Lung cancer metastasis to artificial vascular graft post-surgery for abdominal aortic infection with pseudoaneurysm: a case description and literature analysis
Introduction
Lung cancer is a common malignant tumour with the highest incidence and mortality rates in China (1). Approximately 57% of patients diagnosed with non-small cell lung cancer experience distant metastasis (2). Recently, neutrophils have been highlighted to play a significant role in tumour metastasis. Here, we report a case of metastatic aggregation around the artificial vascular graft in a patient with lung cancer who underwent artificial graft replacement surgery due to a mycotic aortic infection with pseudoaneurysm formation. To date, no similar cases have been reported in the literature.
Case presentation
A 60-year-old man presented with a history of poorly differentiated adenocarcinoma in the left lung, diagnosed through biopsy via fibreoptic bronchoscopy (Figure 1). During his hospitalisation, contrast-enhanced brain magnetic resonance imaging (MRI) and abdominal computed tomography (CT) scans did not reveal any metastatic lesions. However, multiple calcified plaques were found in the abdominal aorta without significant narrowing of the lumen. The tumour was staged as cT2aN2M0, stage IIIA, central type. After the implantation of an infusion port, neoadjuvant chemotherapy was performed, and the patient received pabolizumab 200 mg combined with pemetrexed and platinum chemotherapy.
Four months later, while doing laundry, the patient inadvertently moistened the infusion port, resulting in local redness, swelling, fever, and pain lasting three days. The highest recorded body temperature exceeded 39°. After self-administering antipyretic medication, the fever subsided. Ten days later, the patient experienced lower back and abdominal pain. A contrast-enhanced CT scan of the chest and abdominal was performed, revealing a reduction in the primary lung lesion and mediastinal lymph nodes compared to previous imaging (Figure 1). The images showed disruption of the abdominal aortic wall and a saccular pseudoaneurysm with rim enhancement of periaortic thickened soft tissue, indicating a mycotic abdominal aneurysm (Figure 2). Notably, Staphylococcus aureus was detected in blood cultures. Therefore, the patient was hospitalised and underwent open abdominal aortic artificial vessel replacement surgery. Postoperative pathology demonstrated the absence of normal aortic wall structure, with fibrous inflammatory exudate and abscess lesions (Figure 3). The postoperative recovery was good, and the patient was subsequently discharged. No lung cancer-related treatment was provided following the artificial vascular graft replacement surgery.
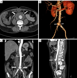
Three months later, the patient experienced vomiting accompanied by dizziness and unstable walking. A brain MRI revealed multiple intracranial metastases, while an enhanced abdominal CT scan identified multiple masses around the artificial graft in the retroperitoneal abdominal aorta, in the left gluteal muscle gap, and adjacent to the right iliac artery. Pathological findings from the puncture of lesions in the left gluteal muscle space suggested poorly differentiated adenocarcinoma (Figure 4). It was considered that metastasis was concentrated around the artificial graft in the abdominal aorta, with biopsy pathology confirming poorly differentiated adenocarcinoma of lung origin. The patient did not receive any subsequent tumor-related treatment.
All procedures performed in this study were in accordance with the ethical standards of the institutional and/or national research committee(s) and with the Helsinki Declaration (as revised in 2013). Written informed consent was obtained from the patient for publication of this article and accompanying images. A copy of the written consent is available for review by the editorial office of this journal.
Discussion
Lung cancer is the malignant tumour with the highest incidence and mortality rates in China (1). Approximately 57% of patients diagnosed with non-small cell lung cancer experience distant metastasis (2). Lung cancer has the propensity to metastasise to various anatomical sites, with the pleura, contralateral lung, liver, adrenal glands, bones, and brain being the most frequently affected locations. Despite the high material safety offered by vascular grafts, complications including para-anastomotic pseudoaneurysms (with an incidence of 0.2% to 15%), graft clotting, and graft infections (occurring in 0.5% to 6% of cases) have been documented (3,4). In this case, the patient with lung cancer underwent artificial graft replacement surgery due to an aortic infection. Three months later, there was metastatic aggregation around the artificial graft. To date, no similar cases have been reported in the literature.
Tumour metastasis is the primary cause of death among patients afflicted with solid tumours (5). The cascade of tumour metastasis involves a series of cellular biological events, starting with the local invasion by primary tumour cells, invasion of blood vessels through endocytosis, survival in the peripheral circulation, adhesion of tumour cells to the blood vessel wall, penetration into the metastatic target organ via exosmosis, and culminating in proliferation to generate metastatic foci within the target organ (4).
Circulating tumour cells (CTCs) represent metastatic precursors in several types of cancer (6,7). Neutrophils, the predominant circulating white blood cells in blood vessels, work as primary responders to infections and injuries. Recent studies have highlighted their significant role in tumour metastasis (8-10). The interaction between neutrophils and CTC emerges as a pivotal link in the process of metastasis (9). In this regard, Szczerba et al. found that neutrophils can bind with CTC early in the circulatory phase, promoting the formation of cell clusters that exhibit higher proliferative ability compared to single CTC or CTC clusters (10). This phenomenon may explain the rapid proliferation of CTCs after invasion and dissemination of target organs (10). Thus, we speculate that the distribution characteristics of metastatic tumours in this case are related to aortic infection, alongside secondary inflammatory reactions in the surgical area following artificial blood vessel replacement. These factors potentially promote the determination of metastatic lesions. Given the scarcity of documented clinical cases, our study adds valuable insights to the current literature, offering guidance to clinicians encountering similar scenarios.
Acknowledgments
Funding: None.
Footnote
Conflicts of Interest: All authors have completed the ICMJE uniform disclosure form (available at https://qims.amegroups.com/article/view/10.21037/qims-24-1391/coif). Z.S. serves as an unpaid Associate Editor of Quantitative Imaging in Medicine and Surgery. The other authors have no conflicts of interest to declare.
Ethical Statement:
Open Access Statement: This is an Open Access article distributed in accordance with the Creative Commons Attribution-NonCommercial-NoDerivs 4.0 International License (CC BY-NC-ND 4.0), which permits the non-commercial replication and distribution of the article with the strict proviso that no changes or edits are made and the original work is properly cited (including links to both the formal publication through the relevant DOI and the license). See: https://creativecommons.org/licenses/by-nc-nd/4.0/.
References
- Chen W, Zheng R, Baade PD, Zhang S, Zeng H, Bray F, Jemal A, Yu XQ, He J. Cancer statistics in China, 2015. CA Cancer J Clin 2016;66:115-32. [Crossref] [PubMed]
- Brady JJ, Chuang CH, Greenside PG, Rogers ZN, Murray CW, Caswell DR, Hartmann U, Connolly AJ, Sweet-Cordero EA, Kundaje A, Winslow MM. An Arntl2-Driven Secretome Enables Lung Adenocarcinoma Metastatic Self-Sufficiency. Cancer Cell 2016;29:697-710. [Crossref] [PubMed]
- Stollwerck PL, Kozlowski B, Sandmann W, Grabitz K, Pfeiffer T. Long-term dilatation of polyester and expanded polytetrafluoroethylene tube grafts after open repair of infrarenal abdominal aortic aneurysms. J Vasc Surg 2011;53:1506-13. [Crossref] [PubMed]
- Li HL, Chan YC, Cheng SW. Current Evidence on Management of Aortic Stent-graft Infection: A Systematic Review and Meta-Analysis. Ann Vasc Surg 2018;51:306-13. [Crossref] [PubMed]
- Gerstberger S, Jiang Q, Ganesh K. Metastasis. Cell 2023;186:1564-79. [Crossref] [PubMed]
- Piñeiro R, Martínez-Pena I, López-López R. Relevance of CTC Clusters in Breast Cancer Metastasis. Adv Exp Med Biol 2020;1220:93-115. [Crossref] [PubMed]
- Perumal V, Corica T, Dharmarajan AM, Sun Z, Dhaliwal SS, Dass CR, Dass J. Circulating Tumour Cells (CTC), Head and Neck Cancer and Radiotherapy; Future Perspectives. Cancers (Basel) 2019;11:367. [Crossref] [PubMed]
- Chen Q, Zhang L, Li X, Zhuo W. Neutrophil Extracellular Traps in Tumor Metastasis: Pathological Functions and Clinical Applications. Cancers (Basel) 2021;13:2832. [Crossref] [PubMed]
- Pereira-Veiga T, Schneegans S, Pantel K, Wikman H. Circulating tumor cell-blood cell crosstalk: Biology and clinical relevance. Cell Rep 2022;40:111298. [Crossref] [PubMed]
- Szczerba BM, Castro-Giner F, Vetter M, Krol I, Gkountela S, Landin J, Scheidmann MC, Donato C, Scherrer R, Singer J, Beisel C, Kurzeder C, Heinzelmann-Schwarz V, Rochlitz C, Weber WP, Beerenwinkel N, Aceto N. Neutrophils escort circulating tumour cells to enable cell cycle progression. Nature 2019;566:553-7. [Crossref] [PubMed]

