Correlation between ultrasonic features and expression of immunohistochemical factors in invasive ductal carcinoma of the breast
Introduction
Breast cancer is one of the most common malignant tumors in women, with an increasing incidence rate and a trend of onset in younger populations (1). It also exhibits high heterogeneity and hormone dependence, with differences in pathological manifestations and prognosis related to varying immunohistochemical (IHC) expressions (2). Among the pathological types of breast cancer, invasive ductal carcinoma (IDC) is the most common, accounting for about 80% of all breast cancers (3). Based on three tumor characteristics of pathological tissue (histological grade, lymphovascular invasion, and necrosis) (4), IDC is histologically divided into grades I, II, and III, which affect treatment and prognosis, with higher histological grades indicating stronger invasiveness and poorer prognosis (5).
With the development of molecular biology, people have gained a deeper understanding of the occurrence, development, and prognosis of breast cancer. In clinical practice, estrogen receptor (ER), progesterone receptor (PR), human epidermal growth factor receptor 2 (HER-2), Ki-67, and E-cadherin are widely applied in guiding clinical treatment and evaluating the prognosis of patients (5). Notably, the molecular biological factors of breast cancer determine its biological behavior and histopathological changes (6), and the ultrasound imaging features of breast cancer masses are closely associated with their pathological and histological characteristics (7). Ultrasound has become a routine imaging examination method for the detection and diagnosis of breast diseases due to its advantages of simplicity, non-radiation, and non-invasiveness (8-10). Previous studies have mainly focused on invasive breast cancer and rarely on IDC alone, while invasive breast cancer includes other special types of breast cancer besides IDC, and the different pathological results may also have a certain impact on the research results. Therefore, this study aims to clarify prior findings by correlating sonographic features with specific immunohistochemistry (IHC) markers, which directly influence treatment decisions (e.g., endocrine therapy for ER/PR-positive tumors) and prognosis (e.g., HER-2 positivity indicating targeted therapy). This study’s findings may aid in non-invasive stratification of tumor subtypes, guiding personalized therapies (e.g., anti-HER-2 agents) and improving prognostic accuracy. We present this article in accordance with the STROBE reporting checklist (available at https://qims.amegroups.com/article/view/10.21037/qims-24-1975/rc).
Methods
Patient profile
A retrospective analysis was conducted on 434 patients with IDC who were diagnosed from January 2019 to December 2022, all of whom underwent ultrasound examinations and were pathologically confirmed, with postoperative IHC staining performed on their specimens. This study was conducted in accordance with the Declaration of Helsinki and its subsequent amendments. The study was approved by the ethics committee of the Affiliated Hospital of Yangzhou University (No. 2024-YKL09-009). Written informed consent was obtained from all participants. Inclusion criteria: (I) female patients; (II) patients pathologically confirmed as IDC after surgery; (III) patients with complete clinical data and clear pathological results and ultrasound image data; (IV) patients with an interval of less than 2 months between ultrasound examination and surgical diagnosis. Exclusion criteria: (I) patients with a history of primary breast cancer or those who received neoadjuvant therapy (radiotherapy, chemotherapy, etc.); (II) patients who were pregnant; (III) patients with HER-2 amplification status that could not be identified through immunohistochemistry.
Research methods
Patients were referred for diagnostic ultrasound due to symptoms (e.g., palpable mass), abnormal mammograms, or preoperative staging after biopsy-confirmed IDC. A Siemens ACUSON S3000 ultrasonic diagnostic apparatus with an L9-4 probe (frequency range: 4–9 MHz; Siemens Medical Solutions USA, Inc., Malvern, USA) and a GE LOGIQ E9 ultrasonic diagnostic apparatus with an L11-9 probe (frequency range: 9–11 MHz; GE Medical Systems Ultrasound & Primary Care Diagnostics, LLC, Wauwatosa, USA) were used, along with the breast examination mode selected. The depth and gain were adjusted according to the patient’s breast condition and lesion location to obtain clear ultrasound images. The patient was placed in a supine position, with both breasts and armpits exposed. Afterward, starting from the upper outer quadrant of the breast, radial, longitudinal, and transverse scans were performed on the breast surface in a clockwise or counterclockwise direction around the nipple, with overlapping scanning areas. Subsequently, ultrasonic features such as morphology, margin, posterior echo, blood flow signal, aspect ratio, hyperechoic halo, and lesion size of the mass were observed after understanding the overall situation of the lesion.
Ultrasound observation indicators and classification criteria
Ultrasonic features: (I) regular lesion shape: yes, no; (II) irregular margin: yes, no (smooth margin); (III) internal calcification: yes, no; (IV) posterior echo: reduced, unchanged, enhanced; (V) hyperechoic halo: yes, no; (VI) aspect ratio of mass: >1, ≤1, measured as the ratio of the lesion’s anteroposterior diameter to its transverse diameter on longitudinal scans; (VII) lymph node metastasis: yes, no, defined as cortical thickness >3 mm, loss of fatty hilum, or abnormal vascularity on Doppler; (VIII) maximum diameter of mass: <2, ≥2 cm.
Blood flow was graded using the semi-quantitative Adler method (11). Grade 0: no blood flow signal detected in the mass; Grade I: sparse blood flow, with 1–2 visible dotted or short rod-like blood flows; Grade II: moderate blood flow, with 3–4 visible dotted blood flows or 1 long blood vessel, and the length of the latter can be close to or exceed the radius of the mass; Grade III: abundant blood flow, with >5 visible dotted blood vessels or 2 long blood vessels, as shown in Figure 1. The blood supply of all patients was divided into Grade 0–I and Grade II–III. Meanwhile, the ultrasound diagnosis for each patient was performed by two sonographers with more than 5 years of work experience, who should discuss any possible disagreements for a final decision.
Pathological and IHC detection methods
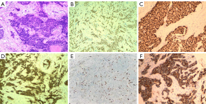
The expression of ER, PR, HER-2, E-cadherin and Ki-67 was detected through the IHC analysis. ER and PR: expression levels ≥1% were considered positive, with positive cells identified as those with brown-yellow granules in the nucleus. Samples with ≥1% positive cells were considered positive and <1% were considered negative (12). IDC diagnosis was confirmed by histopathological examination, excluding invasive lobular carcinoma through E-cadherin positivity (≥10% membranous staining). HER-2: expression of (−) or (+) was considered negative, (+++) was considered positive, and for (++), further fluorescence in situ hybridization was performed to determine gene amplification status, which was then classified as positive or negative (13,14). E-cadherin: positive cells were identified as those with brown-yellow granules on the cell membrane, with the percentage of positive cells calculated, in which samples with ≥10% positive cells were considered positive and <10% were considered negative (15). Ki-67: expression levels ≥20% were considered positive while <20% was considered negative, with positive cells identified as those with brown-yellow granules in the nucleus (16) (see Figure 2).
Statistical analysis
IBM SPSS 26.0 software was used for statistical analysis, the count data were expressed as n (%), and inter-group comparisons were performed using the χ2 test. Measurement data were expressed as mean ± standard deviation and inter-group comparisons were performed using the t-test. Binary logistic regression analysis was utilized to select the most meaningful ultrasonic features, logistic regression equations were constructed, and the predictive ability was evaluated using the receiver operating characteristic (ROC) curve. IHC markers were dichotomized based on clinical thresholds to align with treatment guidelines. The predictive ability of significant sonographic features was evaluated using ROC curves and areas under the curve (AUCs). P<0.05 was considered statistically significant.
Results
IHC expression results
A total of 434 patients were included in the study, all of whom were female, aged 23–78 years, with a mean age of 47.63±18.50 years. The IHC results showed that 340 patients were ER-positive and 94 were ER-negative; 335 patients were PR-positive and 99 were PR-negative; 72 patients were HER-2-positive and 362 were HER-2-negative; 265 patients were E-cadherin-positive (≥10% cell membrane staining) and 169 were E-cadherin-negative (<10% cell membrane staining); 350 patients were Ki-67-positive and 84 were Ki-67-negative (see Table 1).
Table 1
| Immunohistochemistry | Positive | Negative |
|---|---|---|
| ER | 340 | 94 |
| PR | 335 | 99 |
| HER-2 | 72 | 362 |
| E-cadherin | 265 | 169 |
| Ki-67 | 350 | 84 |
ER, estrogen receptor; HER-2, human epidermal growth factor; Ki-67, nuclear protein; PR, progesterone receptor.
Univariate analysis of IHC expression and ultrasonic features
ER-positive expression was associated with irregular margin, regular shape, posterior echo, calcification, hyperechoic halo, and Adler grading (P<0.05). At the same time, PR-positive expression was associated with irregular margin, regular shape, posterior echo, hyperechoic halo, maximum lesion diameter, and Adler grading (P<0.05). Additionally, HER-2-positive expression was associated with calcification, hyperechoic halo, and maximum diameter (P<0.05). Moreover, E-cadherin-positive expression was associated with calcification, hyperechoic halo, lymph node metastasis, and Adler grading (P<0.05). Furthermore, Ki-67-positive expression was associated with posterior echo, calcification, and maximum diameter (P<0.05) (see Table 2).
Table 2
| Ultrasound characteristics | ER | PR | HER-2 | E-cadherin | Ki-67 | |||||||||
|---|---|---|---|---|---|---|---|---|---|---|---|---|---|---|
| Positive | Negative | Positive | Negative | Positive | Negative | Positive | Negative | Positive | Negative | |||||
| Marginal burr sign | ||||||||||||||
| Yes | 294 | 72* | 302 | 63* | 49 | 274 | 189 | 92 | 280 | 65 | ||||
| No | 46 | 22 | 33 | 36 | 23 | 88 | 76 | 77 | 70 | 19 | ||||
| Smooth shape | ||||||||||||||
| Yes | 236 | 37* | 218 | 37* | 46 | 196 | 157 | 99 | 223 | 59 | ||||
| No | 104 | 57 | 117 | 42 | 26 | 166 | 108 | 70 | 127 | 25 | ||||
| Posterior echo | ||||||||||||||
| Reduced | 157 | 12* | 136 | 19* | 35 | 157 | 105 | 67 | 129 | 55* | ||||
| Unchanged | 103 | 34 | 118 | 29 | 20 | 114 | 95 | 59 | 148 | 21 | ||||
| Enhanced | 80 | 48 | 81 | 51 | 17 | 91 | 65 | 43 | 73 | 8 | ||||
| Calcification | ||||||||||||||
| Yes | 178 | 66* | 202 | 49 | 54 | 198* | 158 | 45* | 213 | 27* | ||||
| No | 162 | 28 | 133 | 50 | 18 | 164 | 107 | 124 | 137 | 57 | ||||
| Hyperechoic halo | ||||||||||||||
| Yes | 264 | 28* | 241 | 43* | 37 | 285* | 206 | 69* | 184 | 53 | ||||
| No | 76 | 66 | 94 | 56 | 35 | 77 | 59 | 100 | 166 | 31 | ||||
| Metastases to lymph nodes | ||||||||||||||
| Yes | 117 | 32 | 147 | 45 | 31 | 153 | 136 | 57* | 144 | 26 | ||||
| No | 223 | 62 | 188 | 54 | 41 | 209 | 129 | 112 | 206 | 58 | ||||
| Aspect ratio | ||||||||||||||
| >1 | 177 | 38 | 174 | 52 | 29 | 234 | 129 | 77 | 194 | 46 | ||||
| ≤1 | 163 | 56 | 161 | 47 | 43 | 128 | 136 | 92 | 156 | 38 | ||||
| Maximum diameter | ||||||||||||||
| <2 cm | 168 | 66 | 180 | 48* | 59 | 76* | 141 | 94 | 242 | 30* | ||||
| ≥2 cm | 172 | 28 | 155 | 51 | 13 | 286 | 124 | 75 | 108 | 54 | ||||
| Adler grade | ||||||||||||||
| 0–I | 139 | 25* | 124 | 61* | 18 | 246 | 74 | 133* | 130 | 32 | ||||
| II–III | 201 | 69 | 211 | 38 | 54 | 116 | 191 | 36 | 220 | 52 | ||||
*, P<0.05 for inter-group comparison. ER, estrogen receptor; HER-2, human epidermal growth factor; Ki-67, nuclear protein; PR, progesterone receptor.
Correlation regression equations for IHC molecular expression
Binary logistic regression analysis was performed using the ultrasonic features that were statistically significant in the univariate analysis as independent variables and the expression of corresponding IHC factors as dependent variables. The regression analysis results showed that the irregular shape of the mass, reduced posterior echo, and hyperechoic halo were significantly associated with ER-positive expression (multivariate analysis, P<0.05), while Adler grade II-III was associated with ER-negative expression (P<0.05). The presence of a hyperechoic halo was associated with PR-positive expression, while a smooth lesion margin and a maximum diameter ≥2 cm were associated with PR-negative expression (P<0.05). Calcification and a maximum diameter ≥2 cm were associated with HER-2-postive expression (P<0.05). Lymph node metastasis and Adler grade II–III were associated with positive E-cadherin expression (P<0.05). Decreased posterior echo was associated with Ki-67-negative expression (P<0.05) (see Table 3).
Table 3
| Immunohistochemistry | Ultrasonic sign | Regression coefficient | Standard error | Wald | P | OR | 95% CI |
|---|---|---|---|---|---|---|---|
| ER-positive | Irregular shape | 0.647 | 0.237 | 5.803 | 0.01 | 1.694 | 1.032–2.309 |
| Posterior echo reduced | 0.804 | 0.311 | 7.069 | 0.008 | 1.904 | 1.211–2.901 | |
| Hyperechoic halo | 2.068 | 0.379 | 15.038 | 0.003 | 3.705 | 1.277–7.903 | |
| Adler grade II–III | −1.059 | 0.466 | 8.063 | <0.001 | 0.390 | 0.127–0.745 | |
| PR-positive | Smooth margins | −1.304 | 0.572 | 10.703 | <0.001 | 0.513 | 0.132–0.784 |
| Hyperechoic halo | 1.805 | 0.530 | 14.903 | 0.01 | 4.905 | 2.664–11.231 | |
| Maximum diameter ≥2 cm | −0.642 | 0.348 | 6.804 | 0.005 | 0.622 | 0.267–0.874 | |
| HER-2-positive | Calcification | 1.432 | 0.275 | 21.895 | 0.002 | 1.806 | 1.237–4.584 |
| Maximum diameter ≥2 cm | 0.564 | 0.349 | 5.805 | 0.01 | 1.409 | 1.194–2.385 | |
| E-cadherin-positive | Metastases to lymph nodes | 0.567 | 0.453 | 4.683 | 0.03 | 1.450 | 1.057–2.328 |
| Adler grade II–III | 0.463 | 0.318 | 4.090 | 0.02 | 0.704 | 0.406–1.242 | |
| Ki-67-positive | Posterior echo reduced | −1.498 | 0.465 | 11.557 | 0.02 | 0.307 | 0.106–0.684 |
CI, confidence interval; ER, estrogen receptor; HER-2, human epidermal growth factor; Ki-67, nuclear protein; OR, odds ratio; PR, progesterone receptor.
Areas under ROC curves for each IHC factor
ROC curves were generated using significant predictors from logistic regression (e.g., irregular shape for ER). Areas under the ROC curves calculated based on the results of each logistic regression analysis were as follows: ER, 0.832; PR, 0.756; HER-2, 0.675; E-cadherin, 0.684; Ki-67, 0.703.
Discussion
As the most common invasive malignant breast lesion, IDC accounts for 50–90% of all breast cancers, with the worst prognosis among all types of breast cancer (17). Approaches such as improving the detection rate of early-stage IDC and providing timely and effective treatment are effective in improving the prognosis of IDC and reducing the mortality of breast cancer.
ER and PR have a significant impact on the prognosis of patients with breast cancer, and endocrine therapies based on their IHC expression are now widely applied in clinical practice (18). An existing study has shown higher survival rates in breast cancer patients with positive ER and PR expression. HER-2 amplification or overexpression in breast cancer genes is an independent factor for poor prognosis (19). Ki-67 can be used for molecular subtyping of breast cancer based on its expression and the expression of other IHC molecules, which can independently predict the prognosis of breast cancer. In clinical practice, the level of Ki-67 expression can be used to predict the metastasis, proliferation activity, and differentiation levels of the tumor, with the higher Ki-67 indexes indicating a worse prognosis of breast cancer (20). Additionally, the upregulation of miR-9 expression in breast cancer cells targets the messenger ribonucleic acid (RNA) encoding E-cadherin, leading to increased cell motility and invasiveness, and tumor metastasis can be predicted by E-cadherin (21). E-cadherin loss is linked to epithelial-mesenchymal transition, increasing metastatic potential in IDC. Clinically, preserved E-cadherin expression may indicate responsiveness to therapies targeting cell adhesion pathways. The findings of this study suggest some correlation between the expression of the above IHC factors and ultrasonic features. Individual marker analysis was prioritized to isolate specific biological behaviors, avoiding confounding effects from luminal subtype heterogeneity.
In this study, IHC markers were dichotomized based on clinical thresholds to better align with treatment guidelines. This decision to treat IHC markers as dichotomous variables, rather than continuous variables, ensures the clinical relevance of the findings. Dichotomization simplifies the interpretation of IHC results, facilitating their use in treatment decision-making. For example, ER and PR positivity is commonly classified as positive if ≥1% of cells are stained, which guides the use of endocrine therapies. Similarly, HER-2 is classified as positive or negative, with gene amplification testing employed when necessary. Using dichotomous variables also minimizes the potential complexities of continuous markers, which could lead to overly nuanced interpretations that may not align with established clinical practices.
In terms of ultrasonic features, the reduced posterior echo of the tumor is due to the increased disorganized collagen fibers in the stroma, which are common in IDC. Increased posterior echo suggested abundant tumor cells in the mass, with rapid lesion growth and insufficient formation of fibrous connective tissue (22). At the same time, the regression analysis results showed that the reduced posterior echo was associated with ER-positive expression, while unchanged posterior echo correlated with ER-negative expression, which is consistent with the conclusion by Zhu et al. (23), suggesting that the reduced posterior echo can be considered as a sign of better prognosis. Additionally, most malignant tumors grow in a multi-centric manner, during which the different composition and density of the surrounding tissues can produce different resistance to the growing tumor. More invasive tumors may form relatively regular, round-like masses, indicating a relatively poorer prognosis. If the tumor grows in an “invasive” manner, the extent of infiltration into the surrounding tissues may vary, leading to an irregular shape (24). The findings of this study also suggested that irregular tumor shape is associated with ER-positive expression. The ultrasound hyperechoic halo, i.e., an abnormally hyperechoic area around the breast cancer, is a typical ultrasonic sign of breast cancer. A study has shown that the presence of a peripheral hyperechoic halo indicates a less invasive breast mass (25). The regression analysis found that the presence of a hyperechoic halo is positively correlated with ER and PR expression, consistent with the conclusion by Mao et al. (26). The L9-4 and L11-9 probes used in this study operate at frequencies up to 9 MHz and 11 MHz, respectively. While these frequencies are lower than the >15 MHz probes highlighted in recent literature (27), they remain clinically effective for evaluating key sonographic features such as morphology and margins. However, higher-frequency probes may enhance visualization of microcalcifications and subtle posterior echo changes, as suggested by Corvino. The use of lower-frequency probes (9–11 MHz) may limit the detection of microcalcifications compared to high-frequency probes. Future studies should explore frequency-dependent feature variability. Moreover, the spiculated margin of the tumor is due to the proliferation of fibrous connective tissue around the tumor, which is a slow process, and the spiculated margin sign is often seen in low-to-moderate malignant lesions. Furthermore, the findings of this study suggest that a smooth margin is associated with PR-negative expression, consistent with the conclusion by Zheng et al. (22).
In contrast, the ultrasonic feature of calcification is caused by rapid tumor growth within the tumor, leading to local ischemic necrosis due to malnutrition. In this study, calcification was found to be associated with positive HER-2 expression, suggesting a positive correlation between the feature of microcalcification and rapid tumor growth inside the tumor (28). Specifically, tumor size is a key indicator for evaluating tumor stages, and larger tumors generally experience a poorer prognosis. In this study, a maximum tumor diameter ≥2 cm was associated with negative PR expression and positive HER-2 expression. However, further research is required to investigate whether the diameter of the mass is associated with patients’ visiting time. Additionally, the blood supply of the tumor is also a critical indicator of its invasiveness and prognosis (29). In this study, Adler grade II–III were associated with positive ER and E-cadherin expression, suggesting more vigorous growth and a poorer prognosis for masses with more abundant blood supply.
However, this study has some limitations: (I) since only one hospital was selected for this study, the limited sample size may result in some bias in the results; (II) as it was a retrospective study, the loss of some information occurred during the acquisition of sample images, and the description of the ultrasonic features was also influenced by the subjective experience of the physicians. In the future, standardized training on the image acquisition process is required, along with the validation of the findings through data from prospective, large-scale, and multicenter studies.
Conclusions
In conclusion, the expression of IHC factors in IDC is different and correlated with ultrasonic features to some extent. Therefore, the biological behavior of IHC factors can be preliminarily identified through the analysis of the characteristics of ultrasound images, thereby providing a reference for the clinical development of individualized treatment regimens and the prognosis evaluation for patients.
Acknowledgments
None.
Footnote
Reporting Checklist: The authors have completed the STROBE reporting checklist. Available at https://qims.amegroups.com/article/view/10.21037/qims-24-1975/rc
Funding: None.
Conflicts of Interest: Both authors have completed the ICMJE uniform disclosure form (available at https://qims.amegroups.com/article/view/10.21037/qims-24-1975/coif). The authors have no conflicts of interest to declare.
Ethical Statement: The authors are accountable for all aspects of the work in ensuring that questions related to the accuracy or integrity of any part of the work are appropriately investigated and resolved. This study was conducted in accordance with the Declaration of Helsinki and its subsequent amendments. The study was approved by the ethics committee of the Affiliated Hospital of Yangzhou University (No. 2024-YKL09-009). Written informed consent was obtained from all participants.
Open Access Statement: This is an Open Access article distributed in accordance with the Creative Commons Attribution-NonCommercial-NoDerivs 4.0 International License (CC BY-NC-ND 4.0), which permits the non-commercial replication and distribution of the article with the strict proviso that no changes or edits are made and the original work is properly cited (including links to both the formal publication through the relevant DOI and the license). See: https://creativecommons.org/licenses/by-nc-nd/4.0/.
References
- Katsura C, Ogunmwonyi I, Kankam HK, Saha S. Breast cancer: presentation, investigation and management. Br J Hosp Med (Lond) 2022;83:1-7. [Crossref] [PubMed]
- Barzaman K, Karami J, Zarei Z, Hosseinzadeh A, Kazemi MH, Moradi-Kalbolandi S, Safari E, Farahmand L. Breast cancer: Biology, biomarkers, and treatments. Int Immunopharmacol 2020;84:106535. [Crossref] [PubMed]
- Badowska-Kozakiewicz AM, Liszcz A, Sobol M, Patera J. Retrospective evaluation of histopathological examinations in invasive ductal breast cancer of no special type: an analysis of 691 patients. Arch Med Sci 2017;13:1408-15. [Crossref] [PubMed]
- Matsumoto H, Ishii A, Nakada N, Koki A, Unesoko M, Abe N, Zaha H. Predictive value of ductal carcinoma in situ with invasive breast cancer in core needle biopsies for final pathologic size of intraductal elements. Virchows Arch 2022;480:739-48. [Crossref] [PubMed]
- Zhang Y, Zhu Y, Zhang K, Liu Y, Cui J, Tao J, Wang Y, Wang S. Invasive ductal breast cancer: preoperative predict Ki-67 index based on radiomics of ADC maps. Radiol Med 2020;125:109-16. [Crossref] [PubMed]
- Tsang JYS, Tse GM. Molecular Classification of Breast Cancer. Adv Anat Pathol 2020;27:27-35. [Crossref] [PubMed]
- Huang Y, Yao Z, Li L, Mao R, Huang W, Hu Z, Hu Y, Wang Y, Guo R, Tang X, Yang L, Wang Y, Luo R, Yu J, Zhou J. Deep learning radiopathomics based on preoperative US images and biopsy whole slide images can distinguish between luminal and non-luminal tumors in early-stage breast cancers. EBioMedicine 2023;94:104706. [Crossref] [PubMed]
- Fujioka T, Mori M, Kubota K, Oyama J, Yamaga E, Yashima Y, Katsuta L, Nomura K, Nara M, Oda G, Nakagawa T, Kitazume Y, Tateishi U. The Utility of Deep Learning in Breast Ultrasonic Imaging: A Review. Diagnostics (Basel) 2020;10:1055. [Crossref] [PubMed]
- Yao M, Luo S, Li L, Wang Y, Zhu W, Liu Y, Liang C. Sonographic and clinicopathologic features of metaplastic breast carcinoma and infiltrating ductal carcinoma: a comparative single-center cohort study. Quant Imaging Med Surg 2024;14:909-19. [Crossref] [PubMed]
- Luo Y, Gao Y, Niu Z, Zhang J, Liu Z, Zhang Y, Shen S, Jiang Y, Xiao M, Zhu Q. The added value of ultrasound imaging biomarkers to clinicopathological factors for the prediction of high-risk Oncotype DX recurrence scores in patients with breast cancer. Quant Imaging Med Surg 2024;14:3519-33. [Crossref] [PubMed]
- Adler DD, Carson PL, Rubin JM, Quinn-Reid D. Doppler ultrasound color flow imaging in the study of breast cancer: preliminary findings. Ultrasound Med Biol 1990;16:553-9. [Crossref] [PubMed]
- Sang T, Tian F, Wang Z, Cao Y, Wu F, Liu W, Wang J, Dong J, Li J. Difference of immunohistochemical parameters and ultrasonographic features in breast ductal carcinoma in situ and invasive ductal carcinoma. Journal of Shihezi University (Natural Science) 2021;39:771-6.
- Allison KH, Hammond MEH, Dowsett M, McKernin SE, Carey LA, Fitzgibbons PL, Hayes DF, Lakhani SR, Chavez-MacGregor M, Perlmutter J, Perou CM, Regan MM, Rimm DL, Symmans WF, Torlakovic EE, Varella L, Viale G, Weisberg TF, McShane LM, Wolff AC. Estrogen and Progesterone Receptor Testing in Breast Cancer: ASCO/CAP Guideline Update. J Clin Oncol 2020;38:1346-66. [Crossref] [PubMed]
- Xu R, Wang W. Interpretation and Discussion of Updated Sections in HER2 Testing Guidelines for Breast Cancer (2019 Edition). Zhejiang Medical Journal 2019;41:1461-1463+1476.
- Li Y, Wu X, Wan H. Progress in the Application of Epithelial Cadherin in the Prognosis Evaluation of Breast Cancer. Medical Recapitulate 2020;26:1298-303.
- Peng H, Huang Y, Yan N, Chen D. Prognostic value of AR, Ki-67, p53 and EGFR detection in breast cancer. Journal of Clinical and Experimental Medicine 2022;21:2312-5.
- Wu H, Zhang K, Feng P, Wu W. Correlation between ultrasonographic features and expression of multiple immunohistochemical factors in 524 cases of invasive ductal carcinoma of the breast. Journal of Molecular Imaging 2022;45:709-17.
- Reinert T, de Paula B, Shafaee MN, Souza PH, Ellis MJ, Bines J. Endocrine therapy for ER-positive/HER2-negative metastatic breast cancer. Chin Clin Oncol 2018;7:25. [Crossref] [PubMed]
- Bansal C, Sharma A, Pujani M, Pujani M, Sharma KL, Srivastava AN, Singh US. Correlation of Hormone Receptor and Human Epidermal Growth Factor Receptor-2/neu Expression in Breast Cancer with Various Clinicopathologic Factors. Indian J Med Paediatr Oncol 2017;38:483-9. [Crossref] [PubMed]
- Toi M, Imoto S, Ishida T, Ito Y, Iwata H, Masuda N, et al. Adjuvant S-1 plus endocrine therapy for oestrogen receptor-positive, HER2-negative, primary breast cancer: a multicentre, open-label, randomised, controlled, phase 3 trial. Lancet Oncol 2021;22:74-84. [Crossref] [PubMed]
- Li X, Zeng Z, Wang J, Wu Y, Chen W, Zheng L, Xi T, Wang A, Lu Y. MicroRNA-9 and breast cancer. Biomed Pharmacother 2020;122:109687. [Crossref] [PubMed]
- Zheng W, She T, Yang J, Ge B. Relationship between direct ultrasonographic features and ER and PR expression in invasive ductal carcinoma of the breast. Laboratory Medicine and Clinic 2018;15:2058-2060+2064.
- Zhu P, Liu J, Liang X. Comparative study on ultrasonographic characteristics of triple-negative breast cancer before and after menopause. Journal of Clinical Ultrasound in Medicine 2021;23:711-3.
- Zhang YN, Xia KR, Li CY, Wei BL, Zhang B. Review of Breast Cancer Pathologigcal Image Processing. Biomed Res Int 2021;2021:1994764. [Crossref] [PubMed]
- Luo WQ, Huang QX, Huang XW, Hu HT, Zeng FQ, Wang W. Predicting Breast Cancer in Breast Imaging Reporting and Data System (BI-RADS) Ultrasound Category 4 or 5 Lesions: A Nomogram Combining Radiomics and BI-RADS. Sci Rep 2019;9:11921. [Crossref] [PubMed]
- Mao X, Liang W, Jiang D, Lu P. Correlation analysis between ultrasonographic features of hyperechoic halo and ER and PR expression levels in breast cancer. Journal of Medical Imaging 2020;30:1001-1004+1013.
- Corvino A, Varelli C, Catalano F, Cocco G, Delli Pizzi A, Boccatonda A, Corvino F, Basile L, Catalano O. Use of High-Frequency Transducers in Breast Sonography. J Pers Med 2022;12:1960. [Crossref] [PubMed]
- Scott R, Lyburn I, Cornford E, Bouzy P, Stone N, Greenwood C, Bouybayoune I, Pinder S, Rogers K. Breast calcification micromorphology classification. Br J Radiol 2022;95:20220485. [Crossref] [PubMed]
- Ye F, Dewanjee S, Li Y, Jha NK, Chen ZS, Kumar A. Vishakha, Behl T, Jha SK, Tang H. Advancements in clinical aspects of targeted therapy and immunotherapy in breast cancer. Mol Cancer 2023;22:105. [Crossref] [PubMed]

