetoprotein; ALB, albumin; AST, aspartate aminotransferase; GGT, γ-glutamyl transpeptidase; HBV, hepatitis B virus; HCC, hepatocellular carcinoma; HCV, hepatitis C virus; MTM, macrotrabecular-massive; PT, prothrombin time; TBIL, total bilirubin.
Table 2
| CT characteristics | Inter-reader agreement† | MTM-HCCs (n=46) | Non-MTM-HCCs (n=76) | P value |
|---|---|---|---|---|
| Intratumor arteries | 0.724 | 24 (52.2) | 39 (51.3) | 0.93 |
| Arterial phase hyperenhancement | 0.932 | 28 (60.9) | 51 (67.1) | 0.49 |
| Peritumoral arterial phase enhancement | 0.869 | 7 (15.2) | 12 (15.8) | 0.93 |
| Rim arterial phase hyperenhancement | 0.712 | 4 (8.7) | 6 (7.89) | >0.99 |
| Non-peripheral washout | 0.862 | 15 (32.6) | 33 (43.4) | 0.24 |
| Enhancing capsule | 0.630 | 8 (17.4) | 9 (11.8) | 0.39 |
| Substantial necrosis | 0.927 | 26 (56.5) | 25 (32.9) | 0.01 |
| Irregular tumor margins | 0.651 | 31 (67.4) | 44 (57.9) | 0.29 |
| Tumor size (cm) | 0.987 | 5.6 (4.0, 8.6) | 4.5 (3.3, 6.4) | 0.06 |
Data are presented as n (%) or median (interquartile range). †, assessed using the k statistic for qualitative variables and the intraclass correlation coefficient for quantitative variables. CT, computed tomography; MTM-HCC, macrotrabecular-massive hepatocellular carcinoma.
Univariable and multivariable logistic regression analyses
Univariable logistic regression analysis revealed that age over 55 years [odds ratio (OR) =0.37, 95% confidence interval (CI): 0.16–0.83; P=0.02], AFP levels ≥20 ng/mL (OR =2.22, 95% CI: 1.05–4.71; P=0.04), and substantial necrosis (OR =2.65, 95% CI: 1.25–5.64; P=0.01) were significantly associated with MTM-HCC (Table 3). However, multivariable logistic regression analysis identified substantial necrosis as the sole independent predictor of MTM-HCC (OR =2.23, 95% CI: 1.04–5.05; P=0.04) (Table 3).
Table 3
| Variable | Univariable | Multivariable | |||
|---|---|---|---|---|---|
| OR (95% CI) | P value | OR (95% CI) | P value | ||
| Age >55 years | 0.37 (0.16, 0.83) | 0.02 | – | 0.08 | |
| HBV or HCV | 4.54 (0.98, 21.12) | 0.054 | – | 0.15 | |
| AFP ≥20 ng/mL | 2.22 (1.05, 4.71) | 0.04 | – | 0.16 | |
| Substantial necrosis | 2.65 (1.25, 5.64) | 0.01 | 2.23 (1.04, 5.05) | 0.04 | |
AFP, alpha-fetoprotein; CI, confidence interval; HBV, hepatitis B virus; HCV, hepatitis C virus; MTM-HCC, macrotrabecular-massive hepatocellular carcinoma; OR, odds ratio.
Model construction
As demonstrated in Table S4, there were no statistically significant differences in the portal venous phase CT histogram features between MTM-HCCs and non-MTM-HCCs. Consequently, the portal venous phase histogram features were excluded from the predictive model. Arterial phase histogram features with an ICC ≥0.75 were selected for the development of initial histogram models. Among the arterial phase CT histogram features (Table 4), those with P values ≤0.1 included the 90th percentile, variance, and skewness, which are considered to have potential roles in model construction.
Table 4
| Histogram characteristics | Inter-reader agreement† | MTM-HCCs (n=46) | Non-MTM-HCCs (n=76) | P value |
|---|---|---|---|---|
| Mean | 0.763 (0.562, 0.879) | 59.8±11.5 | 62.2±13.0 | 0.30 |
| Median | 0.760 (0.558, 0.878) | 59.7±11.5 | 62.5±13.3 | 0.24 |
| Maximum | 0.891 (0.786, 0.947) | 127.0 (109.0, 157.0) | 122.0 (107.0, 152.0) | 0.58 |
| Minimum | 0.416 (0.075, 0.670) | −55.0 (−78.0, 0.0) | −68.0 (−174.0, 6.0) | 0.17 |
| Percentile (10%) | 0.793 (0.612, 0.895) | 43.2±12.4 | 43.3±12.3 | 0.94 |
| Percentile (90%) | 0.774 (0.580, 0.885) | 76.8±12.0 | 81.4±15.9 | 0.10 |
| Kurtosis | 0.734 (0.515, 0.863) | 5.5 (3.7, 11.0) | 6.6 (3.4, 15.5) | 0.61 |
| Skewness | 0.900 (0.803, 0.951) | −0.23 (−0.66, 0.31) | −0.35 (−1.36, 0.04) | 0.03 |
| Energy | 0.969 (0.937, 0.985) | 44,924,700,752 (11,330,409,524, 190,186,944,072) |
33,928,004,449 (13,091,872,191, 75,413,276,424) |
0.41 |
| Range | 0.640 (0.373, 0.810) | 177.0 (133.0, 255.0) | 197.0 (118.0, 344.0) | 0.45 |
| Variance | 0.870 (0.748, 0.936) | 162.6 (134.9, 269.0) | 250.2 (142.6, 368.0) | 0.05 |
Data are presented as median (interquartile range) or mean ± standard deviation unless otherwise specified. †, assessed using the k statistic, with 95% confidence intervals in parentheses. CT, computed tomography; MTM-HCC, macrotrabecular-massive hepatocellular carcinoma.
The initial histogram model, developed using the AdaBoost algorithm, demonstrated superior overall performance, and its feature weight table is shown in Table S5. In summary, the arterial phase histogram features [variance, skewness, maximum, energy, percentile (90%), median] and clinical imaging features (age >55 years, HBV or HCV infection, AFP ≥20 ng/mL, and substantial necrosis) were incorporated to construct the final MTM prediction model.
Model evaluation
The final prediction models constructed based on the AdaBoost algorithm performed the best (Table 5). In the comparative analysis, the clinicoradiological histogram model demonstrated superior performance on both the training and test datasets, achieving AUC values of 0.917 (95% CI: 0.862–0.973) and 0.853 (95% CI: 0.728–0.977), respectively. The histogram model ranked second, with AUC values of 0.907 (95% CI: 0.847–0.966) for the training set and 0.846 (95% CI: 0.720–0.972) for the test set. In contrast, the clinicoradiological model exhibited suboptimal performance, with AUC values of 0.712 (95% CI: 0.601–0.823) and 0.685 (95% CI: 0.507–0.863) for the training and test sets, respectively (Table 5).
Table 5
| Models | AUC (95% CI) | Sensitivity | Specificity | PPV | NPV |
|---|---|---|---|---|---|
| Histogram models | |||||
| AdaBoost | |||||
| Training set | 0.907 (0.847, 0.966) | 0.750 | 0.830 | 0.727 | 0.846 |
| Test set | 0.846 (0.720, 0.972) | 0.714 | 0.826 | 0.714 | 0.826 |
| SVM | |||||
| Training set | 0.820 (0.729, 0.911) | 0.719 | 0.755 | 0.639 | 0.816 |
| Test set | 0.795 (0.649, 0.941) | 0.714 | 0.696 | 0.588 | 0.800 |
| Decision Tree | |||||
| Training set | 0.821 (0.749, 0.892) | 0.906 | 0.660 | 0.617 | 0.921 |
| Test set | 0.770 (0.619, 0.921) | 0.571 | 0.826 | 0.667 | 0.760 |
| Clinicoradiological models | |||||
| AdaBoost | |||||
| Training set | 0.712 (0.601, 0.823) | 0.375 | 0.925 | 0.75 | 0.710 |
| Test set | 0.685 (0.507, 0.863) | 0.286 | 0.957 | 0.8 | 0.688 |
| SVM | |||||
| Training set | 0.741 (0.628, 0.854) | 0.594 | 0.830 | 0.679 | 0.772 |
| Test set | 0.713 (0.537, 0.889) | 0.357 | 0.913 | 0.714 | 0.700 |
| Decision Tree | |||||
| Training set | 0.731 (0.627, 0.836) | 0.406 | 0.849 | 0.619 | 0.703 |
| Test set | 0.643 (0.463, 0.823) | 0.286 | 0.826 | 0.500 | 0.655 |
| Clinicoradiological histogram models | |||||
| AdaBoost | |||||
| Training set | 0.917 (0.862, 0.973) | 0.656 | 0.925 | 0.84 | 0.817 |
| Test set | 0.853 (0.728, 0.977) | 0.571 | 0.826 | 0.667 | 0.760 |
| SVM | |||||
| Training set | 0.802 (0.703, 0.901) | 0.781 | 0.679 | 0.595 | 0.837 |
| Test set | 0.798 (0.655, 0.941) | 0.786 | 0.739 | 0.647 | 0.850 |
| Decision Tree | |||||
| Training set | 0.838 (0.772, 0.905) | 0.938 | 0.660 | 0.625 | 0.946 |
| Test set | 0.764 (0.610, 0.919) | 0.714 | 0.783 | 0.667 | 0.818 |
AUC, area under the curve; CI, confidence interval; HCC, hepatocellular carcinoma; MTM, macrotrabecular-massive; NPV, negative predictive value; PPV, positive predictive value; SVM, support vector machine.
By using the DeLong test, for the AdaBoost algorithm, pairwise comparisons were conducted for the AUCs of the clinicoradiological histogram model, histogram model, and clinicoradiological model. The results showed that in the training set, significant difference was observed for the AUC of the histogram model (P<0.01) and the clinicoradiological histogram model (P<0.01) compared to the clinicoradiological model, whereas there was no significant difference between the clinicoradiological histogram model and the histogram model (P=0.65) (Figure 3). In the test set, there was no significant difference in AUC among the three models (Figure S1).
Early recurrence
The Kaplan-Meier survival curve analysis (Figure 4A) indicated a significant association between MTM-HCC and early recurrence (P=0.020). Furthermore, the Kaplan-Meier survival analysis revealed a strong correlation between substantial necrosis and early recurrence (P=0.001) (Figure 4B). Patients exhibiting substantial necrosis demonstrated reduced early recurrence-free survival.
Discussion
This study developed ML-based models for the diagnosis of MTM-HCC utilizing CT semantic features and whole tumor histogram features, and evaluated the prognostic significance for HCC. The MTM-HCC as reported by Calderaro et al. (7) is significantly associated with poor prognosis, with higher early recurrence and overall recurrence rate (24). In our study, the MTM-HCC was observed in approximately 37.7% of HCC, in consistence with the report of Feng et al. (19). Statistically significant differences were observed between MTM-HCCs and non-MTM-HCCs in terms of patient age, HBV or HCV infection status, elevated AFP levels, microvascular invasion, and substantial necrosis. Furthermore, substantial necrosis was an independent predictor of MTM-HCC, as it reflects inadequate blood supply due to rapid tumor growth, indicating that the tumors were more aggressive, which had been confirmed by other studies (14,25,26).
We developed MTM-HCC prediction models utilizing various ML algorithms and evaluated their predictive performance. The model based on the AdaBoost algorithm demonstrated superior overall performance. At the same time, among the three models constructed based on the AdaBoost algorithm, the clinicoradiological histogram model performed the best and had good MTM prediction performance. Furthermore, Delong’s test showed significant differences for the clinicoradiological histogram model (P<0.01) and the histogram model (P<0.01) compared to the clinicoradiological model in the training set. In conclusion, our study indicated that arterial phase histogram features hold value for predicting MTM-HCC. However, the disadvantage of ML models is the lack of explicability. Our research platform may solve this problem in the near future.
Research by Calderaro et al. (7) indicates that MTM-HCC exhibits more promotion of neovascularization and endothelial sprouting factors such as endothelial-specific molecule 1 (ESM-1), angiopoietin-2 (Ang-2), and vascular endothelial growth factor A (VEGFA), suggesting that the poor prognosis of MTM-HCC may be due to activated angiogenesis. As tumors expand and tumor cell proliferation increases, cellular structure increases, leading to increased diffusion distance from existing vascular supply, resulting in hypoxia (27). Meanwhile, neo angiogenesis mainly occurs at the periphery of the tumor, whereas central tumor necrosis is prone to occur due to a rapid decrease in perfusion. In clinical practice, preoperative enhanced CT scans showing substantial necrosis may prompt consideration of lesion biopsy for treatment and prognosis purposes to improve preoperative diagnosis of MTM-HCC. However, previous studies have shown that the sensitivity (7.4–57%) and specificity (31.3–66%) of diagnosing MTM-HCC with substantial necrosis are unsatisfactory (28-30), and small HCCs rarely exhibit substantial necrosis.
The CT histogram analysis was simple and highly efficient and the clinicoradiological histogram model built based on the AdaBoost algorithm has good predictive performance. The 90% percentile, maximum, median, and variance of the histogram features describe the intensity and intensity dispersion of voxels in the tumor region, whereas the skewness and energy can reflect the heterogeneity of the tumor (31-33). At the same time, previous studies have shown that histogram features are helpful in tumor diagnosis and grading (34-36). Furthermore, our study further demonstrates the correlation between substantial necrosis and early recurrence in HCC patients.
This study has the following limitations. Firstly, this was a retrospective study, which is inherently susceptible to selection bias. Secondly, the sample size that met the inclusion criteria was limited, and the follow-up duration for patients was brief, thereby restricting the assessment to prognostic factors associated with early recurrence in surgically resected patients. Lastly, all participants were recruited from a single center, necessitating external validation. Single center study and sample size limit impact on statistical power and model generalizability of the prediction model. Consequently, it is imperative to prospectively gather larger, multicenter samples in future research to substantiate our findings.
Conclusions
Substantial necrosis observed on preoperative CECT serves as an independent predictor of MTM-HCC and is correlated with early recurrence of HCC. Furthermore, the clinicoradiological histogram model developed using the AdaBoost algorithm was shown to be effective for the preoperative and non-invasive prediction of MTM-HCC.
Acknowledgments
We acknowledge the support of the multi-modal research platform (DeepWise, V2.2.1, DeepWise, Beijing, China).
Footnote
Reporting Checklist: The authors have completed the TRIPOD + AI reporting checklist. Available at https://qims.amegroups.com/article/view/10.21037/qims-2024-2713/rc
Data Sharing Statement: Available at https://qims.amegroups.com/article/view/10.21037/qims-2024-2713/dss
Funding: This work was supported by
Conflicts of Interest: All authors have completed the ICMJE uniform disclosure form (available at https://qims.amegroups.com/article/view/10.21037/qims-2024-2713/coif). The authors have no conflicts of interest to declare.
Ethical Statement: The authors are accountable for all aspects of the work in ensuring that questions related to the accuracy or integrity of any part of the work are appropriately investigated and resolved. The study was conducted in accordance with the Declaration of Helsinki and its subsequent amendments. This study received approval from the Ethics Review Committee of the Southwest Medical University Affiliated Hospital (No. KY2022350) and was exempt from the requirement for informed consent.
Open Access Statement: This is an Open Access article distributed in accordance with the Creative Commons Attribution-NonCommercial-NoDerivs 4.0 International License (CC BY-NC-ND 4.0), which permits the non-commercial replication and distribution of the article with the strict proviso that no changes or edits are made and the original work is properly cited (including links to both the formal publication through the relevant DOI and the license). See: https://creativecommons.org/licenses/by-nc-nd/4.0/.
References
- Bray F, Laversanne M, Sung H, Ferlay J, Siegel RL, Soerjomataram I, Jemal A. Global cancer statistics 2022: GLOBOCAN estimates of incidence and mortality worldwide for 36 cancers in 185 countries. CA Cancer J Clin 2024;74:229-63. [Crossref] [PubMed]
- EASL Clinical Practice Guidelines. Management of hepatocellular carcinoma. J Hepatol 2018;69:182-236. [Crossref] [PubMed]
- General Office of National Health Commission. Standard for diagnosis and treatment of primary liver cancer (2022 edition). J Clin Hepatol 2022;38:306-321.
- Singal AG, Llovet JM, Yarchoan M, Mehta N, Heimbach JK, Dawson LA, Jou JH, Kulik LM, Agopian VG, Marrero JA, Mendiratta-Lala M, Brown DB, Rilling WS, Goyal L, Wei AC, Taddei TH. AASLD Practice Guidance on prevention, diagnosis, and treatment of hepatocellular carcinoma. Hepatology 2023;78:1922-65. [Crossref] [PubMed]
- Cancer Genome Atlas Research Network. Electronic address: wheeler@bcm.edu; Cancer Genome Atlas Research Network. Comprehensive and Integrative Genomic Characterization of Hepatocellular Carcinoma. Cell 2017;169:1327-1341.e23. [Crossref] [PubMed]
- Torbenson MS, Ng IOL, Park YN, Roncalli M, Sakamoto M. WHO Classification of Tumours of the Digestive System. 5th ed. Lyon: IARC Press; 2019:229-39.
- Calderaro J, Couchy G, Imbeaud S, Amaddeo G, Letouzé E, Blanc JF, Laurent C, Hajji Y, Azoulay D, Bioulac-Sage P, Nault JC, Zucman-Rossi J. Histological subtypes of hepatocellular carcinoma are related to gene mutations and molecular tumour classification. J Hepatol 2017;67:727-38. [Crossref] [PubMed]
- Boyault S, Rickman DS, de Reyniès A, Balabaud C, Rebouissou S, Jeannot E, Hérault A, Saric J, Belghiti J, Franco D, Bioulac-Sage P, Laurent-Puig P, Zucman-Rossi J. Transcriptome classification of HCC is related to gene alterations and to new therapeutic targets. Hepatology 2007;45:42-52. [Crossref] [PubMed]
- Hoshida Y, Nijman SM, Kobayashi M, Chan JA, Brunet JP, Chiang DY, Villanueva A, Newell P, Ikeda K, Hashimoto M, Watanabe G, Gabriel S, Friedman SL, Kumada H, Llovet JM, Golub TR. Integrative transcriptome analysis reveals common molecular subclasses of human hepatocellular carcinoma. Cancer Res 2009;69:7385-92. [Crossref] [PubMed]
- Ziol M, Poté N, Amaddeo G, Laurent A, Nault JC, Oberti F, et al. Macrotrabecular-massive hepatocellular carcinoma: A distinctive histological subtype with clinical relevance. Hepatology 2018;68:103-12. [Crossref] [PubMed]
- Jeon Y, Benedict M, Taddei T, Jain D, Zhang X. Macrotrabecular Hepatocellular Carcinoma: An Aggressive Subtype of Hepatocellular Carcinoma. Am J Surg Pathol 2019;43:943-8. [Crossref] [PubMed]
- Marrero JA, Kulik LM, Sirlin CB, Zhu AX, Finn RS, Abecassis MM, Roberts LR, Heimbach JK. Diagnosis, Staging, and Management of Hepatocellular Carcinoma: 2018 Practice Guidance by the American Association for the Study of Liver Diseases. Hepatology 2018;68:723-50. [Crossref] [PubMed]
- Chernyak V, Fowler KJ, Kamaya A, Kielar AZ, Elsayes KM, Bashir MR, Kono Y, Do RK, Mitchell DG, Singal AG, Tang A, Sirlin CB. Liver Imaging Reporting and Data System (LI-RADS) Version 2018: Imaging of Hepatocellular Carcinoma in At-Risk Patients. Radiology 2018;289:816-30. [Crossref] [PubMed]
- Cannella R, Dioguardi Burgio M, Beaufrère A, Trapani L, Paradis V, Hobeika C, Cauchy F, Bouattour M, Vilgrain V, Sartoris R, Ronot M. Imaging features of histological subtypes of hepatocellular carcinoma: Implication for LI-RADS. JHEP Rep 2021;3:100380. [Crossref] [PubMed]
- Cha H, Choi JY, Park YN, Han K, Jang M, Kim MJ, Park MS, Rhee H. Comparison of imaging findings of macrotrabecular-massive hepatocellular carcinoma using CT and gadoxetic acid-enhanced MRI. Eur Radiol 2023;33:1364-77. [Crossref] [PubMed]
- Feng Z, Li H, Zhao H, Jiang Y, Liu Q, Chen Q, Wang W, Rong P. Preoperative CT for Characterization of Aggressive Macrotrabecular-Massive Subtype and Vessels That Encapsulate Tumor Clusters Pattern in Hepatocellular Carcinoma. Radiology 2021;300:219-29. [Crossref] [PubMed]
- Zhang Y, He D, Liu J, Wei YG, Shi LL. Preoperative prediction of macrotrabecular-massive hepatocellular carcinoma through dynamic contrast-enhanced magnetic resonance imaging-based radiomics. World J Gastroenterol 2023;29:2001-14. [Crossref] [PubMed]
- Li M, Fan Y, You H, Li C, Luo M, Zhou J, Li A, Zhang L, Yu X, Deng W, Zhou J, Zhang D, Zhang Z, Chen H, Xiao Y, Huang B, Wang J, Dual-Energy CT. Deep Learning Radiomics to Predict Macrotrabecular-Massive Hepatocellular Carcinoma. Radiology 2023;308:e230255. [Crossref] [PubMed]
- Feng Z, Li H, Liu Q, Duan J, Zhou W, Yu X, Chen Q, Liu Z, Wang W, Rong P. CT Radiomics to Predict Macrotrabecular-Massive Subtype and Immune Status in Hepatocellular Carcinoma. Radiology 2023;307:e221291. [Crossref] [PubMed]
- Bi WL, Hosny A, Schabath MB, Giger ML, Birkbak NJ, Mehrtash A, Allison T, Arnaout O, Abbosh C, Dunn IF, Mak RH, Tamimi RM, Tempany CM, Swanton C, Hoffmann U, Schwartz LH, Gillies RJ, Huang RY, Aerts HJWL. Artificial intelligence in cancer imaging: Clinical challenges and applications. CA Cancer J Clin 2019;69:127-57. [Crossref] [PubMed]
- Gao J, Qi Q, Li H, Wang Z, Sun Z, Cheng S, Yu J, Zeng Y, Hong N, Wang D, Wang H, Yang F, Li X, Li Y. Artificial-intelligence-based computed tomography histogram analysis predicting tumor invasiveness of lung adenocarcinomas manifesting as radiological part-solid nodules. Front Oncol 2023;13:1096453. [Crossref] [PubMed]
- Han Z, Wu M, Wei P, Zhu H, Zhang X, Ding Z, Zhang M. Differential diagnostic value of plain CT scan in adrenal adenoma and non-adenoma: A two-center control study of mean attenuation value, minimum attenuation value, and CT histogram. Front Endocrinol (Lausanne) 2022;13:1007870. [Crossref] [PubMed]
- Zeng F, Chen L, Lin L, Hu H, Li J, He P, Wang C, Xue Y. Iodine map histogram metrics in early-stage breast cancer: prediction of axillary lymph node metastasis status. Quant Imaging Med Surg 2022;12:5358-70. [Crossref] [PubMed]
- Liu LL, Zhang SW, Chao X, Wang CH, Yang X, Zhang XK, Wen YL, Yun JP, Luo RZ. Coexpression of CMTM6 and PD-L1 as a predictor of poor prognosis in macrotrabecular-massive hepatocellular carcinoma. Cancer Immunol Immunother 2021;70:417-29. [Crossref] [PubMed]
- Hu S, Xie Y, Yang T, Yang Y, Zou Q, Jiao J, Zhang Y. Tumor metabolism derived from (18)F-FDG PET/CT in predicting the macrotrabecular-massive subtype of hepatocellular carcinoma. Quant Imaging Med Surg 2023;13:309-19. [Crossref] [PubMed]
- Gong Q, Zhang Y, Wu T, Du Z, Zhang Y. Comparison of computed tomography and magnetic resonance imaging findings and histopathological features of macrotrabecular-massive hepatocellular carcinoma. Quant Imaging Med Surg 2023;13:4633-40. [Crossref] [PubMed]
- Kim KR, Moon HE, Kim KW. Hypoxia-induced angiogenesis in human hepatocellular carcinoma. J Mol Med (Berl) 2002;80:703-14. [Crossref] [PubMed]
- Mulé S, Serhal A, Pregliasco AG, Nguyen J, Vendrami CL, Reizine E, Yang GY, Calderaro J, Amaddeo G, Luciani A, Miller FH. MRI features associated with HCC histologic subtypes: a western American and European bicenter study. Eur Radiol 2023;33:1342-52. [Crossref] [PubMed]
- Russo FP, Imondi A, Lynch EN, Farinati F. When and how should we perform a biopsy for HCC in patients with liver cirrhosis in 2018? A review. Dig Liver Dis 2018;50:640-6. [Crossref] [PubMed]
- Roberts LR, Sirlin CB, Zaiem F, Almasri J, Prokop LJ, Heimbach JK, Murad MH, Mohammed K. Imaging for the diagnosis of hepatocellular carcinoma: A systematic review and meta-analysis. Hepatology 2018;67:401-21. [Crossref] [PubMed]
- Anthimopoulos M, Christodoulidis S, Ebner L, Christe A, Mougiakakou S. Lung Pattern Classification for Interstitial Lung Diseases Using a Deep Convolutional Neural Network. IEEE Trans Med Imaging 2016;35:1207-16. [Crossref] [PubMed]
- Hosny A, Parmar C, Quackenbush J, Schwartz LH, Aerts HJWL. Artificial intelligence in radiology. Nat Rev Cancer 2018;18:500-10. [Crossref] [PubMed]
- Choi TW, Kim JH, Yu MH, Park SJ, Han JK. Pancreatic neuroendocrine tumor: prediction of the tumor grade using CT findings and computerized texture analysis. Acta Radiol 2018;59:383-92. [Crossref] [PubMed]
- Zhao F, Pang G, Li X, Yang S, Zhong H. Value of perfusion parameters histogram analysis of triphasic CT in differentiating intrahepatic mass forming cholangiocarcinoma from hepatocellular carcinoma. Sci Rep 2021;11:23163. [Crossref] [PubMed]
- Ng F, Ganeshan B, Kozarski R, Miles KA, Goh V. Assessment of primary colorectal cancer heterogeneity by using whole-tumor texture analysis: contrast-enhanced CT texture as a biomarker of 5-year survival. Radiology 2013;266:177-84. [Crossref] [PubMed]
- Ji GW, Zhu FP, Xu Q, Wang K, Wu MY, Tang WW, Li XC, Wang XH. Machine-learning analysis of contrast-enhanced CT radiomics predicts recurrence of hepatocellular carcinoma after resection: A multi-institutional study. EBioMedicine 2019;50:156-65. [Crossref] [PubMed]


