Idiopathic hypereosinophilic syndrome complicated by computed tomography-negative cerebral infarction, strangulated intestinal obstruction, and hepatic portal venous gas: a case report of multi-system involvement
Introduction
Hypereosinophilic syndrome (HES) is a rare hematological disorder characterized by persistent eosinophilia (absolute eosinophil count >1.5×109/L) and multi-organ dysfunction (1,2). The latest classification system of the World Health Organization categorizes HES into three major subtypes: clonal (associated with stem cell/myeloid neoplasms), reactive (caused by parasitic infections, allergic diseases, or lymphoproliferative disorders), and idiopathic (3).
Epidemiological studies estimate an annual incidence rate for HES of 0.36–6.3 per 100,000 individuals, with a significant male predominance (male-to-female ratio: 9:1) (4). Although more common in individuals aged 20–50 years, HES can occur across all age groups (5,6).
The multifactorial mechanisms of organ damage in HES include: (I) direct eosinophilic infiltration causing tissue edema; (II) cytotoxic granule protein deposition leading to fibrosis; and (III) procoagulant microparticle release promoting thrombosis (7). The clinical manifestations of HES are highly heterogeneous. At the initial diagnosis, HES most commonly involves the skin (57%), respiratory system (54%), and digestive system (31%). Conversely, cardiac (<5%) and neurological (8%) complications are less frequent but represent the leading causes of disability-adjusted life years lost (8,9).
Challenges in the diagnosis and management of HES include: (I) differentiating it from mimics, such as eosinophilic granulomatosis with polyangiitis and Interleukin-5-driven diseases; and (II) balancing urgent interventions for life-threatening complications with the prevention of irreversible organ damage (10). Neurological complications range from peripheral neuropathy and cerebral embolism to eosinophilic meningitis (11,12).
This case is particularly significant, as it is the first reported instance of HES presenting with dual critical conditions; that is, acute cerebral infarction, and strangulated intestinal obstruction secondary to hepatic portal venous gas (HPVG). It provides new evidence for the early recognition of thromboembolic events and highlights the importance of a multidisciplinary treatment approach. We present this article in accordance with the CARE reporting checklist (available at https://qims.amegroups.com/article/view/10.21037/qims-2025-1070/rc).
Case presentation
A 66-year-old male was emergently admitted to Hangzhou First People’s Hospital on August 19, 2024 (Day 0), with the chief complaint of “sudden unsteady walking accompanied by deviation of the corner of the mouth for 15 hours”. Neurological examination revealed right central facial paralysis, characterized by shallowing of the nasolabial fold, and tongue deviation to the right when protruded, along with grade IV muscle strength in the right lower limb, increased muscle tone, and positive bilateral Babinski signs.
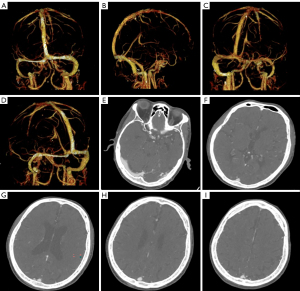
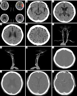
Laboratory tests revealed a white blood cell count of 14.3×109/L, of which, eosinophils accounted for 47.4% (absolute value: 6.76×109/L), and a platelet count of 64×109/L. An emergency triple head computed tomography (CT) [plain scan + computed tomography angiography (CTA) + computed tomography perfusion (CTP)] ruled out hemorrhage and major vascular lesions (Figures 1,2). Upon admission, the patient reported a 15-hour history of symptoms, exceeding the standard 4.5-hour time window for intravenous thrombolysis (IVT) as per the American Heart Association/American Stroke Association guidelines (13). Additionally, the laboratory results revealed a platelet count of 64×109/L, which further contraindicated IVT due to an increased risk of bleeding. Head CTA and CTP excluded large-vessel occlusion, and thrombocytopenia necessitated cautious anticoagulation strategies over thrombolytic therapy.
Nadroparin [2,050 International Unit (IU) every 12 hours (Q12H)] was initiated as anticoagulant therapy. Concomitantly, butylphthalide was administered for neuroprotection, alongside atorvastatin (20 mg once daily), mecobalamin [500 µg intravenous (IV) once daily], and cerebroprotein hydrolysate (60 mg IV once daily) as part of a multidisciplinary brain protection regimen (14). Moreover, butylphthalide, a neuroprotective agent that has been shown to improve cerebral microcirculation and reduce ischemic brain injury, was administered based on clinical trials demonstrating its efficacy in acute ischemic stroke (15,16). Concomitant with anticoagulation, a multidisciplinary brain protection regimen was initiated, including atorvastatin (20 mg once daily), mecobalamin (500 µg IV once daily), and cerebroprotein hydrolysate(60 mg IV once daily). Mecobalamin—a coenzyme form of vitamin B12—facilitates myelin repair, while cerebroprotein hydrolysate—composed of amino acids and peptides—promotes neuronal differentiation and synaptogenesis (17,18).
The patient’s condition deteriorated 24 hours after admission; muscle strength in the right limb progressively declined to grade II; D-dimer levels surged to 7,050 µg/L, and magnetic resonance imaging (MRI) confirmed an acute infarction in the left basal ganglia region. The antithrombotic regimen was escalated to clopidogrel 75 mg once daily. Meanwhile, chest CT revealed an infiltrative shadow in the right lung with accompanying pleural effusion, prompting the initiation of empirical antibiotic therapy with Ceftazidime.
On Day 3, imaging confirmed pulmonary embolism via pulmonary vascular CTA, and ultrasound of both lower extremities revealed multiple arterial plaques and thrombosis in the intermuscular veins of the right lower leg (Figures 3,4). Anticoagulation therapy was intensified with nadroparin (4,100 IU Q12H). On Day 4, the patient developed respiratory failure [peripheral oxygen saturation (SpO2) <90%], his D-dimer levels exceeded 50,000 µg/L, and his platelet count dropped to 37×109/L, presenting a “thrombosis-bleeding” treatment dilemma. Thrombocytopenia was initially attributed to eosinophil-mediated consumptive coagulopathy, with serial platelet counts showing a decline from 64×109/L (admission) to 37×109/L (Day 4). Heparin-induced thrombocytopenia (HIT) was ruled out due to: (I) the onset of thrombocytopenia within 48 hours of nadroparin initiation, which was shorter than the typical 5–10-day latency period for HIT (19); and (II) a platelet count decline of <50% from the baseline, which was below the diagnostic threshold for HIT (20).
Noting persistent fevers, worsening leukocytosis, and negative blood cultures, antibiotic therapy was escalated from ceftazidime to meropenem. This decision was based on: (I) the failure of broad-spectrum cephalosporin therapy within 72 hours; (II) a high suspicion of hospital-acquired pneumonia (HAP) in the context of mechanical ventilation; and (III) risk factors for multidrug-resistant pathogens. After consultation with the Department of Hematology, dexamethasone (10 mg once daily) was initiated to control hypereosinophilia. Due to persistent eosinophilia, the therapy was switched to prednisolone (15 mg three times a day), a higher-potency glucocorticoid, to achieve rapid immune suppression.
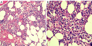
On Day 14, the classic triad of acute abdomen appeared; that is, diffuse abdominal tenderness, reduced bowel sounds, and CT evidence of intestinal pneumatosis. Bone marrow biopsy confirmed idiopathic HES, showing an increased proportion of eosinophils without evidence of clonality (Figure 5). Serological and laboratory investigations to exclude secondary eosinophilia were performed: specific allergen tests (including immunoglobulin E against common aeroallergens and food allergens) were negative; parasitic examinations (stool ova and parasite test, serum antibodies against Toxocara, Strongyloides, and Schistosoma) showed no abnormalities; and autoimmune panels (including the antinuclear antibody, anti-neutrophil cytoplasmic antibody, and anti-phospholipid antibody) were all within normal ranges. These findings ruled out reactive and secondary etiologies, supporting the diagnosis of idiopathic HES.
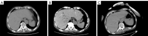
Despite stepwise anti-infection treatments, a follow-up CT on the 14th revealed HPVG with terminal ileal edema (Figure 6). Emergency exploratory laparotomy confirmed extensive intestinal necrosis, extending from 80 cm distal to the ligament of Treitz to the ascending colon. A radical intestinal resection was performed, leaving a residual small intestine of less than 50 cm, followed by a jejunostomy. By Day 28, with eosinophil counts normalized, the steroid regimen was gradually tapered: prednisolone was first reduced to 10 mg three times a day over 7 days, and the patient was then transitioned to dexamethasone (5 mg) once daily to minimize adrenal suppression.
Postoperatively, intensive care unit management focused on respiratory and circulatory support, balancing anticoagulation with the risk of bleeding (platelet transfusion and proton pump inhibitors), and titration of hormone therapy (dexamethasone 5 mg → 3 mg once daily). The Department of Gastrointestinal Surgery implemented a three-stage nutritional support plan. During the acute phase, total parenteral nutrition (PN) was administered. In the transitional phase, enteral nutrition (EN) with Peptisorb was introduced alongside restrictive PN. In the stable phase, the EN formula was optimized with dietary fiber supplementation.
On Day 114, digestive tract reconstruction was successfully completed, including stoma reduction and end-to-side anastomosis of the small intestine and colon. The anticoagulation regimen was adjusted to nadroparin 4,100 IU once daily to prevent re-embolism. At the time of discharge, dexamethasone 2.25 mg once daily was maintained, and follow-up confirmed a sustained normalization of eosinophil levels.
All procedures in this study were performed in accordance with the Declaration of Helsinki and its subsequent amendments. The study was approved by the Institutional Review Board of Hangzhou First People’s Hospital (No. 2025ZN080-1). Written informed consent was obtained from the patient for the publication of this case report and the accompanying images. A copy of the written consent form is available for review by the editorial office of this journal.
Discussion
Individual cases of cerebral infarction secondary to idiopathic HES have been reported (21-25); however, the spatiotemporal evolution and pathological mechanisms underlying the multi-system thrombotic events it triggers are not yet fully understood. Quantitative research on the threshold of eosinophil-mediated endothelial injury and the sequence of multi-organ embolism is limited. Further, no complete case report has documented idiopathic HES-related HPVG as a terminal event. This case presents a complex and rare scenario of idiopathic HES with multi-system involvement, severe thrombotic complications, and gastrointestinal manifestations.
The patient initially presented with acute neurological deficits. Significantly elevated peripheral blood eosinophils (absolute count: 6.76×109/L) provided an early indication of idiopathic HES. The diagnostic workup was critical in differentiating idiopathic HES from mimics: allergen tests, parasitic examinations, and autoimmune panels were negative, excluding reactive and secondary causes; and the absence of FIP1L1-PDGFRA fusion ruled out clonal subtypes (26,27). This case shows that a comprehensive workup is essential, as clonal HES may require imatinib, while idiopathic HES requires steroid maintenance.
The patient’s response to corticosteroids and durable remission further supported a diagnosis of idiopathic HES (28). Notably, while emergency triple head CT (plain scan + CTA + CTP) revealed no large-vessel occlusion or perfusion abnormalities, subsequent MRI confirmed an acute infarction in the basal ganglia, showing that eosinophil-mediated microvascular embolism may evade detection on routine imaging (29). The imaging-clinical discrepancy suggests a unique “biphasic pattern” in eosinophil-related cerebral infarction, characterized by direct blood-brain barrier disruption via eosinophil granule proteins and microcirculatory disturbances from the release of procoagulant substances like tissue factor and plasminogen activator inhibitor-1 (30). This observation provides two key clinical insights: (I) negative CTA results do not exclude idiopathic HES-related cerebral infarction, requiring close monitoring for distal microvascular embolism induced by eosinophil microparticles; and (II) eosinophil-derived extracellular traps, forming a “thromboinflammatory network” via NETosis can sustain thrombosis even with normal vascular imaging (31).
This case exemplifies the HES-associated “thrombotic storm;” within 24 hours of admission, the patient exhibited rapidly progressive neurological deficits, an exponential rise in D-dimer, and multi-system embolism (cerebral, pulmonary, and lower limb venous thrombosis), confirmed by multimodal imaging, reflecting eosinophil-mediated fulminant thrombosis. A distinct “three-level thrombus cascade” was observed: (I) eosinophil granule proteins disrupted vascular endothelial tight junctions and activated the extrinsic coagulation pathway; (II) eosinophil-derived microparticles carrying tissue factor bound to platelet glycoprotein VI, creating a procoagulant microenvironment; and (III) eosinophils released plasminogen activator inhibitor-1 at concentrations ~15 times higher than normal, stabilizing thrombi and impairing fibrinolysis (32). A “biphasic dissociation” between cerebrovascular imaging (CTA/CTP) and pathology was notable: (I) eosinophil infiltration caused blood-brain barrier disruption and microvascular spasm rather than mechanical large-vessel occlusion; and (II) positron emission tomography–CT demonstrated CD125+ eosinophil aggregation in the infarction area, indicating localized inflammation-thrombosis crosstalk (33). The mesenteric embolism likely originated from eosinophil-endothelial adhesion and coagulation-complement interactions (34).
On Day 4, acute respiratory failure (arterial partial pressure of oxygen/fraction of inspired oxygen =180), extremely elevated D-dimer (52,870 µg/L), and critical thrombocytopenia (37×109/L) created a challenging “thrombosis-bleeding scale imbalance”. Treatment required balancing anticoagulation necessity, the risk of bleeding, and complex immunopathology. Management included continuing nadroparin (4,100 IU Q12H) for pulmonary embolism control and administering dexamethasone (10 mg once daily) to inhibit the Janus Kinase-Signal Transducer and Activator of Transcription pathway and promote eosinophil apoptosis. Human Leukocyte Antigen-matched platelet transfusions were guided by thromboelastography to maintain hemostasis. This approach was based on the understanding that HES-associated thrombocytopenia is primarily consumptive, and appropriate anticoagulation may mitigate excessive platelet consumption (35,36).
Although thrombocytopenia contraindicates the use of warfarin or unfractionated heparin, it does not preclude the use of oral anticoagulants or low-molecular-weight heparin (LMWH) (37). In this case, LMWH was chosen, successfully reversing pulmonary embolism and preventing further cerebral infarction progression. Anticoagulation with LMWH was initiated to address microvascular thrombosis secondary to eosinophil-mediated hypercoagulability. Therefore, in patients with HES and documented thromboembolic events, the early initiation of LMWH may improve outcomes by addressing eosinophil-mediated hypercoagulability (38). This recommendation is rooted in case series demonstrating reduced recurrent thrombosis with LMWH in HES, though randomized data are lacking (38). In non-thrombotic HES, anticoagulation should be tailored to individual risk factors, such as the eosinophil count and organ involvement.
Nadroparin was selected as the anticoagulant due to its documented utility in HES-related thrombotic events (14), balancing the need to mitigate eosinophil-mediated hypercoagulability against the bleeding risk of thrombocytopenia. Unlike unfractionated heparin [contraindicated in severe thrombocytopenia (39)] or warfarin [which carries a risk of exacerbated bleeding (40)], LMWHs have a more favorable safety profile in mild-to-moderate thrombocytopenia when thrombosis risk predominates (41). This aligns with evidence that LMWHs can disrupt eosinophil-derived procoagulant microparticles (32). Neuroprotective agents were chosen based on their established roles in acute ischemic stroke; butylphthalide improves cerebral microcirculation (15,16), atorvastatin stabilizes endothelial function (42), mecobalamin supports myelin repair (17), and cerebroprotein hydrolysate promotes neuronal recovery (18). This multimodal approach targeted both thromboinflammatory mechanisms and secondary brain injury.
Two critical events marked key diagnostic and therapeutic turning points: (I) the temporal progression of acute abdomen—from early mesenteric ischemia signs (abdominal pain and constipation) to HPVG-driven strangulated obstruction, following a 14-day “ischemic compensation–decompensation” process; and (II) the bone marrow biopsy confirmation of idiopathic HES, excluding clonal and secondary etiologies and identifying eosinophil-mediated microangiopathy as the core mechanism.
HPVG formation in HES follows a “three-level cascade”: (I) eosinophil toxic proteins (major basic protein and eosinophil peroxidase) damage the intestinal mucosal barrier and induce microvascular spasm; (II) aerogenic bacteria infiltrate the portal system through the compromised mucosa; and (III) ischemia-reperfusion injury increases intestinal permeability, allowing gas entry into the bloodstream. A 10-day interval separated the initial abdominal pain (Day 4) and HPVG appearance (Day 14). CT imaging during this period revealed no mesenteric vascular occlusion, suggesting microcirculatory embolism predominance. This highlights the need for an “HES intestinal ischemia risk score” to improve early detection.
Postoperative management employed an “anticoagulation and anti-inflammation dual-track strategy”: LMWH was restarted 6 hours post-surgery, and the dexamethasone dosage was dynamically adjusted based on the eosinophil apoptosis index. To enhance the early detection of intestinal ischemia, we recommend ultra-high-resolution CT combined with serum intestinal fatty acid-binding protein detection (43). Additionally, while initial anti-infective therapy created a misleading “pseudo-remission”, the monitoring of key indicators (e.g., pain changes with body position, bowel sound alterations relative to analgesics, and inflammatory marker decreases coinciding with rising D-dimer levels) was crucial (44). The antibiotic escalation to meropenem reflected HAP management guidelines, addressing nosocomial infection and bacterial translocation risks from ischemic mucosa (45).
The patient had reported abdominal pain and constipation 10 days prior to his admission, which raised concern for early mesenteric ischemia. However, due to right lower quadrant pain localization and the absence of mesenteric embolism/thrombosis on initial CT, he was diagnosed with appendicitis with incomplete obstruction, leading to conservative treatment. Recurrence followed initial symptom improvement, complicating the condition, delaying definitive treatment, and increasing management difficulty. For future HES patients presenting with abdominal pain and constipation, the monitoring of acute mesenteric ischemia is essential. If symptoms recur after conservative treatment, timely surgical intervention should be considered to prevent severe ischemia and necrosis. Further, in HPVG cases, postoperative CT should be used to monitor pneumatosis resolution.
The successful management of this case relied heavily on multidisciplinary collaboration (46). The emergency department initiated early antithrombotic and neuroprotective measures. The hematology, respiratory medicine, and gastroenterology departments managed hypereosinophilia, pulmonary infections/embolism, and gastrointestinal complications. Further, the gastrointestinal surgery department’s “three-stage nutritional support” plan was crucial post-extensive resection. Anticoagulation regimen adjustments and corticosteroid titration required close multi-specialty coordination throughout the patient’s treatment.
Conclusions
This case report underscores the importance of the early detection of HES in patients presenting with atypical thrombotic and multi-system manifestations. The complex management challenges, including the “thrombosis-bleeding” paradox and severe gastrointestinal complications, highlight the necessity of a multidisciplinary approach. Further research is needed to gain a deeper understanding of the pathophysiological mechanisms of HES-related thrombosis and to develop more effective diagnostic and treatment strategies.
Acknowledgments
None.
Footnote
Reporting Checklist: The authors have completed the CARE reporting checklist. Available at https://qims.amegroups.com/article/view/10.21037/qims-2025-1070/rc
Funding: This study was supported by
Conflicts of Interest: All authors have completed the ICMJE uniform disclosure form (available at https://qims.amegroups.com/article/view/10.21037/qims-2025-1070/coif). The authors have no conflicts of interest to declare.
Ethical Statement: The authors are accountable for all aspects of the work in ensuring that questions related to the accuracy or integrity of any part of the work are appropriately investigated and resolved. This study was approved by the Institutional Review Board of Hangzhou First People’s Hospital (No. 2025ZN080-1). All procedures performed in this study were in accordance with the Declaration of Helsinki and its subsequent amendments. Written informed consent was obtained from the patient for publication of this case report and accompanying images. A copy of the written consent is available for review by the editorial office of this journal.
Open Access Statement: This is an Open Access article distributed in accordance with the Creative Commons Attribution-NonCommercial-NoDerivs 4.0 International License (CC BY-NC-ND 4.0), which permits the non-commercial replication and distribution of the article with the strict proviso that no changes or edits are made and the original work is properly cited (including links to both the formal publication through the relevant DOI and the license). See: https://creativecommons.org/licenses/by-nc-nd/4.0/.
References
- Curtis C, Ogbogu P. Hypereosinophilic Syndrome. Clin Rev Allergy Immunol 2016;50:240-51.
- Valent P, Klion AD, Horny HP, Roufosse F, Gotlib J, Weller PF, Hellmann A, Metzgeroth G, Leiferman KM, Arock M, Butterfield JH, Sperr WR, Sotlar K, Vandenberghe P, Haferlach T, Simon HU, Reiter A, Gleich GJ. Contemporary consensus proposal on criteria and classification of eosinophilic disorders and related syndromes. J Allergy Clin Immunol 2012;130:607-612.e9.
- Gotlib J. World Health Organization-defined eosinophilic disorders: 2014 update on diagnosis, risk stratification, and management. Am J Hematol 2014;89:325-37. [Crossref] [PubMed]
- Crane MM, Chang CM, Kobayashi MG, Weller PF. Incidence of myeloproliferative hypereosinophilic syndrome in the United States and an estimate of all hypereosinophilic syndrome incidence. J Allergy Clin Immunol 2010;126:179-81. [Crossref] [PubMed]
- Weller PF, Bubley GJ. The idiopathic hypereosinophilic syndrome. Blood 1994;83:2759-79.
- Rapanotti MC, Caruso R, Ammatuna E, Zaza S, Trotta L, Divona M, Cicconi L, Funaro D, Federici G, Amadori S, De Rossi G, Lo-Coco F. Molecular characterization of paediatric idiopathic hypereosinophilia. Br J Haematol 2010;151:440-6. [Crossref] [PubMed]
- Akuthota P, Weller PF. Spectrum of Eosinophilic End-Organ Manifestations. Immunol Allergy Clin North Am 2015;35:403-11. [Crossref] [PubMed]
- Ogbogu PU, Bochner BS, Butterfield JH, Gleich GJ, Huss-Marp J, Kahn JE, Leiferman KM, Nutman TB, Pfab F, Ring J, Rothenberg ME, Roufosse F, Sajous MH, Sheikh J, Simon D, Simon HU, Stein ML, Wardlaw A, Weller PF, Klion AD. Hypereosinophilic syndrome: a multicenter, retrospective analysis of clinical characteristics and response to therapy. J Allergy Clin Immunol 2009;124:1319-25.e3. [Crossref] [PubMed]
- Mankad R, Bonnichsen C, Mankad S. Hypereosinophilic syndrome: cardiac diagnosis and management. Heart 2016;102:100-6. [Crossref] [PubMed]
- Klion AD. Approach to the patient with suspected hypereosinophilic syndrome. Hematology Am Soc Hematol Educ Program 2022;2022:47-54. [Crossref] [PubMed]
- Moore PM, Harley JB, Fauci AS. Neurologic dysfunction in the idiopathic hypereosinophilic syndrome. Ann Intern Med 1985;102:109-14. [Crossref] [PubMed]
- Romano S, Avola G, Angeli MC, Brazzale F, Giacopazzi E, Castellini P, Genovese A. Multiple Cerebral Infarcts and Encephalopathy as the First Clinical Manifestations of Hypereosinophilic Syndrome: A Case Report and Narrative Review. Pulse (Basel) 2024;12:106-12. [Crossref] [PubMed]
- McCoy CE, Langdorf MI, Lotfipour S. American Heart Association/American Stroke Association Deletes Sections from 2018 Stroke Guidelines. West J Emerg Med 2018;19:947-51. [Crossref] [PubMed]
- Aslan V, Entok E, Factor V. Leiden mutation and deep venous thrombosis in a patient with hypereosinophilic syndrome. Saudi Med J 2006;27:1418-20.
- Xin-Shuai L, Zhou JQ, Chen XF, Chen X, Feng PF. Meta-analysis of the efficacy and safety of Ginkgolide Meglumine Injection combined with Butylphthalide in the treatment of Acute Ischemic Stroke. PLoS One 2024;19:e0296508. [Crossref] [PubMed]
- Dang C, Wang Q, Zhuang Y, Li Q, Lu Y, Xiong Y, Feng L. Synergistic effects of neuroprotective drugs with intravenous recombinant tissue plasminogen activator in acute ischemic stroke: A Bayesian network meta-analysis. PLoS One 2024;19:e0311231. [Crossref] [PubMed]
- Yuan M, Wang B, Tan S. Mecobalamin and early functional outcomes of ischemic stroke patients with H-type hypertension. Rev Assoc Med Bras (1992) 2018;64:428-32. [Crossref] [PubMed]
- Zhào H, Wang R, Zhang Y, Liu Y, Huang Y. Neuroprotective effects of troxerutin and cerebroprotein hydrolysate injection on the neurovascular unit in a rat model of Middle cerebral artery occlusion. Int J Neurosci 2021;131:264-78. [Crossref] [PubMed]
- Warkentin TE. Heparin-induced thrombocytopenia: pathogenesis and management. Br J Haematol 2003;121:535-55. [Crossref] [PubMed]
- Cuker A, Arepally GM, Chong BH, Cines DB, Greinacher A, Gruel Y, Linkins LA, Rodner SB, Selleng S, Warkentin TE, Wex A, Mustafa RA, Morgan RL, Santesso N. American Society of Hematology 2018 guidelines for management of venous thromboembolism: heparin-induced thrombocytopenia. Blood Adv 2018;2:3360-92. [Crossref] [PubMed]
- Ahn SW, Han MK. Multiple bilateral cerebral infarcts in a patient with idiopathic hypereosinophilic syndrome. Neurol India 2010;58:793-4. [Crossref] [PubMed]
- Wise FM, Olver JH A. 66-year-old man with multiple cerebral and cerebellar infarcts due to idiopathic hypereosinophilic syndrome. J Clin Neurosci 2013;20:1442-3. [Crossref] [PubMed]
- Li QF, Zhang Q, Huang YF, Zhang ZX. Acute progressive stroke with middle cerebral artery occlusion caused by idiopathic hypereosinophilic syndrome: a case report. BMC Neurol 2020;20:361. [Crossref] [PubMed]
- Hwang JW, Kim H, Cho SW, Shin YC, Kim HS, Cho YJ, Kwak JJ. Idiopathic hypereosinophilic syndrome with intracardiac atypical linear-shaped and floating thrombus presenting as embolic cerebral infarction. J Cardiol Cases 2021;23:193-7. [Crossref] [PubMed]
- Singla N, Prabhakar A, Pradhan N, Sreedharanunni S, Sachdeva MS, Kohli HS, Gupta K. Idiopathic hypereosinophilic syndrome presenting with stroke. Clin Neuropathol 2024;43:92-7. [Crossref] [PubMed]
- Tomonaga M. Outline and direction of revised WHO classification of Tumors of Haematopoietic and Lymphoid Tissues. Rinsho Ketsueki 2009;50:1401-6.
- Bondue A, Carpentier C, Roufosse F. Hypereosinophilic syndrome: considerations for the cardiologist. Heart 2022;108:164-71. [Crossref] [PubMed]
- Kuang FL, Fay MP, Ware J, Wetzler L, Holland-Thomas N, Brown T, Ortega H, Steinfeld J, Khoury P, Klion AD. Long-Term Clinical Outcomes of High-Dose Mepolizumab Treatment for Hypereosinophilic Syndrome. J Allergy Clin Immunol Pract 2018;6:1518-1527.e5. [Crossref] [PubMed]
- Saeed M, Hetts SW, Jablonowski R, Wilson MW. Magnetic resonance imaging and multi-detector computed tomography assessment of extracellular compartment in ischemic and non-ischemic myocardial pathologies. World J Cardiol 2014;6:1192-208. [Crossref] [PubMed]
- Liapis H, Ho AK, Brown D, Mindel G, Gleich G. Thrombotic microangiopathy associated with the hypereosinophilic syndrome. Kidney Int 2005;67:1806-11. [Crossref] [PubMed]
- Dou H, Wang R, Tavallaie M, Xiao T, Olszewska M, Papapetrou EP, Tall AR, Wang N. Hematopoietic and eosinophil-specific LNK(SH2B3) deficiency promotes eosinophilia and arterial thrombosis. Blood 2024;143:1758-72. [Crossref] [PubMed]
- Hong SN, Zhang YL, Rhee CS, Kim DY. Probable Roles of Coagulation Cascade and Fibrinolysis System in the Development of Allergic Rhinitis. Am J Rhinol Allergy 2019;33:137-44. [Crossref] [PubMed]
- Xue J, Ma D, Jiang J, Liu Y. Diagnostic and Prognostic Value of Immune/Inflammation Biomarkers for Venous Thromboembolism: Is It Reliable for Clinical Practice? J Inflamm Res 2021;14:5059-77. [Crossref] [PubMed]
- Kobayashi K, Nishimura Y, Yamashita T, Nishiuma T, Satouchi M, Yokoyama M. The effect of overexpression of endothelial nitric oxide synthase on eosinophilic lung inflammation in a murine model. Int Immunopharmacol 2006;6:1040-52. [Crossref] [PubMed]
- Lin J, Huang X, Zhou W, Zhang S, Sun W, Wang Y, Ren K, Tian L, Xu J, Cao Z, Pu Z, Han X. Thrombosis in the portal venous system caused by hypereosinophilic syndrome: A case report. Medicine (Baltimore) 2018;97:e13425. [Crossref] [PubMed]
- Tateishi A, Mitsui H, Oki T, Morishita J, Maekawa H, Yahagi N, Maruyama T, Ichinose M, Ohnishi S, Shiratori Y, Minami M, Koutetsu S, Hori N, Watanabe T, Nagawa H, Omata M. Extensive mesenteric vein and portal vein thrombosis successfully treated by thrombolysis and anticoagulation. J Gastroenterol Hepatol 2001;16:1429-33. [Crossref] [PubMed]
- Gao SJ, Wei W, Chen JT, Tan YH, Yu CB, Litzow MR, Liu QJ. Hypereosinophilic syndrome presenting with multiple organ infiltration and deep venous thrombosis: A case report and literature review. Medicine (Baltimore) 2016;95:e4658. [Crossref] [PubMed]
- Williams AK, Dou C, Chen LYC. Treatment of lymphocyte-variant hypereosinophilic syndrome (L-HES): what to consider after confirming the elusive diagnosis. Br J Haematol 2021;195:669-80. [Crossref] [PubMed]
- Afshari A. Evidence based evaluation of immuno-coagulatory interventions in critical care. Dan Med Bull 2011;58:B4316.
- Lecumberri R, Ruiz-Artacho P, Trujillo-Santos J, Brenner B, Barillari G, Ruiz-Ruiz J, Lorente MA, Verhamme P, Vázquez FJ, Weinberg I, Monreal M. Management and outcomes of cancer patients with venous thromboembolism presenting with thrombocytopenia. Thromb Res 2020;195:139-45. [Crossref] [PubMed]
- Saad RA. Heparin-induced thrombocytopenia: pathogenesis and management. Br J Haematol 2003;123:373-4; author reply 374. [Crossref] [PubMed]
- Yin Z, You S, Zhang S, Zhang L, Wu B, Huang X, Lu S, Cao L, Zhang Y, Li D, Zhang X, Liu J, Sun Y, Zhang N. Atorvastatin rescues vascular endothelial injury in hypertension by WWP2-mediated ubiquitination and degradation of ATP5A. Biomed Pharmacother 2023;166:115228. [Crossref] [PubMed]
- van der Voort PH, Westra B, Wester JP, Bosman RJ, van Stijn I, Haagen IA, Loupatty FJ, Rijkenberg S. Can serum L-lactate, D-lactate, creatine kinase and I-FABP be used as diagnostic markers in critically ill patients suspected for bowel ischemia. BMC Anesthesiol 2014;14:111. [Crossref] [PubMed]
- Crapé L, Strubbe B, Cesmeli E, de Clerck F. A man with abdominal pain and eosinophilia : tissue is the issue. Acta Gastroenterol Belg 2019;82:532-5.
- Kalil AC, Metersky ML, Klompas M, Muscedere J, Sweeney DA, Palmer LB, Napolitano LM, O'Grady NP, Bartlett JG, Carratalà J, El Solh AA, Ewig S, Fey PD, File TM Jr, Restrepo MI, Roberts JA, Waterer GW, Cruse P, Knight SL, Brozek JL. Management of Adults With Hospital-acquired and Ventilator-associated Pneumonia: 2016 Clinical Practice Guidelines by the Infectious Diseases Society of America and the American Thoracic Society. Clin Infect Dis 2016;63:e61-e111. [Crossref] [PubMed]
- Abo Shdid R, Azrieh B, Alebbi S, Mansour S, Naeem M. Idiopathic Hypereosinophilic Syndrome with Multiple Organ Involvement. Case Rep Oncol 2021;14:249-55. [Crossref] [PubMed]

