Imaging biomarkers in antibody-mediated autoimmune encephalitis
Introduction
Autoimmune encephalitis (AE) is a form of encephalitis caused by autoimmune mechanisms. Based on different antigens targeted by the immune response, AE is categorized into four types: intra-neuronal antibody-associated AE (e.g., classical paraneoplastic limbic encephalitis), neuronal surface antibody-associated AE, intracellular synaptic protein antibody-associated AE [e.g., glutamate decarboxylase (GAD)], which falls between the aforementioned two types, and other AE without a specific antibody [e.g., acute disseminated encephalomyelitis (ADEM)] (1).
Unlike classical paraneoplastic limbic encephalitis, neuronal surface antibody-associated AE targets antigens located on the surface of neurons, such as ion channels and receptors, and mediates relatively reversible neuronal damage primarily through humoral immune mechanisms, and has a good response to immunotherapy. In contrast, intra-neuronal antibody-associated AE targets intraneuronal antigens, leading to irreversible neuronal dysfunction via cellular immune mechanisms, with a poor response to immunotherapy (2-4).
Since 2007, when anti-N-methyl-D-aspartate receptor (NMDAR) encephalitis was identified (5), several other neuronal surface antibodies have been discovered, including leucine-rich glioma inactivated protein 1 (LGI1) antibody, contactin-associated protein-like 2 (Caspr2) antibody, gamma-aminobutyric acid receptor B (GABABR) antibody, and so on. These antibody-mediated AEs account for 10–20% of encephalitis cases (6). Additionally, the target antigens of anti-myelin oligodendrocyte glycoprotein immunoglobulin G (MOG-IgG) are located on the surface of oligodendrocytes and myelin, causing inflammatory demyelinating diseases of the central nervous system, known as MOG-IgG-associated disorders (MOGAD) (7). Previous studies have shown that (8,9) approximately 20% of patients diagnosed with MOGAD present with cortical encephalitis symptoms. Therefore, the encephalitis mediated by various antibodies mentioned above is referred to as antibody-mediated AE. The diagnosis of antibody-mediated AE is based on multidimensional evaluation including clinical presentations, electroencephalography (EEG), imaging, determination of autoantibody in cerebrospinal fluid (CSF) and/or serum, and response to immunotherapy. Among them, imaging, particularly magnetic resonance imaging (MRI), serves as an important auxiliary examination. The diversity of autoantibodies complicates the imaging presentation of AE, exhibiting both common and individual features across different subtypes of AE.
Previous imaging studies of AE mostly focused on one or two types of antibodies, lacking a comprehensive study on different subtypes. It remains uncertain whether there are imaging biomarkers that can predict the severity of disease, the response to treatment, and the prognosis.
Therefore, in the present study, clinical and imaging data of 45 AE patients were retrospectively analyzed to further clarify: (I) the common imaging features of AE; (II) the specific imaging features of each subtype of AE to identify potential imaging biomarkers; and (III) the impact of imaging changes on treatment response, disease severity and prognosis evaluation. We present this article in accordance with the STROBE reporting checklist (available at https://qims.amegroups.com/article/view/10.21037/qims-2025-131/rc).
Methods
Patients
Forty-five AE patients diagnosed in the Neurology Department of The First Affiliated Hospital of Dalian Medical University between January 2013 and August 2022 were enrolled in the present study. All the patients conformed to the diagnostic criteria established by Dalmau (10,11) and those outlined in the 2022 edition of the Chinese expert consensus on the diagnosis and management of AE (12). Exclusion criteria included a history of neuropsychiatric disorders, other severe systemic diseases or neurological conditions (such as stroke, intracranial infection or tumors, spinal cord disease, etc.), a past history of neurosurgery or brain trauma, contraindications for MRI (e.g., metal implants), or an inability/unwillingness of the patients or their relatives to provide written informed consent. The study was conducted in accordance with the Declaration of Helsinki and its subsequent amendments. This study was approved by the Medical Ethics Committee of The First Affiliated Hospital of Dalian Medical University, Dalian, China (No. PJ-KS-KY-2025-532). Written informed consent was obtained from all patients or their legal guardians.
Clinical information collection
The clinical data of all the enrolled patients were collected using electronic medical records, including demographic data (age, gender), disease course, clinical manifestations, video electroencephalogram (vEEG), CSF findings, as well as treatment and prognosis. All the patients underwent either a 2- or 24-hour long-term vEEG recording using the international 10-20 system of scalp electrode placement with a 32-channel Nihon Kohden EEG-1200C electroencephalograph (Nihon Kohden Corporation, Tokyo, Japan). The evaluation of vEEG was conducted by two experienced electroencephalographers, adhering to the criteria established by Dalmau and Graus (10) and those outlined in the 2022 edition of the Chinese expert consensus on the diagnosis and management of AE (12). Antibodies were detected in all patients’ serum and CSF samples using a cell-based assay (CBA) performed by KingMed Diagnostic Company (Shenyang, China). The sensitivity of CBA for detecting the antibodies of common AE ranges from 40% to 70%, with a specificity exceeding 95%. Two clinicians assessed the severity of disease during the acute phase and the prognosis 6 months post-discharge with the modified Rankin Scale (mRS) (Table S1). A favorable prognosis was defined as an mRS grade ≤1, while a poor prognosis was defined as an mRS grade ≥2.
Multi-modal MRI data acquisition and post-processing
Multi-modal MRI scanning was performed using a Philips Ingenia CX 3.0T MRI scanner with a 32-channel head coil and a GE Signa 1.5T echo-speed MRI scanner (General Electric Company, Boston, MA, USA) with an orthogonal head coil in The First Affiliated Hospital of Dalian Medical University. The sequences included axial three-dimensional T1-weighted imaging (3D-T1WI), T2-weighted imaging (T2WI), T2 fluid-attenuated inversion recovery (T2 FLAIR), diffusion-weighted imaging (DWI), and in some cases, magnetic resonance spectroscopy (MRS), arterial spin labeling (ASL), and contrast enhancement. A subset of patients also underwent 18F positron emission tomography-computed tomography (PET-CT) scanning (Siemens Healthcare Systems Co., Ltd., Erlangen, Germany).
Production of lesion probability maps for all and different antibody-mediated AE
- Data preparation: Digital Imaging and Communications in Medicine (DICOM) data from all patients’ brain MRI raw image files were converted to Neuroimaging Informatics Technology Initiative (NIfTI) format for further processing using the MRIcron software package.
- Lesion delineation: the 3D-Slicer software package was used by two radiologists, each with over 3 years of experience in neuroimaging, to manually delineate the lesions and generate the mask file.
- Spatial standardization: spatial standardization of brain image files and mask files was performed using SPM software implemented in MATLAB (Version 2017b).
- Probability maps calculation: the DPABI V2.3 software package (Data Processing & Analysis of Brain Imaging) was used to calculate the standardized mask files and generate lesion probability maps.
- Image fusion and result presentation: the probability maps were fused with the standard T2 template using the MRIcroGL software.
Quantitative analysis of region of interest (ROI) in brain MRI
Signal intensity within the ROI was measured on T1, T2, and T2 FLAIR, as well as the apparent diffusion coefficient (ADC) value obtained from post-processing the diffusion-weighted images. The procedure was as follows:
- Selection of ROI: the ROI was selected by two radiologists with over 3 years of experience. Patients were categorized into two groups based on the presence or absence of lesions on brain MRI: a lesion group and a non-lesion group. For the lesion group, the ROI was selected from the lesion area, following the method outlined in a previous study (Shao et al., 2020) (13). For the non-lesion group, the ROI was chosen based on clinical-electroencephalographic characteristics of the patients and the regions commonly involved in this type of AE according to Dalmau’s criteria (10,11). For instance, the hippocampus was selected for anti-LGI1 encephalitis with mesial temporal lobe epilepsy (MTLE)-like seizure, the basal ganglia for faciobrachial dystonic seizure (FBDS), the frontal cortex for anti-NMDAR encephalitis and MOG antibody cortical encephalitis, and the hippocampus for anti-Caspr2 encephalitis, anti-GABABR encephalitis and anti-GAD65 encephalitis. We set each ROI to a uniform size of 22 mm2. Figure S1 illustrates the selection of the ROI for different types of AE.
- Data measurement and processing: adopting the methodology of Shao et al.’s study (13), to account for the variations between scanners and parameters, the signal intensity of a relatively normal region (cerebellum) was measured to standardize signal values across patients. The relative quantitative values for T1, T2, and T2 FLAIR were calculated as the average signal intensity of all selected ROIs divided by the average signal intensity of the relatively normal region. Similarly, the relative quantitative values for ADC were calculated as the average ADC value of all selected ROIs divided by the average ADC value of the relatively normal region. Relevant scanning parameters are detailed in Tables S2,S3.
Statistical analysis
Statistical analysis was performed using SPSS for Windows (version 26.0), GraphPad Prism 8.0, and R software. Quantitative data were reported as mean ± standard deviation or median. Categorical data were reported as the number of cases and constituent ratio. The correlation between quantitative values of T1, T2, T2 FLAIR, and ADC in the ROI and antibody titers, disease severity, and prognostic score was analyzed using Spearman’s r correlation analysis. The factors influencing prognosis were analyzed using binary logistic regression. A P value less than 0.05 was defined as statistically significant.
Results
General information
From January 2013 to August 2022, 45 patients with antibody-mediated AE were enrolled, including 18 cases of anti-LGI1 encephalitis, 11 cases of anti-NMDAR encephalitis, 5 cases of anti-GABABR encephalitis, 4 cases of MOG antibody cortical encephalitis, 4 cases of anti-GAD65 encephalitis, and 3 cases of anti-Caspr2 encephalitis. Among them, 23 (51.1%) were male and 22 (48.9%) were female, resulting in a male-to-female ratio of 23:22. The age of onset ranged from 14 to 74 years, with a mean age of 46.27±17.72 years and a median disease duration of 90 days. All 45 patients were subjected to 2- or 24-hour long-term vEEG recording during the acute stage, and abnormalities were detected in 43 patients, yielding an abnormality rate of 95.6% (43/45).
Imaging features of antibody-mediated AE
Common imaging features of antibody-mediated AE
All 45 patients underwent brain MRI during the acute stage, with 28 showing abnormalities, resulting in an abnormality rate of 62.2%, which was lower than that of EEG (P<0.05). The locations of lesions on brain MRI included the hippocampus and adjacent structures in 13 cases, basal ganglia in 3 cases, brainstem and cerebellum in 2 cases, thalamus in 1 case, frontal lobe in 6 cases, lateral temporal lobe in 5 cases, parietal lobe in 3 cases, occipital lobe in 1 case, insular lobe in 2 cases, and subcortical white matter in 6 cases. Further analysis revealed limbic system involvement in 14 patients (14/28, 50%) and non-limbic system involvement in another 14 patients (14/28, 50%). The typical MRI findings included hypointensity on T1WI, hyperintensity or mild hyperintensity on T2 FLAIR, and normal or hyperintensity on DWI. Eight patients underwent contrast-enhanced scanning, with four showing contrast enhancement in the lesions. Of the four patients who underwent MRS scanning, one showed a decreased N-acetyl aspartate (NAA) peak, one showed an increased choline-containing compounds (Cho) peak, and two showed both a decreased NAA peak and an increased Cho peak. Three patients underwent ASL scanning, all of whom showed decreased cerebral blood flow (CBF) within the lesions. Two patients underwent 18F-fluorodeoxyglucose PET-CT (18F-FDG PET-CT), both of whom exhibited FDG hypometabolism in the lesioned areas.
Antibody-mediated AE can be divided into two categories based on lesion location: diffuse encephalitis, which includes anti-NMDAR encephalitis and MOG antibody cortical encephalitis, and limbic encephalitis, which includes anti-LGI1 encephalitis, anti-Caspr2 encephalitis, anti-GABABR encephalitis and anti-GAD65 encephalitis. Figure 1 shows the lesion probability map for all subtypes of AE (Figure 1A) and for different antibody-mediated AE (Figure 1B).
Specific imaging features of different subtypes of antibody-mediated AE
Anti-LGI1 encephalitis
In this group of 18 patients, comprising 8 males and 10 females, the gender ratio was 10:8. The average age of onset was 56.2±12.8 years, ranging from 21 to 74 years, with a median disease duration of 90 days. All 18 patients underwent brain MRI during the acute stage, and 13 of them (72.2%) showed specific abnormalities. According to clinical semiology, the patients were categorized into 3 subgroups: MTLE-like seizure group (11 patients), FBDS group (6 patients), and MTLE-like seizure + FBDS group (1 patient). In the MTLE-like seizure group, brain MRI of 9 patients (9/11) showed abnormalities in the unilateral (7/9) or bilateral (2/9) hippocampus, sometimes involving adjacent structures such as the amygdala and parahippocampal gyrus. Seven of these patients exhibited swelling with mild hypointensity on T1WI, hyperintensity on T2 FLAIR (Figure 2), and normal or mild hyperintensity on DWI. The other two patients showed unilateral hippocampal atrophy and T2 FLAIR hyperintensity. One of these patients underwent MRS, which revealed a decreased NAA peak in the bilateral hippocampus. In the FBDS group, brain MRI of 3 patients (3/6) revealed unilateral (2/3) or bilateral (1/3) basal ganglia swelling, primarily involving the head of the caudate nucleus and the lenticular nucleus, with mild hyperintensity on T1WI, hyperintensity on T2 FLAIR, and normal or mild hyperintensity on DWI (Figure 3). One of these patients also underwent 18F-FDG PET-CT scan, which revealed increased FDG metabolism involving the bilateral lenticular nuclei. There was only one patient in the MTLE-like seizure + FBDS group, who initially manifested as MTLE-like seizure and developed FBDS later during the treatment. The brain MRI of this patient showed mild T2 FLAIR hyperintensity in the bilateral hippocampus.
Among the 18 cases, 9 were re-examined with brain MRI during the convalescent period, including 6 cases in the MTLE-like seizure and 3 in the FBDS group. All 9 cases showed a reduced range of lesions and decreased T2 FLAIR hyperintensity. The clinical and imaging features of anti-LGI1 encephalitis are presented in Tables 1,2.
Table 1
| Case | Sex | Age (years) | Clinical presentations | Brain MRI | Ab titer in CSF/serum | Disease severity (mRS) | Treatment | Outcome | Prognostic score (mRS) |
|---|---|---|---|---|---|---|---|---|---|
| 1 | F | 46 | MTLE-like seizure, cognitive dysfunction, auditory hallucination | Normal | 1:10/1:1,000 | 3 | Corticosteroids + IVIG + LEV | Obvious improved | 1 |
| 2 | M | 50 | MTLE-like seizure, cognitive dysfunction, anxiety and depression, hyponatremia | Normal | 1:10/1:100 | 3 | Corticosteroids + LEV | Obvious improved | 0 |
| 3 | M | 58 | MTLE-like seizure, cognitive dysfunction, hyponatremia | T2 FLAIR hyperintensity in left hippocampus | 1:32/1:320 | 4 | Corticosteroids + LEV | Obvious improved | 1 |
| 4 | M | 59 | MTLE-like seizure, cognitive dysfunction, anxiety and depression, hyponatremia | T2 FLAIR hyperintensity, DWI mild hyperintensity in right hippocampus | 1:3.2/1:100 | 4 | Corticosteroids + IVIG + VPA | Obvious improved | 1 |
| 5 | F | 40 | MTLE-like seizure, cognitive dysfunction, anxiety and depression | Atrophy and T2 FLAIR hyperintensity in right hippocampus, decreased NAA peak in bilateral hippocampus | –/1:10 | 3 | Corticosteroids + IVIG + OXC | Improved | 0 |
| 6 | F | 56 | MTLE-like seizure, depression and anxiety, sleep dysfunctions, hyponatremia | T2 FLAIR mild hyperintensity in bilateral hippocampus | 1:1/1:10 | 4 | Corticosteroids + IVIG + LEV | Obvious improved | 1 |
| 7 | M | 62 | MTLE-like seizure, cognitive impairment, psychiatric disturbances, hyponatremia | Swelling and T2 FLAIR hyperintensity in bilateral hippocampus and amygdala | 1:1/1:32 | 4 | Corticosteroids + IVIG + LEV | Obvious improved | 1 |
| 8 | M | 74 | MTLE-like seizure, cognitive dysfunction, psychiatric disturbances | Swelling and T2 FLAIR hyperintensity in right hippocampus with mild diffusion restriction | 1:32/1:32 | 3 | Corticosteroids + LEV | Obvious improved | 1 |
| 9 | M | 56 | MTLE-like seizure, cognitive dysfunction, | Swelling and T2 FLAIR hyperintensity in left hippocampus | 1:32/1:100 | 3 | Corticosteroids + IVIG + OXC | Obvious improved | 1 |
| 10 | M | 61 | MTLE-like seizure, cognitive dysfunction, anxiety and depression, hallucination | Atrophy and T2 FLAIR hyperintensity in left hippocampus without diffusion restriction | –/1:32 | 3 | Corticosteroids + LEV | Obvious improved | 2 |
| 11 | M | 45 | MTLE-like seizure, cognitive dysfunction, psychiatric disturbances, hyponatremia | Swelling and T2 FLAIR mild hyperintensity in right hippocampus and amygdala, decreased NAA peak in bilateral hippocampus | 1:10/1:100 | 3 | Corticosteroids + LEV | Obvious improved | 1 |
Ab, antibody; CSF, cerebrospinal fluid; DWI, diffusion weighted imaging; F, female; FLAIR, fluid attenuated inversion recovery; IVIG, intravenous immunoglobulin; LEV, levetiracetam; LGI1, leucine-rich glioma inactivated protein 1; M, male; MRI, magnetic resonance imaging; mRS, modified Rankin Scale; MTLE, mesial temporal lobe epilepsy; NAA, N-acetyl aspartate; OXC, oxcarbazepine; VPA, valproate.
Table 2
| Case | Sex | Age (years) | Clinical presentations | Brain MRI | Ab titer in CSF/serum | Disease severity (mRS) | Treatment | Outcome | Prognostic score (mRS) |
|---|---|---|---|---|---|---|---|---|---|
| 12 | F | 63 | FBDS, cognitive dysfunction, anxiety and depression, hyponatremia | T2 FLAIR hyperintensity in left basal ganglia | 1:10/1:100 | 5 | Corticosteroids + IVIG + OXC | Unimproved | 6 |
| 13 | F | 21 | FBDS, cognitive dysfunction, anxiety and depression, hyponatremia | T2 FLAIR and DWI mild hyperintensity in the head of right caudate nucleus | 1:3.2/1:100 | 3 | Corticosteroids + CBZ | Obvious improved | 1 |
| 14 | F | 65 | FBDS, cognitive dysfunction, psychiatric disturbances | Normal | 1:32/1:10 | 3 | Corticosteroids + IVIG + OXC | Obvious improved | 2 |
| 15 | F | 57 | FBDS, cognitive dysfunction, personality changes, hallucination | Normal | 1:100/1:100 | 3 | Corticosteroids + IVIG + CBZ | Obvious improved | 1 |
| 16 | F | 67 | FBDS, cognitive dysfunction | 18F-FDG PET-CT: enhanced FDG metabolism in bilateral lentiform nuclei | –/1:32 | 4 | Corticosteroids + IVIG + VPA | Improved | 2 |
| 17 | F | 68 | FBDS, cognitive dysfunction, anxiety and depression, hyponatremia | Normal | 1:10/1:10 | 2 | Corticosteroids + IVIG + LEV | Obvious improved | 0 |
| 18 | F | 67 | MTLE-like seizure + FBDS, cognitive dysfunction, anxiety and depression | T2 FLAIR hyperintensity in bilateral hippocampus | 1:10/1:100 | 3 | Corticosteroids + IVIG + OXC | Improved | 1 |
Ab, antibody; CBZ, carbamazepine; CSF, cerebrospinal fluid; DWI, diffusion weighted imaging; F, female; FBDS, faciobrachial dystonic seizure; FLAIR, fluid attenuated inversion recovery; IVIG, intravenous immunoglobulin; LEV, levetiracetam; LGI1, leucine-rich glioma inactivated protein 1; MRI, magnetic resonance imaging; mRS, modified Rankin Scale; MTLE, mesial temporal lobe epilepsy; OXC, oxcarbazepine; VPA, valproate; 18F-FDG PET-CT, 18F-flurodeoxyglucose positron emission tomography-computed tomography.
Anti-NMDAR encephalitis
In this group of 11 patients, consisting of 6 males and 5 females, the gender ratio was 6:5. The average age of onset was 32.6±18.6 years, ranging from 14 to 63 years, with a median disease duration of 45 days. All 11 patients underwent brain MRI during the acute stage, with 6 of them (54.5%) showing abnormalities. These were characterized by diffuse and unfixed lesions with point-like or patchy T2 FLAIR hyperintensity in cortical and subcortical regions. Specifically:
- One case showed patchy T2 FLAIR hyperintensity in the left temporal subcortical white matter.
- One case exhibited scattered, patchy-like T2 FLAIR hyperintensity involving both cortical and subcortical regions.
- One case showed T2 FLAIR hyperintensity involving the left frontal and insular lobes (Figure 4A,4B).
- One case had patchy T2 FLAIR hyperintensity involving the right hippocampus and occipito-temporal gyrus.
- One case presented with multiple patchy T2 FLAIR hyperintensities involving the bilateral frontotemporal-parietal areas, thalamus, as well as brainstem (Figure 4C,4D).
- One case had symmetrically distributed patchy T2 FLAIR hyperintensity in the bilateral periventricular region.
Three cases underwent contrast-enhanced scanning: two showed patchy or nodular contrast enhancement within the lesion, while the third did not display pathological contrast enhancement. Two cases underwent MRS scanning, both showing a slightly increased Cho peak, with or without a decreased NAA peak within the lesions.
Among the 11 cases, 4 were re-examined with brain MRI during the convalescent period, all showing reduced lesion areas and decreased T2 FLAIR hyperintensity. The clinical and imaging features of anti-NMDAR encephalitis are detailed in Table 3.
Table 3
| Case | Sex | Age (years) | Clinical presentations | Brain MRI | Ab titer in CSF/serum | Disease severity (mRS) | Treatment | Outcome | Prognostic score (mRS) |
|---|---|---|---|---|---|---|---|---|---|
| 19 | F | 24 | Seizure, cognitive dysfunction | Normal | 1:10/1:320 | 5 | Corticosteroids + LEV + TPM + VPA | Obvious improved | 2 |
| 20 | F | 27 | Seizure, psychiatric disturbances | Scattered patchy T2 FLAIR hyperintensity in cortex and subcortex | 1:10/1:100 | 4 | Corticosteroids + LEV + VPA | Obvious improved | 2 |
| 21 | F | 33 | Seizure, cognitive dysfunction | Patchy T2 FLAIR hyperintensity in bilateral paraventricular region | 1:3.2/1:10 | 3 | Corticosteroids + IVIG + CBZ | Obvious improved | 0 |
| 22 | M | 25 | Seizure, psychiatric disturbances | Normal | 1:3.2/1:10 | 5 | Corticosteroids + IVIG + LEV | Obvious improved | 1 |
| 23 | M | 36 | Cognitive dysfunction, psychiatric disturbances | Patchy T2 FLAIR hyperintensity in subcortical white matter of the left temporal lobe | 1:1/– | 2 | Corticosteroids | Obvious improved | 0 |
| 24 | M | 63 | Dizziness, incomplete motor aphasia, ataxia, cognitive dysfunction | Normal | –/1:32 | 3 | Corticosteroids + IVIG | Obvious improved | 1 |
| 25 | M | 34 | Psychiatric disturbances | Normal | 1:32/– | 4 | Corticosteroids | Improved | 0 |
| 26 | F | 20 | Seizure, psychiatric disturbances | Normal | 1:10/1:32 | 5 | Corticosteroids + LEV | Improved | 1 |
| 27 | M | 47 | Ataxia, cognitive dysfunction, psychiatric disturbances | Multiple patchy T2 FLAIR mild hyperintensities involving the bilateral frontotemporal-parietal areas, thalamus, as well as brainstem, with patchy contrast enhancement | 1:3.2/1:3.2 | 3 | Corticosteroids + IVIG | Improved | 6 |
| 28 | M | 36 | Seizure, cognitive dysfunction, psychiatric disturbances | Patchy T2 FLAIR hyperintensity in right occipitotemporal gyrus and hippocampus with nodular contrast enhancement and mild increased Cho peak | 1:32/1:32 | 3 | Corticosteroids + VPA | Obvious improved | 1 |
| 29 | F | 14 | Seizure, headache, psychiatric disturbances | Cortical swelling and T2 FLAIR hyperintensity involving the left frontal and insular lobes, reduced NAA peak and elevated Cho peak, decreased CBF | 1:1/1:32 | 5 | Corticosteroids + IVIG + LEV + VPA | Obvious improved | 0 |
Ab, antibody; CBF, cerebral blood flow; CBZ, carbamazepine; Cho, choline-containing compounds; CSF, cerebrospinal fluid; F, female; FLAIR, fluid attenuated inversion recovery; IVIG, intravenous immunoglobulin; LEV, levetiracetam; M, male; MRI, magnetic resonance imaging; mRS, modified Rankin Scale; NAA, N-acetyl aspartate; NMDAR, N-methyl-D-aspartate receptor; TPM, topiramate; VPA, valproate.
Anti-GABABR encephalitis
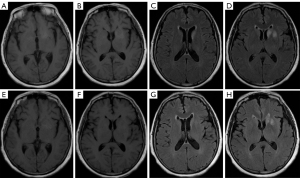
In this group of 5 patients, comprising 4 males and 1 female, the gender ratio was 4:1. The average age of onset was 63.4±9.9 years, ranging from 46 to 69 years, with a median disease duration of 14 days. All 5 patients underwent brain MRI during the acute stage, with 3 (60%) showing abnormalities. Specifically: One case exhibited swelling of the left hippocampus and T2 FLAIR hyperintensity involving the bilateral hippocampi (Figure 5A-5D). The structural brain MRI of 2 patients was normal; however, ASL scanning of one case revealed decreased CBF within the right temporal region (Figure 5E,5F), and 18F-FDG PET-CT of the other revealed decreased FDG metabolism in the right temporal lobe. Thus, imaging abnormalities predominantly involved unilateral or bilateral hippocampus or temporal lobe regions.
Among the 5 cases, three were re-examined with brain MRI during the convalescent period. One case demonstrated improvement in left hippocampal swelling and a reduction in T2 FLAIR hyperintensity in both hippocampi. The other two cases did not undergo ASL and 18F-FDG PET-CT, so no comparison can be made. Table 4 displays the clinical and imaging characteristics of anti-GABABR encephalitis.
Table 4
| Case | Sex | Age (years) | Clinical presentations | Brain MRI | Ab titer in CSF/serum | Disease severity (mRS) | Treatment | Outcome | Prognostic score (mRS) |
|---|---|---|---|---|---|---|---|---|---|
| 30 | M | 64 | Seizure, cognitive dysfunction, psychiatric disturbances | Swelling of left hippocampus, T2 FLAIR hyperintensity in bilateral hippocampus | 1:1/1:1 | 5 | Corticosteroids + IVIG + VPA | Obvious improved | 6 |
| 31 | M | 46 | Seizure, anxiety and depression | Decreased CBF within right temporal region | 1:10/1:1,000 | 2 | Corticosteroids + IVIG + CBZ | Improved | 0 |
| 32 | M | 69 | Seizure, cognitive dysfunction, anxiety and depression | 18F-FDG PET-CT: decreased FDG metabolism in right temporal lobe | 1:10/1:10 | 2 | Corticosteroids + IVIG + VPA | Obvious improved | 0 |
| 33 | M | 69 | Seizure, cognitive dysfunction, increased sleep | Normal | 1:32/1:100 | 4 | Corticosteroids + LEV | Obvious improved | 2 |
| 34 | M | 64 | Seizure, cognitive dysfunction, psychiatric disturbances | Normal | 1:32/1:32 | 3 | Corticosteroids + CBZ | Unimproved | 4 |
Ab, antibody; CBF, cerebral blood flow; CBZ, carbamazepine; CSF, cerebrospinal fluid; FLAIR, fluid attenuated inversion recovery; GABABR, gamma-amino butyric acid receptor B; IVIG, intravenous immunoglobulin; LEV, levetiracetam; M, male; MRI, magnetic resonance imaging; mRS, modified Rankin Scale; VPA, valproate; 18F-FDG PET-CT, 18F-flurodeoxyglucose positron emission tomography-computed tomography.
MOG antibody cortical encephalitis
In this group of 4 patients, comprising 3 males and 1 female, the gender ratio was 3:1. The average age of onset was 22.8±8.3 years, ranging from 16 to 33 years, with a median disease duration of 23 days. All 4 patients underwent brain MRI during the acute stage, and all (100%) showed abnormalities. Specifically: the frontal lobe was mainly involved in 3 out of 4 cases, one case also involved the temporoparietal lobe, one case also involved the insular lobe. The brain MRI of the 3 patients revealed unilateral (2/3) or bilateral (1/3) cortical swelling, with T1WI hypointensity, T2 FLAIR hyperintensity, DWI normal (1/3) or mild hyperintensity (2/3). While the other patient showed atrophy of the right hippocampus with T2 FLAIR hyperintensity. One patient underwent MRS scanning, showing decreased NAA peak and increased Cho peak. ASL scanning in two patients revealed decreased CBF within the cortical lesions. Contrast-enhanced scanning was performed on four patients: two showed contrast enhancement in the lesioned cortex and adjacent meninges, while two showed no pathological contrast enhancement (Figure 6).
Three out of the four patients were re-examined with brain MRI during the convalescent period. The MRI abnormalities in these three cases significantly improved or disappeared after immunotherapy, while one patient was lost to follow up. Table 5 presents the clinical and imaging characteristics of MOG antibody cortical encephalitis.
Table 5
| Case | Sex | Age (years) | Clinical presentations | Brain MRI | Ab titer in CSF/serum | Disease severity (mRS) | Treatment | Outcome | Prognostic score (mRS) |
|---|---|---|---|---|---|---|---|---|---|
| 35 | F | 16 | Seizure, cognitive dysfunction, anxiety and depression | Cortical swelling and T2 FLAIR hyperintensity in right frontal cortex | –/1:32 | 2 | Corticosteroids + LEV | Obvious improved | 0 |
| 36 | M | 16 | Seizure, headache, cognitive dysfunction, anxiety and depression | Cortical swelling and T2 FLAIR hyperintensity in right hemisphere, with diffusion restriction, contrast enhancement in lesioned cortex and adjacent meninges | 1:10/1:32 | 4 | Corticosteroids + LEV | Obvious improved | 0 |
| 37 | M | 33 | Seizure, cognitive dysfunction, anxiety and depression | Cortical swelling and T2 FLAIR hyperintensity involving bilateral frontal lobe and cingulate gyrus, with diffusion restriction, reduced NAA peak and elevated Cho peak, decreased CBF, contrast enhancement in lesioned cortex and adjacent meninges | –/1:32 | 3 | Corticosteroids + IVIG + OXC | Improved | 2 |
| 38 | M | 26 | Seizure, cognitive dysfunction, anxiety and depression | Atrophy and T2 FLAIR hyperintensity in right hippocampus, decreased CBF | –/1:10 | 4 | Corticosteroids + IVIG + OXC + LCM | Obvious improved | 1 |
Ab, antibody; CBF, cerebral blood flow; Cho, choline-containing compounds; CSF, cerebrospinal fluid; F, female; FLAIR, fluid attenuated inversion recovery; IVIG, intravenous immunoglobulin; LCM, lacosamide; LEV, levetiracetam; M, male; MOG, myelin oligodendrocyte glycoprotein; MRI, magnetic resonance imaging; mRS, modified Rankin Scale; NAA, N-acetyl aspartate; OXC, oxcarbazepine.
Anti-GAD65 encephalitis
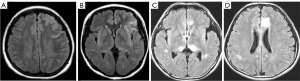
All 4 patients with anti-GAD65 encephalitis were female, with an average onset age of 37±11.1 years, ranging from 26 to 52 years, with a median disease duration of 1,277 days. All patients underwent brain MRI during the acute stage, and 2 of them (50%) showed abnormalities: one patient had T2 FLAIR hyperintensity and mild DWI hyperintensity in the left cerebellopontine crus and right brachium pontine (Figure 7A-7D), the other showed bilateral hippocampal swelling with T2 FLAIR hyperintensity and mild DWI hyperintensity (Figure 7E,7F). Contrast-enhanced scanning was performed on one patient, which showed no pathological enhancement.
Both patients with abnormal MRI were re-examined with brain MRI during the convalescent period, and both revealed improvement with a reduced lesion area and decreased T2 FLAIR and DWI hyperintensity. Table 6 presents the clinical and imaging characteristics of anti-GAD65 encephalitis.
Table 6
| Case | Sex | Age (years) | Clinical presentations | Brain MRI | Ab titer in CSF/serum | Disease severity (mRS) | Treatment | Outcome | Prognostic score (mRS) |
|---|---|---|---|---|---|---|---|---|---|
| 39 | F | 52 | Seizures, cognitive dysfunction, anxiety and depression, T1DM | Swelling and T2 FLAIR hyperintensity in bilateral hippocampus, with diffusion restriction | 1:100/1:100 | 3 | Corticosteroids + IVIG + LEV | Unimproved | 3 |
| 40 | F | 32 | Cerebellar ataxia, hyperthyroidism | T2 FLAIR hyperintensity and mild DWI hyperintensity in the left cerebellopontine crus and right brachium pontine | 1:100/1:100 | 3 | Corticosteroids + IVIG | Obvious improved | 0 |
| 41 | F | 26 | Seizures, anxiety and depression, T1DM | Normal | 1:100/1:100 | 2 | Corticosteroids + IVIG + LEV + LTG | Obvious improved | 0 |
| 42 | F | 38 | Seizures, anxiety, cognitive dysfunction, T1DM | Normal | 1:32/1:100 | 3 | Corticosteroids + IVIG + LEV + OXC | Unimproved | 2 |
Ab, antibody; CSF, cerebrospinal fluid; DWI, diffusion weighted imaging; F, female; FLAIR, fluid attenuated inversion recovery; GAD, glutamate decarboxylase; IVIG, intravenous immunoglobulin; LEV, levetiracetam; LTG, lamotrigine; MRI, magnetic resonance imaging; mRS, modified Rankin Scale; OXC, oxcarbazepine; T1DM, type 1 diabetes mellitus.
Anti-Caspr2 encephalitis
In this group of 3 patients, comprising 2 males and 1 female, the gender ratio was 2:1. The average age of onset was 50.3±14.6 years, ranging from 35 to 64 years, with a median disease duration of 1,095 days. All three patients underwent brain MRI during the acute stage, with no patient showing abnormalities. Table 7 displays the clinical and imaging characteristics of anti-Caspr2 encephalitis.
Table 7
| Case | Sex | Age (years) | Clinical presentations | Brain MRI | Ab titer in CSF/serum | Disease severity (mRS) | Treatment | Outcome | Prognostic score (mRS) |
|---|---|---|---|---|---|---|---|---|---|
| 43 | M | 64 | Seizure, cognitive dysfunction, anxiety and depression | Normal | 1:100/1:100 | 3 | Corticosteroids + IVIG + LEV + MMF | Obvious improved | 0 |
| 44 | M | 35 | Bilateral lower extremity weakness and hypoesthesia accompanied by pain | Normal | –/1:10 | 3 | Corticosteroids + IVIG | Obvious improved | 0 |
| 45 | F | 52 | Seizure, cognitive dysfunction, anxiety and depression | Normal | –/1:10 | 3 | CBZ + PHT + PB | Improved | 2 |
Ab, antibody; CBZ, carbamazepine; Caspr2, contactin-associated protein-like 2; CSF, cerebrospinal fluid; F, female; IVIG, intravenous immunoglobulin; LEV, levetiracetam; M, male; MMF, mycophenolate mofetil; MRI, magnetic resonance imaging; mRS, modified Rankin Scale; PB, phenobarbital; PHT, phenytoin.
Correlation analysis between imaging changes in antibody-mediated AE and CSF/serum antibody titers, disease severity, treatment response, and prognostic score
Correlation analysis
Twenty-eight out of 45 cases exhibited abnormalities on brain MRI. Correlation analysis was then performed to assess the relationship between the severity of disease, CSF/serum antibody titers, response to treatment and prognostic score with the presence or absence of lesions on brain MRI. The results showed no significant correlation between antibody titers, disease severity, treatment response, prognostic score, and the presence or absence of lesions on brain MRI.
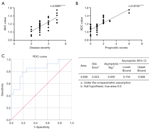
Further correlation analysis was conducted between the quantitative values of T1, T2, T2 FLAIR, and ADC within the ROI and the CSF and serum antibody titers, disease severity, treatment response, and prognostic score. A total of 41 cases were included in this quantitative analysis, as imaging data for the remaining four cases were unavailable. The results (Table S4) indicated that the ADC values within the ROI positively correlated with disease severity (r=0.6891, P<0.0001) and prognostic score (r=0.8102, P<0.0001) (Figure 8A,8B). However, there was no correlation between ADC values and treatment response (P>0.05). Additionally, the other quantitative values showed no correlation with CSF and serum antibody titers, disease severity, treatment response, or prognostic score (P>0.05).
Furthermore, based on the Dalmau’s study (11), all AE patients were categorized into three groups: group 1: antibodies against intracellular antigens (e.g., GAD65); group 2: antibodies against synaptic receptors (e.g., NMDAR, GABABR); and group 3: antibodies against ion channels and other cell-surface proteins (e.g., LGI1, CASPR2, MOG). The correlation analysis was conducted between the quantitative values of T1, T2, T2 FLAIR, and ADC within the ROI and the CSF and serum antibody titers, disease severity, treatment response, and prognostic scores for each subgroup. The results exhibited that the ADC values within the ROI positively correlated with disease severity (r=0.8807, P<0.001) and prognostic score (r=0.8632, P<0.001) in group 2 (Figure S2A,S2B). In group 3, the ADC values within the ROI positively correlated with prognostic score (r=0.8057, P<0.0001) (Figure S2C).
Receiver operating characteristic (ROC) curve analysis and binary logistic regression
To further assess whether the ADC value within the ROI plays a crucial role in predicting prognosis, all patients were divided into 2 subgroups according to their prognostic scores: a favorable prognosis group with an mRS score ≤1 (assigned as 0) and a poor prognosis group with an mRS score ≥2 (assigned as 1). ROC curve analysis was performed (Figure 8C), showing that the area under the curve (AUC) was 0.836 (P<0.001), indicating that the ADC value is a significant predictor of prognosis in antibody-mediated AE.
To identify key factors affecting prognosis, binary logistic regression modeling was performed after data cleaning using R software. The results (Table S5) indicated that the ADC value is a risk factor for poor prognosis, while treatment response serve as protective factor against poor prognosis, both of which were statistically significant (P<0.05).
Discussion
Imaging, especially multimodal MRI, is an essential auxiliary examination for diagnosing AE. In this study, imaging data from 45 AE patients were analyzed and post-processed to identify common and subtype-specific imaging features, as well as the role of imaging in diagnosis, treatment, and prognosis evaluation of AE. The key findings are as follows:
- Imaging in the acute phase: the abnormal rate of imaging in the acute stage of AE was lower than that of EEG. Imaging typically showed common features across different AE subtypes, predominantly involving the limbic system or regions outside it. These manifestations included T1 hypointensity, T2 FLAIR hyperintensity or mild hyperintensity, and normal or mild hyperintensity on DWI.
- Subtype-specific imaging features: different subtypes of AE exhibited distinct imaging features:
- Anti-LGI1 encephalitis often involved two locations: unilateral or bilateral hippocampus or basal ganglia, or both.
- Anti-NMDAR encephalitis showed a low rate of imaging abnormalities, with diffuse and unfixed lesions manifesting as point-like or patchy T2 FLAIR hyperintensity in cortical and subcortical regions.
- Anti-GABABR encephalitis typically displayed abnormal signals in the unilateral or bilateral hippocampus or temporal lobe.
- MOG antibody cortical encephalitis had a high rate of imaging abnormalities, often manifesting as unilateral or bilateral cortical swelling with T2 FLAIR hyperintensity, particularly involving the frontal lobe.
- Anti-GAD65 encephalitis usually involved the temporal lobe/hippocampus or brainstem and cerebellum.
- Functional imaging techniques: techniques such as contrast enhancement, DWI, MRS, ASL, and 18F-FDG PET-CT proved helpful for diagnosing AE, offering higher sensitivity and specificity.
- ADC value as a prognostic biomarker: the ADC value within the ROI on brain MRI, selected based on lesion location and clinical-EEG features, positively correlated with disease severity and prognosis scores, making it a potential risk factor for poor prognosis.
Common imaging features of antibody-mediated AE
As shown by previous studies, different subtypes of AE share overlapping clinical and neuroimaging features (1,14). Neuroimaging often reveals involvement of the limbic system, particularly the unilateral or bilateral medial temporal lobe, as well as cortical, subcortical, and basal ganglia regions (15-18). These areas typically present as hypointensity on T1, and normal or mildly hyperintense on T2 FLAIR and DWI. T2 FLAIR is the most sensitive sequence for detecting these abnormalities (19,20).
In this study, MRI abnormalities were lower than that of EEG (62.2% vs. 95.6%, P<0.05). Imaging typically showed common features across different antibodies, manifesting as T1 hypointensity, T2 FLAIR hyperintensity or mild hyperintensity, and normal or mild hyperintensity on DWI, which was consistent with previous studies (14,19,20). We also produced lesion probability map for all and different subtypes of AE, which showed that medial temporal lobe and hippocampus were the most affected locations across all subtypes of AE, while different subtypes of AE involved different locations.
Specific imaging features of different subtypes of antibody-mediated AE
Anti-LGI1 encephalitis
Anti-LGI1 encephalitis typically affects two locations in imaging including hippocampus and basal ganglia, the former often presented MTLE-like seizures and cognitive impairment, and hippocampal atrophy was found in follow-up studies (21,22); the latter usually presented FBDS (23,24). Signal characteristics vary depending on the lesion location, disease course and severity. Hippocampal involvement usually manifests as edema with T1 hypointensity, T2 FLAIR and DWI hyperintensity in the acute phase, followed by hippocampal atrophy in the chronic stage. Basal ganglia involvement usually presents as hyperintensity (on T1WI, T2WI, T2 FLAIR, and DWI) in the acute phase, and atrophy in the chronic phase. Functional imaging techniques, such as 18F-FDG PET-CT, have improved AE diagnosis, offering higher sensitivity than MRI. Anti-LGI1 encephalitis is characterized by concurrent FDG hypermetabolism involving the basal ganglia and/or hippocampus and hypometabolism in neocortex. Hypermetabolism in the basal ganglia is related to FBDS (25).
In this study, among the 18 patients with anti-LGI1 encephalitis, nine cases involved the hippocampus with MTLE-like seizures, three involved the basal ganglia with FBDS, and one case presented both seizure types with bilateral hippocampus involvement. Additionally, MRS revealed decreased NAA peaks in the bilateral hippocampus in one case, while 18F-FDG PET-CT revealed hypermetabolism in bilateral basal ganglia in another. These findings are in line with previous studies (13,21,24,25), confirming that the basal ganglia and hippocampus are the most commonly affected locations in anti-LGI1 encephalitis and can be involved simultaneously. Functional neuroimaging may be helpful for early diagnosis.
Anti-NMDAR encephalitis
Anti-NMDAR encephalitis is the most common type of AE, with 66% showing normal brain MRI. MRI abnormalities, when present, vary widely in location and degree, often manifesting as T2 FLAIR hyperintensity in the medial temporal lobe, sub-cortical white matter, periventricular regions, and cortical and leptomeningeal enhancement (26). Given the lack of specificity in structural brain MRI, functional imaging techniques have gained attention. Studies (27,28) have shown that medial occipital hypometabolism on 18F-FDG PET-CT could serve as an early biomarker for anti-NMDAR encephalitis, often co-existing with frontotemporal hypermetabolism and normalizing after immunotherapy. ASL, a sensitive technique for evaluating regional CBF without contrast agents, can detect hyperperfusion consistent with areas affected by acute or subacute inflammation (29-31).
In this study, 54.5% (6/11) exhibited abnormal brain MRI, with diffuse and unfixed lesions manifesting as point-like or patchy T2 FLAIR hyperintensity in cortical and subcortical regions, consistent with previous studies (14,26,27). Additionally, two out of three cases who underwent contrast enhanced scanning showed enhancement within the lesions. MRS in two cases revealed a mild increase in Cho peaks within the lesions, with or without decreased NAA peaks. These results highlight the advantages of multi-modal MRI in diagnosing anti-NMDAR encephalitis.
Anti-GABABR encephalitis
Anti-GABABR encephalitis is often characterized by limbic encephalitis (6). Nearly one-third exhibited abnormal brain MRI, typically presenting as T2 FLAIR hyperintensity in the medial temporal lobe and hippocampus, with occasional cortical involvement (32). The volume and signal intensity of the hippocampus may change as the disease progresses, resulting in hippocampal sclerosis during follow-up (6,32,33). As shown by previous studies, 18F-FDG PET-CT underwent during the acute phase showed medial temporal lobe hypermetabolism and cortical hypometabolism, the latter may be caused by synaptic dysfunction, while the former may be related to epileptic focus activity rather than inflammatory response (34,35).
In the present study, 60% of patients diagnosed with anti-GABABR encephalitis exhibited imaging abnormalities, including T2 FLAIR hyperintensity in the bilateral hippocampi. Among the two cases with normal structural brain MRI, one showed decreased CBF in the right temporal region on ASL, the other displayed FDG hypometabolism in right temporal lobe on 18F-FDG PET-CT, which was inconsistent with previous studies and may be related to the course and severity of disease and the phase of seizure. These findings suggested that functional imaging techniques such as 18F-FDG PET-CT and ASL may be helpful for diagnosis of anti-GABABR encephalitis.
MOG antibody cortical encephalitis
Cortical FLAIR-hyperintense lesions in anti-MOG-associated encephalitis with seizures (FLAMES) (7) is a special phenotype of MOGAD that was first described in 2017 (36), manifesting as headache, fever, seizures, cortical symptoms, unilateral or bilateral cortical swelling and T2 FLAIR hyperintensity on brain MRI. Reviewed by Budhram et al. (7), 20% of patients reported bilateral cortical involvement, with the most common locations being the frontal, temporal, and parietal lobes, excluding white matter involvement; 30% of patients exhibited adjacent sulcal T2 FLAIR hyperintensity and/or post-contrast leptomeningeal enhancement.
In this study, three out of four cases showed unilateral or bilateral cortical swelling, with the frontal lobe mainly involved, with T2 FLAIR hyperintensity, with or without diffusion restriction, which are consistent with previous studies (7,36). As shown by Shirozu et al.’s study (37), during the ictal phase, the epileptogenic cortex was in an extreme electrophysiological state with increased consumption of glucose and oxygen, leading to compensatory regional hyperperfusion, which may result in energy deficit of the Na+/K+-ATPase pump, causing cytotoxic edema, which in turn lead to DWI restriction and reduced ADC (31), but usually mild and reversible (38). Thus, the findings of DWI depended on the degree and duration of epileptic activities during the ictal phase. Therefore, the different results of DWI in our study may be related to the different time points of MRI acquisition, the severity of the disease and the frequency of seizures. Additionally, two cases revealed decreased CBF in the lesioned cortex on ASL. This was different from previous studies which showed increased perfusion and vascularity, and may be due to different time points of MRI acquisition. In the near future, we will increase the sample number and conduct dynamic observation to further clarify the alterations of cerebral perfusion.
Anti-GAD65 encephalitis
In anti-GAD65 autoimmune neurological diseases characterized by limbic encephalitis or temporal lobe epilepsy (39), the brain MRI findings depend upon the course and severity of the disease. In the acute phase, the common abnormalities are unilateral or bilateral medial temporal lobe swelling and T2 FLAIR hyperintensity, which may progress to hippocampal and frontotemporal lobe atrophy during follow-up (40).
In this study, two of four cases (50%) showed abnormal brain MRI. One showed bilateral hippocampal swelling with T2 FLAIR and DWI hyperintensity, and the clinical manifestation was temporal lobe epilepsy; the other showed T2 FLAIR hyperintensity and DWI mild hyperintensity involving the left cerebellopontine crus and right brachium pontine, and the clinical manifestation was cerebellar ataxia. These results were consistent with the previous studies (39,41,42).
Imaging changes in antibody-mediated AE are biomarkers for determining disease severity and prognosis
So far, few studies have been conducted on the correlation between imaging changes and prognosis of AE. A study by Iizuka et al. (43) found that progressive cerebellar atrophy may be related to the poor outcome of anti-NMDAR encephalitis. Qiu et al. (44) found that abnormal MRI findings were associated with poor outcome of AE, while the specific sequences or quantifications remained uncharacterized. DWI have been widely used to assess the benignity and malignancy of different types of tumors and treatment response (45), and the prognosis of patients with ultra-acute cerebral infarction treated with intravenous thrombolysis (46), suggesting that DWI may be a sensitive sequence to evaluate disease severity, therapeutic response and prognosis of AE. The parameter ADC value of DWI is not affected by T2 transmission effects and can reflect the freedom of extracellular water molecular activity accurately (47), so as to reflect the disease severity. Therefore, it was hypothesized that the more severe the disease, the more severe the inflammation-induced vasogenic edema, the higher the freedom of extracellular water molecule activity, the higher the ADC value, and subsequently the worse the prognosis. In our study, we found that ADC value within the ROI positively correlated with disease severity and prognosis score and could serve as a risk factor for poor prognosis, which confirmed the above speculation. However, these results require further verification through investigations with larger sample size and long-term follow-up. When discussing patients with a poor prognosis, such as those with super-refractory status epilepticus (SRSE), it is often challenging to accurately assess disease progression. Uchida et al. (48,49) demonstrated the significant efficacy of a combination of ketogenic diet and stiripentol for SRSE in patients with anti-NMDAR encephalitis. However, evaluating the effects of such therapy with traditional methods is difficult. In this context, ADC value may provide a more precise assessment of changes in inflammation and brain tissue status during treatment, offering quantitative evidence to guide therapeutic interventions.
In addition to imaging, numerous other clinical features may also influence the prognosis of AE. Our previous study analyzed the vEEG data of 60 patients with AE and demonstrated a positive correlation between EEG severity grading and disease severity as well as prognosis scores (50). Another previous study (51) conducted a 1-year follow-up on 19 AE patients and found that hippocampal atrophy in neuroimaging, interictal epileptic discharges (IEDs) on EEG during follow-up, and immunotherapy delay could serve as predictors for the development of epilepsy in AE patients. Several recent studies have revealed that the presence of oligoclonal bands (OCBs) in the CSF may serve as an additional marker for disease severity and prognosis in AE (52,53). Additionally, Uchida et al. (54) reported that persistent symptoms despite ovarian resection and early immunotherapy may serve as a marker for the recurrence of ovarian teratoma in patients with anti-NMDAR encephalitis. Unfortunately, our study focused on imaging changes of AE and did not incorporate other multi-modal clinical data into analysis. In the future, we plan to combine the imaging with other multi-modal clinical data, such as clinical-EEG features, blood and CSF tests, as well as treatment and outcome, to establish a predictive model for the diagnosis and prognosis of AE, thereby facilitating its early and accurate diagnosis and treatment.
Our study is subject to the limitations of a retrospective design and a relatively small sample size. Furthermore, this study spans nearly a decade, during which MRI scanners and acquisition protocols may have evolved, resulting in more complex factors that were not taken into account. To minimize heterogeneity and enhance comparability, we followed a standardized core MRI protocol throughout the study, including 3D T1WI, T2WI, T2 FLAIR, and DWI, which were available for all patients and used as the basis for the imaging analysis. Furthermore, to account for the variations between different scanners and parameters, we standardized the signal intensity by referencing the cerebellum (a relatively unaffected region), following the method outlined in a previous study (13). Another limitation is that only a few patients underwent functional imaging sequences such as contrast-enhanced scanning, MRS, ASL, and 18F-FDG PET-CT, due to financial constraints in routine clinical practice, which may result in underestimation of certain inflammation, lower sensitivity and specificity and less quantitative information. Consequently, in the near future, we will enlarge the sample size, ensuring the uniformity of field strength, scanner, and parameters, and perform multi-modal MRI scanning including all the functional imaging sequences, accumulating more data to further clarify the imaging features of AE.
Additionally, although we have proposed the correlation between ADC value and prognosis, the small sample size prevents us from clarifying specific ADC thresholds that could guide therapeutic interventions. Therefore, the findings necessitate validation through further investigation involving a larger sample size and long-term follow-up period to confirm the role of ADC values at various stages of the disease and treatment. Investigating the integration of ADC with other biomarkers could further elucidate its clinical significance in managing AE and offer stronger support for personalized treatment strategies.
Conclusions
The rate of imaging abnormalities in the acute stage of antibody-mediated AE is lower than that of EEG. Imaging across different subtypes of AE exhibits both common and distinct features in terms of lesion involvement and signal changes. Functional imaging techniques have proven valuable in diagnosing AE, offering higher sensitivity and specificity. The ADC value within the ROI correlates positively with disease severity and prognostic score, serving as a risk factor for poor prognosis. These suggest that imaging is a crucial potential biomarker for antibody-mediated AE.
Acknowledgments
We extend our gratitude to all the patients who participated in this study.
Footnote
Reporting Checklist: The authors have completed the STROBE reporting checklist. Available at https://qims.amegroups.com/article/view/10.21037/qims-2025-131/rc
Data Sharing Statement: Available at https://qims.amegroups.com/article/view/10.21037/qims-2025-131/dss
Funding: This study was supported by grants from
Conflicts of Interest: All authors have completed the ICMJE uniform disclosure form (available at https://qims.amegroups.com/article/view/10.21037/qims-2025-131/coif). Y.W. reports grants from the Liaoning Province Science and Technology Plan Project (grant No. 2024-MS-159). The other authors have no conflicts of interest to declare.
Ethical Statement: The authors are accountable for all aspects of the work in ensuring that questions related to the accuracy or integrity of any part of the work are appropriately investigated and resolved. The study was conducted in accordance with the Declaration of Helsinki and its subsequent amendments. This study was approved by the Medical Ethics Committee of The First Affiliated Hospital of Dalian Medical University, Dalian, China (No. PJ-KS-KY-2025-532). Written informed consent was obtained from all patients or their legal guardians.
Open Access Statement: This is an Open Access article distributed in accordance with the Creative Commons Attribution-NonCommercial-NoDerivs 4.0 International License (CC BY-NC-ND 4.0), which permits the non-commercial replication and distribution of the article with the strict proviso that no changes or edits are made and the original work is properly cited (including links to both the formal publication through the relevant DOI and the license). See: https://creativecommons.org/licenses/by-nc-nd/4.0/.
References
- Dalmau J, Rosenfeld MR. Autoimmune encephalitis update. Neuro Oncol 2014;16:771-8. [Crossref] [PubMed]
- Gleichman AJ, Spruce LA, Dalmau J, Seeholzer SH, Lynch DR. Anti-NMDA receptor encephalitis antibody binding is dependent on amino acid identity of a small region within the GluN1 amino terminal domain. J Neurosci 2012;32:11082-94. [Crossref] [PubMed]
- Lancaster E, Martinez-Hernandez E, Dalmau J. Encephalitis and antibodies to synaptic and neuronal cell surface proteins. Neurology 2011;77:179-89. [Crossref] [PubMed]
- Leypoldt F, Armangue T, Dalmau J. Autoimmune encephalopathies. Ann N Y Acad Sci 2015;1338:94-114. [Crossref] [PubMed]
- Dalmau J, Tüzün E, Wu HY, Masjuan J, Rossi JE, Voloschin A, Baehring JM, Shimazaki H, Koide R, King D, Mason W, Sansing LH, Dichter MA, Rosenfeld MR, Lynch DR. Paraneoplastic anti-N-methyl-D-aspartate receptor encephalitis associated with ovarian teratoma. Ann Neurol 2007;61:25-36. [Crossref] [PubMed]
- Lancaster E, Lai M, Peng X, Hughes E, Constantinescu R, Raizer J, Friedman D, Skeen MB, Grisold W, Kimura A, Ohta K, Iizuka T, Guzman M, Graus F, Moss SJ, Balice-Gordon R, Dalmau J. Antibodies to the GABA(B) receptor in limbic encephalitis with seizures: case series and characterisation of the antigen. Lancet Neurol 2010;9:67-76. [Crossref] [PubMed]
- Budhram A, Mirian A, Le C, Hosseini-Moghaddam SM, Sharma M, Nicolle MW. Unilateral cortical FLAIR-hyperintense Lesions in Anti-MOG-associated Encephalitis with Seizures (FLAMES): characterization of a distinct clinico-radiographic syndrome. J Neurol 2019;266:2481-7. [Crossref] [PubMed]
- Salama S, Khan M, Pardo S, Izbudak I, Levy M. MOG antibody-associated encephalomyelitis/encephalitis. Mult Scler 2019;25:1427-33. [Crossref] [PubMed]
- Shen CH, Zheng Y, Cai MT, Yang F, Fang W, Zhang YX, Ding MP. Seizure occurrence in myelin oligodendrocyte glycoprotein antibody-associated disease: A systematic review and meta-analysis. Mult Scler Relat Disord 2020;42:102057. [Crossref] [PubMed]
- Dalmau J, Graus F. Antibody-Mediated Encephalitis. N Engl J Med 2018;378:840-51. [Crossref] [PubMed]
- Graus F, Titulaer MJ, Balu R, Benseler S, Bien CG, Cellucci T, et al. A clinical approach to diagnosis of autoimmune encephalitis. Lancet Neurol 2016;15:391-404. [Crossref] [PubMed]
- Chinese Society of Neuroinfectious Diseases and Cerebrospinal Fluid Cytology. Wang J, Guan H, Zhao G. Chinese expert consensus on the diagnosis and management of autoimmune encephalitis(2022 edition). Chinese Journal of Neurology 2022;55:931-49.
- Shao X, Fan S, Luo H, Wong TY, Zhang W, Guan H, Qiu A. Brain Magnetic Resonance Imaging Characteristics of Anti-Leucine-Rich Glioma-Inactivated 1 Encephalitis and Their Clinical Relevance: A Single-Center Study in China. Front Neurol 2020;11:618109. [Crossref] [PubMed]
- Hartung TJ, Bartels F, Kuchling J, Krohn S, Leidel J, Mantwill M, Wurdack K, Yogeshwar S, Scheel M, Finke C. MRI findings in autoimmune encephalitis. Rev Neurol (Paris) 2024;180:895-907. [Crossref] [PubMed]
- Elkhider H, Sharma R, Kapoor N, Vattoth S, Shihabuddin B. Autoimmune encephalitis and seizures, cerebrospinal fluid, imaging, and EEG findings: a case series. Neurol Sci 2022;43:2669-80. [Crossref] [PubMed]
- Huang X, Fan C, Gao L, Li L, Ye J, Shen H. Clinical Features, Immunotherapy, and Outcomes of Anti-Leucine-Rich Glioma-Inactivated-1 Encephalitis. J Neuropsychiatry Clin Neurosci 2022;34:141-8. [Crossref] [PubMed]
- Koksel Y, McKinney AM. Potentially Reversible and Recognizable Acute Encephalopathic Syndromes: Disease Categorization and MRI Appearances. AJNR Am J Neuroradiol 2020;41:1328-38. [Crossref] [PubMed]
- Seery N, Butzkueven H, O'Brien TJ, Monif M. Contemporary advances in anti-NMDAR antibody (Ab)-mediated encephalitis. Autoimmun Rev 2022;21:103057. [Crossref] [PubMed]
- Deng B, Cai M, Qiu Y, Liu X, Yu H, Zhang X, Huang H, Zhao X, Yang W, Dong S, Jin L, Chu S, Chen X. MRI Characteristics of Autoimmune Encephalitis With Autoantibodies to GABAA Receptor: A Case Series. Neurol Neuroimmunol Neuroinflamm 2022;9:e1158. [Crossref] [PubMed]
- Ronchi NR, Silva GD. Comparison of the clinical syndromes of anti-GABAa versus anti-GABAb associated autoimmune encephalitis: A systematic review. J Neuroimmunol 2022;363:577804. [Crossref] [PubMed]
- Dalmau J, Geis C, Graus F. Autoantibodies to Synaptic Receptors and Neuronal Cell Surface Proteins in Autoimmune Diseases of the Central Nervous System. Physiol Rev 2017;97:839-87. [Crossref] [PubMed]
- Kotsenas AL, Watson RE, Pittock SJ, Britton JW, Hoye SL, Quek AM, Shin C, Klein CJ. MRI findings in autoimmune voltage-gated potassium channel complex encephalitis with seizures: one potential etiology for mesial temporal sclerosis. AJNR Am J Neuroradiol 2014;35:84-9. [Crossref] [PubMed]
- Jang Y, Lee ST, Bae JY, Kim TJ, Jun JS, Moon J, Jung KH, Park KI, Irani SR, Chu K, Lee SK. LGI1 expression and human brain asymmetry: insights from patients with LGI1-antibody encephalitis. J Neuroinflammation 2018;15:279. [Crossref] [PubMed]
- Li Y, Song F, Liu W, Wang Y. Clinical features of nine cases of leucine-rich glioma inactivated 1 protein antibody-associated encephalitis. Acta Neurol Belg 2021;121:889-97. [Crossref] [PubMed]
- Zhao X, Zhao S, Chen Y, Zhang Z, Li X, Liu X, Lv R, Wang Q, Ai L. Subcortical Hypermetabolism Associated With Cortical Hypometabolism Is a Common Metabolic Pattern in Patients With Anti-Leucine-Rich Glioma-Inactivated 1 Antibody Encephalitis. Front Immunol 2021;12:672846. [Crossref] [PubMed]
- Bacchi S, Franke K, Wewegama D, Needham E, Patel S, Menon D. Magnetic resonance imaging and positron emission tomography in anti-NMDA receptor encephalitis: A systematic review. J Clin Neurosci 2018;52:54-9. [Crossref] [PubMed]
- Lagarde S, Lepine A, Caietta E, Pelletier F, Boucraut J, Chabrol B, Milh M, Guedj E. Cerebral (18)FluoroDeoxy-Glucose Positron Emission Tomography in paediatric anti N-methyl-D-aspartate receptor encephalitis: A case series. Brain Dev 2016;38:461-70. [Crossref] [PubMed]
- Leypoldt F, Buchert R, Kleiter I, Marienhagen J, Gelderblom M, Magnus T, Dalmau J, Gerloff C, Lewerenz J. Fluorodeoxyglucose positron emission tomography in anti-N-methyl-D-aspartate receptor encephalitis: distinct pattern of disease. J Neurol Neurosurg Psychiatry 2012;83:681-6. [Crossref] [PubMed]
- Boscolo Galazzo I, Storti SF, Del Felice A, Pizzini FB, Arcaro C, Formaggio E, Mai R, Chappell M, Beltramello A, Manganotti P. Patient-specific detection of cerebral blood flow alterations as assessed by arterial spin labeling in drug-resistant epileptic patients. PLoS One 2015;10:e0123975. [Crossref] [PubMed]
- Ho ML. Arterial spin labeling: Clinical applications. J Neuroradiol 2018;45:276-89. [Crossref] [PubMed]
- Sierra-Marcos A, Carreño M, Setoain X, López-Rueda A, Aparicio J, Donaire A, Bargalló N. Accuracy of arterial spin labeling magnetic resonance imaging (MRI) perfusion in detecting the epileptogenic zone in patients with drug-resistant neocortical epilepsy: comparison with electrophysiological data, structural MRI, SISCOM and FDG-PET. Eur J Neurol 2016;23:160-7. [Crossref] [PubMed]
- Dogan Onugoren M, Deuretzbacher D, Haensch CA, Hagedorn HJ, Halve S, Isenmann S, et al. Limbic encephalitis due to GABAB and AMPA receptor antibodies: a case series. J Neurol Neurosurg Psychiatry 2015;86:965-72. [Crossref] [PubMed]
- Kim TJ, Lee ST, Shin JW, Moon J, Lim JA, Byun JI, Shin YW, Lee KJ, Jung KH, Kim YS, Park KI, Chu K, Lee SK. Clinical manifestations and outcomes of the treatment of patients with GABAB encephalitis. J Neuroimmunol 2014;270:45-50. [Crossref] [PubMed]
- Fisher RE, Patel NR, Lai EC, Schulz PE. Two different 18F-FDG brain PET metabolic patterns in autoimmune limbic encephalitis. Clin Nucl Med 2012;37:e213-8. [Crossref] [PubMed]
- Rey C, Koric L, Guedj E, Felician O, Kaphan E, Boucraut J, Ceccaldi M. Striatal hypermetabolism in limbic encephalitis. J Neurol 2012;259:1106-10. [Crossref] [PubMed]
- Ogawa R, Nakashima I, Takahashi T, Kaneko K, Akaishi T, Takai Y, Sato DK, Nishiyama S, Misu T, Kuroda H, Aoki M, Fujihara K. MOG antibody-positive, benign, unilateral, cerebral cortical encephalitis with epilepsy. Neurol Neuroimmunol Neuroinflamm 2017;4:e322. [Crossref] [PubMed]
- Shirozu N, Morioka T, Tokunaga S, Shimogawa T, Inoue D, Arihiro S, Sakata A, Mukae N, Haga S, Iihara K. Comparison of pseudocontinuous arterial spin labeling perfusion MR images and time-of-flight MR angiography in the detection of periictal hyperperfusion. eNeurologicalSci 2020;19:100233. [Crossref] [PubMed]
- Shimogawa T, Morioka T, Sayama T, Haga S, Kanazawa Y, Murao K, Arakawa S, Sakata A, Iihara K. The initial use of arterial spin labeling perfusion and diffusion-weighted magnetic resonance images in the diagnosis of nonconvulsive partial status epileptics. Epilepsy Res 2017;129:162-73. [Crossref] [PubMed]
- McKeon A, Tracy JA. GAD65 neurological autoimmunity. Muscle Nerve 2017;56:15-27. [Crossref] [PubMed]
- Dade M, Giry M, Berzero G, Benazra M, Huberfeld G, Leclercq D, Navarro V, Delattre JY, Psimaras D, Alentorn A. Quantitative brain imaging analysis of neurological syndromes associated with anti-GAD antibodies. Neuroimage Clin 2021;32:102826. [Crossref] [PubMed]
- Bien CG, Urbach H, Schramm J, Soeder BM, Becker AJ, Voltz R, Vincent A, Elger CE. Limbic encephalitis as a precipitating event in adult-onset temporal lobe epilepsy. Neurology 2007;69:1236-44. [Crossref] [PubMed]
- Kanter IC, Huttner HB, Staykov D, Biermann T, Struffert T, Kerling F, Hilz MJ, Schellinger PD, Schwab S, Bardutzky J. Cyclophosphamide for anti-GAD antibody-positive refractory status epilepticus. Epilepsia 2008;49:914-20. [Crossref] [PubMed]
- Iizuka T, Kaneko J, Tominaga N, Someko H, Nakamura M, Ishima D, Kitamura E, Masuda R, Oguni E, Yanagisawa T, Kanazawa N, Dalmau J, Nishiyama K. Association of Progressive Cerebellar Atrophy With Long-term Outcome in Patients With Anti-N-Methyl-d-Aspartate Receptor Encephalitis. JAMA Neurol 2016;73:706-13. [Crossref] [PubMed]
- Qiu X, Zhang H, Li D, Wang J, Jiang Z, Zhou Y, Xu P, Zhang J, Feng Z, Yu C, Xu Z. Analysis of Clinical Characteristics and Poor Prognostic Predictors in Patients With an Initial Diagnosis of Autoimmune Encephalitis. Front Immunol 2019;10:1286. [Crossref] [PubMed]
- Bonekamp S, Corona-Villalobos CP, Kamel IR. Oncologic applications of diffusion-weighted MRI in the body. J Magn Reson Imaging 2012;35:257-79. [Crossref] [PubMed]
- Sui HJ, Yan CG, Zhao ZG, Bai QK. Prognostic Value of Diffusion-Weighted Imaging (DWI) Apparent Diffusion Coefficient (ADC) in Patients with Hyperacute Cerebral Infarction Receiving rt-PA Intravenous Thrombolytic Therapy. Med Sci Monit 2016;22:4438-45. [Crossref] [PubMed]
- Xiang Y, Zeng C, Liu B, Tan W, Wu J, Hu X, Han Y, Luo Q, Gong J, Liu J, Li Y. Deep Learning-Enabled Identification of Autoimmune Encephalitis on 3D Multi-Sequence MRI. J Magn Reson Imaging 2022;55:1082-92. [Crossref] [PubMed]
- Uchida Y, Kato D, Toyoda T, Oomura M, Ueki Y, Ohkita K, Matsukawa N. Combination of ketogenic diet and stiripentol for super-refractory status epilepticus: A case report. J Neurol Sci 2017;373:35-7. [Crossref] [PubMed]
- Uchida Y, Terada K, Madokoro Y, Fujioka T, Mizuno M, Toyoda T, Kato D, Matsukawa N. Stiripentol for the treatment of super-refractory status epilepticus with cross-sensitivity. Acta Neurol Scand 2018;137:432-7.
- Sun L, Hu Y, Yang J, Chen L, Wang Y, Liu W, Hong JS, Lv Y, Yang L, Wang Y. Electroencephalographic biomarkers of antibody-mediated autoimmune encephalitis. Front Neurol 2025;16:1510722.
- Gifreu A, Falip M, Sala-Padró J, Mongay N, Morandeira F, Camins Á, Naval-Baudin P, Veciana M, Fernández M, Pedro J, Garcia B, Arroyo P, Simó M. Risk of Developing Epilepsy after Autoimmune Encephalitis. Brain Sci 2021;11:1182.
- Rozenberg A, Shelly S, Vaknin-Dembinsky A, Friedman-Korn T, Benoliel-Berman T, Spector P, Yarovinsky N, Guber D, Gutter Kapon L, Wexler Y, Ganelin-Cohen E. Cognitive impairments in autoimmune encephalitis: the role of autoimmune antibodies and oligoclonal bands. Front Immunol 2024;15:1405337.
- Ganelin-Cohen E, Shelly S, Schiller Y, Vaknin-Dembinsky A, Shachor M, Rechtman A, Osherov M, Duvdevan N, Rozenberg A. Dual positivity for anti-MOG and oligoclonal bands: Unveiling unique clinical profiles and implications. Mult Scler Relat Disord 2023;79:105034. [Crossref] [PubMed]
- Uchida Y, Kato D, Yamashita Y, Ozaki Y, Matsukawa N. Failure to improve after ovarian resection could be a marker of recurrent ovarian teratoma in anti-NMDAR encephalitis: a case report. Neuropsychiatr Dis Treat 2018;14:339-42. [Crossref] [PubMed]

