Acute stroke diagnosis: diagnostic efficacy of dual-layer spectral computed tomography for non-contrast ischemic sign detection
Introduction
Stroke is the second leading cause of death worldwide, and a major contributor to disability (1,2). Ischemic strokes account for 87% of all strokes and require prompt and effective treatment, as they can lead to fatal outcomes or prolonged incapacitation, resulting in societal and economic repercussions (1-3).
Following an acute stroke, the process of ischemia continues to develop over time. Diffusion-weighted imaging (DWI) is the most precise and sensitive method for identifying the ischemic core during an acute ischemic stroke (AIS). However, magnetic resonance imaging (MRI) faces a number of issues (e.g., lengthy procedures and specific scan restrictions) that significantly limit its widespread application. For patients suspected of AIS, non-contrast computed tomography (NCCT) is the primary imaging technique due to its rapid execution, affordability, and effectiveness in detecting conditions that prevent the use of reperfusion therapies, including recent bleeding, significant existing infarcts, or conditions mimicking a stroke (1,4).
Currently, innovative dual-layer spectral computed tomography (DLCT), which uses distinct layers that are attuned to low- and high-energy photons, respectively, facilitates the analysis of two fundamental physical phenomena that contribute to X-ray attenuation: the photoelectric effect and Compton scattering (5,6). Various spectral images can be produced, including virtual monoenergetic images (VMIs), iodine density maps, effective atomic number (Zeff) representations, and electron density (ED) maps. The use of these spectral images has been shown to enhance contrast, reduce artifacts, and provide a more accurate characterization of various tissues (7-9).
Research on the use of DLCT in the identification of AIS lesions is limited. Thus, this study aimed to quantitatively assess how well spectral imaging can identify early ischemic changes (EICs) compared to conventional imaging techniques. We present this article in accordance with the STROBE reporting checklist (available at https://qims.amegroups.com/article/view/10.21037/qims-2025-1005/rc).
Methods
Study population
The Ethics Committee of the Civil Aviation General Hospital approved this retrospective study (No. 2024-L-K-122) on September 23, 2024. All participants provided written informed consent before their inclusion in the study. The study was conducted in accordance with the Declaration of Helsinki and its subsequent amendments.
The Picture Archiving and Communication System (PACS) was used to locate patients who had undergone NCCT of the brain with a Hawk Spectral computed tomography (CT; Spectral CT 7500, Philips Healthcare, Best, The Netherlands) from June 21, 2024, to November 30, 2024. Non-contrast brain MRI (SIGNA Pioneer, GE Healthcare, Tokyo, Japan) scans were conducted at our institution either on the same day of NCCT or within 24 hours. The CT and MRI examinations were all performed within a 7-day window. Patients with hemorrhage based on CT and MRI findings were excluded from the study. Figure 1 provides a flowchart detailing the participant recruitment process for the study. Two neuroradiologists, with 10 and 30 years of experience, respectively, analyzed the brain MRI and NCCT spectral images of the patients.
Parameters related to the acquisition and reconstruction of images
All the scans were performed using the Hawk Spectral CT system (Spectral CT 7500, Philips Healthcare) using the following scanning parameters: tube voltage: 120 kV; tube current: 250 mAs; collimation: 64 mm × 0.625 mm; pitch: 0.3; and rotation time: 0.33 s. The images were saved in the PACS and then transferred to the IntelliSpace Portal (ISP) (version 10.1.4.21403) software (Philips Healthcare), where images with a slice thickness of 1.0 mm were reconstructed, and the quantitative data retrieval was performed.
All the patients underwent 3.0-T MRI (SIGNA Pioneer, GE Healthcare). The standard brain MRI protocols included DWI, T1-weighted imaging, and T2-weighted imaging. DWI was performed with b values of 0 and 1,000 s/mm2, and an apparent diffusion coefficient map was generated.
Analysis of numerical data
Using conventional images from the initial CT scans (see Figure 2), regions of interest (ROIs) were manually defined at the sites of ischemic lesions and the corresponding normal brain on the opposite side, with one ROI assigned to each site.
An attending radiologist evaluated the ROIs. Any issues as to the positioning of measurements were resolved through discussions with a senior radiologist. For each ROI, the mean and standard deviation attenuation figures, noted in Hounsfield units (HU), were documented in both the conventional images and VMIs across the range of 40–200 keV in 10 keV increments in the ISP workstation. Additionally, the Zeff and ED relative to water (EDW) values were also documented. An ED image represents the ED for each voxel in comparison to that of water, indicated as a percentage. The EDW values were displayed by default when measured on the ED map. DWI was used as the gold standard for confirming AIS lesions.
The ROIs designated as areas of acute cerebral infarction from the DWI images were assessed quantitatively during the DLCT examination. An analysis was performed to compare various metrics, such as the CT values from conventional images, CT values from VMIs from 40 to 200 keV at
10 keV intervals, and the Zeff and EDW values, between the ischemic stroke area and the corresponding healthy region on the opposite side.
Statistical analysis
The numerical data are presented as the median with the interquartile range, while the categorical data are presented as the count and percentage. The Mann-Whitney U test was used for comparisons, while a receiver operating characteristic (ROC) curve analysis was conducted to evaluate the area under the curve (AUC) values to distinguish between cases of AIS. The statistical analysis was conducted using SPSS Statistics for Windows version 25.0 (IBM Corp., Armonk, NY, USA). The calculated metrics for the assessment included sensitivity and specificity across all parameters. The Delong test was used to assess the differences between the ROC curves for the various parameters, and MedCalc version 19.3.1 software (Ostend, Belgium) was used for this analysis. A P value less than 0.05 was considered statistically significant.
Results
Table 1 sets out the demographic characteristics of the patients included in the study. In total, 49 AIS patients with 65 lesions were included in the study. Figure 3 shows boxplots that illustrate the median attenuation values for conventional images alongside the VMIs, in addition to the Zeff and EDW values of the ischemic lesions compared with the corresponding normal regions on the contralateral side. The median attenuation values of the ischemic lesions were significantly lower than those in the normal regions in both the conventional images and VMIs at 50–200 keV (all P<0.01). A similar difference was observed in the EDW values (P<0.01). However, no significant difference was observed in the virtual monoenergetic (MonoE) 40 keV and Zeff values between the ischemic regions and normal regions (P>0.05).
Table 1
| Variables | Data |
|---|---|
| Age (years) | 66 (57.5–74) |
| Male | 34 (69.4) |
| Hypertension | 38 (77.6) |
| Hyperlipidemia | 41 (83.7) |
| Diabetes | 20 (40.8) |
| Coronary heart disease | 5 (10.2) |
| Previous stroke | 11 (22.4) |
| Atrial fibrillation | 4 (8.2) |
| Smoking | 19 (38.8) |
| Alcoholism | 15 (30.6) |
Data are presented as median (IQR) or n (%). IQR, interquartile range.
The results of the ROC curve and comparative analysis between the conventional images and various spectral metrics are shown in Table 2 and Figure 4. Notably, EDW achieved the highest AUC at 0.859 [95% confidence interval (CI): 0.787–0.914], which was similar to the measurement obtained from MonoE 100 keV (0.830; 95% CI: 0.754–0.890; P=0.22). Conversely, MonoE 40 keV had the lowest AUC (0.577; 95% CI: 0.478–0.675). As hypothesized, the AUC (with value of 0.791) for MonoE 70 keV was similar to that of the conventional images (with value of 0.757, P>0.05). There were significant differences between the AUC values of the conventional images and other spectral parameters, especially MonoE 100 keV and EDW (all P<0.05). However, there was no difference between the AUC of the MonoE 100 keV and EDW (P>0.05). The sensitivity and specificity of EDW (cut-off: 102.33%) were 0.831 and 0.692, respectively, which were both higher than those of conventional CT (0.754 vs. 0.662).
Table 2
| Parameters | AUC (95% CI) | Cut-off | Sensitivity | Specificity | P value |
|---|---|---|---|---|---|
| CT conventional | 0.757 (0.674–0.828) | 5.17 HU | 0.754 | 0.662 | – |
| EDW | 0.859 (0.787–0.914) | 102.33% | 0.831 | 0.692 | 0.01†, 0.22‡ |
| MonoE 100 keV | 0.830 (0.754–0.890) | 25.83 HU | 0.677 | 0.846 | 0.01† |
| MonoE 70 keV | 0.791 (0.711–0.858) | 24.31 HU | 0.815 | 0.662 | 0.10† |
| MonoE 40 keV | 0.577 (0.478–0.675) | 21.99 HU | 0.815 | 0.400 | <0.001† |
| Zeff | 0.598 (0.508–0.683) | 7.41 | 0.154 | 0.877 | 0.02† |
†, vs. CT conventional; ‡, vs. MonoE 100 keV. AUC, area under the curve; CI, confidence interval; CT, computed tomography; EDW, electron density relative to water; HU, Hounsfield units; MonoE, monoenergetic; ROC, receiver operating characteristic; Zeff, effective atomic number.
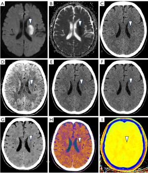
Figure 5 illustrates a clinical case of a patient with AIS, providing a comparison between traditional images and spectral images.
Discussion
DLCT is a promising examination modality that provides many quantitative parameters that have shown special advantages in detecting different disorders. DLCT can overcome the limitations of tissue characterization encountered by conventional CT. We found that the virtual MonoE 100 keV and ED images from DLCT significantly improved the detection of EICs compared to conventional NCCT imaging, which could in turn improve the diagnosis of AIS by CT.
DWI is the most reliable and precise technique for identifying the ischemic core (10). In cases involving large core infarction, the application of endovascular therapy (EVT) may lead to complications such as reperfusion injury, unfavorable functional recovery, and even mortality. Patients with smaller core infarcts generally benefit the most from EVT (11,12). However, the use of MRI is often limited by its time-consuming nature and contraindications.
NCCT scans are still frequently employed to detect and assess patients with suspected or confirmed AIS (13). However, variations in the HU values on conventional CT are often minor, making changes subtle and challenging to detect (10,14,15).
An ED image represents the ED for each voxel in comparison to that of water, indicated as a percentage (7,16). The use of a dual-layer detector system in the CT scanner leads to a notable reduction in noise, which is evident in the clarity and smoothness of the resultant ED images. This could play a role in the enhanced visibility of EICs observed in the current research. The contrast between EICs and normal brain parenchyma is more pronounced in DLCT images. Among the CT parameters examined in this study, the AUC for identifying EIC compared to normal brain tissue was at its peak at 0.859 (95% CI: 0.787–0.914). With a threshold set at 102.33%, the sensitivity and specificity of EDW were 0.831 and 0.692, respectively, which were both higher than those of the conventional images. Unfortunately, there was no significant difference in the Zeff values between the EICs and normal brain matter (P>0.05).
In addition, we aimed to determine if a set of spectral VMI reconstructions could enhance the detection of acute ischemic lesions more effectively than traditional images. Previous research has shown that the signal-to-noise ratio (SNR) and contrast-to-noise ratio (CNR) are typically superior in VMIs than conventional images (17). The increased SNR and CNR are theoretically attributed to lower image noise and/or elevated attenuation values, potentially due to reduced artifacts from the effects of beam hardening and Compton scattering. These findings align with earlier research conducted by Neuhaus et al. and Pomerantz et al. (18,19). In this research, we observed that lesions caused by ischemia could be detected more readily using VMI in the energy range of 70–100 keV. The ability of MonoE 100 keV to detect EICs was strong (AUC: 0.830; 95% CI: 0.754–0.890), matching that of EDW. MonoE
100 keV achieved a high specificity of 0.846, with a threshold set at 25.83 HU.
Recently, van Ommen et al. examined the use of unenhanced spectral brain CT in the diagnosis of stroke and found that MonoE 80 keV and MonoE 90 keV showed slight improvements in infarct detection and localization (20). We found that the most effective VMI was 100 keV, which was similar to that reported by Yoshida et al., who found that 99 keV could better detect supratentorial cerebral infarction (21). An image at 100 keV achieves a good balance between the CNR and spatial resolution, which not only reduces the noise in low-energy images, but also avoids the problem of insufficient contrast in high-energy images. In cranial CT scans, MonoE 100 keV can obtain a high SNR image and reduce the artifacts related to beam hardening caused by the skull. We showed that MonoE 100 keV had the best diagnostic accuracy.
One notable advantage of this research lies in its application of quantitative methods rather than qualitative methods, which can help minimize biases among various evaluators. However, the study had a number of limitations. First, it had a relatively small sample size. Second, the imaging manifestations with different onset times were not analyzed separately. Third, in this study, the patients included in the analysis had a wide age range (36–91 years), which might have influenced the results, particularly in the detection of EICs using DLCT. Consequently, subsequent investigations should focus on increasing the sample size, while also examining distinctions based on the size or location of the lesions. To better understand the effect of age on ischemic stroke detection, future studies should stratify patients into age groups to assess whether spectral CT sensitivity and accuracy were influenced by age-related changes in brain tissue. Moreover, adopting a prospective methodology may provide access to more comprehensive clinical data.
Conclusions
This study found that as a critical component in the diagnosis and treatment of acute stroke, the use of non-contrast DLCT images, especially ED images and MonoE 100 keV images, improves the accurate evaluation of acute strokes, and thus could serve as an important complement to MRI.
Acknowledgments
We would like to extend our heartfelt thanks to all the individuals who have contributed to this paper, including the anonymous reviewers and editors, for their valuable suggestions. Our sincere and hearty thanks and appreciation go firstly to Xizhe Hao and Jing Wen (Clinical Science, Philips Healthcare, Beijing, China) for their timely technical assistance. Furthermore, we are also extremely grateful to Shanrui Ma (National Cancer Center/National Clinical Research Center for Cancer/Cancer Hospital, Chinese Academy of Medical Sciences and Peking Union Medical College, Beijing, China) for the professional data analysis assistance. Finally, we are grateful to all those who devoted much time to reading this thesis and provided us with valuable advice, which will benefit us in our future studies.
Footnote
Reporting Checklist: The authors have completed the STROBE reporting checklist. Available at https://qims.amegroups.com/article/view/10.21037/qims-2025-1005/rc
Data Sharing Statement: Available at https://qims.amegroups.com/article/view/10.21037/qims-2025-1005/dss
Funding: None.
Conflicts of Interest: All authors have completed the ICMJE uniform disclosure form (available at https://qims.amegroups.com/article/view/10.21037/qims-2025-1005/coif). The authors have no conflicts of interest to declare.
Ethical Statement: The authors are accountable for all aspects of the work in ensuring that questions related to the accuracy or integrity of any part of the work are appropriately investigated and resolved. The study was conducted in accordance with the Declaration of Helsinki and its subsequent amendments. The Ethics Committee of Civil Aviation General Hospital granted approval for the retrospective research (No. 2024-L-K-122) on September 23, 2024. Written informed consent was obtained from all patients in this study.
Open Access Statement: This is an Open Access article distributed in accordance with the Creative Commons Attribution-NonCommercial-NoDerivs 4.0 International License (CC BY-NC-ND 4.0), which permits the non-commercial replication and distribution of the article with the strict proviso that no changes or edits are made and the original work is properly cited (including links to both the formal publication through the relevant DOI and the license). See: https://creativecommons.org/licenses/by-nc-nd/4.0/.
References
- Puig J, Shankar J, Liebeskind D, Terceño M, Nael K, Demchuk AM, Menon B, Dowlatshahi D, Leiva-Salinas C, Wintermark M, Thomalla G, Silva Y, Serena J, Pedraza S, Essig M. From "Time is Brain" to "Imaging is Brain": A Paradigm Shift in the Management of Acute Ischemic Stroke. J Neuroimaging 2020;30:562-71. [Crossref] [PubMed]
- Benjamin EJ, Blaha MJ, Chiuve SE, Cushman M, Das SR, Deo R, et al. Heart Disease and Stroke Statistics-2017 Update: A Report From the American Heart Association. Circulation 2017;135:e146-e603. Erratum in: Circulation 2017;135:e646 Erratum in: Circulation 2017;136:e196. [Crossref] [PubMed]
- Yang Q, Tong X, Schieb L, Vaughan A, Gillespie C, Wiltz JL, King SC, Odom E, Merritt R, Hong Y, George MG. Vital Signs: Recent Trends in Stroke Death Rates - United States, 2000-2015. MMWR Morb Mortal Wkly Rep 2017;66:933-9. [Crossref] [PubMed]
- Herpich F, Rincon F. Management of Acute Ischemic Stroke. Crit Care Med 2020;48:1654-63. [Crossref] [PubMed]
- Tsunoo T, Torikoshi M, Ohno Y, Uesugi K, Yagi N. Measurement of electron density in dual-energy x-ray CT with monochromatic x rays and evaluation of its accuracy. Med Phys 2008;35:4924-32. [Crossref] [PubMed]
- Mei K, Ehn S, Oechsner M, Kopp FK, Pfeiffer D, Fingerle AA, Pfeiffer F, Combs SE, Wilkens JJ, Rummeny EJ, Noël PB. Dual-layer spectral computed tomography: measuring relative electron density. Eur Radiol Exp 2018;2:20. [Crossref] [PubMed]
- Hua CH, Shapira N, Merchant TE, Klahr P, Yagil Y. Accuracy of electron density, effective atomic number, and iodine concentration determination with a dual-layer dual-energy computed tomography system. Med Phys 2018;45:2486-97. [Crossref] [PubMed]
- So A, Nicolaou S. Spectral Computed Tomography: Fundamental Principles and Recent Developments. Korean J Radiol 2021;22:86-96. [Crossref] [PubMed]
- Mohammed MF, Marais O, Min A, Ferguson D, Jalal S, Khosa F. OʼKeeffe M, OʼConnell T, Schmiedeskamp H, Krauss B, Rohr A, Nicolaou S. Unenhanced Dual-Energy Computed Tomography: Visualization of Brain Edema. Invest Radiol 2018;53:63-9. [Crossref] [PubMed]
- Powers WJ, Rabinstein AA, Ackerson T, Adeoye OM, Bambakidis NC, Becker K, Biller J, Brown M, Demaerschalk BM, Hoh B, Jauch EC, Kidwell CS, Leslie-Mazwi TM, Ovbiagele B, Scott PA, Sheth KN, Southerland AM, Summers DV, Tirschwell DL. Guidelines for the Early Management of Patients With Acute Ischemic Stroke: 2019 Update to the 2018 Guidelines for the Early Management of Acute Ischemic Stroke: A Guideline for Healthcare Professionals From the American Heart Association/American Stroke Association. Stroke 2019;50:e344-418. [Crossref] [PubMed]
- Lansberg MG, Straka M, Kemp S, Mlynash M, Wechsler LR, Jovin TG, et al. MRI profile and response to endovascular reperfusion after stroke (DEFUSE 2): a prospective cohort study. Lancet Neurol 2012;11:860-7. [Crossref] [PubMed]
- Olivot JM, Mosimann PJ, Labreuche J, Inoue M, Meseguer E, Desilles JP, Rouchaud A, Klein IF, Straka M, Bammer R, Mlynash M, Amarenco P, Albers GW, Mazighi M. Impact of diffusion-weighted imaging lesion volume on the success of endovascular reperfusion therapy. Stroke 2013;44:2205-11. [Crossref] [PubMed]
- Lin MP, Liebeskind DS. Imaging of Ischemic Stroke. Continuum (Minneap Minn) 2016;22:1399-423. [Crossref] [PubMed]
- Nogueira RG, Jadhav AP, Haussen DC, Bonafe A, Budzik RF, Bhuva P, et al. Thrombectomy 6 to 24 Hours after Stroke with a Mismatch between Deficit and Infarct. N Engl J Med 2018;378:11-21. [Crossref] [PubMed]
- Rudkin S, Cerejo R, Tayal A, Goldberg MF. Imaging of acute ischemic stroke. Emerg Radiol 2018;25:659-72. [Crossref] [PubMed]
- Große Hokamp N, Maintz D, Shapira N, Chang H, Noël PB. Technical background of a novel detector-based approach to dual-energy computed tomography. Diagn Interv Radiol 2020;26:68-71. [Crossref] [PubMed]
- Mellander H, Bengtsson P, Fransson V, Ramgren B, Undrén P, Drake M, Ydström K, Lätt J, Hilal A, Wassélius J, Ullberg T. Virtual monoenergetic images by spectral detector computed tomography may improve image quality and diagnostic ability for ischemic lesions in acute ischemic stroke. Acta Radiol 2023;64:1631-40. [Crossref] [PubMed]
- Neuhaus V, Abdullayev N, Große Hokamp N, Pahn G, Kabbasch C, Mpotsaris A, Maintz D, Borggrefe J. Improvement of Image Quality in Unenhanced Dual-Layer CT of the Head Using Virtual Monoenergetic Images Compared With Polyenergetic Single-Energy CT. Invest Radiol 2017;52:470-6. [Crossref] [PubMed]
- Pomerantz SR, Kamalian S, Zhang D, Gupta R, Rapalino O, Sahani DV, Lev MH. Virtual monochromatic reconstruction of dual-energy unenhanced head CT at 65-75 keV maximizes image quality compared with conventional polychromatic CT. Radiology 2013;266:318-25. [Crossref] [PubMed]
- van Ommen F, Dankbaar JW, Zhu G, Wolman DN, Heit JJ, Kauw F, Bennink E, de Jong HWAM, Wintermark M. Virtual monochromatic dual-energy CT reconstructions improve detection of cerebral infarct in patients with suspicion of stroke. Neuroradiology 2021;63:41-9. [Crossref] [PubMed]
- Yoshida M, Nakaura T, Tanoue S, Takada S, Inoue T, Uetani H, Harada K, Yamashita Y. Dual-Energy Computed Tomography for Evaluating Acute Brain Infarction of Middle Cerebral Artery Territories: Optimization of Voltage Settings in Virtual Monoenergetic Imaging. J Comput Assist Tomogr 2019;43:460-6. [Crossref] [PubMed]

