Osmotic demyelination syndrome: clinical and neuroimaging characteristics in a series of 8 cases
Introduction
The first case of the uncommon clinical condition known as osmotic demyelination syndrome (ODS), which includes central pontine myelinolysis (CPM) and extrapontine myelinolysis (EPM), was described by Adams in 1959. It is considered a noninflammatory demyelinating disease and affects the pons (1). Other brain regions, such as the basal ganglia, thalamus, cerebral cortex, and subcortical white matter, can also be involved, according to another study published in 1962 (2). During 1970–1980, it was recognized that the rapid correction of chronic alcoholism, chronic malnutrition and hyponatremia were the main causes of ODS. Treatment must be determined by the etiology and duration of the condition. Acute hyponatremia, especially when accompanied by symptoms, increases the risk of cerebral edema and necessitates immediate treatment. The challenge is in determining if the hyponatremia is temporary or chronic since fast treatment of chronic hyponatremia predisposes patients to ODS. Regarding the ideal rate of adjustment, there is no agreement. The recommendation to correct serum sodium at a rate of no more than 0.5 mmol/L/h is frequently cited (3). Because ODS was mainly identified by autopsy, it was first thought that the condition was deadly. Up to 70–80% of individuals with ODS can survive, according to later studies that used clinical and radiological diagnosis, with 50–60% of all patients showing some neurological recovery(4). Demyelination and fiber-tract compression are caused by edema related to variable osmotic pressures, particularly when hyponatremia is rapidly and excessively corrected. The central nervous system regions with a dense mix of white and gray matter, such as the pons and basal ganglia, are more likely to experience these alterations (5). With the introduction of magnetic resonance imaging (MRI), the incidence of ODS has increased, and some patients have few symptoms or no symptoms. Currently, for suspected patients, a complete medical history and imaging findings are largely used to determine an ODS diagnosis. The imaging data of 8 patients with ODS diagnosed by clinical and imaging examinations in our hospital were analyzed, their imaging features were discussed, and the main points of diagnosis were summarized.
Methods
Clinical data
This was a retrospective analysis of patients diagnosed with ODS in the Fourth Medical Center of PLA General Hospital from January 2017 to July 2022 according to their clinical manifestations, physical examinations and MRI examinations. There were 8 patients, with 5 males and 3 females, aged from 30 to 68 years. The clinical data of each patient were analyzed, including age, sex, past medical history, clinical manifestations and MRI findings. See Tables 1,2 and Figures 1,2 for details.
Table 1
| Patient number | Age (years) | Sex | Clinical symptoms | Anamnesis | Serum Na+: mmol/L |
|---|---|---|---|---|---|
| 1 | 61 | Male | Lethargic state | Hyponatremia, hypertension, diabetes | 139 mmol/L (day 1) |
| 2 | 49 | Female | Dizziness | Chronic renal insufficiency uremic stage | 139 mmol/L (day 2), 142 mmol/L (day 6), 137 mmol/L (day 10) |
| 3 | 30 | Male | Dizziness and fever | Lymphoma | 140 mmol/L (day 1), 138 mmol/L (day 3), 137 mmol/L (day 7) |
| 4 | 40 | Male | Psychiatric disorders | Chronic renal insufficiency uremia, hypertension, diabetes | 140 mmol/L (day 1), 140 mmol/L (day 4), 141 mmol/L (day 5), 137 mmol/L (day 11) |
| 5 | 56 | Female | No complaint of discomfort | Chronic renal insufficiency, hypertension | 139 mol/L (day 1), 126 mmol/L (day 5), 136 mmol/L (day 7), 137 mol/L (day 9), 140 mol/L (day 12) |
| 6 | 63 | Female | No complaint of discomfort | Chronic renal insufficiency, uremic stage, hypertension | 142 mmol/L (day 1) |
| 7 | 40 | Male | Dizziness | Acute leukemia | No tests were done |
| 8 | 68 | Male | Dizziness | Kidney transplantation, hyponatremia, hypertension, diabetes | 127 mmol/L (day 1), 126 mmol/L (day 2), 133 mmol/L (day 4) |
Table 2
| Patient number | Location of lesion | Lesion morphology | Routine MRI findings | Prognosis |
|---|---|---|---|---|
| 1 | Pons, bilateral caudate nucleus head, thalamus | The pons lesions were symmetrical with a butterfly shape, and the bilateral caudate nuclei and thalamus lesions showed a symmetrical strip shape | The pons signal was a symmetrical long T1/ long T2 signal | There was no significant change in the patient’s symptoms |
| The thalamus of the bilateral caudate nucleus showed slightly longer T1 and T2 signal, and DWI showed a low signal | ||||
| 2 | Pons | Central strip shape | Long T1 and long T2 signal, DWI showed high signal | The patient’s symptoms improved |
| 3 | Pons | Symmetrical butterfly wing | Long T1 and long T2 signal, DWI was high signal | The patient did not improve and requested discharge |
| 4 | Pons | Asymmetric point sheet | Slightly longer T1 signal and slightly longer T2 signal, DWI showed a low signal | Death |
| 5 | Pons, bilateral thalamus, bilateral basal ganglia | The pons lesion was symmetrical with a trident sign and demonstrated symmetric signals within the caudate heads, lentiform nuclei, medial thalami | Slightly longer T1, slightly longer T2 signal, DWI showed a high signal | The patient’s symptoms improved |
| 6 | Pons | Symmetrical trident sign | Slightly longer T1 signal and slightly longer T2 signal, DWI showed low signal | The patient’s symptoms improved |
| 7 | Pons | Symmetrical trident sign | Slightly shorter, slightly longer T1, slightly longer T2 signal, DWI showed a high signal | The patient did not improve and requested discharge |
| 8 | Pons | Symmetrical dot spots | Long T1, slightly longer T2 signal, DWI showed a low signal | Death |
MRI, magnetic resonance imaging; DWI, diffusion weighted imaging.
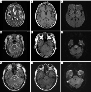
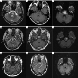
Among the 8 ODS patients, 1 patient had undergone renal transplantation, 2 had acute leukemia, 4 had chronic renal insufficiency and 1 case had hyponatremia, of whom 2 were diagnosed with EPM and CPM and 6 were diagnosed with CPM. Among the patients, 4 developed dizziness, and 1 patient developed lethargy. Imaging findings showed that for all 8 patients, the pons was involved, mainly with symmetrical “butterfly shaped”, “trident-sign” long T1 and long T2 signals in the center of pons, and diffusion weighted imaging (DWI) showed high or low signals. The extrapontine lesions mainly involved the bilateral thalamus and basal ganglia, which showed symmetrical speckles with long T1 and long T2 signals and low signals on DWI.
Instruments and inspection methods
All patients underwent routine MRI scans of the brain with a Siemens 3.0T MRI scanner (Simenns Skyra 3.0T) and 16-channel head phased array coil and routine axial MRI scans of the brain. The parameters for T1-weighted imaging (T1WI) were a repetition time (TR) =1,300 ms, an echo time (TE) =8.6 ms, a field of view (FOV) =22 cm × 22 cm, a matrix =256×256, and a slice thickness of 6 mm; the parameters for T2-weighted imaging (T2WI) were a TR =4,000 ms, a TE= 90 ms, an FOV =22 cm × 22 cm, a matrix =256×256, and a slice thickness of 6 mm. The horizontal Axis T 2 liquid inhibition inversion recovery sequence parameters were as follows: a TR =6,000 ms, an inversion time =2,028 ms, a TE =90 ms, an FOV =22 cm × 22 cm, a matrix =256×256, and a slice thickness of 6 mm. The transverse diffusion-weighted imaging (DWI) parameters were as follows: a TR =6,400 ms, a TE =98 ms, an FOV =22 cm × 22 cm, a matrix =256×256, a slice thickness of 6 mm, and a b value of 0 and 1,000 s/mm2.
This study was conducted in accordance with the Declaration of Helsinki (as revised in 2013). The study was approved by the ethics committee of Chinese People’s Liberation Army General Hospital. The requirement for individual consent for this retrospective analysis was waived.
Discussion
ODS is a rare noninflammatory osmotic demyelination disease of the central nervous system. CPM is the most typical manifestation and was first reported by Adams in 1959 (1), reflecting the sensitivity of pontine white matter fibers to osmotic changes. Initial occurrences were discovered in individuals who had malnutrition and alcohol use disorders, but by the 1970s, subsequent cases were related to rapid sodium correction (4). Since then, severe burns, liver transplantation, anorexia nervosa, hyperemesis gravidarum, and hyperglycemia have all been linked to CPM. During the course of COVID-19 infection, ODS should be taken into account in cases of hyponatremia and neurological decline (6,7). This study included 8 patients with ODS, 6 of whom had chronic renal insufficiency and/or hyponatremia in their previous medical history. Chronic renal insufficiency patients needed dialysis year-round and had ion disorder. ODS usually occurs between 30 and 50 years of age, and 51.8% to 77.0% of patients are male (8). The average age of the patients in this study was 50.9±13.3 years old (ranging from 30 to 68 years old), and 62.5% of the patients were male.
ODS typically manifests acutely and can advance quickly. ODS has a variety of clinical symptoms that result from various sources. The main clinical symptoms include dysarthria and dysphagia, delayed paralysis, spastic paralysis caused by damage to the base of the pons, and pupil and eye movement disorders caused by changes in the tegmental part of the pons. Some patients even have Locked-in syndrome (9). Involvement of the external position of the pons can cause mental disorders, abnormal movement, depression, and multiple radiculopathy, and inappropriate excitation of neurons can lead to epilepsy (10,11). EPM can affect the pith of the cortex or cortex-subcortex junction, and inappropriate excitation of the sheath and neurons can lead to epilepsy (12).
Due to the use of MRI, ODS can be diagnosed earlier. ODS can be classified as CPM and EPM based on the location of the demyelinating lesions. Both the same brain and other brains can exhibit these two types of lesions. According to a study, CPM complicated with EPM, CPM alone, and EPM alone accounted for 50%, 30%, and 20% of patients with ODS, respectively (13). In this study, among the 8 ODS patients, 2 were diagnosed with EPM complicated with CPM, and 6 were diagnosed with CPM. Because of the small number of patients, the proportion is not referential. Regarding the areas where ODS commonly affects the brain, it is considered that the pons in the brain stem is mainly affected, followed by the basal ganglia and thalamus (5), which may be related to the dense fiber bundles in these areas. With the rapid increase in osmotic pressure, the fiber bundles in these areas are obviously compressed, which is easily observed on MR images. Our research is consistent with previous reports, showing that the pons, basal ganglia and thalamus are the main affected parts of the brain. Our results show that symmetrical “butterfly wing” and “trident” long T1 and T2 signals mainly appear in the center of the pons in CPM patients, and DWI can have a high or low signal. The abnormal signals of “butterfly wing” and “trident sign” symmetry are mostly because the fibers and axons around the corticospinal tract are not involved (14). Two CPM patients with EPM had symmetrical lesions in the basal ganglia and thalamus outside the pontine. Within 24 h after the onset of ODS, the diffusion-limited signal can appear, and from 1 week to 10 days after changes on shown on DWI, T2 and Flair sequences can show symmetrical high signals without occupying effects. Because the change in the T2 signal may be delayed until 2 weeks after symptoms appear, patients with initial negative MRI examinations need to have a subsequent imaging examination.
For decades, there has been discussion on the proper rates of serum Na+ correction in patients with hyponatremia to avoid neurological sequelae. According to the European Clinical Practice Guidelines, serum Na+ should be kept at a maximum of 10 mmol/L for the first 24 hours and 8 mmol/L each day after that (15). Since the proportionate rise in plasma tonicity is greater, the maximum permitted correction for severe hyponatremia should be considerably slower. For patients with severe hypotonic hyponatremia who are at risk of fast autocorrection and ODS, a proactive “desmopressin clamp” with hypertonic saline boluses is an effective, safe, but uncommon therapy option. The Voets equation is logically appropriate for this situation (16).
Here, the variables Δ[Na+]p, [Na+]p, Vi, TBW, Oi, and Ou stand for the anticipated change in the plasma sodium concentration, the starting plasma sodium concentration, the infusion volume, the total body water, infusion osmolarity (which is the same as infusion tonicity for crystalloid fluids), and urine osmolarity, respectively (17).
In summary, ODS is a complex disease entity that has many causes and manifests as symptoms involving different brain systems. The MRI manifestations of osmotic demyelinating syndrome have certain characteristics. The key to preventing and managing this condition is early detection, removal, or the correction of disorders that cause osmotic demyelinating syndrome.
Acknowledgments
Funding: None.
Footnote
Conflicts of Interest: Both authors have completed the ICMJE uniform disclosure form (available at https://qims.amegroups.com/article/view/10.21037/qims-22-1302/coif). The authors have no conflicts of interest to declare.
Ethical Statement: The authors are accountable for all aspects of the work in ensuring that questions related to the accuracy or integrity of any part of the work are appropriately investigated and resolved. This study was conducted in accordance with the Declaration of Helsinki (as revised in 2013). The study was approved by the ethics committee of Chinese People’s Liberation Army General Hospital. The requirement for individual consent for this retrospective analysis was waived.
Open Access Statement: This is an Open Access article distributed in accordance with the Creative Commons Attribution-NonCommercial-NoDerivs 4.0 International License (CC BY-NC-ND 4.0), which permits the non-commercial replication and distribution of the article with the strict proviso that no changes or edits are made and the original work is properly cited (including links to both the formal publication through the relevant DOI and the license). See: https://creativecommons.org/licenses/by-nc-nd/4.0/.
References
- Adams RD, Victor M, Mancall EL. Central pontine myelinolysis: a hitherto undescribed disease occurring in alcoholic and malnourished patients. AMA Arch Neurol Psychiatry 1959;81:154-72. [Crossref] [PubMed]
- Howard SA, Barletta JA, Klufas RA, Saad A, De Girolami U. Best cases from the AFIP: osmotic demyelination syndrome. Radiographics 2009;29:933-8. [Crossref] [PubMed]
- Snell DM, Bartley C. Osmotic demyelination syndrome following rapid correction of hyponatraemia. Anaesthesia 2008;63:92-5. [Crossref] [PubMed]
- Singh TD, Fugate JE, Rabinstein AA. Central pontine and extrapontine myelinolysis: a systematic review. Eur J Neurol 2014;21:1443-50. [Crossref] [PubMed]
- Kallakatta RN, Radhakrishnan A, Fayaz RK, Unnikrishnan JP, Kesavadas C, Sarma SP. Clinical and functional outcome and factors predicting prognosis in osmotic demyelination syndrome (central pontine and/or extrapontine myelinolysis) in 25 patients. J Neurol Neurosurg Psychiatry 2011;82:326-31. [Crossref] [PubMed]
- Ivanova NI, Tsalta-Mladenov ME, Georgieva DK, Andonova SP. Central Pontine Myelinolysis as a Late Complication After Hyponatremia and COVID-19 Infection. Cureus 2023;15:e35191. [Crossref] [PubMed]
- Abd Ur Rehman M, Abdulrahman AF, Zainab A, Paksoy Y, Kharma N. Hyponatremia and extrapontine myelinolysis in a patient with COVID-19: A case report. Clin Case Rep 2021;9:e04463. [Crossref] [PubMed]
- Rao PB, Azim A, Singh N, Baronia AK, Kumar A, Poddar B. Osmotic demyelination syndrome in Intensive Care Unit. Indian J Crit Care Med 2015;19:166-9. [Crossref] [PubMed]
- Martin RJ. Central pontine and extrapontine myelinolysis: the osmotic demyelination syndromes. J Neurol Neurosurg Psychiatry 2004;75:iii22-8. [Crossref] [PubMed]
- de Souza A. Movement disorders and the osmotic demyelination syndrome. Parkinsonism Relat Disord 2013;19:709-16. [Crossref] [PubMed]
- Sterns RH, Silver SM. Brain volume regulation in response to hypo-osmolality and its correction. Am J Med 2006;119:S12-6. [Crossref] [PubMed]
- Odier C, Nguyen DK, Panisset M. Central pontine and extrapontine myelinolysis: from epileptic and other manifestations to cognitive prognosis. J Neurol 2010;257:1176-80. [Crossref] [PubMed]
- Gocht A, Colmant HJ. Central pontine and extrapontine myelinolysis: a report of 58 cases. Clin Neuropathol 1987;6:262-70. [PubMed]
- Beh SC. Temporal evolution of the trident and piglet signs of osmotic demyelination syndrome. J Neurol Sci 2017;373:268-73. [Crossref] [PubMed]
- Spasovski G, Vanholder R, Allolio B, Annane D, Ball S, Bichet D, Decaux G, Fenske W, Hoorn EJ, Ichai C, Joannidis M, Soupart A, Zietse R, Haller M, van der Veer S, Van Biesen W, Nagler E. Clinical practice guideline on diagnosis and treatment of hyponatraemia. Nephrol Dial Transplant 2014;29:i1-i39. [Crossref] [PubMed]
- Voets PJGM, Vogtländer NPJ. A quantitative approach to intravenous fluid therapy in the syndrome of inappropriate antidiuretic hormone secretion. Clin Exp Nephrol 2019;23:1039-44. [Crossref] [PubMed]
- Voets PJGM, Maas RPPWM, Vogtländer NPJ, Kaasjager KAH. Osmotic demyelination syndrome and thoughts on its prevention. J Nephrol 2022;35:339-42. [Crossref] [PubMed]

