Trousseau’s syndrome caused by hepatocellular carcinoma: a case description and literature analysis
Introduction
Trousseau’s syndrome refers to a series of thromboembolic syndromes, such as chronic intravascular coagulation, multiple venous thrombosis, arterial thrombosis, and non-bacterial thromboembolic endocarditis, caused by hypercoagulable states related to malignant tumors (1). It was first reported by French doctor Trousseau in 1865 that gastric cancer patients were prone to forming deep vein thrombosis in the lower limbs (2). In this article, we analyze the diagnosis and treatment process of a patient with Trousseau’s syndrome caused by hepatocellular carcinoma and review the relevant literature to enhance clinicians’ understanding of the disease, facilitate early recognition, timely diagnosis, and treatment, and improve patient prognosis.
Case presentation
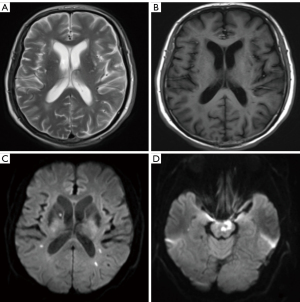
A 72-year-old male patient was admitted to the hospital due to nausea and vomiting, which had developed nausea and vomiting 8 days ago, leading to an acute onset of the disease. He had a history of hepatitis C for more than 10 years and diabetes for more than 20 years. After admission, abdominal contrast-enhanced computed tomography (CT) showed the S4 segment of the left lobe of the liver had a round-like nodule with rich blood supply. It was enhanced by “fast in and fast out”, suggestive of primary hepatocellular carcinoma (Figure 1), and head magnetic resonance imaging (MRI) indicated multiple acute cerebral infarctions in both cerebral hemispheres and the brain stem (Figure 2). Magnetic resonance angiography (MRA) of cerebral vessels showed no obvious stenosis of intracranial vessels. He was then transferred to the department of neurology for further treatment. Special physical examination revealed the following: clear, mild dysarthria, shallow right nasolabial groove, showing left deviation of tooth and mouth angle, right upper limb muscle strength of 4 levels, other limb muscle strength of 5 levels, and positive bilateral pathological signs. The results of hemogram were as follows: D-dimer 8,800.00 ng/mL, fibrinogen 1.52 g/L, thrombin time 19.70 seconds, hepatitis C antibody 68.92 IU/L. After admission, an electrocardiogram (ECG) showed a sinus heart rate. A small amount of mitral regurgitation was detected by echocardiography, and the left ventricular systolic function was normal. Heparin, circulation improvement, and neurotrophic and symptomatic support treatment were given to the patient; his cough symptoms improved, and his walking and speech were steady and clear. After 15 days, another head MRI was performed, and it was found that the high signal intensity of diffusion-weighted imaging (DWI) in bilateral cerebral hemispheres had disappeared, and the high signal range of brain stem DWI had decreased (Figure 3). After anticoagulant therapy, another coagulogram was performed, which revealed the following: D-dimer 187.00 ng/mL, fibrinogen 3.04 g/L, thrombin time 16.50 seconds. At 20 days after the patient’s condition had become stable, the liver tumor was treated by laparoscopic ultrasound-guided radiofrequency ablation. A post-surgical coagulogram revealed the following: D-dimer 1,081.00 ng/mL, fibrinogen 2.57 g/L, thrombin time 13.40 seconds. All procedures performed in this study were in accordance with the ethical standards of the institutional and/or national research committee(s) and with the Helsinki Declaration (as revised in 2013). Written informed consent was obtained from the patient for publication of this article and accompanying images. A copy of the written consent is available for review by the editorial office of this journal.
Discussion
Trousseau, a French doctor, revealed for the first time in 1865 that gastric cancer patients were predisposed to lower limb deep vein thrombosis (2). As a result, the original phrase Trousseau’s syndrome refers to phlebitis and thrombosis that occur before or after cancer diagnosis, emphasizing that hidden malignancy can have a significant impact on the blood coagulation system. Sack et al. published their findings from 182 individuals with malignant tumor-related chronic disseminated intravascular coagulation in 1977. Although 113 patients (62%) had at least 1 incidence of superficial thrombophlebitis, the authors observed other clinical characteristics such as hemorrhage (41%), arterial embolism (25%), and non-bacterial thromboendocarditis (23%), which are compatible with a state of active systemic coagulation. Simultaneously, they detected a number of test abnormalities, including microangiopathic hemolytic anemia, thrombocytopenia, and fibrinogen consumption (1). Drawing from these conclusions, the term Trousseau’s syndrome was broadened to refer to a more complex paraneoplastic condition. Trousseau’s syndrome is currently characterized as a group of thromboembolic syndromes (3) produced by persistent intravascular coagulation, multiple venous thrombosis, arterial thrombosis, and non-bacterial thrombotic endocarditis in the presence of malignant tumors. A total of 416 patients with successive malignant tumors were included in a Chinese study in 2020 (4). The most prevalent malignancies in individuals with Trousseau’s syndrome were discovered to be lung cancer, esophageal cancer, gastric cancer, breast cancer, colon cancer, intracranial tumor, and pancreatic cancer. Lung cancer was the most common tumor associated with Trousseau’s syndrome. In addition, a small number of other studies have found that borderline neoplasms such as intra-neurological carcinoma of the colon can also cause Trousseau’s syndrome (5-9). Only individual cases of Trousseau’s syndrome associated with hepatocellular carcinoma have been reported. The incidence of Trousseau’s syndrome is low, and the reported data in different studies are biased.
The pathogenesis of the disease is complex and is mainly related to hypercoagulability and inflammation. Cancer cells, together with other inflammatory cytokines, produce circulating extracellular vesicles, tissue factor, and cancer procoagulants, which lead to increased activation of neutrophils and formation of a reticulum that provides a scaffold for the aggregation of erythrocytes, platelets, fibrinogen, and platelet adhesion molecules, as well as activation of endogenous and exogenous coagulation pathways that lead to downstream thrombosis (10). Mucin-producing adenocarcinomas are more likely to cause Trousseau syndrome, including gastric, lung, pancreatic, uterine, and ovarian cancers, which secrete aberrant glycosylated mucins and mucin fragments that can enter the circulation. Additionally, because cancer mucus can have selectin binding sites, selectin-mucin interactions may trigger this syndrome (11). There are few reports of Trousseau’s syndrome caused by hepatocellular carcinoma in the literature. In addition, cisplatin chemotherapy has been shown to incite apoptosis in vitro in cultivated endothelial cells, resulting in the release of microvesicles produced from procoagulant membranes (12), and to raise the in vivo risk of arterial and venous thrombosis.
Although venous thromboembolism is the most frequent clinical symptom of Trousseau’s syndrome, which consists mostly of pulmonary embolism and lower extremity deep vein thrombosis, patients with cancer may also develop thrombosis at less common sites, including upper extremity veins, intracranial or visceral circulation. Similarly, atrial fibrillation and numerous brain infarctions are frequently caused by Trousseau syndrome; nonetheless, concomitant cancers are usually disregarded as a potential cause of ischemic stroke and are sometimes not identified until the second incident (13). Trousseau’s syndrome can be readily identified if ischemic stroke occurs in a patient with a previously diagnosed malignancy, but if the thrombotic episode is the first sign of an undetected cancer, detection could be difficult or protracted.
On MRI, Trousseau’s syndrome-related strokes usually involve more than 2 regions of the brain, often with bilateral anterior and posterior circulation, which is known as the triple-zone sign, and is a helpful clue for diagnosing Trousseau’s syndrome (14). In the case reported herein, the patient had multiple acute cerebral infarctions in both cerebral hemispheres and brainstem, which is consistent with the manifestation of the triple zone sign. A study reported that frequency of the triple zone sign in Trousseau’s syndrome was 6 times higher than that of atrial fibrillation-associated cerebral infarction, and its sensitivity and specificity were 23.4% and 96.4%, respectively (15).
D-dimer is nonspecific and may rise in various circumstances, including trauma, burns, sepsis, cancer, acute renal failure, thrombosis, stroke, and disseminated intravascular coagulation. Nonetheless, some research has demonstrated a link between elevated D-dimer levels and brain infarction caused by cancer (16). According to Haapaniemi et al., patients with ischemic stroke who have occult malignancy may have increased D-dimer levels (>5.5 mg/L) with sensitivity and specificity greater than 93% (17). Bao et al. found that the level of D-dimer in 29 (93.54%) of 31 patients with Trousseau’s syndrome significantly was increased. Compared with other stroke subtypes, the level of plasma D-dimer in patients with Trousseau’s syndrome was the highest, with an average of 6.545 mg/mL. Overall, we can conclude that the significantly increased level of D-dimer is helpful to distinguish cerebral infarction and other causes of Trousseau’s syndrome (18).
Treatment of cerebral embolism associated with Trousseau’s syndrome includes heparin and control of potential cancer. Vitamin K antagonists and low molecular weight heparin are also recommended for patients with cancer-induced venous thromboembolism (19). At present, direct oral anticoagulants have not been recommended to cancer patients. Before cancer is controlled, low molecular weight heparin and vitamin K antagonists will be the only treatment options for patients with Trousseau’s syndrome, which lead to a poor prognosis and a high recurrence rate. Previous studies have shown that if malignant tumors are controlled, the levels of fibrin degradation product (FDP) and D-dimer will be reduced, so the risk of infarction will also be reduced. Although this indicates the importance of controlling malignant tumors, it is impossible to effectively treat cerebral embolism associated with Trousseau’s syndrome without identifying potential cancers.
Conclusions
Individuals with numerous cerebral infarctions in the bilateral cerebrum and watershed area, especially those with hypercoagulability and high tumor markers, should be screened for Trousseau’s syndrome. Tumor screening should be improved by cardiac ultrasound, chest and abdomen CT, and other methods in order to achieve early detection, early intervention and treatment, improve quality of life, and prevent recurrence.
Acknowledgments
Funding: None.
Footnote
Conflicts of Interest: All authors have completed the ICMJE uniform disclosure form (available at https://qims.amegroups.com/article/view/10.21037/qims-23-1746/coif). The authors have no conflicts of interest to declare.
Ethical Statement: The authors are accountable for all aspects of the work in ensuring that questions related to the accuracy or integrity of any part of the work are appropriately investigated and resolved. All procedures performed in this study were in accordance with the ethical standards of the institutional and/or national research committee(s) and with the Helsinki Declaration (as revised in 2013). Written informed consent was obtained from the patient for publication of this article and accompanying images. A copy of the written consent is available for review by the editorial office of this journal.
Open Access Statement: This is an Open Access article distributed in accordance with the Creative Commons Attribution-NonCommercial-NoDerivs 4.0 International License (CC BY-NC-ND 4.0), which permits the non-commercial replication and distribution of the article with the strict proviso that no changes or edits are made and the original work is properly cited (including links to both the formal publication through the relevant DOI and the license). See: https://creativecommons.org/licenses/by-nc-nd/4.0/.
References
- Sack GH Jr, Levin J, Bell WR. Trousseau's syndrome and other manifestations of chronic disseminated coagulopathy in patients with neoplasms: clinical, pathophysiologic, and therapeutic features. Medicine (Baltimore) 1977;56:1-37. [Crossref] [PubMed]
- Trousseau A. Lectures on clinical medicine, delivered at the Hotel-Dieu, Paris, vol. 5. London, 1865.
- Varki A. Trousseau's syndrome: multiple definitions and multiple mechanisms. Blood 2007;110:1723-9. [Crossref] [PubMed]
- Ling Y, Li Y, Zhang X, Dong L, Wang J. Clinical features of Trousseau's syndrome with multiple acute ischemic strokes. Neurol Sci 2022;43:2405-11. [Crossref] [PubMed]
- Betsuyaku T, Nishizawa T, Higuchi N, Misaka S. Trousseau's syndrome associated with an ovarian borderline tumour. BMJ Case Rep 2021;14:e244249. [Crossref] [PubMed]
- Ando T, Watanabe K, Nakayama R, Mizusawa T, Sakai T, Katagiri A. Trousseau's syndrome manifesting as multiple cerebral infarctions caused by bladder cancer. Urol Case Rep 2019;24:100884. [Crossref] [PubMed]
- Shimohama S, Oki K, Narita H, Mashima K, Yamada S, Adachi T, Kobayashi Y, Hirose S, Hoshino H. Trousseau's Syndrome Presenting as Multiple Cerebral Infarctions Caused by Mucin-producing Bladder Micropapillary Urothelial Cancer. Intern Med 2022;61:97-101. [Crossref] [PubMed]
- Wu MY, Hou YT, Ke JY, Yiang GT. Case of internal jugular vein thrombosis and fever: Lemierre's syndrome or Trousseau's syndrome? Ci Ji Yi Xue Za Zhi 2020;32:91-5. [PubMed]
- Ohmura H, Tobo T, Mimori K, Baba E, Horiuchi T. Trousseau's Syndrome with Advanced Neuroendocrine Carcinoma of Colon: A Case Report. Case Rep Oncol 2023;16:484-90. [Crossref] [PubMed]
- Zhen C, Wang Y, Wang H, Li D, Wang X. Multiple cerebral infarction linked to underlying cancer: a review of Trousseau syndrome-related cerebral infarction. Br J Hosp Med (Lond) 2021;82:1-7. [Crossref] [PubMed]
- Wahrenbrock M, Borsig L, Le D, Varki N, Varki A. Selectin-mucin interactions as a probable molecular explanation for the association of Trousseau syndrome with mucinous adenocarcinomas. J Clin Invest 2003;112:853-62. [Crossref] [PubMed]
- Lechner D, Kollars M, Gleiss A, Kyrle PA, Weltermann A. Chemotherapy-induced thrombin generation via procoagulant endothelial microparticles is independent of tissue factor activity. J Thromb Haemost 2007;5:2445-52. [Crossref] [PubMed]
- Taccone FS, Jeangette SM, Blecic SA. First-ever stroke as initial presentation of systemic cancer. J Stroke Cerebrovasc Dis 2008;17:169-74. [Crossref] [PubMed]
- Finelli PF, Nouh A. Three-Territory DWI Acute Infarcts: Diagnostic Value in Cancer-Associated Hypercoagulation Stroke (Trousseau Syndrome). AJNR Am J Neuroradiol 2016;37:2033-6. [Crossref] [PubMed]
- Nouh AM, Staff I, Finelli PF. Three Territory Sign: An MRI marker of malignancy-related ischemic stroke (Trousseau syndrome). Neurol Clin Pract 2019;9:124-8. [Crossref] [PubMed]
- Adams HP Jr, Bendixen BH, Kappelle LJ, Biller J, Love BB, Gordon DL, Marsh EE 3rd. Classification of subtype of acute ischemic stroke. Definitions for use in a multicenter clinical trial. TOAST. Trial of Org 10172 in Acute Stroke Treatment. Stroke 1993;24:35-41. [Crossref] [PubMed]
- Haapaniemi E, Tatlisumak T. Is D-dimer helpful in evaluating stroke patients? A systematic review. Acta Neurol Scand 2009;119:141-50. [Crossref] [PubMed]
- Bao L, Zhang S, Gong X, Cui G. Trousseau Syndrome Related Cerebral Infarction: Clinical Manifestations, Laboratory Findings and Radiological Features. J Stroke Cerebrovasc Dis 2020;29:104891. [Crossref] [PubMed]
- Martin LK, Bekaii-Saab T. Management of venous thromboembolism in patients with advanced gastrointestinal cancers: what is the role of novel oral anticoagulants? Thrombosis 2012;2012:758385. [Crossref] [PubMed]

