Thoracic-abdominopelvic contrast-enhanced dual-source computed tomography with a high-pitch acquisition protocol and free breathing for reducing motion artifacts and scan time in patients with cancer: a prospective study
Introduction
Cancer ranks as a leading cause of death, and the burden of cancer incidence and mortality is rapidly growing worldwide (1). Contrast-enhanced computed tomography (CT) plays a critical role in cancer management, aiding differential diagnosis, staging, and the assessment of therapeutic response and clinical outcomes (2). Breath-holding, such as that required for large range thoracic-abdominopelvic CT scans, is challenging for some older adult patients with cancer, especially those with critical illnesses, dyspnea, and impaired consciousness or cognition who are unable to lie down for a long period during the examination. Poor breath-holding leads to blurred images, which can render diagnosis difficult and necessitate repeated scanning and contrast injection, thus increasing the radiation dose. Indeed, motion artifacts occur in approximately 29% of breath-hold chest CT scans and 44% of breath-hold abdominal fast helical CT scans (3-5). Therefore, shortening the scan time and reducing motion artifacts during CT examinations are critical.
Various respiratory motion artifacts reduction methods have been developed. Respiratory gate or synchronization techniques have proven effective and are chiefly used in cardiac and respiratory adaptive CT (CARE-CT) or four-dimensional CT in tumor radiotherapy (6,7). Furthermore, addressing challenges such as motion artifacts in cardiovascular CT imaging relies on key technologies such as motion correction algorithms and deep learning methods, which have moved beyond development and evaluation to become established as practical applications in clinical settings. Evidence of this clinical implementation includes the widespread use of techniques such as Snap Shot Freeze (GE HealthCare) and ZeeFree (Siemens Healthineers), which reduce motion artifacts in coronary CT angiography images (8-10). Although there is significant research ongoing regarding applying similar algorithmic and deep learning approaches to respiratory motion artifact correction, routine clinical implementation for this specific application is still evolving and is not yet as widely established as the techniques for cardiac motion. The most direct and effective way to accelerate scanning speed is through hardware-based solutions, such as high-pitch dual-source CT (DSCT), which have proven useful for reducing motion artifacts in the chest (4) and abdomen (11) of pediatric patients.
DSCT scanners are widely used in clinical practice. First, their high-pitch scan mode enables the examination of larger anatomical ranges in a highly abbreviated scan time. This application has been applied in whole-body CT angiography to permit a lower contrast volume without negatively affecting vascular contrast enhancement (12) and in the detection of urinary stones, effectively reducing scanning time and preventing breathing-motion artifacts (13). Additionally, the high scan speed and correspondingly short scan time are highly valuable in examinations with uncooperative patients, such as those encountered in pediatric radiology (4,14,15). Second, the higher pitch can also reduce radiation exposure; although this may cause a degree of image quality loss due to the faster-moving worktable resulting in an increase in the gap of the z-direction and fewer photons per axial image (16), the DSCT system with two 128-slice detectors can mitigate this image quality loss to some extent. In this process, two X-ray sources can simultaneously image patients to provide gapless z-sampling at pitch values up to 3 or more. High-pitch DSCT has demonstrated significant potential in reducing radiation dose and improving image quality (14,15,17).
A key limitation in the prospective studies on this subject (14,18) is the lack of image evaluation focusing specifically on uncooperative patients with cancer undergoing large-range thoracic-abdominopelvic contrast-enhanced DSCT scans. This deficiency in research hinders the broader application of high-pitch DSCT in routine cancer evaluation. In this study, we sought to determine whether thoracic-abdominopelvic contrast-enhanced DSCT with a high-pitch technique and free breathing can largely reduce motion artifacts and scan time while achieving radiation dose reduction in patients with cancer. We present this article in accordance with the STROBE reporting checklist (available at https://qims.amegroups.com/article/view/10.21037/qims-2025-1016/rc).
Methods
This study was conducted in accordance with the Declaration of Helsinki and its subsequent amendments and was approved by the Institutional Review Board of Chongqing University Cancer Hospital (Approval No. CZLS2021041-A-09). Informed consent was obtained from all participants.
Study population
From May 2021 to July 2022, all consecutive patients with cancer who underwent clinically indicated thoracic-abdominopelvic CT to determine distant metastasis and liver condition were prospectively enrolled in this study. The inclusion criteria were (I) age ≥18 years and (II) imaging performed without impaired kidney function (glomerular filtration rate <30 mL/min) or a history of severe contrast medium allergy. Meanwhile, the exclusion criteria were (I) noncontrast imaging and (II) exceeding the 33 cm scan field of view. All participants were asked to perform breath-hold training before the examination. Among the patients, 84 could not hold their breath for more than 9 seconds in the CT room. These patients were defined as the non-breath-holding group and underwent free-breathing high-pitch CT examination (Group 1). Of the 133 breath-holding capable patients (who could hold breath for more than 9 seconds) assessed for matching with Group 1, 85 were successfully matched based on age, sex, and body mass index (BMI) and were imaged at standard tube voltage and tube current settings with breathing instructions (Group 2). The remaining 48 patients were excluded solely due to inability to find a suitable demographic match within Group 1. The flowchart of participant selection is shown in Figure 1.
CT acquisitions
Image data were acquired on a 2.5-generation, 128-slice DSCT system (SOMATOM Drive; Siemens Healthineers, Erlangen, Germany). The scan parameters for Group 1 were as follows: tube voltage =120 kV, automatic tube current modulation (CARE Dose 4D, Siemens Healthineers) with reference tube current-time product =150 ref mAs, increment collimation =128×0.6 mm (with a z-flying focal spot), pitch factor =3.0, and rotation time =0.28 s. The scan parameters for Group 2 were as follows: tube voltage =120 kV, automatic tube current modulation (CARE Dose 4D, Siemens Healthineers) with reference tube current-time product =210 ref mAs, increment collimation =128×0.6 mm (with a z-flying focal spot), pitch factor =1.0, and rotation time =0.5 s. Patients in Group 1 were examined with free breathing, while patients in Group 2 were scanned during a deep inspiratory breath-hold. Group 1 employed reduced tube current by leveraging the enhanced dose efficiency of DSCT high-pitch scanning. Based on a promising preliminary study, we developed a protocol aimed at reducing motion artifacts while improving the signal-to-noise ratio (SNR) and contrast-to-noise ratio (CNR) of chest images. It also achieved higher overall image quality scores at lower radiation doses.
All patients were placed in the supine position with both arms elevated in close contact with the head. According to clinical indications, it was necessary to determine the patient’s liver condition, and thus routine abdominal scanning with a triple-phase exam was required. Noncontrast phase (NCP) and arterial phase (AP) scans were conducted that covered the area from the apex of the lung to the lower edge of the pubic symphysis. The venous phase (VP) ranged from the diaphragm to the lower edge of the symphysis pubis, and the delayed phase (DP) ranged from the diaphragm to the superior edge of the iliac crest. The contrast agent used in all patients was iodinated nonionic contrast media (ioversol; 320 mg/mL iodine; Jiangsu Hengru, Lianyungang, China) at a dosage of 1.5 mL/kg. Contrast media were injected at a rate of 3.0 mL/s through the right or left median cubital vein by a dual-head injector, followed by a saline flush (30 mL) at the same rate. A bolus-tracking technique was used after the injection. The region of interest (ROI) was placed at the arch of the aorta with a threshold of 150 Hounsfield units (HU) with an additional delay of 13 s in Group 1 and 7 s in Group 2. The different delay times were set to compensate for the different scan speeds between the groups. The VP scan started 20 s after the end of the AP scan, and the DP scan started 75 s after the end of the VP scan. The scan time of each phase was recorded for every patient.
Reconstructions
All images were reconstructed with a thickness of 1.5 mm and an interval of 1.2 mm via a medium soft-tissue convolution kernel (I30f). A lung algorithm image was also reconstructed with a thickness of 1.0 mm and an interval of 1.0 mm via a lung sharpening convolution kernel (I70f). Image series were reconstructed with level 3 advanced model-based iterative reconstruction (ADMIRE, Siemens Healthineers). To eliminate the influence of the display field of view (DFOV) on the image quality analysis, we reconstructed all images with a matrix size of 512×512 pixels and a DFOV of 330 mm. Preset window settings for the lung (width 1200 HU; level −600 HU) and soft tissue (width 300 HU; level 40 HU) were used. Reviewers were allowed to change the window level and width freely. Image data were sent to the picture archiving and communication system and the image postprocessing workstation (syngo.via VB20A, Siemens Healthineers) for data analysis.
Subjective image quality evaluation
All CT images were randomized and evaluated independently by two board-certified radiologists (Observer 1 and Observer 2 with 8 and 5 years of experience in trunk imaging, respectively) who were blinded to patient information and image parameters. Anonymized high-pitch and standard-pitch CT scans were evaluated in random order. The image quality was scored according to the overall NCP, AP, and VP images, and the analysis was randomly repeated by Observer 1 after an interval of more than 1 month. DP imaging relies on contrast diffusion for tissue enhancement with reduced respiratory motion sensitivity, which can lower scan speed requirements. Moreover, additional delay waiting time increases patient motion risks, potentially introducing artifacts that compromise image quality evaluation. Therefore, DP images were excluded from subjective image quality evaluation.
Subjective image quality was graded with 5-point scales for the following parameters: the motion artifacts of the lung, mediastinum, abdomen and the pelvis (17) (1, unacceptable; 2, severe; 3, average; 4, less than average; and 5, absent); overall image quality (19) (1, unacceptable; 2, fair; 3, moderate; 4, good; and 5, excellent); image noise (19) (1, unacceptable; 2, above average; 3, average; 4, less than average; 5, minimum); organ enhancement (20) (1, very poor; 2, suboptimal; 3, acceptable; 4, above average; and 5, excellent); and lesion conspicuity (20) (1, very poor; 2, poor; 3, average; 4, high; and 5, excellent confidence). Motion artifacts were rated as none, slight, or significant (21), with a score of 5 corresponding to none. Scores of 3 or less were classified as significant motion artifacts, reflecting artifact levels considered likely to have a clinically relevant detrimental effect on diagnostic image interpretation. A score of 4 was defined as a slight artifact.
Objective image quality evaluation
For quantitative analysis, the CT value (HU) was measured in different anatomical regions with ovoid ROIs on axial soft-tissue convolution kernel images. To reduce and avoid measurement errors, the rater measured the CT value three times, and the mean value was used for analysis. Image noise was calculated as the standard deviation (SD) of the CT attenuation measured within the trachea in the chest and the subcutaneous fat in the abdomen and pelvis. Chest ROIs were placed within the aortic arch, trachea, and erector spinae at the level of the aortic arch. Abdominal ROIs were placed within the right lobe of the liver, descending aorta, erector spinae, and subcutaneous fat at the level of the first porta hepatis for the NCP, AP, and VP scans. Pelvic ROIs were placed within the bladder, gluteus maximus, and subcutaneous fat in the middle layer of bladder for the NCP and VP scans and within the gluteus maximus, iliac muscle, obturator muscle, and subcutaneous fat in the corresponding layer for the VP scans. Each ROI was placed in an identical or almost identical layer. DP images were excluded from objective image quality evaluation because their coverage was restricted to the region between the diaphragmatic dome and superior iliac crest, unlike the full thoracic-abdominopelvic extent. Finally, for each image dataset, the thoracic and abdominopelvic SNR and CNR were calculated. The chest SNR and CNR were calculated as follows (21):
The abdominopelvic SNR and CNR were calculated as follows (19,22):
The scan times per phase were recorded in both groups.
The computed tomography dose index volume (CTDIvol) and dose-length product (DLP) for each scan were obtained from the patient dose reports. The effective dose (ED) was calculated as the product of DLP and trunk conversion factor (0.015 mSv/mGy·cm) (23). As automatic tube current modulation was enabled, we additionally calculated figure of merit (FOM) values for each organ in both groups. The FOM quantity enabled the assessment of CNR change independent of the tube current-time product and the ED (24,25). The FOM was calculated as follows (26):
Statistical analysis
Statistical analysis was performed with SPSS 22.0 software (IBM Corp, Armonk, NY, USA). Normal distribution of the data was tested with the Shapiro-Wilk test. Quantitative variables are expressed as mean ± standard deviation for normally distributed data or as median (interquartile range) for non-normally distributed data. The Student’s t-test was used for data with a normal distribution, and the Mann-Whitney test was used otherwise. Categorical data were computed with the Pearson chi-squared test or the Fisher exact test. Bonferroni correction was applied to account for multiple comparisons from pairwise group comparisons and multiple outcome variables, with the adjusted P value (P_adj) being reported. Results were considered statistically significant at P_adj <0.05.
To address potential confounding by clinical conditions (pleural effusion, ascites, emphysema, and atelectasis), a post hoc stratified analysis was performed. Patients within Group 1 and Group 2 were stratified based on the presence or absence of any of these conditions, resulting in four subgroups: Group 1 without confounders (Subgroup 1), Group 1 with confounders (Subgroup 2), Group 2 without confounders (Subgroup 3), and Group 2 with confounders (Subgroup 4). Image quality parameters were first compared within each group (Subgroup 1 vs. 2; Subgroup 3 vs. 4). Subsequently, for assessment of the primary protocol effect independent of confounders, Subgroup 1 and Subgroup 3 were compared with the same statistical methods used in the primary group analysis.
The intra- and interobserver agreement for the image quality scores between the two radiologists was assessed via weighted kappa (κ) statistics as follows: κ=0.0–0.20, poor agreement; κ=0.21–0.4, fair agreement; κ=0.41–0.60, moderate agreement; κ=0.61–0.80, good agreement; and κ=0.81–1.0, excellent agreement (27).
Results
Study population
The characteristics of the patients are summarized in Table 1. No significant differences were found between the two groups in terms of mean age (P=0.683), sex distribution (P=0.807), height (P=0.690), weight (P=0.225), or BMI (P=0.236). The type of primary cancer did not differ significantly between the two groups (P>0.05). Group 1 included patients with pleural effusion (n=25), ascites (n=18), emphysema (n=8), and atelectasis (n=17), while Group 2 comprised patients with pleural effusion (n=13), ascites (n=9), emphysema (n=13), and atelectasis (n=5). Patients in both groups were stratified based on the presence or absence of any of these conditions (P=0.011), yielding Subgroup 1 (n=40), Subgroup 2 (n=44), Subgroup 3 (n=57), and Subgroup 4 (n=28).
Table 1
| Characteristics | Group 1 (n=84) | Group 2 (n=85) | P value |
|---|---|---|---|
| Male/female | 49/35 | 48/37 | 0.807 |
| Age (years) | 62.8±10.4 | 62.2±9.2 | 0.683 |
| Height (m) | 1.59±0.08 | 1.59±0.07 | 0.690 |
| Weight (kg) | 54.11±7.79 | 55.49±6.87 | 0.225 |
| Body mass index (kg/m2) | 21.39±2.50 | 21.82±2.25 | 0.236 |
| Type of primary cancer | 0.928 | ||
| Lung | 8 (9.5) | 7 (8.2) | |
| Breast | 7 (8.3) | 10 (11.8) | |
| Gastro-small bowel | 9 (10.7) | 11 (12.9) | |
| Hepatobiliary | 9 (10.7) | 6 (7.1) | |
| Colorectal | 15 (17.9) | 17 (20.0) | |
| Genitourinary | 18 (21.4) | 15 (17.6) | |
| lymphoma | 11 (13.1) | 14 (16.5) | |
| Others | 7 (8.3) | 5 (5.9) | |
Continuous variables are expressed as the mean ± standard deviation. Categorical variables are expressed as numbers or n (%). Group 1, high-pitch examination; Group 2, standard-pitch examination.
Subjective image quality evaluation
Group 1 demonstrated significantly fewer motion artifacts in the lung (P=0.027) and mediastinum (P<0.001) than did Group 2 (Table 2 and Figure 2). Although no statistical difference was observed in overall image scores, they were consistently higher in abdomen in Group 1 than in Group 2 (Figure 3). Comparable results were found for pelvic image quality, image noise, organ enhancement, and lesion conspicuity (P>0.05; Figure 4). The percentage of images with significant motion artifacts in mediastinum was significantly lower in Group 1 than in Group 2 (Reader 1: 1.2% vs. 30.6%; Reader 2: 2.4% vs. 32.9%; P<0.001; Table 3). No statistically significant differences were observed in the severity distribution of artifacts between the lung, abdomen, and pelvis in Group 1. The intraobserver (κ=0.788–0.964) and interobserver agreement (κ=0.708–0.929) in the subjective image quality analysis was good to excellent.
Table 2
| Parameters | Reader 1 | Reader 2 | |||||
|---|---|---|---|---|---|---|---|
| Group 1 | Group 2 | P value | Group 1 | Group 2 | P value | ||
| Motion artifact | |||||||
| Lung | 5 (5–5) | 5 (5–5) | 0.255† | 5 (5–5) | 5 (5–5) | 0.027† | |
| Mediastinum | 5 (5–5) | 4 (3–4) | <0.001† | 5 (5–5) | 4 (3–4) | <0.001† | |
| Abdomen | 5 (5–5) | 5 (4–5) | >0.999† | 5 (4.25–5) | 5 (4–5) | 0.151 | |
| Pelvis | 5 (5–5) | 5 (5–5) | 0.840 | 5 (5–5) | 5 (5–5) | 0.968 | |
| Overall image quality | 4 (4–5) | 4 (4–5) | 0.425† | 5 (5–5) | 5 (4–5) | 0.255† | |
| Image noise | 5 (4–5) | 5 (4–5) | 0.762 | 4 (4–5) | 4.5 (4–5) | 0.649 | |
| Organ enhancement | 5 (5–5) | 5 (5–5) | 0.787 | 5 (4.25–5) | 5 (5–5) | 0.708 | |
| Lesion conspicuity | 5 (5–5) | 5 (5–5) | 0.133 | 5 (5–5) | 5 (4.25–5) | 0.718 | |
Data are expressed as the median (interquartile range). Group 1, high-pitch examination; Group 2, standard-pitch examination. †, adjusted P value.
Table 3
| Location/severity | Reader 1 | Reader 2 | |||||
|---|---|---|---|---|---|---|---|
| Group 1 | Group 2 | P value | Group 1 | Group 2 | P value | ||
| Lung | 0.365† | 0.713† | |||||
| None | 79 (94.0) | 67 (78.8) | 76 (90.5) | 65 (76.5) | |||
| Slight | 5 (6.0) | 11 (12.9) | 8 (9.5) | 13 (15.3) | |||
| Significant | 0 (0) | 7 (8.2) | 0 (0) | 7 (8.2) | |||
| Mediastinum | <0.001† | <0.001† | |||||
| None | 70 (83.3) | 10 (11.8) | 67 (79.8) | 11 (12.9) | |||
| Slight | 13 (15.5) | 49 (57.6) | 15 (17.9) | 46 (54.1) | |||
| Significant | 1 (1.2) | 26 (30.6) | 2 (2.4) | 28 (32.9) | |||
| Abdomen | 0.115 | 0.195 | |||||
| None | 68 (81.0) | 59 (69.4) | 63 (75.0) | 56 (65.9) | |||
| Slight | 15 (17.9) | 21 (24.7) | 20 (23.8) | 24 (28.2) | |||
| Significant | 1 (1.2) | 5 (5.9) | 1 (1.2) | 5 (5.9) | |||
| Pelvis | 0.760 | 0.511 | |||||
| None | 69 (82.1) | 71 (83.5) | 66 (78.6) | 67 (78.8) | |||
| Slight | 15 (17.9) | 13 (15.3) | 18 (21.4) | 16 (18.8) | |||
| Significant | 0 (0) | 1 (1.2) | 0 (0) | 2 (2.4) | |||
Data are presented as n (%). Group 1, high-pitch examination; Group 2, standard-pitch examination. †, adjusted P value.
Objective image quality evaluation
A statistically significant difference in tracheal image noise was observed between the groups (P<0.001; Table 4), with Group 1 demonstrating significantly lower values than Group 2 (NCP: 6.85±1.93 vs. 8.64±2.31 HU; AP: 8.90±1.59 vs. 13.74±3.80 HU).
Table 4
| Parameters | Group 1 (n=84) | Group 2 (n=85) | P value |
|---|---|---|---|
| Noncontrast phase | |||
| Chest noise (HU) | 6.85±1.93 | 8.64±2.31 | <0.001† |
| Abdominal noise (HU) | 9.73±2.55 | 9.80±2.35 | 0.807 |
| Pelvic noise (HU) | 10.57±2.53 | 10.15±2.21 | 0.289 |
| Arterial phase | |||
| Chest noise (HU) | 8.90±1.59 | 13.74±3.80 | <0.001† |
| Abdominal noise (HU) | 10.25±2.55 | 9.95±2.57 | 0.403 |
| Venous phase | |||
| Abdominal noise (HU) | 10.27±2.29 | 11.00±2.48 | 0.130 |
| Pelvic noise (HU) | 10.79±2.41 | 11.98±2.54 | 0.592† |
Data are presented as mean ± standard deviation. Group 1, high-pitch examination; Group 2, standard-pitch examination. †, adjusted P value. HU, Hounsfield unit.
Group 1 had a significantly higher SNR and CNR than Group 2 in the aortic arch and chest erector spinae in the NCP and AP (all P values <0.001; Figure 5). In the pelvis, SNR of the gluteus maximus in the VP was higher in Group 1 than in Group 2 (P<0.001). The SNR of the liver in the NCP and the CNR of the descending aorta in the VP tended to be higher in Group 1, although the difference between the two groups was not significant (P=0.087 and P=0.097, respectively).
For Group 1, the mean scan time was 1.75±0.09 s (range, 1.51–1.91 s) for the NCP and AP and 1.35±0.09 s (range, 1.14–1.69 s) for the VP. For Group 2, the scan time was 9.40±0.42 s (range, 8.4–10.33 s) for the NCP and AP and 7.01±0.48 s (range, 5.97–7.98 s) for the VP. The average scan time of the NCP and AP were 81.4% lower in Group 1, and those of the VP were 80.7% lower in Group 1 (Table 5).
Table 5
| Metrics | Group 1 | Group 2 | Reduction (%) | P value |
|---|---|---|---|---|
| Noncontrast phase | ||||
| Scan time (s) | 1.75±0.09 | 9.40±0.42 | 81.4 | <0.001† |
| CTDIvol (mGy) | 6.58±0.55 | 10.93±1.37 | 39.8 | <0.001† |
| DLP (mGy·cm) | 455.05±49.10 | 726.40 (655.05–811.15) | 37.4 | <0.001† |
| ED (mSv) | 6.83±0.74 | 10.90 (9.83–12.17) | 37.3 | <0.001† |
| Arterial phase | ||||
| Scan time (s) | 1.75±0.09 | 9.40±0.42 | 81.4 | <0.001† |
| CTDIvol (mGy) | 6.58±0.55 | 10.91±1.37 | 39.7 | <0.001† |
| DLP (mGy·cm) | 451.36±54.30 | 733.04±107.14 | 38.4 | <0.001† |
| ED (mSv) | 6.77±0.81 | 11.00±1.61 | 38.5 | <0.001† |
| Venous phase | ||||
| Scan time (s) | 1.35±0.09 | 7.01±0.48 | 80.7 | <0.001† |
| CTDIvol (mGy) | 6.48±0.60 | 9.77 (8.77–10.80) | 33.7 | <0.001† |
| DLP (mGy·cm) | 343.27±49.49 | 476.70 (433.55–562.15) | 28.0 | <0.001† |
| ED (mSv) | 5.15±0.74 | 7.15 (6.50–8.43) | 28.0 | <0.001† |
| Overall | ||||
| DLP (mGy·cm) | 1,439.77±170.94 | 2,240.84±334.29 | 35.7 | <0.001† |
| ED (mSv) | 21.60±2.56 | 33.61±5.01 | 35.7 | <0.001† |
Normally distributed data are presented as mean ± standard deviation and compared using Student’s t-test; non-normally distributed data are presented as median (interquartile range) and compared using Mann-Whitney test. Group 1, high-pitch examination; Group 2, standard-pitch examination. †, adjusted P value. CTDIvol, computed tomography dose index volume; DLP, dose-length product; ED, effective dose; mGy, milligray; mSv, millisievert.
Phase-specific dose analysis demonstrated statistically significant reductions in Group 1 as compared to Group 2 (all P values <0.001), with the ED decreasing by 37.3% (6.83 vs. 10.90 mSv) in the NCP, 38.5% (6.77 vs. 11.00 mSv) in the AP, and 28.0% (5.15 vs. 7.15 mSv) in the VP. This differential reduction corresponded to scan time differences, with the greatest improvement observed in the AP (81.4%) and a relatively smaller yet substantial reduction in the VP (80.7%). Cumulatively, Group 1 achieved a 35.7% lower total ED (21.60 vs. 33.61 mSv), confirming the protocol’s efficacy for multiphase oncology CT (Table 5). There was a statistically significant difference in the FOM within the chest, abdomen, and pelvis between the two groups (all P values <0.05; Figure 5 and Table S1), and all the FOMs of Group 1 were higher than those of Group 2.
Post hoc stratified analysis for potential confounding factors
Comparisons within Group 1 (Subgroup 1 vs. Subgroup 2) and within Group 2 (Subgroup 3 vs. Subgroup 4) revealed no statistically significant differences (all P values >0.05; Tables S2-S4) in lung and mediastinal motion artifact scores, chest noise levels, or the SNRs, CNRs and FOMs measured across the NCP, AP, and VP. Critically, when only patients without confounding conditions were compared (Subgroup 1 vs. Subgroup 3), the high-pitch protocol demonstrated results fully concordant with the primary analysis of the full groups. Compared to Subgroup 3, Subgroup 1 exhibited significantly fewer mediastinal motion artifacts (P<0.001; Table S2), significantly lower chest noise (P<0.05; Table S2), and significantly higher SNR/CNR values in the chest (P<0.05; Table S5). Scan time remained 81.4% shorter, and total ED remained 34.3% lower in Subgroup 1 (P<0.001).
Discussion
In this study, we compared the motion artifacts and scan times between non-breath-holding patients with cancer who underwent thoracic-abdominopelvic contrast-enhanced CT with a high-pitch protocol and breath-holding capable patients who were scanned with a standard-pitch protocol. Our results demonstrated similar overall image quality and significantly shorter scan time in high-pitch DSCT, particularly a substantial reduction in motion artifacts even without breath-holding. In addition, the high-pitch protocol DSCT was associated with a lower radiation dose. Furthermore, post hoc stratified analysis suggested that the observed advantages of the high-pitch protocol appeared unaffected by the presence of pleural effusion, emphysema, atelectasis, or ascites, as these factors did not significantly influence outcomes within the protocol groups. The benefits of the high-pitch protocol also remained consistent in patients without these specific conditions.
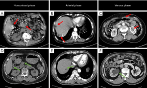
Poor breath-holding or an inability to breath-hold for the scanning of areas susceptible to movement can cause serious motion artifacts, which has limited value in diagnosis (28). High-pitch DSCT makes free-breathing scans possible while preserving image quality (15,29). Our results showed that high-pitch DSCT led to fewer motion artifacts in the lung and mediastinum and resulted in a higher chest SNR and CNR. However, increased pitch has been reported to increase image noise and decrease SNR, consequently reducing objective image quality in CT scans acquired under constant tube current conditions (30). A previous study found that high-pitch DSCT had inferior results for image noise and SNR compared to standard-pitch single-source CT (SSCT) when both used filtered back-projection (FBP) reconstruction. However, image reconstruction via ADMIRE increased objective image quality in high-pitch DSCT as compared to the standard-pitch SSCT level (which utilized FBP) (4). We used the same ADMIRE image reconstruction algorithm in the two groups, which precluded its contribution to the observed differences in results. Although modern CT automatic exposure control (AEC) systems generally maintain consistent noise levels across pitch settings by modulating tube current (31), our trachea-specific ROI measurements revealed statistically significant lower noise in high-pitch acquisitions (P<0.001; Table 4). This localized noise reduction, facilitated by AEC compensation for per-rotation dose differences, likely explains the concurrent higher SNRs and lower radiation dose in the high-pitch group, even in minimally motile regions. In addition, we had excellent image quality in terms of cardiovascular structures (Figure 2H-2I,2K). As is widely known, coronary artery evaluation is usually not available in conventional nongated chest imaging because of the pulsation of heart and blood vessels. However, cardiovascular structures often appear with high quality on nongated routine chest imaging under a high-pitch protocol, providing a valuable opportunity for the diagnosis of clinically undetected cardiovascular diseases (32). Studies based on high-pitch protocols have documented nearly completely suppressed respiratory motion artifacts and cardiac pulsation artifacts on chest CT (29,33).
In the field of abdominal and pelvic imaging, several studies have evaluated the benefit of high-pitch protocols, among which the majority have evaluated non-contrast-enhanced CT (11,13,18,34). In Hardie et al.’s study (34), image quality was defined by noise measurements and subjective radiologist scoring only in the portal-VP, and a minor quality reduction was found. In contrast, our study quantified image quality through SNR and CNR analysis and motion artifact grading. Despite differences in metrics, both studies confirmed that high-pitch protocols can achieve significant scan time reduction with clinically acceptable image quality. For instance, in our study, the SNR, CNR, and overall image quality of the abdomen and pelvis of group 1 (comprising non-breath-holding patients) were similar to or even higher than those of Group 2 (breath-holding capable patients). No significant difference was observed in the motion artifacts of the pelvis between the groups. However, the high-pitch protocol could reduce bowel peristalsis artifacts and should thus be considered when imaging of bowel and nearby structures is critical (5). Considering that the enrolled patients had different types of diseases, we did not compare the diagnostic performance for lesions between the groups. Rather, we compared the proportion of patients affected by motion artifacts by location. Based on the results, we are confident this approach offers improvement in the diagnostic performance for non-breath-holding patients, and will further validate it in future studies. Furthermore, we observed an 81.4% reduction in scan time in the high-pitch DSCT group, which was much larger than that reported in previous studies (25–80.6%) (11,14,18,34). This substantial reduction in scan time can ensure good imaging quality for noncooperative patients or those who cannot suspend respiration during CT scans.
The study was originally intended to examine solutions for improving the motion artifacts and image quality of thoracic-abdominopelvic contrast-enhanced CT among non-breath-holding patients with cancer. We found that the radiation exposure could be reduced by 35.7% while image quality was maintained or enhanced. Regarding the radiation dose, various radiation dose-limiting methods have been used, such as reducing tube voltage and/or current, using AEC, applying iterative image reconstruction, and implementing deep learning postprocessing (35-38). All such methods can be applied with the high-pitch technique, as high-pitch CT is not in itself a dose-reducing technique; rather, it allows for dose reduction only when combined with appropriately optimized scanning parameters. It can be inferred that high-pitch scanning can be used not only for patients with cancer but also for lowering doses in more generalized CT scan indications for patients who require rapid scanning, such as those with abdominal pain and infants and young children, or for other situations that require large-scale scanning (11,12,39).
Our study involved certain limitations that should be acknowledged. First, although subgroup stratification was performed based on the presence or absence of specific factors affecting image quality (pleural effusion, ascites, emphysema, and atelectasis), subgroup sample sizes were underpowered for multivariate regression analysis and adjustments for covariate severity levels. Therefore, large-scale, multicenter studies are warranted to validate these findings in more diverse subpopulations. Second, while spatial resolution was not directly quantified, identical reconstruction parameters and z-flying focal spot technology (40) were applied to both groups. The absence of significant differences in lesion conspicuity and organ enhancement scores suggests clinically comparable resolutions. Third, we did not compare high-pitch and standard-pitch protocols in the same patients. The patients in the study group had varied characteristics, which might have affected the subjective image quality. According to the “as low as reasonably achievable” principle (18), there was no justification for repeating the scans in the same patient. In addition, we carefully designed and performed image analysis to minimize bias and to achieve evaluation with as much blinding as possible. Fourth, the ED in Group 2 (33.61±5.01 mSv) exceeded that of conventional single-phase screening CT, which is attributable to the triple-phase enhancement protocol and extended anatomical coverage (from the lung to the lower edge of the pubic symphysis) required for comprehensive cancer staging. Notably, Group 1 achieved a 35.7% dose reduction (21.60±2.56 mSv). As this study primarily focused on motion artifact mitigation rather than dose optimization, advanced dose-reduction techniques were not implemented. Fifth, the bulk of patients with cachexia and advanced cancer who were unable to breath-hold in this study were relatively thin, which is a common characteristic of cachexia and a potential limitation regarding the generalizability of our findings to obese populations. However, the technical feasibility of high-pitch CT is not limited by body habitus. As reported by Forbrig et al., high-pitch emergency CT of the abdomen can be routinely performed and yields good image quality in obese patients with a BMI ≥30 kg/m2 (39). This suggests that the technique is broadly applicable and would be equally feasible for a more obese European population with a higher BMI. Therefore, our future work will include an examination of this technology in obese patients with cancer to further determine its applicability across all body types.
Conclusions
A high-pitch acquisition protocol with free breathing in thoracic-abdominopelvic contrast-enhanced DSCT scanning for non-breath-holding patients with cancer is technically feasible. By using a high-pitch CT protocol, we achieved good image quality, a reduction in motion artifacts, an 81.4% decrease in scan time, and a 35.7% decrease in radiation dose. Our results indicate that high-pitch DSCT can be used as an alternative acquisition technique for routine thoracic-abdominopelvic contrast-enhanced CT with free-breathing examinations in non-breath-holding patients with cancer and can facilitate lower doses for more generalized large-scale CT scan indications.
Acknowledgments
The authors thank all volunteers who participated in the study and the staff of the Department of Radiology, Chongqing University Cancer Hospital & Chongqing Cancer Institute & Chongqing Cancer Hospital in Chongqing, China for their selfless and valuable assistance.
Footnote
Reporting Checklist: The authors have completed the STROBE reporting checklist. Available at https://qims.amegroups.com/article/view/10.21037/qims-2025-1016/rc
Data Sharing Statement: Available at https://qims.amegroups.com/article/view/10.21037/qims-2025-1016/dss
Funding: This study received funding from
Conflicts of Interest: All authors have completed the ICMJE uniform disclosure form (available at https://qims.amegroups.com/article/view/10.21037/qims-2025-1016/coif). The authors have no conflicts of interest to declare.
Ethical Statement: The authors are accountable for all aspects of the work in ensuring that questions related to the accuracy or integrity of any part of the work are appropriately investigated and resolved. The study was conducted in accordance with the Declaration of Helsinki and its subsequent amendments. The study was approved by the Institutional Review Board of Chongqing University Cancer Hospital (No. CZLS2021041-A-09) and informed consent was obtained from all individual participants.
Open Access Statement: This is an Open Access article distributed in accordance with the Creative Commons Attribution-NonCommercial-NoDerivs 4.0 International License (CC BY-NC-ND 4.0), which permits the non-commercial replication and distribution of the article with the strict proviso that no changes or edits are made and the original work is properly cited (including links to both the formal publication through the relevant DOI and the license). See: https://creativecommons.org/licenses/by-nc-nd/4.0/.
References
- Sung H, Ferlay J, Siegel RL, Laversanne M, Soerjomataram I, Jemal A, Bray F. Global Cancer Statistics 2020: GLOBOCAN Estimates of Incidence and Mortality Worldwide for 36 Cancers in 185 Countries. CA Cancer J Clin 2021;71:209-49.
- Giardino A, Gupta S, Olson E, Sepulveda K, Lenchik L, Ivanidze J, Rakow-Penner R, Patel MJ, Subramaniam RM, Ganeshan D. Role of Imaging in the Era of Precision Medicine. Acad Radiol 2017;24:639-49.
- Doda Khera R, Nitiwarangkul C, Singh R, Homayounieh F, Digumarthy SR, Kalra MK. Multiplatform, Non-Breath-Hold Fast Scanning Protocols: Should We Stop Giving Breath-Hold Instructions for Routine Chest CT? Can Assoc Radiol J 2021;72:505-11. [Crossref] [PubMed]
- Bodelle B, Fischbach C, Booz C, Yel I, Frellesen C, Beeres M, Vogl TJ, Scholtz JE. Free-breathing high-pitch 80kVp dual-source computed tomography of the pediatric chest: Image quality, presence of motion artifacts and radiation dose. Eur J Radiol 2017;89:208-14. [Crossref] [PubMed]
- Shah R, Khoram R, Lambert JW, Sun Y, Wang ZJ, Webb EM, Yeh BM. Effect of gantry rotation speed and scan mode on peristalsis motion artifact frequency and severity at abdominal CT. Abdom Radiol (NY) 2018;43:2239-45. [Crossref] [PubMed]
- Pollock S, Kipritidis J, Lee D, Bernatowicz K, Keall P. The impact of breathing guidance and prospective gating during thoracic 4DCT imaging: an XCAT study utilizing lung cancer patient motion. Phys Med Biol 2016;61:6485-501. [Crossref] [PubMed]
- Morton N, Keall P, O'Brien R, Reynolds T. CArdiac and REspiratory adaptive Computed Tomography (CARE-CT): a proof-of-concept digital phantom study. Phys Eng Sci Med 2022;45:1257-71. [Crossref] [PubMed]
- Ren P, He Y, Zhu Y, Zhang T, Cao J, Wang Z, Yang Z. Motion artefact reduction in coronary CT angiography images with a deep learning method. BMC Med Imaging 2022;22:184. [Crossref] [PubMed]
- Moser LJ, Mergen V, Allmendinger T, Manka R, Eberhard M, Alkadhi H. A Novel Reconstruction Technique to Reduce Stair-Step Artifacts in Sequential Mode Coronary CT Angiography. Invest Radiol 2024;59:622-8. [Crossref] [PubMed]
- Haag NP, Niehoff JH, Shahzadi I, Panknin C, Wiemer M, Kaese S, Gertz RJ, Pennig L, Platte OI, Surov A, Borggrefe J, Kroeger JR. Improving image quality and diagnostic usability in photon-counting coronary CT angiography using a novel reconstruction algorithm. Eur Radiol 2025;35:4798-804. [Crossref] [PubMed]
- Atlı E, Akpınar E, Ünal E, Oğuz Sayan B, Haliloğlu M. The feasibility of high-pitch acquisition protocol for imaging of the pediatric abdomen by dual-source CT. Jpn J Radiol 2018;36:437-43. [Crossref] [PubMed]
- Manneck S, Hurwitz LM, Seaman DM, Heye T, Boll DT. Whole-Body High-Pitch CT Angiography: Strategies to Reduce Radiation Dose and Contrast Volume. AJR Am J Roentgenol 2017;209:1396-403. [Crossref] [PubMed]
- Zhang GM, Shi B, Sun H, Xue HD, Wang Y, Liang JX, Xu K, Wang M, Wang M, Xu M, Jin ZY. High-pitch low-dose abdominopelvic CT with tin-filtration technique for detecting urinary stones. Abdom Radiol (NY) 2017;42:2127-34. [Crossref] [PubMed]
- Tabari A, Patino M, Westra SJ, Shailam R, Sagar P, Sahani DV, Nimkin K, Gee MS. Initial clinical experience with high-pitch dual-source CT as a rapid technique for thoraco-abdominal evaluation in awake infants and young children. Clin Radiol 2019;74:977.e9-977.e15. [Crossref] [PubMed]
- Tivnan P, Winant AJ, Johnston PR, Plut D, Smith K, MacCallum G, Lee EY. Thoracic CTA in infants and young children: Image quality of dual-source CT (DSCT) with high-pitch spiral scan mode (turbo flash spiral mode) with or without general anesthesia with free-breathing technique. Pediatr Pulmonol 2021;56:2660-7. [Crossref] [PubMed]
- Primak AN, McCollough CH, Bruesewitz MR, Zhang J, Fletcher JG. Relationship between noise, dose, and pitch in cardiac multi-detector row CT. Radiographics 2006;26:1785-94. [Crossref] [PubMed]
- Agostini A, Borgheresi A, Carotti M, Ottaviani L, Badaloni M, Floridi C, Giovagnoni A. Third-generation iterative reconstruction on a dual-source, high-pitch, low-dose chest CT protocol with tin filter for spectral shaping at 100 kV: a study on a small series of COVID-19 patients. Radiol Med 2021;126:388-98. [Crossref] [PubMed]
- Amacker NA, Mader C, Alkadhi H, Leschka S, Frauenfelder T. Routine chest and abdominal high-pitch CT: an alternative low dose protocol with preserved image quality. Eur J Radiol 2012;81:e392-7. [Crossref] [PubMed]
- Leyendecker P, Faucher V, Labani A, Noblet V, Lefebvre F, Magotteaux P, Ohana M, Roy C. Prospective evaluation of ultra-low-dose contrast-enhanced 100-kV abdominal computed tomography with tin filter: effect on radiation dose reduction and image quality with a third-generation dual-source CT system. Eur Radiol 2019;29:2107-16. [Crossref] [PubMed]
- Choi SJ, Ahn SJ, Park SH, Park SH, Pak SY, Choi JW, Shim YS, Jeong YM, Kim B. Dual-source abdominopelvic computed tomography: Comparison of image quality and radiation dose of 80 kVp and 80/150 kVp with tin filter. PLoS One 2020;15:e0231431. [Crossref] [PubMed]
- Braun FM, Johnson TR, Sommer WH, Thierfelder KM, Meinel FG. Chest CT using spectral filtration: radiation dose, image quality, and spectrum of clinical utility. Eur Radiol 2015;25:1598-606. [Crossref] [PubMed]
- Wang X, He W, Chen J, Hu Z, Zhao L. Feasibility Study of Radiation Dose Reduction in Adult Female Pelvic CT Scan with Low Tube-Voltage and Adaptive Statistical Iterative Reconstruction. Korean J Radiol 2015;16:1047-55. [Crossref] [PubMed]
- McCollough CH, Primak AN, Braun N, Kofler J, Yu L, Christner J. Strategies for reducing radiation dose in CT. Radiol Clin North Am 2009;47:27-40. [Crossref] [PubMed]
- Samei E, Dobbins JT 3rd, Lo JY, Tornai MP. A framework for optimising the radiographic technique in digital X-ray imaging. Radiat Prot Dosimetry 2005;114:220-9. [Crossref] [PubMed]
- Nakaura T, Awai K, Maruyama N, Takata N, Yoshinaka I, Harada K, Uemura S, Yamashita Y. Abdominal dynamic CT in patients with renal dysfunction: contrast agent dose reduction with low tube voltage and high tube current-time product settings at 256-detector row CT. Radiology 2011;261:467-76. [Crossref] [PubMed]
- Wichmann JL, Hardie AD, Schoepf UJ, Felmly LM, Perry JD, Varga-Szemes A, Mangold S, Caruso D, Canstein C, Vogl TJ, De Cecco CN. Single- and dual-energy CT of the abdomen: comparison of radiation dose and image quality of 2nd and 3rd generation dual-source CT. Eur Radiol 2017;27:642-50. [Crossref] [PubMed]
- Landis JR, Koch GG. The measurement of observer agreement for categorical data. Biometrics 1977;33:159-74.
- Barrett JF, Keat N. Artifacts in CT: recognition and avoidance. Radiographics 2004;24:1679-91. [Crossref] [PubMed]
- Kim SH, Choi YH, Cho HH, Lee SM, Shin SM, Cheon JE, Kim WS, Kim IO. Comparison of Image Quality and Radiation Dose between High-Pitch Mode and Low-Pitch Mode Spiral Chest CT in Small Uncooperative Children: The Effect of Respiratory Rate. Eur Radiol 2016;26:1149-58. [Crossref] [PubMed]
- Zhou Y, Hu L, Du S, Jin R, Li W, Lv F, Zhang Z. The ultrafast, high-pitch turbo FLASH mode of third-generation dual-source CT: Effect of different pitch and corresponding SFOV on image quality in a phantom study. J Appl Clin Med Phys 2021;22:158-67. [Crossref] [PubMed]
- Söderberg M. Overview, practical tips and potential pitfalls of using automatic exposure control in CT: siemens care dose 4D. Radiat Prot Dosimetry 2016;169:84-91. [Crossref] [PubMed]
- Sandfort V, Ahlman MA, Jones EC, Selwaness M, Y, Chen M, R, Folio L, Bluemke DA. High pitch third generation dual-source CT: Coronary and cardiac visualization on routine chest CT. J Cardiovasc Comput Tomogr 2016;10:282-8. [Crossref] [PubMed]
- Lell MM, Scharf M, Eller A, Wuest W, Allmendinger T, Fuchs F, Achenbach S, Uder M, May MS. Feasibility of Respiratory-gated High-pitch Spiral CT:: Free-breathing Inspiratory Image Quality. Acad Radiol 2016;23:406-12. [Crossref] [PubMed]
- Hardie AD, Mayes N, Boulter DJ. Use of high-pitch dual-source computed tomography of the abdomen and pelvis to markedly reduce scan time: clinical feasibility study. J Comput Assist Tomogr 2011;35:353-5. [Crossref] [PubMed]
- Sodagari F, Wood CG, Agrawal R, Yaghmai V. Feasibility of sub-second CT angiography of the abdomen and pelvis with very low volume of contrast media, low tube voltage, and high-pitch technique, on a third-generation dual-source CT scanner. Clin Imaging 2022;82:15-20. [Crossref] [PubMed]
- Lim HK, Ha HI, Hwang HJ, Lee K. High-pitch, 120 kVp/30 mAs, low-dose dual-source chest CT with iterative reconstruction: Prospective evaluation of radiation dose reduction and image quality compared with those of standard-pitch low-dose chest CT in healthy adult volunteers. PLoS One 2019;14:e0211097. [Crossref] [PubMed]
- Wellenberg RHH, van Osch JAC, Boelhouwers HJ, Edens MA, Streekstra GJ, Ettema HB, Boomsma MF. CT radiation dose reduction in patients with total hip arthroplasties using model-based iterative reconstruction and orthopaedic metal artefact reduction. Skeletal Radiol 2019;48:1775-85. [Crossref] [PubMed]
- Wang X, Zheng F, Xiao R, Liu Z, Li Y, Li J, Zhang X, Hao X, Zhang X, Guo J, Zhang Y, Xue H, Jin Z. Comparison of image quality and lesion diagnosis in abdominopelvic unenhanced CT between reduced-dose CT using deep learning post-processing and standard-dose CT using iterative reconstruction: A prospective study. Eur J Radiol 2021;139:109735. [Crossref] [PubMed]
- Forbrig R, Ingrisch M, Stahl R, Winter KS, Reiser M, Trumm CG. Radiation dose and image quality of high-pitch emergency abdominal CT in obese patients using third-generation dual-source CT (DSCT). Sci Rep 2019;9:15877. [Crossref] [PubMed]
- Flohr TG, Stierstorfer K, Ulzheimer S, Bruder H, Primak AN, McCollough CH. Image reconstruction and image quality evaluation for a 64-slice CT scanner with z-flying focal spot. Med Phys 2005;32:2536-47. [Crossref] [PubMed]

