A case of “malignant” congenital heart disease with abnormal left coronary origin
Introduction
Clinically, the vast majority of coronary artery abnormalities have no obvious symptoms and are present at birth; such patients are often diagnosed by chance (1). In previous studies, they have been classified as “benign” or “potentially severe” based on the presence of abnormal symptoms or potentially serious sequelae. The former mainly includes the following: (I) separate origin of the left anterior descending and circumflex from the left sinus of Valsalva; (II) ectopic origin of the circumflex from the right sinus of Valsalva (RSV); (III) ectopic coronary origin from the posterior sinus of Valsalva; (IV) anomalous coronary origin from the ascending aorta; (V) absent circumflex; (VI) intercoronary communications; and (VII) small coronary artery fistulae. The latter mainly includes the following: (I) ectopic coronary artery originating from pulmonary artery (PA); (II) the ectopic coronary artery originating from the opposite aortic sinus; (III) single coronary artery; and (IV) large coronary fistula (2). This case describes an adolescent patient with anomalous origin of the left coronary artery (LCA) from the opposite sinus of Valsalva with an intramural aortic course (L-ACAOS-IM), where the “L” prefix represents the affected coronary artery as the LCA, ACAOS represents the “abnormal origin of the contralateral sinus coronary artery”, and the “IM” suffix represents the abnormal proximal course. The LCA typically arises from the right RSV, and the segment coursing towards the left side follows an intramural path within the aortic tunica media. This particular variation is sometimes referred to as the “interarterial”, “slit-like”, or “acute angle” variety, although such terminology may be considered improper in certain cases (3). The L-ACAOS-IM abnormal group represents the most severe form of LCA abnormality, rendering individuals susceptible to myocardial ischemia, arrhythmia, sudden cardiac death (SCD), and other associated complications (4,5). Therefore, a correct diagnosis is very important. This case is intended to provide valuable insights for clinical diagnosis and treatment.
Case presentation
After running, a 12-year-old adolescent male experienced sudden chest pain and tightness, followed by intensification of the degree of chest pain. He vomited pink foamy sputum, and was admitted to hospital for “acute heart failure”. The child had no hereditary heart disease in the family but had a history of syncope, which had not been adequately investigated or treated. Physical examination after admission: body temperature 36.7 ℃; pulse 100 beats per minute (BPM); respiration 37 BPM; blood pressure 106/59 mmHg (1 mmHg =0.133 kPa); arterial oxygen saturation (SaO2) 75%; both lungs with a large number of audible moist rales; heart rhythm, no audible heart murmur. High-sensitivity cardiac troponin (hs-TnT) level was slightly high (147.70 pg/mL) and myoglobin was significantly increased (882.6 pg/mL). Upon reexamination 8 days later, the level of hs-TnT was even significantly higher than before, reaching 761.90 pg/mL, but myoglobin had decreased significantly (<21 pg/mL).
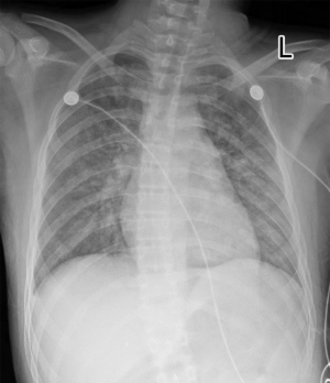
The results of electrocardiogram (ECG) on admission (Figure 1) showed the following: sinus rhythm; atrial premature beat; some lead ST-T segments change (ST segments I, II, III, AVF, and V2–V6 segments depressed, AVR elevated) (A, augmented; V, voltage; R, right arms; L, left arms; F, foot). The X-ray results (Figure 2) showed that the textures of both lungs were increased and blurred, and the heart shadow was slightly larger. No obvious abnormality was found in cardiac ultrasound in our hospital.
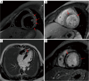
At 8 days after admission, serological examination and ECG indicated the possibility of myocardial injury or ischemia, so further cardiac magnetic resonance (CMR) plain scan + enhancement was performed, as shown in Figure 3. The main imaging findings were as follows: T2-weighted imaging (T2WI) lipid pressure sequence and T2 mapping indicated ventricular septum and anterior apex segment edema, first overperfusion of ventricular septum and anterior apex segment of myocardium in resting state, reduced subendocardial arc perfusion area, delayed scanning of ventricular septum and anterior apex segment of inferior endocardial high-line signal delayed enhancement, left heart function: left ventricular ejection fraction (LVEF) 54%, CO 4 L/min, end-diastolic volume (EDV) 112 mL, end-systolic volume (ESV) 51.8 mL. According to the characteristics of imaging findings, acute ischemic injury was confirmed.
At 10 days after admission, coronary computed tomography angiography (CCTA) was performed to further identify the cause of ischemia, as shown in Figures 4,5. Both left and right coronary arteries started from the wall of the right coronary sinus (RCS), and the LCA ran between the main artery and the pulmonary artery, and the lumen was significantly narrowed with a diameter of about 0.1 cm. Therefore, we considered the disease as an abnormal origin of the LCA, a “malignant” variant.
After admission, the child received treatment aimed at improving the overall cardiac function and appropriate intravenous nutritional support. For further diagnosis and treatment, the family requested that he be discharged from the hospital and transferred to Shanghai Children’s Medical Center. The color Doppler echocardiography combined with the CCTA results of our hospital indicated that the LCA started relatively small, seemed to open at the RCS, and part of it ran between the aorta and the PA, with an internal diameter of about 0.18 cm at the beginning and 0.26 cm at the distal end.
Coronary angiography (external hospital examination, 21 days after the onset of the disease, Figure 6) showed that the LCA appeared to open at the RCS with a high opening, and the initial part of the left coronary stenosis showed a beak-like change.
The patient underwent coronary artery repair and aortic valve (AV) plastic surgery at Shanghai Children’s Medical Center. the intraoperative findings were as follows: the LCA originated from the RCS, and after partial intramural walking, walked in the main PA space. The aorta was transected, the LCA was fully unroofed, and LCA button was obtained and transplanted into the left coronary sinus after sufficient ionization. The original coronary opening was repaired with a cardiac patch. The junction of left and right coronary valves was formed and re-fixed. Follow-up 2 months after the operation revealed that the discomfort symptoms such as chest pain were improved.
All procedures performed in this study were in accordance with the ethical standards of the institutional and/or national research committee(s) and with the Helsinki Declaration (as revised in 2013). Publication of this article and accompanying images was waived from consent of the patient’s legal guardian according to The First Affiliated Hospital of Nanchang University Ethics Committee.
Discussion
In this case, the child, 12 years old, had no family history of heart disease. From the emergency blood examination of the patient at the initial admission, the increase in the level of hs-TnT and the obvious increase of myoglobin suggested that the chest pain of the child may be cardiogenic and the cardiac muscle of the child may be damaged. The results of ECG and CMR also confirmed the conjecture, suggesting an ischemic change in the myocardium. Subsequently, the patient underwent a series of cardiac examinations, including cardiac color ultrasound, coronary CTA, and coronary angiography, which confirmed L-ACAOS-IM. CMR, as an important non-invasive means to evaluate cardiac structure and function, has good soft tissue resolution and can well display cardiac anatomy, motor function, myocardial blood perfusion, tissue characteristics, and so on. In this case, CMR examination revealed apical ventricular septum and anterior lateral wall myocardial edema, increased T2-mapping value, decreased subendocardial perfusion, and delayed reinforcement in apical segment, indicating the possibility of acute ischemic changes in the myocardium, which also facilitated further clinical examination and laid a foundation for the later diagnosis of L-ACAOS-IM. Although heart color ultrasound is characterized by economy, simplicity, and good repeatability, it is difficult to detect coronary artery openings due to the influence of factors, such as interference of lung gas in surrounding tissues, sound transmission conditions, projection angle, and operator experience differences, which may lead to missed diagnosis. Therefore, false negative results obtained by ultrasound may need to be supplemented/supported by other examinations. As a non-invasive examination method, CCTA can clearly display the collateral circulation between the left and right coronary arteries, reliably display and classify coronary artery abnormalities, and is the preferred imaging method for detecting known or suspected coronary artery abnormalities. Finally, in the CCTA examination, it was found that the opening of the LCA was narrow and walked between the main PA, thus the diagnosis of L-ACAOS-IM was confirmed. In addition, combined with the medical history of “sudden chest pain and chest tightness after running”, it can be seen that the child had a certain exercise history before the onset of the disease. It has been pointed out in literature that exercise induces myocardial ischemia, which can lead to sudden cardiac death in severe cases (4-6). The primary pathophysiologic mechanism of myocardial ischemia in this anomaly presumably consists of compromise of the coronary arterial lumen due to the acute angle at its origin, confounded by expansion of the aorta during exercise, simulating a flaplike closure of the orifice (7-9). Since L-ACAOS-IM is associated with the risk of myocardial ischemia and sudden cardiac death, the patients should be actively treated with surgery after only 1 myocardial ischemic attack. By “unroofing” (excising the common wall between the aorta and the abnormal coronary artery) and “creating a new orifice” (modifying the opening of the abnormal coronary artery at the aorta) (8), the problem of “mechanical stenosis” caused by the LCA walking in the gap between the main PA can be effectively alleviated, so as to relieve the uncomfortable symptoms such as myocardial ischemia in patients and reduce the risk of sudden cardiac death (9).
Conclusions
This case is a good reminder: when a child or young adult with no risk factors such as coronary heart disease experiences repeated chest pain without obvious cause, especially when most patients have a certain history of exercise before the onset of the disease, we should maintain a high sensitivity to the diagnosis of this rare coronary artery malformation (10). Early detection and surgical intervention can improve the prognosis and quality of life of such patients.
Acknowledgments
Funding: This study was supported by
Footnote
Conflicts of Interest: All authors have completed the ICMJE uniform disclosure form (available at https://qims.amegroups.com/article/view/10.21037/qims-24-1013/coif). The authors have no conflicts of interest to declare.
Ethical Statement: The authors are accountable for all aspects of the work in ensuring that questions related to the accuracy or integrity of any part of the work are appropriately investigated and resolved. All procedures performed in this study were in accordance with the ethical standards of the institutional and/or national research committee(s) and with the Helsinki Declaration (as revised in 2013). Publication of this article and accompanying images was waived from consent of the patient’s legal guardia according to The First Affiliated Hospital of Nanchang University Ethics Committee.
Open Access Statement: This is an Open Access article distributed in accordance with the Creative Commons Attribution-NonCommercial-NoDerivs 4.0 International License (CC BY-NC-ND 4.0), which permits the non-commercial replication and distribution of the article with the strict proviso that no changes or edits are made and the original work is properly cited (including links to both the formal publication through the relevant DOI and the license). See: https://creativecommons.org/licenses/by-nc-nd/4.0/.
References
- Dogan SM, Gursurer M, Aydin M, Gocer H, Cabuk M, Dursun A. Myocardial ischemia caused by a coronary anomaly left anterior descending coronary artery arising from right sinus of Valsalva. Int J Cardiol 2006;112:e57-9. [Crossref] [PubMed]
- Yamanaka O, Hobbs RE. Coronary artery anomalies in 126,595 patients undergoing coronary arteriography. Cathet Cardiovasc Diagn 1990;21:28-40. [Crossref] [PubMed]
- Angelini P, Uribe C. Anatomic spectrum of left coronary artery anomalies and associated mechanisms of coronary insufficiency. Catheter Cardiovasc Interv 2018;92:313-21. [Crossref] [PubMed]
- Basso C, Maron BJ, Corrado D, et al. Clinical profile of congenital coronary artery anomalies with origin from the wrong aortic sinus leading to sudden death in young competitive athletes. J Am Coll Cardiol 2000;35:1493-501. [Crossref] [PubMed]
- Brothers JA, McBride MG, Seliem MA, Marino BS, Tomlinson RS, Pampaloni MH, Gaynor JW, Spray TL, Paridon SM. Evaluation of myocardial ischemia after surgical repair of anomalous aortic origin of a coronary artery in a series of pediatric patients. J Am Coll Cardiol 2007;50:2078-82. [Crossref] [PubMed]
- Rigatelli G, Zuin M, Roncon L. Unexplained recurrent syncopes in a young noncompetitive runner. J Cardiovasc Med (Hagerstown) 2020;21:274-5. [Crossref] [PubMed]
- Angelini P. Novel imaging of coronary artery anomalies to assess their prevalence, the causes of clinical symptoms, and the risk of sudden cardiac death. Circ Cardiovasc Imaging 2014;7:747-54. [Crossref] [PubMed]
- Van Son JA, Haas GS. Anomalous origin of left main coronary artery from right sinus of Valsalva: modified surgical treatment to avoid neo-coronary ostial stenosis. Eur J Cardiothorac Surg 1996;10:467-9. [Crossref] [PubMed]
- Bigler MR, Kadner A, Räber L, Ashraf A, Windecker S, Siepe M, Padalino MA, Gräni C. Therapeutic Management of Anomalous Coronary Arteries Originating From the Opposite Sinus of Valsalva: Current Evidence, Proposed Approach, and the Unknowing. J Am Heart Assoc 2022;11:e027098. [Crossref] [PubMed]
- De Rosa G, Piastra M, Pardeo M, Caresta E, Capelli A. Exercise-unrelated sudden death as the first event of anomalous origin of the left coronary artery from the right aortic sinus. J Emerg Med 2005;29:437-41. [Crossref] [PubMed]


