Rare complications after percutaneous transhepatic gallbladder drainage for acute cholecystitis: a case description
Background
Acute cholecystitis (AC) caused by gallstones is a common acute abdominal condition that may progress to severe complications such as gangrene or perforation. Early laparoscopic cholecystectomy (LC) is the gold standard treatment for most patients and provides favorable outcomes (1). Under certain circumstances, patients with high surgical risks cannot tolerate LC, and thus biliary drainage, such as percutaneous transhepatic gallbladder drainage (PTGBD) and elective LC are advocated (2). However, the best timing for delayed surgery remains controversial, and potential complications may occur during the drainage period before LC is conducted.
We present a rare case with complex complications after PTGBD in a patient with AC who was contraindicated for early LC but finally cured via surgical intervention. The course of diagnosis and step-by-step decision-making process for the treatment strategies described here may provide insights and perspectives for informing future practice.
Case presentation
First visit
A 68-year-old male was admitted to the Emergency Department of Weihai Municipal Hospital for right upper quadrant abdominal pain with vomiting and fever for 2 days. Physical examination revealed a body temperature of 38.5 ℃ and right upper quadrant tenderness with positive Murphy’s sign. Laboratory test findings were as follows: white blood cell count (WBC) 12.9×109/L; hemoglobin level, 97 g/L; platelet level, 159×109/L; prothrombin time (PT), 15.8 s; PT-international normalized ratio (PT-INR), 1.49; fibrinogen level, 1.48 g/L; total bilirubin, 19.6 mmol/L; and albumin level, 34 g/L. The other routine findings not mentioned here were in the normal range. Medical history revealed that the patient had undergone coronary artery bypass grafting (CABG) 80 days prior due to acute coronary syndrome and had been taking dual-antiplatelet therapy (aspirin at 100 mg/day and clopidogrel at 75 mg/day).
Diagnosis and treatment strategy
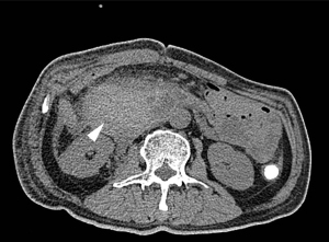
A plain computed tomography (CT) scan showed marked enlargement of the gallbladder with multiple stones in the lumen (Figure 1A). The gallbladder wall measured approximately 2.4 mm in thickness. From clinical manifestations and imaging profiles, the diagnosis was clearly acute calculus cholecystitis. For such cases, emergent or early LC (usually within 1 week from onset) is recommended to ensure a favorable outcome for most patients (1).
However, for this case, early LC was contraindicated as the patient had recently experienced CABG and had been taking dual-antiplatelet therapy, with his American Society of Anesthesiologists physical status (ASA-PS) classification being level IV (3). According to 2018 Tokyo Guidelines for the treatment of AC, biliary drainage and delayed LC was suggested (1). Among various approaches for biliary drainage, PTGBD is recommended as the first choice due to its ease, less invasive nature, and lower risk of adverse events (2). Consequently, we performed PTGBD for this patient, placing an 8F drainage-locking pigtail catheter in the gallbladder, supplemented with piperacillin-tazobactam for anti-infective therapy.
The patient was scheduled for a delayed LC for curative treatment, but there is no high-quality evidence regarding the optimal timing for surgery following PTGBD, although a period of 4–6 weeks after PTGBD is common (1,2). Thus, the patient was discharged with symptoms relieved after 2 days of biliary drainage, and elective LC was scheduled to occur 1 month later. Prior to discharge, the patient’s repeat laboratory tests (including complete blood count and liver function tests) showed a hemoglobin level of 99 g/L with normal WBC and transaminase levels. A repeat abdominal ultrasound confirmed the drainage tube was correctly positioned within the gallbladder lumen.
Second visit
Twenty-five days after PTGBD, the patient returned to our emergency department for sudden epigastric pain and worsening vomiting of stomach contents over the previous 48 hours. Due to puncture site pain upon activity, the patient maintained reduced physical activity predominantly by bed rest, maintained low-fat diet without specific dietary modifications, and consistently adhered to dual antiplatelet therapy. Laboratory findings were as follows: WBC 12.98×109/L; hemoglobin level, 87 g/L; platelet level 265×109/L; PT, 15.9 s; PT-INR, 1.52; blood amylase level, 58 U/L; alanine transaminase (ALT) level, 178 U/L; aspartate transaminase (AST) level, 60 U/L; gamma-glutamyl transferase (GGT) level, 288 U/L; alkaline phosphatase (AKP) level, 270 U/L; total bilirubin, 23.1 mmol/L; and albumin, 33.7 g/L. Upper gastrointestinal tract radiography (Figure 1B) showed gastric outlet obstruction, which was further confirmed to be a confined mass located at the second part of the duodenum by CT (Figure 1C).
Diagnosis and treatment strategy
From a CT scan of the upper gastrointestinal tract, the initial diagnosis made was acute gastric outlet obstruction and mass (undefined) of the duodenum. To clarify the source of the duodenal mass, the patient was sent for endoscopic ultrasonography (Figure 1D), which revealed a compressing mass about 6 cm outside the duodenal cavity which was highly suspected to be an intramural duodenal hematoma (IDH).
IDH is a rare pathological entity that occurs in patients with high-risk factors for coagulopathy or those on anticoagulant/antiplatelet therapy (consistent with this patient’s case). It is typically triggered by certain endoscopic procedures (4). The majority of patients with IDH can recover after conservative treatments, including gastric tube insertion, fasting, proton pump inhibitor, total parenteral nutrition, antibiotics, and antithrombotic therapy (5). However, after 5 days of these supporting therapies being administered, blood appeared from the drainage of PTGBD, and the patient presented symptoms of cholangitis (chills and fever up to 39 ℃).
Cholangiography via PTGBD was performed to help identify the bleeding source and detect any biliary tract variations (which could facilitate avoiding bile duct injury during elective LC; Figure 1E) (6). The cholangiography unexpectedly revealed an internal fistula between the gallbladder and IDH, which was subsequently confirmed by CT scan with the appearance of medium contrast in the IDH (Figure 1F).
After comprehensive evaluation, surgical intervention was deemed necessary based on the following considerations: (I) significant risk of abscess formation within the IDH due to potential bile leakage via the fistulous tract; (II) confirmed failure of conservative management evidenced by unresponsive gastric outlet obstruction; and (III) discontinuation of antiplatelet therapy for 7 days, establishing the patient as a suitable candidate for general surgery. Following standardized preoperative preparation, the patient underwent exploratory laparotomy. Intraoperative findings revealed gangrenous changes in the gallbladder, which was completely removed. A fistulous tract between the gallbladder and IDH was confirmed (with no communication to the duodenal lumen) (Figure 2). Further exploration demonstrated a massive IDH (6 cm in diameter) containing a mixture of bile and hematoma. Given these findings, concurrent distal gastrectomy with gastrojejunostomy was performed to prevent postoperative duodenal stricture and gastric emptying dysfunction. Additionally, a drainage tube was placed in the descending portion of the duodenum as a precaution against potential leakage from the duodenal stump, which could not be securely closed during the procedure.
The patient had an uneventful postoperative recovery and was discharged on postoperative day 14 with a drainage tube in situ in the descending duodenum (scheduled for removal at 4 weeks’ postoperation). During hospitalization, low-molecular-weight heparin was administered as an alternative to antiplatelet therapy. Upon discharge, anticoagulation was transitioned to aspirin monotherapy for maintenance treatment following CABG.
Third visit
Five days after discharge, the patient revisited the emergency department with bleeding from the drainage tube in the descending duodenum. Another CT scan was performed to make a diagnosis (Figure 3).
Diagnosis and treatment strategy
The plain CT revealed another confined, hyperdense mass at the third part of duodenum, and the diagnosis was recurrent IDH.
Due to the absence of obstruction signs and low risk of hematoma infection, supportive therapy was administered and proved effective. The patient was discharged after 7 days, with the drainage tube removed after an additional week. The patient continued aspirin medication and was followed up for 12 months without further complications.
All procedures performed in this case were in accordance with the ethical standards of the institutional and/or national research committee(s) and with the Declaration of Helsinki and its subsequent amendments. Written informed consent was obtained from the patient for the publication of this case report and accompanying images. A copy of the written consent is available for review by the editorial office of this journal.
Discussion
AC is mostly caused by gallstones (calculus cholecystitis) and readily diagnosed from clinical manifestations and laboratory and imaging findings. Emergent or early LC within 1 week from onset is typically adopted as standard treatment and can yield favorable outcomes (1). However, patients with high surgical risk factors are not indicated for plain LC. According to the 2018 Tokyo Guidelines, a recently revised series of guidelines for the assessment and treatment of AC, different treatment strategies are indicated depending on disease severity (grade I, II, and III), patients’ general status (ASA-PS), and underlying comorbidities (Charlson Comorbidity Index) (1,3). For patients with high surgical risk factors (such as the patient described here), the course of therapy is recommended to be conservative treatment, biliary drainage, and delayed LC. There are different approaches for biliary drainage, and PTGBD has is preferred as the first choice due to its advantages over other techniques, such as being easy to perform, less invasive, and involving a lower risk of complications (2).
Although the rate of complications is low, PTGBD entails a risk of bleeding, bile leakage, and tube dislocation, among other issues (7). Bleeding is the most serious complication and usually occurs during or shortly after the invasive procedure, especially for patients with high risk factors (8,9). This was the case in our patient, who had been taking dual-antiplatelet therapy after CABG. To our knowledge, this is first reported case of. a late complication related to PTGBD, as no bleeding occurred directly after PTGBD, but the patient did experience formation of recurrent IDH and internal fistula between the gallbladder and IDH, even after almost 1 month after PTGBD.
IDH is a rare pathological entity that commonly arises from abdominal trauma or any traumatic procedure (such as endoscopic examination or biopsy) in patients with high-risk factors of coagulopathy or those taking anticoagulant/platelet therapy (10). Reports on spontaneous IDH as a complication of pancreatitis, malignancies, bleeding disorders, etc., are rare (11). The most common symptoms of IDH are caused by the compression of the hematoma surrounding the organs (including upper gastrointestinal obstruction, obstructive jaundice, and pancreatitis) and the complications from the hematoma itself (i.e., perforation, bleeding, and infection) (12). The majority of cases can be resolved through conservative treatment, and surgeries are only considered for severe complications.
Our case represents a typical clinical scenario of IDH formation and development. The pathogenetic process could be postulated as follows: the PTGBD tube exerted constant compression against the gallbladder wall, induced penetration and fistula to the duodenal wall (not to the duodenal cavity) which was adherent to gallbladder; and subsequently, the fistula and shedding force caused intramural bleeding to form a hematoma. Conservative therapy was initially attempted until blood appeared from PTGBD and the internal fistula was confirmed, ultimately prompting a decision to operate on the patient with definitive resection of the gallbladder and IDH. Although low-molecular-weight heparin was used as substitute of antiplatelet therapy during hospitalization and was switched to aspirin alone after discharge, another IDH recurred at the third part of duodenum, and this time, it was resolved through conservative therapy.
This rare case of iatrogenic complications has made us aware that that for high-risk patients with coagulopathy or taking antithrombotic therapy (especially dual-antiplatelet therapy), all the traumatic procedures should be considered thoroughly, as the risk of related bleeding is high. It also needs to be noted that a postprocedural risk of bleeding still exists if only irritative factors persist (in this case, even after 1 month from PTGBD placement). According to recent evidence-based medicine, a discontinuation of antiplatelet drugs (7–10 days for aspirin and 5–7 days for clopidogrel) prior to traumatic procedures should be considered due to the risk of bleeding complications, and heparin bridging therapy is not recommend for antiplatelet therapy (13). Indeed, there a few reports on intramural hematoma formation during use of heparin (14,15). Otherwise, alternative less invasive or noninvasive procedures should be considered. For example, endoscopic transpapillary gallbladder drainage (ETGBD) or endoscopic ultrasound-guided gallbladder drainage (EUS-GBD) is advocated by the 2018 Tokyo Guidelines, as these procedures are less invasive than is PTGBD and are especially more suitable for patients with a high risk of bleeding (2).
Conclusions
We reported, for the first time, a patient with AS on antiplatelet therapy who experienced complications including recurrent IDH and internal fistula after PTGBD. This case indicates that for patients with high-risk factors for bleeding, all traumatic procedures should be considered cautiously and thoroughly evaluated and that the risk of bleeding may persist long after the invasive procedure. In such cases, ETGBD or EUS-GBD may represent safer alternatives, although further studies are warranted to validate their suitability in this context.
Acknowledgments
None.
Footnote
Funding: None.
Conflicts of Interest: All authors have completed the ICMJE uniform disclosure form (available at https://qims.amegroups.com/article/view/10.21037/qims-2025-970/coif). The authors have no conflicts of interest to declare.
Ethical Statement: The authors are accountable for all aspects of the work in ensuring that questions related to the accuracy or integrity of any part of the work are appropriately investigated and resolved. All procedures performed in this case were in accordance with the ethical standards of the institutional and/or national research committee(s) and with the Declaration of Helsinki and its subsequent amendments. Written informed consent was obtained from the patient for the publication of this case report and accompanying images. A copy of the written consent is available for review by the editorial office of this journal.
Open Access Statement: This is an Open Access article distributed in accordance with the Creative Commons Attribution-NonCommercial-NoDerivs 4.0 International License (CC BY-NC-ND 4.0), which permits the non-commercial replication and distribution of the article with the strict proviso that no changes or edits are made and the original work is properly cited (including links to both the formal publication through the relevant DOI and the license). See: https://creativecommons.org/licenses/by-nc-nd/4.0/.
References
- Okamoto K, Suzuki K, Takada T, Strasberg SM, Asbun HJ, Endo I, et al. Tokyo Guidelines 2018: flowchart for the management of acute cholecystitis. J Hepatobiliary Pancreat Sci 2018;25:55-72. [Crossref] [PubMed]
- Mori Y, Itoi T, Baron TH, Takada T, Strasberg SM, Pitt HA, et al. Tokyo Guidelines 2018: management strategies for gallbladder drainage in patients with acute cholecystitis (with videos). J Hepatobiliary Pancreat Sci 2018;25:87-95. [Crossref] [PubMed]
- Yokoe M, Hata J, Takada T, Strasberg SM, Asbun HJ, Wakabayashi G, et al. Tokyo Guidelines 2018: diagnostic criteria and severity grading of acute cholecystitis (with videos). J Hepatobiliary Pancreat Sci 2018;25:41-54. [Crossref] [PubMed]
- Niehues SM, Denecke T, Bassir C, Hamm B, Haas M. Intramural duodenal hematoma: clinical course and imaging findings. Acta Radiol Open 2019;8:2058460119836256. [Crossref] [PubMed]
- Kim SJ, Lee JH, Park SM, Kwon KH. Conservative management of traumatic acute intramural hematoma of duodenal 2nd and 3rd portion: A case report and review of literature. Ann Hepatobiliary Pancreat Surg 2020;24:109-13. [Crossref] [PubMed]
- Yu B, Zhi X, Li Q, Xu B, Dong Z, Li T, Chen Z. The efficacy and safety of preoperative cholangiography via percutaneous transhepatic gallbladder drainage (PTGBD) for difficult laparoscopic cholecystectomy (LC). Surg Endosc 2022;36:1355-61. [Crossref] [PubMed]
- Huang SZ, Chen HQ, Liao WX, Zhou WY, Chen JH, Li WC, Zhou H, Liu B, Hu KP. Comparison of emergency cholecystectomy and delayed cholecystectomy after percutaneous transhepatic gallbladder drainage in patients with acute cholecystitis: a systematic review and meta-analysis. Updates Surg 2021;73:481-94. [Crossref] [PubMed]
- Hamada T, Yasunaga H, Nakai Y, Isayama H, Horiguchi H, Fushimi K, Koike K. Severe bleeding after percutaneous transhepatic drainage of the biliary system: effect of antithrombotic agents--analysis of 34 606 cases from a Japanese nationwide administrative database. Radiology 2015;274:605-13. [Crossref] [PubMed]
- Shibasaki S, Takahashi N, Toi H, Tsuda I, Nakamura T, Hase T, Minagawa N, Homma S, Kawamura H, Taketomi A. Percutaneous transhepatic gallbladder drainage followed by elective laparoscopic cholecystectomy in patients with moderate acute cholecystitis under antithrombotic therapy. J Hepatobiliary Pancreat Sci 2014;21:335-42. [Crossref] [PubMed]
- Kang EA, Han SJ, Chun J, Lee HJ, Chung H, Im JP, Kim SG, Kim JS, Yoon H, Shin CM, Park YS, Kim N, Lee DH, Jung HC. Clinical features and outcomes in spontaneous intramural small bowel hematoma: Cohort study and literature review. Intest Res 2019;17:135-43. [Crossref] [PubMed]
- Lourenço LC, Horta DV, Reis J. Hepatobiliary and Pancreatic: Gastric outlet obstruction from pancreatitis-induced intramural duodenal haematoma. J Gastroenterol Hepatol 2017;32:739. [Crossref] [PubMed]
- Sorbello MP, Utiyama EM, Parreira JG, Birolini D, Rasslan S. Spontaneous intramural small bowel hematoma induced by anticoagulant therapy: review and case report. Clinics (Sao Paulo) 2007;62:785-90. [Crossref] [PubMed]
- Hornor MA, Duane TM, Ehlers AP, Jensen EH, Brown PS Jr, Pohl D, da Costa PM, Ko CY, Laronga C. American College of Surgeons' Guidelines for the Perioperative Management of Antithrombotic Medication. J Am Coll Surg 2018;227:521-536.e1. [Crossref] [PubMed]
- McClain LE, Pullatt RC. Spontaneous intramural hematoma of the ileum associated with obstruction during low-molecular-weight heparin use. Am Surg 2013;79:E3-5.
- Shaw PH, Ranganathan S, Gaines B. A spontaneous intramural hematoma of the bowel presenting as obstruction in a child receiving low-molecular-weight heparin. J Pediatr Hematol Oncol 2005;27:558-60. [Crossref] [PubMed]

