Donafenib vs. lenvatinib combined with transarterial chemoembolization as initial therapy for unresectable hepatocellular carcinoma: a retrospective real-world study
Introduction
Hepatocellular carcinoma (HCC) remains one of the leading causes of cancer-related mortality worldwide, with over 80% of patients diagnosed at intermediate or advanced stages (1-3). Lenvatinib (LEN), a first-line systemic therapy for advanced HCC, has also been recommended for selected intermediate-stage cases (4,5). The REFLECT trial demonstrated non-inferiority of first-line LEN vs. sorafenib, yet a trend toward improved median overall survival (mOS) was observed (13.6 vs. 12.3 months) (6).
The ZGDH3 trial established donafenib (Dona) as the first agent to demonstrate OS superiority over sorafenib in a head-to-head phase III trial for first-line advanced HCC treatment (mOS: 12.1 vs. 10.3 months) (7). Notably, in the subgroup without portal vein invasion or extrahepatic metastasis, Dona extended mOS by 6.1 months compared to sorafenib. Building upon these findings, the LUNCH trial—the first phase III study evaluating systemic therapy combined with transarterial chemoembolization (TACE)—reported significant survival benefits in unresectable HCC: TACE plus LEN improved mOS by 6.3 months and progression-free survival (PFS) by 4.2 months vs. LEN monotherapy (8).
According to the BRIDGE study, TACE constitutes the most widely utilized treatment for intermediate-stage HCC and serves as adjuvant therapy post-resection in high-risk recurrence cases (9). Although TACE induces tumor necrosis through ischemic hypoxia by occluding tumor-feeding arteries, this procedure paradoxically stimulates neovascularization. Anti-angiogenic agents may counteract this hypoxia-driven angiogenesis, creating a synergistic therapeutic window. Dona, a multi-targeted tyrosine kinase inhibitor (TKI), exerts dual antitumor effects by blocking Raf kinases and suppressing angiogenesis through vascular endothelial growth factor receptor (VEGFR), platelet-derived growth factor receptor (PDGFR), and other tumor-associated kinase pathways (10). However, clinical evidence supporting the synergistic potential of Dona-TACE combination therapy remains insufficient.
This study aims to evaluate the preliminary efficacy and safety profiles of Dona-TACE vs. LEN-TACE as first-line therapies for unresectable HCC. We present this article in accordance with the STROBE reporting checklist (available at https://qims.amegroups.com/article/view/10.21037/qims-2025-364/rc).
Methods
Patient selection
We retrieved the electronic medical records of 263 HCC patients who sequentially underwent Dona-TACE or LEN-TACE therapy at The Third Affiliated Hospital of Sun Yat-sen University, from October 2020 through May 2023. All included patients were deemed ineligible for curative therapies including surgical resection, radiofrequency ablation, or liver transplantation based on multidisciplinary evaluation. The inclusion criteria were as follows: (I) age 18–75 years; (II) diagnosis of HCC according to European Association for the Study of the Liver (EASL) criteria (4); (III) Child-Pugh score A or B; (IV) Eastern Cooperative Oncology Group (ECOG) performance status score 0–1; (V) no prior treatment or recurrence after curative therapy; (VI) treatment with LEN or Dona; (VII) initiation of first-line systemic therapy within 30 days before or after TACE; (VIII) at least one measurable lesion; and (IX) no severe liver, kidney, or coagulation dysfunction. The exclusion criteria were as follows: (I) prior receipt of any other systemic therapy; (II) use of LEN or Dona in second-line or third-line treatment; and (III) presence of other malignancies. This study complied with the Declaration of Helsinki and its subsequent amendments and was approved by the Institutional Review Board of The Third Affiliated Hospital of Sun Yat-sen University (approval No. II2024-009-01). The requirement for informed consent was waived by the Institutional Review Board due to the retrospective nature of this analysis.
TACE procedures
The initial TACE procedure was performed within 30 days before or after systemic therapy initiation. Treatment selection (conventional TACE vs. DEB-TACE) was individualized by interventional radiologists based on comprehensive assessments of tumor burden, macrovascular invasion, hepatic reserve, and patient tolerance, given comparable efficacy between these approaches as established in a prior study (11). DEB-TACE technique: HepaSphere microspheres (100–300 µm/300–500 µm; Merit Medical, South Jordan, UT, USA) or CalliSpheres beads (Jiangsu Hengrui Medicine, Lianyungang, China) were loaded with epirubicin (50–75 mg/m2) according to manufacturer protocols. Superselective catheterization of tumor-feeding arteries was achieved using 2.8-F microcatheters (Terumo, Tokyo, Japan), with embolization endpoint defined as near-stasis of contrast flow (≥90% reduction). Conventional TACE Protocol: An emulsion was prepared by mixing ethiodized oil (Jiangsu Hengrui Medicine) with epirubicin (50–75 mg/m2) at a 2:1 (v:v) ratio under sterile conditions. Chemoembolization was performed until angiographic confirmation of complete tumor vasculature occlusion. LEN was temporarily discontinued 1–3 days before and after TACE procedures to mitigate hepatotoxicity risks. Therapy was resumed with original dosages (LEN: 8–12 mg/day; Dona: 200 mg twice daily) upon confirmation of restored liver function.
Systemic treatment
Patients in the LEN-TACE group were administered LEN orally at weight-adjusted doses: 8 mg/day for body weight <60 kg vs. 12 mg/day for ≥60 kg. Correspondingly, the Dona-TACE group received Dona at a fixed dose of 200 mg twice daily. Adverse event (AE) management followed protocol-specified guidelines: grade 1–2 AEs: maintained original dosing with concurrent supportive care measures (e.g., antiemetics for nausea, topical steroids for dermatitis). Grade ≥3 AEs: implemented dose reduction (LEN: 4–8 mg/day; Dona: 100–200 mg twice daily) or temporary treatment suspension until resolution to grade ≤1, guided by safety profiles and individual tolerance thresholds. Permanent discontinuation was implemented if severe toxicity persisted despite two dose reductions. Treatment continuation decisions upon radiographic progression were determined through multidisciplinary tumor board review, considering progression patterns (intrahepatic vs. extrahepatic) and preserved hepatic function.
Follow-up and assessments
Contrast-enhanced computed tomography (CT) or magnetic resonance imaging (MRI) evaluations were systematically performed at 4–6 weeks post-treatment initiation and repeated tri-monthly for therapeutic monitoring. OS was calculated from the first administration of Dona or LEN to all-cause mortality or the last follow-up (31 March 2023), whereas PFS encompassed the interval from treatment commencement to radiologically confirmed tumor progression or death. The best overall response (BOR), assessed through serial imaging until disease progression/recurrence, was classified as complete response [CR; disappearance of all lesions (including tumor thrombus) with absent arterial-phase enhancement, lymph nodes <10 mm, and serum alpha-fetoprotein (AFP) ≤20 ng/mL], partial response (PR), stable disease (SD), or progressive disease (PD; new intrahepatic lesions/macrovascular invasion, distant metastases, or >20% increase in enhanced target lesion diameters) per modified Response Evaluation Criteria in Solid Tumors (mRECIST). Two blinded radiologists independently evaluated imaging, with discrepancies adjudicated by a senior specialist (>15 years’ experience). AEs were graded using Common Terminology Criteria of Adverse Events (CTCAE) v5.0 criteria throughout the study period.
Statistical analysis
Quantitative variables were described as mean ± standard deviation or median [interquartile range (IQR)] and data from the two groups were compared by Student’s t-test or the nonparametric Mann-Whitney U test according to the variable was whether normal distribution or not. Categorical variables were described as numbers (percentages) and compared between the two groups using Pearson’s χ2-test or Fisher’s exact test. The PFS was calculated using the Kaplan-Meier method, and differences between the two groups were compared using the log-rank test. The univariate Cox regression was used to calculate the hazard ratio (HR) and 95% confidence interval (CI). The statistical analysis was performed using R 4.2 (R Foundation for Statistical Computing, Vienna, Austria). All statistical tests were two-sided, with P<0.05 considered statistically significant.
Results
Study population and baseline characteristics
A total of 93 patients were enrolled in this study, with 49 allocated to the Dona-TACE group and 44 to the LEN-TACE group (Figure 1). The baseline demographic and clinical characteristics of the study cohort are detailed in Table 1. Patients in the Dona-TACE group were significantly older than those in the LEN-TACE group (59.39 vs. 53.89 years, P=0.030). No other statistically significant differences were observed in baseline parameters between the two treatment groups.
Table 1
| Characteristics | Dona-TACE (n=49) | LEN-TACE (n=44) | P value |
|---|---|---|---|
| Age (years) | 59.39±10.30 | 53.89±12.98 | 0.030 |
| Gender | >0.999 | ||
| Male | 45 (91.84) | 40 (90.91) | |
| Female | 4 (8.16) | 4 (9.09) | |
| Weight (kg) | 62.86±8.86 | 63.7±8.57 | 0.614 |
| Etiology | 0.065 | ||
| HBV | 46 (93.88) | 41 (93.18) | |
| HCV | 2 (4.08) | 0 (0.00) | |
| Alcohol | 1 (2.04) | 3 (6.82) | |
| Child-Pugh | 0.604 | ||
| A | 39 (79.59) | 37 (84.09) | |
| B | 10 (20.41) | 7 (15.91) | |
| ECOG | 0.357 | ||
| 0 | 33 (67.35) | 34 (77.27) | |
| 1 | 16 (32.65) | 10 (22.73) | |
| BCLC | 0.613 | ||
| A | 4 (8.16) | 3 (6.82) | |
| B | 14 (28.57) | 9 (20.45) | |
| C | 31 (63.27) | 32 (72.73) | |
| Maximum lesion (mm) | 91.18±37.16 | 96.25±41.34 | 0.798 |
| Number of tumors | 0.098 | ||
| ≤3 | 18 (36.73) | 24 (54.55) | |
| >3 | 31 (63.27) | 20 (45.45) | |
| PVTT | 0.292 | ||
| No | 21 (42.86) | 14 (31.82) | |
| Yes | 28 (57.14) | 30 (68.18) | |
| Metastasis | 0.626 | ||
| No | 36 (73.47) | 35 (79.55) | |
| Yes | 13 (26.53) | 9 (20.45) | |
| AFP (ng/mL) | 0.062 | ||
| >400 | 33 (67.35) | 21 (47.73) | |
| ≥400 | 16 (32.65) | 23 (52.27) |
Data are presented as mean ± standard deviation or n (%). AFP, alpha-fetoprotein; Dona, donafenib; BCLC, Barcelona Clinic Liver Cancer; ECOG, Eastern Cooperative Oncology Group; HBV, hepatitis B virus; HCV, hepatitis C virus; LEN, lenvatinib; PVTT, portal vein tumor thrombosis; TACE, transarterial chemoembolization.
Survival outcomes
The mOS was 14.00 months (95% CI: 10.00–20.00) in the Dona-TACE group compared with 19.00 months (95% CI: 17.17–24.00) in the LEN-TACE group (Figure 2), with no statistically significant intergroup difference observed (log-rank P=0.330; HR =1.25, 95% CI: 0.78–1.99). Similarly, PFS analysis revealed a median PFS of 7.37 months (95% CI: 4.77–13.83) for the Dona-TACE group vs. 5.77 months (95% CI: 4.30–9.53) for the LEN-TACE group (Figure 3), also demonstrating no significant disparity between groups (log-rank P=0.354; HR =0.785, 95% CI: 0.46–1.33).
Treatment response
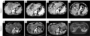
The objective response rate (ORR) and disease control rate (DCR) were comparable between groups, with the Dona-TACE group demonstrating 55.10% (95% CI: 40.23–69.33) and 75.51% (95% CI: 61.13–86.66) vs. 61.36% (95% CI: 45.49–75.64) and 81.82% (95% CI: 67.29–91.81) in the LEN-TACE group (P=0.541 for ORR; P=0.460 for DCR) (Table 2). Typical CT/MR images of the Dona-TACE group are shown in Figure 4.
Table 2
| Variables | Total (n=93) | Dona-TACE (n=49) | LEN-TACE (n=44) | P value |
|---|---|---|---|---|
| Response | 0.715 | |||
| CR | 17 (18.28) | 10 (20.41) | 7 (15.91) | |
| PR | 37 (39.78) | 17 (34.69) | 20 (45.45) | |
| SD | 19 (20.43) | 10 (20.41) | 9 (20.45) | |
| PD | 20 (21.51) | 12 (24.49) | 8 (18.18) | |
| ORR (CR + PR) | 54 (58.06) | 27 (55.10) | 27 (61.36) | 0.541 |
| DCR (CR + PR + SD) | 73 (78.49) | 37 (75.51) | 36 (81.82) | 0.460 |
Data are presented as n (%). CR, complete response; DCR, disease control rate; Dona, donafenib; LEN, lenvatinib; ORR, objective response rate; PD, progressive disease; PR, partial response; SD, stable disease; TACE, transarterial chemoembolization.
Safety profile
AE profiles are summarized in Table 3 and Figure 5. The Dona-TACE group demonstrated significantly lower rates of overall AEs (any grade: 85.71% vs. 100.00%, P=0.013; grade ≥3: 22.45% vs. 45.45%, P=0.027). Specific AEs, including elevated aspartate aminotransferase (AST) (24.49% vs. 56.82%, P=0.015), diarrhea (6.12% vs. 25.00%, P=0.011), vomiting (0.00% vs. 40.91%, P<0.001), and hypertension (2.04% vs. 36.36%, P<0.001), were also markedly less frequent in the Dona-TACE group across all severity grades.
Table 3
| AEs | Total (n=93) | Dona-TACE (n=49) | LEN-TACE (n=44) | P value |
|---|---|---|---|---|
| Total AE | ||||
| Any grade | 86 (92.47) | 42 (85.71) | 44 (100.00) | 0.013 |
| ≥ grade 3 | 31 (33.33) | 11 (22.45) | 20 (45.45) | 0.027 |
| AST increased | ||||
| Any grade | 37 (39.78) | 12 (24.49) | 25 (56.82) | 0.015 |
| ≥ grade 3 | 8 (8.60) | 2 (4.08) | 6 (13.64) | 0.101 |
| ALT increased | ||||
| Any grade | 36 (38.71) | 14 (28.57) | 22 (50.00) | 0.034 |
| ≥ grade 3 | 6 (6.45) | 2 (4.08) | 4 (9.09) | 0.417 |
| Hypoalbuminemia | ||||
| Any grade | 18 (19.35) | 8 (16.33) | 10 (22.73) | 0.435 |
| ≥ grade 3 | 3 (3.23) | 1 (2.04) | 2 (4.55) | 0.601 |
| Total bilirubin increased | ||||
| Any grade | 51 (54.84) | 26 (53.06) | 25 (56.82) | 0.716 |
| ≥ grade 3 | 2 (2.15) | 2 (4.08) | 0 (0.00) | 0.496 |
| Platelet count decreased | ||||
| Any grade | 27 (29.03) | 12 (24.49) | 15 (34.09) | 0.309 |
| ≥ grade 3 | 8 (8.60) | 4 (8.16) | 4 (9.09) | 0.873 |
| Proteinuria | ||||
| Any grade | 8 (8.60) | 0 (0.00) | 8 (18.18) | 0.011 |
| ≥ grade 3 | 1 (1.08) | 0 (0.00) | 1 (2.27) | 0.473 |
| Diarrhea | ||||
| Any grade | 14 (15.05) | 3 (6.12) | 11 (25.00) | 0.011 |
| ≥ grade 3 | 0 (0.00) | 0 (0.00) | 0 (0.00) | >0.999 |
| Vomiting | ||||
| Any grade | 18 (19.35) | 0 (0.00) | 18 (40.91) | <0.001 |
| ≥ grade 3 | 0 (0.00) | 0 (0.00) | 0 (0.00) | >0.999 |
| Hand-foot syndrome | ||||
| Any grade | 24 (25.81) | 12 (24.49) | 12 (27.27) | 0.759 |
| ≥ grade 3 | 4 (4.30) | 2 (4.08) | 2 (4.55) | >0.999 |
| Rash | ||||
| Any grade | 16 (17.20) | 6 (12.24) | 10 (22.73) | 0.181 |
| ≥ grade 3 | 1 (1.08) | 1 (2.04) | 0 (0.00) | >0.999 |
| Hypertension | ||||
| Any grade | 17 (18.28) | 1 (2.04) | 16 (36.36) | <0.001 |
| ≥ grade 3 | 3 (3.23) | 0 (0.00) | 3 (6.82) | 0.102 |
| Constipation | ||||
| Any grade | 13 (13.98) | 0 (0.00) | 13 (29.55) | <0.001 |
| ≥ grade 3 | 0 (0.00) | 0 (0.00) | 0 (0.00) | >0.999 |
| Anorexia | ||||
| Any grade | 2 (2.15) | 1 (2.04) | 1 (2.27) | >0.999 |
| ≥ grade 3 | 0 (0.00) | 0 (0.00) | 0 (0.00) | >0.999 |
| Weight loss | ||||
| Any grade | 1 (1.08) | 0 (0.00) | 1 (2.27) | 0.473 |
| ≥ grade 3 | 0 (0.00) | 0 (0.00) | 0 (0.00) | >0.999 |
| Epistaxis | ||||
| Any grade | 1 (1.08) | 0 (0.00) | 1 (2.27) | 0.473 |
| ≥ grade 3 | 0 (0.00) | 0 (0.00) | 0 (0.00) | >0.999 |
| Gastrointestinal hemorrhage | ||||
| Any grade | 6 (6.45) | 0 (0.00) | 6 (13.64) | 0.009 |
| ≥ grade 3 | 2 (2.15) | 0 (0.00) | 2 (4.55) | 0.221 |
| Hoarseness | ||||
| Any grade | 1 (1.08) | 0 (0.00) | 1 (2.27) | 0.473 |
| ≥ grade 3 | 0 (0.00) | 0 (0.00) | 0 (0.00) | >0.999 |
| Toothache | ||||
| Any grade | 1 (1.08) | 1 (2.04) | 0 (0.00) | >0.999 |
| ≥ grade 3 | 0 (0.00) | 0 (0.00) | 0 (0.00) | >0.999 |
| Arthralgia | ||||
| Any grade | 1 (1.08) | 1 (2.04) | 0 (0.00) | >0.999 |
| ≥ grade 3 | 0 (0.00) | 0 (0.00) | 0 (0.00) | >0.999 |
Data are presented as n (%). AE, adverse event; ALT, alanine aminotransferase; AST, aspartate aminotransferase; Dona, donafenib; LEN, lenvatinib; TACE, transarterial chemoembolization.
Discussion
The integration of systemic therapy with locoregional treatments such as TACE has emerged as a promising strategy for unresectable HCC, particularly given TACE-induced hypoxia-driven angiogenesis that may be counteracted by anti-angiogenic agents (12). Although the LUNCH trial validated the survival benefits of combining LEN with TACE (8,13), clinical evidence for other TKIs, such as Dona, remains limited despite its unique dual inhibition of Raf kinases and angiogenesis-related pathways (7,14). Current guidelines lack consensus on optimal TKI-TACE combinations, highlighting the need for comparative efficacy and safety evaluations between emerging regimens. Our study addresses this gap by directly comparing Dona-TACE with LEN-TACE, offering critical insights into therapeutic selection for heterogeneous HCC populations.
In this study, the Dona-TACE group demonstrated an mOS of 14.0 months and PFS of 7.4 months, whereas the LEN-TACE group achieved 19.0 months (OS) and 5.8 months (PFS), with no statistically significant differences. These results contrast with those of the LUNCH trial, where LEN-TACE showed superior mOS (17.8 vs. 11.5 months for monotherapy) (8). The numerically lower OS in our Dona-TACE cohort compared to the ZGDH3 trial (mOS: 12.1 months for Dona monotherapy) may reflect differences in patient selection or TACE timing (7). Notably, our cohort included older patients (Dona-TACE: 59.4 vs. LEN-TACE: 53.9 years), potentially influencing tolerance to combination therapy. Furthermore, variations in TACE techniques (conventional vs. DEB-TACE) and drug suspension protocols around TACE procedures might have modulated therapeutic efficacy, as LEN’s transient discontinuation could reduce hepatotoxicity but compromise sustained angiogenic inhibition (6).
The Dona-TACE regimen exhibited significantly lower rates of grade ≥3 AEs (22.45% vs. 45.45%, P=0.027), particularly for hypertension, diarrhea, and vomiting. This aligns with Dona’s pharmacological profile: its deuterated structure reduces metabolic activation, potentially lowering peak plasma concentrations and toxicity compared to non-deuterated TKIs (10). The reduced AST elevation in the Dona-TACE group (24.49% vs. 56.82%, P=0.015) may reflect Dona’s milder hepatotoxicity profile, as suggested by preclinical models showing preferential inhibition of tumor-associated kinases over hepatic parenchymal cell. These findings corroborate the ZGDH3 trial’s safety data, where Dona demonstrated fewer hand-foot skin reactions and hypertension events than sorafenib, supporting its suitability for combination therapies requiring prolonged tolerability.
This study focused on TKI-TACE combinations without incorporating immune checkpoint inhibitors (ICIs) due to the limited availability of ICIs in first-line HCC treatment during the study period [2018–2020]. Although recent trials (e.g., IMbrave150) have established atezolizumab-bevacizumab as a first-line standard (15,16), the safety and efficacy of triple therapy (TACE + TKI + ICI) remain undefined. Preclinical evidence suggests that TACE-induced hypoxia may upregulate programmed cell death-ligand 1 (PD-L1) expression (17), theoretically enhancing ICI responsiveness; however, overlapping toxicities (e.g., hepatitis exacerbation) necessitate cautious evaluation. Future studies should explore sequential or concurrent integration of ICIs into TACE-TKI regimens, guided by emerging biomarker data.
This study has several limitations. First, its retrospective design introduces potential selection bias despite rigorous inclusion criteria. Second, the modest sample size (n=93) limits subgroup analyses, particularly for Child-Pugh B patients (n=12). Third, heterogeneity in TACE protocols (DEB-TACE vs. conventional) may confound outcomes, yet prior studies suggest comparable efficacy (11,18). To address these limitations, we plan a multicenter, prospective phase II trial incorporating standardized TACE techniques, biomarker profiling (e.g., VEGF, PD-L1), and patient-reported outcomes. Additionally, extended follow-up will clarify long-term survival patterns, including post-progression therapies’ impact on OS.
Conclusions
Our findings suggest comparable efficacy between Dona-TACE and LEN-TACE for unresectable HCC, with Dona offering a superior safety profile. These results underscore the importance of individualized therapy selection based on toxicity risks and patient comorbidities. Further prospective studies are imperative to refine combination therapy strategies and validate predictive biomarkers in the evolving landscape of treatment options.
Acknowledgments
We would like to express our sincere gratitude to the Department of Interventional Radiology and the Department of Radiology at The Third Affiliated Hospital of Sun Yat-sen University for their support and assistance throughout this study. The patients participating in this study are sincerely acknowledged. Preliminary results of this work were presented at the 2024 American Society of Clinical Oncology Annual Meeting (29 May 2024).
Footnote
Reporting Checklist: The authors have completed the STROBE reporting checklist. Available at https://qims.amegroups.com/article/view/10.21037/qims-2025-364/rc
Data Sharing Statement: Available at https://qims.amegroups.com/article/view/10.21037/qims-2025-364/dss
Funding: None.
Conflicts of Interest: All authors have completed the ICMJE uniform disclosure form (available at https://qims.amegroups.com/article/view/10.21037/qims-2025-364/coif). The authors have no conflicts of interest to declare.
Ethical Statement: The authors are accountable for all aspects of the work in ensuring that questions related to the accuracy or integrity of any part of the work are appropriately investigated and resolved. This study complied with the Declaration of Helsinki and its subsequent amendments and was approved by the Institutional Review Board of The Third Affiliated Hospital of Sun Yat-sen University (approval No. II2024-009-01). The requirement for informed consent was waived by the Institutional Review Board due to the retrospective nature of this analysis.
Open Access Statement: This is an Open Access article distributed in accordance with the Creative Commons Attribution-NonCommercial-NoDerivs 4.0 International License (CC BY-NC-ND 4.0), which permits the non-commercial replication and distribution of the article with the strict proviso that no changes or edits are made and the original work is properly cited (including links to both the formal publication through the relevant DOI and the license). See: https://creativecommons.org/licenses/by-nc-nd/4.0/.
References
- Sung H, Ferlay J, Siegel RL, Laversanne M, Soerjomataram I, Jemal A, Bray F. Global Cancer Statistics 2020: GLOBOCAN Estimates of Incidence and Mortality Worldwide for 36 Cancers in 185 Countries. CA Cancer J Clin 2021;71:209-49. [Crossref] [PubMed]
- Villanueva A. Hepatocellular Carcinoma. N Engl J Med 2019;380:1450-62. [Crossref] [PubMed]
- Forner A, Reig M, Bruix J. Hepatocellular carcinoma. Lancet 2018;391:1301-14. [Crossref] [PubMed]
- EASL Clinical Practice Guidelines. Management of hepatocellular carcinoma. J Hepatol 2018;69:182-236. [Crossref] [PubMed]
- Reig M, Forner A, Rimola J, Ferrer-Fàbrega J, Burrel M, Garcia-Criado Á, Kelley RK, Galle PR, Mazzaferro V, Salem R, Sangro B, Singal AG, Vogel A, Fuster J, Ayuso C, Bruix J. BCLC strategy for prognosis prediction and treatment recommendation: The 2022 update. J Hepatol 2022;76:681-93. [Crossref] [PubMed]
- Kudo M, Finn RS, Qin S, Han KH, Ikeda K, Piscaglia F, et al. Lenvatinib versus sorafenib in first-line treatment of patients with unresectable hepatocellular carcinoma: a randomised phase 3 non-inferiority trial. Lancet 2018;391:1163-73. [Crossref] [PubMed]
- Qin S, Bi F, Gu S, Bai Y, Chen Z, Wang Z, et al. Donafenib Versus Sorafenib in First-Line Treatment of Unresectable or Metastatic Hepatocellular Carcinoma: A Randomized, Open-Label, Parallel-Controlled Phase II-III Trial. J Clin Oncol 2021;39:3002-11. [Crossref] [PubMed]
- Peng Z, Fan W, Zhu B, Wang G, Sun J, Xiao C, Huang F, Tang R, Cheng Y, Huang Z, Liang Y, Fan H, Qiao L, Li F, Zhuang W, Peng B, Wang J, Li J, Kuang M. Lenvatinib Combined With Transarterial Chemoembolization as First-Line Treatment for Advanced Hepatocellular Carcinoma: A Phase III, Randomized Clinical Trial (LAUNCH). J Clin Oncol 2023;41:117-27. [Crossref] [PubMed]
- Park JW, Chen M, Colombo M, Roberts LR, Schwartz M, Chen PJ, Kudo M, Johnson P, Wagner S, Orsini LS, Sherman M. Global patterns of hepatocellular carcinoma management from diagnosis to death: the BRIDGE Study. Liver Int 2015;35:2155-66. [Crossref] [PubMed]
- Keam SJ, Duggan S. Donafenib: First Approval. Drugs 2021;81:1915-20. [Crossref] [PubMed]
- Melchiorre F, Patella F, Pescatori L, Pesapane F, Fumarola E, Biondetti P, Brambillasca P, Monaco C, Ierardi AM, Franceschelli G, Carrafiello G. DEB-TACE: a standard review. Future Oncol 2018;14:2969-84. [Crossref] [PubMed]
- Liu K, Min XL, Peng J, Yang K, Yang L, Zhang XM. The Changes of HIF-1α and VEGF Expression After TACE in Patients With Hepatocellular Carcinoma. J Clin Med Res 2016;8:297-302. [Crossref] [PubMed]
- Rizzo A, Ricci AD, Brandi G. Trans-Arterial Chemoembolization Plus Systemic Treatments for Hepatocellular Carcinoma: An Update. J Pers Med 2022;12:1788. [Crossref] [PubMed]
- Liu J, Li X, Zhang H, Chen G, Chen H, Hu Y, Niu J, Ding Y. Safety, pharmacokinetics and efficacy of donafenib in treating advanced hepatocellular carcinoma: report from a phase 1b trial. Pharmazie 2019;74:688-93. [Crossref] [PubMed]
- Casadei-Gardini A, Rimini M, Tada T, Suda G, Shimose S, Kudo M, et al. Atezolizumab plus bevacizumab versus lenvatinib for unresectable hepatocellular carcinoma: a large real-life worldwide population. Eur J Cancer 2023;180:9-20. [Crossref] [PubMed]
- Rizzo A, Ricci AD. Challenges and Future Trends of Hepatocellular Carcinoma Immunotherapy. Int J Mol Sci 2022;23:11363. [Crossref] [PubMed]
- Tan J, Fan W, Liu T, Zhu B, Liu Y, Wang S, Wu J, Liu J, Zou F, Wei J, Liu L, Zhang X, Zhuang J, Wang Y, Lin H, Huang X, Chen S, Kuang M, Li J. TREM2(+) macrophages suppress CD8(+) T-cell infiltration after transarterial chemoembolisation in hepatocellular carcinoma. J Hepatol 2023;79:126-40. [Crossref] [PubMed]
- Makary MS, Khandpur U, Cloyd JM, Mumtaz K, Dowell JD. Locoregional Therapy Approaches for Hepatocellular Carcinoma: Recent Advances and Management Strategies. Cancers (Basel) 2020;12:1914. [Crossref] [PubMed]

