Primary cardiac pericardial mesothelioma—a rare but deadly disease: a case description
Introduction
Primary cardiac tumors originating from the pericardium are extremely rare, occurring in an estimated 0.001–0.007% of cases (1). Primary pericardial mesothelioma (PPM) is an extraordinarily rare cancer, linked to a very poor prognosis, with a median survival of approximately 4–6 months (2). Its diagnosis can be particularly difficult due to its late onset and the often-ambiguous symptoms associated with the condition (3). In this case report we aim to emphasize the significance of utilizing multimodality imaging in diagnosing PPM, as well as the nonspecific symptoms and the presentation of the disease.
Case presentation
All procedures performed in this study were in accordance with the ethical standards of the institutional and/or national research committee(s) and with the Declaration of Helsinki and its subsequent amendments. Written informed consent was obtained from the patient for publication of this article and accompanying images. A copy of the written consent is available for review by the editorial office of this journal.
A 54-year-old male presented to the emergency department (ED) with symptoms of cough, malaise, lethargy, and dyspnea lasting for 20 days. He also reported a lack of appetite and weight loss. Throughout his visit, he did not exhibit any fever. An electrocardiogram in the ED indicated atrial fibrillation with fast ventricular response and no signs of ischemia. Laboratory tests revealed increased levels of C-reactive protein (70 mg/L), N-terminal pro-B-type natriuretic peptide (NT-proBNP) (533 pg/mL), D-dimers (11.90 mg/L), hs-troponin I (20 ng/mL), and lactate dehydrogenase (LDH) (335 U/L). Chest radiograph showed small bilateral pleural effusions. Given the patient’s symptoms of dyspnea, pleuritic chest pain, and elevated D-dimer levels, multi slice computed tomography (MSCT) pulmonary angiography was performed to rule out pulmonary embolism (PE).
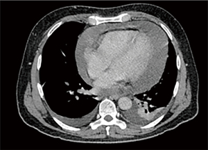
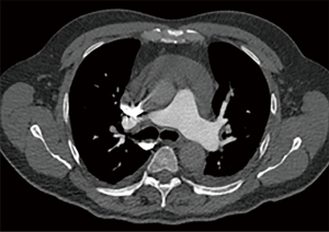
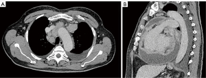
The pulmonary angiography revealed a right lobar/segmental PE (Figure 1) and a significant pericardial effusion (Figure 2) measuring 40 mm with a density of 15 HU. The patient was then admitted to the cardiology department for additional diagnostic evaluation. MSCT of the chest indicated enlarged paratracheal and subcarinal lymph nodes (Figure 3A,3B), while the MSCT of the abdomen showed no abnormalities. A transapical approach was utilized for the pericardiocentesis, during which 2.5 liters of hemorrhagic fluid were extracted and sent for cytological, microbiological, and biochemical examination. The subsequent results confirmed the type of exudative effusion, and the cytological examination indicated that there was intense and atypical growth of mesothelial cells. Thoracocentesis was subsequently performed and the analysis that followed corroborated the earlier findings. Due to suspicion of a systemic autoimmune disease or antiphospholipid syndrome, which could explain multisystem serositis (pleural and pericardial involvement), elevated inflammatory markers, thromboembolic event (PE), lymphadenopathy and constitutional symptoms, immunological tests were indicated.
Additional laboratory tests included the QuantiFERON-TB test, tumor markers, protein electrophoresis, serology for atypical pneumonias, and an immunology panel consisting of rheumatoid factor (RF), anti-citrullinated protein antibodies (ACPA), antinuclear antibodies (ANA), extractable nuclear antigen antibodies (ENA), anti-(double stranded)-DNA antibodies, complement components C3 and C4, myeloperoxidase (MPO)-anti-neutrophil cytoplasmic antibody (ANCA), lupus anticoagulant, anticardiolipin antibodies, and beta-2 glycoprotein. Furthermore, videobronchoscopy was performed due to slightly elevated level of lung tumor marker cytokeratin 19 fragment (CYFRA 21-1) (4.5 ng/mL). The patient was discharged home with recommendation for therapy including ibuprofen 400 mg three times a day, colchicine 0.5 mg two times a day, edoxaban 60 mg once a day and pantoprazole 40 mg once a day.
Three months later, he was readmitted to the cardiology department with worsening symptoms of shortness of breath, fever, and swelling in his left hand. He had previously completed a 10-day course of amoxicillin antibiotics. Transthoracic echocardiography (TTE) showed a normal ejection fraction (EF) of the left ventricle (LV), a circumferential pericardial effusion measuring 40 mm in the posterolateral area of the LV, and predominantly localized pericardial thickening with the impression of deposits on the visceral pericardium up to 10 mm wide. The TTE also revealed echocardiographic signs of constriction such as positive “annulus reversus” and inferior vena cava (IVC) plethora.
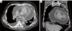
Repeated chest MSCT confirmed the presence of a circumferential pericardial effusion, but also revealed irregular growths at the pericardium with significant imbibition, suggesting the potential for pericardial mesothelioma (Figure 4A,4B). Another pericardiocentesis was conducted, resulting in the removal of 3,000 mL of hemorrhagic fluid.
Color Doppler imaging indicated thrombosis in the subclavian, axillary, and brachial veins, along with the left internal jugular vein. An intensely fluorodeoxyglucose (FDG)-avid mass and significant imbibition in a visceral area of the pericardium were observed on an FDG positron emission tomography (PET) scan, with a maximum standard uptake value (SUV) of 11.2. Additional smaller FDG-avid masses and intense imbibition were noted at the interlobar and costal pleura and the paratracheal and supracarinal lymph nodes, with a maximum SUV of 8.2 (Figure 5A-5C).
Although the patient had no prior history of tuberculosis or exposure to occupational asbestos, the findings strongly indicated PPM with dissemination to the mediastinal lymph nodes and pleura. On the multidisciplinary meeting it was decided that diagnostic pericardial biopsy should be done since the patient had just some echocardiographic findings suggesting constriction such as “annulus reversal” and IVC plethora but without other additional signs consistent with constrictive pericarditis such as significant respiratory variations in transvalvular flow, septal bouncing or hepatic vein diastolic flow reversal. Unfortunately, the patient declined this recommended procedure. In spite of the absence of pathohistological confirmation and with cytological results highly suggestive of pericardial mesothelioma, the patient began the first cycle of systemic chemotherapy, which consisted of cisplatin at a dosage of 120 mg and pemetrexed at 800 mg. On the regular follow up patient is doing well and successfully underwent the second cycle of systemic chemotherapy and currently being considered for additional immunotherapy including nivolumab and ipilimumab.
Discussion
PPM is notoriously challenging to diagnose, and patients frequently present with vague symptoms. These symptoms are typically the result of complications related to the tumor, and their onset is often gradual. Heart failure may arise from neoplastic infiltration of the myocardium, constrictive pericarditis, and pericardial effusion, which may occur with or without cardiac tamponade (4). Primary mesothelioma may also resemble tuberculous pericarditis or intra-atrial myxomas. Instances of distant metastasis, conduction block resulting from myocardial infiltration, and tumor embolism leading to neurological deficits have also been documented. Metastases occur in approximately 25–45% of cases involving regional lymph nodes, as well as the lungs and kidneys (4,5). Pericardial mesothelioma may appear as either a localized mass or a diffuse one. There are three identified histological types: epithelial, spindle cell, and mixed. Although rare, PPM ranks as the third most prevalent tumor in the pericardium and the adjacent cardiac area, following rhabdomyosarcoma (20%) and angiosarcoma (33%), with a male-to-female ratio of 3:1. The occurrence rate is less than 0.0022% among 500,000 cases, with around 200 cases reported to date and only 25% of these being diagnosed before death. An accurate diagnosis is made in only 10–20% of cases prior to the patient’s death (5).
Asbestos exposure is a recognized risk factor for pleural and peritoneal mesothelioma, yet the connection between asbestos and PPM is not as well established (6). In this case, the patient had no prior exposure to asbestos. The reported median survival ranges from 2 to 6 months, suggesting a generally poor prognosis. This is likely because symptoms manifest late in the disease’s progression, making total surgical resection impractical. Furthermore, PPM usually shows a poor response to both radiation and chemotherapy (7). The diagnosis of PPM often relies on various imaging techniques (4,8).
While echocardiography is commonly used, studies have suggested that its sensitivity is limited. Typical echocardiographic observations in cases of pericardial tumors include mass lesions, thickening of the pericardium, cardiac tamponade, and pericardial effusion (9). Contrast-enhanced ultrasonography (CEUS) can offer further clarification in distinguishing between different types of pericardial masses (10). Other diagnostic techniques that are invaluable for evaluating tumor size, location, involvement of surrounding structures, and cancer staging include computed tomography (CT), magnetic resonance imaging (MRI), and FDG-PET scans (1,4). CT imaging is effective in revealing the extent of extracardiac lesions, mediastinal lymphadenopathy, pericardial thickness, and cardiac tumors (11).
Malignant and benign lesions can be differentiated by PET/CT through varying standardized uptake values of FDG. PET/CT plays a vital role in identifying subtle distant metastases and lymph node involvement. Thanks to its exceptional spatial resolution and strong soft-tissue contrast, cardiac magnetic resonance (CMR) can precisely locate the anatomical position of the heart mass and its relationship with surrounding tissues (12). It is important to emphasize that the clinical suspicion of PPM in this case was largely informed by the results of multimodal imaging due to the exceedingly rare and poor symptoms.
The confirmation of the diagnosis is primarily established through histopathological examination, with pericardial biopsy often necessary due to the limitations of cytological analysis of pericardial fluid. Immunohistochemical evaluations can assist in identifying mesothelioma and excluding other types of cancer (10). While aspirating can be challenging, a cytological analysis along with a high concentration of hyaluronic acid in the pericardial fluid can help confirm a diagnosis of PPM. Nevertheless, the effectiveness of cytological examination of pericardial fluid is frequently limited, with only 24% of cases showing the presence of cancerous cells (6). In some cases, surgical interventions and resections can be curative and are beneficial in reducing effusion and constriction, particularly for small-sized tumors and when there is no extensive spread (1,4).
Innovative medical treatments, such as genetic testing therapies, cytokine therapies, and neoadjuvant chemotherapy, are commonly used for various forms of mesothelioma (8). Chemotherapy that utilizes pemetrexed, a synthetic antifolate derived from pyrimidine, in conjunction with platinum-based drugs such as cisplatin or carboplatin has shown effectiveness in prolonging patient survival; however, the results have not been as impressive as those seen in pleural mesothelioma (3,13). Low levels of EMX2 expression have been recognized as a negative prognostic indicator for malignant pleural mesothelioma, and it could serve as a crucial prognostic and predictive molecular biomarker for progression-free survival, although these approaches have not yet been applied to pericardial mesothelioma (14).
To conclude, the prognosis for the pericardial mesothelioma is extremely dismal due to its aggressive nature and late stage when detected. In cases of recurrent pericardial effusion or signs of constriction accompanied by multiple venous thromboses of unclear etiology, PPM should be considered. Under those circumstances, multimodality imaging can be of crucial importance for early tumor detection and initiating targeted therapy.
Acknowledgments
None.
Footnote
Funding: None.
Conflicts of Interest: All authors have completed the ICMJE uniform disclosure form (available at https://qims.amegroups.com/article/view/10.21037/qims-2025-915/coif). The authors have no conflicts of interest to declare.
Ethical Statement: The authors are accountable for all aspects of the work in ensuring that questions related to the accuracy or integrity of any part of the work are appropriately investigated and resolved. All procedures performed in this study were in accordance with the ethical standards of the institutional and/or national research committee(s) and with the Declaration of Helsinki and its subsequent amendments. Written informed consent was obtained from the patient for publication of this article and accompanying images. A copy of the written consent is available for review by the editorial office of this journal.
Open Access Statement: This is an Open Access article distributed in accordance with the Creative Commons Attribution-NonCommercial-NoDerivs 4.0 International License (CC BY-NC-ND 4.0), which permits the non-commercial replication and distribution of the article with the strict proviso that no changes or edits are made and the original work is properly cited (including links to both the formal publication through the relevant DOI and the license). See: https://creativecommons.org/licenses/by-nc-nd/4.0/.
References
- Barroso AS, Leite S, Friões F, Vasconcelos M, Azevedo D, Baldaia H, Amorim MJ, Dias P. Pericardial mesothelioma presenting as a suspected ST-elevation myocardial infarction. Rev Port Cardiol 2017;36:307.e1-5. [Crossref] [PubMed]
- Oliveira GH, Al-Kindi SG, Hoimes C, Park SJ. Characteristics and Survival of Malignant Cardiac Tumors: A 40-Year Analysis of >500 Patients. Circulation 2015;132:2395-402. [Crossref] [PubMed]
- Kim JS, Lim SY, Hwang J, Kang EJ, Choi YJ. A Case Report of Primary Pericardial Malignant Mesothelioma Treated with Pemetrexed and Cisplatin. J Korean Med Sci 2017;32:1879-84. [Crossref] [PubMed]
- Zhang Y, Pang M. Unveiling the mystery: a rare case of localized malignant pericardial mesothelioma-case report. Front Oncol 2024;14:1342748. [Crossref] [PubMed]
- Yan Y, Ye Y, Zhang F. Aggressive primary pericardial mesothelioma. Eur Heart J 2024;45:490. [Crossref] [PubMed]
- Nilsson A, Rasmuson T. Primary Pericardial Mesothelioma: Report of a Patient and Literature Review. Case Rep Oncol 2009;2:125-32. [Crossref] [PubMed]
- Godar M, Liu J, Zhang P, Xia Y, Yuan Q. Primary pericardial mesothelioma: a rare entity. Case Rep Oncol Med 2013;2013:283601. [Crossref] [PubMed]
- Butz T, Faber L, Langer C, Körfer J, Lindner O, Tannapfel A, Müller KM, Meissner A, Plehn G, Trappe HJ, Horstkotte D, Piper C. Primary malignant pericardial mesothelioma - a rare cause of pericardial effusion and consecutive constrictive pericarditis: a case report. J Med Case Rep 2009;3:9256. [Crossref] [PubMed]
- Cao S, Jin S, Cao J, Shen J, Zhang H, Meng Q, Pan B, Yu Y. Malignant pericardial mesothelioma : A systematic review of current practice. Herz 2018;43:61-8. [Crossref] [PubMed]
- Main ML. Ultrasound contrast agent safety: from anecdote to evidence. JACC Cardiovasc Imaging 2009;2:1057-9. [Crossref] [PubMed]
- Hirnle G, Kapałka M, Krawiec M, Hrapkowicz T. Pericardial mesothelioma mimicking mediastinal lymphoma and systemic rheumatic disease: a case report. Front Oncol 2024;14:1481373. [Crossref] [PubMed]
- Meijs TA, Heidendael JF, Schurink B, Bugiani M, van Boven WJP, Boekholdt SM, Robbers LFHJ. Constrictive Pericarditis Caused by Primary Pericardial Mesothelioma: A Case Series. Circ Cardiovasc Imaging 2024;17:e016847. [Crossref] [PubMed]
- Cao S, Jin S, Cao J, Shen J, Hu J, Che D, Pan B, Zhang J, He X, Ding D, Gu F, Yu Y. Advances in malignant peritoneal mesothelioma. Int J Colorectal Dis 2015;30:1-10. [Crossref] [PubMed]
- Giroux Leprieur E, Hirata T, Mo M, Chen Z, Okamoto J, Clement G, Li H, Wislez M, Jablons DM, He B. The homeobox gene EMX2 is a prognostic and predictive marker in malignant pleural mesothelioma. Lung Cancer 2014;85:465-71. [Crossref] [PubMed]

