Comparison of fast and standard segmented techniques for detection of late gadolinium enhancement in acute myocardial infarction: a prospective clinical cardiovascular magnetic resonance trial
Introduction
Acute myocardial infarction (AMI) is the most severe type of coronary artery disease and remains the leading cause of death worldwide (1). The presence, transmurality, size of myocardial infarction and associated microvascular obstruction (MVO), and intramyocardial hemorrhage constitute the important basis for evaluating the severity and prognosis of AMI patients (2). Therefore, accurate quantification of myocardial infarction is essential to assess the effect of treatment strategies and improve the prognosis of AMI (3-6).
Late gadolinium enhancement (LGE) cardiac magnetic resonance (CMR) imaging has been established as the non-invasive gold standard for the assessment of myocardial damage, which can clearly display the characteristics of myocardial tissue in different pathological states (7). Hence, it has been incorporated into many clinical guidelines and is an indispensable routine scanning sequence for contrast-based CMR protocols (8,9). Currently, segmented phase-sensitive inversion recovery (PSIR) turbo fast low-angle shot (FLASH) has become the reference standard sequence for LGE imaging because of its excellent image quality (IQ) at a high spatial resolution and matching with pathological results (10,11). However, the technology has a long scanning time, complex operation, and can easily produce motion artifacts, which is not acceptable in AMI patients. Therefore, a faster and more efficient CMR LGE imaging method is urgently needed (12).
In order to address these issues, new and fast techniques have emerged; two freshly introduced sequences are PSIR single-shot true fast imaging with steady-state precession (TrueFISP PSIR) and PSIR motion-corrected, free-breathing single-shot balanced steady-state free precession (moco bSSFP). A clinical study has shown that the fast sequences provide similar IQ to that of the standard sequence, with a significantly shortened scanning time (12). Currently, there is a notable absence of research on rapid imaging sequences specifically tailored for AMI patients, which is critically important for optimizing diagnostic and therapeutic outcomes in this high-risk population. Therefore, this prospective study aimed to determine the comparability of standard segmented imaging with the two different rapid sequences in AMI patients. We present this article in accordance with the STARD reporting checklist (available at https://qims.amegroups.com/article/view/10.21037/qims-24-2308/rc).
Methods
Patient population
This prospective study recruited consecutive AMI patients who underwent clinical contrast-enhanced CMR at Beijing Friendship Hospital. The inclusion criteria were as follows: (I) patients underwent CMR 5–7 days after percutaneous coronary intervention; (II) patients underwent a single CMR imaging with three different LGE sequences; and (III) the patients’ basic characteristics were available for review. Patients with non-clinically confirmed AMI or without percutaneous coronary intervention were excluded. A total of 110 AMI patients were included in the study. This study was conducted in accordance with the Declaration of Helsinki and its subsequent amendments. The study was approved by Institutional Ethics Board of Beijing Friendship Hospital (No. 2021-P2-418-01) and informed consent was provided by all participants.
CMR protocol
All CMR imaging was performed on a 3.0 Tesla scanner equipped with a 32-element spine array coil. Patients were scanned in the supine position with electrocardiogram-triggering using 16-channel surface phased array coils. The imaging sequence included the balanced steady-state free precession cine sequence and LGE imaging. The cine images were acquired with breath-holding from the mitral valve level to the left ventricular (LV) apex based on the following settings: repetition time (TR)/echo time (TE) =3.3/1.43 msec, temporal resolution =40 msec, flip angle =50°; voxel size =1.6×1.6×8.0 mm3. In addition, 2-, 3-, and 4-chamber long-axis cine images were acquired. The LGE images were acquired at least 7 minutes after an injection of 0.2 mmol/kg of gadolinium (Magnevist, Bayer Healthcare, Berlin, Germany). It comprised 2-, 3-, and 4-chamber long-axis, and short-axis (8 mm slice thickness with 2 mm gap) ensuring full LV coverage. The FLASH PSIR, TrueFISP PSIR, and moco bSSFP sequences were randomly imaged. The inversion time scouting sequence was performed to determine the appropriate inversion time, which was used to optimally null the signal of the normal myocardium (NM) to ensure the maximum contrast between the infarct area and the NM. FLASH PSIR and TrueFISP PSIR sequences were acquired during end-expiratory breath-holding, whereas the moco bSSFP sequence was additionally acquired during free breathing. The imaging parameters of three LGE sequences are presented in Table 1.
Table 1
| Parameters | FLASH PSIR | TrueFISP PSIR | moco bSSFP |
|---|---|---|---|
| TR (ms) | 5.2 | 2.5 | 2.5 |
| Echo time (ms) | 2.0 | 1.1 | 1.1 |
| Inversion time (ms)† | 300 | 300 | 300 |
| Flip angle (degree) | 25 | 50 | 60 |
| Thickness (mm) | 8 | 8 | 8 |
| FOV (mm2) | 350–450 | 350–450 | 350–450 |
| Matrix | 256×154 | 192×124 | 256×154 |
| Motion correction | None | None | Yes |
| Breath-holding | Yes | Yes | None |
| Number of shots | 6 | 1 | 1 |
| Number of excitation | – | – | 8 |
| Acquisition time in unit of RR interval | 12 heart beats per slice | 2 heart beats per slice | 2 heart beats per slice |
| Data acquisition duration (ms) | 130 | 178 | 178 |
†, the TI scout sequence was performed to determine the appropriate inversion time. bSSFP, balanced steady-state free precession; FOV, field of view; FLASH, fast low angle shot; moco, motion correction; PSIR, phase-sensitive inversion recovery; TR, repetition time; TrueFISP, single-shot true fast imaging with steady-state precession.
Image analysis
For all quantitative analyses, commercially available post-processing software CVI42 (Circle Cardiovascular Imaging, Calgary, Canada) was used.
LV basic cardiac function parameters
LV basic cardiac function parameters were measured by a radiologist (J.L., with 5 years of experience in cardiac imaging) who was blinded to patient information and clinical data. He tracked the epicardial and endocardial borders of the short-axis cine images at end diastole and end systole automatically using software CVI42 and manually adjusted. These parameters included LV ejection fraction (LVEF), LV end-diastolic volume (LVEDV), LV end-systolic volume (LVESV), cardiac output (CO), and stroke volume (SV).
IQ evaluation
The overall IQ score and contrast-to-noise ratio (CNR) were used to comprehensively evaluate IQ. First, LGE images were randomized and scored for overall IQ using a previously established 4-point-scale based on the American Heart Association (AHA) 17-segmented model (13). The standard was as follows: (I) severe artifact and not analyzable; (II) moderate artifact but can identify the infarct area; (III) mild artifact but no impact on diagnosis; and (IV) good IQ, no artifacts. Only patients with an IQ score ≥2 were included for further LGE image quantitative analysis. Figure 1 shows the LGE image of the score 1–4. Besides, for the score of 1, the reason contributing to the image artifacts was analyzed and recorded. Then, the signal intensities (SIs) of NM, LGE, and MVO were measured. MVO was defined as a hypoenhanced area within hyperenhanced myocardium. The standard deviation (SD) of background noise signal was measured from the region of interest (ROI) located outside the patient, and the ROI was nearly circular in shape with the average diameter of 5 mm. The CNRs were calculated with the following formula: CNR(LGE-NM) = (SILGE − SINM)/SD. In addition, we also evaluated the percentage of signal enhancement (%SE) (14,15), and the formula was as follows: 100%× (SILGE − SINM)/SINM.
Qualitative LGE image analysis
The presence and extent (distribution and transmurality) of LGE with three sequences were assessed by a radiologist according to the AHA 17-segment model. The distribution of LGE in each segment was scored as follows: 0, no hyperenhancement; 1, 1–25%; 2, 26–50%; 3, 51–75%; and 4, 76–100%. The scores of these 17 segments were all added together. The global infarct size was expressed as a percentage of the maximum possible score (i.e., 17×4=68). The obtained ratio was then multiplied by 100 (16). Besides, the number of layers and segments occupied by the LGE and MVO of the three sequences were recorded. Layers represent the number of LV short-axis images involving the LGE.
Quantitative LGE image analysis
In MVO+ patients with diagnostic IQ (IQ score ≥2), the MVO mass was quantified in % LV mass. LGE was defined as a SI threshold level 5 SD above the SI of normal remote myocardium (17,18). The mass of LGE and MVO was calculated automatically by software CVI42 using short-axis images. Manual contouring was performed on the short-axis LGE images to determine the LV endocardial and epicardial borders. Then, the LGE area was identified and calculated through the software algorithm, and the MVO extent was manually delineated.
Statistical analysis
Continuous variables were presented as mean ± SD or median [interquartile range (IQR)] and were as assessed for normality with the Shapiro-Wilk test. Normally and non-normally distributed variables between groups were compared using independent t-test or non-parametric test (Mann-Whitney U-test). Categorical variables were presented as percentages and were compared using chi-squared test or Fisher’s exact test. Chi-squared test and Kruskal-Wallis H test were used to compare data between multiple groups. Agreement between the results of the different techniques was assessed by using the Pearson correlation and Bland-Altman analysis. All statistical analyses were performed with SPSS 26.0 (IBM Corp., Armonk, NY, USA). Lastly, P values of 0.05 or less were considered statistically significant.
Results
Patient characteristics
A total of 110 AMI patients (90 males, mean age 58.61±10.9 years) were successfully scanned using three techniques and were included in our subsequent analyses. Four patients were excluded due to excessive artifacts, which compromised the diagnostic quality. Overall, 96 patients had detectable LGE and 60 patients had MVO on FLASH PSIR. All 96 LGE (+) patients and 60 MVO patients were also detected on TrueFISP PSIR and moco bSSFP. Moreover, the four excluded patients exhibited clear evidence of LGE without MVO on the two fast sequences. Thus, 100 patients (84 males, mean age 58.6±10.9 years) presented LGE (+) on TrueFISP PSIR and moco bSSFP, and the remaining 10 patients had a clinically confirmed AMI with a negative LGE. Of the 60 patients with MVO, 6 of them had too little MVO mass to yield quantitative results.
The participants were divided into three groups according to the LGE results, namely LGE (−), LGE (+) without MVO, and LGE (+) with MVO. Baseline demographics, clinical characteristics, and cardiac function of patients are summarized in Table 2. Cardiac function parameters were statistically different between the three patient groups, including LVEDV, LVESV, and LVEF (Figure 2).
Table 2
| Variable | All patients (N=110) | LGE (+) with MVO (N=60) | LGE (+) without MVO (N=40) | LGE (−) (N=10) |
|---|---|---|---|---|
| Baseline demographics | ||||
| Male | 90 (81.8) | 51 (85.0) | 33 (82.5) | 6 (60.0) |
| Age (years) | 58.61±10.9 | 58.61±10.9 | 57.95±11 | 61±10.2 |
| BMI (kg/m2) | 25.76±3.6 | 25.38±3.5 | 26.28±3.8 | 26±3.9 |
| HR (beats/min) | 72.66±13.0 | 74.30±13.5 | 69.47±11.4 | 75.6±14.9 |
| Clinical characteristics | ||||
| Diabetes | 32 (29.1) | 20 (33.3) | 9 (22.5) | 3 (30.0) |
| Hypertension | 67 (60.9) | 40 (66.7) | 21 (52.5) | 6 (60.0) |
| Dyslipidemia | 45 (40.9) | 22 (36.7) | 18 (45.0) | 5 (50.0) |
| Cardiac function | ||||
| LVEF (%) | 48.82±11.0 | 44.77±10.5 | 53.02±9.3 | 56.23±10.6 |
| LVEDV (mL) | 142.22±31.5 | 152.01±32.6 | 133.92±25.3 | 116.7±24.2 |
| LVESV (mL) | 71.42±28.9 | 83.48±29.4 | 59.15±21.7 | 48.1±13.9 |
| LVCO (L/min) | 4.76±1.2 | 4.64±0.9 | 4.81±0.9 | 5.31±2.7 |
Data are presented as mean ± standard deviation or n (%). BMI, body mass index; HR, heart rate; LGE, late gadolinium enhancement; LVCO, left ventricular cardiac output; LVEDV, left ventricular end-diastolic volume; LVEF, left ventricular ejection fraction; LVESV, left ventricular end-systolic volume; MVO, microvascular obstruction.
IQ evaluation
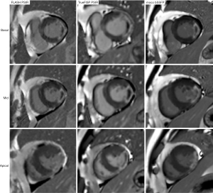
The overall IQ scores of the FLASH PSIR, moco bSSFP, and TrueFISP PSIR for all patients were 3.45 (3.07, 3.64), 3.89 (3.8, 3.91), and 3.91 (3.82, 4), respectively. The overall IQ score for moco bSSFP and TrueFISP PSIR was significantly higher than turbo FLASH (P<0.001). The overall IQ score of moco bSSFP was significantly higher than that of TrueFISP PSIR (P<0.001). The LGE image of a typical patient is illustrated in Figure 3. To further investigate the differences in overall IQ scores of the three LGE sequences between the three groups, we performed a subgroup analysis. The same results were finally obtained, as detailed in Figure 4.
Arrhythmia had a negative impact on IQ scores on FLASH PSIR, resulting in poor or non-diagnostic IQ in 4 patients. IQ score was not influenced by arrhythmia in the two fast sequences.
The CNR(LGE-NM) and %SE of the two rapid LGE sequences (moco bSSFP and TrueFISP PSIR) were both higher than those of FLASH PSIR (P<0.05), and the difference was statistically significant. The CNR(LGE-NM) and %SE of the three LGE sequences are shown in Table 3.
Table 3
| Sequences | CNR(LGE-NM) | % SE |
|---|---|---|
| FLASH PSIR | 346.08 (262.31, 417.20) | 0.18±0.05 |
| TrueFISP | 436.20 (329.97, 542.94)* | 0.24 (0.19, 0.29)* |
| moco bSSFP | 578.26 (437.72, 772.06)* | 0.32±0.09* |
Data are presented as mean ± standard deviation or median (interquartile range). P<0.05 indicated statistical differences between TrueFISP sequence and moco bSSFP sequence compared to FLASH PSIR sequence, and was indicated by *. CNR, contrast-to-noise ratio; FLASH, turbo fast low-angle shot; LGE, late gadolinium enhancement; moco bSSFP, motion-corrected, free-breathing single-shot balanced steady-state free precession; NM, normal myocardium; %SE, percentage of signal enhancement; PSIR, phase-sensitive inversion recovery; TrueFISP, single-shot true fast imaging with steady-state precession.
Qualitative LGE image analysis
Four patients were excluded from the FLASH PSIR sequence due to excessive artifacts, which compromised the diagnostic quality. On visual assessment for 96 LGE (+) patients and 60 MVO patients, the number of layers and segments for LGE and MVO was not different and showed excellent matching with the reference standard (FLASH PSIR) for TrueFISP PSIR and moco bSSFP. Furthermore, quantitative plane measurements of LGE lesions showed no difference between FLASH PSIR (22.64±0.05) and TrueFISP PSIR (23.58±0.08, P=0.23) and moco bSSFP (25.17±0.09, P=0.06) (details are shown in Table 4).
Table 4
| Sequences | All LGE (+) patients (n=96) | LGE (+) with MVO (n=60) | Quantitative planimetric measures (%) | |||
|---|---|---|---|---|---|---|
| LGE layers | LGE segments | MVO layers | MVO segments | |||
| FLASH PSIR | 6 [7, 8] | 18.08±8.53 | 4 [2, 5.75] | 7 [3, 12.5] | 22.64±0.05 | |
| TrueFISP | 6 [7, 8] | 18.76±8.4 | 4 [2.25, 5.75] | 8 [4, 12] | 23.58±0.08 | |
| moco bSSFP | 6 [7, 8] | 19.14±8.81 | 4 [3, 6] | 9 [4, 13] | 25.17±0.09 | |
| P(TrueFISP) | 0.196 | 0.09 | 0.18 | 0.92 | 0.23 | |
| P(mocobSSFP) | 0.217 | 0.323 | 0.23 | 0.89 | 0.06 | |
Data are presented as mean ± standard deviation or median [interquartile range]. P<0.05 indicated statistical differences between TrueFISP, moco bSSFP sequence, and FLASH PSIR sequence. AMI, acute myocardial infarction; FLASH, turbo fast low-angle shot; LGE, late gadolinium enhancement; moco bSSFP, motion-corrected, free-breathing single-shot balanced steady-state free precession; PSIR, phase-sensitive inversion recovery; TrueFISP, single-shot true fast imaging with steady-state precession.
Quantitative LGE image analysis
There were no significant differences in LGE mass between FLASH PSIR [29.98 (16.54, 50.28)], TrueFISP PSIR [28.65 (15.18, 45.83)] and moco bSSFP [33.53 (17.08, 52.2)]. During the quantification of MVO, it was observed that in six patients, the MVO quality was too small to obtain quantitative results, resulting in the exclusion of these cases. Consequently, MVO quantification was performed only on 54 patients. The result showed that FLASH PSIR [3.04 (0.78, 6.99)], TrueFISP PSIR [2.46 (0.75, 6.08)], and moco bSSFP [3.46 (1.29, 8.35)] were not statistically significantly different in this regard (Table 5).
Table 5
| Sequences | LGE mass (g) (N=96) | MVO mass (g) (N=54) |
|---|---|---|
| FLASH PSIR | 29.98 (16.54, 50.28) | 3.04 (0.78, 6.99) |
| TrueFISP | 28.65 (15.18, 45.83) | 2.46 (0.75, 6.08) |
| moco bSSFP | 33.53 (17.08, 52.2) | 3.46 (1.29, 8.35) |
| P(TrueFISP) value | 0.61 | 0.15 |
| P(mocobSSFP) value | 0.83 | 0.55 |
Data are presented as median (interquartile range). P<0.05 indicated statistical differences between TrueFISP sequence and moco bSSFP sequence compared to FLASH PSIR sequence. AMI, acute myocardial infarction; FLASH, turbo fast low-angle shot; LGE, late gadolinium enhancement; moco bSSFP, motion-corrected, free-breathing single-shot balanced steady-state free precession; MVO, microvascular obstruction; PSIR, phase-sensitive inversion recovery; TrueFISP, single-shot true fast imaging with steady-state precession.
Discussion
In this study, a large sample of AMI patients was included. The reference standard sequence (FLASH PSIR) was comprehensively compared with the two currently mainstream fast sequences (TrueFISP PSIR and moco bSSFP). The major findings of the current study were as follows: Firstly, overall IQ and CNRs were higher for TrueFISP PSIR [3.91 (3.82, 4)] and moco bSSFP [3.89 (3.8, 3.91)] than FLASH PSIR [3.45 (3.07, 3.64)]. Secondly, qualitative results showed that there was no significant difference between FLASH PSIR, TrueFISP PSIR, and moco bSSFP in the extent of LGE lesions. Thirdly, quantification showed no significant difference in LGE and MVO mass for FLASH PSIR, TrueFISP PSIR, and moco bSSFP.
With the development of LGE technology, it has been widely used in the study of various cardiac diseases and has been shown to be invaluable (7,19). Currently, it is of important clinical significance to optimize this sequence, especially for patients with AMI. The widely used and standard reference FLASH PSIR, composed of FLASH and PSIR, requires a number of breath holds and a regular heart rhythm to obtain excellent LGE images (20). However, this is difficult to achieve in AMI patients, which has been verified by clinical examination. Arrhythmia, respiratory motion, and cardiac motion artifacts are very common in LGE images of AMI patients, making it difficult for clinicians to accurately identify myocardial signals. Our study showed that moco bSSFP and TrueFISP PSIR were perfect alternatives to FLASH PSIR for AMI patients, and can even be performed as a routine CMR LGE sequence. These fast sequences provided better IQ, shortened scanning time under free-breathing conditions, and the visual and quantitative evaluation of AMI patients were also better than those of FLASH PSIR. Although previous studies had verified the equivalence of moco bSSFP and TrueFISP PSIR, those studies included multiple types of cardiac disease entities, such as chronic myocardial infarction and non-ischemic cardiomyopathy (10,21-24). No large-scale studies have been conducted on rapid LGE imaging sequences specifically tailored for AMI, a disease which is acute, severe, and has a high mortality rate.
The overall IQ score, CNRs, and %SE for moco bSSFP and TrueFISP PSIR were significantly higher than those of FLASH PSIR. On the one hand, we believe that it is due to the adaptability to the physiological status of patients. Patients with AMI often have physiological conditions such as respiratory instability and abnormal heart rates. The free-breathing imaging advantage of the moco bSSFP sequence enables it to be better adapted to the patients’ respiratory status, reducing image blurring and artifacts caused by respiratory motion, and thus improving the IQ indicators. Although the TrueFISP PSIR sequence requires patients to cooperate with breath-holding for single-breath-hold imaging, its short imaging time reduces the risk of patient movement during breath-holding. Compared with the FLASH PSIR sequence, which may require multiple breath-holds, the TrueFISP PSIR sequence can better ensure imaging stability, which is conducive to improving the CNRs and %SE. On the other hand, both the moco bSSFP and TrueFISP PSIR sequences adopt the balanced steady-state free-precession technique. This technique is relatively insensitive to magnetic field inhomogeneity and can generate high signal intensity, which is beneficial for improving %SE. In addition, it is noted that the moco bSSFP sequence further improves the %SE compared with the TrueFISP PSIR sequence. This can be attributed to the reduction in motion artifacts due to the shorter scan time and that the modified techniques (non-rigid image registration) can correct respiratory motion artifacts between repeated measurements (25). Although CNR was also dependent on the amount of gadolinium contrast agent in the myocardium, which is influenced by factors such as patient hemodynamics and body weight (26), since we strictly gave gadolinium to patients’ weight and tested three sequences in a random order, the effect on our results should be negligible.
In terms of the transmural extent and qualitative assessment of LGE, it was consistently very good and equivalent in three sequences. As for AMI patients, LGE has served as an extremely important predictor of cardiac functional recovery after revascularization (26). For the quantitative assessment of LGE, we found excellent agreement between the two fast sequences and FLASH PSIR. This is consistent with the results from multiple previous studies including non-ischemic cardiomyopathy (10,21,24,27) and pediatric patients (23). In our study, we did not exclude patients with inadequate breath-holding and cardiac arrhythmia. The analysis of this study demonstrated excellent IQ and an equivalent amount of LGE qualitative/quantification with the two fast sequences. There is no gold standard for LGE detection in inadequate breath-holding and arrhythmic patients. Hence, it is entirely reasonable to recommend TrueFISP PSIR and moco bSSFP sequences for detecting LGE. In acute situations, TrueFISP demonstrates unique operational advantages compared to FLASH. The imaging principle of TrueFISP enables it to provide images that meet diagnostic requirements in a shorter time, which is of utmost importance for the rapid diagnosis of acute diseases. However, we are also fully aware of the limitations of TrueFISP in terms of resolution. Due to the characteristics of its imaging mechanism, TrueFISP faces challenges when pursuing high-resolution or isotropic resolution. Notably, previous studies (10,17,21,22,27-29) have indicated a reduced sensitivity of TrueFISP PSIR, leading to the possibility of missing subendocardial and small myocardial infarct lesions. However, our study did not encounter this issue. The potential reason may lie in the fact that all patients included in our study had experienced AMI, resulting in a larger LGE. Even subendocardial infarctions were more pronounced, and in some cases, transmural, making them highly detectable. If TrueFISP aims to achieve higher resolution, more optimizations are required in signal acquisition and processing. However, the inherent characteristics of TrueFISP impose limitations on the extent of such optimizations. In contrast, FLASH PSIR holds greater potential for resolution enhancement, which is the primary reason why many research efforts dedicated to high-resolution imaging do not opt for TrueFISP.
We did not collect the acquisition time of the three LGE sequences, because relatively reliable answers have been obtained through previous studies on different diseases, different field strength, and manufacturer equipment (10,12). The scanning times of two fast sequences were much shorter than that of FLASH PSIR, and TrueFISP PSIR had the shortest scanning time. Therefore, we discontinued the study of scan time in order to systematically evaluate the accuracy of TrueFISP PSIR and moco bSSFP for the diagnosis of AMI patients. In addition to randomly testing three sequences, we also adjusted the order of CMR scanning sequences to further shorten the scanning time of CMR examination and performed cine sequence after scanning resting myocardial perfusion images with intravenous gadolinium contrast agent. Therefore, this scheme can fully utilize the waiting time, shorten the entire CMR scanning time, and improve the efficiency of inspection (12,22). In summary, the moco bSSFP sequences were shown to be more appropriate for patients with limited breath-holding capabilities. On the other hand, the TrueFISP sequences are likely to be more advantageous when time-sensitive completion is required. In clinical settings, the selection between these two sequences can be made in accordance with the specific conditions of patients and the relevant clinical scenarios.
There are some limitations in this study. First, we did not collect the acquisition time of the three LGE sequences, even if this was an established fact. We will supplement it in the subsequent studies. Second, the relationship between the three LGE sequences and the prognosis of AMI patients is unclear, which requires further follow-up study. Finally, we need to further expand the sample size to validate our findings. It should be noted that all the sequences utilized in this study are two-dimensional sequences with relatively thick slices. Previous research, such as that of Viallon et al. (15) and Morita et al. (14), has demonstrated that three-dimensional sequences, when feasible, can achieve better %SE and CNRs and exhibit higher sensitivity to small lesions. In the future, research efforts can be directed towards the development and implementation of free-breathing high-resolution isotropic scans to address the partial volume issue. Although this approach holds great promise, challenges such as complex data acquisition and processing, and potential trade-offs in imaging speed need to be carefully considered.
Conclusions
In clinical practice, the two rapid sequences of moco bSSFP and TrueFISP achieved good IQ, as well as accurate localization and quantification of LGE when acquired during a single breath hold or in a free-breathing state. We recommend them as the preferred LGE CMR sequence for AMI patients.
Acknowledgments
None.
Footnote
Reporting Checklist: The authors have completed the STARD reporting checklist. Available at https://qims.amegroups.com/article/view/10.21037/qims-24-2308/rc
Funding: This work was supported by
Conflicts of Interest: All authors have completed the ICMJE uniform disclosure form (available at https://qims.amegroups.com/article/view/10.21037/qims-24-2308/coif). J.A. was an employee of Siemens Shenzhen Magnetic Resonance throughout her involvement in the study, and reports writing assistance was provided by Siemens Shenzhen Magnetic Resonance, MR Collaboration NE Asia, Shenzhen, China. The other authors have no conflicts of interest to declare.
Ethical Statement: The authors are accountable for all aspects of the work in ensuring that questions related to the accuracy or integrity of any part of the work are appropriately investigated and resolved. This study was conducted in accordance with the Declaration of Helsinki and its subsequent amendments. The study was approved by the Institutional Ethics Board of Beijing Friendship Hospital (No. 2021-P2-418-01) and informed consent was provided by all participants.
Open Access Statement: This is an Open Access article distributed in accordance with the Creative Commons Attribution-NonCommercial-NoDerivs 4.0 International License (CC BY-NC-ND 4.0), which permits the non-commercial replication and distribution of the article with the strict proviso that no changes or edits are made and the original work is properly cited (including links to both the formal publication through the relevant DOI and the license). See: https://creativecommons.org/licenses/by-nc-nd/4.0/.
References
- Reed GW, Rossi JE, Cannon CP. Acute myocardial infarction. Lancet 2017;389:197-210. [Crossref] [PubMed]
- Hamirani YS, Wong A, Kramer CM, Salerno M. Effect of microvascular obstruction and intramyocardial hemorrhage by CMR on LV remodeling and outcomes after myocardial infarction: a systematic review and meta-analysis. JACC Cardiovasc Imaging 2014;7:940-52. [Crossref] [PubMed]
- Beijnink CWH, van der Hoeven NW, Konijnenberg LSF, Kim RJ, Bekkers SCAM, Kloner RA, Everaars H, El Messaoudi S, van Rossum AC, van Royen N, Nijveldt R. Cardiac MRI to Visualize Myocardial Damage after ST-Segment Elevation Myocardial Infarction: A Review of Its Histologic Validation. Radiology 2021;301:4-18. [Crossref] [PubMed]
- van Kranenburg M, Magro M, Thiele H, de Waha S, Eitel I, Cochet A, Cottin Y, Atar D, Buser P, Wu E, Lee D, Bodi V, Klug G, Metzler B, Delewi R, Bernhardt P, Rottbauer W, Boersma E, Zijlstra F, van Geuns RJ. Prognostic value of microvascular obstruction and infarct size, as measured by CMR in STEMI patients. JACC Cardiovasc Imaging 2014;7:930-9. [Crossref] [PubMed]
- Zhao Y, Cui J, Zhang X, Li J, Yang J, Li T. Right ventricular function and determining factors of dysfunction in ST-segment-elevation myocardial infarction: a cross-sectional study with cardiac magnetic resonance imaging (MRI). Quant Imaging Med Surg 2024;14:6895-907. [Crossref] [PubMed]
- Zhao Y, Fu W, Hou X, Zhang J, Biekan J, Zhang H, Wang H, Dong R. Myocardial infarct size for predicting improvements in cardiac function in patients with ischemic cardiomyopathy following coronary artery bypass grafting. Quant Imaging Med Surg 2023;13:7814-27. [Crossref] [PubMed]
- Ordovas KG, Higgins CB. Delayed contrast enhancement on MR images of myocardium: past, present, future. Radiology 2011;261:358-74. [Crossref] [PubMed]
- Kramer CM, Barkhausen J, Bucciarelli-Ducci C, Flamm SD, Kim RJ, Nagel E. Standardized cardiovascular magnetic resonance imaging (CMR) protocols: 2020 update. J Cardiovasc Magn Reson 2020;22:17. [Crossref] [PubMed]
- Schulz-Menger J, Bluemke DA, Bremerich J, Flamm SD, Fogel MA, Friedrich MG, Kim RJ, von Knobelsdorff-Brenkenhoff F, Kramer CM, Pennell DJ, Plein S, Nagel E. Standardized image interpretation and post-processing in cardiovascular magnetic resonance - 2020 update: Society for Cardiovascular Magnetic Resonance (SCMR): Board of Trustees Task Force on Standardized Post-Processing. J Cardiovasc Magn Reson 2020;22:19. [Crossref] [PubMed]
- Muehlberg F, Arnhold K, Fritschi S, Funk S, Prothmann M, Kermer J, Zange L, von Knobelsdorff-Brenkenhoff F, Schulz-Menger J. Comparison of fast multi-slice and standard segmented techniques for detection of late gadolinium enhancement in ischemic and non-ischemic cardiomyopathy - a prospective clinical cardiovascular magnetic resonance trial. J Cardiovasc Magn Reson 2018;20:13. [Crossref] [PubMed]
- Kellman P, Arai AE, McVeigh ER, Aletras AH. Phase-sensitive inversion recovery for detecting myocardial infarction using gadolinium-delayed hyperenhancement. Magn Reson Med 2002;47:372-83. [Crossref] [PubMed]
- Raman SV, Markl M, Patel AR, Bryant J, Allen BD, Plein S, Seiberlich N. 30-minute CMR for common clinical indications: a Society for Cardiovascular Magnetic Resonance white paper. J Cardiovasc Magn Reson 2022;24:13. [Crossref] [PubMed]
- Dietrich O, Raya JG, Reeder SB, Reiser MF, Schoenberg SO. Measurement of signal-to-noise ratios in MR images: influence of multichannel coils, parallel imaging, and reconstruction filters. J Magn Reson Imaging 2007;26:375-85. [Crossref] [PubMed]
- Morita K, Utsunomiya D, Oda S, Komi M, Namimoto T, Hirai T, Hashida M, Takashio S, Yamamuro M, Yamashita Y. Comparison of 3D phase-sensitive inversion-recovery and 2D inversion-recovery MRI at 3.0 T for the assessment of late gadolinium enhancement in patients with hypertrophic cardiomyopathy. Acad Radiol 2013;20:752-7. [Crossref] [PubMed]
- Viallon M, Jacquier A, Rotaru C, Delattre BM, Mewton N, Vincent F, Croisille P. Head-to-head comparison of eight late gadolinium-enhanced cardiac MR (LGE CMR) sequences at 1.5 tesla: from bench to bedside. J Magn Reson Imaging 2011;34:1374-87. [Crossref] [PubMed]
- Mewton N, Revel D, Bonnefoy E, Ovize M, Croisille P. Comparison of visual scoring and quantitative planimetry methods for estimation of global infarct size on delayed enhanced cardiac MRI and validation with myocardial enzymes. Eur J Radiol 2011;78:87-92. [Crossref] [PubMed]
- Stirrat J, Joncas SX, Salerno M, Drangova M, White J. Influence of phase correction of late gadolinium enhancement images on scar signal quantification in patients with ischemic and non-ischemic cardiomyopathy. J Cardiovasc Magn Reson 2015;17:66. [Crossref] [PubMed]
- Bulluck H, Rosmini S, Abdel-Gadir A, Bhuva AN, Treibel TA, Fontana M, Weinmann S, Sirker A, Herrey AS, Manisty C, Moon JC, Hausenloy DJ. Impact of microvascular obstruction on semiautomated techniques for quantifying acute and chronic myocardial infarction by cardiovascular magnetic resonance. Open Heart 2016;3:e000535. [Crossref] [PubMed]
- Vogel-Claussen J, Rochitte CE, Wu KC, Kamel IR, Foo TK, Lima JA, Bluemke DA. Delayed enhancement MR imaging: utility in myocardial assessment. Radiographics 2006;26:795-810. [Crossref] [PubMed]
- Kim RJ, Shah DJ, Judd RM. How we perform delayed enhancement imaging. J Cardiovasc Magn Reson 2003;5:505-14. [Crossref] [PubMed]
- Captur G, Lobascio I, Ye Y, Culotta V, Boubertakh R, Xue H, Kellman P, Moon JC. Motion-corrected free-breathing LGE delivers high quality imaging and reduces scan time by half: an independent validation study. Int J Cardiovasc Imaging 2019;35:1893-901. [Crossref] [PubMed]
- Yan C, Hu J, Li Y, Xie X, Zou Z, Deng Q, Zhou X, Bi X, Zeng M, Liu J. Motion-corrected free-breathing late gadolinium enhancement combined with a gadolinium contrast agent with a high relaxation rate: an optimized cardiovascular magnetic resonance examination protocol. J Int Med Res 2020;48:300060520964664. [Crossref] [PubMed]
- Xie LJ, Xu R, Xu ZY, Li XS, Zhou XY, Bi XM, Mu JS, Fan HM, Xu HY, Guo YK. Myocardial motion-corrected phase-sensitive inversion recovery late gadolinium enhancement in free breathing paediatric patients: a comparison with single-shot coherent gradient echo ("TrueFISP") phase-sensitive inversion recovery. Clin Radiol 2021;76:471.e17-25. [Crossref] [PubMed]
- Yu Y, Chen Y, Zhao S, Ge M, Yang S, Yun H, Bi X, Fu C, Zeng M, Jin H. Role of free-breathing motion-corrected late gadolinium enhancement technique for image quality assessment and LGE quantification. Eur J Radiol 2021;135:109510. [Crossref] [PubMed]
- Ledesma-Carbayo MJ, Kellman P, Hsu LY, Arai AE, McVeigh ER. Motion corrected free-breathing delayed-enhancement imaging of myocardial infarction using nonrigid registration. J Magn Reson Imaging 2007;26:184-90. [Crossref] [PubMed]
- Goetti R, Kozerke S, Donati OF, Sürder D, Stolzmann P, Kaufmann PA, Lüscher TF, Corti R, Manka R. Acute, subacute, and chronic myocardial infarction: quantitative comparison of 2D and 3D late gadolinium enhancement MR imaging. Radiology 2011;259:704-11. [Crossref] [PubMed]
- Fan H, Li S, Lu M, Yin G, Yang X, Lan T, Dai L, Chen X, Li J, Zhang Y, Sirajuddin A, Kellman P, Arai AE, Zhao S. Myocardial late gadolinium enhancement: a head-to-head comparison of motion-corrected balanced steady-state free precession with segmented turbo fast low angle shot. Clin Radiol 2018;73:593.e1-9. [Crossref] [PubMed]
- Li W, Li BS, Polzin JA, Mai VM, Prasad PV, Edelman RR. Myocardial delayed enhancement imaging using inversion recovery single-shot steady-state free precession: initial experience. J Magn Reson Imaging 2004;20:327-30. [Crossref] [PubMed]
- Sievers B, Elliott MD, Hurwitz LM, Albert TS, Klem I, Rehwald WG, Parker MA, Judd RM, Kim RJ. Rapid detection of myocardial infarction by subsecond, free-breathing delayed contrast-enhancement cardiovascular magnetic resonance. Circulation 2007;115:236-44. [Crossref] [PubMed]

