Characteristic magnetic resonance imaging features of atypical spindle cell/pleomorphic lipomatous tumor
Introduction
Atypical spindle cell/pleomorphic lipomatous tumors (ASPLT) are benign lipomatous neoplasms newly added to the fifth edition [2020] of the World Health Organization classification (1). They predominantly occur in middle-aged to older men and are commonly found in the extremities; however, their occurrence throughout the body has also been reported (2,3). Most cases arise in subcutaneous tissues, whereas deep-seated occurrences are less common (2,3).
Histopathologically, ASPLT is characterized by an indistinct tumor border and the presence of a variable proportion of mild-to-moderate atypical spindle cells, adipocytes, lipoblasts, pleomorphic multinucleated cells, and myxoid or collagenous extracellular matrix (2-4). Owing to these diverse histological features, the differential diagnosis of ASPLT is broad and encompasses adipocytic, myxoid, fibrous, and neurogenic tumors (2).
The utility of magnetic resonance imaging (MRI) in diagnosing soft tissue tumors, particularly adipocytic tumors, is well established (5). For instance, the diagnostic rate of lipomas is approximately 100% (5). However, for tumors with inconsistent fat contents, such as spindle cell lipoma (SPL), atypical lipomatous tumor/well-differentiated liposarcoma (ALT/WDL), myxoid liposarcoma (MLS), and dedifferentiated liposarcoma (DDLPS), differential diagnosis is often challenging. Several case reports on ASPLT have noted that SPL, ALT/WDL, MLS, and DDLPS are key imaging-based differential diagnoses (6).
Although clinical features, such as tumor location and site, as well as pathological evaluation, are useful for tumor classification (2-4,6), studies comprehensively analyzing the imaging features of multiple ASPLT cases to identify distinctive diagnostic characteristics remain limited.
The objective of this study was to retrospectively analyze the MRI findings in patients histologically diagnosed with ASPLT, with a focus on identifying trends in fat content distribution and clarifying the characteristics of nonfatty components. Based on this analysis, we aimed to provide key insights that could aid in ASPLT imaging-based diagnosis.
Methods
Patient selection and ethical considerations
Nineteen patients who underwent surgery or biopsy at the hospitals of the University of Yamanashi, Shinshu University, Saitama Medical University International Medical Center, Hamamatsu University School of Medicine, and Cancer Institute Hospital of the Japanese Foundation for Cancer Research, Ehime University were included (Table 1). This study was approved by the Ethics Committee of University of Yamanashi (No. CS0019), and all other participating institutions were informed and agreed with the study. The study adhered to the provisions of the Declaration of Helsinki and its subsequent amendments. Individual consent for this retrospective analysis was waived, yet an opt-out consent procedures were made available through each hospital’s website. The electronic medical records of each hospital were searched for patients with histopathologically proven ASPLT between April 2017 and December 2023. In total, 19 patients with ASPLT [14 men and 5 women; median age, 70 years; age range, 36–87 years; interquartile range (IQR), 62.5–74.5 years] were included in this study. Histological diagnoses were made using specimens that were either resected or biopsied. ASPLT was diagnosed based on the fifth edition of the World Health Organization guidelines for soft tissue and bone tumors.
Table 1
| Characteristics | Value (N=19) |
|---|---|
| Age (years) | 70 (62.5–74.5) |
| Range | 36–87 |
| Sex | |
| Male | 14 (73.7) |
| Female | 5 (26.3) |
| Tumor location | |
| Femoral region | 7 (36.8) |
| Thoracic dorsal region | 3 (15.8) |
| Cervical region | 2 (10.5) |
| Gluteal region | 2 (10.5) |
| Deltoid region | 1 (5.3) |
| Lumbar region | 1 (5.3) |
| Inguinal region | 1 (5.3) |
| Antebrachial region | 1 (5.3) |
| Pedal region | 1 (5.3) |
| Tumor layer | |
| Superficial layer | 9 (47.4) |
| Deep layer | 10 (52.6) |
| Maximum diameter of the lesion (mm) | 90 (48.5–135.7) |
| Range | 22.0–173.1 |
Data are expressed as the number of patients (percentage) for categorical variables, and as median (interquartile range) for continuous variables, unless otherwise specified.
MRI acquisition
Since this was a retrospective multicenter study, MRI was performed using various devices and coils, resulting in imaging parameter variability. T1-weighted (T1WI), T2-weighted (T2WI), fat-suppressed T1-weighted (f/s T1WI), and fat-suppressed T2-weighted (f/s T2WI) images were evaluated. Contrast-enhanced imaging was performed in 16 of the 19 cases; postcontrast images were taken using f/s T1WI. None of the patients underwent a dynamic study.
MRI analysis
MRI images were independently reviewed by two radiologists specializing in diagnostic imaging with 15 and 8 years of experience, respectively; a consensus was reached through discussion. The MRI features evaluated included tumor margin, capsule, septa, fat content, hyperintense areas on f/s T2WI, edema, and contrast enhancement.
Regarding tumor margins, the presence of a well-defined peripheral edge was assessed on T1WI. The capsule was evaluated based on the presence of a low-signal band at tumor edge on T2WI. Septa were identified as internal low-signal structures with a signal intensity equal to or less than that of the muscle on T2WI.
Fat content was evaluated using a six-grade scale based on comparisons between T1WI and f/s T1WI: none (0%), minimal (<25%), moderate (25–49%), substantial (50–74%), extensive (75–99%), and total (100%).
The extent of the hyperintense areas on f/s T2WI was evaluated using a six-grade scale; according to their appearance, these areas were classified as “reticular hyperintensity” or “solid hyperintensity”. Contrast enhancement was assessed using f/s T1WI after contrast injection. The enhanced areas were then evaluated for f/s T2WI characteristics.
Edema was identified as hyperintense areas extending into the surrounding subcutaneous tissue on f/s T2WI.
Agreement evaluation
Agreement between the two radiologists was assessed using Cohen’s kappa coefficient (κ). The degree of agreement was classified as follows: κ=0.0–0.20, poor; 0.21–0.40, fair; 0.41–0.60, moderate; 0.61–0.80, good; 0.81–1.00, very good. In cases of discrepancy, a consensus interpretation was used for further analysis.
Results
Clinical findings
The median age of patients was 70 years (IQR, 62.5–74.5 years), including 14 men and five women. The tumors occurred in the following sites: femoral (seven), thoracic dorsal (three), cervical (two), and gluteal (two) regions, as well as deltoid, lumbar, inguinal, antebrachial, and pedal regions (one each). We detected superficial layer involvement in nine patients, whereas 10 patients exhibited deep layer involvement. The lesions measured a median of 90.0 mm in maximum diameter (IQR, 48.5–135.7 mm).
MRI findings
MRI findings are summarized in Table 2. We observed well-defined tumor margins in eight patients (42.1%). Capsules were present in 17 patients (89.5%). Finally, we observed septa in all cases (100.0%).
Table 2
| Variables | N (%) | κ value (95% CI) |
|---|---|---|
| Clear peripheral margin | 8 (42.1) | 0.64 (0.34–0.93) |
| Capsule | 17 (89.5) | 0.57 (0.15–0.98) |
| Septum | 19 (100.0) | – |
| Fatty area | 0.81 (0.63–1.00) | |
| None (0%) | 5 (26.3) | |
| Minimal (<25%) | 6 (31.6) | |
| Moderate (25–49%) | 1 (5.3) | |
| Substantial (50–74%) | 4 (21.1) | |
| Extensive (75–99%) | 2 (10.5) | |
| Total (100%) | 1 (5.3) | |
| Non-fatty T2WI high-signal area | ||
| Reticular | 14 (73.7) | 0.89 (0.70–1.00) |
| Solid | 15 (78.9) | 0.87 (0.66–1.00) |
| None (0%) | 1 (5.3) | 0.60 (0.35–0.85) |
| Minimal (<25%) | 1 (5.3) | |
| Moderate (25–49%) | 3 (15.8) | |
| Substantial (50–74%) | 4 (21.1) | |
| Extensive (75–99%) | 8 (42.1) | |
| Total (100%) | 2 (10.5) | |
| Edema | 2 (10.5) | 0.81 (0.52–1.00) |
| Enhancement area | ||
| Low signal intensity on f/s T2WI | 12 (75.0) | 0.75 (0.47–1.00) |
| High signal intensity on f/s T2WI | 15 (93.8) | 0.73 (0.37–1.00) |
| None (0%) | 1 (6.3) | 0.42 (0.13–0.71) |
| Minimal (<25%) | 3 (18.8) | |
| Moderate (25–49%) | 3 (18.8) | |
| Substantial (50–74%) | 5 (31.3) | |
| Extensive (75–99%) | 3 (18.8) | |
| Total (100%) | 1 (6.3) |
CI, confidence interval; f/s T2WI, fat-suppressed T2-weighted images; MRI, magnetic resonance imaging.
The fat content distribution was as follows: five cases (26.3%) showed no fat, six cases (31.6%) contained <25%, one case (5.3%) contained 25–49%, four cases (21.1%) contained 50–74%, two cases (10.5%) contained 75–99%, and one case (5.3%) consisted entirely of fat.
Regarding T2WI high-signal areas, one case (5.3%) showed none, one case (5.3%) showed <25%, three cases (15.8%) showed 25–49%, four cases (21.1%) showed 50–74%, eight cases (42.1%) showed 75–99%, and two cases (10.5%) showed 100% high-signal areas. Notably, 14 cases (73.7%) displayed T2WI reticular signals, whereas 15 cases (78.9%) exhibited T2WI solid signals. Edema was present in two cases (10.5%).
Contrast enhancement evaluation revealed one case (6.3%) without enhancement, three cases (18.8%) with <25%, three cases (18.8%) with 25–49%, five cases (31.3%) with 50–74%, three cases (18.8%) with 75–99%, and one case (6.3%) with complete enhancement. Among these, 12 cases (75%) showed enhancement in low-signal areas on f/s T2WI, whereas 15 cases (93.8%) showed enhancement in high-signal areas on f/s T2WI.
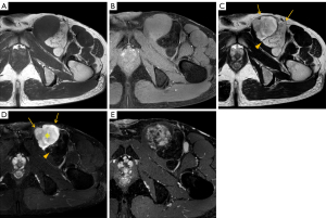
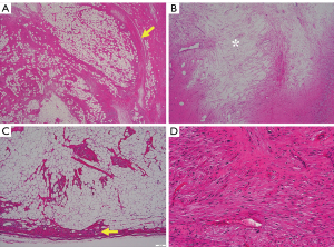
Representative MRI images are shown in Figures 1-3. Corresponding histopathological findings of the lesions in Figures 1,3 are shown in Figures 4,5, respectively.
Interobserver agreement
The kappa coefficients between the two radiologists ranged between moderate and good. Moderate agreement was observed for capsule presence [κ=0.57, 95% confidence interval (CI): 0.15–0.98], T2WI high-signal areas (κ=0.60, 95% CI: 0.35–0.85), and contrast enhancement extent (κ=0.42, 95% CI: 0.13–0.71). Regarding other features, the agreement rate was good, with κ values ranging between 0.64 and 0.89.
Discussion
ASPLT was first reported in 1994 by Dei Tos et al. as a “spindle cell liposarcoma” and was initially considered an ALT/WDL variant (7). However, advances in cytogenetics and molecular genetics have led to its reclassification as a distinct entity, now recognized as “atypical spindle cell lipomatous tumor”. Further research has revealed a morphological and genetic overlap with “atypical pleomorphic cell tumor”, unifying the two under an ASPLT diagnosis (4).
Clinically, ASPLTs are more commonly found in subcutaneous tissues than in deep locations (2,3), with frequent sites being the hands, feet, and thighs, whereas rare occurrences include the head, neck, genital region, trunk, and back (2,3). ASPLT mainly affects middle-aged to older individuals, with peak incidence in the sixth decade of life, showing a slight male predominance (2,3).
In this study, the median age of patients with ASPLT was 70 years, with 73.7% of them being men, consistent with previous studies. The thigh was the most common site, followed by the back, neck, and buttocks. In this study, we also observed a slight deviation from prior trends, with only one case each in the upper limbs and feet, which are typically considered common sites. Additionally, deep-seated lesions were slightly more common than superficial ones.
Previous studies on ASPLT MRI findings have been limited.
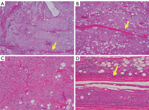
In cases of fat-containing tumors, the T1WI signal intensity reflects fat content, which is diagnostically significant. Earlier studies have categorized ASPLT T1WI signal intensity into the following three groups: (I) high; (II) mixed high and low; and (III) low (6). However, since some high T1WI signals may be attributed to hemorrhage or myxoid components (8), this study focused on evaluating fat content using selective fat suppression techniques instead of T1WI signal intensity. Fat content varied widely, with an average score of 1.74 and median score of 1, indicating a tendency toward low fat content in the cases assessed. Histopathological examination similarly confirmed a tendency toward low fat content, with findings consistent with imaging in many cases (Figures 4A,5A). Furthermore, fat was not only interspersed within the nonfatty components but also often present as distinct nodules, which corresponded well with the MRI findings.
Regarding nonfatty components, T2WI high-signal areas appeared in 18 cases (94.7%), with 17 cases (89.5%) showing high-signal areas covering approximately 25% of the lesion. T2WI low-signal septa were observed in all cases. Contrast enhancement appeared in 15 of 16 cases (93.8%), predominantly in T2WI high-signal areas and in T2WI low-signal areas in 12 cases (75.0%). Histologically, abundant collagen fibers and myxoid material were observed in these lesions (Figures 4C-4E,5C-5E), which corresponded well with the signal characteristics on T2WI. Specifically, T2WI low-signal areas were considered to reflect collagen fibers, whereas high-signal areas were attributed to myxoid components. However, no discernible histological differences were observed that could account for the variation in contrast enhancement (i.e., moderate in Figure 4 and faint in Figure 5).
Other findings included well-defined margins in eight cases (42.1%) and capsular structures in 17 cases (89.5%). Margins have been reported to be indistinct owing to peripheral infiltration (2,4). In our pathological analysis as well, capsule-like structures were observed at the tumor margins; however, tumor infiltration beyond these structures was also identified in some areas (Figures 4B,5B). This suggests that the capsules observed on MRI may not represent true tumor capsules, but rather so-called “pseudocapsules” formed by compression or reactive changes in the surrounding tissue.
Interobserver agreement for most MRI features ranged between moderate and good; however, the κ value for contrast enhancement area evaluation was relatively lower (κ=0.42), indicating moderate agreement. This lower agreement is likely attributable to the relatively detailed six-grade scale used for evaluation, along with decreasing visual clarity of the assessed features in the following order: fat content (κ=0.81) > extent of T2WI high-signal areas (κ=0.60) > extent of contrast enhancement (κ=0.42). Moreover, the relatively unclear tumor borders and capsular structures seen pathologically might also have contributed to the lower agreement for capsular and clear peripheral margin assessments.
Edema-like signals appeared in two cases (10.5%) (positive, Figure 1; negative, Figure 3). However, corresponding tumor infiltration was not observed histologically (Figure 4C), suggesting that these findings were unlikely to affect surgical handling or postoperative outcomes.
Similar to pathological findings, SPL, ALT/WDL, DDLPS, and MLS are important differential diagnoses based on MRI characteristics. We evaluated these differential diagnoses with reference to previous studies.
First, we considered SPL. Clinically, SPL often occurs in the subcutaneous tissues of the head and neck, is more common in men and tends to have a tumor size <5 cm (9-11). In contrast, despite also showing a male predominance, the clinical characteristics of ASPLT in this study included cases of deep-seated occurrence, low incidence of cervical region involvement, and median tumor size of 90.0 mm (IQR, 48.5–135.7 mm). Regarding the imaging characteristics of SPL, the degree of fat content has been reported to vary, with some cases showing no fat at all and all cases exhibiting enhancement, albeit to varying degrees (9-11). This finding partially aligned with the characteristics of ASPLT observed in this study. However, the results of this study indicated a relatively low-fat content in ASPLT. In contrast, SPL exhibits a relatively high fat content in imaging findings (9-11). These differences in clinical and imaging characteristics are important for distinguishing ASPLT from SPL.
The secondary differential diagnosis was ALT/WDL. Compared with lipomas, the distinguishing features of ALTs/WDLs include a deep-seated location, larger size, thick septa, strong contrast enhancement, and reduced fat content (12,13). In this study, ASPLTs with >50% fat content exhibited similar characteristics. However, a notable distinction lies in the presence of contrast-enhancing T2WI high-signal areas, observed in 5 of 6 cases. This feature may serve as a useful diagnostic clue for distinguishing ASPLTs from ALT/WDLs.
The third differential diagnosis was DDLPS and MLS. DDLPS and MLS are characterized by the presence of a small amount of fat and prominent nonfatty components with imaging features that include diverse T2WI high-signal areas and corresponding contrast enhancement (14,15). In this study, ASPLT cases of fat content <25% showed imaging findings similar to those of DDLPS and MLS. However, no MRI characteristics that could be considered particularly useful for differentiating ASPLT from DDLPS or MLS were identified in this study. Given that 57.8% of ASPLT cases in this study had <25% fat content and that DDLPS and MLS are more aggressive than ASPLT, identifying specific MRI features for distinguishing among them remains an important clinical and research challenge.
Among nonfat tumors pathologically considered in the differential diagnoses, such as myxoid, fibrous, and neurogenic tumors (2), we identified fat in 14 cases (73.7%) of ASPLT. This suggested that careful evaluation of the fat content may contribute to appropriate classification, emphasizing the utility of MRI in providing a comprehensive assessment of the entire tumor.
This study had several limitations. First, as a multicenter retrospective study, the MRI equipment and protocols were not standardized. This lack of uniformity might have influenced the evaluation of signal intensity and contrast in each sequence. However, the consensus analysis conducted by the two radiologists mitigated this issue to some extent. Second, three cases in this study did not undergo contrast-enhanced imaging. Third, none of the patients subjected to contrast-enhanced imaging underwent dynamic studies, wherein the timing of contrast administration varied. Consequently, contrast enhancement evaluation was limited. However, within the scope of this study, we suggest that these variations did not significantly affect the overall contrast enhancement assessment. These limitations reflect the nature of pre-existing protocols that are often encountered in real-world clinical practice. To overcome these limitations, future research should aim to standardize MRI equipment and protocols, incorporate dynamic contrast-enhanced imaging, and ensure uniform timing of contrast agent administration. Multicenter collaboration is essential for achieving comprehensive and consistent data collection.
Conclusions
In conclusion, this study identified trends in fat content and nonfatty component characteristics, providing an analysis of the imaging features of ASPLT in a relatively large number of cases. Our results demonstrated that ASPLT tended to show low-fat content on T1WI, high-signal areas of nonfatty components on T2WI in most cases, and contrast enhancement to varying degrees in all but one case, predominantly observed in T2WI high-signal areas.
From an imaging perspective, important differential diagnoses include SPL, ALT/WDL, DDLPS, and MLS, which align with the pathological differential diagnoses. Although the importance of pathological diagnosis for accurate identification remains, further elucidation of the imaging differences between these tumors could provide significant advantages for early diagnosis and treatment.
Acknowledgments
The authors express their gratitude to Professor Hiroshi Onishi, Associate Professor Takuji Araki, and Lecturer Hiroyuki Morisaka, Department of Radiology, University of Yamanashi, Japan, for their valuable guidance and support. The authors thank Ms. Kahori Sano and Ms. Azusa Sakamoto for their secretarial assistance.
Footnote
Funding: None.
Conflicts of Interest: All authors have completed the ICMJE uniform disclosure form (available at https://qims.amegroups.com/article/view/10.21037/qims-2025-453/coif). The authors have no conflicts of interest to declare.
Ethical Statement: The authors are accountable for all aspects of the work in ensuring that questions related to the accuracy or integrity of any part of the work are appropriately investigated and resolved. This study was approved by the Ethics Committee of University of Yamanashi (No. CS0019), and all other participating institutions were informed and agreed with the study. The study adhered to the provisions of the Declaration of Helsinki and its subsequent amendments. Individual consent for this retrospective analysis was waived, yet an opt-out consent procedures were made available through each hospital’s website.
Open Access Statement: This is an Open Access article distributed in accordance with the Creative Commons Attribution-NonCommercial-NoDerivs 4.0 International License (CC BY-NC-ND 4.0), which permits the non-commercial replication and distribution of the article with the strict proviso that no changes or edits are made and the original work is properly cited (including links to both the formal publication through the relevant DOI and the license). See: https://creativecommons.org/licenses/by-nc-nd/4.0/.
References
- Creytens D, Mariño-Enriquez A. Atypical spindle cell/pleomorphic lipomatous tumor. In: WHO Classification of Tumours. 5th edition. Lyon: IARC Press; 2020:334-5.
- Mariño-Enriquez A, Nascimento AF, Ligon AH, Liang C, Fletcher CD. Atypical Spindle Cell Lipomatous Tumor: Clinicopathologic Characterization of 232 Cases Demonstrating a Morphologic Spectrum. Am J Surg Pathol 2017;41:234-44. [Crossref] [PubMed]
- Bahadır B, Behzatoğlu K, Hacıhasanoğlu E, Koca SB, Sığırcı BB, Tokat F. Atypical spindle cell/pleomorphic lipomatous tumor: A clinicopathologic, immunohistochemical, and molecular study of 20 cases. Pathol Int 2018;68:550-6. [Crossref] [PubMed]
- Lecoutere E, Creytens D. Atypical spindle cell/pleomorphic lipomatous tumor. Histol Histopathol 2020;35:769-78. [Crossref] [PubMed]
- Gaskin CM, Helms CA. Lipomas, lipoma variants, and well-differentiated liposarcomas (atypical lipomas): results of MRI evaluations of 126 consecutive fatty masses. AJR Am J Roentgenol 2004;182:733-9. [Crossref] [PubMed]
- Ichikawa J, Kawasaki T, Imada H, Kanno S, Taniguchi N, Ashizawa T, Haro H. Case report: Atypical spindle cell/pleomorphic lipomatous tumor masquerading as a myxoid liposarcoma or intramuscular myxoma. Front Oncol 2022;12:1033114. [Crossref] [PubMed]
- Dei Tos AP, Mentzel T, Newman PL, Fletcher CD. Spindle cell liposarcoma, a hitherto unrecognized variant of liposarcoma. Analysis of six cases. Am J Surg Pathol 1994;18:913-21. [Crossref] [PubMed]
- Fujibuchi T, Ichikawa J, Kawasaki T, Onohara K, Aoki K. An Atypical Spindle Cell/Pleomorphic Lipomatous Tumor of the Thigh With a Difficult Imaging Diagnosis That Mimicked a Malignant Lipomatous Tumor. Clin Nucl Med 2024;49:873-6. [Crossref] [PubMed]
- Billings S, Ud Din N. Spindle cell lipoma and pleomorphic lipoma. In: WHO classification of soft tissue and bone tumours. 5th edition. Lyon, France: IARC Press; 2020:29-30.
- Jelinek JS, Wu A, Wallace M, Kumar D, Henshaw RM, Murphey MJ, Van Horn A, Aboulafia AJ. Imaging of spindle cell lipoma. Clin Radiol 2020;75:396.e15-21. [Crossref] [PubMed]
- Bancroft LW, Kransdorf MJ, Peterson JJ, Sundaram M, Murphey MD, O'Connor MI. Imaging characteristics of spindle cell lipoma. AJR Am J Roentgenol 2003;181:1251-4. [Crossref] [PubMed]
- Nardo L, Abdelhafez YG, Acquafredda F, Schirò S, Wong AL, Sarohia D, Maroldi R, Darrow MA, Guindani M, Lee S, Zhang M, Moawad AW, Elsayes KM, Badawi RD, Link TM. Qualitative evaluation of MRI features of lipoma and atypical lipomatous tumor: results from a multicenter study. Skeletal Radiol 2020;49:1005-14. [Crossref] [PubMed]
- Knebel C, Neumann J, Schwaiger BJ, Karampinos DC, Pfeiffer D, Specht K, Lenze U, von Eisenhart-Rothe R, Rummeny EJ, Woertler K, Gersing AS. Differentiating atypical lipomatous tumors from lipomas with magnetic resonance imaging: a comparison with MDM2 gene amplification status. BMC Cancer 2019;19:309. [Crossref] [PubMed]
- Murphey MD, Arcara LK, Fanburg-Smith J. From the archives of the AFIP: imaging of musculoskeletal liposarcoma with radiologic-pathologic correlation. Radiographics 2005;25:1371-95. [Crossref] [PubMed]
- Lunn BW, Littrell LA, Wenger DE, Broski SM. (18)F-FDG PET/CT and MRI features of myxoid liposarcomas and intramuscular myxomas. Skeletal Radiol 2018;47:1641-50. [Crossref] [PubMed]

