Computed tomographic angiography- and magnetic resonance imaging-based diagnosis of abdominal aortic aneurysm with perianeurysmal fibrosis: from presence to consequences
Introduction
Abdominal aortic aneurysm (AAA) combined with chronic periaortitis (1), including perianeurysmal fibrosis (PAF), idiopathic retroperitoneal fibrosis, and inflammatory aneurysm, comprises 3–10% of all AAAs (2). PAF is characterized by aortic wall thickening outside the circle of calcification or late contrast enhancement outside the aortic adventitia (3). Its pathogenesis is multifactorial, involving mechanisms include lymphatic compression, autoimmune response, and chronic inflammatory reaction with atherosclerotic plaques (2-4). However, these insights derive predominantly from pathological analysis, and the temporal relationship between PAF onset and AAA development by longitudinal clinical observations remains known.
Clinically, PAF can lead to compression of adjacent structures, resulting in symptoms such as hydronephrosis, chronic pain, or venous obstruction. Additionally, the inflammatory processes contributing to PAF formation may weaken the aortic wall, potentially increasing the risk of rupture (5). Despite its clinical significance, PAF remains understudied, and its impact on patient outcomes is not fully understood.
Furthermore, there is a lack of consensus on the management of AAA with PAF. Current therapeutic options include medical treatment (e.g., steroid or immunosuppressive drugs), open surgery, and endovascular aneurysm repair (EVAR) (6). Each method is associated with certain advantages and disadvantages. Although medical treatment can alleviate the inflammatory process, whether it halting the AAA progression or obviating the need for surgical intervention remains unclear (7). While open surgery and EVAR can reduce the aneurysm size, they often only partially address the PAF and may not reverse its progression. Moreover, PAF can complicate surgical repair by obscuring anatomical landmarks and increase the risk of injury to surrounding tissues (5,8,9). The optimal treatment likely depends on the aneurysm characteristics, patient comorbidities, and risk factors.
Imaging plays a critical role in diagnosing and monitoring AAA with PAF. Computed tomographic angiography (CTA) can delineate the aneurysm and thickened aortic wall (10), while delayed gadolinium-enhanced magnetic resonance imaging (MRI) often reveals pronounced enhancement (8). Both modalities are valuable for accurate diagnosis and post-treatment follow-up for AAA with PAF. However, previous studies have focused on the pathogenesis and therapy of AAA with PAF, while research on its process of occurrence and outcome with different kinds of therapy remains limited.
This study aims to address the research gap by looking at two areas: (I) investigate the temporal sequence between AAA and PAF through longitudinal imaging follow-up; (II) focus on medical therapy and EVAR in modulating PAF progression in patients with AAA, and provide evidence-based guidance for clinical management. We present this article in accordance with the STROBE reporting checklist (available at https://qims.amegroups.com/article/view/10.21037/qims-2025-1367/rc).
Methods
Patients
A total of 351 patients from the Beijing Anzhen Hospital (Beijing, China), Seventh Affiliated Hospital of Sun Yat-sen University (Guangdong, China), and Shanghai DeltaHealth Hospital (Shanghai, China) were retrospectively reviewed between September 2015 and December 2021. AAA was defined as an aortic diameter of >3 cm or an enlargement of at least 1.5 times the size of the normal aorta (8). Patients with no further treatment were excluded. Follow-up began at the time of first diagnosis of AAA on imaging, then ended at the last imaging after therapy before December 2021. Demographic details, clinical features, and medical history were collected. Patients who presented with PAF before treatment were documented using CTA or MRI. This study was conducted in accordance with the Declaration of Helsinki and its subsequent amendments. This study was approved by the Institutional Review Board (IRB) of Beijing Anzhen Hospital (approval No. 2024107X), which served as the central ethics committee for this multicenter study. All participating institutions were informed of the study protocol and agreed to the ethical approval from the leading center. Given the retrospective nature of the study and the use of fully anonymized data, the requirement for informed consent was waived by the IRB.
CTA and MRI images
In this study, all patients underwent standard CTA examination. In particular, two patients in the open surgery group additionally underwent preoperative MRI examination, mainly to assess whether inflammation was in an active phase, and the extent of involvement of surrounding tissues, thus, MRI was applied to differential diagnosis before open surgery.
CTA imaging protocol
The CTA images were acquired on four different scanners, including a 256-slice computed tomography (CT; Revolution CT, GE Healthcare, Milwaukee, WI, USA), a 320-slice CT (Aquilion One, Toshiba, Otawara, Japan), and two 128-slice CTs (Somatom Definition Flash, Siemens Healthcare, Forchheim, Germany). The tube voltage was either 100 or 120 kV, as automatically determined by the kV assist; the tube current was set to 320 mA with dynamic current modulation; beam collimation was 0.625 mm for 128- and 256-slice CT and 0.5 mm for 320-slice CT; and reconstruction slice thickness was 1 mm. All patients who underwent CTA examinations were intravenously injected with a contrast agent (370 mg of iodine/mL, Ultravist, Bayer Schering Pharma, Berlin, Germany), and the scanning procedure was initiated when a threshold of 200 Hounsfield units was reached in the aorta. Bolus tracking was performed in the descending aorta at the level of the bifurcation of the trachea. The flow volume was 1.5 mL/kg × weight (kg), and the flow rate was 4–5 mL/s.
MRI protocol
The MRI examinations were performed on a 3.0-T MRI (Ingenia, Philips Medical Systems, the Netherlands) with a 32-channel coil. T1-weighted imaging [T1WI; echo time (TE) =25 ms, repetition time (TR) =800 ms, field of view (FOV) =350×350, matrix =288×288, slice thickness =8 mm, and slice gap =8.8 mm]; T2-weighted imaging (T2WI)-fat suppression (TE =70 ms, TR =1,250 ms, FOV =350×350, matrix =480×480, slice thickness =7 mm, and slice gap =8 mm); and contrast-enhanced magnetic resonance angiography (TE =0 ms, TR =3.7 ms, FOV =400×400, matrix =1,024×1,024, slice thickness =5 mm, and slice gap =6 mm) images were acquired before and after administering the contrast medium. A post-contrast scan was performed after the intravenous injection of gadopentetate dimeglumine (Magnevist, Bayer, 0.2 mmol/kg body weight) at a rate of 2 mL/s, followed by 30 mL of saline at the same rate. The optimal acquisition time was determined using a bolus tracking sequence. Early and delayed enhanced images were obtained 1 and 15 min after contrast agent injection, respectively. A breath-holding technique but no electrocardiography was adopted to minimize respiration artifacts (11). CT and MRI scanning parameters including in-plan resolution are provided in Appendix 1.
Imaging analysis
All images were evaluated by two experienced radiologists, each with >5 years of experience in interpreting cardiac images. PAF was considered to be present as a thickening outside the aortic wall (outside the circle of calcification) or the tissue wrapping the AAA on delayed contrast enhancement but not as visceral. On the CTA and magnetic resonance images, normal AAA comprised three layers: the lumen, thrombus with no enhancement, and the aortic wall. The PAF was present as the fourth layer outside the aortic wall, slightly enhanced on CTA and more prominently on delayed contrast-enhanced MRI. The two radiologists measured the same thickest part of the PAF and the maximal diameter of the AAA. The average of their results for each patient, both before and after therapy, was used as the final value. PAF thickness was measured only on thin-section (1 mm) CTA. MRI data were restricted to evaluating temporal relationships in selected surgical candidates.
Statistical analysis
The data were analyzed using SPSS 26.0 (SPSS, Inc., IBM Corp., Armonk, NY, USA). Continuous variables were expressed as mean (standard deviation). The thickest part of PAF and the maximal diameter of AAA before and after treatment were compared using the Wilcoxon signed-rank test (exact method for n≤10, asymptotic for n>10). For paired nonparametric comparisons (Wilcoxon signed-rank tests), effect sizes and their confidence intervals (CIs) were calculated as follows—(I) median difference with 95% CI: derived via the Hodges-Lehmann estimator, which calculates the median of all possible paired differences and its exact permutation-based CI. (II) Matched-pairs rank-biserial correlation (rrb): computed using the formula W/[(n × (n + 1)/2)] × 2 − 1, where (W) is the smaller sum of signed ranks, and (n) is the effective sample size (excluding zero differences). (III) Conversion to (rrb) 95% CI: the Hodges-Lehmann CI bounds were standardized to the (rrb) scale by dividing by the maximum possible difference observed in the data, preserving directionality. All analyses prioritized exact methods for small samples (n≤10) and were performed using SPSS v26. The D-values of the thickest part of PAF and the maximal diameter of AAA were compared between the EVAR and medical treatment group using Quade’s analysis of covariance (ANCOVA). For the D-value of PAF thickness, analyses were adjusted for baseline PAF thickness. And for the D-value of AAA maximal diameter, analyses incorporated baseline maximal diameter of AAA, baseline PAF thickness, and D-value of PAF thickness. Then Mann-Whitney U test was performed. The D-value represents the difference in maximal diameters between pre- and post-treatment, including PAF and AAA maximal diameters. While nonparametric tests were employed throughout, results from groups with n<10 should be considered exploratory given reduced statistical power.
Results
Demographics, clinical features, and medical history
As detailed in Figure 1, of the 351 patients with AAA, 97 who received no treatment were excluded. Additionally, among 225 patients without pre-EVAR PAF, 217 remained PAF-free post-operation while 8 developed de novo PAF (included in final analysis). The cohort also included 29 treatment-naïve patients with pre-existing PAF (22 EVAR, 5 medical therapy, 2 open repair). The patient characteristics are listed in Table 1. The prevalence of PAF was 8.3%. The median follow-up for all enrolled four group patients was 4 months [interquartile range (IQR), 2–8 months], while in the EVAR group, medical therapy group, open surgery group, and the PAF post-EVAR, the median follow-up was 3 months (IQR, 2–8.8 months), 4 months (IQR, 2–6.5 months), 48 months (IQR, 48.0–48.0 months), 5 months (IQR, 4.0–7.8 months), respectively.
Table 1
| Study population characteristics | Total patients | PAF before treatment | PAF post-EVAR | ||
|---|---|---|---|---|---|
| EVAR group | Medicine group | Surgery group | |||
| No. of patients | 37 | 22 | 5 | 2 | 8 |
| Gender (male/female) | 35/2 | 21/1 | 5/0 | 2/0 | 7/1 |
| Age (years) | 65 (60.0–72.3) | 65 (60.0–72.3) | 63 (54.0–67.0) | 50 (38.0–62.0) | 71 (62.3–79.3) |
| Medicine history | |||||
| Hypertension | 22 (75.9) | 17 (72.3) | 3 (60.0) | 2 (100.0) | 8 (100.0) |
| Hyperlipidemia | 15 (51.7) | 10 (45.5) | 5 (100.0) | 2 (100.0) | 3 (37.5) |
| Diabetes mellitus | 5 (6.9) | 5 (22.7) | – | – | 3 (37.5) |
| Smoking | 16 (55.2) | 13 (59.1) | 3 (60.0) | – | 3 (37.5) |
| Follow-up months | 4 (2.0–8.0) | 3 (2.0–8.8) | 4 (2–6.5) | 48 (48.0–48.0) | 5 (4.0–7.8) |
Data are presented as number, median (interquartile range), or n (%). EVAR, endovascular aneurysm repair; PAF, perianeurysmal fibrosis.
Changes in PAF thickness and AAA maximal diameter following medical treatment and EVAR
Alterations in PAF thickness and AAA maximal diameter before and after treatment were compared between the medical treatment and the EVAR group. The maximal diameter of AAA was significantly reduced after EVAR [median 56.1 mm (IQR, 45.6–70.5 mm) postoperatively vs. 58.4 mm (IQR, 47.5–72.1 mm) preoperatively; P=0.001] (Table 2). Meanwhile, the PAF thickness showed a decreasing trend after medical treatment [median 5.5 mm (IQR, 5.3–8.0 mm) post-treatment vs. 12.7 mm (IQR, 10.9–15.0 mm) baseline], though statistical significance was marginal (asymptotic P=0.043; exact P=0.063) (Table 3). The result of effect size was shown in Table 4. PAF thickness decreased by a median −5.0 mm (95% CI: −7.73 to −3.39) with perfect response consistency (rrb=−1.0). The median reduction in PAF thickness indicated a clinically substantial decrease beyond the measurement error margin. The rank-biserial correlation demonstrated perfect directional consistency, with all participants showing reduction (negative values indicate unanimous decrease). The effect sizes robustly validate EVAR’s efficacy for AAA diameter reduction, addressing both clinical magnitude (median =−3.0 mm) and effect stability (rrb=−0.8). Notably, these distinct responses align with the mechanisms of each therapy: medical treatment targets periaortic inflammation (reducing PAF thickness), while EVAR primarily prevents mechanical expansion (reducing AAA diameter). However, the small sample size (n=5 in medical group) limits the reliability of this comparison.
Table 2
| Variables | EVAR-group | z | P value | |
|---|---|---|---|---|
| Pre-EVAR | Post-EVAR | |||
| Aneurysm max diameter (mm) | 58.4 (47.5–72.1) | 56.1 (45.6–70.5) | −3.280 | 0.001* |
| PAF max thickness (mm) | 5.9 (4.1–9.2) | 5.5 (4.3–8.8) | −0.763 | 0.445 |
Data are presented as median (interquartile range). *, P<0.05. EVAR, endovascular aneurysm repair; PAF, perianeurysmal fibrosis.
Table 3
| Variables | Medicine group | z | Asymptotic P | Exact P | |
|---|---|---|---|---|---|
| Pre-medicine | Post-medicine | ||||
| Aneurysm max diameter (mm) | 50.6 (41.3–73.0) | 45.1 (41.1–57.6) | −1.753 | 0.080 | 0.125 |
| PAF max thickness (mm) | 12.7 (10.9–15.0) | 5.5 (5.3–8.0) | −2.023 | 0.043* | 0.063 |
Data are presented as median (interquartile range). *, interpret with caution due to small sample size (n=5). Exact methods used where n<10. PAF, perianeurysmal fibrosis.
Table 4
| Analysis between groups | Metric | Value | 95% CI |
|---|---|---|---|
| PAF (medicine group) | Median difference (mm) | −5 | −7.73 to −3.39 |
| Rank-biserial r | −1 | −1.27 to −0.58 | |
| Aneurysm max diameter (EVAR group) | Median difference (mm) | −3 | −4.75 to −1.25 |
| Rank-biserial r | −0.8 | −2.60 to −0.1 |
AAA, abdominal aortic aneurysm; CI, confidence interval; EVAR, endovascular aneurysm repair; PAF, perianeurysmal fibrosis.
The D-vale of the PAF thickness change before and after treatment
In the Quade’s ANCOVA analysis comparing D value of PAF (pre- to post-treatment) and maximum diameter (pre- to post-treatment) between the medicine and EVAR groups, the medicine group demonstrated greater reductions in PAF thickness. The median PAF decrease was substantially larger in the medicine group [4.7 (IQR, 3.9–6.4)] compared to the EVAR group [0.29 (IQR, −0.9 to 1.4); asymptotic P=0.003, exact P=0.001]. And, the median maximum diameter reduction was no significance in the medicine group [5.5 (IQR, 0.2–15.4)] versus the EVAR group [2.3 (IQR, 0.4–5.7); asymptotic P=0.053, exact P=0.055]
(Table 5).
Table 5
| D-value (pre-post therapy) | EVAR group | Medicine group | z | Asymptotic P | Exact P |
|---|---|---|---|---|---|
| PAF (mm) | 0.29 (−0.9 to 1.4) | 4.7 (3.9 to 6.4) | 2.996 | 0.003* | 0.001* |
| Aneurysm max diameter (mm) | 2.3 (0.4 to 5.7) | 5.5 (0.2 to 15.4) | 1.935 | 0.053 | 0.055 |
Data are presented as median (interquartile range). *, P<0.05. EVAR, endovascular aneurysm repair; PAF, perianeurysmal fibrosis.
PAF emergence following AAA
An interesting phenomenon was observed in the open surgery group, i.e., the PAF is secondary to AAA progression, as illustrated in Figure 2. A 62-year-old male with known AAA developed PAF during follow-up. He subsequently underwent open repair (OR) for AAA management. The patient’s first CTA scan acquired in December 2017 showed that the abdominal aorta was dilated, with a smooth aortic wall (as shown in Figure 2A). The second CTA scan, obtained in November 2020, showed that PAF emerged (as shown in Figure 2B). Subsequently, progression of both PAF thickness and the maximal diameter of AAA was documented on the third CTA (as shown in Figure 2C) and MRI (as shown in Figure 2D) performed in January 2021. The PAF exhibited mild enhancement in the arterial phase in the MRI (as shown in Figure 2E). Delayed enhancement indicated that the PAF was significantly enhanced (as shown in Figure 2F). These images are all preoperative examinations.
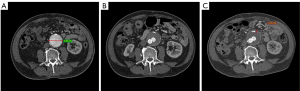
De novo PAF post-EVAR
Additionally, eight patients developed PAF after EVAR (Figure 3). An 80-year-old male patient’s first CTA scan in December 2018 suggested that the abdominal aorta was dilated, with a smooth aortic wall (as shown in Figure 3A). Two months after the EVAR procedure, PAF was not seen around the aortic wall (as shown in Figure 3B). However, 6 months after EVAR, PAF surrounded the aortic wall (as shown in Figure 3C).
Discussion
This small pilot study suggested a potential decrease in PAF thickness after medical treatment, while statistical testing is underpowered (n=5), the unanimity of treatment response (5/5 patients showed reduction) and large effect sizes warrant further investigation. Furthermore, the reduction in PAF thickness (calculated as baseline thickness minus post-treatment thickness, termed D-value) was significantly greater in the medical treatment group compared to the EVAR group. Nonetheless, EVAR demonstrated effectiveness in reducing the maximal AAA diameter showed in Table 2, consistent with established literature (12,13). Interestingly, PAF may develop either as a secondary manifestation of AAA progression or as a sequela following EVAR. This phenomenon highlights the need for clinicians to monitor PAF changes in AAA patients, irrespective of the treatment modality employed.
In our study, medical therapy reduced the PAF thickness, which agrees with the findings from previous works (14,15). In addition, the effect of EVAR on the diameter of AAA is in line with earlier reports (12,13,16-18).
PAF was observed after AAA in two patients in this study, a temporal sequence that may provide clues to its pathogenesis. The pathological basis of PAF remains inconclusive, with competing hypotheses suggesting either an autoimmune etiology or an atherosclerosis-driven inflammatory response. Immunologic and autoimmune tests have shown that antinuclear antibodies, rheumatoid factor, P-antineutrophil cytoplasmic antibodies, or C-antineutrophil cytoplasmic antibodies are positive in many AAA patients with PAF (19-21). AAA patients with PAF have been reported to exhibit a higher prevalence of systemic autoimmune disease or a consecutive disease (4,21). However, in our cases, while limited in sample size, observation of PAF following AAA along with MRI findings of early and delayed adventitial enhancement aligns with prior studies suggesting PAF as a local inflammatory response to atherosclerotic plaque (22-24). Specifically, the findings from enhanced MRI in our study showed that the PAF was mildly reinforced in the early stage, particularly 10–15 min after injecting the gadolinium contrast agent, this pattern differs from the “enhancement with a double ring” of autoimmune aortitis (25). In addition, AAA itself is a well-established manifestation of atherosclerosis (26). Further, according to a histopathological study, the adventitia of the aortic wall, which is infiltrated with lymphocytes, plasma cells, and macrophages, is thickened in patients with PAF combined with aortic aneurysm (27). Also, cytokines have been observed to be present in the aortic adventitia (24,28). Another study has stated that aortic adventitial inflammation is the consequence of atherosclerosis (23). Thus, PAF is considered to be composed of thickened adventitia, with inflammation and varying degrees of fibrosis (29). These pathological changes in the adventitia of AAA seems to explain the pattern of MRI intensification in PAF. Therefore, while autoimmune mechanisms cannot be entirely excluded, our data suggest that PAF in these cases may represent a localized inflammatory response to underlying atherosclerotic changes, rather than a primary autoimmune disorder.
Finally, PAF was noted after EVAR in patients who did not exhibit the condition before the procedure, which is aligned with a previous study (9). The development of PAF following EVAR may be attributed to several procedure-related mechanisms, although definitive causal relationships require further investigation. First, the stent graft itself may induce a foreign body reaction within the vessel wall, triggering localized inflammation. Second, the procedure could exacerbate inflammatory responses to pre-existing intraluminal thrombus. Additionally, new perigraft thrombus formation may promote fibrotic changes in the adjacent aortic wall (29,30). This mechanistic framework is supported by the work of Kakisis et al. (30), which demonstrated in 87 patients undergoing infrarenal EVAR that new-onset thrombus formation within the aneurysm sac was associated with post-implantation syndrome. Their findings suggest that the thrombogenic potential of stent grafts, coupled with the subsequent inflammatory cascade, may contribute to perivascular fibrotic changes. Therefore, the potential for PAF development should be incorporated into risk-benefit assessments when planning EVAR, particularly in patients with pre-existing aortic thrombus or those susceptible to inflammatory complications.
This study has certain limitations that should be addressed. First, pathological results were not obtained from the two patients who underwent surgery. Second, the sample sizes of the medical treatment and open surgery groups were small compared with that of the EVAR group. Third, patients with combined PAF after EVAR surgery were not followed up. Larger sample sizes and longer follow-up is needed to determine whether PAF changes stabilize or progress beyond 6 months.
Conclusions
In conclusion, our observations showed that PAF consistently developed following pre-existing AAA in our cohort. The temporal sequence and imaging characteristics are compatible with an atherosclerotic-associated inflammatory process, though other mechanisms cannot be excluded. Additionally, PAF occurrence post-EVAR suggests procedure-related factors may contribute. Importantly, medical therapy demonstrated effectiveness in symptom alleviation.
Acknowledgments
The authors acknowledge the support of Shanghai DeltaHealth Hospital for providing the data essential for this research. We are thankful for their collaboration and support in facilitating data access, which made this study possible. We also extend our appreciation to the medical staff and administration at Shanghai DeltaHealth Hospital for their assistance and cooperation.
Footnote
Reporting Checklist: The authors have completed the STROBE reporting checklist. Available at https://qims.amegroups.com/article/view/10.21037/qims-2025-1367/rc
Data Sharing Statement: Available at https://qims.amegroups.com/article/view/10.21037/qims-2025-1367/dss
Funding: None.
Conflicts of Interest: All authors have completed the ICMJE uniform disclosure form (available at https://qims.amegroups.com/article/view/10.21037/qims-2025-1367/coif). Z.S. serves as an unpaid Associate Editor of Quantitative Imaging in Medicine and Surgery. The other authors have no conflicts of interest to declare.
Ethical Statement: The authors are accountable for all aspects of the work in ensuring that questions related to the accuracy or integrity of any part of the work are appropriately investigated and resolved. This study was conducted in accordance with the Declaration of Helsinki and its subsequent amendments. This study was approved by the Institutional Review Board (IRB) of Beijing Anzhen Hospital (approval No. 2024107X), which served as the central ethics committee for this multicenter study. All participating institutions were informed of the study protocol and agreed to the ethical approval from the leading center. Given the retrospective nature of the study and the use of fully anonymized data, the requirement for informed consent was waived by the IRB.
Open Access Statement: This is an Open Access article distributed in accordance with the Creative Commons Attribution-NonCommercial-NoDerivs 4.0 International License (CC BY-NC-ND 4.0), which permits the non-commercial replication and distribution of the article with the strict proviso that no changes or edits are made and the original work is properly cited (including links to both the formal publication through the relevant DOI and the license). See: https://creativecommons.org/licenses/by-nc-nd/4.0/.
References
- Koster MJ, Ghaffar U, Duong SQ, Crowson CS, Burke MM, Viers BR, Potretzke AM, Bjarnason H, Warrington KJ. Incidence, prevalence and mortality of chronic periaortitis: a population-based study. Clin Exp Rheumatol 2022;40:751-7.
- Lindblad B, Almgren B, Bergqvist D, Eriksson I, Forsberg O, Glimåker H, Jivegård L, Karlström L, Lundqvist B, Olofsson P. Abdominal aortic aneurysm with perianeurysmal fibrosis: experience from 11 Swedish vascular centers. J Vasc Surg 1991;13:231-7; discussion 237-9.
- Sterpetti AV, Hunter WJ, Feldhaus RJ, Chasan P, McNamara M, Cisternino S, Schultz RD. Inflammatory aneurysms of the abdominal aorta: incidence, pathologic, and etiologic considerations. J Vasc Surg 1989;9:643-9; discussion 649-50.
- Haug ES, Skomsvoll JF, Jacobsen G, Halvorsen TB, Saether OD, Myhre HO. Inflammatory aortic aneurysm is associated with increased incidence of autoimmune disease. J Vasc Surg 2003;38:492-7.
- Stotter AT, Grigg MJ, Mansfield AO. The response of peri-aneurysmal fibrosis--the "inflammatory" aneurysm--to surgery and steroid therapy. Eur J Vasc Surg 1990;4:201-5.
- Hellmann DB, Grand DJ, Freischlag JA. Inflammatory abdominal aortic aneurysm. JAMA 2007;297:395-400.
- Caradu C, Ammollo RP, Dari L, Wanhainen A, Van Herzeele I, Bellmunt-Montoya S, Ducasse E, Bérard X. Management of Inflammatory Aortic Aneurysms - A Scoping Review. Eur J Vasc Endovasc Surg 2023;65:493-502.
- Tang T, Boyle JR, Dixon AK, Varty K. Inflammatory abdominal aortic aneurysms. Eur J Vasc Endovasc Surg 2005;29:353-62.
- Vallabhaneni SR, McWilliams RG, Anbarasu A, Rowlands PC, Brennan JA, Gould DA, Harris PL, Gilling-Smith GL. Perianeurysmal fibrosis: a relative contra-indication to endovascular repair. Eur J Vasc Endovasc Surg 2001;22:535-41.
- van Bommel EF, van der Veer SJ, Hendriksz TR, Bleumink GS. Persistent chronic peri-aortitis ('inflammatory aneurysm') after abdominal aortic aneurysm repair: systematic review of the literature. Vasc Med 2008;13:293-303.
- Zhang N, Pan L, Liu J, Li Y, Xu L, Sun Z, Wang Z. Comparison of Different Thoracic Aortic Wall Characteristics for Assessment of Disease Activity in Takayasu Arteritis: A Quantitative Study with 3.0 T Magnetic Resonance Imaging. Rev Cardiovasc Med 2022;23:92.
- Stone WM, Fankhauser GT, Bower TC, Oderich GS, Oldenburg WA, Kalra M, Naidu S, Money SR. Comparison of open and endovascular repair of inflammatory aortic aneurysms. J Vasc Surg 2012;56:951-5; discussion 955-6.
- Bianchini Massoni C, von Stein P, Schernthaner M, Gallitto E, Rengier F, Katzen BT, Gargiulo M, Böckler D, Geisbüsch P. Endovascular Treatment of Inflammatory Infrarenal Aortic Aneurysms. Vasc Endovascular Surg 2016;50:21-8.
- Baskerville PA, Blakeney CG, Young AE, Browse NL. The diagnosis and treatment of peri-aortic fibrosis ('inflammatory' aneurysms). Br J Surg 1983;70:381-5.
- Xu J, Bettendorf B, D'Oria M, Sharafuddin MJ. Multidisciplinary diagnosis and management of inflammatory aortic aneurysms. J Vasc Surg 2023;78:231-242.e2.
- Greenhalgh RM, Brown LC, Powell JT, Thompson SG, Epstein D. Endovascular repair of aortic aneurysm in patients physically ineligible for open repair. N Engl J Med 2010;362:1872-80.
- Zarins CK, Crabtree T, Arko FR, Heikkinen MA, Bloch DA, Ouriel K, White RA. Endovascular repair or surveillance of patients with small AAA. Eur J Vasc Endovasc Surg 2005;29:496-503; discussion 504.
- Bordet M, Alkhani M, Della-Schiava N, Arsicot M, Oliny A, Millon A. Midterm Outcomes of the Fenestrated Anaconda Stent Graft for Complex Aortic Aneurysm Repair: A Large, Single Centre, Retrospective Study. Eur J Vasc Endovasc Surg 2025;70:326-34.
- Kaipiainen-Seppänen O, Jantunen E, Kuusisto J, Marin S. Retroperitoneal fibrosis with antineutrophil cytoplasmic antibodies. J Rheumatol 1996;23:779-81.
- Aslangul E, Ranque B, Papo T. Pseudotumoral retroperitoneal fibrosis and localized vasculitis with very high serum levels of anti-PR3 ANCA. Am J Med 2003;115:250-2.
- Vaglio A, Corradi D, Manenti L, Ferretti S, Garini G, Buzio C. Evidence of autoimmunity in chronic periaortitis: a prospective study. Am J Med 2003;114:454-62.
- Parums DV, Chadwick DR, Mitchinson MJ. The localisation of immunoglobulin in chronic periaortitis. Atherosclerosis 1986;61:117-23.
- Parums DV. The spectrum of chronic periaortitis. Histopathology 1990;16:423-31.
- Ramshaw AL, Parums DV. The distribution of adhesion molecules in chronic periaortitis. Histopathology 1994;24:23-32.
- Hartlage GR, Palios J, Barron BJ, Stillman AE, Bossone E, Clements SD, Lerakis S. Multimodality imaging of aortitis. JACC Cardiovasc Imaging 2014;7:605-19.
- Golledge J. Abdominal aortic aneurysm: update on pathogenesis and medical treatments. Nat Rev Cardiol 2019;16:225-42.
- Pennell RC, Hollier LH, Lie JT, Bernatz PE, Joyce JW, Pairolero PC, Cherry KJ, Hallett JW. Inflammatory abdominal aortic aneurysms: a thirty-year review. J Vasc Surg 1985;2:859-69.
- Ramshaw AL, Roskell DE, Parums DV. Cytokine gene expression in aortic adventitial inflammation associated with advanced atherosclerosis (chronic periaortitis). J Clin Pathol 1994;47:721-7.
- Vaglio A, Buzio C. Chronic periaortitis: a spectrum of diseases. Curr Opin Rheumatol 2005;17:34-40.
- Kakisis JD, Moulakakis KG, Antonopoulos CN, Mylonas SN, Giannakopoulos TG, Sfyroeras GS, Karakitsos P, Liapis CD. Volume of new-onset thrombus is associated with the development of postimplantation syndrome after endovascular aneurysm repair. J Vasc Surg 2014;60:1140-5.

