Dual-layer spectral detector computed tomography-derived virtual non-contrast images in breast cancer patients: a promising alternative to true non-contrast images
Introduction
Computed tomography (CT) is an extremely common imaging modality. However, the efficacy of conventional CT in diagnosing breast diseases has been largely limited by a low diagnostic value and relatively high radiation doses. Nonetheless, CT has gained increasing popularity in breast auxiliary diagnosis owing to advances in CT technology and reduced radiation doses, offering the advantage of evaluating axillary lymph nodes in addition to the breast itself (1). The implementation of a double-layer detector in spectral CT demonstrates a significant advancement in the field of energy spectrum CT. By utilizing separate upper and lower layers of detectors to collect data on high and low energies, spectral CT ensures temporal and spatial alignment, prevents interference between energy rays, and maintains data accuracy. Compared with other spectral CT imaging techniques, dual-layer spectral detector computed tomography (SDCT) eliminates the need for prospective patient screening and preset scanning protocols. Additionally, SDCT obviates the requirement for adjustments to scanning parameters or radiation doses, yet does not disrupt the clinical workflow. It delivers energy spectrum data that aids in the retrospective analysis of imaging data (2). Currently, dual-layer SDCT is extensively used in the diagnosis of various clinical diseases. In particular, it is used in the qualitative and quantitative diagnosis of the brain, heart, large blood vessels, and abdominal organs (3). It is also used in diagnosing benign and malignant breast masses, assessing lymph node metastasis, staging and classifying cancer (4-7), and efficacy evaluation (8).
Notably, one dual-layer SDCT scan can capture both conventional and energy spectrum images, allowing for the generation of parameter maps such as iodine concentration and effective atomic number maps. This technology enables both anatomical observations and molecular-level quantitative analysis to be conducted (9). Virtual non-contrast (VNC) imaging is a frequently utilized spectral parameter in clinical practice, achieved through enhanced image algorithms that selectively suppress iodine contrast agents by differentiating between water and iodine. This process simulates the creation of iodine-free images akin to traditional plain scans (10). Currently, VNC technology is predominantly applied in two primary areas. The first is the differentiation of acute cerebral hemorrhage and residual contrast agent, achieved by using material separation to eliminate high density area in the image caused by the iodine contrast agent. This technology also allows for a clear distinction between bleeding and contrast agent enhancement in VNC images (11). The available studies indicate that VNC serves as a viable alternative to true non-contrast (TNC) in various anatomical regions, including the neck, abdomen, and blood vessels, with the additional advantage of potentially improved image quality (12,13). However, numerous variables, such as scanning equipment, contrast injection techniques, and the size and composition of surrounding tissues, can impact the CT values of VNC images (14-16).
This study explored the feasibility of using VNC images derived from SDCT to replace TNC images in breast cancer patients, given their heightened radiosensitivity. We present this article in accordance with the STROBE reporting checklist (available at https://qims.amegroups.com/article/view/10.21037/qims-2024-2524/rc).
Methods
Patients
This study was conducted in accordance with the Declaration of Helsinki and its subsequent amendments. This study was approved by the Clinical Trial Ethics Committee of Southwest Medical University Affiliated Hospital (No. KY2022160), and the requirement to obtain individual consent for this retrospective analysis was waived.
The clinical and imaging data of breast cancer patients who underwent preoperative energy spectrum CT scanning from January 2021 to May 2022 were retrospectively analyzed. The inclusion criteria were as follows: (I) histopathological diagnosis of breast cancer; (II) no prior breast treatment; (III) satisfactory image quality, with complete TNC, arterial-phase, and venous-phase images. The exclusion criterion was incomplete clinical or imaging data. This study comprised 62 female patients aged 31–70 years, with a mean age of 50.1±9.0 years. The cohort consisted of 53 cases of non-specific invasive carcinoma, 3 cases of ductal carcinoma in situ, and 6 cases of invasive carcinoma with ductal carcinoma in situ.
Scanning technique
All patients underwent dual-phase enhanced chest scans using the dual-layer SDCT (IQon spectral CT, Philips Healthcare, Best, the Netherland) with the following scan parameters: (I) 120 kVp; (II) automatic mAs technology; (III) rotation time: 0.4 s; (IV) pitch: 1.375; (V) collimation: 64 × 0.625 mm; and (VI) slice and increment thicknesses: 1 mm. The midsagittal plane of the body was perpendicular to the examination table and coincided with the midline of the long axis of the examination table, and scanning ranged from supraclavicular to subdiaphragmatic. The contrast agent was administered intravenously via the antecubital vein at a rate of 3 mL/s (1.2 mL/kg), followed by the injection of 20 mL of saline at the same rate; an additional 40 mL of saline was injected after contrast agent administration. Threshold automatic triggering technology was used in the enhanced scanning procedure, with bolus tracking in the aortic arch set at a threshold of 250 Hounsfield units (HU). Once the 250 HU threshold was reached, the arterial phase scan was initiated, followed by the acquisition of venous-phase images 30 seconds later.
Postprocessing and image analysis
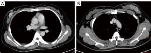
Images were transmitted to the Philips post-processing workstation [IntelliSpace Portal (ISP) version 9.0, Philips Healthcare] after scanning. All images were reconstructed using a conventional iDose reconstruction algorithm and spectral reconstruction in projection space, resulting in conventional mixed energy images (CIs) and spectral-based images (SBIs). Two sets of VNC images: arterial-phase VNC (VNC-A) images and venous-phase VNC (VNC-V) images were reconstructed based on arterial and venous SBIs for comparative analysis. The reconstructed layer thickness and interlayer spacing of all images were 1 mm. Images were analyzed using the ISP workstation, and the three-phase images were reviewed at consistent levels, including plain scan, arterial phase, and venous phase (Figure 1).
Objective evaluation: two imaging technicians with at least 5 years of experience at our hospital conducted post-processing measurements in an independent and blinded manner. Region of interest (ROI) delineation was carried out on TNC, VNC-A, and VNC-V images of the same patient, encompassing lesion tissue, large artery blood vessels at the same layer, healthy glandular tissue, and muscle tissue. Venous-phase images were utilized as the reference standard for outlining the ROI, with the ROI area maintained at 30–100 mm2 by replicating and transferring it onto the plain scan and arterial phases to ensure consistency in position and size. The following guidelines were considered when assessing ROI in images: (I) the ROI should be positioned on the layer containing the most substantial portion of the lesion, as well as three adjacent layers above and below. It is recommended to steer clear of cystic changes, necrosis, calcification, and prominent blood vessels within the lesion while encompassing as much lesion tissue as possible. The average value of the three layers should be utilized for documentation. (II) The ROI adjacent to arterial large blood vessels should be centered within the lumen, avoiding regions of vascular calcification. (III) Avoid surrounding bones and muscle gaps and position ROI in the middle of the muscle as much as possible for the delineation of muscle tissue. (IV) The inclusion of adipose tissue and prominent blood vessels should be minimized when selecting healthy glandular tissue for ROI placement. The image noise value was estimated using the standard deviation (SD) value. The signal-to-noise ratio (SNR) and contrast-to-noise ratio (CNR) of the lesion and adjacent artery within the same layer were calculated as follows: SNR of lesion = mean CT value of lesion/SD value of lesion; CNR = (CT value of lesion − CT value of muscle)/SD value of muscle (17). The SNR and CNR parameters of the large artery and healthy glandular tissue within the same layer were determined using the same methodology.
Subjective evaluation: two radiologists with 5 years of experience in breast imaging diagnosis evaluated the images and conducted a consistency analysis of the evaluation results. The evaluation criteria were as follows: excellent (5 points): the absence of artifacts or noise in the image allows for clear visualization of the anatomical structures of the breast and surrounding tissues in the chest, thereby meeting diagnostic standards. Good (4 points): the presence of some artifacts and noise slightly diminishes image quality but still displays glands and blood vessels in the breast. Poor (3 points): images with severe artifacts and noise significantly impede the visualization of anatomical details in the breast, rendering them inadequate for diagnostic purposes (Figure 2).
Calcification assessment: the two physicians mentioned above evaluated the calcification inside the breast on the TNC and VNC images.
Radiation dose assessment
The dose-length product (DLP) of three-phase scans (plain phase + arterial phase + venous phase) was recorded, and the effective dose (ED, mSv) was calculated. ED = k × DLP, k was the chest conversion coefficient 0.014 mSv·mGy−1·cm−1 (18).
Statistical analysis
Data were analyzed using the software SPSS 25.0 (IBM Corp., Armonk, NY, USA) and MedCalc (MedCalc Software, Ostend, Belgium). Kolmogorov-Smirnov test was applied to determine the distribution type of econometric data. Normally distributed data were expressed as mean ± SD (). Non-normally distributed data were expressed as median (interquartile range) [M (Q)]. Differential analysis was performed on mean CT values, SD, SNR, and CNR of TNC, VNC-A, and VNC-V imaging lesions, blood vessels, and healthy glandular tissue using the Kruskal-Wallis U test. The Bonferroni method was used to perform a pairwise comparison of mean differences among multiple groups. A Bland-Altman scatter plot was utilized to assess the consistency of CT values among different tissues across three images, with the limits of agreement (LOA) established at the median difference ±1.96 SDs. The proportion of scatter points exceeding LOA was ≤5%, indicating a high level of consistency. Furthermore, the Kappa test was employed to evaluate the agreement in subjective assessments between two physicians, with a kappa value exceeding 0.75 signifying strong consistency in their scores. The subjective scores of three images were compared and analyzed using the Friedman H test. A P value <0.05 was considered statistically significant.
Results
Comparison of CT values and SD among different images
CT values of tumor and normal tissues were slightly higher in VNC-V, but no statistical difference was found among the three images. CT values of arterial blood vessels were significantly different among the three images, with VNC-A images exhibiting the highest values [P (TNC and VNC-A) =0.782, P (TNC and VNC-V) =0.335, P (VNC-A and VNC-V) =0.020].
Healthy glandular tissue had the highest background noise in TNC images compared with VNC-A and VNC-V images (P=0.018). No significant difference in background noise was observed between VNC-A and VNC-V images. Background noise did not differ significantly between lesion tissues and arterial blood vessels in all three images (Table 1).
Table 1
| Parameter | Image type | TNC | VNC-A | VNC-V | Z | P value |
|---|---|---|---|---|---|---|
| CT (HU) | Lesion | 40.15 (7.28) | 41.50±5.30 | 42.35±5.02 | 4.259 | 0.119 |
| Vessels | 45.50 (6.43) | 46.57±5.63 | 43.73±6.13 | 7.447 | 0.024 | |
| Glands | 25.15±11.41 | 27.20 (15.8) | 27.60 (13.98) | 1.881 | 0.390 | |
| SD | Lesion | 9.10 (4.10) | 8.30 (2.65) | 9.00±2.36 | 4.080 | 0.130 |
| Vessels | 11.69±2.79 | 10.95 (2.65) | 10.75 (2.78) | 4.094 | 0.129 | |
| Glands | 11.15 (4.55) | 8.90 (4.13) | 10.33±4.33 | 7.994 | 0.018 |
Data are expressed as median (interquartile range) or mean ± standard deviation. CT, computed tomography; HU, Hounsfield units; SD, standard deviation; TNC, true non-contrast; VNC-A, virtual non-contrast from the arterial phase; VNC-V, virtual non-contrast from the venous phase.
Significant differences in SNR were observed between lesion and healthy glandular tissues across the three image types (P=0.030, P=0.031). The highest SNR for lesion tissue was found in VNC-V, whereas healthy glandular tissue had the highest SNR in VNC-A. Pairwise comparisons revealed no significant differences in SNR between VNC-A and VNC-V images for the different tissue types.
Healthy glandular tissue and vessel CNR was significantly different among the three images, with VNC-V images exhibiting the highest CNR. The CNR of healthy glandular tissue did not differ significantly between VNC-A and VNC-V images but arterial blood vessel CNR was significantly higher in VNC-A images (Table 2).
Table 2
| Parameter | Image type | TNC | VNC-A | VNC-V | Z | P value |
|---|---|---|---|---|---|---|
| SNR | Lesion | 4.33±1.40 | 4.71 (1.59) | 4.90 (1.46) | 6.989 | 0.030 |
| Vessels | 3.91 (1.68) | 4.34 (1.27) | 3.95 (1.34) | 2.320 | 0.313 | |
| Glands | 2.41±1.48 | 3.24±2.13 | 2.55 (2.73) | 6.953 | 0.031 | |
| CNR | Vessels | −1.06±0.88 | −0.59±1.03 | −1.36±0.73 | 4.700 | 0.095 |
| Lesion | −0.56 (1.04) | −0.69 (1.22) | 4.21±1.16 | 21.136 | <0.001 | |
| Glands | −2.31±1.15 | −2.38 (2.29) | −2.81 (1.64) | 7.202 | 0.027 |
Data are expressed as median (interquartile range) or mean ± standard deviation. CNR, contrast-to-noise ratio; SNR, signal-to-noise ratio; TNC, true non-contrast; VNC-A, virtual non-contrast from the arterial phase; VNC-V, virtual non-contrast from the venous phase.
Consistency analysis
CT values measured by VNC-A and VNC-V images were within 5% of those measured by TNC images in all tissues, except for the lesion tissue of the venous phase. Overall, excellent consistency was observed between VNC and TNC (Table 3, Figure 3).
Table 3
| Parameter | Difference (TNC and VNC) | ||||
|---|---|---|---|---|---|
| Mean | 95% CI | Upper limit | Lower limit | > LOA | |
| Lesion | |||||
| Arterial | −4.77 | −8.72 to −0.82 | 25.7 | −35.24 | 5% |
| Venous | −6.8397 | −11.79 to −1.89 | 31.3743 | −45.05 | 8% |
| Vessels | |||||
| Arterial | −0.52 | −8.06 to 7.02 | 57.7 | −58.74 | 5% |
| Venous | 6.2665 | −1.16 to 13.69 | 63.5759 | −51.04 | 5% |
| Glands | |||||
| Arterial | −33.46 | −64.03 to −2.89 | 202.46 | 120.37 | 5% |
| Venous | 6.97 | −40.60 to 54.54 | 374.12 | −360.18 | 5% |
CI, confidence interval; LOA, limits of agreement; TNC, true non-contrast; VNC, virtual non-contrast.
Healthy glandular tissue had a 5% difference in CT values between VNC-A and VNC-V outside the LOA boundary, whereas lesion tissues and vessels had a 6% difference, showing good consistency between the two images (Table 4, Figure 4).
Table 4
| Parameter | Difference (VNC-A and VNC-V) | ||||
|---|---|---|---|---|---|
| Mean | 95% CI | Upper limit | Lower limit | > LOA | |
| Lesion | −2.13 | −5.59 to −1.33 | 24.58 | −28.83 | 6% |
| Vessels | 6.52 | 2.66 to 10.37 | 36.2568 | −23.22 | 6% |
| Glands | 7.97 | −3.09 to 19.03 | 93.34 | −77.4 | 5% |
CI, confidence interval; CT, computed tomography; LOA, limits of agreement; VNC-A, virtual non-contrast from the arterial phase; VNC-V, virtual non-contrast from the venous phase.
Subjective evaluation of image quality
The two physicians had good agreement in their image quality ratings, with Kappa values ranging from 0.793 to 0.924. No significant difference in the subjective evaluations of the three sets of images was found between the two physicians (χ2=1.598, P=0.450). In the TNC images, calcifications were present in breast lesions for 24 of the 62 patients. Using TNC as the reference standard, the detection rate for calcifications on VNC images was 87.5% (21/24).
Radiation dose assessment
The patient’s plain scan ED was 4.88±1.36 mSv, and for the three-phase scan, it was 14.09±4.42 mSv. By using VNC in place of TNC, the radiation dose could be reduced by approximately 34.63%.
Discussion
VNC images were utilized for the identification of iodine substances in projection or image space using high- and low-energy data. Iodine-containing tissues underwent processing to remove iodine, achieving CT values comparable to their iodine-free state, resulting in VNC images with performance consistent with TNC images. Our findings suggest that VNC images could potentially substitute TNC images in diagnosing and assessing breast cancer patients. Currently, breast cancer patients undergoing preoperative enhanced chest CT scans receive both plain scans and dual-phase enhanced scans. Plain scan images are utilized to analyze overall tumor characteristics and manifestations, and when coupled with enhanced images, they enable a precise observation of the enhancement characteristics and blood supply of tumors, as well as the evaluation of tumor changes pre- and post-treatment (19). Furthermore, standard scan images offer higher diagnostic accuracy for calcifications compared to enhanced images. As public awareness of radiation risks grows, there is increasing emphasis on minimizing patient CT radiation exposure. Multiphase scanning, in particular, has been recognized as a key contributor to elevated radiation doses. Although adjusting tube current and voltage can lower radiation doses, it may also increase image noise and reduce image quality. Therefore, this study found that the VNC images based on breast enhanced phase images have no difference in diagnostic performance compared to the TNC images. This result indicates that VNC technology has a certain feasibility in reducing the number of scans and radiation dose received by patients, while ensuring the acquisition of sufficient image information.
The CT values were not significantly different between VNC and TNC images for lesions, blood vessels, and normal tissues. Bland-Altman analysis showed good consistency in CT values between VNC and TNC images. Wang et al. (20) found that CT values from dual-source CT were higher in VNC images than they were in TNC images. They suggested that the discrepancy was due to incomplete iodine removal by the dual-source CT system, which differs from our study’s findings. On the one hand, this variation may stem from the superior iodine removal capabilities of dual-layer detector spectral CT technology. On the other hand, it may also be related to the general improvements in CT, especially in spectral CT, over the years.
The potential for VNC imaging to supplant TNC imaging depends on the quality of its images, with SNR and CNR serving as critical parameters for the objective assessment of image quality, with higher values corresponding to superior image quality. The 5-point scoring of VNC and TNC images demonstrated strong consistency, with only minor differences in background noise, SNR, and CNR parameters between the two image types. Among them, the background noise of glandular tissue was higher in TNC images, whereas the SNR and CNR of various tissues were higher in VNC images. These results indicate that under the premise of good consistency in tissue CT values, VNC images had lower background noise and higher SNR and CNR than did TNC images, consistent with previous findings in esophageal cancer (21). These data confirmed the feasibility of VNC images in evaluating breast cancer patients undergoing dual-phase enhanced chest scanning. Compared with conventional scanning, virtual plain scanning technology reduces radiation exposure for patients and improves image quality for easier diagnosis by clinicians. This is particularly beneficial for breast cancer patients undergoing neoadjuvant chemotherapy who require multiple scans, as VNC technology can reduce the radiation dose and shorten examination times.
However, the choice of the phase of virtual plain scanning for enhancement remains controversial. Therefore, this study comprehensively analyzed VNC-A and VNC-V images. The results showed no significant difference in CT values of lesions and normal glandular tissues between VNC-A and VNC-V images, indicating good consistency. The background noise, SNR, and CNR of the lesions and healthy glandular tissues showed no significant difference between the two images, whereas the CNR of vascular tissues was slightly higher in VNC-V than in it was in VNC-A images. Analysis of the subjective rating of the 5-point method for image quality found no significant difference in the rating between the two images, demonstrating good consistency. Collectively, these findings indicated that there was no significant difference in image quality and CT values between images obtained from virtual plain scan reconstruction using images with different enhancement phases. This provides a basis and direction for future research on the reconstruction of virtual plain scans and virtual venous phase images using arterial phase images.
This study has several limitations. First, the sample size was relatively small. Second, although some studies suggest that VNC images may impact the detection of calcifications (22,23), the limited number of calcification cases in our study did not reveal a significant difference in detection rates between the two imaging groups. Future studies with larger sample sizes are recommended to validate these findings. In conclusion, this study found that the utilization of dual detector spectral CT technology in virtual plain scan imaging effectively restored CT values and reduced noise levels to improve image quality compared with conventional images. The proposed technology has great potential to replace traditional plain scan techniques, minimizing patient radiation exposure.
Conclusions
The image quality of VNC was significantly higher than that of TNC. The reconstruction for VNC based on arterial or venous phases did not affect the images. Therefore, VNC images may have the potential to replace TNC images in breast cancer.
Acknowledgments
None.
Footnote
Reporting Checklist: The authors have completed the STROBE reporting checklist. Available at https://qims.amegroups.com/article/view/10.21037/qims-2024-2524/rc
Funding: None.
Conflicts of Interest: All authors have completed the ICMJE uniform disclosure form (available at https://qims.amegroups.com/article/view/10.21037/qims-2024-2524/coif). The authors have no conflicts of interest to declare.
Ethical Statement: The authors are accountable for all aspects of the work in ensuring that questions related to the accuracy or integrity of any part of the work are appropriately investigated and resolved. The study was conducted in accordance with the Declaration of Helsinki and its subsequent amendments. This study was approved by the Clinical Trial Ethics Committee of Southwest Medical University Affiliated Hospital (No. KY2022160), and the requirement to obtain individual consent for this retrospective analysis was waived.
Open Access Statement: This is an Open Access article distributed in accordance with the Creative Commons Attribution-NonCommercial-NoDerivs 4.0 International License (CC BY-NC-ND 4.0), which permits the non-commercial replication and distribution of the article with the strict proviso that no changes or edits are made and the original work is properly cited (including links to both the formal publication through the relevant DOI and the license). See: https://creativecommons.org/licenses/by-nc-nd/4.0/.
References
- Petinrin OO, Saeed F, Toseef M, Liu Z, Basurra S, Muyide IO, Li X, Lin Q, Wong KC. Machine learning in metastatic cancer research: Potentials, possibilities, and prospects. Comput Struct Biotechnol J 2023;21:2454-70. [Crossref] [PubMed]
- Hickethier T, Wenning J, Bratke G, Maintz D, Michels G, Bunck AC. Evaluation of soft-plaque stenoses in coronary artery stents using conventional and monoenergetic images: first in-vitro experience and comparison of two different dual-energy techniques. Quant Imaging Med Surg 2020;10:612-23. [Crossref] [PubMed]
- Chinese Journal of Radiology Cooperative Group of Clinical Application of Dual-layer Spectral Detector CT. China expert consensus on clinical application of dual-layer spectral detector CT. Chinese Journal of Radiology 2020;54:635-43.
- Moon JI, Choi BH, Baek HJ, Ryu KH, Park SE, Ha JY, Jung EJ, Lee HS, An HJ. Comprehensive analyses with radiological and biological markers of breast cancer on contrast-enhanced chest CT: a single center experience using dual-layer spectral detector CT. Eur Radiol 2020;30:2782-90. [Crossref] [PubMed]
- Inoue T, Nakaura T, Iyama A, Kidoh M, Nagayama Y, Uetani H, Oda S, Utsunomiya D, Yamashita Y. Usefulness of Virtual Monochromatic Dual-Layer Computed Tomographic Imaging for Breast Carcinoma. J Comput Assist Tomogr 2020;44:78-82. [Crossref] [PubMed]
- Volterrani L, Gentili F, Fausto A, Pelini V, Megha T, Sardanelli F, Mazzei MA. Dual-Energy CT for Locoregional Staging of Breast Cancer: Preliminary Results. AJR Am J Roentgenol 2020;214:707-14. [Crossref] [PubMed]
- Chen L, Fu J, Chen Y, Lan Y. The value of dual-layer detector spectral CT in evaluation of immunohistochemical expression in breast cancer patients. Chinese Journal of Radiology 2021;55:1270-6.
- Guo S, Wang D, Zhao Q, Bi Z, Li W, Zhu J. Dual-layer detector spectral computed tomography quantitative parameters for predicting pathological complete remission after neoadjuvant treatment of breast cancer. Quant Imaging Med Surg 2025;15:149-63. [Crossref] [PubMed]
- Adam SZ, Rabinowich A, Kessner R, Blachar A. Spectral CT of the abdomen: Where are we now? Insights Imaging 2021;12:138. [Crossref] [PubMed]
- Park A, Lee YH, Seo HS. Could both intrinsic and extrinsic iodine be successfully suppressed on virtual non-contrast CT images for detecting thyroid calcification? Jpn J Radiol 2021;39:580-8. [Crossref] [PubMed]
- Demirler Simsir B, Danse E, Coche E. Benefit of dual-layer spectral CT in emergency imaging of different organ systems. Clin Radiol 2020;75:886-902. [Crossref] [PubMed]
- Ananthakrishnan L, Rajiah P, Ahn R, Rassouli N, Xi Y, Soesbe TC, Lewis MA, Lenkinski RE, Leyendecker JR, Abbara S. Spectral detector CT-derived virtual non-contrast images: comparison of attenuation values with unenhanced CT. Abdom Radiol (NY) 2017;42:702-9. [Crossref] [PubMed]
- Jing M, Sun J, Xi H, Liu Z, Zhang S, Deng L, Han T, Zhang B, Lin X, Zhou J. Abdominal virtual non-contrast images derived from energy spectrum CT to evaluate chemotherapy-related fatty liver disease. Quant Imaging Med Surg 2023;13:669-81. [Crossref] [PubMed]
- Goo HW, Goo JM, Dual-Energy CT. New Horizon in Medical Imaging. Korean J Radiol 2017;18:555-69. [Crossref] [PubMed]
- Lee HA, Lee YH, Yoon KH, Bang DH, Park DE. Comparison of Virtual Unenhanced Images Derived From Dual-Energy CT With True Unenhanced Images in Evaluation of Gallstone Disease. AJR Am J Roentgenol 2016;206:74-80. [Crossref] [PubMed]
- Obmann MM, Punjabi G, Obmann VC, Boll DT, Heye T, Benz MR, Yeh BM. Dual-energy CT of acute bowel ischemia. Abdom Radiol (NY) 2022;47:1660-83. [Crossref] [PubMed]
- Yang Y, Yan F, Han Q, Chen X, Dong H. Feasibility study on dual-layer spectral detector CT-derived virtual non-contrast images substitute for true non-contrast images. Chinese Journal of Radiology 2019;53:33-9.
- Dickson JL, Horst C, Nair A, Tisi S, Prendecki R, Janes SM. Hesitancy around low-dose CT screening for lung cancer. Ann Oncol 2022;33:34-41. [Crossref] [PubMed]
- Cools KS, Moon AM, Burke LMB, McGinty KA, Strassle PD, Gerber DA. Validation of the Liver Imaging Reporting and Data System Treatment Response Criteria After Thermal Ablation for Hepatocellular Carcinoma. Liver Transpl 2020;26:203-14. [Crossref] [PubMed]
- Wang Y, Shi F, Yang X, Shi S, Ma Y. Feasibility study of virtual non-contrast enhanced instead of true non-contrast-enhanced on upper abdomen. China Medical Devices 2021;36:104-7.
- Zheng X, Feng F, Ding Y, Li Y, Li R. Feasibility of using dual-source energy spectrum CT virtual non-contrast instead of true non-contrast scan for evaluation of esophageal cancer. International Journal of Medical Radiology 2020;43:150-5.
- Mangold S, Thomas C, Fenchel M, Vuust M, Krauss B, Ketelsen D, Tsiflikas I, Claussen CD, Heuschmid M. Virtual nonenhanced dual-energy CT urography with tin-filter technology: determinants of detection of urinary calculi in the renal collecting system. Radiology 2012;264:119-25. [Crossref] [PubMed]
- Moon JW, Park BK, Kim CK, Park SY. Evaluation of virtual unenhanced CT obtained from dual-energy CT urography for detecting urinary stones. Br J Radiol 2012;85:e176-81. [Crossref] [PubMed]

