Transcatheter edge-to-edge repair for severe mitral regurgitation in an octogenarian woman with hypertrophic obstructive cardiomyopathy: a case report
Introduction
Hypertrophic cardiomyopathy (HCM) is a common autosomal dominant genetic disorder, affecting approximately 1 in 200–500 individuals, and is characterized by asymmetric ventricular hypertrophy and diastolic dysfunction (1). A subset of patients will develop dynamic left ventricular outflow tract (LVOT) obstruction, often accompanied by symptoms such as dyspnea, chest tightness, or syncope. The obstruction is typically due to a combination of septal hypertrophy, congenital mitral valve anomalies, and systolic anterior motion (SAM) of the mitral valve.
Beta-blockers remain the first-line pharmacological treatment for hypertrophic obstructive cardiomyopathy (HOCM), but a significant proportion of patients do not achieve complete symptom relief (2). Alternative therapies include mavacamten (a cardiac myosin inhibitor recently approved by the Chinese National Medical Products Administration), surgical septal myectomy, and alcohol septal ablation (ASA). While these therapeutic approaches have exhibited satisfactory clinical efficacy, they also carry procedural risks such as arrhythmia, atrioventricular block, and septal perforation (3). For patients considered unsuitable for surgery or ASA, newer treatment strategies are under investigation, such as ultrasound-guided percutaneous intramyocardial septal radiofrequency ablation (PIMSRA), also known as the Liwen procedure.
Although relieving LVOT obstruction remains the primary therapeutic goal, attention has increasingly turned to the mitral valve itself, especially in patients with SAM-induced mitral regurgitation (MR). Transcatheter mitral valve repair using edge-to-edge techniques such as the MitraClip™ system, which is a minimally invasive medical device developed by Abbott (Santa Clara, CA, USA), has shown promising results in high-risk patients with functional MR. Recent studies suggest that transcatheter edge-to-edge repair (TEER) may also play a role in alleviating SAM and MR in HOCM patients with dynamic LVOT obstruction (4,5).
This article presents a unique case in which TEER was used to treat severe MR and LVOT obstruction in an elderly HOCM patient with a high surgical risk. A brief review of the relevant literature is also provided. We present this case in accordance with the CARE reporting checklist (available at https://qims.amegroups.com/article/view/10.21037/qims-2025-400/rc).
Case presentation
The patient was an 83-year-old female, who had been diagnosed with HOCM several years before admission, and had been on long-term therapy with metoprolol succinate (47.5 mg daily and diltiazem 90 mg twice daily). Despite the pharmacological treatment, she continued to experience symptoms of chest tightness and dyspnea. She also had a 5-year history of hypertension and a 10-year history of chronic obstructive pulmonary disease. She had a EuroSCORE II of 9.5%, and a Society of Thoracic Surgeons score of 10.2%, indicating a high surgical risk. Over the past 3 years, her cardiac function had progressively deteriorated from New York Heart Association (NYHA) class II to class III–IV, and her symptoms were present even at rest.
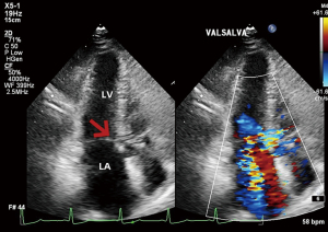
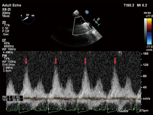
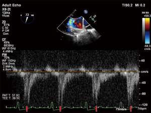
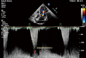
Twelve-lead electrocardiogram showed ST-T segment depression and signs of left ventricular hypertrophy. Transthoracic echocardiography (TTE) showed asymmetric septal hypertrophy with a maximal wall thickness of 16 mm at the LVOT level. Transesophageal echocardiography (TEE) revealed significant SAM of the anterior mitral leaflet (Figure 1, Video 1), causing dynamic LVOT obstruction (Figures 2,3) and severe MR (Figure 2, Video 2). On Valsalva maneuver, the LVOT pressure gradient reached 233 mmHg. Her left atrium was dilated and pulmonary artery systolic pressure was elevated. Reversed systolic wave was observed in the pulmonary vein flow (Figure 4). No abnormal muscle bundles were observed on imaging, including TEE and TTE.
Laboratory tests showed normal cardiac troponin levels and elevated N-terminal pro-B-type natriuretic peptide (NT-proBNP) (1,600 pg/mL). Coronary computed tomography angiography revealed no significant coronary stenosis, and no suitable septal perforator branches for ASA were present. Based on a multidisciplinary heart team discussion, the patient was considered unsuitable for surgery or ASA.
To relieve MR and dynamic obstruction, the team opted for TEER with the MitraClip™ system. Pre-procedural TEE confirmed moderate to severe MR, a mitral valve effective regurgitant orifice area of 0.31 cm2, and a regurgitant volume of 78 mL. The mitral valve area was 3.1 cm2 (planimetrically measured in multiple views), with leaflet lengths of 24 mm (anterior) and 11 mm (posterior). The diastolic mean trans-mitral gradient was 1 mmHg. The regurgitant jet originated from the A2–P2 segment with reversed pulmonary vein flow.
Procedure
The procedure was performed under general anesthesia. After successful transseptal puncture, a MitraClip™ narrow translational range (NTR) device was implanted at the A2–P2 segment under real-time 3D-TEE guidance.
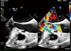
Following implantation, TEE revealed significant improvement with only mild residual MR. The residual mitral valve orifice area was 1.6 cm2, and the mean diastolic trans-mitral pressure gradient increased to 4 mmHg. The LVOT gradient decreased to 81 mmHg. Invasive hemodynamic monitoring showed left atrial pressure dropped significantly from 55 mmHg pre-procedure to 25 mmHg post-procedure. Pulmonary vein flow spectrum normalized (Figure 5).
Immediately post-procedure, TEE demonstrated complete resolution of SAM and no evidence of device-induced LVOT obstruction. The implanted clip remained stable and was not displaced toward the LVOT, ruling out a significant Venturi effect.
The patient tolerated the procedure well and was discharged on postoperative day 7 with a NYHA classification of I–II. Before discharge, TTE showed a preserved left ventricular ejection fraction of 77%, a mitral E-wave peak velocity of 1.24 m/s, a trans-mitral mean pressure gradient of 3.5 mmHg, and her resting LVOT peak gradient had decreased from 144 to 34 mmHg.
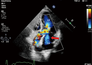
At the 8-month follow-up, the patient remained symptomatically improved. The LVOT gradient had further decreased to 20 mmHg (Figure 6), MR remained mild (Figure 7, Video 3), and the mitral clip was clearly visualized on two-dimensional TEE (Figure 8). Her NT-proBNP level was 1,136 pg/mL, and no recurrence of dyspnea or chest pain was reported (Table 1). The patient reported significant improvement in her dyspnea symptoms.
Table 1
| Assessment by echocardiography | Baseline | Postoperative follow-up | ||
|---|---|---|---|---|
| Immediate | Day 3 | Month 8 | ||
| Ejection fraction (%) | 69 | 68 | 77 | 81 |
| Left atrial systolic diameter (mm) | 44 | 45 | 42 | 47 |
| Left ventricular diastolic diameter (mm) | 46 | 39 | 37 | 38 |
| Left ventricular outflow tract peak gradient (mmHg) | 146 | 81 | 34 | 21 |
| Left ventricular outflow tract peak gradient (Valsalva) (mmHg) | 233 | – | 42 | 38 |
| Interventricular septum diastolic thickness (mm) | 15 | 17 | 15 | 16 |
| Mitral valve area (cm2) | 3.1 | 1.6 | 2.0 | 2.8 |
| Mitral mean gradient (mmHg) | 2.0 | 4 | 3.5 | 2.1 |
| Mitral peak velocity (m/s) | 1.3 | 1.4 | 1.24 | 0.87 |
| Effective regurgitant orifice area, effective regurgitant orifice area (cm2) | 0.32 | 0.17 | 0.07 | 0.08 |
| Regurgitant volume (mL) | 71 | 40 | 32 | 33 |
| Mitral regurgitation grade (I–IV) | IV+† | II+‡ | I | II |
| Pulmonary arterial pressure (mmHg) | 48 | 45 | 46 | 32 |
| New York Heart Association classification (I–IV) | III | – | I | I |
| Laboratory testing: N-terminal pro-B-type natriuretic peptide | 1,600 | 1,400 | 1,708 | 1,136 |
†, IV+ indicates that the patient had severe mitral regurgitation before the procedure. ‡, II+ indicates that the patient had mild-to-moderate mitral regurgitation immediately after the procedure.
Ethical consideration
The study was conducted in accordance with the Declaration of Helsinki and its subsequent amendments. The study was approved by the Medical Research Ethics Committee of Sichuan Provincial People’s Hospital. Written informed consent was obtained from the patient for the publication of this case report, accompanying images and videos. A copy of the written consent is available for review by the editorial office of this journal.
Discussion
HCM is a genetically determined cardiac disorder with an estimated prevalence of 1:200 to 1:500 in the general population (6). It is characterized by asymmetric septal hypertrophy, diastolic dysfunction, and, in a subset of patients, dynamic LVOT obstruction (7-9).
Mitral valve abnormalities frequently coexist in patients with HOCM, including anterior leaflet elongation, increased leaflet surface area, and anteriorly displaced papillary muscles (10). These structural abnormalities contribute to SAM, exacerbating LVOT obstruction and resulting in secondary MR (10,11-13).
First-line management of HOCM includes beta-blockers and calcium channel blockers, which reduce contractility and improve diastolic filling (14-17). Pharmacologic options include mavacamten, a selective inhibitor of cardiac myosin. The patient sought medical attention in 2022 when mavacamten was not yet commercially available in China. Additionally, long-term safety data on the use of mavacamten in elderly populations is lacking. The patient was considered unsuitable for surgical myectomy due to her age, comorbidities, and elevated procedural risk scores. Additionally, there were no suitable septal perforator branches for ASA. Thus, the patient had a high-risk phenotype and limited therapeutic options.
M-TEER has emerged as a novel technique for treating MR in patients with dynamic LVOT obstruction and SAM, particularly when conventional therapies are contraindicated (18,19). Since the first report by Schäfer et al. (20) in 2014, multiple case series have shown the efficacy of M-TEER in relieving obstruction and MR in HOCM patients (21-25).
The MitraClip and PASCAL (Edwards Lifesciences, Irvine, CA, USA) systems, which have a unique elongation feature aiding chordal navigation, are TEER devices designed for the treatment of MR. Globally, both systems have shown excellent safety and efficacy in appropriately selected patients (26). In China, the MitraClip system has been used as the primary device for TEER since its introduction, and its clinical use in tertiary cardiovascular centers has continued to increase. The PASCAL system has gained recognition globally for its unique features such as a broader spacer, but its use in China remains limited due to delayed regulatory approval and its limited availability. As a result, most current TEER procedures in China employ the MitraClip system. In this case, the anterior mitral leaflet measured 24 mm and the posterior leaflet measured 11 mm, with regurgitation originating from the A2–P2 segment. Based on pre-procedural imaging, a single NTR clip was chosen to approximate this region. This approach was supported by literature indicating that central clip placement effectively reduces both SAM and MR by altering leaflet coaptation geometry and posteriorly displacing the mitral coaptation point (21,27).
The mitral valve area remained adequate (1.6 cm2 post-procedure), and the trans-mitral gradients were acceptable. This is essential because excessive reduction in the mitral valve area may lead to functional mitral stenosis and worsening symptoms. Had the mitral valve effective orifice area been larger and the leaflet length more redundant, an XTR clip would have been preferred.
There was no echocardiographic evidence of anomalous muscle bundles in this patient. When present, such structures can worsen LVOT obstruction and require additional surgical or imaging considerations.
Several mechanisms could explain the alleviation of the LVOT obstruction in this case, including: (I) SAM elimination via anterior leaflet excursion limitation; (II) MR reduction by leaflet coaptation improvement; and (III) the modification of LVOT hemodynamics via altered mitral valve geometry. These effects may be especially beneficial in octogenarian patients in whom invasive septal reduction is usually high risk.
Our experience aligns with previously published outcomes of significant reductions in LVOT gradients (from 233 to 20 mmHg), SAM resolution, and improved NYHA class. No significant arrhythmias or device-related complications occurred during the follow-up period (20-24).
Limitations
This case report described a single patient. Further clinical experience is needed to guide the treatment of this patient group, and large-scale controlled studies need to be conducted in the future to further validate our findings in the HOCM population. With the recent approval of mavacamten in China, research also needs to be conducted to determine whether the combined use of this pharmacological agent and TEER provides additional clinical benefits to patients.
Conclusions
TEER represents a promising therapeutic option for octogenarian patients with HOCM in whom surgical myectomy or ASA is unsuitable. In this case, TEER effectively eliminated SAM, significantly reduced MR, and alleviated LVOT obstruction. At the 8-month follow-up, the patient demonstrated sustained symptomatic and hemodynamic improvement without complications. Generally, TEER may be most beneficial for patients with the following features: (I) an advanced age and a high surgical risk; (II) persistent symptoms despite maximal medical therapy; (III) severe MR and SAM-related LVOT obstruction; and (IV) an unsuitable anatomy for septal ablation.
Our findings are encouraging; however, further studies with larger patient cohorts and longer follow-up periods are required to confirm the long-term safety and efficacy of this treatment.
Acknowledgments
None.
Footnote
Reporting Checklist: The authors have completed the CARE reporting checklist. Available at https://qims.amegroups.com/article/view/10.21037/qims-2025-400/rc
Funding: None.
Conflicts of Interest: All authors have completed the ICMJE uniform disclosure form (available at https://qims.amegroups.com/article/view/10.21037/qims-2025-400/coif). The authors have no conflicts of interest to declare.
Ethical Statement: The authors are accountable for all aspects of the work in ensuring that questions related to the accuracy or integrity of any part of the work are appropriately investigated and resolved. The study was conducted in accordance with the Declaration of Helsinki and its subsequent amendments. This study was approved by the Medical Research Ethics Committee of Sichuan Provincial People’s Hospital. Written informed consent was obtained from the patient for the publication of this case report, accompanying images and videos. A copy of the written consent is available for review by the editorial office of this journal.
Open Access Statement: This is an Open Access article distributed in accordance with the Creative Commons Attribution-NonCommercial-NoDerivs 4.0 International License (CC BY-NC-ND 4.0), which permits the non-commercial replication and distribution of the article with the strict proviso that no changes or edits are made and the original work is properly cited (including links to both the formal publication through the relevant DOI and the license). See: https://creativecommons.org/licenses/by-nc-nd/4.0/.
References
- Olivotto I, Oreziak A, Barriales-Villa R, Abraham TP, Masri A, Garcia-Pavia P, et al. Mavacamten for treatment of symptomatic obstructive hypertrophic cardiomyopathy (EXPLORER-HCM): a randomised, double-blind, placebo-controlled, phase 3 trial. Lancet 2020;396:759-69. [Crossref] [PubMed]
- Packard E, de Feria A, Peshin S, Reza N, Owens AT. Contemporary Therapies and Future Directions in the Management of Hypertrophic Cardiomyopathy. Cardiol Ther 2022;11:491-507. [Crossref] [PubMed]
- Kim LK, Swaminathan RV, Looser P, Minutello RM, Wong SC, Bergman G, Naidu SS, Gade CL, Charitakis K, Singh HS, Feldman DN. Hospital Volume Outcomes After Septal Myectomy and Alcohol Septal Ablation for Treatment of Obstructive Hypertrophic Cardiomyopathy: US Nationwide Inpatient Database, 2003-2011. JAMA Cardiol 2016;1:324-32. [Crossref] [PubMed]
- Ponikowski P, Friede T, von Bardeleben RS, Butler J, Shahzeb Khan M, Diek M, et al. Hospitalization of Symptomatic Patients With Heart Failure and Moderate to Severe Functional Mitral Regurgitation Treated With MitraClip: Insights From RESHAPE-HF2. J Am Coll Cardiol 2024;84:2347-63. [Crossref] [PubMed]
- Giustino G, Camaj A, Kapadia SR, Kar S, Abraham WT, Lindenfeld J, Lim DS, Grayburn PA, Cohen DJ, Redfors B, Zhou Z, Pocock SJ, Asch FM, Mack MJ, Stone GW. Hospitalizations and Mortality in Patients With Secondary Mitral Regurgitation and Heart Failure: The COAPT Trial. J Am Coll Cardiol 2022;80:1857-68. [Crossref] [PubMed]
- Maron BJ, Desai MY, Nishimura RA, Spirito P, Rakowski H, Towbin JA, Rowin EJ, Maron MS, Sherrid MV. Diagnosis and Evaluation of Hypertrophic Cardiomyopathy: JACC State-of-the-Art Review. J Am Coll Cardiol 2022;79:372-89. [Crossref] [PubMed]
- Maron BJ, Maron MS, Semsarian C. Genetics of hypertrophic cardiomyopathy after 20 years: clinical perspectives. J Am Coll Cardiol 2012;60:705-15. [Crossref] [PubMed]
- Seidman CE, Seidman JG. Identifying sarcomere gene mutations in hypertrophic cardiomyopathy: a personal history. Circ Res 2011;108:743-50. [Crossref] [PubMed]
- Lioncino M, Monda E, Verrillo F, Moscarella E, Calcagni G, Drago F, Marino B, Digilio MC, Putotto C, Calabrò P, Russo MG, Roberts AE, Gelb BD, Tartaglia M, Limongelli G. Hypertrophic Cardiomyopathy in RASopathies: Diagnosis, Clinical Characteristics, Prognostic Implications, and Management. Heart Fail Clin 2022;18:19-29. [Crossref] [PubMed]
- Sherrid MV, Wever-Pinzon O, Shah A, Chaudhry FA. Reflections of inflections in hypertrophic cardiomyopathy. J Am Coll Cardiol 2009;54:212-9. [Crossref] [PubMed]
- Semsarian C, Ingles J, Maron MS, Maron BJ. New perspectives on the prevalence of hypertrophic cardiomyopathy. J Am Coll Cardiol 2015;65:1249-54. [Crossref] [PubMed]
- Bick AG, Flannick J, Ito K, Cheng S, Vasan RS, Parfenov MG, et al. Burden of rare sarcomere gene variants in the Framingham and Jackson Heart Study cohorts. Am J Hum Genet 2012;91:513-9. [Crossref] [PubMed]
- Teo EP, Teoh JG, Hung J. Mitral valve and papillary muscle abnormalities in hypertrophic obstructive cardiomyopathy. Curr Opin Cardiol 2015;30:475-82. [Crossref] [PubMed]
- Borlaug BA, Omote K. Beta-Blockers and Exercise Hemodynamics in Hypertrophic Cardiomyopathy. J Am Coll Cardiol 2022;79:1576-8. [Crossref] [PubMed]
- Nishimura RA, Seggewiss H, Schaff HV. Hypertrophic Obstructive Cardiomyopathy: Surgical Myectomy and Septal Ablation. Circ Res 2017;121:771-83. [Crossref] [PubMed]
- Maron BJ, Desai MY, Nishimura RA, Spirito P, Rakowski H, Towbin JA, Dearani JA, Rowin EJ, Maron MS, Sherrid MV. Management of Hypertrophic Cardiomyopathy: JACC State-of-the-Art Review. J Am Coll Cardiol 2022;79:390-414. [Crossref] [PubMed]
- Mandeş L, Roşca M, Ciupercă D, Popescu BA. The role of echocardiography for diagnosis and prognostic stratification in hypertrophic cardiomyopathy. J Echocardiogr 2020;18:137-48. [Crossref] [PubMed]
- Liu L, Li J, Zuo L, Zhang J, Zhou M, Xu B, Hahn RT, Leon MB, Hsi DH, Ge J, Zhou X, Zhang J, Ge S, Xiong L. Percutaneous Intramyocardial Septal Radiofrequency Ablation for Hypertrophic Obstructive Cardiomyopathy. J Am Coll Cardiol 2018;72:1898-909. [Crossref] [PubMed]
- Liu F, Fu J, Hsi D, Sun C, He G, Hu R, Zhang J, Liu L. Percutaneous Intramyocardial Septal Radiofrequency Ablation for Interventricular Septal Reduction: An Ovine Model with 1-Year Outcomes. Cardiology 2020;145:53-62. [Crossref] [PubMed]
- Schäfer U, Kreidel F, Frerker C. MitraClip implantation as a new treatment strategy against systolic anterior motion-induced outflow tract obstruction in hypertrophic obstructive cardiomyopathy. Heart Lung Circ 2014;23:e131-5. [Crossref] [PubMed]
- Sorajja P, Pedersen WA, Bae R, Lesser JR, Jay D, Lin D, Harris K, Maron BJ. First Experience With Percutaneous Mitral Valve Plication as Primary Therapy for Symptomatic Obstructive Hypertrophic Cardiomyopathy. J Am Coll Cardiol 2016;67:2811-8. [Crossref] [PubMed]
- Schäfer U, Frerker C, Thielsen T, Schewel D, Bader R, Kuck KH, Kreidel F. Targeting systolic anterior motion and left ventricular outflow tract obstruction in hypertrophic obstructed cardiomyopathy with a MitraClip. EuroIntervention 2015;11:942-7. [Crossref] [PubMed]
- Yuzawa-Tsukada N, Tokuda M, Miyamoto T, Yoshimura M. Percutaneous transluminal septal myocardial ablation was effective in hypertrophic obstructive cardiomyopathy with anomalous mitral papillary muscles: a case report. Eur Heart J Case Rep 2023;7:ytac493. [Crossref] [PubMed]
- Long A, Mahoney P. Use of MitraClip to Target Obstructive SAM in Severe Diffuse-Type Hypertrophic Cardiomyopathy: Case Report and Review of Literature. J Invasive Cardiol 2020;32:E228-32. [Crossref] [PubMed]
- Thomas F, Rader F, Siegel RJ. The Use of MitraClip for Symptomatic Patients with Hypertrophic Obstructive Cardiomyopathy. Cardiology 2017;137:58-61. [Crossref] [PubMed]
- Lim DS, Smith RL, Gillam LD, Zahr F, Chadderdon S, Makkar R, et al. Randomized Comparison of Transcatheter Edge-to-Edge Repair for Degenerative Mitral Regurgitation in Prohibitive Surgical Risk Patients. JACC Cardiovasc Interv 2022;15:2523-36. [Crossref] [PubMed]
- Feldman T, Kar S, Rinaldi M, Fail P, Hermiller J, Smalling R, Whitlow PL, Gray W, Low R, Herrmann HC, Lim S, Foster E, Glower D. EVEREST Investigators. Percutaneous mitral repair with the MitraClip system: safety and midterm durability in the initial EVEREST (Endovascular Valve Edge-to-Edge REpair Study) cohort. J Am Coll Cardiol 2009;54:686-94. [Crossref] [PubMed]

