Effect of age on substantia nigra subregions using neuromelanin-sensitive magnetic resonance imaging overlapping on quantitative susceptibility mapping
Introduction
The substantia nigra (SN) exhibits anatomical heterogeneity, comprising two histologically distinct subregions: the substantia nigra pars reticulata (SNpr) and the substantia nigra pars compacta (SNpc) (1,2). Previous work further subdivided the SN into three functionally distinct layers based on defined cell groups: the SNpr tier, the ventral SNpc tier, and the dorsal SNpc tier (1,3). There are regional differences in the distribution of striatal projections and histochemical markers in SN, suggesting that the regional differences may hold significant implications for the pathogenesis of diseases such as Parkinson’s disease (PD) (1). Research has indicated that the SN in degenerative diseases demonstrate regional selectivity (1), which implies that when deliberation on the alterations in the SN, the impacts of its subregions should be taken into account. In healthy individuals, the SNpc is characterized by a high density of neuromelanin (NM)-containing dopaminergic neurons. The depletion of dopaminergic neurons, manifested as depigmentation of the SNpc, is widely recognized as a key pathological hallmark of PD (1). Additionally, the deposition of iron within the SN is suggested to contribute to the pathophysiological mechanisms underlying PD (4).
NM comprising melanin, proteins, lipids, and metal ions is synthesized within specific populations of catecholaminergic neurons in the brain, and highly concentrated in the dopaminergic neurons of the SNpc and the noradrenergic neurons of the locus coeruleus (LC) (5,6). NM is regarded as the primary iron-storage in neurons of SNpc, which can prevent the generation of superoxide free radicals resulting from iron-mediated neurotoxicity (7,8). Previous research has demonstrated that iron, ferritin, and NM exhibit substantial alterations in PD, and suggested that age plays a crucial role in these changes (9,10). This pigment first emerges in humans at the age of 2–3 years and accumulates over time (9). However, in patients with PD, its amount is relatively decreased (9). Multiple investigations have revealed that the concentration of NM in the SN rises with age (9,11,12), whereas the other histological studies have reported that the concentration of NM in the SN and LC reaches its peak around 50–60 years of age (13,14). Throughout the lifespan, the iron content in the SN increases with advancing age, whereas that in the LC remains stable (11). Research using NM-sensitive magnetic resonance imaging (NM-MRI) has demonstrated that the signal contrast ratios (CRs) of the SN increase linearly with age (15). Several other studies have indicated that the CRs and volume of the SN, as well as the CRs of the LC, all exhibit an inverted U-shaped change with age (15-17). Previous research has revealed that the melanin content of neurons in the ventrolateral SN of healthy persons is lower than that of neurons in the dorsomedial region (3). Histological research has reported that there is a marked decrease in nigral neurons in dorsal SN, whereas no obvious alterations occur in ventral SN during aging (1). Diffusion tensor imaging (DTI) research in the evaluation of age-related microstructural variations in specific SN segments has reported significant changes in DTI measures with age in the dorsal tier but not in the ventral tier of SN (18). However, there are few reports on age-related changes of NM CRs and iron content in dorsal and ventral SN.
NM forms a paramagnetic complex with iron, generating high signal intensity (SI) on specific T1-weighted magnetic resonance imaging (MRI) sequences for non-invasive in-vivo visualization. The NM-MRI SI correlates with the NM-containing neurons density, reflecting the viability of SN neurons. Significantly lower SI of the SNpc on NM-MRI in patients with PD compared to that in healthy individuals (19,20) indicates NM-MRI’s potential for assessing the disease severity and progression of PD. However, differentiating the dorsal and ventral SN tier merely using two-dimensional (2D) NM-MRI is challenging (21,22). Subregional SI variations within the SN on NM-MRI are easily overlooked as the obvious shortcoming of the existing NM-MRI method (22). The inconsistent locations across and within studies necessitate the consideration of location variation by delineating the SN based on its overlap with other MRI contrasts (22).
Susceptibility-weighted imaging based on T2*-weighted contrast can be utilized to localize the axial positions of the dorsal and ventral tier of the SN in other MRI modalities (2). Quantitative susceptibility mapping (QSM) displays magnetic susceptibility and is proportional to the brain iron concentration, which is pivotal for locating the SN subregions on NM-MRI. Previous studies have used the QSM approach to demonstrate brain iron concentration changes in the SN of patients with PD (23-28). Although previous research has demonstrated the effect of age on iron deposition in the entire SN (10-12,29,30), age-related changes in QSM value in the human subdivided SN have not been reported. Whether there exists a potential relationship between NM and iron concentrations in the SN subregions also remains unknown.
The NM-MRI contrast has been suggested as a combination of magnetization transfer (MT)-effects and T1-effects (2,31). The MT-effects can be characterized through the MT ratio (MTR) derived from a pair of images that are MT prepared and unprepared (32). Changes in NM-MRI metrics, including CRs and MTR, in the SN, are vital imaging markers of PD and are widely used in studies involving patients with PD and multiple atypical parkinsonism (19,33-36). However, several technical factors hinder the application of NM-MRI in clinical practice, including long scanning time (about 5–12 minutes), dependency on multiple MRI technical parameters, partial volume effect, and excessive specific absorption rate (22,37-39). Quantitative MTR assessment usually requires two MRI scans with and without an MT pre-pulse. The longer scanning time may cause an additional burden to older people or those with parkinsonism, who may experience the prolonged supine position in the magnetic resonance (MR) device as uncomfortable. Therefore, an accelerated and optimized NM-MRI approach is imperative to boost clinical applicability. A novel technique, deep learning reconstruction (DLR) algorithm, is currently applied in various anatomical structures and contrast-weighted imaging scenarios and has shown significantly improved image quality compared with traditional MRI via breaking the tradeoff between scan time, signal-to-noise ratio, and spatial resolution (40-43). In this study, we aimed to delineate the SN via applying the DLR algorithm to NM-MRI with and without an explicit MT pre-pulse by superimposing SN on a three-dimensional (3D) enhanced susceptibility-weighted angiography sequence (ESWAN) and discuss age-related trends of CRs and MTR in the dorsal and ventral SN. In addition, we examined the age-related trend of QSM value and the potential relationship between NM-MRI measures and QSM values in the SN subregions. We present this article in accordance with the STROBE reporting checklist (available at https://qims.amegroups.com/article/view/10.21037/qims-2025-57/rc).
Methods
Participants
A total of 95 healthy volunteers aged 18–84 years were recruited from Renmin Hospital of Wuhan University from July to November 2023. The study was conducted in accordance with the Declaration of Helsinki and its subsequent amendments. The study was approved by the Ethics Committee for Clinical Research of Renmin Hospital of Wuhan University (No. WDRY2023-K035) and informed consent was provided by all individual participants. All participants underwent cognitive function testing using the Montreal Cognitive Assessment (MoCA) and a detailed medical history interview, being excluded with the following criteria: (I) history of neurological or psychiatric illness; (II) MRI contraindications; or (III) MoCA score <26. We excluded 6 participants due to abnormal signal on the axial T2-weighted fluid-attenuated inversion recovery (FLAIR) images (n=2), excessive head movement-induced artifacts (n=3), and failure to complete the MoCA score estimation (n=1). Finally, 89 participants (41 men and 48 women) were included for analysis. Figure 1 shows the process of selection for participants.
MRI data acquisition
MR acquisitions were performed on a 3.0 Tesla Signa Architect MR scanner (GE Healthcare, Chicago, IL, USA), using a 48-channel phased-array head coil. The MR protocol contained an axial T2-weighted- FLAIR sequence to exclude participants with organic brain lesion, a sagittal 3D brain volume imaging T1-weighted sequence [repetition time (TR) =7.7 ms; echo time (TE) =3.1 ms; matrix =256×256; field of view (FOV) =25.6 cm; spatial resolution =1×1×1; flip angle =12°; bandwidth =31.25 Hz/pixel; and scanning time =4 min 18 s], an axial 3D ESWAN sequence based on 3D gradient-recalled echo (GRE) (TR =25.8 ms; TE =1.9 ms; matrix =240×240; FOV =24 cm; spatial resolution =1×1×1; flip angle =20°; bandwidth =62.5 Hz/pixel; number of echo =8, and scanning time =5 min 31 s), and NM-MRI based on DLR using 2D GRE sequences, with and without an MT pre-pulse (TR =400 ms; TE = min full; matrix =512×416; FOV =20 cm; slice thickness =1.5 mm; slice gap =0.0 mm; slice number =10, spatial resolution =0.39×0.48×1.5; flip angle =40°; bandwidth =31.25 Hz/pixel, MT frequency offset =1,200 Hz, MT pulse duration =8 ms; MT flip angle =300°; and scanning time =2 min 25 s). Using the mid-sagittal slice of 3D brain volume imaging T1-weighted sequence, the axial plane was positioned parallelly to the line of anterior commissure to posterior commissure for NM-MRI and slices corresponding to 3D ESWAN slices covered SN.
AIRTM Recon deep learning
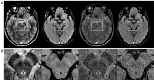
A commercial DLR algorithm (AIRTM Recon DL, GE Healthcare) was embedded in the MR data reconstruction pipeline, producing an appropriate trade-off between the signal-to-noise ratio, spatial resolution, and scanning time (44,45). It comprised a deep convolutional neural network that uses raw complex-valued imaging data to reconstruct images with a high signal-to-noise ratio, reduced truncation artifacts, and high spatial resolution (43,45). The convolutional neural network was trained using a supervised learning approach with over 4.4 million parameters in more than 10,000 kernels. Each acquisition simultaneously had two sets of images from a single set of raw k-space data obtained during scanning. Notably, one set of images was reconstructed using DLR, and the other using conventional reconstruction was defined as NON-DLR (no applied DLR). This study applied the DLR on NM-MRI based on GRE with and without an MT pre-pulse. The representative images are shown in Figure 2 (the DLR NM-MRI with and without pre-pulse and the NON-DLR NM-MRI with and without pre-pulse from left to right in Figure 2A; the magnified views of the white boxes corresponding to Figure 2A in Figure 2B).
QSM reconstruction
The 3D ESWAN sequence was used to reconstruct QSM using STISuite software (version 3.0; https://people.eecs.berkeley.edu/~chunlei.liu/software.html). First, mask images were generated from the magnitude images of the 3D ESWAN sequence using a threshold for background phase removal. Then, Laplacian-based phase unwrapping and the sophisticated harmonic artifact reduction for phase data algorithm using a variable radius of the spherical kernel at the brain boundary for background field removal were performed to preprocess the phase images (46-50). Finally, a two-level QSM reconstruction algorithm, streaking artifact reduction for QSM was used to calculate the susceptibility maps. The streaking artifact reduction for QSM algorithm significantly reduced streaking artifacts and preserved sharp boundaries for blood vessels by tuning a regularization parameter to automatically reconstruct large and small susceptibility values (51). Susceptibility maps obtained using QSM reconstruction were utilized to assess the iron concentrations in the dorsal and ventral SN.
Location of dorsal and ventral SN
The co-registration between 2D DLR NM-MRI with (Figure 3A) and without (Figure 3B) MT pre-pulse and the susceptibility maps (Figure 3C) was performed using the co-register tool in SPM12 (http://www.fil.ion.ucl.ac.uk/spm). Figure 3 shows the co-registration results displayed in the graphics frame in SPM after co-register, and the clarity is inferior to the original true clarity of the DLR NM-MRI with and without MT pre-pulse and the susceptibility maps. The red nucleus (RN) is considered a landmark to localize SN for delineating a region of interest (ROI) (1). The dorsal SN is located in the same section adjacent to the RN, and the ventral SN is located inferior to the RN (18,52). The Figure 4A,4B represent the sagittal and axial slices of the susceptibility maps, respectively. The green and blue lines in Figure 4C correspond to the dorsal and ventral layers of the SN, respectively. For the quantitative assessment of QSM value, two radiologists with nine and 10 years of relevant respective experience who were blinded to the imaging information manually measured the lateral, central, and medial parts of bilateral dorsal SN (Figure 4D) and ventral SN (Figure 4E) using 2-mm2 ROIs twice with an interval of half a month. The average QSM values of the lateral, central, and medial ROIs were obtained for the bilateral dorsal SN (Figure 4D) and ventral SN (Figure 4E), respectively. To keep the ROIs drawn on the dorsal and ventral SN layers of the susceptibility maps (Figure 4D,4E) as consistent as possible with the corresponding slices on DLR NM-MRI images with (Figure 4F,4G) or without (Figure 4H,4I) MT pre-pulse, the susceptibility maps were analyzed in the individual-level space and were not standardized to the standard space.
NM-MRI analysis
For the quantitative assessment of DLR NM-MRI with and without MT pre-pulse, the same two radiologists copied manually sketched 2-mm2 ROIs on QSM (Figure 4D,4E) to the lateral, central, and medial parts of bilateral dorsal SN (Figure 4F,4H), ventral SN (Figure 4G,4I), and adjacent cerebral peduncles (CP) (Figure 4F,4G) and repeated the process after an interval of half a month. The ROIs for the bilateral dorsal (Figure 4F,4H) and ventral (Figure 4G,4I) SN were selected on the NM-MRI using DLR with and without MT pre-pulse in the same positions. The average SI values of the lateral, central, and medial ROIs were obtained for the bilateral dorsal SN (Figure 4F,4H) and ventral SN (Figure 4G,4I) respectively. CRs and MTR of the SN were calculated after measuring the ROIs using the following formulas: CRs = (SIsn − SIcp)/SIcp, where SIsn and SIcp are the mean SI values of the two radiologists twice-manually measured bilateral dorsal or ventral SN and CP, respectively. MTR = (SIMT-OFF − SIMT)/SIMT-OFF, where SIMT and SIMT-OFF represent the average SI values of the two radiologists’ twice-manual measurements in the bilateral dorsal or ventral SN with and without MT pre-pulse, respectively. Mean values were used, as there were no significant differences in the CRs and MTR among the bilateral dorsal SN, ventral SN, and CP.
Statistical analyses
All statistical analyses were performed using the R statistical and computing software (version 4.2.2; http://www.r-project.org). The intra- and inter-rater reliability of the NM-MRI SI and QSM value of the SN were examined using intraclass correlation coefficient (ICC) (53) (ICC <0.4, poor; 0.4≤ ICC <0.6, fine; 0.6≤ ICC <0.75, good; 0.75≤ ICC< 1.0, excellent) (54). The normality of all measurements was confirmed using the Shapiro-Wilk test. The intra- and inter-rater reliability analysis were carried out for the SI and QSM value, but not CRs and MTR, of bilateral SN subregions and the CP because CRs and MTR were calculated based on SI which was obtained directly during drawing ROIs on DLR NM-MRI with and without pre-pulse. Meanwhile, CRs and MTR were calculated using the average SI values of the first and second measurements of the two radiologists to guarantee the credibility.
A polynomial regression analysis was performed to explore whether the average CRs, MTR, and QSM value in the bilateral dorsal and ventral SN exhibited age-related changes. R2 was adopted to represent the percentage of the total variance of the measurement explained based on its relationship with age (linear or quadratic) (55). The Akaike information criterion (AIC) and the Bayesian information criterion (BIC) were applied to assess the goodness of fit of the statistical models. Partial Pearson’s correlation analysis using age and sex as covariates was conducted between any two imaging parameters (CRs, MTR, and QSM value) in dorsal and ventral SN. Statistical significance was set at P<0.05*(1/n) with Bonferroni correction; the letter n indicated to the number of the tests.
Results
Table 1 shows participant demographic characteristics. Table 2 presents the ICC value and 95% confidence interval (CI) for the SI in the bilateral dorsal and ventral SN and CP on NM-MRI with or without MT pre-pulse and the ICC value as well as the 95% CI for the QSM value in the bilateral dorsal and ventral SN on susceptibility maps. All ICC values were >0.75.
Table 1
| Subject | Value (n=89) |
|---|---|
| Gender | |
| Male | 41 |
| Female | 48 |
| Age (years) | |
| 18–20 | 1 (18±0) |
| 21–30 | 11 (24.80±3.40) |
| 31–40 | 18 (35.06±2.62) |
| 41–50 | 15 (45.73±3.17) |
| 51–60 | 17 (56.29±2.73) |
| 61–70 | 15 (66.25±3.02) |
| 71–84 | 12 (77.58±3.87) |
| MoCA score | 28.39±1.24 |
Data are presented as number or number (mean ± standard deviation). For each age group, the number on the right denotes the number of participants within the age group. MoCA, Montreal Cognitive Assessment.
Table 2
| ROI | Measurement | Time | Intra-radiologist | Inter-radiologist | |
|---|---|---|---|---|---|
| Radiologist 1 | Radiologist 2 | ||||
| Dorsal SN | MT SI | Time 1 vs. 2 | 0.963 (0.944–0.975) | 0.972 (0.957–0.981) | 0.972 (0.958–0.982) |
| MTOFF SI | Time 1 vs. 2 | 0.988 (0.982–0.992) | 0.991 (0.986–0.994) | 0.990 (0.986–0.994) | |
| QSM value | Time 1 vs. 2 | 0.882 (0.825–0.921) | 0.870 (0.808–0.912) | 0.800 (0.711–0.864) | |
| CP | MT SI | Time 1 vs. 2 | 0.974 (0.961–0.983) | 0.981 (0.971–0.988) | 0.985 (0.977–0.990) |
| Ventral SN | MT SI | Time 1 vs. 2 | 0.962 (0.943–0.975) | 0.978 (0.967–0.986) | 0.978 (0.967–0.985) |
| MTOFF SI | Time 1 vs. 2 | 0.974 (0.961–0.983) | 0.994 (0.991–0.996) | 0.983 (0.974–0.988) | |
| QSM value | Time 1 vs. 2 | 0.937 (0.906–0.958) | 0.954 (0.931–0.969) | 0.846 (0.775–0.896) | |
| CP | MT SI | Time 1 vs. 2 | 0.960 (0.940–0.974) | 0.986 (0.978–0.990) | 0.961 (0.941–0.974) |
Data are presented as the ICC value (95% CI). Time 1/2, the twice manually measure of the two radiologists, the interval of Time 1/2 is half a month; CI, confidence interval; CP, cerebral peduncles; ICC, intraclass correlation coefficient; MT, magnetization transfer; MTOFF, no applied magnetization transfer; QSM, quantitative susceptibility mapping; SI, signal intensity; SN, substantia nigra.
Polynomial regression analysis revealed that the CRs (R2=0.270, P<0.001) (Figure 5A) and QSM value (R2=0.235, P<0.001) (Figure 5B) of the dorsal SN increased linearly with age. The MTR (R2=0.241, P<0.001) (Figure 5C) showed a linear decrease in the dorsal SN throughout lifetime. The CRs (R2=0.257, P<0.001) (Figure 5A) of the ventral SN fit a quadratic curve with age, and the QSM value (R2=0.061, P=0.020) (Figure 5B) showed a mild increase in the ventral SN with age. The MTR of the ventral SN did not show a linear or quadratic trend with age (R2=0.009, P=0.387) (Figure 5C). Table 3 shows the regression models for effect of age on CRs, MTR, and QSM values in dorsal and ventral SN.
Table 3
| Dependent variable | Predictor | Estimate | 95% CI | R | R2 | AIC | BIC | t | P value | |
|---|---|---|---|---|---|---|---|---|---|---|
| Lower | Upper | |||||||||
| Dorsal SN CRs | Age | 1.23×10−3 | 8.00×10−4 | 1.66×10−3 | 0.520 | 0.270 | −338 | −331 | 5.58 | <0.001*** |
| Ventral SN CRs | Age | 7.74×10−3 | 4.83×10−3 | 1.07×10−2 | 0.507 | 0.257 | −316 | −306 | 5.29 | <0.001*** |
| Age2 | −7.72×10−5 | −1.05×10−4 | −4.89×10−5 | −5.43 | <0.001*** | |||||
| Dorsal SN QSM | Age | 5.14×10−4 | 3.16×10−4 | 7.11×10−4 | 0.485 | 0.235 | −477 | −469 | 5.17 | <0.001*** |
| Ventral SN QSM | Age | 3.79×10−4 | 6.09×10−5 | 6.97×10−4 | 0.246 | 0.061 | −392 | −385 | 2.37 | 0.020* |
| Dorsal SN MTR | Age | −5.69×10−4 | −7.84×10−4 | −3.54×10−4 | 0.491 | 0.241 | −462 | −454 | −5.25 | 0.001*** |
| Ventral SN MTR | Age | −9.04×10−5 | −2.97×10−4 | 1.16×10−4 | 0.093 | 0.009 | −469 | −461 | −0.869 | 0.387 |
*, P<0.05; ***, P<0.001. AIC, Akaike information criterion; BIC, Bayesian information criterion; CI, confidence interval; CRs, contrast ratios; MTR, magnetization transfer ratios; QSM, quantitative susceptibility mapping; SN, substantia nigra.
Partial Pearson’s correlation analysis after controlling for age and sex showed a significant negative correlation between the CRs and MTR for the dorsal (R=−0.350, P<0.001) and ventral (R=−0.312, P=0.003) SN (Figure 6A), whereas a trend of positive association between CRs and QSM value for the dorsal SN (R=0.221, P=0.040>0.017) which could not withstand the Bonferroni correction (Figure 6B). Moreover, no significant correlation was observed between the MTR and the QSM value for the dorsal and ventral SN (Figure 6C).
Discussion
We demonstrated the effect of age on NM-MRI measures in SN subregions which were co-registered and overlapped on a T2*-weighted contrast MR images and explored the relationship between NM-MRI measures and QSM value in the human SN. First, the reproducibility of SI and QSM value in the SN on NM-MRI and the susceptibility maps were assessed using ICC, which showed excellent reproducibility. Then, the changes in CRs, MTR, and QSM value as a function of age were explored and the partial Pearson’s correlation coefficient between CRs, MTR, and QSM value pairs were computed using age and sex as covariates. Previous studies showed the scan time of conventional NM-MRI typically takes between five and 12 minutes, depending on the magnetic field strength, number of scan slices, scan sequences (fast spin echo or GRE with MT pre-pulse), or acquisition methods (2D or 3D), and so on. Despite having acquired fewer slices (10 slices) in this study, DLR NM-MRI with and without an explicit MT pre-pulse were reliably obtained within a reasonable scan time (approximately 2 min 35 s), facilitating NM-MRI applications in clinical practice to validate the necessity of SN subdivision analysis. Nevertheless, no subjective or objective comparative analyses were conducted on NM-MRI with and without DLR in this study, which is one of the shortcomings despite the visually discernible differences between the NM-MRI with and without DLR in Figure 2.
Age-related trend of CRs, MTR, and QSM value in dorsal and ventral SN
The high SN SI on NM-MRI is closely associated with the NM-containing neurons. Higher CRs of the SN indirectly reflect higher NM concentrations in the SN. Results for age-related changes in NM-containing neurons evaluated using histochemical methods are controversial (1,9,11,12). Fearnley and Lees (1) reported a significant loss of pigmented nigral neurons in the dorsal SN without apparent ventral SN variations during aging. Studies that did not subdivide the SN into dorsal and ventral tiers considered the total NM concentration and found a linear increase in NM concentration in the SN throughout life (9,11,12). The differences in these results were suggested to be due to the different methodologies used to count SN neurons. Simply counting the pigmented neurons is unlikely to capture the age-related increment, since it is more probable that the amount of NM per neuron increases with age, rather than the quantity of pigmented neurons. This may account for the failure of early studies to capture the age-related increase in the dorsal part of SN.
In this study, the dorsal SN CRs increased linearly with age, and the ventral SN CRs increased until age 40–59 years, followed by a decrease. The age-related changes patterns in the dorsal and ventral SN using NM-MRI in this study were inconsistent with Fearnley and Lees’ reports (1). Meanwhile, our findings showed some overlaps with those of other histological studies which did not subdivide the SN into dorsal and ventral tiers and reported a continuous increase in SN NM concentrations during life (9,11,12). Herein, the dorsal and ventral SN CRs increased before middle age. After middle age, CRs in the dorsal SN increased with age, whereas CRs in the ventral SN decreased. A recent study employing MT contrast NM-MRI disclosed an increase in CRs in the SN with advancing age (15). Additionally, they discovered that the volume of the NM accumulation region augmented until the 30s and declined in the 80s (15). Employing optimized NM-MRI in a sample covering the entire lifespan, a prior study verified a significant age effect on the pigmentation-related contrast of the SN from childhood to old age, which assumes an inverted U-shaped pattern (17). NM is not only concentrated in the dopaminergic neurons of the SN but is also abundant in the noradrenergic neurons of the LC (12). The SN and LC, composed of catecholaminergic neurons, are pigmented owing to NM presence (19); therefore, the two brain regions share many similar anatomical and biochemical characteristics (12). A previous NM-MRI study investigated age-related changes in the LC and found that the CRs of the LC increased with age until middle adulthood and diminished thereafter (16). These previous findings underpin the age-related variation of CRs in the ventral SN in our work.
In this study, MTR in dorsal SN decreased linearly with age, whereas MTR in ventral SN did not show a statistical correlation with age. Previous studies have reported significant age-related MTR reductions in normal brain white matter and corpus callosum (33,55,56), reflecting structural changes, such as neuronal loss, myelin loss, or glial tissue changes during aging. The age-related MTR decreases in gray matter are suggested to result from the demyelination and axonal degeneration in gray matter, which are interpreted by a neuronal cell body disorder because of reduced size (55). By investigating clinical stage-related MTR changes in patients with PD, progressive SN MTR decrease was observed over the mild-to-advanced stages of PD (35). Using DTI to assess age-related degenerations in the dorsal and ventral SN, a study reported significantly reduced fractional anisotropy in the dorsal SN during aging and did not find apparent variations in the ventral SN, implying demyelination during aging (18). Our finding of the age effect on MTR declines occurred in the dorsal but not in the ventral SN aligns with these previous results.
Iron deposition in the brain is integral to normal brain development (29). During normal aging processes, there is a progressive and more significant increase in iron concentrations in the SN, RN, and globus pallidus than there is in other brain regions (29). Histochemical methods have revealed an age-related linear increase in iron concentration in postmortem SN material (11,30,57). We observed a linear increase in the dorsal and ventral SN QSM value with age. The QSM value corresponds to the iron concentration: the larger the QSM value, the higher the iron concentration. This finding aligns with the reports of the prior studies.
Correlation between NM-MRI measures and QSM value in the SN
Correlation analysis revealed negative linear correlations between CRs and MTR in the dorsal and ventral SN. To our knowledge, this is the first study to investigate the relationship between CRs and MTR in the normal-aging SN using NM-MRI. The MTR reflects the energy exchange process between highly bound protons within macromolecular structures, such as proteins, and the mobile protons of free water (58). The higher the macromolecular concentrations, the lower the MTR value. NM has a strong chelating ability for iron, forming NM-iron complexes, and can interact with polyunsaturated lipids with high molecular masses (10). The NM pigment comprises NM-iron complexes, proteins, and lipids (31). The aliphatic chains in NM can affect the exchange between the macromolecules and the free pool (22). These NM characteristics in the SN may support the negative correlations between CRs and MTR in the dorsal and ventral SN observed in this study. NM is a metal chelator that binds organic toxins to prevent cytotoxic processes and promote neuronal detoxification (10). The NM-iron complex can be neuroprotective in preventing cytotoxic processes that are essential in normal aging (10). Iron that cannot be stored in the NM may contribute to neurodegeneration in patients with PD (34). The NM and iron performance patterns in normal aging may support the trend of positive correlation between CRs and QSM value in the dorsal SN in this study. However, CRs and QSM value did not show significant correlations in the ventral SN. In the age-related analysis, the QSM value in the ventral SN showed a mild linear increase with age, the statistical significance was weaker compared with the effect of age on the QSM value in dorsal SN. Moreover, the fact that the CRs in the ventral SN decreased after middle age, inverse to that in the dorsal SN, may support the lack of relationship between CRs and QSM value in the ventral SN. Previous studies have reported changes in the MTR and QSM value of the SN in disorders with PD compared to normal adults (26,27,33,35); however, the correlation between the two measurements remains unclear in PD patients. This study investigated the age effect on MTR and QSM value of the subdivided SN in normal individuals, and no significant Pearson’s correlation was found between the two measures in the dorsal or ventral SN.
Limitations
This study has some limitations. First, objective assessment of DLR and conventional NM-MRI were not compared. The DLR NM-MRI showed superior image quality to traditional NM-MRI, which has been verified in previous studies (40-45). Our goal in this study was to explore the age effect on SN subregions using DLR NM-MRI and QSM; however, discussing the advantages of DLR NM-MRI compared with conventional NM-MRI objectively will further validate our results. In addition, it is essential to further validate DLR NM-MRI in patients. To date, the anatomical boundaries of the SN subregions do not perfectly correspond to imaging boundaries. In this study, the slice positions of the SN in 2D NM-MRI were acquired consistent with those in 3D ESWAN in this study, and the 2D NM-MRI was co-registered and overlapped on QSM. The slice locations of the dorsal and ventral tier of SN were indirectly determined through relying on the RN as an anatomical mark. To a certain extent, the indirect positioning method ensured the accuracy of differentiating the dorsal and ventral tier of SN in this study. Nevertheless, it is worth noting that the SN’s long axis further complicates accurate subregion evaluation in actual circumstances. Therefore, volumetric segmentation and volume of interest assessment would be a more reliable strategy for evaluating age-related effects in SN subregions in future studies. Finally, in this study, no clinical assessments were performed by neurologists on the participants to rule out potential patients in the prodromal stage of PD. Additionally, no investigation was conducted into whether the participants had a history of substance abuse (including hard drugs and alcohol). Moreover, before the MRI scans, no further inquiries were made regarding whether the participants were taking any medications, yet psychotropic medications have potential effects on the midbrain. Although the aim of this study was to explore the age-related changes in NM measurements and iron content within the subregions of the SN using two MRI techniques (NM-MRI and QSM), rather than to compare differences among different subgroups, it remains necessary to control for the potential effects of underlying diseases and medications, similar to the approach of adjusting for covariates, so as to enhance the purity of the age effect.
Conclusions
The age-related trend of NM-MRI measures varied across in the SN subregions, suggesting the essential consideration of the subdivided SN when exploring age-related changes in the SN. The negative correlation between CRs and MTR in the dorsal and ventral SN and the trend of positive correlation between CRs and QSM value in the dorsal SN might possess referential worth for disease conditions.
Acknowledgments
We would like to thank all volunteers for their active participation and GE clinical training engineer Guangnan Quan for optimizing NM-MRI sequence with deep-learning reconstruction.
Footnote
Reporting Checklist: The authors have completed the STROBE reporting checklist. Available at https://qims.amegroups.com/article/view/10.21037/qims-2025-57/rc
Data Sharing Statement: Available at https://qims.amegroups.com/article/view/10.21037/qims-2025-57/dss
Funding: None.
Conflicts of Interest: All authors have completed the ICMJE uniform disclosure form (available at https://qims.amegroups.com/article/view/10.21037/qims-2025-57/coif). W.V.L. reports being a full-time employee of GE Healthcare throughout the conduct of the study. The other authors have no conflicts of interest to declare.
Ethical Statement: The authors are accountable for all aspects of the work in ensuring that questions related to the accuracy or integrity of any part of the work are appropriately investigated and resolved. The study was conducted in accordance with the Declaration of Helsinki and its subsequent amendments. The study was approved by the Ethics Committee for Clinical Research of Renmin Hospital of Wuhan University (No. WDRY2023-K035) and informed consent was taken from all individual participants.
Open Access Statement: This is an Open Access article distributed in accordance with the Creative Commons Attribution-NonCommercial-NoDerivs 4.0 International License (CC BY-NC-ND 4.0), which permits the non-commercial replication and distribution of the article with the strict proviso that no changes or edits are made and the original work is properly cited (including links to both the formal publication through the relevant DOI and the license). See: https://creativecommons.org/licenses/by-nc-nd/4.0/.
References
- Fearnley JM, Lees AJ. Ageing and Parkinson's disease: substantia nigra regional selectivity. Brain 1991;114:2283-301. [Crossref] [PubMed]
- Langley J, Huddleston DE, Chen X, Sedlacik J, Zachariah N, Hu X. A multicontrast approach for comprehensive imaging of substantia nigra. Neuroimage 2015;112:7-13. [Crossref] [PubMed]
- Gibb WR, Lees AJ. Anatomy, pigmentation, ventral and dorsal subpopulations of the substantia nigra, and differential cell death in Parkinson's disease. J Neurol Neurosurg Psychiatry 1991;54:388-96. [Crossref] [PubMed]
- Wypijewska A, Galazka-Friedman J, Bauminger ER, Wszolek ZK, Schweitzer KJ, Dickson DW, Jaklewicz A, Elbaum D, Friedman A. Iron and reactive oxygen species activity in parkinsonian substantia nigra. Parkinsonism Relat Disord 2010;16:329-33. [Crossref] [PubMed]
- Zecca L, Shima T, Stroppolo A, Goj C, Battiston GA, Gerbasi R, Sarna T, Swartz HM. Interaction of neuromelanin and iron in substantia nigra and other areas of human brain. Neuroscience 1996;73:407-15. [Crossref] [PubMed]
- Zucca FA, Basso E, Cupaioli FA, Ferrari E, Sulzer D, Casella L, Zecca L. Neuromelanin of the human substantia nigra: an update. Neurotox Res 2014;25:13-23. [Crossref] [PubMed]
- Double KL, Gerlach M, Schünemann V, Trautwein AX, Zecca L, Gallorini M, Youdim MB, Riederer P, Ben-Shachar D. Iron-binding characteristics of neuromelanin of the human substantia nigra. Biochem Pharmacol 2003;66:489-94. [Crossref] [PubMed]
- Zecca L, Casella L, Albertini A, Bellei C, Zucca FA, Engelen M, Zadlo A, Szewczyk G, Zareba M, Sarna T. Neuromelanin can protect against iron-mediated oxidative damage in system modeling iron overload of brain aging and Parkinson's disease. J Neurochem 2008;106:1866-75. [Crossref] [PubMed]
- Zecca L, Fariello R, Riederer P, Sulzer D, Gatti A, Tampellini D. The absolute concentration of nigral neuromelanin, assayed by a new sensitive method, increases throughout the life and is dramatically decreased in Parkinson's disease. FEBS Lett 2002;510:216-20. [Crossref] [PubMed]
- Zecca L, Gallorini M, Schünemann V, Trautwein AX, Gerlach M, Riederer P, Vezzoni P, Tampellini D. Iron, neuromelanin and ferritin content in the substantia nigra of normal subjects at different ages: consequences for iron storage and neurodegenerative processes. J Neurochem 2001;76:1766-73. [Crossref] [PubMed]
- Zecca L, Stroppolo A, Gatti A, Tampellini D, Toscani M, Gallorini M, Giaveri G, Arosio P, Santambrogio P, Fariello RG, Karatekin E, Kleinman MH, Turro N, Hornykiewicz O, Zucca FA. The role of iron and copper molecules in the neuronal vulnerability of locus coeruleus and substantia nigra during aging. Proc Natl Acad Sci U S A 2004;101:9843-8. [Crossref] [PubMed]
- Zucca FA, Bellei C, Giannelli S, Terreni MR, Gallorini M, Rizzio E, Pezzoli G, Albertini A, Zecca L. Neuromelanin and iron in human locus coeruleus and substantia nigra during aging: consequences for neuronal vulnerability. J Neural Transm (Vienna) 2006;113:757-67. [Crossref] [PubMed]
- Manaye KF, McIntire DD, Mann DM, German DC. Locus coeruleus cell loss in the aging human brain: a non-random process. J Comp Neurol 1995;358:79-87. [Crossref] [PubMed]
- Mann DM, Yates PO. Lipoprotein pigments--their relationship to ageing in the human nervous system. II. The melanin content of pigmented nerve cells. Brain 1974;97:489-98. [Crossref] [PubMed]
- Chen Y, Gong T, Sun C, Yang A, Gao F, Chen T, Chen W, Wang G. Regional age-related changes of neuromelanin and iron in the substantia nigra based on neuromelanin accumulation and iron deposition. Eur Radiol 2023;33:3704-14. [Crossref] [PubMed]
- Shibata E, Sasaki M, Tohyama K, Kanbara Y, Otsuka K, Ehara S, Sakai A. Age-related changes in locus ceruleus on neuromelanin magnetic resonance imaging at 3 Tesla. Magn Reson Med Sci 2006;5:197-200. [Crossref] [PubMed]
- Xing Y, Sapuan A, Dineen RA, Auer DP. Life span pigmentation changes of the substantia nigra detected by neuromelanin-sensitive MRI. Mov Disord 2018;33:1792-9. [Crossref] [PubMed]
- Vaillancourt DE, Spraker MB, Prodoehl J, Zhou XJ, Little DM. Effects of aging on the ventral and dorsal substantia nigra using diffusion tensor imaging. Neurobiol Aging 2012;33:35-42. [Crossref] [PubMed]
- Reimão S, Pita Lobo P, Neutel D, Correia Guedes L, Coelho M, Rosa MM, Ferreira J, Abreu D, Gonçalves N, Morgado C, Nunes RG, Campos J, Ferreira JJ. Substantia nigra neuromelanin magnetic resonance imaging in de novo Parkinson's disease patients. Eur J Neurol 2015;22:540-6. [Crossref] [PubMed]
- Schwarz ST, Xing Y, Tomar P, Bajaj N, Auer DP. In Vivo Assessment of Brainstem Depigmentation in Parkinson Disease: Potential as a Severity Marker for Multicenter Studies. Radiology 2017;283:789-98. [Crossref] [PubMed]
- He N, Ghassaban K, Huang P, Jokar M, Wang Y, Cheng Z, Jin Z, Li Y, Sethi SK, He Y, Chen Y, Gharabaghi S, Chen S, Yan F, Haacke EM. Imaging iron and neuromelanin simultaneously using a single 3D gradient echo magnetization transfer sequence: Combining neuromelanin, iron and the nigrosome-1 sign as complementary imaging biomarkers in early stage Parkinson's disease. Neuroimage 2021;230:117810. [Crossref] [PubMed]
- Sulzer D, Cassidy C, Horga G, Kang UJ, Fahn S, Casella L, Pezzoli G, Langley J, Hu XP, Zucca FA, Isaias IU, Zecca L. Neuromelanin detection by magnetic resonance imaging (MRI) and its promise as a biomarker for Parkinson's disease. NPJ Parkinsons Dis 2018;4:11. [Crossref] [PubMed]
- Cheng Z, He N, Huang P, Li Y, Tang R, Sethi SK, Ghassaban K, Yerramsetty KK, Palutla VK, Chen S, Yan F, Haacke EM. Imaging the Nigrosome 1 in the substantia nigra using susceptibility weighted imaging and quantitative susceptibility mapping: An application to Parkinson's disease. Neuroimage Clin 2020;25:102103. [Crossref] [PubMed]
- Du G, Liu T, Lewis MM, Kong L, Wang Y, Connor J, Mailman RB, Huang X. Quantitative susceptibility mapping of the midbrain in Parkinson's disease. Mov Disord 2016;31:317-24. [Crossref] [PubMed]
- He N, Huang P, Ling H, Langley J, Liu C, Ding B, Huang J, Xu H, Zhang Y, Zhang Z, Hu X, Chen S, Yan F. Dentate nucleus iron deposition is a potential biomarker for tremor-dominant Parkinson's disease. NMR Biomed 2017;
- He N, Ling H, Ding B, Huang J, Zhang Y, Zhang Z, Liu C, Chen K, Yan F. Region-specific disturbed iron distribution in early idiopathic Parkinson's disease measured by quantitative susceptibility mapping. Hum Brain Mapp 2015;36:4407-20. [Crossref] [PubMed]
- Langkammer C, Pirpamer L, Seiler S, Deistung A, Schweser F, Franthal S, Homayoon N, Katschnig-Winter P, Koegl-Wallner M, Pendl T, Stoegerer EM, Wenzel K, Fazekas F, Ropele S, Reichenbach JR, Schmidt R, Schwingenschuh P. Quantitative Susceptibility Mapping in Parkinson's Disease. PLoS One 2016;11:e0162460. [Crossref] [PubMed]
- Uchida Y, Kan H, Sakurai K, Arai N, Kato D, Kawashima S, Ueki Y, Matsukawa N. Voxel-based quantitative susceptibility mapping in Parkinson's disease with mild cognitive impairment. Mov Disord 2019;34:1164-73. [Crossref] [PubMed]
- Aquino D, Bizzi A, Grisoli M, Garavaglia B, Bruzzone MG, Nardocci N, Savoiardo M, Chiapparini L. Age-related iron deposition in the basal ganglia: quantitative analysis in healthy subjects. Radiology 2009;252:165-72. [Crossref] [PubMed]
- HALLGREN B. SOURANDER P. The effect of age on the non-haemin iron in the human brain. J Neurochem 1958;3:41-51. [Crossref] [PubMed]
- Trujillo P, Summers PE, Ferrari E, Zucca FA, Sturini M, Mainardi LT, Cerutti S, Smith AK, Smith SA, Zecca L, Costa A. Contrast mechanisms associated with neuromelanin-MRI. Magn Reson Med 2017;78:1790-800. [Crossref] [PubMed]
- Trujillo P, Smith AK, Summers PE, Mainardi LM, Cerutti S, Smith SA, Costa A. High-resolution quantitative imaging of the substantia nigra. Annu Int Conf IEEE Eng Med Biol Soc 2015;2015:5428-31. [Crossref] [PubMed]
- Eckert T, Sailer M, Kaufmann J, Schrader C, Peschel T, Bodammer N, Heinze HJ, Schoenfeld MA. Differentiation of idiopathic Parkinson's disease, multiple system atrophy, progressive supranuclear palsy, and healthy controls using magnetization transfer imaging. Neuroimage 2004;21:229-35. [Crossref] [PubMed]
- Gaurav R, Yahia-Cherif L, Pyatigorskaya N, Mangone G, Biondetti E, Valabrègue R, Ewenczyk C, Hutchison RM, Cedarbaum JM, Corvol JC, Vidailhet M, Lehéricy S. Longitudinal Changes in Neuromelanin MRI Signal in Parkinson's Disease: A Progression Marker. Mov Disord 2021;36:1592-602. [Crossref] [PubMed]
- Tambasco N, Belcastro V, Sarchielli P, Floridi P, Pierguidi L, Menichetti C, Castrioto A, Chiarini P, Parnetti L, Eusebi P, Calabresi P, Rossi A. A magnetization transfer study of mild and advanced Parkinson's disease. Eur J Neurol 2011;18:471-7. [Crossref] [PubMed]
- Wang J, Li Y, Huang Z, Wan W, Zhang Y, Wang C, Cheng X, Ye F, Liu K, Fei G, Zeng M, Jin L. Neuromelanin-sensitive magnetic resonance imaging features of the substantia nigra and locus coeruleus in de novo Parkinson's disease and its phenotypes. Eur J Neurol 2018;25:949-e73. [Crossref] [PubMed]
- Chen X, Huddleston DE, Langley J, Ahn S, Barnum CJ, Factor SA, Levey AI, Hu X. Simultaneous imaging of locus coeruleus and substantia nigra with a quantitative neuromelanin MRI approach. Magn Reson Imaging 2014;32:1301-6. [Crossref] [PubMed]
- van der Pluijm M, Wallert ED, Coolen BF, Tjong Tjin Joe KT, de Haan L, Booij J, van de Giessen E. Acceleration of neuromelanin-sensitive MRI sequences in the substantia nigra using standard MRI options. Neuroradiology 2023;65:307-12. [Crossref] [PubMed]
- Wengler K, He X, Abi-Dargham A, Horga G. Reproducibility assessment of neuromelanin-sensitive magnetic resonance imaging protocols for region-of-interest and voxelwise analyses. Neuroimage 2020;208:116457. [Crossref] [PubMed]
- Kaniewska M, Deininger-Czermak E, Getzmann JM, Wang X, Lohezic M, Guggenberger R. Application of deep learning-based image reconstruction in MR imaging of the shoulder joint to improve image quality and reduce scan time. Eur Radiol 2023;33:1513-25. [Crossref] [PubMed]
- Kim M, Kim HS, Kim HJ, Park JE, Park SY, Kim YH, Kim SJ, Lee J, Lebel MR. Thin-Slice Pituitary MRI with Deep Learning-based Reconstruction: Diagnostic Performance in a Postoperative Setting. Radiology 2021;298:114-22. [Crossref] [PubMed]
- Wang X, Ma J, Bhosale P, Ibarra Rovira JJ, Qayyum A, Sun J, Bayram E, Szklaruk J. Novel deep learning-based noise reduction technique for prostate magnetic resonance imaging. Abdom Radiol (NY) 2021;46:3378-86. [Crossref] [PubMed]
- Zerunian M, Pucciarelli F, Caruso D, Polici M, Masci B, Guido G, De Santis D, Polverari D, Principessa D, Benvenga A, Iannicelli E, Laghi A. Artificial intelligence based image quality enhancement in liver MRI: a quantitative and qualitative evaluation. Radiol Med 2022;127:1098-105. [Crossref] [PubMed]
- Yoon JH, Lee JE, Park SH, Park JY, Kim JH, Lee JM. Comparison of image quality and lesion conspicuity between conventional and deep learning reconstruction in gadoxetic acid-enhanced liver MRI. Insights Imaging 2024;15:257. [Crossref] [PubMed]
- Peters RD, Harris H, Lawson S. The clinical benefits of AIRTM Recon DL for MR image reconstruction. 2020. Available online: http://api.semanticscholar.org/CorpusID:226191150
- Li W, Wu B, Liu C. Quantitative susceptibility mapping of human brain reflects spatial variation in tissue composition. Neuroimage 2011;55:1645-56. [Crossref] [PubMed]
- Özbay PS, Deistung A, Feng X, Nanz D, Reichenbach JR, Schweser F. A comprehensive numerical analysis of background phase correction with V-SHARP. NMR Biomed 2017;
- Pietroboni AM, Colombi A, Contarino VE, Russo FML, Conte G, Morabito A, Siggillino S, Carandini T, Fenoglio C, Arighi A, De Riz MA, Arcaro M, Sacchi L, Fumagalli GG, Bianchi AM, Triulzi F, Scarpini E, Galimberti D. Quantitative susceptibility mapping of the normal-appearing white matter as a potential new marker of disability progression in multiple sclerosis. Eur Radiol 2023;33:5368-77. [Crossref] [PubMed]
- Schweser F, Deistung A, Lehr BW, Reichenbach JR. Quantitative imaging of intrinsic magnetic tissue properties using MRI signal phase: an approach to in vivo brain iron metabolism? Neuroimage 2011;54:2789-807. [Crossref] [PubMed]
- Yim Y, Choi JD, Cho JH, Moon Y, Han SH, Moon WJ. Magnetic susceptibility in the deep gray matter may be modulated by apolipoprotein E4 and age with regional predilections: a quantitative susceptibility mapping study. Neuroradiology 2022;64:1331-42. [Crossref] [PubMed]
- Wei H, Dibb R, Zhou Y, Sun Y, Xu J, Wang N, Liu C. Streaking artifact reduction for quantitative susceptibility mapping of sources with large dynamic range. NMR Biomed 2015;28:1294-303. [Crossref] [PubMed]
- Sasaki M, Shibata E, Tohyama K, Takahashi J, Otsuka K, Tsuchiya K, Takahashi S, Ehara S, Terayama Y, Sakai A. Neuromelanin magnetic resonance imaging of locus ceruleus and substantia nigra in Parkinson's disease. Neuroreport 2006;17:1215-8. [Crossref] [PubMed]
- Shrout PE, Fleiss JL. Intraclass correlations: uses in assessing rater reliability. Psychol Bull 1979;86:420-8. [Crossref] [PubMed]
- Cicchetti DV. Guidelines, Criteria, and Rules of Thumb for Evaluating Normed and Standardized Assessment Instruments in Psychology. Psychol Assess 1994;6:284-90.
- Ge Y, Grossman RI, Babb JS, Rabin ML, Mannon LJ, Kolson DL. Age-related total gray matter and white matter changes in normal adult brain. Part II: quantitative magnetization transfer ratio histogram analysis. AJNR Am J Neuroradiol 2002;23:1334-41.
- Silver NC, Barker GJ, MacManus DG, Tofts PS, Miller DH. Magnetisation transfer ratio of normal brain white matter: a normative database spanning four decades of life. J Neurol Neurosurg Psychiatry 1997;62:223-8. [Crossref] [PubMed]
- Loeffler DA, Connor JR, Juneau PL, Snyder BS, Kanaley L, DeMaggio AJ, Nguyen H, Brickman CM, LeWitt PA. Transferrin and iron in normal, Alzheimer's disease, and Parkinson's disease brain regions. J Neurochem 1995;65:710-24. [Crossref] [PubMed]
- Wolff SD, Balaban RS. Magnetization transfer contrast (MTC) and tissue water proton relaxation in vivo. Magn Reson Med 1989;10:135-44. [Crossref] [PubMed]

