Preoperative CT-guided localization for pulmonary nodules: a comparative study between conventional and novel tailed coil
Introduction
Low-dose computed tomography (CT) has become a common protocol for lung cancer screening, leading to a substantial increase in the detection of pulmonary nodules (PNs) (1-3). Video-assisted thoracoscopic surgery (VATS) is a diagnostic and therapeutic option for managing PNs (4). To increase the successful rate of limited resection performed via VATS, preoperative CT-guided coil placement is widely used for PN localization (5-7).
CT-guided coil localization has demonstrated high technical success rates ranging from 89.6% to 100% (5-9). However, conventional coil localizationhas a significant limitation: the potential for the coil to be placed entirely within the lung parenchyma, resulting in technical failure (8). This complication is frequently observed among less experienced operators who may have difficulty avoiding complete intraparenchymal coil placement. To overcome this disadvantage, a novel coil has been specifically designed to improve PN localization accuracy. However, the clinical evidence supporting the performance of this novel coil remains lacking.
This study aimed to compare the efficacy and safety between CT-guided conventional and novel coil placement for the preoperative localization of PNs. We present this article in accordance with the STROBE reporting checklist (available at https://qims.amegroups.com/article/view/10.21037/qims-2025-587/rc).
Methods
Study design
This retrospective study was approved by the Ethics Committee of The First Hospital of Zhangjiakou (No. 2025-LW-27), with the requirement for informed consent waived. This study was conducted in accordance with the Declaration of Helsinki and its subsequent amendments. Patients with PNs who underwent CT-guided coil localization followed by VATS resection between January 2023 and December 2024 were consecutively included. Patients in the conventional coil localization group were treated between January and December 2023, whereas those in the novel coil localization group were treated between January and December 2024.
Inclusion criteria: (I) patients with high-risk PNs; (II) PN diameter ≤30 mm (solid PNs ≤10 mm, ground-glass PNs ≤30 mm); (III) age between 18 and 80 years. Exclusion criteria: (I) PNs with a diameter <6 mm; (II) hilar PNs; (III) patients with contraindications for VATS.
Coils
The conventional coil (Cook, Bjaeverskov, Denmark) used in this study was a circular fiber-coated design (Figure 1A). The novel coil (Cherish Medical, Changzhou, China) contained a circular coil and a 20–50 mm metal tail (Figure 1B). The circular coil could provide the localization near the PN and the metal tail could provide the localization on the pleura surface. Furthermore, the metal tail could ignore the complete insertion of the coil into the lung parenchyma and it could be clearly visualized under VATS.
CT-guided coil localization
CT-guided coil localization was performed under local anesthesia by an interventional radiologist (10 years’ experience). Patients were placed in the appropriate body position according to the location of the PN, with the shortest possible needle path from the skin to the target PN selected. CT scans were obtained using a 16-row scanner (TOSHIBA, Tokyo, Japan) with the following parameters: tube voltage =100 kV, tube current =50–200 mA, and slice thickness =2 mm.
In the conventional coil group, an 18G needle was advanced along the planned needle path into the lung parenchyma. Needle tip placement was verified and adjusted as needed with repeated CT scans. Once the needle tip was positioned within 10 mm of the PN, the coil was inserted through the needle and partially deployed within the parenchyma depending on the depth of PN. Finally, the needle was withdrawn smoothly, and the remaining portion of the coil was left above the pleura (Figure 2).
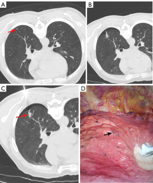
In novel coil group, a 20 G needle was employed following the same puncture technique as in the conventional coil group. The length of the coil tail was selected according to the depth of PN. When the needle tip was positioned within 10 mm of the PN, a pusher was used to deploy the coil into the lung parenchyma. Finally, the needle was withdrawn smoothly, ensuring the coil tail extended outside the pleura (Figure 3).
VATS resection
Limited VATS resection was performed within three hours of localization. Patients were placed in the lateral decubitus position, and a 3–5 mm incision was made along the anterior axillary line at the fourth or fifth intercostal space. During the procedure, the localization markers were identified. When the markers were visible, limited resection was carried out directly. Fluoroscopic guidance was used to aid localization and resection if the markers were not easily visualized. The choice between wedge resection and segmental resection was made based on PN depth. Segmental resection was performed when the resection margin exceeded 2 cm from the PN edge, while wedge resection was selected for shallower PNs. If the PN was located near the intersegmental planes, complex segmental resection or enlarged wedge resection should be conducted.
The resected PNs underwent rapid pathological examination. In cases diagnosed as invasive lung cancer, further lobectomy and lymphadenectomy were performed. For minimally invasive lung cancer, lobectomy was not required; however, lymph node sampling was conducted.
Definitions
Localization was considered technically successful if (I) the coil was visible during VATS resection, (II) no coil dislodgement occurred, and (III) the target PN was successfully retrieved within the resected wedge or segmental lung parenchyma. The duration of localization represented the interval between the first and the final CT scan.
The primary endpoint of this study was the technical success rate of localization. Secondary endpoints included the duration of localization, localization-related complications, VATS duration, types of VATS resection, and final pathological diagnosis.
Statistical analyses
Continuous variables were analyzed using independent-sample t-test for normally distributed data and Mann-Whitney U test for non-normally distributed data. Categorical variables were compared using the appropriate chi-square or Fisher’s exact test. Univariate and multivariate logistic regression analyses were performed to identify risk factors for localization-related complications. The variables with P<0.1 in the univariate logistic analysis were included in the multivariate logistic analysis. A P value <0.05 was considered statistically significant. All statistical analyses were conducted using SPSS 16.0 (SPSS Inc., IL, USA).
Results
Patients
A total of 41 patients in the conventional coil group and 42 in the novel coil group underwent CT-guided localization followed by VATS resection for PNs. Each patient underwent localization for a single PN. The baseline characteristics were comparable between two groups (Table 1).
Table 1
| Characteristics | Conventional coil group (n=41) | Novel coil group (n=42) | P |
|---|---|---|---|
| Age (years) | 60.9±9.9 | 60.3±8.3 | 0.777 |
| Gender | 0.423 | ||
| Male | 15 | 19 | |
| Female | 26 | 23 | |
| Diameter of the nodules (mm) | 9.8±3.5 | 10.3±4.3 | 0.567 |
| Nodule-pleura distance (mm) | 12.1 (6.9, 17.7) | 11.3 (2.9, 26.5) | 0.612 |
| Nature of the nodules | 0.850 | ||
| Solid | 10 | 11 | |
| GGN | 31 | 31 | |
| Sides of the lung | 0.591 | ||
| Left | 18 | 16 | |
| Right | 23 | 26 | |
| Lobes | 0.750 | ||
| Upper | 19 | 18 | |
| Non-upper | 22 | 24 |
Data are presented as number, mean ± standard deviation or median (Q1, Q3). GGN, ground glass nodule.
Localization outcomes
The localization success rate was significantly higher in the novel coil group compared with the conventional coil group (100% vs. 87.8%, P=0.026, Table 2). In the conventional group, localization failed in five patients due to complete coil migration into the lung parenchyma. The duration of localization was comparable between two groups (P=0.097, Table 2). The incidence of pneumothorax (12.2% vs. 16.7%, P=0.562) and lung hemorrhage (19.5% vs. 11.9%, P=0.340) were also comparable between 2 groups (Table 2). None of these complications result in delays to VATS procedures.
Table 2
| Variables | Conventional coil group (n=41) | Novel coil group (n=42) | P |
|---|---|---|---|
| Successful localization rate | 36 (87.8) | 42 (100.0) | 0.026 |
| Duration of localization (min) | 23.2±8.8 | 20.4±6.1 | 0.097 |
| Complications | |||
| Pneumothorax | 5 (12.2) | 7 (16.7) | 0.562 |
| Lung hemorrhage | 8 (19.5) | 5 (11.9) | 0.340 |
Data are presented as n (%) or mean ± standard deviation.
Logistic regression analysis did not identify any significant risk factors for pneumothorax. However, univariate logistic regression analysis indicated that smaller PN size (P=0.033) and greater PN-pleura distance (P=0.077) were associated with lung hemorrhage. Multivariate logistic regression analysis confirmed smaller PN size as an independent predictor of lung hemorrhage (P=0.027).
VATS outcomes
Both groups achieved a 100% technical success rate for VATS limited resection (Table 3). No patient required conversion to thoracotomy. In the five failed conventional coil localization cases, VATS limited resection was completed using intraoperative fluoroscopic guidance. The distribution of resection types is presented in Table 3, with no significant difference observed between two groups (P=0.189). Further lobectomy and lymphadenectomy were performed in seven patients in the conventional coil group and 11 patients in the novel coil group due to invasive adenocarcinoma. The duration of VATS procedure (P=0.804, Table 3) and the distribution of final pathological diagnoses were both comparable between the two groups (P=0.751, Table 3).
Table 3
| Variables | Conventional coil group (n=41) | Novel coil group (n=42) | P |
|---|---|---|---|
| Technical success of limited resection | 41 (100.0) | 42 (100.0) | |
| Limited resection types | 0.189 | ||
| Wedge resection | 30 | 25 | |
| Segmental resection | 11 | 17 | |
| Additional lobectomy | 7 | 11 | 0.314 |
| Duration of VATS (min) | 200.8±89.0 | 205.5±82.2 | 0.804 |
| Final diagnoses | 0.751 | ||
| Invasive adenocarcinoma | 7 | 11 | |
| Mini-invasive adenocarcinoma | 15 | 12 | |
| Adenocarcinoma in situ | 12 | 12 | |
| Benign | 7 | 7 |
Data are presented as number, n (%) or mean ± standard deviation. VATS, video‑assisted thoracoscopic surgery.
Discussion
CT-guided coil localization is a widely adopted technique for the preoperative localization of PNs (10). A previous meta-analysis reported that coil localization offered a significantly higher successful rate (97.5% vs. 91.6%, P=0.0001) and a lower complication rate (24.8% vs. 40.9%, P=0.01) compared with hook-wire localization (11). These differences are mainly attributed to the higher rates of hook-wire dislodgement and migration (11). However, conventional coil localization also has its own limitations. Firstly, the main reason for technical failure is complete coil insertion into the lung parenchyma, which prevents effective intraoperative identification (12). Furthermore, during VATS resection, the visceral end of the coil may be caught on the chest wall, potentially leading to coil displacement and localization failure (13).
This study compared the efficacy and safety between preoperative CT-guided conventional and novel coil localization for PNs. The findings showed that the novel coil achieved a significantly higher localization success rate than the conventional coil (100% vs. 87.8%, P=0.026). In all cases where conventional coil localization failed, the failure was due to complete insertion of the coil into the lung parenchyma. These results highlight the advantages of the novel coil. First, it remains the core structure of the conventional coil, ensuring secure anchoring within the lung parenchyma. Second, the extended tail improves intraoperative visibility during VATS. Third, the novel coil is available in different lengths, enabling selection based on the depth of PN for more preciselocalization.
In principle, novel coil localization is expected to be more time-efficient than conventional coil localization. The conventional coil, not initially designed for PN localization, requires meticulous placement to ensure that part of the coil remains within the lung parenchyma. At the same time, another segment extends beyond the pleura, a process that demands greater technical expertise (7,14). However, the novel coil is specially designed for PN localization, allowing for a simpler placement. Although our study showed a tendency toward shorter duration of localization with the novel coil, the difference did not reach statistical significance, likely due to the limited sample size.
The complication rates were similar between two groups, indicating that the novel coil maintains a safety profile comparable to that of the conventional coil. Consistent with previous reports, complications related to PN localization generally do not interfere with subsequent VATS procedures (7,13,14). In this study, smaller PN size emerged as an independent risk factor for lung hemorrhage, likely because targeting smaller nodules often requires multiple needle passes, which increases the risk of bleeding.
Although all five patients who experienced technical failure with conventional coil localization could undergo successful VATS limited resection, intraoperative fluoroscopy was required for guidance. This additional step inevitably increased radiation exposure for both patients and operators. Some researchers have suggested using palpation as an alternative approach to locate misplaced coils during VATS (5,8). While palpation avoids radiation exposure, it can lengthen the operative time. In comparison, all VATS procedures following novel coil localization were completed without further intraoperative measures, emphasizing the novel coil’s practical advantages.
Sun et al. (13) previously proposed a modification to the conventional coil for PN localization, in which a nonabsorbable suture was manually attached to serve as a localization tail. While conceptually similar to the novel coil in our study, Sun’s modified coil required a more cumbersome preparation process: the coil first had to be released from the loading cannula, the suture manually attached, and the assembly reloaded into the cannula before localization. In comparison, the novel coil evaluated in this study was engineered explicitly for PN localization. Its tail is integrated into the coil design, and the entire assembly comes preloaded in a compatible puncture needle. These features make the novel coil simpler and more efficient than Sun’s manually modified coil.
This study has several limitations. First, its retrospective nature inherently carries a risk of selection bias, even though the baseline characteristics of the two groups were comparable. Second, the two cohorts underwent localization during different periods, which could introduce temporal bias. Third, the sample size was relatively small, limiting the statistical power to detect subtle differences, particularly in outcomes where the P values approached significance (e.g., duration of localization, P=0.097). Finally, this study did not include patients who required localization of multiple PNs, so the applicability of the novel coil in such cases could not be evaluated.
Conclusions
In conclusion, our results indicate that the novel coil offers greater effectiveness for preoperative PN localization than the conventional coil. However, larger prospective clinical trials are needed to validate these findings and further evaluate the broader clinical utility of this approach.
Acknowledgments
None.
Footnote
Reporting Checklist: The authors have completed the STROBE reporting checklist. Available at https://qims.amegroups.com/article/view/10.21037/qims-2025-587/rc
Data Sharing Statement: Available at https://qims.amegroups.com/article/view/10.21037/qims-2025-587/dss
Funding: None.
Conflicts of Interest: All authors have completed the ICMJE uniform disclosure form (available at https://qims.amegroups.com/article/view/10.21037/qims-2025-587/coif). The authors have no conflicts of interest to declare.
Ethical Statement: The authors are accountable for all aspects of the work in ensuring that questions related to the accuracy or integrity of any part of the work are appropriately investigated and resolved. This retrospective study was approved by the Ethics Committee of The First Hospital of Zhangjiakou (No. 2025-LW-27), with the requirement for informed consent waived. This study was conducted in accordance with the Declaration of Helsinki and its subsequent amendments.
Open Access Statement: This is an Open Access article distributed in accordance with the Creative Commons Attribution-NonCommercial-NoDerivs 4.0 International License (CC BY-NC-ND 4.0), which permits the non-commercial replication and distribution of the article with the strict proviso that no changes or edits are made and the original work is properly cited (including links to both the formal publication through the relevant DOI and the license). See: https://creativecommons.org/licenses/by-nc-nd/4.0/.
References
- Nawa T. Low-dose CT screening for lung cancer reduced lung cancer mortality in Hitachi City. Int J Radiat Biol 2019;95:1441-6. [Crossref] [PubMed]
- Becker N, Motsch E, Trotter A, Heussel CP, Dienemann H, Schnabel PA, Kauczor HU, Maldonado SG, Miller AB, Kaaks R, Delorme S. Lung cancer mortality reduction by LDCT screening-Results from the randomized German LUSI trial. Int J Cancer 2020;146:1503-13. [Crossref] [PubMed]
- Chai J, Chu S, Wei N, Xu B, Wang L, Yu H, Lv W, Lu D. Computed tomography-guided hookwire localization and medical glue combined with methylene blue localization for pulmonary nodules before video-assisted thoracoscopic surgery: a single-center, retrospective study. Quant Imaging Med Surg 2023;13:6228-40. [Crossref] [PubMed]
- Feng Q, Zhou J, Dong N, Cheng L, Kong W, Rong P, Chen W, Ma Y, Zhang X, Xin X, Han X, Zhang B. Factors influencing the accuracy and safety of preoperative computed tomography (CT)-guided soft hook-wire localization for pulmonary nodules: a comprehensive analysis. Quant Imaging Med Surg 2024;14:2309-20. [Crossref] [PubMed]
- Sun SH, Gao J, Zeng XM, Zhang YF. Computed tomography-guided localization for lung nodules: methylene-blue versus coil localization. Minim Invasive Ther Allied Technol 2021;30:215-20. [Crossref] [PubMed]
- Kadhem SA, Rajendran P. Preoperative CT-Guided Coil Localization of Lung Nodule Resection: A Single-Center Experience. Cureus 2023;15:e42503. [Crossref] [PubMed]
- Huang YY, Liu X, Shi YB, Wang T. Preoperative computed tomography-guided localization for lung nodules: localization needle versus coil. Minim Invasive Ther Allied Technol 2022;31:948-53. [Crossref] [PubMed]
- Fu YF, Zhang M, Wu WB, Wang T. Coil Localization-Guided Video-Assisted Thoracoscopic Surgery for Lung Nodules. J Laparoendosc Adv Surg Tech A 2018;28:292-7. [Crossref] [PubMed]
- Xia FF, Shi YB, Wang T, Fu YF. Computed Tomography-Guided Transfissural Coil Localization of Lung Nodules. Thorac Cardiovasc Surg 2020;68:545-8. [Crossref] [PubMed]
- Park CH, Han K, Hur J, Lee SM, Lee JW, Hwang SH, Seo JS, Lee KH, Kwon W, Kim TH, Choi BW. Comparative Effectiveness and Safety of Preoperative Lung Localization for Pulmonary Nodules: A Systematic Review and Meta-analysis. Chest 2017;151:316-28. [Crossref] [PubMed]
- Wang JL, Xia FF, Dong AH, Lu Y. Comparison between coil and hook-wire localization before video-assisted thoracoscopic surgery for lung nodules: a systematic review and meta-analysis. Wideochir Inne Tech Maloinwazyjne 2022;17:441-9. [Crossref] [PubMed]
- Sun ZH, Cheng H, Su J, Sun QL. Preoperative localization for pulmonary nodules: a meta-analysis of coil and liquid materials. Minim Invasive Ther Allied Technol 2024;33:270-7. [Crossref] [PubMed]
- Sun S, Liu K, Gao X, Ren B, Sun L, Xu L. Application of Modified Tailed Microcoil in Preoperative Localization of Small Pulmonary Nodules: A Retrospective Study. Thorac Cardiovasc Surg 2020;68:533-9. [Crossref] [PubMed]
- Zhou WJ, Chen G, Huang YY, Peng P, Lv PH, Lv JL. Preoperative computed tomography-guided localization for pulmonary nodules: comparison between hook-wire and anchored needle localization. Wideochir Inne Tech Maloinwazyjne 2024;19:91-9. [Crossref] [PubMed]

