Integrated multiple interventional radiologic procedures for diagnosis and treatment of unresectable breast cancer: a case description
Introduction
Breast cancer (BC) poses a significant health risk, with the highest incidence among female malignant tumors (1). Advancements in imaging techniques and the widespread use of BC screening have enabled the detection of smaller and earlier-stage BCs over the past few decades. Early-stage BC is rarely accompanied by obvious clinical symptoms. Gradually, the concept of minimally invasive treatment is being integrated into BC treatment (2). Less aggressive treatment protocols would be preferred by elderly patients with comorbidities which make surgery challenging or life-threatening (3). Thus, minimally invasive ablation techniques which destroy lesions by physical energies have been introduced, such as radiofrequency ablation (RFA), laser, microwave ablation (MWA), high-intensity focused ultrasound ablation (HIFU), and cryoablation (CA). These methods result in reduced scarring and pain, decreased costs, shorter hospital stays, better preservation of breast tissue, enhanced appearance, and quicker recovery times, compared with that of breast-conserving therapy (4). Among these techniques, CA may be favorable due to superior patient comfort, lack of need for sedation, the ability to monitor the ablation zone, and wide availability of devices (3). Thai et al. reported that CA was a safe and well-tolerated procedure for the ablation of early-stage BC, but it should be restricted to patients with low-grade unifocal invasive ductal carcinoma tumors, hormone receptor (HR)-positive, and measuring ≤1.5 cm in size (5). Additionally, Littrup et al. pointed out CA can serve as a final treatment option for large, advanced-stage diseases in elderly patients with nonresectable lesions or those who decline surgery (6). Since around 2000, CA has been reported in treating BC. Regarding overall ipsilateral breast tumor recurrence, there have been no significant differences reported between CA and surgical resection within 2 years (7). Although most studies have focused on tumors smaller than 1 or 2 cm, some have treated larger tumors exceeding 2 cm in diameter (8). Intra-arterial chemotherapy infusion has also been recommended in BC treatment, but with the purpose of local control rather than radical treatment. For those reasons, the protocol is often recommended to advanced stage patients who have received several courses of chemotherapy and experienced intolerable side effects (2). This case report introduces a female BC patient treated by minimally invasive interventional therapy.
Case presentation
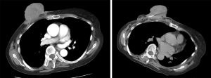
A 58-year-old woman presented with a mass in the upper outer quadrant of her right breast that she had been aware of for over 3 years, along with enlarged axillary lymph nodes, but had not received treatment. She was admitted to Beijing Hospital because of the progressive enlargement of the mass, with ulceration of the skin surface, bleeding, oozing, pain, and odor. Outpatient positron emission tomography/computed tomography (PET/CT) indicated a 7.9 cm × 4.6 cm × 7.8 cm mass with increased radioactivity uptake in the right breast, maximum standardized uptake value (SUVmax) 14.8, suggesting BC. Multiple enlarged lymph nodes in the bilateral axillae and right supraclavicular fossa with increased radioactivity uptake, SUVmax 8.6, the largest measuring approximately 1.5 cm × 0.7 cm, were considered homologous to the breast. She was ranked as T3N3M0 stage III based on whole-body PET/CT imaging (Figure 1).
To further clarify the pathological diagnosis, the patient was admitted to our treatment center and underwent a CT-guided percutaneous puncture biopsy (Figure 2). Pathological results: invasive papillary carcinoma of the right breast, histological score: 3+2+1=6, moderately differentiated. Immunohistochemistry: estrogen receptor (ER, 90%+), progesterone receptor (PR, 0), human epidermal growth factor receptor 2 (HER-2, 0), P53 (wild type). The percentage of programmed cell death ligand 1 (PD-L1)-positive tumor cells: <1%.
The patient declined surgery and systemic chemotherapy. She underwent CT-guided percutaneous co-ablation (Co-A, distinguished with CA) in our operating room (Figure 3). The Co-A procedure was performed by using a nitrogen-ethanol-based HJY CHS 800001 Co-ablation system (Hygea Medical Technology Co., Beijing, China). Liquid nitrogen was delivered into the probe to decrease the probe temperature to as low as −196 ℃ as it transitioned from a liquid to a gas phase. In the active thawing phase, ethanol was circulated in the tip of the needle, increasing the probe temperature to as high as 80 ℃ upon transition from a gas to a liquid phase in the probe. The flow of the nitrogen and ethanol was controlled by a computer-modulated device within the unit. In this study, we used a type of 14 G co-probe that allows an iceball formation of (51.2±2.3) mm × (39.3±1.7) mm at −196 ℃ in vitro. The co-probe was 1.98 mm in outer diameter and 140 mm in length. We ablated 4 sites using 2 14 G co-probes. We performed 4 freeze-thaw cycles to fully destroy the base as well as the body of the tumor, with the specific protocols of 5 minutes of freezing/3 minutes of thawing (2 cycles), and 10 minutes of freezing/3 minutes of thawing (2 cycles). We carried out 2 freeze-thaw cycles consecutively. After Co-A of one site was completed, the co-probe was adjusted to ablate the second site. During the Co-A process, we did not implement any skin protection measures because our goal was to achieve complete necrosis at the base of the tumor and then detachment through Co-A. Repeat plain CT after the Co-A showed a significant decrease in the mass density. The procedure was performed under local anesthesia and the patient cooperated well. It also acted as an analgesic, which was a significant advantage of Co-A over heat-based ablations. Subsequently, the patient underwent 3 cycles of catheter-preserving local infusion chemotherapy of the right subclavian artery, with the following regimen: 40 mg piroxicam and 400 mg cyclophosphamide (Figures 4,5).
The total follow-up period for this patient was 4 months. She experienced oozing and a small amount of bleeding for around 1 month after Co-A, and the patient attended the wound care clinic regularly. Gradually, the tumor body was necrotic and detached (Figure 6). By 1 month after Co-A, there was no longer any bleeding, abscess, or exudate. At 4 months after Co-A, she was evaluated for efficacy through contrast-enhanced CT examination, suggesting that the tumor body had detached and the range of the mass was 8 cm × 2 cm. In the arterial phase, the CT value of the lesion area was 32–62 Hounsfield units (HU) (Figure 7). Her efficacy assessment was partial response. Nevertheless, it is worth noting that we performed an efficacy assessment based only on imaging data and did not perform a pathological review after the integrated treatments.
All procedures performed in this study were in accordance with the ethical standards of the Medical Ethics Committee of Beijing Hospital (No. 2024BJYYEC-KY028-01) and the Helsinki Declaration (as revised in 2013). Written informed consent was provided by the patient for publication of this article and accompanying images. A copy of the written consent is available for review by the editorial office of this journal.
Discussion
Firstly, CA is preferentially applied to patients with stage T1–T2 BC and multifocal tumors that can be completely ablated in a single operation (7). Secondly, the patient’s age, general health, and comorbidities should also be considered. Most importantly, patient characteristics and preferences also need to be considered when making treatment decisions (9,10). CA is primarily recommended for treating early-stage BC. The clinical condition is that it tends to be applied in specific, usually “non-ideal” cases and in combination with other protocols to improve prognosis.
Factors such as tumor diameter, subtype, and characteristics influence the likelihood of local recurrence. Smaller tumors and those with favorable histological features, such as HR-positive status and no lymphovascular invasion, typically have a lower rate of local recurrence (9). At the time of diagnosis, the patient had an 8 cm lesion with multiple lymph node metastases. The case was an intermediate-advanced BC patient who strongly refused surgery as well as systemic therapy. We established a comprehensive minimally invasive interventional treatment protocol of Co-A sequential arterial infusion chemotherapy. The overall stability of the disease was achieved after the combination of treatments. The effectiveness and feasibility of the protocol were confirmed.
Using liquid nitrogen and anhydrous ethanol as the medium, Co-A combines ultra-low-temperature freezing (−196 ℃) and high-intensity heating (+80 ℃) to generate significant thermal stress through a temperature difference of nearly 300 ℃, which effectively kills tumor tissue. The technique employs the principle of cryo-necrosis, causing cellular destruction through cycles of freezing and thawing. We used 2 co-probes and performed 4 freeze-thaw cycles to fully destroy the base as well as the body of the tumor. The patient subsequently received transcatheter arterial infusion chemotherapy every 3 weeks with the following regimen: piroxicam 40 mg plus cyclophosphamide 400 mg. Arterial infusion chemotherapy offers several advantages. It involves regional chemotherapy, using a lower total amount of drugs compared to systemic chemotherapy. This approach results in a higher concentration of drugs in the tumor, leading to better efficacy than intravenous chemotherapy, with relatively mild side effects. Theoretically, arterial infusion chemotherapy can be applied to solid tumors of all systems with well-defined arterial supply. Arterial infusion chemotherapy is commonly used as adjuvant therapy after resection for early-stage hepatocellular carcinoma, for intermediate-advanced stage hepatocellular carcinoma with vascular invasion or vascular thrombosis, and for palliative treatment of secondary liver malignancies (11-14). Additionally, arterial infusion chemotherapy has also been reported for head and neck tumors, as well as non-small cell lung cancer (15,16).
The treatment concept for this patient was to inactivate the main body of breast tumor tissue by Co-A, followed by arterial infusion chemotherapy to control the residual lesions. Efficacy was assessed as a partial response at 4 months after the initial treatment, and her long-term efficacy continues to be followed up.
Interventional oncology is a novel and emerging treatment choice for the management of selected BC cases. The treatment applied in this case was a valiant attempt that achieved promising short-term efficacy. However, randomized clinical trials are warranted to compare Co-A sequential arterial infusion chemotherapy with standard methods and a paucity of convincing evidence for these techniques. However, it might be just 1 step of a multidisciplinary approach in clinical decision-making. Prospective studies regarding long-term prognosis on disease control and aesthetic outcomes are necessary.
Conclusions
The comprehensive interventional treatment protocols of sequential arterial infusion chemotherapy with Co-A provide a palliative treatment option for intermediate-advanced BC. They have demonstrated reliable short-term efficacy, providing a new therapeutic concept for the clinical management of BC.
Acknowledgments
Funding: This study was supported by
Footnote
Conflicts of Interest: All authors have completed the ICMJE uniform disclosure form (available at https://qims.amegroups.com/article/view/10.21037/qims-24-1532/coif). X.G.L. reports that this work was funded by the National Key R&D Program of China (Nos. 2023YFC2414000 and 2023YFC2414004). The other authors have no conflicts of interest to declare.
Ethical Statement: The authors are accountable for all aspects of the work in ensuring that questions related to the accuracy or integrity of any part of the work are appropriately investigated and resolved. All procedures performed in this study were in accordance with the ethical standards of the Medical Ethics Committee of Beijing Hospital (No. 2024BJYYEC-KY028-01) and the Helsinki Declaration (as revised in 2013). Written informed consent was provided by the patient for publication of this article and accompanying images. A copy of the written consent is available for review by the editorial office of this journal.
Open Access Statement: This is an Open Access article distributed in accordance with the Creative Commons Attribution-NonCommercial-NoDerivs 4.0 International License (CC BY-NC-ND 4.0), which permits the non-commercial replication and distribution of the article with the strict proviso that no changes or edits are made and the original work is properly cited (including links to both the formal publication through the relevant DOI and the license). See: https://creativecommons.org/licenses/by-nc-nd/4.0/.
References
- Gradishar WJ, Moran MS, Abraham J, Abramson V, Aft R, Agnese D, et al. NCCN Guidelines® Insights: Breast Cancer, Version 4.2023. J Natl Compr Canc Netw 2023;21:594-608. [Crossref] [PubMed]
- Orsi F. Interventional oncology in breast cancer. J Med Imaging Radiat Oncol 2023;67:876-85. [Crossref] [PubMed]
- Deipolyi AR, Ward RC, Riaz A, et al. Locoregional Therapies for Primary and Metastatic Breast Cancer: AJR Expert Panel Narrative Review. AJR Am J Roentgenol 2024;222:e2329454. [Crossref] [PubMed]
- Prasad R, Peng B, Mendes BB, et al. Biomimetic bright optotheranostics for metastasis monitoring and multimodal image-guided breast cancer therapeutics. J Control Release 2024;367:300-15. [Crossref] [PubMed]
- Thai JN, Sevrukov AB, Ward RC, et al. Cryoablation Therapy for Early-Stage Breast Cancer: Evidence and Rationale. J Breast Imaging 2023;5:646-57. [Crossref] [PubMed]
- Littrup PJ, Jallad B, Chandiwala-Mody P, et al. Cryotherapy for breast cancer: a feasibility study without excision. J Vasc Interv Radiol 2009;20:1329-41. [Crossref] [PubMed]
- Fine RE, Gilmore RC, Dietz JR, et al. Cryoablation Without Excision for Low-Risk Early-Stage Breast Cancer: 3-Year Interim Analysis of Ipsilateral Breast Tumor Recurrence in the ICE3 Trial. Ann Surg Oncol 2021;28:5525-34. [Crossref] [PubMed]
- Ito T, Oura S, Nagamine S, et al. Radiofrequency Ablation of Breast Cancer: A Retrospective Study. Clin Breast Cancer 2018;18:e495-500. [Crossref] [PubMed]
- Carriero S, Lanza C, Pellegrino G, et al. Ablative Therapies for Breast Cancer: State of Art. Technol Cancer Res Treat 2023;22:15330338231157193. [Crossref] [PubMed]
- Pigg N, Ward RC. Cryoablation for the Treatment of Breast Cancer: A Review of the Current Landscape and Future Possibilities. Acad Radiol 2023;30:3086-100. [Crossref] [PubMed]
- Wang X, Hu J, Cao G, et al. Phase II Study of Hepatic Arterial Infusion Chemotherapy with Oxaliplatin and 5-Fluorouracil for Advanced Perihilar Cholangiocarcinoma. Radiology 2017;283:580-9. [Crossref] [PubMed]
- Hu J, Bao Q, Cao G, et al. Hepatic Arterial Infusion Chemotherapy Using Oxaliplatin Plus 5-Fluorouracil Versus Transarterial Chemoembolization/Embolization for the Treatment of Advanced Hepatocellular Carcinoma with Major Portal Vein Tumor Thrombosis. Cardiovasc Intervent Radiol 2020;43:996-1005. [Crossref] [PubMed]
- He M, Li Q, Zou R, et al. Sorafenib Plus Hepatic Arterial Infusion of Oxaliplatin, Fluorouracil, and Leucovorin vs Sorafenib Alone for Hepatocellular Carcinoma With Portal Vein Invasion: A Randomized Clinical Trial. JAMA Oncol 2019;5:953-60. [Crossref] [PubMed]
- Lyu N, Wang X, Li JB, et al. Arterial Chemotherapy of Oxaliplatin Plus Fluorouracil Versus Sorafenib in Advanced Hepatocellular Carcinoma: A Biomolecular Exploratory, Randomized, Phase III Trial (FOHAIC-1). J Clin Oncol 2022;40:468-80. [Crossref] [PubMed]
- Xu S, Li YM, Bie ZX, et al. Drug-eluting beads bronchial arterial chemoembolization/bronchial arterial infusion chemotherapy with and without PD-1 blockade for advanced non-small cell lung cancer: a comparative single-center cohort study. Quant Imaging Med Surg 2023;13:6241-56. [Crossref] [PubMed]
- Nomura M, Fuwa N, Toyomasu Y, et al. A comparison of two types of microcatheters used for a novel external carotid arterial sheath system for intra-arterial chemotherapy of head and neck cancer. Jpn J Radiol 2018;36:622-8. [Crossref] [PubMed]

