Multimodal evaluation of arrhythmogenic right ventricular cardiomyopathy with thrombus: a case description
Introduction
Arrhythmogenic right ventricular cardiomyopathy (ARVC) is generally considered a rare hereditary cardiomyopathy caused by desmosomal gene mutation. The main pathological feature is the replacement of the “triangle of dysplasia” myocardium by fibrous adipose tissue (1,2). This often leads to morphological and functional abnormalities of the right ventricle and increases the likelihood of thrombosis (3). Patients commonly present with ventricular arrhythmia, progressive heart failure, or even sudden cardiac death (SCD). Once diagnosed, patients should avoid strenuous physical activity and use prophylactic beta blockers. An implantable cardioverter-defibrillator (ICD) is recommended to reduce ventricular arrhythmia, and heart transplantation may be considered in patients with advanced disease (4).
Case description
All procedures performed in this study were in accordance with the ethical standards of the institutional and/or national research committee(s) and the Helsinki Declaration (as revised in 2013). Written informed consent was provided by the patient for publication of this case report and accompanying images. A copy of the written consent is available for review by the editorial office of this journal.
A 35-year-old man was referred to our hospital due to recurrent palpitation and ventricular tachycardia (Figure 1). His basic vital signs included blood pressure of 145/75 mmHg, heart rate of 72 beats/min, and respiratory rate of 18 breaths/min. The patient had undergone electric cardioversion for ventricular tachycardia-induced syncope in a nearby hospital, and coronary angiography had excluded significant coronary artery disease 7 months prior. He denied any family history of cardiac disease or sudden death but admitted a personal history of patent foramen ovale and aortic stenosis diagnosed at the age of 10 years, which had been managed with surgery. After admission, laboratory examination yielded a D-dimer level of 2,330 ng/mL, serum troponin of 0.3 ng/mL, and brain natriuretic peptide (BNP) of 866 pg/mL. Cardiac auscultation revealed arrhythmia and extrasystole without other murmurs.
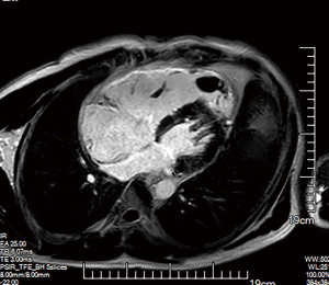
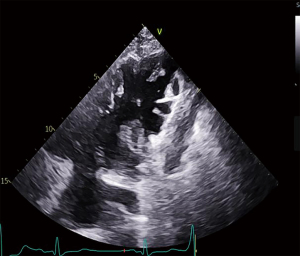
Electrocardiogram showed inverted T-waves and the Epsilon waves in leads V1–V3 (Figure 2). In view of the impaired cardiac function, we performed an echocardiogram (echo), which revealed a dilated right atrium (RA) at 59 mm × 65 mm, an expanded right ventricle (RV) at 31 mm × 37 mm with dysfunction (Figure 3A), the right ventricle outflow tract (RVOT) in parasternal short-axis view at 38 mm (Figure 3B), severe tricuspid regurgitation covering an area of 11.4 cm2, tricuspid annular plane systolic excursion (TAPSE) 13 mm and left ventricular ejection fraction (LVEF) 56% (Figure 3C). There was a pedicled mass about 26 mm × 16 mm in the apex of the RV (Figure 4A). Contrast echocardiography of the right heart was performed to define the nature of the mass, which showed that the microbubbles were not filled with the mass (Figure 4B). We also used real-time echocardiographic 3-dimensional (3D) imaging to observe the morphology of the mass (Figure 4C). Given the positive D-dimer and RA and RV dilation, we further examined the coagulation indices, arterial oxygen saturation, and lower-limb compression (through ultrasonography) to preliminarily rule out acute pulmonary embolism (PE). All the tests were negative. According to the recommendations of the European Society of Cardiology (ESC) Task Force for the diagnosis and management of acute PE (5), we considered that the patient had no predisposing factors for PE, and rather that they fulfilled the exclusion criteria for it. Based on these findings, we suspected that he was experiencing ARVC with right ventricular thrombosis, as he met 4 major criteria out of the 2010 revised Task Force criteria. The 4 major criteria for diagnosis are as follows: (I) severe dilation and dyskinesia of RV; (II) inverted T waves in leads V1–V3; (III) Epsilon wave in leads V1–V3; (IV) unsustained ventricular tachycardia of left bundle-branch morphology (6). To confirm the diagnosis, the patient underwent cardiac magnetic resonance (CMR) imaging. It was revealed that the left atrium and left ventricle were normal in morphology and function, but the RA and RV were significantly enlarged with dyskinesia. The RA was enlarged to 56 mm, the RV was enlarged to 47 mm, and the right ventricular wall was significantly thinner. The RV ejection fraction was 10%, the RV end-systolic volume was 187 mL, end-diastolic volume was 208 mL, and stroke output was 21 mL. The RV end-diastolic volume index (RVEDVI) was 115.7 mL/m2. The RV apex showed “shallow lobulated” changes with unclear demarcation from subepicardial fat, and diffuse strip-shaped abnormal enhancement shadows were observed under the endocardial wall of the right ventricular wall after delayed scanning, which was thought to be due to replacement of myocardial tissue by fibrous adipose tissue. After enhanced scanning, irregular low-signal filling defects were observed in the right ventricular apex, which was considered a sign of thrombosis. The above phenomena increased our certainty that the patient had ARVC with thrombosis (Figure 5). Since ARVC is rarely associated with thrombosis, we were interested to further study genetic relationship of this thrombosis. Unfortunately, the patient refused undergo the relevant genetic testing. We then gave the patient oral rivaroxaban 15 mg once a day as empiric anticoagulation to further confirm thrombus formation and prevent a embolic complications. Furthermore, we kept the patient on sotalol to control his arrhythmias and improve his outcome. An echo obtained 10 days later showed that the thrombus had significantly reduced to a size of 11 mm × 6 mm. This helped us to more clearly identify the presence of a thrombus, and that rivaroxaban had had a good treatment effect. Repeat echocardiography after about 4 weeks of sufficient anticoagulation indicated complete disappearance of the RV thrombus (Figure 6). Afterwards, an ICD was installed as secondary prevention of SCD.
Follow-up was conducted 12 weeks after operation. The patient was found to be in good condition, and echocardiography showed that the anterior and posterior diameter of the RV was 31 mm, with no thrombosis recurrence. The inner diameter of the RVOT was 40 mm, the tricuspid regurgitation area was 8.9 cm2, TAPSE 12 mm, and LVEF 49%. However, his N-terminal pro-brain natriuretic peptide (NT-proBNP) was elevated from 1,030 to 1,890 pg/mL.
Discussion
There is scarce information about right ventricular thrombosis in ARVC. Goldberg (7) found that the thrombus of ARVC was mostly connected to the ventricular wall by the pedicle. The case reported above is consistent with his findings, and we conjecture that the dilated RV with hypokinesis leads to blood stasis, which may lead to thrombosis. However, it was regrettable that the patient refused to undergo genetic testing, and we could not further investigate the relationship between the thrombus and genes. Rivaroxaban has been shown to dissolve thrombi effectively. Considering the possibility of thrombus recurrence, we recommend postoperative monitoring of patients to prevent embolic complications (3). Echocardiography was a useful tool during the diagnosis and treatment of this patient. It has been proposed that combining echocardiography with advanced ultrasound technology with clinical practice can provide the same sensitivity with CMR. Therefore, we recommend the use of echocardiography and new ultrasound technologies for monitoring suspected intracardiac thrombosis (8). Given that pulmonary embolism has similar symptoms to ARVC, it should be excluded by computed tomography pulmonary angiography (CTPA) or ventilation/perfusion (V/Q scan) before making a diagnosis of ARVC. In our patient, due to the frequent occurrence of ventricular arrhythmias, we decided to implant an ICD for secondary prevention of SCD. Postoperatively, NT-proBNP became progressively elevated, but the echo showed improved heart function. We speculate that this was because the patient still had ventricular tachyarrhythmia. It has been proposed that NT-proBNP concentration is an independent predictor of appropriate defibrillator treatment, and we believe that larger prospective trials are warranted to evaluate its clinical utility (9).
Conclusions
Right ventricular thrombus in ARVC is very rare and can easily lead to adverse consequences due to missed diagnosis or misdiagnosis. Early diagnosis can improve the prognosis and provide patients with more treatment options. Although CMR is the gold standard for the diagnosis of ARVC, echocardiography should be availed as an important tool to dynamically monitor cardiac condition and provide comparative data before and after treatment. PE with CTPA or V/Q scan should be ruled out before a diagnosis of ARVC is made. Once diagnosed, patients should undergo specialized therapeutic interventions, such as implantation of ICDs or catheter ablation. Postoperatively, patients may have elevated NT-proBNP, but more extensive studies are necessary to determine the possible causes.
Acknowledgments
Funding: None.
Footnote
Conflicts of Interest: All authors have completed the ICMJE uniform disclosure form (available at https://qims.amegroups.com/article/view/10.21037/qims-22-1358/coif). The authors have no conflicts of interest to declare.
Ethical Statement: The authors are accountable for all aspects of the work in ensuring that questions related to the accuracy or integrity of any part of the work are appropriately investigated and resolved. All procedures performed in this study were in accordance with the ethical standards of the institutional and/or national research committee(s) and with the Helsinki Declaration (as revised in 2013). Written informed consent was provided by the patient for publication of this case report and accompanying images. A copy of the written consent is available for review by the editorial office of this journal.
Open Access Statement: This is an Open Access article distributed in accordance with the Creative Commons Attribution-NonCommercial-NoDerivs 4.0 International License (CC BY-NC-ND 4.0), which permits the non-commercial replication and distribution of the article with the strict proviso that no changes or edits are made and the original work is properly cited (including links to both the formal publication through the relevant DOI and the license). See: https://creativecommons.org/licenses/by-nc-nd/4.0/.
References
- Basso C, Corrado D, Marcus FI, et al. Arrhythmogenic right ventricular cardiomyopathy. Lancet 2009;373:1289-300. [Crossref] [PubMed]
- Te Riele ASJM, James CA, Philips B, Rastegar N, Bhonsale A, Groeneweg JA, Murray B, Tichnell C, Judge DP, Van Der Heijden JF, Cramer MJ, Velthuis BK, Bluemke DA, Zimmerman SL, Kamel IR, Hauer RN, Calkins H, Tandri H. Mutation-positive arrhythmogenic right ventricular dysplasia/cardiomyopathy: the triangle of dysplasia displaced. J Cardiovasc Electrophysiol 2013;24:1311-20. [Crossref] [PubMed]
- Akdis D, Chen K, Saguner AM, et al. Clinical Characteristics of Patients with a Right Ventricular Thrombus in Arrhythmogenic Right Ventricular Cardiomyopathy. Thromb Haemost 2019;119:1373-8. [Crossref] [PubMed]
- Corrado D, Wichter T, Link MS, et al. Treatment of Arrhythmogenic Right Ventricular Cardiomyopathy/Dysplasia: An International Task Force Consensus Statement. Circulation 2015;132:441-53. [Crossref] [PubMed]
- Konstantinides SV, Meyer G, Becattini C, et al. 2019 ESC Guidelines for the diagnosis and management of acute pulmonary embolism developed in collaboration with the European Respiratory Society (ERS): The Task Force for the diagnosis and management of acute pulmonary embolism of the European Society of Cardiology (ESC). Eur Respir J 2019;54:1901647. [Crossref] [PubMed]
- Marcus FI, McKenna WJ, Sherrill D, et al. Diagnosis of arrhythmogenic right ventricular cardiomyopathy/dysplasia: proposed modification of the Task Force Criteria. Eur Heart J 2010;31:806-14. [Crossref] [PubMed]
- Goldberg L, Goldberg L, Goldberg L. Right ventricular thrombosis in arrhythmogenic right ventricular dysplasia. Cardiovasc J S Afr 2000;11:95-6. [PubMed]
- Haugaa KH, Basso C, Badano LP, Bucciarelli-Ducci C, Cardim N, Gaemperli O, Galderisi M, Habib G, Knuuti J, Lancellotti P, McKenna W, Neglia D, Popescu BA, Edvardsen TEACVI Scientific Documents Committee. EACVI Board members and external reviewers; EACVI Scientific Documents Committee, EACVI Board members and external reviewers. Comprehensive multi-modality imaging approach in arrhythmogenic cardiomyopathy-an expert consensus document of the European Association of Cardiovascular Imaging. Eur Heart J Cardiovasc Imaging. 2017;18:237-53. [Crossref] [PubMed]
- Deng Y, Cheng SJ, Hua W, et al. N-Terminal Pro-B-Type Natriuretic Peptide in Risk Stratification of Heart Failure Patients With Implantable Cardioverter-Defibrillator. Front Cardiovasc Med 2022;9:823076. [Crossref] [PubMed]



