Radiological findings in children with primary mediastinal Ewing sarcoma/primitive neuroectodermal tumors: a retrospective case series study
Introduction
Ewing sarcoma/primitive neuroectodermal tumor (ES/PNET) refers to a cluster of malignant tumors that arise from the neuroectoderm and are characterized by undifferentiated small round cells. ES/PNET tends to occur more frequently in the skeletal system and soft tissues among individuals in their teenage years. Extra-skeletal ES/PNET is an uncommon occurrence, with a higher prevalence observed in the nonskeletal tissues of the limbs, the chest wall, and the paraspinal regions (1). Furthermore, the mediastinum rarely serves as the primary tumor’s site of origin in children. At present, most of literature on this subject consists of case reports. The disease exhibits a high degree of invasiveness, posing a significant risk for postoperative recurrence and metastasis, while also presenting challenges in terms of pre-surgical diagnosis. In this study we retrospectively collected 6 cases of ES/PNET in pediatric patients and conducted an analysis of their clinical characteristics, initial computed tomography (CT) findings, and postoperative pathology in order to enhance our comprehension and diagnostic proficiency of this disease.
Methods
We studied 8 cases of mediastinal ES/PNET in patients whose diagnoses were confirmed by surgical pathology at Guangzhou Women and Children’s Medical Center, from January 2017 to January 2024. Excluding 1 child who did not undergo chest CT and another who had a follow-up imaging examination after tumor chemotherapy rather than a first-time examination, a total of 6 patients with mediastinal Ewing’s sarcoma were included in this study. The initial diagnosis involved chest CT examination for all patients. This study was approved by the ethics committee of Guangzhou Women and Children’s Medical Center (No. 2024-302B00) and informed consent was waived due to the retrospective nature of the study. The study was conducted in accordance with the Declaration of Helsinki (as revised in 2013).
Imaging protocols
All 6 patients in the study underwent chest contrast-enhanced CT on a 64-slice spiral CT machine (Aquilion; Toshiba, Canon, Japan). The scanning parameters were set as follows: voltage at 120 kV, current ranging from 25 to 30 mAs, slice thickness of 0.8 mm, interslice gap of 1.8 mm, and matrix size of 512×512. Enhanced scanning was performed using a nonionic contrast agent (Ultravist 300; Bayer, Leverkusen, Germany) with a dosage of 2 mL/kg, slice thickness of 0.8 mm, interslice gap of 1.8 mm, and matrix size of 512×512. To induce sedation in noncompliant children, an oral administration of chloral hydrate (0.5 mL/kg) was given, and the scanning procedure was conducted while they slept.
Image analysis
Images were assessed by 2 pediatric radiologists, with 10 and 6 years of professional expertise, and the findings were deliberated upon in order to reach a consensus. The content of observation included tumor location, size, shape, hemorrhagic state, cystic degeneration and calcification, enhancement characteristics, lung condition, and the presence of invasion or metastasis.
Results
Clinical data
Among the 6 cases, 3 were boys and 3 were girls, from 2 years of age to 11 years of age, with a median age of 9.5 years (Table 1). Three cases presented with chest pain, including 1 case with cough and chest pain, 1 case with chest pain after exercise, and 1 case with recurrent fever. Moreover, 1 patient had progressive difficulty in walking; 1 patient presented with recurrent abdominal pain; and 1 case had fever without obvious cause.
Table 1
| Patient No./age, y/sex | Clinical manifestations | Location | Radiologic findings | Prognosis | |||
|---|---|---|---|---|---|---|---|
| General imaging findings | Bone destruction | Calcification | Hemorrhage | ||||
| 1/10/F | Chest pain | Posterior mediastinum | Moderate irregular mass, heterogeneous enhancement, extension to right erector spinae | Rib | None | None | Remission |
| 2/9/M | Cough with chest pain | Anterior, middle and posterior mediastinum | Large oval mass, heterogeneous enhancement, extension to anterior chest wall, lobes and hilum, right pleural effusion (small) pleural dissemination (severe) | None | None | None | Metastasis |
| 3/6/F | Progressive difficulty walking | Posterior mediastinum | Moderate fusiform mass, heterogeneous enhancement, extension to right erector spinae and epidural space, vertebral body invasion | Thoracic vertebra | None | None | Died |
| 4/11/M | Recurrent abdominal pain | Mid-posterior mediastinum | Large irregular mass, heterogeneous enhancement, right pleural effusion (massive), pleural dissemination (severe) | None | Cloud-like | None | Died |
| 5/2/F | Fever without obvious cause | Mid-posterior mediastinum | Large oval mass, heterogeneous enhancement, extension to left erector spinae and epidural space, left pleural effusion (small) | None | None | None | Recurrence and metastasis |
| 6/11/M | Chest pain, and recurrent fever | Mid-posterior mediastinum | Large round-like mass, heterogeneous enhancement, pleural effusion (small), pleural dissemination (severe) | None | Speckle-like | Mild | Died |
ES/PNET, Ewing sarcoma/primitive neuroectodermal tumors; No., number; Y, years; F, female; M, male.
Tumor resection was carried out in 5 cases, and biopsy alone was conducted in one case that then underwent resection 3 months after chemotherapy. A follow-up period ranging from 2 months to 5 years was observed for all 6 cases. One patient was monitored for a duration of 3 years post-surgery followed by chemotherapy, during which no instances of recurrence or metastasis were observed. Three patients died within 2 years after operation, and the shortest survival time was 2 months. One patient had mediastinal recurrence and abdominal metastasis 1 year after operation, and multiple intracranial metastases 7 months after the second operation. Another patient developed intrapulmonary metastasis 1 year after surgery, and the lesion was reduced after chemotherapy.
CT findings
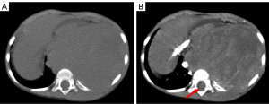
Two cases were found within the posterior mediastinal region, and both involved the erector spinae (Figure 1), with 1 tumor involving the spinal epidural. In 3 cases, the tumor was found within the mid-posterior mediastinal region. In one of these cases the tumor surrounded the esophagus and thoracic aorta; in the other case, the left lung was obviously disturbed by pushing and compression, and the heart and trachea were obviously displaced to the right, involving the erector spinae and spinal epidural (Figure 2). In 1 case, the tumor was found in the anterior, middle, and posterior mediastinal region, and it invaded the left hilum and left lung lobe. Here, the heart and trachea were significantly displaced to the left, and the left upper lobe was obviously disturbed by pushing pressure as in the other case. The maximum diameters for these cases were 3.8–16.0 cm, with an average of 10.0±5.0 cm.
The tumors were irregular ovals in 3 cases, irregular in 2 cases, and fusiform in 1 case, although in all 6 cases the tumor boundary was unclear. Varying degrees of necrosis and cystic degeneration were observed in all tumors, and calcification was observed in 2 tumors. One of these cases had cloud-like calcification (Figure 3) and the other case had speckle-like calcification. Hemorrhage within the tumor was seen in one case (Figure 4), and this tumor showed progressive and marked heterogeneous enhancement after contrast enhancement (Figures 2,4). Here, the adjacent structures were pushed or invaded to varying degrees. Patchy shadows were found in the lungs in 4 cases. Furthermore, adjacent ribs were invaded in one case (Figure 2), and the vertebral body was invaded in one case. Pleural effusion was seen in 4 cases, in a small amount in 3 of them, and in a large amount in the remaining one (Figure 3). In addition, one of these 4 was associated with pericardial effusion. Finally, 3 patients had extensive metastases to the pleura (Figure 3), and enlarged mediastinal lymph nodes were seen in 2 cases.
Pathological features
Three tumors were soft, and 3 were medium hardness. Microscopically, the small round and blue round tumor cells were arranged in nests or were diffuse, each of which had a large nuclear-to-cytoplasmic ratio. All of the nuclei were hyperchromatic as well, and the mitoses were conspicuous (Figure 4C). Immunohistochemical staining showed diffusely positive expression of CD99. In this case series, 3 cases (case 1, case 5, case 6) were diagnosed due to positive NKX2.2 expression, and another 3 cases (case 2, case 3, case 4) were confirmed by molecular genetics, demonstrating a specific chromosomal translocation (EWSR1-FLI1 fusion gene). The proliferation index of Ki-67 expression was 10–90%.
Discussion
The Ewing sarcoma family of tumors (ESFT) is highly malignant neoplasms composed of small round cells that arise from the neural crest with multi-lineage differentiation potential and include Ewing sarcoma of bone (ESB), extraskeletal Ewing sarcoma (EES), peripheral primitive neuroectodermal tumors (pPNET), and Askin tumor. Molecular genetic studies have shown that both Ewing sarcoma and pPNET originate from the embryonic cells of the neural crest and from the EWS/FLI1 chimeric gene due to the presence of a t (11;22) (q24;q12) ectopic chromosome. At present, ES/PNET has been used as the preferred term for soft tissue and in the World Health Organization classification of nervous system tumors, and the term Askin tumor has been discontinued (2,3).
Extraskeletal ES/PNET is highly aggressive and usually involves the soft tissue of the trunk and limbs, very rarely occurring primarily in the mediastinum. This type of tumor is most common in adolescents, with an average onset age of 20 years, among which males are slightly more prone to the tumors than females. Additionally, the average age of onset is 5 to 10 years higher than that of Ewing’s sarcoma (4). The clinical manifestations of ES/PNET exhibit nonspecific characteristics as well, and the early manifestations are painless masses that are not easy to discover. Late manifestations are progressive enlargement of these masses, accompanied by pain and invasion of adjacent tissues, and these lesions progress rapidly (5,6). The predominant clinical manifestations observed in patients with mediastinal ES/PNET include discomfort and pain localized to the anterior chest wall (7). The age of onset in the group of children in this study was younger than that reported in literature, and the ratio of male to female was 1:1, which may be related to the small number of pathological cases included. Three cases in our cohort experienced chest pain, 1 case experienced progressive walking difficulties, 1 case experienced recurrent abdominal pain, and 1 case experienced fever without obvious inducement. All patients’ symptoms were related to the site of invasion.
The diagnosis of ES/PNET depends on histopathology, immunohistochemical analysis, and genetic analysis. Classical extraskeletal ES/PNET is composed of small, round cells with a blue appearance that are distributed in sheets or lobes. In immunohistochemical staining, CD99 is diffusely positive in the membrane and friend leukemia integration-1 (FLI1) is positive in the nucleus. Genetic testing shows that the Ewing sarcoma breakpoint region 1 (EWSR1) gene is broken and rearranged to form EWSR1-ETS fusion gene in cases of extraskeletal ES/PNET (8), though a very small number of extraskeletal ES/PNET tumor cells are negative for CD99 (9). In this group of 6 children, the histopathology was composed of small round cells, and CD99 staining was diffusely positive, which was consistent with the literature. Ki-67 represents the degree of cell proliferation, and high levels of Ki-67 often indicate active proliferation of tumor cells and a high degree of malignancy (10). The Ki-67 proliferation index of the 6 cases of mediastinal ES/PNET in this group was greater than 10%, and one case was as high as 90%. The higher the Ki-67 proliferation index, the higher the malignancy of the tumor and the poorer prognosis (11).
Abboud et al. indicated that imaging is generally considered to play an important role in the diagnosis, staging, treatment, and detection of extraskeletal ES/PNET, but its imaging manifestations often lack specificity (5,12). Zhang et al. reported that ES/PNET can occur in any part of the mediastinum (7,13-15). Mediastinal ES/PNET is primarily manifested on CT as soft tissue density masses in different locations, with generally large volume and often invading surrounding tissues. This is mostly due to the high degree of malignancy of mediastinal ES/PNET, obvious tumor heterogeneity, and active proliferation of tumor cells. Among the 6 children in this group, 5 had irregular shapes, and 6 had unclear boundaries with surrounding tissues, which is considered to indicate a strong invasion of ES/PNET. The average longest diameter of the tumors was 10±5.04 cm, and the largest was 16 cm. Unfortunately, considering that the early clinical symptoms of these masses are not obvious, most children are already in the clinical progressive stage when they first visit the doctor.
Low-density necrotic cystic areas of varying degrees could be seen in the tumors of all cases in this study group, which is consistent with the study of Cui et al. and Bae et al. (16,17). The larger the tumor, the more obvious the necrotic cystic change. What’s more, due to the high degree of malignancy and fast growth of these tumors, the blood supply of tumor trophoblast vessels cannot meet the needs of the fast-growing tumor cells, resulting in secondary ischemia and necrotic cystic change. Therefore, the tendency for extraskeletal ES/PNET to be complicated with necrotic cystic change is one of its most common imaging signs. Zhang et al. (7) reported no hemorrhage in all 6 cases of mediastinal ES/PNET, and in the present group of cases, only 1 case was accompanied by intratumoral hemorrhage. Considering the invasiveness of the tumor tissue, malignant tumors often infiltrate and invade adjacent capillaries, which is more likely to lead to capillary rupture and hemorrhage. After enhanced scanning, all tumors we studied also showed progressive and obvious uneven enhancement, without enhancement of necrotic cystic change. All 6 cases in this group showed typical uneven light and moderate progressive enhancement as well. Lee et al. (18) believed that the characteristics of progressive enhancement were mainly caused by the sustained enhancement of the diaphragm structure composed of fibrovascular tissue within the tumor.
Calcification of extraskeletal ES/PNET is rare, and has only been observed in approximately 10% of tumors, mostly showing tiny or amorphous calcification (19). Similarly, one case in this group showed some spotty calcification and one showed flocculent calcification. Because of the strong invasiveness of these tumors, they often invade the surrounding tissues and cause bone destruction. Mediastinal ES/PNET frequently infiltrates the adjacent pleural and chest wall, resulting in the development of pleural effusion and bone destruction (19,20). In this study, 1 case exhibited a substantial volume of pleural effusion, and 3 cases presented with a minimal amount of pleural effusion. Furthermore, 3 cases were involved in the erector spinae, including 2 cases involving the spinal epidural, and 2 cases involving adjacent ribs. Pleural metastasis occurred in 3 cases at the initial diagnosis. After surgical treatment and chemotherapy, 1 case had multiple intracranial metastases, and 3 cases had no recurrence or metastasis. Overall, these tumors typically present as irregular masses of soft tissue density, often associated with necrosis and cystic degeneration. On enhanced imaging, they usually show uneven mild to moderate contrast enhancement. These tumors frequently invade adjacent structures such as the pleura and chest wall, leading to pleural effusion and bone destruction. Diagnosis of mediastinal ES/PNET still requires confirmation through pathological biopsy and immunohistochemical analysis. Imaging plays a critical role in delineating the tumor’s extent, identifying surrounding tissue invasion, and detecting metastasis. It provides valuable information for clinical localization, staging, and postoperative monitoring.
The differentiation of mediastinal ES/PNET in children from other highly aggressive mediastinal tumors is imperative, especially from neuroblastoma, lymphoma, and germ cell tumors. Postmediastinal ES/PNET is very similar to neuroblastoma on imaging, and has been misdiagnosed as neuroblastoma in the past. The peak age for neuroblastoma is less than 2 years old. These tumors are commonly necrotic, cystic, calcified, and hemorrhagic (21). Paraspinal masses can invade the nerve foramen and expand and extend into the spinal canal. ES/PNET is more common in adolescents, and calcification and hemorrhage are rare, however. Pediatric lymphoma primarily involves anterior mediastinal invasion, and when it is widespread, anterior, middle, and posterior mediastinal lymph nodes can be enlarged. On imaging, lymph node enlargement can be manifested as mild lymph node enlargement scattered in one area or even large fusion masses in multiple areas. Without treatment, the density of lymphoma is relatively uniform, necrotic cystic degeneration, calcification, and hemorrhage are rare, and enhanced scanning is slightly more uniformly enhanced (22). However, the density of ES/PNET is often uneven, and the enhanced scan is usually obviously unevenly enhanced. Mediastinal tumors of reproductive origin include teratoma, seminoma, choriocarcinoma, and endodermal sinus tumor or yolk sac tumor, all of which are malignant except for mature teratoma. It is difficult to distinguish malignant germ cell tumors and ES/PNET by CT alone; here CT needs to be combined with laboratory experiments. The elevation of tumor markers alpha fetoprotein (AFP) and human chorionic gonadotropin (HCG) facilitates differential diagnosis (23,24). The prognosis of ES/PNET is unfavorable, and although the combination of surgical resection, chemotherapy, and radiotherapy has enhanced the survival rate in patients with localized ES/PNET, these treatments remain ineffective in improving the survival rate among those with metastasis (5,25,26). Metastasis often occurs at the time of initial diagnosis (12,25). In our cohort 3 patients died within 2 years after operation, and the shortest postoperative survival time was 2 months. There are several limitations in this study. It is a single-center, retrospective analysis with a limited dataset from pediatric patients. As a retrospective study, it does not include an assessment of magnetic resonance imaging (MRI) findings. Mediastinal Ewing’s sarcoma exhibits certain imaging characteristics. Future research should focus on expanding the sample size and incorporating MRI analyses. Additionally, further investigation into the prognosis and clinical management of this tumor is needed.
In conclusion, mediastinal ES/PNET in children is a highly malignant tumor with a poor prognosis. Although the clinical symptoms are nonspecific, chest pain remains a key warning sign for ES/PNET. If a child presents suddenly with chest pain and exhibits imaging features suggestive of ES/PNET, the diagnosis should be considered, and prompt pathological confirmation is essential.
Acknowledgments
The authors thank AiMi Academic Services (www.aimieditor.com) for English language editing and review services.
Funding: This study was supported by the General Guidance Project of Guangzhou Health Science and Technology Project (No. 20231A011036).
Footnote
Conflicts of Interest: All authors have completed the ICMJE uniform disclosure form (available at https://qims.amegroups.com/article/view/10.21037/qims-24-963/coif). All authors report the funding from General Guidance Project of Guangzhou Health Science and Technology Project (No. 20231A011036). The authors have no other conflicts of interest to declare.
Ethical Statement: The authors are accountable for all aspects of the work in ensuring that questions related to the accuracy or integrity of any part of the work are appropriately investigated and resolved. This study was approved by the ethics committee of Guangzhou Women and Children’s Medical Center (No. 2024-302B00) and informed consent was waived due to the retrospective nature of the study. The study was conducted in accordance with the Declaration of Helsinki (as revised in 2013).
Open Access Statement: This is an Open Access article distributed in accordance with the Creative Commons Attribution-NonCommercial-NoDerivs 4.0 International License (CC BY-NC-ND 4.0), which permits the non-commercial replication and distribution of the article with the strict proviso that no changes or edits are made and the original work is properly cited (including links to both the formal publication through the relevant DOI and the license). See: https://creativecommons.org/licenses/by-nc-nd/4.0/.
References
- Livellara V, Bergamaschi L, Puma N, Chiaravalli S, Podda M, Casanova M, Gasparini P, Pecori E, Alessandro O, Nigro O, Sironi G, Gattuso G, Terenziani M, Spreafico F, Meazza C, Biassoni V, Schiavello E, Massimino M, Luksch R, Ferrari A. Extraosseous Ewing sarcoma in children and adolescents: A retrospective series from a referral pediatric oncology center. Pediatr Blood Cancer 2022;69:e29512. [Crossref] [PubMed]
- Louis DN, Perry A, Reifenberger G, von Deimling A, Figarella-Branger D, Cavenee WK, Ohgaki H, Wiestler OD, Kleihues P, Ellison DW. The 2016 World Health Organization Classification of Tumors of the Central Nervous System: a summary. Acta Neuropathol 2016;131:803-20. [Crossref] [PubMed]
- Chen Z, Jiao Y, Liu Z, Yang J, Sun J, Wang P. Extraskeletal Ewing's sarcoma: outcomes and CT features of endoceliac lesions. Transl Cancer Res 2021;10:4065-75. [Crossref] [PubMed]
- Wright A, Desai M, Bolan CW, Badawy M, Guccione J, Rao Korivi B, Pickhardt PJ, Mellnick VM, Lubner MG, Chen L, Elsayes KM. Extraskeletal Ewing Sarcoma from Head to Toe: Multimodality Imaging Review. Radiographics 2022;42:1145-60. [Crossref] [PubMed]
- Abboud A, Masrouha K, Saliba M, Haidar R, Saab R, Khoury N, Tawil A, Saghieh S. Extraskeletal Ewing sarcoma: Diagnosis, management and prognosis. Oncol Lett 2021;21:354. [Crossref] [PubMed]
- Balamuth NJ, Womer RB. Ewing's sarcoma. Lancet Oncol 2010;11:184-92. [Crossref] [PubMed]
- Zhang WD, Zhao LL, Huang XB, Cai PQ, Xu GX. Computed tomography imaging of anterior and middle mediastinal Ewing sarcoma/primitive neuroectodermal tumors. J Thorac Imaging 2010;25:168-72. [Crossref] [PubMed]
- Grünewald TGP, Cidre-Aranaz F, Surdez D, Tomazou EM, de Álava E, Kovar H, Sorensen PH, Delattre O, Dirksen U. Ewing sarcoma. Nat Rev Dis Primers 2018;4:5. [Crossref] [PubMed]
- Llombart-Bosch A, Machado I, Navarro S, Bertoni F, Bacchini P, Alberghini M, Karzeladze A, Savelov N, Petrov S, Alvarado-Cabrero I, Mihaila D, Terrier P, Lopez-Guerrero JA, Picci P. Histological heterogeneity of Ewing's sarcoma/PNET: an immunohistochemical analysis of 415 genetically confirmed cases with clinical support. Virchows Arch 2009;455:397-411. [Crossref] [PubMed]
- Xianwang L, Lei H, Hong L, Juan D, Shenglin L, Caiqiang X, Yan H, Junlin Z. Apparent Diffusion Coefficient to Evaluate Adult Intracranial Ependymomas: Relationship to Ki-67 Proliferation Index. J Neuroimaging 2021;31:132-6. [Crossref] [PubMed]
- Li X, Qi S, Zhu T, Jiang Y, Wang W. Primary mediastinum Ewing's sarcoma with pleural effusion: A case report and literature review. Open Life Sci 2023;18:20220669. [Crossref] [PubMed]
- Somarouthu BS, Shinagare AB, Rosenthal MH, Tirumani H, Hornick JL, Ramaiya NH, Tirumani SH. Multimodality imaging features, metastatic pattern and clinical outcome in adult extraskeletal Ewing sarcoma: experience in 26 patients. Br J Radiol 2014;87:20140123. [Crossref] [PubMed]
- Ata F, Safwan Aljafar M, Mohammed AM, Mirza S, Zafar AA. Primary Mediastinal Ewing sarcoma presenting as a massive lung lesion with a mediastinal shift. Clin Case Rep 2021;9:e04857. [Crossref] [PubMed]
- Koc U, Duman E. A case of primary mediastinal Ewing's sarcoma/ primitive neuroectodermal tumor presenting with chest pain. Turk J Emerg Med 2017;17:77-8. [Crossref] [PubMed]
- Reali A, Mortellaro G, Allis S, Trevisiol E, Anglesio SM, Bartoncini S, Ruo Redda MG. A case of primary mediastinal Ewing's sarcoma / primitive neuroectodermal tumor presenting with initial compression of superior vena cava. Ann Thorac Med 2013;8:121-3. [Crossref] [PubMed]
- Cui M, Zhai D, Liu Y, Zhou X, Wang T, Wang L, Cai W, Fan G, Ju S. Case report: Primary mediastinal Ewing's sarcoma presenting with chest tightness. Front Oncol 2022;12:1020339. [Crossref] [PubMed]
- Bae SH, Hwang JH, Da Nam B, Kim HJ, Kim KU, Kim DW, Choi IH. Multiple Ewing Sarcoma/Primitive Neuroectodermal Tumors in the Mediastinum: A Case Report and Literature Review. Medicine (Baltimore) 2016;95:e2725. [Crossref] [PubMed]
- Lee H, Cho JY, Kim SH, Jung DC, Kim JK, Choi HJ. Imaging findings of primitive neuroectodermal tumors of the kidney. J Comput Assist Tomogr 2009;33:882-6. [Crossref] [PubMed]
- Javery O, Krajewski K, O'Regan K, Kis B, Giardino A, Jagannathan J, Ramaiya NH. A to Z of extraskeletal Ewing sarcoma family of tumors in adults: imaging features of primary disease, metastatic patterns, and treatment responses. AJR Am J Roentgenol 2011;197:W1015-22. [Crossref] [PubMed]
- Murphey MD, Senchak LT, Mambalam PK, Logie CI, Klassen-Fischer MK, Kransdorf MJ. From the radiologic pathology archives: ewing sarcoma family of tumors: radiologic-pathologic correlation. Radiographics 2013;33:803-31. [Crossref] [PubMed]
- Ghosh A, Yekeler E, Teixeira SR, Dalal D, States L. Role of MRI radiomics for the prediction of MYCN amplification in neuroblastomas. Eur Radiol 2023;33:6726-35. [Crossref] [PubMed]
- Takahashi K, Al-Janabi NJ. Computed tomography and magnetic resonance imaging of mediastinal tumors. J Magn Reson Imaging 2010;32:1325-39. [Crossref] [PubMed]
- Nogales FF, Preda O, Nicolae A. Yolk sac tumours revisited. A review of their many faces and names. Histopathology 2012;60:1023-33. [Crossref] [PubMed]
- Vasiljevic A, Szathmari A, Champier J, Fèvre-Montange M, Jouvet A. Histopathology of pineal germ cell tumors. Neurochirurgie 2015;61:130-7. [Crossref] [PubMed]
- El Weshi A, Allam A, Ajarim D, Al Dayel F, Pant R, Bazarbashi S, Memon M. Extraskeletal Ewing's sarcoma family of tumours in adults: analysis of 57 patients from a single institution. Clin Oncol (R Coll Radiol) 2010;22:374-81. [Crossref] [PubMed]
- Maheshwari AV, Cheng EY. Ewing sarcoma family of tumors. J Am Acad Orthop Surg 2010;18:94-107. [Crossref] [PubMed]

